JavaScript is disabled in your browser. Please enable JavaScript to view this website.
AB246504

Anti-beta Catenin non-phospho S37/T41 抗体 [EPR23969-131]

Anti-beta Catenin non-phospho S37/T41 antibody [EPR23969-131]

  • BOND RX™ Validated
  • KO Validated
  • RabMAb
  • Recombinant
  • Lab Essentials
  • 20ul selling size
  • 詳細を見る

5

(3 Reviews)

|

(20 Publications)

Anti-beta Catenin non-phospho S37/T41 antibody [EPR23969-131] (ab246504) is a rabbit monoclonal antibody detecting beta Catenin non-phospho S37/T41 in Western Blot, IP, IHC-P, ICC/IF, Dot Blot. Suitable for Human, Mouse, Rat.

- KO validated for confirmed specificity
- Biophysical QC for unrivalled batch-batch consistency

別名を表示する

CTNNB, OK/SW-cl.35, PRO2286, CTNNB1, Catenin beta-1, Beta-catenin

13 Images
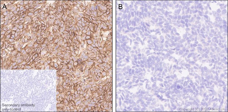
Immunohistochemistry (Formalin/PFA-fixed paraffin-embedded sections) - Anti-beta Catenin non-phospho S37/T41 antibody [EPR23969-131] (AB246504)
  • IHC-P

Lab

Immunohistochemistry (Formalin/PFA-fixed paraffin-embedded sections) - Anti-beta Catenin non-phospho S37/T41 antibody [EPR23969-131] (AB246504)

Immunohistochemical analysis of paraffin-embedded human ovarian cancer tissue labelling beta Catenin non-phospho S37/T42 with ab246504 at 1/2000 dilution (0.2705 μg/ml) followed by a ready to use Leica DS9800 (Bond™ Polymer Refine Detection). Positive staining on human ovarian cancer. The section was incubated with ab246504 for 30 mins at room temperature. The immunostaining was performed on a Leica Biosystems BOND® RX instrument. Counterstained with Hematoxylin.

Secondary antibody only control : Secondary antibody is a ready to use Leica DS9800 (Bond™ Polymer Refine Detection).

Heat mediated antigen retrieval with Tris-EDTA buffer (pH 9.0, epitope retrieval solution 2) for 20 mins.

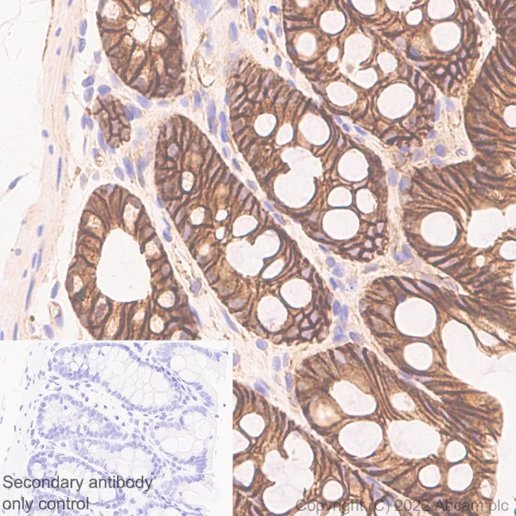
Immunohistochemistry (Formalin/PFA-fixed paraffin-embedded sections) - Anti-beta Catenin non-phospho S37/T41 antibody [EPR23969-131] (AB246504)
  • IHC-P

Lab

Immunohistochemistry (Formalin/PFA-fixed paraffin-embedded sections) - Anti-beta Catenin non-phospho S37/T41 antibody [EPR23969-131] (AB246504)

Immunohistochemical analysis of paraffin-embedded human colon tissue labelling beta Catenin non-phospho S37/T41 with ab246504 at 1/2000 dilution (0.2705 μg/ml) followed by a ready to use Leica DS9800 (Bond™ Polymer Refine Detection). Positive staining on human colon. The section was incubated with ab246504 for 30 mins at room temperature. The immunostaining was performed on a Leica Biosystems BOND® RX instrument. Counterstained with Hematoxylin.

Secondary antibody only control : Secondary antibody is a ready to use Leica DS9800 (Bond™ Polymer Refine Detection).

Heat mediated antigen retrieval with Tris-EDTA buffer (pH 9.0, epitope retrieval solution 2) for 20 mins.

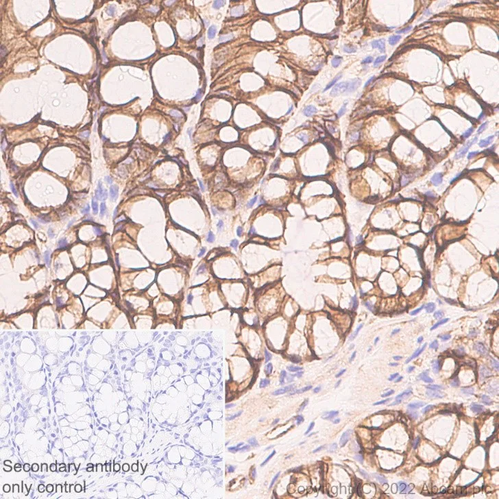
Immunohistochemistry (Formalin/PFA-fixed paraffin-embedded sections) - Anti-beta Catenin non-phospho S37/T41 antibody [EPR23969-131] (AB246504)
  • IHC-P

Lab

Immunohistochemistry (Formalin/PFA-fixed paraffin-embedded sections) - Anti-beta Catenin non-phospho S37/T41 antibody [EPR23969-131] (AB246504)

Immunohistochemical analysis of paraffin-embedded (A) Wild-type HAP1 (human chronic myelogenous leukemia near-haploid cell) cell pellet and (B) CTNNB1 KO HAP1 cell pellet labelling beta Catenin non-phospho S37/T45 with ab246504 at 1/2000 dilution (0.2705 μg/ml) followed by a ready to use Leica DS9800 (Bond® Polymer Refine Detection). Positive staining on (A) Wild-type HAP1 (human chronic myelogenous leukemia near-haploid cell) cell pellet. No staining on (B) CTNNB1 KO HAP1 cell pellet. The section was incubated with ab246504 for 30 mins at room temperature. The immunostaining was performed on a Leica Biosystems BOND® RX instrument. Counterstained with Hematoxylin.

Secondary antibody only control : Secondary antibody is a ready to use Leica DS9800 (Bond™ Polymer Refine Detection).

Heat mediated antigen retrieval with Tris-EDTA buffer (pH 9.0, epitope retrieval solution 2) for 20 mins.

Immunocytochemistry/ Immunofluorescence - Anti-beta Catenin non-phospho S37/T41 antibody [EPR23969-131] (AB246504)
  • ICC/IF

Lab

Immunocytochemistry/ Immunofluorescence - Anti-beta Catenin non-phospho S37/T41 antibody [EPR23969-131] (AB246504)

Immunofluorescent analysis of 4% Paraformaldehyde-fixed, 0.1% TritonX-100 permeabilized CTNNB1 KO HAP1 (CTNNB1 knockout human chronic myelogenous leukemia near-haploid cell line) cells labelling beta Catenin non-phospho S37/T44 with ab246504 at 1/100 (5.4 μg/ml) dilution, followed by ab150077 antibody at 1/1000 (2 μg/ml) dilution (Green). Confocal image showing membranous staining in parental HAP1 cell line, and staining in the CTNNB1 KO HAP1 cell line. Image was taken with a confocal microscope (Leica-Microsystems, TCS SP8). ab195889 was used to counterstain tubulin at 1/200 (2.5 μg/ml) dilution (Red). The Nuclear counterstain was DAPI (Blue).

Secondary antibody only control : Secondary antibody is ab150077 at 1/1000 (2 μg/ml) dilution.

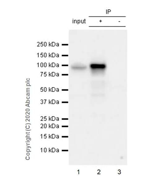
Immunoprecipitation - Anti-beta Catenin non-phospho S37/T41 antibody [EPR23969-131] (AB246504)
  • IP

Supplier Data

Immunoprecipitation - Anti-beta Catenin non-phospho S37/T41 antibody [EPR23969-131] (AB246504)

beta Catenin (non-phospho S37/T41) was immunoprecipitated from 0.35 mg HeLa (human cervix adenocarcinoma epithelial cell) whole cell lysate 10 ug with ab246504 at 1/30 dilution (2ug in 0.35mg lysates). Western blot was performed on the immunoprecipitate using ab246504 at 1/1000 dilution. VeriBlot for IP Detection Reagent (HRP)(ab131366) was used at 1/5000 dilution.

Lane 1 : HeLa (human cervix adenocarcinoma epithelial cell) whole cell lysate 10 ug

Lane 2 : ab246504 IP in HeLa whole cell lysate

Lane 3 : Rabbit monoclonal IgG (ab172730) instead of ab246504 in HeLa whole cell lysate

Blocking and dilution buffer and concentration : 5% NFDM/TBST.

Exposure time : 3 seconds

All lanes:

Immunoprecipitation - Anti-beta Catenin non-phospho S37/T41 antibody [EPR23969-131] (ab246504)

Predicted band size: 85 kDa

Observed band size: 95 kDa

false

Exposure time: 3s

Immunocytochemistry/ Immunofluorescence - Anti-beta Catenin non-phospho S37/T41 antibody [EPR23969-131] (AB246504)
  • ICC/IF

Lab

Immunocytochemistry/ Immunofluorescence - Anti-beta Catenin non-phospho S37/T41 antibody [EPR23969-131] (AB246504)

Immunofluorescent analysis of 4% Paraformaldehyde-fixed, 0.1% TritonX-101 permeabilized NIH/3T3 (mouse embryonic fibroblast) cells labelling beta Catenin non-phospho S37/T45 with ab246504 at 1/100 (5.4 μg/ml) dilution, followed by ab150077 antibody at 1/1000 (2 μg/ml) dilution (Green). Confocal image showing membranous and cytoplasmic staining in NIH/3T3 cell line. Image was taken with a confocal microscope (Leica-Microsystems, TCS SP8). ab195889 was used to counterstain tubulin at 1/200 (2.5 μg/ml) dilution (Red). The Nuclear counterstain was DAPI (Blue).

Secondary antibody only control : Secondary antibody is ab150078 at 1/1000 (2 μg/ml) dilution.

Immunohistochemistry (Formalin/PFA-fixed paraffin-embedded sections) - Anti-beta Catenin non-phospho S37/T41 antibody [EPR23969-131] (AB246504)
  • IHC-P

Lab

Immunohistochemistry (Formalin/PFA-fixed paraffin-embedded sections) - Anti-beta Catenin non-phospho S37/T41 antibody [EPR23969-131] (AB246504)

Immunohistochemical analysis of paraffin-embedded rat colon tissue labelling beta Catenin non-phospho S37/T44 with ab246504 at 1/2000 dilution (0.2705 μg/ml) followed by a ready to use Leica DS9800 (Bond™ Polymer Refine Detection). Positive staining on rat colon. The section was incubated with ab246504 for 30 mins at room temperature. The immunostaining was performed on a Leica Biosystems BOND® RX instrument. Counterstained with Hematoxylin.

Secondary antibody only control : Secondary antibody is a ready to use Leica DS9800 (Bond™ Polymer Refine Detection).

Heat mediated antigen retrieval with Tris-EDTA buffer (pH 9.0, epitope retrieval solution 2) for 20 mins.

Immunohistochemistry (Formalin/PFA-fixed paraffin-embedded sections) - Anti-beta Catenin non-phospho S37/T41 antibody [EPR23969-131] (AB246504)
  • IHC-P

Lab

Immunohistochemistry (Formalin/PFA-fixed paraffin-embedded sections) - Anti-beta Catenin non-phospho S37/T41 antibody [EPR23969-131] (AB246504)

Immunohistochemical analysis of paraffin-embedded mouse colon tissue labelling beta Catenin non-phospho S37/T43 with ab246504 at 1/2000 dilution (0.2705 μg/ml) followed by a ready to use Leica DS9800 (Bond™ Polymer Refine Detection). Positive staining on mouse colon. The section was incubated with ab246504 for 30 mins at room temperature. The immunostaining was performed on a Leica Biosystems BOND® RX instrument. Counterstained with Hematoxylin.

Secondary antibody only control : Secondary antibody is a ready to use Leica DS9800 (Bond™ Polymer Refine Detection).

Heat mediated antigen retrieval with Tris-EDTA buffer (pH 9.0, epitope retrieval solution 2) for 20 mins.

Western blot - Anti-beta Catenin non-phospho S37/T41 antibody [EPR23969-131] (AB246504)
  • WB

Lab

Western blot - Anti-beta Catenin non-phospho S37/T41 antibody [EPR23969-131] (AB246504)

False colour image of Western blot : Anti-beta Catenin non-phospho S37/T41 antibody [EPR23969-131] staining at 1/1000 dilution, shown in green; Mouse anti-GAPDH antibody [6C5] (ab8245) loading control staining at 1/20000 dilution, shown in red. In Western blot, ab246504 was shown to bind specifically to beta Catenin non-phospho(active) S37/T41. A band was observed at 90 kDa in wild-type HepG2 cell lysates with no signal observed at this size in CTNNB1 knockout cell line. To generate this image, wild-type and CTNNB1 knockout HepG2 cell lysates were analysed. First, samples were run on an SDS-PAGE gel then transferred onto a nitrocellulose membrane. Membranes were blocked in 5% milk in TBS-0.1 % Tween® 20 (TBS-T) before incubation with primary antibodies overnight at 4°C. Blots were washed four times in TBS-T, incubated with secondary antibodies for 1 h at room temperature, washed again four times then imaged. Secondary antibodies used were Goat anti-Rabbit IgG H&L (IRDye® 800CW) preabsorbed (ab216773) and Goat anti-Mouse IgG H&L (IRDye® 680RD) preabsorbed (ab216776) at 1/20000 dilution.

All lanes:

Western blot - Anti-beta Catenin non-phospho S37/T41 antibody [EPR23969-131] (ab246504) at 1/1000 dilution

Lane 1:

Wild-type HepG2 cell lysate at 20 µg

Lane 2:

CTNNB1 knockout HepG2 cell lysate at 20 µg

Lane 2:

Western blot - Human CTNNB1 (beta Catenin) knockout Hep G2 cell line (<a href='/products/cell-lines/human-ctnnb1-beta-catenin-knockout-hep-g2-cell-line-ab277911'>ab277911</a>)

Lane 3:

HeLa cell lysate at 20 µg

Lane 4:

A431 cell lysate at 20 µg

Predicted band size: 85 kDa

Observed band size: 90 kDa

false

Western blot - Anti-beta Catenin non-phospho S37/T41 antibody [EPR23969-131] (AB246504)
  • WB

Lab

Western blot - Anti-beta Catenin non-phospho S37/T41 antibody [EPR23969-131] (AB246504)

Blocking and diluting buffer and concentration : 5% NFDM/TBST

Exposure time 92 seconds

An extra band around 45 kDa was observed.

All lanes:

Western blot - Anti-beta Catenin non-phospho S37/T41 antibody [EPR23969-131] (ab246504) at 1/1000 dilution

Lane 1:

HeLa (human cervix adenocarcinoma epithelial cell) whole cell lysate at 20 µg

Lane 2:

HCT 116 (human colorectal carcinoma epithelial cell) whole cell lysate at 20 µg

Lane 3:

LLC1 (mouse lung carcinoma ) whole cell lysate at 20 µg

Lane 4:

C6 (rat glial tumor glial cell) whole cell lysate at 20 µg

Secondary

All lanes:

Western blot - Goat Anti-Rabbit IgG H&L (HRP) (<a href='/products/secondary-antibodies/goat-rabbit-igg-h-l-hrp-ab97051'>ab97051</a>) at 1/100000 dilution

Predicted band size: 85 kDa

Observed band size: 95 kDa

false

Western blot - Anti-beta Catenin non-phospho S37/T41 antibody [EPR23969-131] (AB246504)
  • WB

Lab

Western blot - Anti-beta Catenin non-phospho S37/T41 antibody [EPR23969-131] (AB246504)

Blocking and diluting buffer and concentration : Intercept® (TBS) Blocking Buffer diluted with an equal volume of 0.1% TBST

The molecular weight observed is consistent with what has been described in the literature (PMID : 16288032).

Lanes 1-2 : Merged signal (red and green). Green - ab246504 observed at 92 kDa. Red - loading control ab8245 (Mouse monoclonal [6C5] to GAPDH) observed at 36 kDa.

ab246504 Anti-beta Catenin (non-phospho S37/T41) antibody [EPR23969-131] was shown to specifically react with beta Catenin in wild-type HeLa cells. Loss of signal was observed when knockout cell line ab255352 (knockout cell lysate ab263756) was used.

Wild-type and beta Catenin knockout samples were subjected to SDS-PAGE. ab246504 and Anti-GAPDH antibody [6C5] - Loading Control (ab8245) were incubated overnight at 4°C at 1 in 1000 dilution and 1 in 20000 dilution respectively. Blots were developed with Goat anti-Rabbit IgG H&L (IRDye® 800CW) preadsorbed (ab216773) and Goat anti-Mouse IgG H&L (IRDye® 680RD) preadsorbed (ab216776) secondary antibodies at 1 in 10000 dilution for 1 hour at room temperature before imaging.

An extra band around 45 kDa was observed.

All lanes:

Western blot - Anti-beta Catenin non-phospho S37/T41 antibody [EPR23969-131] (ab246504) at 1/1000 dilution

Lane 1:

Wild-type HeLa (human cervix adenocarcinoma epithelial cell) whole cell lysate at 20 µg

Lane 2:

CTNNB1 (beta Catenin) knockout HeLa (human cervix adenocarcinoma epithelial cell) whole cell lysate at 20 µg

Lane 2:

Western blot - Human CTNNB1 (beta Catenin) knockout HeLa cell line (<a href='/products/cell-lines/human-ctnnb1-beta-catenin-knockout-hela-cell-line-ab255352'>ab255352</a>)

Secondary

All lanes:

Goat Anti-Rabbit IgG H&L (IRDye® 800CW) (<a href='/products/secondary-antibodies/goat-rabbit-igg-h-l-irdye-800cw-preadsorbed-ab216773'>ab216773</a>) and Goat Anti-Mouse IgG H&L (IRDye® 680RD) (<a href='/products/secondary-antibodies/goat-mouse-igg-h-l-irdye-680rd-preadsorbed-ab216776'>ab216776</a>) at 1/10000 dilution

Predicted band size: 85 kDa

Observed band size: 95 kDa

false

Western blot - Anti-beta Catenin non-phospho S37/T41 antibody [EPR23969-131] (AB246504)
  • WB

Lab

Western blot - Anti-beta Catenin non-phospho S37/T41 antibody [EPR23969-131] (AB246504)

Blocking and diluting buffer and concentration : 5% NFDM/TBST

An extra band around 45 kDa was observed.

Exposure time : 3 minutes

All lanes:

Western blot - Anti-beta Catenin non-phospho S37/T41 antibody [EPR23969-131] (ab246504) at 1/1000 dilution

Lane 1:

NIH/3T3 (mouse embryonic fibroblast) whole cell lysate at 20 µg

Lane 2:

PC-12 (rat adrenal gland pheochromocytoma ) whole cell lysate at 20 µg

Secondary

All lanes:

Western blot - Goat Anti-Rabbit IgG H&L (HRP) (<a href='/products/secondary-antibodies/goat-rabbit-igg-h-l-hrp-ab97051'>ab97051</a>) at 1/100000 dilution

Predicted band size: 85 kDa

Observed band size: 95 kDa

false

Exposure time: 3min

Dot Blot - Anti-beta Catenin non-phospho S37/T41 antibody [EPR23969-131] (AB246504)
  • Dot

Supplier Data

Dot Blot - Anti-beta Catenin non-phospho S37/T41 antibody [EPR23969-131] (AB246504)

Dot blot analysis of beta Catenin (non-phospho S37/T41) using ab246504 at 1 : 1000 (0.541 ug/ml) followed by a Goat Anti-Rabbit IgG, (H+L), Peroxidase conjugated (ab97051) at 1 : 100,000 dilution.

Lane 1 : beta Catenin non-phospho-Ser33/Ser37/Thr41 peptide (aa 29-44)
Lane 2 : beta Catenin non-phospho-Ser33/Ser37/Thr41 peptide (aa 31-47)
Lane 3 : beta Catenin phospho-Ser33 non-phospho-Ser37/Thr41 peptide (aa 29-44)
Lane 4 : beta Catenin phospho-Ser37 non-phospho-Ser33/Thr41peptide (aa 29-44)
Lane 5 : beta Catenin phospho-Thr41 non-phospho-Ser33/Ser37 peptide (aa 29-47)
Lane 6 : beta Catenin phospho-Ser33/Ser37 non-phospho-Thr41 peptide (aa 29-47)
Lane 7 : beta Catenin phospho-Ser33/Thr41 non-phospho-Ser37 peptide (aa 29-47)
Lane 8 : beta Catenin phospho-Ser37/Thr41non-phospho-Ser33 peptide (aa 29-47)
Lane 9 : beta Catenin phospho-Ser33/Ser37/Thr41peptide (aa 29-47)

Exposure time : 81 seconds

Blocking and diluting buffer and concentration : 5% NFDM/TBST

関連する標識済み抗体及び組成の異なる製品 (8)

  • Carrier free

    Anti-beta Catenin non-phospho S37/T41 antibody [EPR23969-131] - BSA and Azide free

  • 617 Alexa Fluor® 594

    Alexa Fluor® 594 Anti-beta Catenin non-phospho S37/T41 antibody [EPR23969-131]

  • 565 Alexa Fluor® 555

    Alexa Fluor® 555 Anti-beta Catenin non-phospho S37/T41 antibody [EPR23969-131]

  • 665 Alexa Fluor® 647

    Alexa Fluor® 647 Anti-beta Catenin non-phospho S37/T41 antibody [EPR23969-131]

  • 660 APC

    APC Anti-beta Catenin non-phospho S37/T41 antibody [EPR23969-131]

  • 519 Alexa Fluor® 488

    Alexa Fluor® 488 Anti-beta Catenin non-phospho S37/T41 antibody [EPR23969-131]

  • 578 PE

    PE Anti-beta Catenin non-phospho S37/T41 antibody [EPR23969-131]

  • 775 Alexa Fluor® 750

    Alexa Fluor® 750 Anti-beta Catenin non-phospho(active) S37/T41 antibody [EPR23969-131]

Key facts

宿主種

Rabbit

クローン性

Monoclonal

クローン番号

EPR23969-131

アイソタイプ

IgG

キャリアフリー

No

交差種

Mouse, Rat, Human

アプリケーション

Dot, IP, WB, ICC/IF, IHC-P

applications

免疫原

The exact immunogen used to generate this antibody is proprietary information.

Reactivity data

{ "title": "Reactivity Data", "filters": { "stats": ["", "Species", "Dilution Info", "Notes"], "tabs": { "all-applications": {"fullname" : "All Applications", "shortname": "All Applications"}, "IHCP" : {"fullname" : "Immunohistochemistry (Formalin/PFA-fixed paraffin-embedded sections)", "shortname":"IHC-P"}, "ICCIF" : {"fullname" : "Immunocytochemistry/ Immunofluorescence", "shortname":"ICC/IF"}, "IP" : {"fullname" : "Immunoprecipitation", "shortname":"IP"}, "ChIP" : {"fullname" : "ChIP", "shortname":"ChIP"}, "Dot" : {"fullname" : "Dot Blot", "shortname":"Dot"}, "WB" : {"fullname" : "Western blot", "shortname":"WB"}, "IHCFr" : {"fullname" : "Immunohistochemistry (Frozen sections)", "shortname":"IHC-Fr"}, "FlowCytIntra" : {"fullname" : "Flow Cytometry (Intracellular)", "shortname":"Flow Cyt (Intra)"} }, "product-promise": { "all": "all", "testedAndGuaranteed": "tested", "guaranteed": "expected", "predicted": "predicted", "notRecommended": "not-recommended" } }, "values": { "Human": { "IHCP-species-checked": "testedAndGuaranteed", "IHCP-species-dilution-info": "1/2000", "IHCP-species-notes": "<p></p>", "ICCIF-species-checked": "testedAndGuaranteed", "ICCIF-species-dilution-info": "1/100", "ICCIF-species-notes": "<p></p>", "IP-species-checked": "testedAndGuaranteed", "IP-species-dilution-info": "1/30", "IP-species-notes": "<p></p>", "ChIP-species-checked": "notRecommended", "ChIP-species-dilution-info": "", "ChIP-species-notes": "<p></p>", "Dot-species-checked": "guaranteed", "Dot-species-dilution-info": "", "Dot-species-notes": "", "WB-species-checked": "guaranteed", "WB-species-dilution-info": "", "WB-species-notes": "", "IHCFr-species-checked": "notRecommended", "IHCFr-species-dilution-info": "", "IHCFr-species-notes": "<p></p>", "FlowCytIntra-species-checked": "notRecommended", "FlowCytIntra-species-dilution-info": "", "FlowCytIntra-species-notes": "<p></p>" }, "Mouse": { "IHCP-species-checked": "testedAndGuaranteed", "IHCP-species-dilution-info": "1/2000", "IHCP-species-notes": "<p></p>", "ICCIF-species-checked": "testedAndGuaranteed", "ICCIF-species-dilution-info": "1/100", "ICCIF-species-notes": "<p></p>", "IP-species-checked": "guaranteed", "IP-species-dilution-info": "", "IP-species-notes": "", "ChIP-species-checked": "notRecommended", "ChIP-species-dilution-info": "", "ChIP-species-notes": "<p></p>", "Dot-species-checked": "guaranteed", "Dot-species-dilution-info": "", "Dot-species-notes": "", "WB-species-checked": "testedAndGuaranteed", "WB-species-dilution-info": "1/1000", "WB-species-notes": "<p></p>", "IHCFr-species-checked": "notRecommended", "IHCFr-species-dilution-info": "", "IHCFr-species-notes": "<p></p>", "FlowCytIntra-species-checked": "notRecommended", "FlowCytIntra-species-dilution-info": "", "FlowCytIntra-species-notes": "<p></p>" }, "Rat": { "IHCP-species-checked": "testedAndGuaranteed", "IHCP-species-dilution-info": "1/2000", "IHCP-species-notes": "<p></p>", "ICCIF-species-checked": "notRecommended", "ICCIF-species-dilution-info": "1/100", "ICCIF-species-notes": "<p></p>", "IP-species-checked": "guaranteed", "IP-species-dilution-info": "", "IP-species-notes": "", "ChIP-species-checked": "notRecommended", "ChIP-species-dilution-info": "", "ChIP-species-notes": "<p></p>", "Dot-species-checked": "guaranteed", "Dot-species-dilution-info": "", "Dot-species-notes": "", "WB-species-checked": "testedAndGuaranteed", "WB-species-dilution-info": "1/1000", "WB-species-notes": "<p></p>", "IHCFr-species-checked": "notRecommended", "IHCFr-species-dilution-info": "", "IHCFr-species-notes": "<p></p>", "FlowCytIntra-species-checked": "notRecommended", "FlowCytIntra-species-dilution-info": "", "FlowCytIntra-species-notes": "<p></p>" }, "Synthetic peptide - Human": { "IHCP-species-checked": "notRecommended", "IHCP-species-dilution-info": "", "IHCP-species-notes": "", "ICCIF-species-checked": "notRecommended", "ICCIF-species-dilution-info": "", "ICCIF-species-notes": "", "IP-species-checked": "notRecommended", "IP-species-dilution-info": "", "IP-species-notes": "", "ChIP-species-checked": "notRecommended", "ChIP-species-dilution-info": "", "ChIP-species-notes": "", "Dot-species-checked": "testedAndGuaranteed", "Dot-species-dilution-info": "1/1000", "Dot-species-notes": "<p></p>", "WB-species-checked": "notRecommended", "WB-species-dilution-info": "", "WB-species-notes": "", "IHCFr-species-checked": "notRecommended", "IHCFr-species-dilution-info": "", "IHCFr-species-notes": "", "FlowCytIntra-species-checked": "notRecommended", "FlowCytIntra-species-dilution-info": "", "FlowCytIntra-species-notes": "" } } }

製品の詳細

What is this antibody validated in?
Anti-beta Catenin non-phospho S37/T41 antibody [EPR23969-131] (ab246504) is a rabbit recombinant monoclonal antibody and is validated for use in Western Blot (WB), Immunoprecipitation (IP), Immunohistochemistry (IHC-P), Immunocytochemistry/immunofluorescence (ICC/IF), Dot Blot in Human, Mouse, Rat samples.

What is the molecular weight of beta Catenin non-phospho S37/T41?
Anti-beta Catenin non-phospho S37/T41 [EPR23969-131] (ab246504) specifically detects a band for beta Catenin non-phospho S37/T41 (UniProt: P35222) at a molecular weight of 85kDa.

Trial sizes available!
Test your antibody or perform pre-screening before committing to a larger quantity. Sold in 10µl. Discover our selection of trial-size antibodies.

Specificity confirmed
The specificity of Anti-beta Catenin non-phospho S37/T41 antibody [EPR23969-131] (ab246504) has been confirmed by Western blot testing in CTNNB1 Knockout HeLa cells.

Other related products
We have a range of other formats of antibody clone [EPR23969-131] also available for your convenience: ab246504, Carrier free - ab278503, PE - ab317890, APC - ab317927, Alexa Fluor® 488 - ab317967, Alexa Fluor® 594 - ab318008, Alexa Fluor® 555 - ab318050, Alexa Fluor® 647 - ab318092, Alexa Fluor® 750 - ab321493

Patented technology
Our RabMAb® technology is a patented hybridoma-based technology for making rabbit monoclonal antibodies. For details on our patents, please refer to RabMAb® patents.

What are the advantages of a recombinant monoclonal antibody?
This product is a recombinant monoclonal antibody, which offers several advantages including:

  • - High batch-to-batch consistency and reproducibility
  • - Improved sensitivity and specificity
  • - Long-term security of supply
  • - Animal-free batch production

For more information, read more on recombinant antibodies.

出荷温度及び保存条件

製品の状態
Liquid
精製方法
Affinity purification Protein A
バッファー組成
Preservative: 0.01% Sodium azide Constituents: PBS, 40% Glycerol (glycerin, glycerine), 0.05% BSA
出荷温度
Blue Ice
短期保存期間
1-2 weeks
短期保存温度
+4°C
長期保存温度
-20°C
分注に関する情報
Upon delivery aliquot
保管に関する情報
Avoid freeze / thaw cycle

補足情報

This supplementary information is collated from multiple sources and compiled automatically.

Beta-catenin non-phospho S37/T41 also known as unphosphorylated beta-catenin is an important form of the beta-catenin protein. The mass of beta-catenin is approximately 88 kDa. This protein plays an active role in cell signaling and adhesion mechanics. It is expressed throughout various tissues particularly abundant in epithelial cells. The non-phospho form of beta-catenin in particular escapes degradation allowing it to accumulate and translocate into the nucleus where it influences gene transcription.
Biological function summary

Beta-catenin non-phospho S37/T41 affects cellular behavior by modulating gene expression. It acts as a core component of the Wnt signaling pathway particularly in the regulation of gene transcription. In this pathway beta-catenin associates with transcription factors such as TCF/LEF to regulate target gene expression involved in processes like cell proliferation and differentiation. Unphosphorylated beta-catenin binds with protein complexes that regulate adhesion to ensure proper communication between cells.

Pathways

Beta-catenin non-phospho S37/T41 plays a pivotal role in the Wnt pathway a critical regulator of cell fate decisions. Within this context beta-catenin's stabilization and nuclear activity are vital for the pathway's transcriptional output. It works closely with proteins like APC (adenomatous polyposis coli) and Axin which act as regulators of its phosphorylation. Additionally beta-catenin interacts with E-cadherin at the cell membrane within the adherens junctions contributing to cell-cell adhesion processes.

Beta-catenin non-phospho S37/T41 has significant implications in oncology and degenerative diseases. Its dysregulation is often observed in cancers where the aberrant accumulation leads to unchecked cell proliferation. Mutations or alterations in the related protein APC can lead to colorectal cancer as it fails to regulate beta-catenin effectively. Further alterations in the Wnt/beta-catenin pathway have also been linked to degenerative conditions indicating the broad impact of this target in pathological states.

製品プロトコール

For this product, it's our understanding that no specific protocols are required. You can visit:

ターゲットの情報

Key downstream component of the canonical Wnt signaling pathway (PubMed : 17524503, PubMed : 18077326, PubMed : 18086858, PubMed : 18957423, PubMed : 21262353, PubMed : 22155184, PubMed : 22647378, PubMed : 22699938). In the absence of Wnt, forms a complex with AXIN1, AXIN2, APC, CSNK1A1 and GSK3B that promotes phosphorylation on N-terminal Ser and Thr residues and ubiquitination of CTNNB1 via BTRC and its subsequent degradation by the proteasome (PubMed : 17524503, PubMed : 18077326, PubMed : 18086858, PubMed : 18957423, PubMed : 21262353, PubMed : 22155184, PubMed : 22647378, PubMed : 22699938). In the presence of Wnt ligand, CTNNB1 is not ubiquitinated and accumulates in the nucleus, where it acts as a coactivator for transcription factors of the TCF/LEF family, leading to activate Wnt responsive genes (PubMed : 17524503, PubMed : 18077326, PubMed : 18086858, PubMed : 18957423, PubMed : 21262353, PubMed : 22155184, PubMed : 22647378, PubMed : 22699938). Involved in the regulation of cell adhesion, as component of an E-cadherin : catenin adhesion complex (By similarity). Acts as a negative regulator of centrosome cohesion (PubMed : 18086858). Involved in the CDK2/PTPN6/CTNNB1/CEACAM1 pathway of insulin internalization (PubMed : 21262353). Blocks anoikis of malignant kidney and intestinal epithelial cells and promotes their anchorage-independent growth by down-regulating DAPK2 (PubMed : 18957423). Disrupts PML function and PML-NB formation by inhibiting RANBP2-mediated sumoylation of PML (PubMed : 22155184). Promotes neurogenesis by maintaining sympathetic neuroblasts within the cell cycle (By similarity). Involved in chondrocyte differentiation via interaction with SOX9 : SOX9-binding competes with the binding sites of TCF/LEF within CTNNB1, thereby inhibiting the Wnt signaling (By similarity). Acts as a positive regulator of odontoblast differentiation during mesenchymal tooth germ formation, via promoting the transcription of differentiation factors such as LEF1, BMP2 and BMP4 (By similarity). Activity is repressed in a MSX1-mediated manner at the bell stage of mesenchymal tooth germ formation which prevents premature differentiation of odontoblasts (By similarity).
See full target information CTNNB1

文献 (20)

Recent publications for all applications. Explore the full list and refine your search

Diabetology & metabolic syndrome 17:378 PubMed41044791

2025

Electroacupuncture ameliorates cognitive dysfunction in T2DM rats by modulating astrocytic polarization and aberrant energy metabolism in the hippocampus via the Wnt/β-catenin pathway.

Applications

Unspecified application

Species

Unspecified reactive species

Xiaolu Li,Rui Li,Jiayi Lin,Xiaoli Wu

European journal of histochemistry : EJH 69: PubMed40984791

2025

Expression of nestin, parvalbumin and otoferlin during cochlear development in the mouse: an immunofluorescence study.

Applications

Unspecified application

Species

Unspecified reactive species

Wenjing Liu,Yongchun Zhang,Cheng Liang,Shujuan Yang

Scientific reports 15:9656 PubMed40113869

2025

PNO1 enhances ovarian cancer cell growth, invasion, and stemness via activating the AKT/Wnt/β-catenin pathway.

Applications

Unspecified application

Species

Unspecified reactive species

Lu Qin,Jiao Lu,Qiaohong Qian,Minjie Tang,Min Liu

Histology and histopathology 40:1275-1285 PubMed39679449

2024

Tumor necrosis factor receptor-associated protein 1 promotes aerobic glycolysis and cisplatin resistance by regulating the Wnt/β-catenin signaling pathway in lung cancer.

Applications

Unspecified application

Species

Unspecified reactive species

Ruijie Li,Mengguo Lv,Juan Liu,Qian Sun

iScience 27:111064 PubMed39635125

2024

Complement C3 promotes islet β-cell dedifferentiation by activating Wnt/β-catenin pathway.

Applications

Unspecified application

Species

Unspecified reactive species

Lei Zhuang,Qi Li,Wenjun You,Shengke Wen,Tianxing Chen,Jianbin Su,Wei Zhao,Ji Hu

Translational cancer research 13:2437-2450 PubMed38881929

2024

Up-regulation of NCAPG mediated by E2F1 facilitates the progression of osteosarcoma through the Wnt/β-catenin signaling pathway.

Applications

Unspecified application

Species

Unspecified reactive species

Gan Luo,Haiyang Cheng,Jigeng Fan,Tianwei Sun

Molecular medicine reports 29: PubMed38426532

2024

SFRP2 suppresses trophoblast cell migration by inhibiting the Wnt/β‑catenin pathway.

Applications

Unspecified application

Species

Unspecified reactive species

Ruihong Lan,Yihong Yu,Jie Song,Mengdi Xue,Humin Gong

Stem cell research & therapy 14:241 PubMed37679791

2023

Patient-specific iPSC-derived cardiomyocytes reveal aberrant activation of Wnt/β-catenin signaling in SCN5A-related Brugada syndrome.

Applications

Unspecified application

Species

Unspecified reactive species

Dongsheng Cai,Xiaochen Wang,Yaxun Sun,Hangping Fan,Jingjun Zhou,Zongkuai Yang,Hangyuan Qiu,Jue Wang,Jun Su,Tingyu Gong,Chenyang Jiang,Ping Liang

Stem cells international 2023:5563568 PubMed37533592

2023

The mA Reader YTHDF1 Accelerates the Osteogenesis of Bone Marrow Mesenchymal Stem Cells Partly via Activation of the Autophagy Signaling Pathway.

Applications

Unspecified application

Species

Unspecified reactive species

Xiang Gao,Jian Wang,Yibo Wang,Weixu Li,Zhijun Pan

Frontiers in pharmacology 14:1200058 PubMed37292149

2023

Qi-Dong-Huo-Xue-Yin balances the immune microenvironment to protect against LPS induced acute lung injury.

Applications

Unspecified application

Species

Unspecified reactive species

Tian Zhao,Le Wang,Yongjun Zhang,Wu Ye,Juan Liu,Haiyan Wu,Fei Wang,Tingyu Tang,Zhijun Li
View all publications

Abcam product promise

当社は、高品質な試薬を通じてお客様の研究を力強くサポートすることをお約束いたします。ご使用いただく各段階で、常にお客様をサポートできる体制を整えております。万が一、製品が期待通りに機能しない場合は、「Abcam Product Promise」による当社保証制度に基づき、安心してご利用いただけます。
保証に関する詳細については利用規約をご確認ください。

Please note: All products are 'FOR RESEARCH USE ONLY. NOT FOR USE IN DIAGNOSTIC OR THERAPEUTIC PROCEDURES'.

For licensing inquiries, please contact partnerships@abcam.com