JavaScript is disabled in your browser. Please enable JavaScript to view this website.
AB2365

Anti-beta Catenin 抗体

Anti-beta Catenin antibody

4

(8 Reviews)

|

(73 Publications)

Rabbit Polyclonal beta Catenin antibody. Suitable for IHC-P, IP, WB and reacts with Human samples. Cited in 73 publications.

別名を表示する

CTNNB, OK/SW-cl.35, PRO2286, CTNNB1, Catenin beta-1, Beta-catenin

3 Images
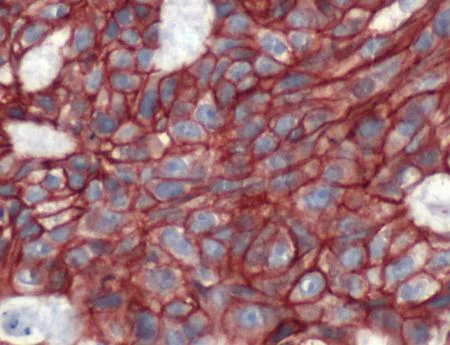
Immunohistochemistry (Formalin/PFA-fixed paraffin-embedded sections) - Anti-beta Catenin antibody (AB2365)
  • IHC-P

Supplier Data

Immunohistochemistry (Formalin/PFA-fixed paraffin-embedded sections) - Anti-beta Catenin antibody (AB2365)

Formalin-fixed, paraffin-embedded human breast carcinoma tissue stained for beta Catenin using ab2365 at 1/250 dilution in immunohistochemical analysis.

Immunoprecipitation - Anti-beta Catenin antibody (AB2365)
  • IP

Unknown

Immunoprecipitation - Anti-beta Catenin antibody (AB2365)

Beta Catenin was immunoprecipitated using 0.5mg A431 whole cell extract, 5μg of Rabbit polyclonal to beta Catenin and 50μl of protein G magnetic beads (+). No antibody was added to the control (-).
The antibody was incubated under agitation with Protein G beads for 10min, A431 whole cell extract lysate diluted in RIPA buffer was added to each sample and incubated for a further 10min under agitation.
Proteins were eluted by addition of 40μl SDS loading buffer and incubated for 10min at 70°C; 10μl of each sample was separated on a SDS PAGE gel, transferred to a nitrocellulose membrane, blocked with 5% BSA and probed with ab2365.
Secondary : Mouse monoclonal [SB62a] Secondary Antibody to Rabbit IgG light chain (HRP) (ab99697).

All lanes:

Immunoprecipitation - Anti-beta Catenin antibody (ab2365)

Predicted band size: 85 kDa

Observed band size: 85 kDa

false

Western blot - Anti-beta Catenin antibody (AB2365)
  • WB

Unknown

Western blot - Anti-beta Catenin antibody (AB2365)

Lane 1:

Western blot - Anti-beta Catenin antibody (ab2365) at 1/25 dilution

Lane 1:

Western blot - Anti-beta Catenin antibody, prediluted (<a href='/products/primary-antibodies/beta-catenin-antibody-prediluted-ab15180'>ab15180</a>) at 1/25 dilution

All lanes:

A431 cell lysate

Predicted band size: 85 kDa

Observed band size: 92 kDa

false

Key facts

宿主種

Rabbit

クローン性

Polyclonal

アイソタイプ

IgG

キャリアフリー

No

交差種

Human

アプリケーション

IHC-P, IP, WB

applications

免疫原

The exact immunogen used to generate this antibody is proprietary information.

Reactivity data

{ "title": "Reactivity Data", "filters": { "stats": ["", "Species", "Dilution Info", "Notes"], "tabs": { "all-applications": {"fullname" : "All Applications", "shortname": "All Applications"}, "IHCP" : {"fullname" : "Immunohistochemistry (Formalin/PFA-fixed paraffin-embedded sections)", "shortname":"IHC-P"}, "IP" : {"fullname" : "Immunoprecipitation", "shortname":"IP"}, "WB" : {"fullname" : "Western blot", "shortname":"WB"} }, "product-promise": { "all": "all", "testedAndGuaranteed": "tested", "guaranteed": "expected", "predicted": "predicted", "notRecommended": "not-recommended" } }, "values": { "Human": { "IHCP-species-checked": "testedAndGuaranteed", "IHCP-species-dilution-info": "1/250", "IHCP-species-notes": "<p>Incubate with primary antibody for 10 minutes at room temperature.</p> Perform heat-mediated antigen retrieval with citrate buffer pH 6 before commencing with IHC staining protocol.", "IP-species-checked": "testedAndGuaranteed", "IP-species-dilution-info": "5 µg/mL", "IP-species-notes": "<p></p>", "WB-species-checked": "testedAndGuaranteed", "WB-species-dilution-info": "", "WB-species-notes": "<p></p>" }, "Mouse": { "IHCP-species-checked": "predicted", "IHCP-species-dilution-info": "", "IHCP-species-notes": "", "IP-species-checked": "predicted", "IP-species-dilution-info": "", "IP-species-notes": "", "WB-species-checked": "predicted", "WB-species-dilution-info": "", "WB-species-notes": "" }, "Rat": { "IHCP-species-checked": "predicted", "IHCP-species-dilution-info": "", "IHCP-species-notes": "", "IP-species-checked": "predicted", "IP-species-dilution-info": "", "IP-species-notes": "", "WB-species-checked": "predicted", "WB-species-dilution-info": "", "WB-species-notes": "" }, "Chicken": { "IHCP-species-checked": "predicted", "IHCP-species-dilution-info": "", "IHCP-species-notes": "", "IP-species-checked": "predicted", "IP-species-dilution-info": "", "IP-species-notes": "", "WB-species-checked": "predicted", "WB-species-dilution-info": "", "WB-species-notes": "" }, "Xenopus laevis": { "IHCP-species-checked": "predicted", "IHCP-species-dilution-info": "", "IHCP-species-notes": "", "IP-species-checked": "predicted", "IP-species-dilution-info": "", "IP-species-notes": "", "WB-species-checked": "predicted", "WB-species-dilution-info": "", "WB-species-notes": "" } } }

出荷温度及び保存条件

製品の状態
Liquid
精製方法
Affinity purification Immunogen
バッファー組成
pH: 7.6 Preservative: 0.1% Sodium azide Constituents: PBS, 1% BSA
出荷温度
Blue Ice
短期保存期間
1-2 weeks
短期保存温度
+4°C
長期保存温度
-20°C
分注に関する情報
Upon delivery aliquot
保管に関する情報
Avoid freeze / thaw cycle

補足情報

This supplementary information is collated from multiple sources and compiled automatically.

Beta Catenin also known by names such as CTNNB1 or beta-chip is an important protein involved in cell signaling and adhesion. This protein has a molecular weight of around 88 kDa. Beta Catenin is expressed in many cell types and tissues indicating its widespread role in various biological processes. It functions mechanically by mediating the linkage between cadherins and the actin cytoskeleton facilitating cell-cell adhesion. Beta Catenin is also a central part of transcription regulation processes in the nucleus.
Biological function summary

This protein plays roles in both cell adhesion and the regulation of gene expression. Beta Catenin is a critical component of the Wnt signaling pathway where it can form complexes with other proteins to influence gene transcription. In the absence of Wnt signaling beta Catenin levels are low due to its degradation. However when the pathway is active it accumulates in the cytoplasm and eventually translocates to the nucleus where it interacts with TCF/LEF transcription factors to regulate the expression of target genes.

Pathways

Beta Catenin plays a central role in the Wnt signaling pathway and influences cell fate decisions and cellular proliferation. It acts in concert with proteins such as Dishevelled (DVL) and Axin to coordinate these important biological processes. In the absence of Wnt signaling proteins such as APC and GSK-3β are responsible for beta Catenin degradation keeping its cellular levels in check. Beta Catenin’s interaction with transcription factors in the nucleus makes it pivotal in the regulation of cell and tissue homeostasis.

Beta Catenin has associations with colorectal cancer and hepatocellular carcinoma. Its dysregulation can lead to unchecked cell proliferation and tumorigenesis. Often mutations in the beta Catenin gene (CTNNB1) or components of the Wnt pathway like APC are implicated in the development of these cancers. Its interplay with E-cadherin is important for maintaining tissue architecture and disruptions can lead to invasive cancer phenotypes. Understanding beta Catenin’s role provides insights into therapeutic strategies for these cancers.

製品プロトコール

For this product, it's our understanding that no specific protocols are required. You can visit:

ターゲットの情報

Key downstream component of the canonical Wnt signaling pathway (PubMed : 17524503, PubMed : 18077326, PubMed : 18086858, PubMed : 18957423, PubMed : 21262353, PubMed : 22155184, PubMed : 22647378, PubMed : 22699938). In the absence of Wnt, forms a complex with AXIN1, AXIN2, APC, CSNK1A1 and GSK3B that promotes phosphorylation on N-terminal Ser and Thr residues and ubiquitination of CTNNB1 via BTRC and its subsequent degradation by the proteasome (PubMed : 17524503, PubMed : 18077326, PubMed : 18086858, PubMed : 18957423, PubMed : 21262353, PubMed : 22155184, PubMed : 22647378, PubMed : 22699938). In the presence of Wnt ligand, CTNNB1 is not ubiquitinated and accumulates in the nucleus, where it acts as a coactivator for transcription factors of the TCF/LEF family, leading to activate Wnt responsive genes (PubMed : 17524503, PubMed : 18077326, PubMed : 18086858, PubMed : 18957423, PubMed : 21262353, PubMed : 22155184, PubMed : 22647378, PubMed : 22699938). Involved in the regulation of cell adhesion, as component of an E-cadherin : catenin adhesion complex (By similarity). Acts as a negative regulator of centrosome cohesion (PubMed : 18086858). Involved in the CDK2/PTPN6/CTNNB1/CEACAM1 pathway of insulin internalization (PubMed : 21262353). Blocks anoikis of malignant kidney and intestinal epithelial cells and promotes their anchorage-independent growth by down-regulating DAPK2 (PubMed : 18957423). Disrupts PML function and PML-NB formation by inhibiting RANBP2-mediated sumoylation of PML (PubMed : 22155184). Promotes neurogenesis by maintaining sympathetic neuroblasts within the cell cycle (By similarity). Involved in chondrocyte differentiation via interaction with SOX9 : SOX9-binding competes with the binding sites of TCF/LEF within CTNNB1, thereby inhibiting the Wnt signaling (By similarity). Acts as a positive regulator of odontoblast differentiation during mesenchymal tooth germ formation, via promoting the transcription of differentiation factors such as LEF1, BMP2 and BMP4 (By similarity). Activity is repressed in a MSX1-mediated manner at the bell stage of mesenchymal tooth germ formation which prevents premature differentiation of odontoblasts (By similarity).
See full target information CTNNB1

文献 (73)

Recent publications for all applications. Explore the full list and refine your search

Haematologica : PubMed41035400

2025

NFATc1 and NFATc2 regulate glucocorticoid resistance in pediatric T-cell acute lymphoblastic leukemia through modulation of cholesterol biosynthesis and the WNT/β-catenin pathway.

Applications

Unspecified application

Species

Unspecified reactive species

Giulia Veltri,Alberto Peloso,Alice Cani,Elena Mariotto,Diana Corallo,Sanja Aveic,Loris Russo,Matilde Cescon,Giulia Santinon,Chiara Frasson,Katharina Simon,Alberto Arrighi,Egidio Iorio,Sonia Anna Minuzzo,Stefano Indraccolo,Sandra Marmiroli,Panagiotis Ntziachristos,Alessandra Biffi,Martina Pigazzi,Barbara Buldini,Silvia Bresolin,Valentina Serafin

Nature communications 16:5334 PubMed40562771

2025

AAV-based delivery of RNAi targeting ataxin-2 improves survival and pathology in TDP-43 mice.

Applications

Unspecified application

Species

Unspecified reactive species

Defne A Amado,Ashley B Robbins,Katherine R Whiteman,Alicia R Smith,Guillem Chillon,Yonghong Chen,Joshua A Fuller,Nicholas A Patty,Aleksandar Izda,Congsheng Cheng,Shareen Nelson,Abigail I Dichter,Esteban O Mazzoni,Alex Mas Monteys,Beverly L Davidson

Scientific reports 15:9339 PubMed40102553

2025

MT1H inhibits the growth of gastric cancer by regulating SLC6A19/TTC39B/ADM2 and activating p53-dependent autophagy.

Applications

Unspecified application

Species

Unspecified reactive species

Yamin Xing,Guangyuan Li,Ganggang Li,Jixuan Xu,Ting Zhang,Mengxue Li,Chunxiao Gao,Miaoran Fu,Pengyuan Zheng,Xiufeng Chu

Nature communications 15:5608 PubMed38969637

2024

Alternative molecular mechanisms for force transmission at adherens junctions via β-catenin-vinculin interaction.

Applications

Unspecified application

Species

Unspecified reactive species

Nicole Morales-Camilo,Jingzhun Liu,Manuel J Ramírez,Patricio Canales-Salgado,Juan José Alegría,Xuyao Liu,Hui Ting Ong,Nelson P Barrera,Angélica Fierro,Yusuke Toyama,Benjamin T Goult,Yilin Wang,Yue Meng,Ryosuke Nishimura,Kedsarin Fong-Ngern,Christine Siok Lan Low,Pakorn Kanchanawong,Jie Yan,Andrea Ravasio,Cristina Bertocchi

World journal of clinical oncology 15:755-764 PubMed38946832

2024

Tankyrase 2 promotes lung cancer cell malignancy.

Applications

Unspecified application

Species

Unspecified reactive species

Ying Wang,Yong-Jun Zhang

Materials today. Bio 23:100844 PubMed38033367

2023

An model system based on calcium- and phosphate ion-induced hMSC spheroid mineralization.

Applications

Unspecified application

Species

Unspecified reactive species

Steven Vermeulen,Kèvin Knoops,Hans Duimel,Maryam Parvizifard,Denis van Beurden,Carmen López-Iglesias,Stefan Giselbrecht,Roman Truckenmüller,Pamela Habibović,Zeinab Tahmasebi Birgani

Biomaterials advances 153:213564 PubMed37482042

2023

The shape of our gut: Dissecting its impact on drug absorption in a 3D bioprinted intestinal model.

Applications

Unspecified application

Species

Unspecified reactive species

Maria Helena Macedo,Núria Torras,María García-Díaz,Cristina Barrias,Bruno Sarmento,Elena Martínez

Plants (Basel, Switzerland) 12: PubMed37375942

2023

Chemopreventive Effect of Cooked Chickpea on Colon Carcinogenesis Evolution in AOM/DSS-Induced Balb/c Mice.

Applications

Unspecified application

Species

Unspecified reactive species

María Stephanie Cid-Gallegos,Cristian Jiménez-Martínez,Xariss M Sánchez-Chino,Eduardo Madrigal-Bujaidar,Verónica R Vásquez-Garzón,Rafael Baltiérrez-Hoyos,Isela Álvarez-González

Viruses 15: PubMed36992411

2023

Quantitative Proteomics for the Identification of Differentially Expressed Proteins in the Extracellular Vesicles of Cervical Cancer Cells.

Applications

Unspecified application

Species

Unspecified reactive species

Víctor Acevedo-Sánchez,Roy S Martínez-Ruiz,Sergio R Aguilar-Ruíz,Honorio Torres-Aguilar,Pedro Chávez-Olmos,Efraín Garrido,Rafael Baltiérrez-Hoyos,María de Los A Romero-Tlalolini

BMC cancer 22:1272 PubMed36474162

2022

TWIST1 activates cancer stem cell marker genes to promote epithelial-mesenchymal transition and tumorigenesis in esophageal squamous cell carcinoma.

Applications

Unspecified application

Species

Unspecified reactive species

Sima Ardalan Khales,Sina Mozaffari-Jovin,Dirk Geerts,Mohammad Reza Abbaszadegan
View all publications

Abcam product promise

当社は、高品質な試薬を通じてお客様の研究を力強くサポートすることをお約束いたします。ご使用いただく各段階で、常にお客様をサポートできる体制を整えております。万が一、製品が期待通りに機能しない場合は、「Abcam Product Promise」による当社保証制度に基づき、安心してご利用いただけます。
保証に関する詳細については利用規約をご確認ください。

Please note: All products are 'FOR RESEARCH USE ONLY. NOT FOR USE IN DIAGNOSTIC OR THERAPEUTIC PROCEDURES'.

For licensing inquiries, please contact partnerships@abcam.com