JavaScript is disabled in your browser. Please enable JavaScript to view this website.
AB207612

Anti-Beclin 1 抗体 [EPR19662]

Anti-Beclin 1 antibody [EPR19662]

5

(10 Reviews)

|

(429 Publications)

Anti-Beclin 1 antibody [EPR19662] (ab207612) is a rabbit monoclonal antibody detecting Beclin 1 in Western Blot, IP. Suitable for Human, Mouse, Rat.

- KO validated for confirmed specificity
- Biophysical QC for unrivalled batch-batch consistency
- Over 270 publications

別名を表示する

GT197, BECN1, Beclin-1, Coiled-coil myosin-like BCL2-interacting protein, Protein GT197

11 Images
Immunoprecipitation - Anti-Beclin 1 antibody [EPR19662] (AB207612)
  • IP

Supplier Data

Immunoprecipitation - Anti-Beclin 1 antibody [EPR19662] (AB207612)

Beclin 1 was immunoprecipitated from 0.35 mg of HeLa (Human epithelial cell line from cervix adenocarcinoma) whole cell lysate with ab207612 at 1/30 dilution.

Western blot was performed from the immunoprecipitate using ab207612 at 1/1000 dilution.

VeriBlot for IP Detection Reagent (HRP) (ab131366), was used for detection at 1/10000 dilution.

Lane 1 : HeLa whole cell lysate 10μg (Input).

Lane 2 : ab207612 IP in HeLa whole cell lysate.

Lane 3 : Rabbit monoclonal IgG (ab172730) instead of ab207612 in HeLa whole cell lysate.

Blocking and dilution buffer and concentration : 5% NFDM/TBST.

Exposure time : 30 seconds.

All lanes:

Immunoprecipitation - Anti-Beclin 1 antibody [EPR19662] (ab207612)

Predicted band size: 52 kDa

false

Immunoprecipitation - Anti-Beclin 1 antibody [EPR19662] (AB207612)
  • IP

Collaborator

Immunoprecipitation - Anti-Beclin 1 antibody [EPR19662] (AB207612)

Immunoprecipitation of BECN1 in HeLa cells. Lysates were prepared and immunoprecipitation was performed using 2 μg of ab207612 pre-coupled to Protein A beads. Samples were then washed and processed for western blot.

This data was provided by YCharOS Inc., an open science company with the mission of characterizing commercially available antibody reagents for all human proteins. Abcam and YCharOS are working together to help address the reproducibility crisis by enabling the life science community to better evaluate commercially available antibodies.

false

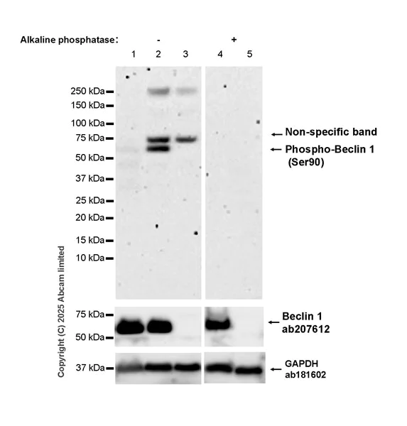
Western blot - Anti-Beclin 1 antibody [EPR19662] (AB207612)
  • WB

Supplier Data

Western blot - Anti-Beclin 1 antibody [EPR19662] (AB207612)

Blocking and diluting buffer and concentration : 5% NFDM/TBST.

In Western blot, ab325242 was shown to react with Beclin-1 (phospho S90) in wild-type HeLa serum starved overnight then treated with 100nM Calyculin A for 30 minutes lysate(lane2) with loss of signal observed in BECN1 knockout HeLa serum starved overnight then treated with 100nM Calyculin A for 30 minutes lysate(lane3).

The identity of the higher MW bands at approximately 70KDa and 250KDa are unknown.

In Western blot, Anti-GAPDH antibody [EPR16891] - Loading Control (ab181602) staining at 1/200000 dilution.

In Western blot, Anti-Beclin 1 antibody [EPR19662] (ab207612) staining at 1/1000 dilution.

All lanes:

Western blot - Anti-Beclin-1 (phospho S90) antibody [EPR26903-61R] (<a href='/products/primary-antibodies/beclin-1-phospho-s90-antibody-epr26903-61r-ab325242'>ab325242</a>) at 1/1000 dilution

Lane 1:

Wild-type HeLa (human cervical adenocarcinoma epithelial cell) whole cell lysate (untreated membrane) at 80 µg

Lane 2:

HeLa serum starved overnight then treated with 100nM Calyculin A for 30 minutes, whole cell lysate (untreated membrane) at 80 µg

Lane 3:

BECN1 knock-out HeLa serum starved overnight then treated with 100nM Calyculin A for 30 minutes, whole cell lysate (untreated membrane) at 80 µg

Lane 4:

HeLa serum starved overnight then treated with 100nM Calyculin A for 30 minutes, whole cell lysate (phosphatase treated membrane) at 80 µg

Lane 5:

BECN1 knock-out HeLa serum starved overnight then treated with 100nM Calyculin A for 30 minutes, whole cell lysate (phosphatase treated membrane) at 80 µg

Secondary

All lanes:

Western blot - Goat Anti-Rabbit IgG H&L (HRP) (<a href='/products/secondary-antibodies/goat-rabbit-igg-h-l-hrp-ab97051'>ab97051</a>) at 1/20000 dilution

Observed band size: 60 kDa,36 kDa,52 kDa

false

Exposure time: 180s

Western blot - Anti-Beclin 1 antibody [EPR19662] (AB207612)
  • WB

Supplier Data

Western blot - Anti-Beclin 1 antibody [EPR19662] (AB207612)

Blocking/Dilution buffer : 5% NFDM/TBST.

All lanes:

Western blot - Anti-Beclin 1 antibody [EPR19662] (ab207612) at 1/2000 dilution

Lane 1:

Human fetal brain lysate at 10 µg

Lane 2:

Human fetal heart lysate at 10 µg

Lane 3:

Human fetal kidney lysate at 10 µg

Secondary

All lanes:

Goat Anti-Rabbit IgG Peroxidase Conjugate, specific to the non-reduced form of IgG at 1/10000 dilution

Predicted band size: 52 kDa

Observed band size: 52 kDa

false

Exposure time: 30s

Western blot - Anti-Beclin 1 antibody [EPR19662] (AB207612)
  • WB

Supplier Data

Western blot - Anti-Beclin 1 antibody [EPR19662] (AB207612)

Blocking and diluting buffer and concentration : 5% NFDM/TBST.

The identity of the higher MW band at approximately 70KDa is unknown

In Western blot, Anti-GAPDH antibody [EPR16891] - Loading Control (ab181602) staining at 1/200000 dilution.

In Western blot, Anti-Beclin 1 antibody [EPR19662] (ab207612) staining at 1/1000 dilution.

All lanes:

Western blot - Anti-Beclin-1 (phospho S90) antibody [EPR26903-61R] (<a href='/products/primary-antibodies/beclin-1-phospho-s90-antibody-epr26903-61r-ab325242'>ab325242</a>) at 1/1000 dilution

Lane 1:

Untreated HEK-293 (human embryonic kidney epithelial cell) whole cell lysate at 80 µg

Lane 2:

HEK-293 treated with 100nM Calyculin A for 30 minutes whole cell lysate at 80 µg

Lane 3:

Untreated MCF7 (human breast adenocarcinoma epithelial cell) whole cell lysate at 80 µg

Lane 4:

MCF7 treated with 100nM Calyculin A for 30 minutes whole cell lysate at 80 µg

Secondary

All lanes:

Western blot - Goat Anti-Rabbit IgG H&L (HRP) (<a href='/products/secondary-antibodies/goat-rabbit-igg-h-l-hrp-ab97051'>ab97051</a>) at 1/20000 dilution

Observed band size: 60 kDa,36 kDa,52 kDa

false

Exposure time: 180s

Western blot - Anti-Beclin 1 antibody [EPR19662] (AB207612)
  • WB

Collaborator

Western blot - Anti-Beclin 1 antibody [EPR19662] (AB207612)

ab207612 was shown to react with BECN1 in wild-type HeLa cells in Western blot with loss of signal observed in BECN1 knockout cell line ab262511. Wild-type HeLa and BECN1 knockout cell lysates were subjected to SDS-PAGE. Membranes were blocked in 5% milk in TBST for 1 hr before incubation with ab207612 overnight at 4 °C at a 1/2000 dilution. Blots were incubated with secondary antibodies at 0.2 µg/mL before imaging.

This data was provided by YCharOS Inc., an open science company with the mission of characterizing commercially available antibody reagents for all human proteins. Abcam and YCharOS are working together to help address the reproducibility crisis by enabling the life science community to better evaluate commercially available antibodies.

All lanes:

Western blot - Anti-Beclin 1 antibody [EPR19662] (ab207612) at 1/2000 dilution

Lane 1:

Wild-type HeLa lysate at 30 µg

Lane 2:

BECN1 knock-out HeLa lysate at 30 µg

Lane 2:

Western blot - Human BECN1 (Beclin 1) knockout HeLa cell line (<a href='/products/cell-lines/human-becn1-beclin-1-knockout-hela-cell-line-ab262511'>ab262511</a>) at 30 µg

false

Western blot - Anti-Beclin 1 antibody [EPR19662] (AB207612)
  • WB

Lab

Western blot - Anti-Beclin 1 antibody [EPR19662] (AB207612)

Western blot : Anti-BECN1 antibody [EPR19662] (ab207612) staining at 1/2000 dilution, shown in green; Mouse anti-GAPDH antibody [6C5] (ab8245) loading control staining at 1/20000 dilution, shown in magenta. In Western blot, ab207612 was shown to bind specifically to BECN1. A band was observed at 57 kDa in wild-type HeLa cell lysates with no signal observed at this size in BECN1 knockout cell line. To generate this image, wild-type and BECN1 knockout HeLa cell lysates were analysed. First, samples were run on an SDS-PAGE gel then transferred onto a nitrocellulose membrane. Membranes were blocked in 3 % milk in TBS-0.1 % Tween® 20 (TBS-T) before incubation with primary antibodies overnight at 4 °C. Blots were washed four times in TBS-T, incubated with secondary antibodies for 1 h at room temperature, washed again four times then imaged. Secondary antibodies used were Goat anti-Rabbit IgG H&L 800CW and Goat anti-Mouse IgG H&L 680RD at 1/20000 dilution.

All lanes:

Western blot - Anti-Beclin 1 antibody [EPR19662] (ab207612) at 1/2000 dilution

Lane 1:

Wild-type HeLa cell lysate at 20 µg

Lane 2:

BECN1 knockout HeLa cell lysate at 20 µg

Lane 3:

Jurkat cell lysate at 20 µg

Lane 4:

HepG2 cell lysate at 20 µg

Secondary

All lanes:

Goat anti-Rabbit IgG H&L 800CW and Goat anti-Mouse IgG H&L 680RD at 1/20000 dilution

false

Western blot - Anti-Beclin 1 antibody [EPR19662] (AB207612)
  • WB

Supplier Data

Western blot - Anti-Beclin 1 antibody [EPR19662] (AB207612)

Blocking/Dilution buffer : 5% NFDM/TBST.

Exposure time : Lane 1-4 : 30 seconds; Lane 5 : 15 seconds; Lane 6 : 15 seconds.

All lanes:

Western blot - Anti-Beclin 1 antibody [EPR19662] (ab207612) at 1/5000 dilution

Lane 1:

HeLa (Human epithelial cell line from cervix adenocarcinoma) whole cell lysate at 10 µg

Lane 2:

HepG2 (Human liver hepatocellular carcinoma cell line) whole cell lysate at 10 µg

Lane 3:

HEK-293 (Human epithelial cell line from embryonic kidney) whole cell lysate at 10 µg

Lane 4:

MCF7 (Human breast adenocarcinoma cell line) whole cell lysate at 10 µg

Lane 5:

Jurkat (Human T cell leukemia cell line from peripheral blood) whole cell lysate at 10 µg

Lane 6:

Raji (Human Burkitt's lymphoma cell line) whole cell lysate at 10 µg

Secondary

All lanes:

Western blot - Goat Anti-Rabbit IgG H&L (HRP) (<a href='/products/secondary-antibodies/goat-rabbit-igg-h-l-hrp-ab97051'>ab97051</a>) at 1/100000 dilution

Predicted band size: 52 kDa

Observed band size: 52 kDa

false

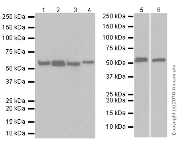
Western blot - Anti-Beclin 1 antibody [EPR19662] (AB207612)
  • WB

Supplier Data

Western blot - Anti-Beclin 1 antibody [EPR19662] (AB207612)

Blocking/Dilution buffer : 5% NFDM/TBST.

Exposure time : Lane 1/6 : 5 seconds; Lane 2/3 : 15 seconds; Lane 4 : 3 seconds; Lane 5 : 10 seconds.

All lanes:

Western blot - Anti-Beclin 1 antibody [EPR19662] (ab207612) at 1/2000 dilution

Lane 1:

Rat brain lysate at 10 µg

Lane 2:

Rat kidney lysate at 10 µg

Lane 3:

Rat spleen lysate at 10 µg

Lane 4:

Mouse brain lysate at 10 µg

Lane 5:

Mouse heart lysate at 10 µg

Lane 6:

Mouse spleen lysate at 10 µg

Secondary

All lanes:

Western blot - Goat Anti-Rabbit IgG H&L (HRP) (<a href='/products/secondary-antibodies/goat-rabbit-igg-h-l-hrp-ab97051'>ab97051</a>) at 1/100000 dilution

Predicted band size: 52 kDa

Observed band size: 52 kDa

false

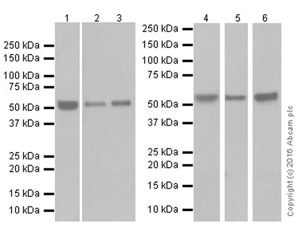
Western blot - Anti-Beclin 1 antibody [EPR19662] (AB207612)
  • WB

Supplier Data

Western blot - Anti-Beclin 1 antibody [EPR19662] (AB207612)

Blocking/Dilution buffer : 5% NFDM/TBST.

Exposure time : Lane 1-4 : 5 seconds; Lane 5 : 10 seconds; Lane 6 : 30 seconds.

Lanes 1 - 4:

Western blot - Anti-Beclin 1 antibody [EPR19662] (ab207612) at 1/2000 dilution

Lanes 5 - 6:

Western blot - Anti-Beclin 1 antibody [EPR19662] (ab207612) at 1/5000 dilution

Lane 1:

C6 (Rat glial tumor cell line) whole cell lysate at 10 µg

Lane 2:

RAW 264.7 (Mouse macrophage cell line transformed with Abelson murine leukemia virus) whole cell lysate at 10 µg

Lane 3:

PC-12 (Rat adrenal gland pheochromocytoma cell line) whole cell lysate at 10 µg

Lane 4:

NIH/3T3 (Mouse embryonic fibroblast cell line) whole cell lysate at 10 µg

Lane 5:

A20 (Mouse reticulum sarcoma cell line) whole cell lysate at 10 µg

Lane 6:

C2C12 (Mouse myoblast cell line) whole cell lysate at 10 µg

Secondary

All lanes:

Goat Anti-Rabbit IgG, (H+L), Peroxidase at 1/100000 dilution

Predicted band size: 52 kDa

Observed band size: 52 kDa

false

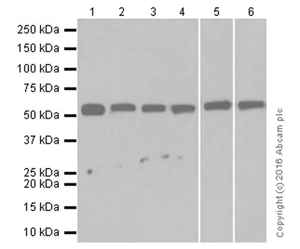
Western blot - Anti-Beclin 1 antibody [EPR19662] (AB207612)
  • WB

Supplier Data

Western blot - Anti-Beclin 1 antibody [EPR19662] (AB207612)

Blocking and diluting buffer and concentration : 5% NFDM/TBST.

CaMKII has been shown to directly phosphorylate Beclin 1 at Ser90 (PMID : 29079782)

In Western blot, Anti-6X His tag® antibody [EPR20547] - ChIP Grade (ab213204) staining at 1/5000 dilution.

In Western blot, Anti-Beclin 1 antibody [EPR19662] (ab207612) staining at 1/1000 dilution.

In Western blot, Anti-GAPDH antibody [EPR16891] - Loading Control (ab181602) staining at 1/200000 dilution.

All lanes:

Western blot - Anti-Beclin-1 (phospho S90) antibody [EPR26903-61R] (<a href='/products/primary-antibodies/beclin-1-phospho-s90-antibody-epr26903-61r-ab325242'>ab325242</a>) at 1/1000 dilution

Lane 1:

293T (human embryonic kidney epithelial cell) transfected with an empty vector containing a myc-His-tag® whole cell lysate at 20 µg

Lane 2:

293T transfected with human BECN1 expression vector containing a myc-His-tag® whole cell lysate at 20 µg

Lane 3:

293T transfected with human BECN1 expression vector containing a myc-His-tag® transfected with a human wild-type CaMKII beta expression vector containing a myc-His-tag® whole cell lysate at 20 µg

Lane 4:

293T transfected with human BECN1(S90A mutant) expression vector containing a myc-His-tag® whole cell lysate at 20 µg

Secondary

All lanes:

Western blot - Goat Anti-Rabbit IgG H&L (HRP) (<a href='/products/secondary-antibodies/goat-rabbit-igg-h-l-hrp-ab97051'>ab97051</a>) at 1/100000 dilution

Observed band size: 60 kDa,80 kDa,52 kDa,36 kDa

false

Exposure time: 8s

関連する標識済み抗体及び組成の異なる製品 (1)

  • Carrier free

    Anti-Beclin 1 antibody [EPR19662] - BSA and Azide free

Key facts

宿主種

Rabbit

クローン性

Monoclonal

クローン番号

EPR19662

アイソタイプ

IgG

キャリアフリー

No

交差種

Mouse, Rat, Human

アプリケーション

WB, IP

applications

免疫原

The exact immunogen used to generate this antibody is proprietary information.

Reactivity data

{ "title": "Reactivity Data", "filters": { "stats": ["", "Species", "Dilution Info", "Notes"], "tabs": { "all-applications": {"fullname" : "All Applications", "shortname": "All Applications"}, "IP" : {"fullname" : "Immunoprecipitation", "shortname":"IP"}, "WB" : {"fullname" : "Western blot", "shortname":"WB"} }, "product-promise": { "all": "all", "testedAndGuaranteed": "tested", "guaranteed": "expected", "predicted": "predicted", "notRecommended": "not-recommended" } }, "values": { "Human": { "IP-species-checked": "testedAndGuaranteed", "IP-species-dilution-info": "1/30", "IP-species-notes": "<p></p>", "WB-species-checked": "testedAndGuaranteed", "WB-species-dilution-info": "1/2000", "WB-species-notes": "<p></p>" }, "Mouse": { "IP-species-checked": "guaranteed", "IP-species-dilution-info": "", "IP-species-notes": "", "WB-species-checked": "testedAndGuaranteed", "WB-species-dilution-info": "1/2000", "WB-species-notes": "<p></p>" }, "Rat": { "IP-species-checked": "guaranteed", "IP-species-dilution-info": "", "IP-species-notes": "", "WB-species-checked": "testedAndGuaranteed", "WB-species-dilution-info": "1/2000", "WB-species-notes": "<p></p>" } } }

製品の詳細

What is this antibody validated in?
Anti-Beclin 1 antibody [EPR19662] (ab207612) is a rabbit recombinant monoclonal antibody and is validated for use in Western Blot (WB), Immunoprecipitation (IP) in Human, Mouse, Rat samples.

What is the molecular weight of Beclin 1?
Anti-Beclin 1 [EPR19662] (ab207612) specifically detects a band for Beclin 1 (UniProt: Q14457) at a molecular weight of 52kDa.

Trusted by the scientific community
Anti-Beclin 1 [EPR19662] (ab207612) was first used in a scientific publication in 2016 and has been cited over 270 times in peer-reviewed journals.

Reviewed by scientists
Anti-Beclin 1 [EPR19662] (ab207612) has over 10 independent reviews from customers.

Trial sizes available!
Test your antibody or perform pre-screening before committing to a larger quantity. Sold in 10µl. Discover our selection of trial-size antibodies.

Specificity confirmed
The specificity of Anti-Beclin 1 antibody [EPR19662] (ab207612) has been confirmed by Western blot testing in BECN1 Knockout HeLa cells.

Other related products
We have a range of other formats of antibody clone [EPR19662] also available for your convenience: ab207612, Carrier free - ab227107, ab289864, Carrier free - ab289873, ab302669, Carrier free - ab302670

Patented technology
Our RabMAb® technology is a patented hybridoma-based technology for making rabbit monoclonal antibodies. For details on our patents, please refer to RabMAb® patents.

What are the advantages of a recombinant monoclonal antibody?
This product is a recombinant monoclonal antibody, which offers several advantages including:

  • - High batch-to-batch consistency and reproducibility
  • - Improved sensitivity and specificity
  • - Long-term security of supply
  • - Animal-free batch production

For more information, read more on recombinant antibodies.

出荷温度及び保存条件

製品の状態
Liquid
精製方法
Affinity purification Protein A
バッファー組成
pH: 7.2 - 7.4 Preservative: 0.01% Sodium azide Constituents: PBS, 40% Glycerol (glycerin, glycerine), 0.05% BSA
出荷温度
Blue Ice
短期保存期間
1-2 weeks
短期保存温度
+4°C
長期保存温度
-20°C
分注に関する情報
Upon delivery aliquot
保管に関する情報
Avoid freeze / thaw cycle

補足情報

This supplementary information is collated from multiple sources and compiled automatically.

Beclin 1 sometimes referred to as beclin-1 or becn1 is a protein that plays a mechanical role in autophagy. This process involves the recycling of cellular components and is essential for maintaining cellular health. Beclin 1 is approximately 60 kDa in molecular weight and is expressed in a variety of tissues throughout the body. It acts at the molecular level engaging in the initial stages of autophagosome formation which are critical for cell survival during nutrient deprivation.
Biological function summary

The protein functions as an important component of the Beclin 1 autophagy complex which orchestrates the autophagic process. This complex is essential for promoting autophagosome nucleation by interacting with multiple partners that regulate the autophagy pathway. In addition to its role in autophagy Beclin 1 protein stabilizes interactions with other autophagic proteins ensuring the correct assembly and activity of this cellular mechanism. The regulation of Beclin 1's activity and expression influences the efficiency and specificity of autophagy in cells.

Pathways

Beclin 1 integrates into critical cellular pathways like the PI3K/Akt pathway and the mTOR pathway which are pivotal in cell growth and survival. Within these pathways beclin cooperates closely with proteins such as ATG14 and VPS34. These interactions facilitate the recruitment and activation of additional factors that promote the elongation of phagophores which eventually become complete autophagosomes. The coordination of these pathways ensures the proper balance between cell survival and death adapting to cellular conditions.

Beclin 1 shows significant relevance in cancer and neurodegenerative diseases. Abnormal Beclin 1 expression and function are linked to a range of cancers as its dysregulation affects apoptosis and autophagic turnover. Furthermore in neurodegenerative disorders like Alzheimer's disease altered Beclin 1 activity can disrupt normal protein degradation exacerbating protein aggregation a hallmark of these conditions. Interactions with proteins like Bcl-2 are essential in the context of these diseases as Bcl-2 modulates the autophagic and apoptotic balance directly impacting disease progression.

製品プロトコール

For this product, it's our understanding that no specific protocols are required. You can visit:

ターゲットの情報

Plays a central role in autophagy (PubMed : 18570871, PubMed : 21358617, PubMed : 23184933, PubMed : 23974797, PubMed : 25484083, PubMed : 28445460, PubMed : 37776275). Acts as a core subunit of the PI3K complex that mediates formation of phosphatidylinositol 3-phosphate; different complex forms are believed to play a role in multiple membrane trafficking pathways : PI3KC3-C1 is involved in initiation of autophagosomes and PI3KC3-C2 in maturation of autophagosomes and endocytosis. Involved in regulation of degradative endocytic trafficking and required for the abscission step in cytokinesis, probably in the context of PI3KC3-C2 (PubMed : 20208530, PubMed : 20643123, PubMed : 23974797, PubMed : 26783301). Essential for the formation of PI3KC3-C2 but not PI3KC3-C1 PI3K complex forms. Involved in endocytosis (PubMed : 25275521). May play a role in antiviral host defense.. Beclin-1-C 35 kDa localized to mitochondria can promote apoptosis; it induces the mitochondrial translocation of BAX and the release of proapoptotic factors.. (Microbial infection) Protects against infection by a neurovirulent strain of Sindbis virus.
See full target information BECN1

文献 (429)

Recent publications for all applications. Explore the full list and refine your search

BMC geriatrics 25:645 PubMed40836274

2025

AIMP1 exerts hearing protection role in age related hearing loss mice by regulating SIRT1 expression.

Applications

Unspecified application

Species

Unspecified reactive species

Haisen Peng,Jiali Liu,Yuehui Liu,Chunhua Li,Zhilin Zhang,Shuihua Hu,Wen Xie

Scientific reports 15:29273 PubMed40784956

2025

CAFs exosomal circFOXO1 promotes TNBC autophagy and radioresistance via miR-27a-3p/BNIP3 axis.

Applications

Unspecified application

Species

Unspecified reactive species

Xueqiong Xun,Huiyong Hu,Qing Liu,Ruijun Su,Jun Ai

Journal of orthopaedic translation 53:187-205 PubMed40678612

2025

PPARγ controls ESCRT-dependent fibroblast-like synoviocyte exosome biogenesis and alleviates chondrocyte osteoarthritis mediated by exosomal ANXA1.

Applications

Unspecified application

Species

Unspecified reactive species

Shuangshuo Jia,Yue Yang,Jiabao Liu,Ziyuan Wang,Lunhao Bai

Frontiers in pharmacology 16:1550458 PubMed40599805

2025

Naringenin attenuates slow-transit constipation by regulating the AMPK/mTOR/ULK1 signalling pathway: and studies.

Applications

Unspecified application

Species

Unspecified reactive species

Yahui Wang,Xiaopeng Wang,Yifei Qian,Mingming Sun,Huiju Yang,Lianlin Su,Shuai Yan

Biomolecules 15: PubMed40563509

2025

Positive Effects of (+)-Epicatechin on Traumatic Spinal Cord Injury Recovery.

Applications

Unspecified application

Species

Unspecified reactive species

Cristian Gonzalez-Ruiz,Rodrigo Mondragón-Lozano,Hermelinda Salgado-Ceballos,Francisco Villarreal,Yuridia Martínez-Meza,Eduardo Meaney,Nayelli Nájera,Guillermo Ceballos

Frontiers in oncology 15:1531420 PubMed40519291

2025

Metformin inhibits the proliferation of hepatocellular carcinoma cells through inducing ferroptosis analyzed by phosphoproteomics.

Applications

Unspecified application

Species

Unspecified reactive species

Jihan Sun,Xi Yu,Yuying Shan,Manyun Dai,Andrea Gaucherot,Caide Lu,Shuqi Mao

Frontiers in genetics 16:1536672 PubMed40486678

2025

The role of E2F1 in promoting EIF4EBP1 transcription in cryptorchid mice: association with autophagy in germ cells.

Applications

Unspecified application

Species

Unspecified reactive species

Jianguo Zhang,Yanhui Liu,Hailong Zhang,Lin Yang,Danjing Sun,Lili Xiao,Xiaoyun Wang,Xiangming Wu

Frontiers in endocrinology 16:1606326 PubMed40487763

2025

Baoshentongluo Formula relieves podocyte injury in diabetic kidney disease through regulating mitophagy via PINK1/Parkin signaling pathway.

Applications

Unspecified application

Species

Unspecified reactive species

Yanyu Pang,Lei Tian,Yufei Liu,Yifan Guo,Jingwen Zhao,Yutong Wang,Mengdi Wang,Wenjing Zhao

Stem cells international 2025:5091529 PubMed40476182

2025

miR-1275 Delivered via Mesenchymal Stem Cell-Derived Extracellular Vesicles Regulates ER-Phagy Through AXIN2 in Nucleus Pulposus Cells.

Applications

Unspecified application

Species

Unspecified reactive species

Zhiwu Dong,Hailong Zhang,Wenwei Yang,Keliang Huang,Xin Zhang,Lianxiang Xing,Ying Zhang,Kewen Zhao

Journal of orthopaedic surgery and research 20:566 PubMed40462169

2025

The increase in autophagy induced by naringin alleviates Schwann cell apoptosis mediated by the AMPK/mTOR signalling pathway.

Applications

Unspecified application

Species

Unspecified reactive species

Jianwei Lv,Duo Shan,Haobo Jia,Zengliang Wang
View all publications

Abcam product promise

当社は、高品質な試薬を通じてお客様の研究を力強くサポートすることをお約束いたします。ご使用いただく各段階で、常にお客様をサポートできる体制を整えております。万が一、製品が期待通りに機能しない場合は、「Abcam Product Promise」による当社保証制度に基づき、安心してご利用いただけます。
保証に関する詳細については利用規約をご確認ください。

Please note: All products are 'FOR RESEARCH USE ONLY. NOT FOR USE IN DIAGNOSTIC OR THERAPEUTIC PROCEDURES'.

For licensing inquiries, please contact partnerships@abcam.com