JavaScript is disabled in your browser. Please enable JavaScript to view this website.
AB32370

Anti-Bcl-XL 抗体 [E18]

Anti-Bcl-XL antibody [E18]

5

(10 Reviews)

|

(231 Publications)

Anti-Bcl-XL antibody [E18] (ab32370) is a rabbit monoclonal antibody detecting Bcl-XL in Western Blot, Flow Cytometry (Intra), Flow Cytometry, IP, IHC-P, ICC/IF. Suitable for Human, Mouse, Rat.

- Biophysical QC for unrivalled batch-batch consistency
- Over 230 publications
- Trusted since 2006

別名を表示する

BCL2L, BCLX, BCL2L1, Bcl-2-like protein 1, Bcl2-L-1, Apoptosis regulator Bcl-X

15 Images
Immunohistochemistry (Formalin/PFA-fixed paraffin-embedded sections) - Anti-Bcl-XL antibody [E18] (AB32370)
  • IHC-P

PubMed

Immunohistochemistry (Formalin/PFA-fixed paraffin-embedded sections) - Anti-Bcl-XL antibody [E18] (AB32370)

Immunohistochemistry of human primary melanoma, staining Bcl-XL (red) with unpurified ab32370.
Antigen retrieval was performed in EDTA/Tris buffer (pH 8) before being blocked with 10%NGS for one hour at room temperature. Samples were incubated with primary antibody (1/50) at room temperature for one hour. An AlexaFluor®-conjugated anti-rabbit IgG was used as the secondary antibody.

Image from Medic S & Ziman M PLoS One. 2010 Apr 22;5(4):e9977. Fig 5.; doi:10.1371/journal.pone.0009977; April 22 2010 PLoS ONE 5(4): e9977.

Immunohistochemistry (Formalin/PFA-fixed paraffin-embedded sections) - Anti-Bcl-XL antibody [E18] (AB32370)
  • IHC-P

Unknown

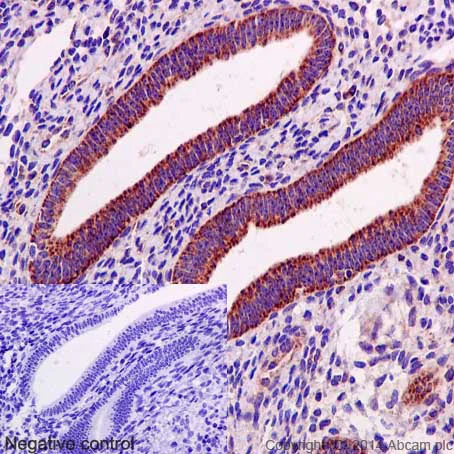
Immunohistochemistry (Formalin/PFA-fixed paraffin-embedded sections) - Anti-Bcl-XL antibody [E18] (AB32370)

Immunohistochemistry (Formalin/PFA-fixed paraffin-embedded sections) analysis of human endometrium tissue labelling Bcl-XL with purified ab32370 at 1/2000. Heat mediated antigen retrieval was performed using Tris/EDTA buffer pH 9. ab97051, a HRP-conjugated goat anti-rabbit HRP (H+L) was used as the secondary antibody (1/500). Negative control using PBS instead of primary antibody. Counterstained with hematoxylin.

Western blot - Anti-Bcl-XL antibody [E18] (AB32370)
  • WB

Lab

Western blot - Anti-Bcl-XL antibody [E18] (AB32370)

Blocking buffer and concentration : 5% NFDM/TBST.

Diluting buffer and concentration : 5% NFDM /TBST.

All lanes:

Western blot - Anti-Bcl-XL antibody [E18] (ab32370) at 1/1000 dilution

Lane 1:

Jurkat cell lysate at 20 µg

Lane 2:

K562 cell lysate at 20 µg

Secondary

All lanes:

Peroxidase-conjugated goat anti-rabbit IgG (H+L) at 1/1000 dilution

Predicted band size: 26 kDa

Observed band size: 26 kDa

false

Western blot - Anti-Bcl-XL antibody [E18] (AB32370)
  • WB

AbReview24938****

Western blot - Anti-Bcl-XL antibody [E18] (AB32370)

Patient recieved anthracycline and taxane neoadjuvant chemotherapy.

All lanes:

Western blot - Anti-Bcl-XL antibody [E18] (ab32370) at 1/500 dilution

All lanes:

whole cell lysate prepared from a clinical sample of human breast cancer cells at 20 µg

Secondary

All lanes:

Goat anti-rabbit IgG-HRP at 1/1000 dilution

Predicted band size: 26 kDa

Observed band size: 26 kDa

true

Exposure time: 15min

Image courtesy of an anonymous Abreview.

Western blot - Anti-Bcl-XL antibody [E18] (AB32370)
  • WB

Lab

Western blot - Anti-Bcl-XL antibody [E18] (AB32370)

Blocking buffer and concentration : 5% NFDM/TBST.

Diluting buffer and concentration : 5% NFDM /TBST.

All lanes:

Western blot - Anti-Bcl-XL antibody [E18] (ab32370) at 1/1000 dilution

Lane 1:

C6 cell lysate at 20 µg

Lane 2:

RAW264.7 cell lysate at 20 µg

Lane 3:

PC-12 cell lysate at 20 µg

Lane 4:

NIH/3T3 cell lysate at 20 µg

Secondary

All lanes:

Peroxidase-conjugated goat anti-rabbit IgG (H+L) at 1/1000 dilution

Predicted band size: 26 kDa

Observed band size: 26 kDa

false

Flow Cytometry (Intracellular) - Anti-Bcl-XL antibody [E18] (AB32370)
  • Flow Cyt (Intra)

Unknown

Flow Cytometry (Intracellular) - Anti-Bcl-XL antibody [E18] (AB32370)

Flow cytometry analysis of NIH/3T3 (Mouse embryonic fibroblast) cells labelling Bcl-XL with ab32370 at 1/20 dilution (7.1 © : g/ml) (Red). Cells were fixed with 4% paraformaldehyde . Goat anti rabbit IgG (Alexa Fluor� 488, ab150077) was used as the secondary antibody at 1/2000 dilution. Isotype control - Rabbit monoclonal IgG (ab172730) (Black). Unlabeled control - Unlabelled cells (Blue).

Flow Cytometry (Intracellular) - Anti-Bcl-XL antibody [E18] (AB32370)
  • Flow Cyt (Intra)

Unknown

Flow Cytometry (Intracellular) - Anti-Bcl-XL antibody [E18] (AB32370)

Flow cytometry analysis of C6 (Rat glial tumor glial cell) cells labelling Bcl-XL with ab32370 at 1/20 dilution (7.1 © : g/ml) (Red). Cells were fixed with 4% paraformaldehyde . Goat anti rabbit IgG (Alexa Fluor� 488, ab150077) was used as the secondary antibody at 1/2000 dilution. Isotype control - Rabbit monoclonal IgG (ab172730) (Black). Unlabeled control - Unlabelled cells (Blue).

Immunocytochemistry/ Immunofluorescence - Anti-Bcl-XL antibody [E18] (AB32370)
  • ICC/IF

Unknown

Immunocytochemistry/ Immunofluorescence - Anti-Bcl-XL antibody [E18] (AB32370)

ICC/IF image of unpurified ab32370 stained HepG2 cells. The cells were 4% formaldehyde fixed (10 min) and then incubated in 1%BSA / 10% normal goat serum / 0.3M glycine in 0.1% PBS-Tween for 1h to permeabilise the cells and block non-specific protein-protein interactions. The cells were then incubated with the antibody (ab32370, 1/100) overnight at +4°C. The secondary antibody (green) was ab96899, goat anti-rabbit DyLight® 488 (IgG; H+L) used at a 1/250 dilution for 1h. Alexa Fluor® 594 WGA was used to label plasma membranes (red) at a 1/200 dilution for 1h. DAPI was used to stain the cell nuclei (blue) at a concentration of 1.43μM.

Immunocytochemistry/ Immunofluorescence - Anti-Bcl-XL antibody [E18] (AB32370)
  • ICC/IF

Unknown

Immunocytochemistry/ Immunofluorescence - Anti-Bcl-XL antibody [E18] (AB32370)

Immunocytochemistry/Immunofluorescence analysis of HeLa cells labelling Bcl-XL with purified ab32370 at 1/500. Cells were fixed with 4% paraformaldehyde and permeabilized with 0.1% Triton X-100. ab150077, a goat anti-rabbit Alexa Fluor® 488 (IgG; 1/500) was used as the secondary antibody. DAPI (blue) was used as the nuclear counterstain.

Control : primary antibody (1/500) and secondary antibody, ab150120, an Alexa Fluor® 594-conjugated goat anti-mouse IgG (1/500).

Flow Cytometry (Intracellular) - Anti-Bcl-XL antibody [E18] (AB32370)
  • Flow Cyt (Intra)

Unknown

Flow Cytometry (Intracellular) - Anti-Bcl-XL antibody [E18] (AB32370)

Overlay histogram showing DU145 cells stained with unpurified ab32370 (red line). The cells were fixed with 80% methanol (5 min) and then permeabilized with 0.1% PBS-Tween for 20 min. The cells were then incubated in 1x PBS / 10% normal goat serum / 0.3M glycine to block non-specific protein-protein interactions followed by the antibody (ab32370, 1/100 dilution) for 30 min at 22°C. The secondary antibody used was a goat anti-rabbit DyLight® 488 (IgG; H+L) (ab96899) at 1/500 dilution for 30 min at 22°C. Isotype control antibody (black line) was rabbit IgG (monoclonal) (1μg/1x106 cells) used under the same conditions. Acquisition of >5,000 events was performed.

Flow Cytometry (Intracellular) - Anti-Bcl-XL antibody [E18] (AB32370)
  • Flow Cyt (Intra)

Unknown

Flow Cytometry (Intracellular) - Anti-Bcl-XL antibody [E18] (AB32370)

Intracellular Flow Cytometry analysis of Jurkat cells labelling Bcl-XL with purified ab32370 at 1/20 (red). Cells were fixed with 2% paraformaldehyde. A FITC-conjugated goat anti-rabbit IgG (1/150) was used as the secondary antibody. Black - Isotype control, rabbit monoclonal IgG. Blue - Unlabelled control, cells without incubation with primary and secondary antibodies.

Immunohistochemistry (Formalin/PFA-fixed paraffin-embedded sections) - Anti-Bcl-XL antibody [E18] (AB32370)
  • IHC-P

Unknown

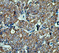
Immunohistochemistry (Formalin/PFA-fixed paraffin-embedded sections) - Anti-Bcl-XL antibody [E18] (AB32370)

Immunohistochemistry (Formalin/PFA-fixed paraffin-embedded sections) analysis of human prostate carcinoma tissue labelling Bcl-XL with unpurified ab32370 at 1/50.

Immunoprecipitation - Anti-Bcl-XL antibody [E18] (AB32370)
  • IP

Unknown

Immunoprecipitation - Anti-Bcl-XL antibody [E18] (AB32370)

ab32370 (purified) at 1/30 immunoprecipitating Bcl-XL in Jurkat cell lysate (Lane 1). Lane 2 - PBS. For western blotting, a HRP-conjugated anti-rabbit IgG, specific to the non-reduced form of IgG was used as the secondary antibody (1/1500).

Blocking buffer and concentration : 5% NFDM/TBST.

Diluting buffer and concentration : 5% NFDM /TBST.

All lanes:

Immunoprecipitation - Anti-Bcl-XL antibody [E18] (ab32370)

Predicted band size: 26 kDa

Observed band size: 26 kDa

false

Immunoprecipitation - Anti-Bcl-XL antibody [E18] (AB32370)
  • IP

Unknown

Immunoprecipitation - Anti-Bcl-XL antibody [E18] (AB32370)

ab32370 (purified) at 1/500 dilution (0.28 © : g/ml) immunoprecipitating Bcl-XL in NIH/3T3 whole cell lysate.
Lane 1 (input) : NIH/3T3(Mouse embryonic fibroblast) whole cell lysate 10© : g
Lane 2 (+) : ab32370 & NIH/3T3 whole cell lysate
Lane 3 (-) : Rabbit monoclonal IgG (ab172730) instead of ab32370 in NIH/3T3 whole cell lysate
For western blotting, VeriBlot for IP secondary antibody (HRP) (ab131366) was used as the secondary antibody at 1/1000 dilution.
Blocking and diluting buffer : 5% NFDM /TBST .

All lanes:

Immunoprecipitation - Anti-Bcl-XL antibody [E18] (ab32370)

Predicted band size: 26 kDa

false

OI-RD Scanning - Anti-Bcl-XL antibody [E18] (AB32370)
  • OI-RD Scanning

Unknown

OI-RD Scanning - Anti-Bcl-XL antibody [E18] (AB32370)

We have systematically measured KD (the equilibrium dissociation constant between the antibody and its antigen), of more than 840 recombinant antibodies to assess not only their individual KD values but also to see the average affinity of antibody. Based on the comparison with published literature values for mouse monoclonal antibodies, Recombinant antibodies appear to be on average 1-2 order of magnitude higher affinity.

関連する標識済み抗体及び組成の異なる製品 (7)

Key facts

宿主種

Rabbit

クローン性

Monoclonal

クローン番号

E18

アイソタイプ

IgG

キャリアフリー

No

交差種

Mouse, Rat, Human

アプリケーション

IHC-P, Flow Cyt (Intra), ICC/IF, WB, IP

applications

免疫原

The exact immunogen used to generate this antibody is proprietary information.

特異性

This antibody should recognize Bcl-XL, Bcl-xS and Bcl-x(beta) as the immunogen sequence is common to them. The antibody does not cross-react with other Bcl-2 family members.

Reactivity data

{ "title": "Reactivity Data", "filters": { "stats": ["", "Species", "Dilution Info", "Notes"], "tabs": { "all-applications": {"fullname" : "All Applications", "shortname": "All Applications"}, "IP" : {"fullname" : "Immunoprecipitation", "shortname":"IP"}, "WB" : {"fullname" : "Western blot", "shortname":"WB"}, "ICCIF" : {"fullname" : "Immunocytochemistry/ Immunofluorescence", "shortname":"ICC/IF"}, "FlowCytIntra" : {"fullname" : "Flow Cytometry (Intracellular)", "shortname":"Flow Cyt (Intra)"}, "IHCP" : {"fullname" : "Immunohistochemistry (Formalin/PFA-fixed paraffin-embedded sections)", "shortname":"IHC-P"} }, "product-promise": { "all": "all", "testedAndGuaranteed": "tested", "guaranteed": "expected", "predicted": "predicted", "notRecommended": "not-recommended" } }, "values": { "Human": { "IP-species-checked": "testedAndGuaranteed", "IP-species-dilution-info": "1/10 - 1/30", "IP-species-notes": "<p></p>", "WB-species-checked": "testedAndGuaranteed", "WB-species-dilution-info": "1/1000", "WB-species-notes": "<p></p>", "ICCIF-species-checked": "testedAndGuaranteed", "ICCIF-species-dilution-info": "1/100 - 1/500", "ICCIF-species-notes": "<p></p>", "FlowCytIntra-species-checked": "testedAndGuaranteed", "FlowCytIntra-species-dilution-info": "1/20 - 1/100", "FlowCytIntra-species-notes": "<p><a href='/products/primary-antibodies/rabbit-igg-monoclonal-epr25a-isotype-control-ab172730'>ab172730</a> - Rabbit monoclonal IgG, is suitable for use as an isotype control with this antibody.</p>", "IHCP-species-checked": "testedAndGuaranteed", "IHCP-species-dilution-info": "1/2000", "IHCP-species-notes": "<p>See IHC antigen retrieval protocols.</p> Perform heat-mediated antigen retrieval with Tris/EDTA buffer pH 9.0 before commencing with IHC staining protocol." }, "Mouse": { "IP-species-checked": "testedAndGuaranteed", "IP-species-dilution-info": "1/10 - 1/30", "IP-species-notes": "<p></p>", "WB-species-checked": "testedAndGuaranteed", "WB-species-dilution-info": "1/1000", "WB-species-notes": "<p></p>", "ICCIF-species-checked": "testedAndGuaranteed", "ICCIF-species-dilution-info": "1/100 - 1/500", "ICCIF-species-notes": "<p></p>", "FlowCytIntra-species-checked": "testedAndGuaranteed", "FlowCytIntra-species-dilution-info": "1/20 - 1/100", "FlowCytIntra-species-notes": "<p><a href='/products/primary-antibodies/rabbit-igg-monoclonal-epr25a-isotype-control-ab172730'>ab172730</a> - Rabbit monoclonal IgG, is suitable for use as an isotype control with this antibody.</p>", "IHCP-species-checked": "guaranteed", "IHCP-species-dilution-info": "", "IHCP-species-notes": "" }, "Rat": { "IP-species-checked": "guaranteed", "IP-species-dilution-info": "", "IP-species-notes": "", "WB-species-checked": "testedAndGuaranteed", "WB-species-dilution-info": "1/1000", "WB-species-notes": "<p></p>", "ICCIF-species-checked": "testedAndGuaranteed", "ICCIF-species-dilution-info": "1/100 - 1/500", "ICCIF-species-notes": "<p></p>", "FlowCytIntra-species-checked": "testedAndGuaranteed", "FlowCytIntra-species-dilution-info": "1/20 - 1/100", "FlowCytIntra-species-notes": "<p><a href='/products/primary-antibodies/rabbit-igg-monoclonal-epr25a-isotype-control-ab172730'>ab172730</a> - Rabbit monoclonal IgG, is suitable for use as an isotype control with this antibody.</p>", "IHCP-species-checked": "guaranteed", "IHCP-species-dilution-info": "", "IHCP-species-notes": "" }, "Pig": { "IP-species-checked": "predicted", "IP-species-dilution-info": "", "IP-species-notes": "", "WB-species-checked": "predicted", "WB-species-dilution-info": "", "WB-species-notes": "", "ICCIF-species-checked": "predicted", "ICCIF-species-dilution-info": "", "ICCIF-species-notes": "", "FlowCytIntra-species-checked": "predicted", "FlowCytIntra-species-dilution-info": "", "FlowCytIntra-species-notes": "", "IHCP-species-checked": "predicted", "IHCP-species-dilution-info": "", "IHCP-species-notes": "" } } }

下記製品にもご興味をお持ちいただけるかもしれません:

AB227899

Mouse/Rat Bcl-xL ELISA Kit

0

0 Reviews

製品ページを見る
こちらの製品も推奨する理由

この製品は、同様の実験や関連する研究で広く使用されていることから推奨させていただいております。

お客様の実験に適するかご確認いただくため、必ず製品データシートをご確認いただくことをお勧めいたします。ご不明点等ございましたら、テクニカルサポートチームまでお問い合わせください。

製品の詳細

What is this antibody validated in?
Anti-Bcl-XL antibody [E18] (ab32370) is a rabbit recombinant monoclonal antibody and is validated for use in Western Blot (WB), Flow Cytometry (Intra), Flow Cytometry (Flow Cyt), Immunoprecipitation (IP), Immunohistochemistry (IHC-P), Immunocytochemistry/immunofluorescence (ICC/IF) in Human, Mouse, Rat samples.

Trusted by the scientific community
Anti-Bcl-XL [E18] (ab32370) was first used in a scientific publication in 2006 and has been cited over 230 times in peer-reviewed journals.

Reviewed by scientists
Anti-Bcl-XL [E18] (ab32370) has over 10 independent reviews from customers.

Trial sizes available!
Test your antibody or perform pre-screening before committing to a larger quantity. Sold in 10µl. Discover our selection of trial-size antibodies.

Other related products
We have a range of other formats of antibody clone [E18] also available for your convenience: ab32370, Carrier free - ab199099, HRP - ab200600, PE - ab208747, Alexa Fluor® 647 - ab303457, Alexa Fluor® 555 - ab306571, Alexa Fluor® 750 - ab321595

Patented technology
Our RabMAb® technology is a patented hybridoma-based technology for making rabbit monoclonal antibodies. For details on our patents, please refer to RabMAb® patents.

What are the advantages of a recombinant monoclonal antibody?
This product is a recombinant monoclonal antibody, which offers several advantages including:

  • - High batch-to-batch consistency and reproducibility
  • - Improved sensitivity and specificity
  • - Long-term security of supply
  • - Animal-free batch production

For more information, read more on recombinant antibodies.

出荷温度及び保存条件

製品の状態
Liquid
精製方法
Affinity purification Protein A
バッファー組成
pH: 7.2 - 7.4 Preservative: 0.01% Sodium azide Constituents: 59% PBS, 40% Glycerol (glycerin, glycerine), 0.05% BSA
出荷温度
Conditional Ambient
短期保存期間
1-2 weeks
短期保存温度
+4°C
長期保存温度
-20°C
分注に関する情報
Upon delivery aliquot
保管に関する情報
Avoid freeze / thaw cycle

補足情報

This supplementary information is collated from multiple sources and compiled automatically.

Bcl-XL also known as Bcl-xL or Bcl-Xl protein is a member of the Bcl-2 protein family playing an important role in regulating cell death. Bcl-XL inhibits apoptosis by binding to pro-apoptotic proteins preventing the release of cytochrome c from mitochondria. This protein has a molecular weight of approximately 30 kDa. Bcl-xL is widely expressed in tissues notably in the brain endothelial cells and hematopoietic tissues where it contributes to cell survival.
Biological function summary

This protein acts as an anti-apoptotic molecule within the mitochondria and is part of the Bcl-2 family complex. Bcl-XL modulates the balance between pro-apoptotic and anti-apoptotic signals impacting cell fate. By binding and sequestering pro-apoptotic members such as Bax and Bak Bcl-XL prevents mitochondrial outer membrane permeabilization important for avoiding programmed cell death. This function not only supports cellular longevity but also understanding cancer cell survival.

Pathways

The Bcl-XL protein holds a significant position in the apoptotic signaling pathways. It is particularly involved in the intrinsic pathway where its interactions with mitochondrial proteins Bax and Bak determine cell survival or death. It is interconnected with the PI3K/AKT pathway where AKT kinase activity can upregulate Bcl-XL expression demonstrating how survival signals are transmitted. These interactions highlight its pivotal role in balancing life and death at the cellular level.

Bcl-XL's overexpression often connects to the progression of cancers and resistance to chemotherapy. By inhibiting programmed cell death Bcl-XL allows cancer cells to evade traditional treatments. Furthermore research implicates Bcl-XL in neurodegenerative disorders where its interaction with Bcl-2 proteins disrupts normal apoptotic processes contributing to cellular dysfunction and disease. Understanding Bcl-XL's disease-related roles furthers the development of targeted therapies combating its protective effects in pathological contexts.

製品プロトコール

For this product, it's our understanding that no specific protocols are required. You can visit:

ターゲットの情報

Potent inhibitor of cell death. Inhibits activation of caspases. Appears to regulate cell death by blocking the voltage-dependent anion channel (VDAC) by binding to it and preventing the release of the caspase activator, CYC1, from the mitochondrial membrane. Also acts as a regulator of G2 checkpoint and progression to cytokinesis during mitosis.. Isoform Bcl-X(L) also regulates presynaptic plasticity, including neurotransmitter release and recovery, number of axonal mitochondria as well as size and number of synaptic vesicle clusters. During synaptic stimulation, increases ATP availability from mitochondria through regulation of mitochondrial membrane ATP synthase F(1)F(0) activity and regulates endocytic vesicle retrieval in hippocampal neurons through association with DMN1L and stimulation of its GTPase activity in synaptic vesicles. May attenuate inflammation impairing NLRP1-inflammasome activation, hence CASP1 activation and IL1B release (PubMed : 17418785).. Isoform Bcl-X(S) promotes apoptosis.
See full target information BCL2L1

文献 (231)

Recent publications for all applications. Explore the full list and refine your search

Burns & trauma 11:tkad024 PubMed38116467

2023

S-Nitrosylation-mediated coupling of DJ-1 with PTEN induces PI3K/AKT/mTOR pathway-dependent keloid formation.

Applications

Unspecified application

Species

Unspecified reactive species

Dongming Lv,Zhongye Xu,Pu Cheng,Zhicheng Hu,Yunxian Dong,Yanchao Rong,Hailin Xu,Zhiyong Wang,Xiaoling Cao,Wuguo Deng,Bing Tang

Asian biomedicine : research, reviews and news 17:230-237 PubMed37899758

2023

Evaluation of the radiosensitizing effect of MEK inhibitor KZ-001 on non-small cell lung cancer cells in vitro.

Applications

Unspecified application

Species

Unspecified reactive species

Gongchao Huang,Wenqin Zhang,Hongqi Tian

Cancers 15: PubMed37686632

2023

Metabolic Reprogramming by Ribitol Expands the Therapeutic Window of BETi JQ1 against Breast Cancer.

Applications

Unspecified application

Species

Unspecified reactive species

Ravi Doddapaneni,Jason D Tucker,Pei J Lu,Qi L Lu

Cell death & disease 14:488 PubMed37524692

2023

Hexokinase 2 confers radio-resistance in hepatocellular carcinoma by promoting autophagy-dependent degradation of AIMP2.

Applications

Unspecified application

Species

Unspecified reactive species

Yilin Zheng,Yizhi Zhan,Yuqin Zhang,Yaowei Zhang,Yang Liu,Yuwen Xie,Yining Sun,Junying Qian,Yanqing Ding,Yi Ding,Yuan Fang

Nature aging 3:829-845 PubMed37414987

2023

Removal of senescent cells reduces the viral load and attenuates pulmonary and systemic inflammation in SARS-CoV-2-infected, aged hamsters.

Applications

Unspecified application

Species

Unspecified reactive species

Lou Delval,Aline Hantute-Ghesquier,Valentin Sencio,Jean Michel Flaman,Cyril Robil,Fabiola Silva Angulo,Larissa Lipskaia,Ozmen Çobanoğlu,Anne-Sophie Lacoste,Arnaud Machelart,Adeline Danneels,Mathieu Corbin,Lucie Deruyter,Séverine Heumel,Thierry Idziorek,Karin Séron,Florent Sauve,Antonino Bongiovanni,Vincent Prévot,Isabelle Wolowczuk,Sandrine Belouzard,Jean-Michel Saliou,Philippe Gosset,David Bernard,Yves Rouillé,Serge Adnot,Martine Duterque-Coquillaud,François Trottein

Journal of tissue engineering 14:20417314231180033 PubMed37333896

2023

Modified black phosphorus quantum dots promotes spinal cord injury repair by targeting the AKT signaling pathway.

Applications

Unspecified application

Species

Unspecified reactive species

Dong-Mei Xie,Chuanwei Sun,Qingqiang Tu,Suyi Li,Yu Zhang,Xifan Mei,Yuanlong Li

American journal of cancer research 13:1999-2012 PubMed37293147

2023

Exosomal transfer of miR-548aq-3p confers cisplatin resistance MED12 downregulation in epithelial ovarian cancer.

Applications

Unspecified application

Species

Unspecified reactive species

Yanlong Shi,Yuwei Zou,Yu Guo,Yulin Liu,Qiang Wang

Animal models and experimental medicine 6:245-254 PubMed37271936

2023

Anti-apoptotic protein BCL-XL as a therapeutic vulnerability in gastric cancer.

Applications

Unspecified application

Species

Unspecified reactive species

Yumin Wei,Liping Zhang,Chao Wang,Zefeng Li,Mingjie Luo,Guomin Xie,Xingjiu Yang,Mengyuan Li,Shuyue Ren,Dongbing Zhao,Ran Gao,Jia-Nan Gong

Journal of hepatocellular carcinoma 10:315-325 PubMed36874251

2023

ULK1 Depletion Protects Mice from Diethylnitrosamine-Induced Hepatocarcinogenesis by Promoting Apoptosis and Inhibiting Autophagy.

Applications

Unspecified application

Species

Unspecified reactive species

Ting Duan,Xin Yang,Jingyu Kuang,Wenjie Sun,Jin Li,Juan Ge,Mohan Zhang,Xiaobo Cai,Peilin Yu,Jun Yang,Xinqiang Zhu

Molecular neurobiology 60:2986-3003 PubMed36763283

2023

Ndufa4 Regulates the Proliferation and Apoptosis of Neurons via miR-145a-5p/Homer1/Ccnd2.

Applications

Unspecified application

Species

Unspecified reactive species

Fang Fu,Chen Chen,Kun Du,Lu-Shan Li,Ru Li,Ting-Ying Lei,Qiong Deng,Dan Wang,Qiu-Xia Yu,Xin Yang,Jin Han,Min Pan,Li Zhen,Li-Na Zhang,Jian Li,Fa-Tao Li,Yong-Ling Zhang,Xiang-Yi Jing,Fu-Cheng Li,Dong-Zhi Li,Can Liao
View all publications

Abcam product promise

当社は、高品質な試薬を通じてお客様の研究を力強くサポートすることをお約束いたします。ご使用いただく各段階で、常にお客様をサポートできる体制を整えております。万が一、製品が期待通りに機能しない場合は、「Abcam Product Promise」による当社保証制度に基づき、安心してご利用いただけます。
保証に関する詳細については利用規約をご確認ください。

関連製品

Select an associated product type
Alternative Product
Primary Antibodies

AB98143

Anti-Bcl-XL antibody

primary-antibodies

bcl-xl-antibody-ab98143

4

(2 reviews)

Alternative Product
Primary Antibodies

AB201335

Anti-Bcl-XL antibody [BX006 + 2H12] - N-terminal

primary-antibodies

bcl-xl-antibody-bx006-2h12-n-terminal-ab201335

0

(0 reviews)

Alternative Product
Primary Antibodies

AB212813

Anti-Bcl-XL antibody [BX006 + 2H12] - BSA and Azide free

primary-antibodies

bcl-xl-antibody-bx006-2h12-bsa-and-azide-free-ab212813

0

(0 reviews)

Alternative Product
Primary Antibodies

AB270253

Anti-Bcl-XL antibody [2H12]

primary-antibodies

bcl-xl-antibody-2h12-ab270253

0

(0 reviews)

Alternative Product
Primary Antibodies

AB231500

Anti-Bcl-XL antibody - N-terminal

primary-antibodies

bcl-xl-antibody-n-terminal-ab231500

0

(0 reviews)

Alternative Product
Primary Antibodies

AB178844

Anti-Bcl-XL antibody [EPR16642]

primary-antibodies

bcl-xl-antibody-epr16642-ab178844

0

(0 reviews)

Please note: All products are 'FOR RESEARCH USE ONLY. NOT FOR USE IN DIAGNOSTIC OR THERAPEUTIC PROCEDURES'.

For licensing inquiries, please contact partnerships@abcam.com