JavaScript is disabled in your browser. Please enable JavaScript to view this website.
AB77571

Anti-Bcl-XL 抗体 [2H12]

Anti-Bcl-XL antibody [2H12]

Be the first to review this product! Submit a review

|

(9 Publications)

Mouse Recombinant Monoclonal Bcl-XL antibody. Suitable for WB, IHC-P and reacts with Mouse, Rat, Human samples. Cited in 9 publications.

別名を表示する

BCL2L, BCLX, BCL2L1, Bcl-2-like protein 1, Bcl2-L-1, Apoptosis regulator Bcl-X

4 Images
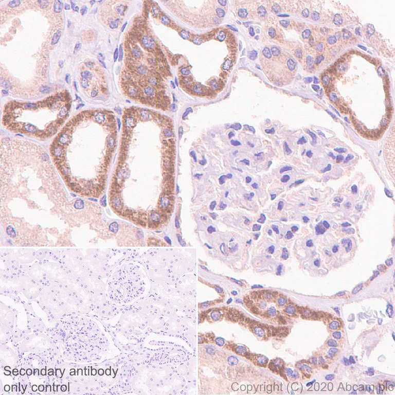
Immunohistochemistry (Formalin/PFA-fixed paraffin-embedded sections) - Anti-Bcl-XL antibody [2H12] (AB77571)
  • IHC-P

Unknown

Immunohistochemistry (Formalin/PFA-fixed paraffin-embedded sections) - Anti-Bcl-XL antibody [2H12] (AB77571)

Immunohistochemical analysis of paraffin-embedded human kidney tissue labeling Bcl-XL with ab77571 at 1/100 dilution followed by ready to use Goat Anti-mouse IgG H&L (HRP polymer) (ab214879). Cytoplasmic staining on human kidney. The section was incubated with ab77571 for 30 mins at room temperature. The immunostaining was performed on a Leica Biosystems BOND® RX instrument. Counterstained with Hematoxylin.

Secondary antibody only control : Secondary antibody is ready to use Goat Anti-mouse IgG H&L (HRP polymer) (ab214879).

Heat mediated antigen retrieval with Tris-EDTA buffer (pH 9.0, epitope retrieval solution2) for 20 mins.

Immunohistochemistry (Formalin/PFA-fixed paraffin-embedded sections) - Anti-Bcl-XL antibody [2H12] (AB77571)
  • IHC-P

Unknown

Immunohistochemistry (Formalin/PFA-fixed paraffin-embedded sections) - Anti-Bcl-XL antibody [2H12] (AB77571)

Immunohistochemical analysis of paraffin-embedded human colon carcinoma tissue labeling Bcl-XL with ab77571 at 1/100 dilution followed by ready to use Goat Anti-mouse IgG H&L (HRP polymer) (ab214879). Cytoplasmic staining on human colon carcinoma. The section was incubated with ab77571 for 30 mins at room temperature. The immunostaining was performed on a Leica Biosystems BOND® RX instrument. Counterstained with Hematoxylin.

Secondary antibody only control : Secondary antibody is ready to use Goat Anti-mouse IgG H&L (HRP polymer) (ab214879).

Heat mediated antigen retrieval with Tris-EDTA buffer (pH 9.0, epitope retrieval solution2) for 20 mins.

Western blot - Anti-Bcl-XL antibody [2H12] (AB77571)
  • WB

Lab

Western blot - Anti-Bcl-XL antibody [2H12] (AB77571)

Blocking and diluting buffer and concentration : 5% NFDM/TBST.

Exposure time : 3 minutes.

All lanes:

Western blot - Anti-Bcl-XL antibody [2H12] (ab77571) at 1/1000 dilution

Lane 1:

Ramos (human Burkitt's lymphoma B lymphocyte), whole cell lysate at 10 µg

Lane 2:

HCT 116 (human colorectal carcinoma epithelial cell), whole cell lysate at 10 µg

Secondary

All lanes:

Peroxidase-Conjugated Goat anti-Mouse IgG (H+L) at 1/5000 dilution

Predicted band size: 26 kDa

Observed band size: 26 kDa

false

Western blot - Anti-Bcl-XL antibody [2H12] (AB77571)
  • WB

Lab

Western blot - Anti-Bcl-XL antibody [2H12] (AB77571)

Blocking and diluting buffer and concentration : 5% NFDM/TBST.

This blot was developed using a higher sensitivity ECL substrate.

Exposure time : 37 seconds.

All lanes:

Western blot - Anti-Bcl-XL antibody [2H12] (ab77571) at 1/1000 dilution

Lane 1:

C6 (rat glial tumor glial cell), whole cell lysate at 10 µg

Lane 2:

NIH/3T3 (mouse embryonic fibroblast), whole cell lysate at 10 µg

Secondary

All lanes:

Peroxidase-Conjugated Goat anti-Mouse IgG (H+L) at 1/5000 dilution

Predicted band size: 26 kDa

Observed band size: 26 kDa

false

関連する標識済み抗体及び組成の異なる製品 (1)

  • Carrier free

    Anti-Bcl-XL antibody [2H12] - BSA and Azide free

Key facts

宿主種

Mouse

クローン性

Monoclonal

クローン番号

2H12

アイソタイプ

IgG2a

キャリアフリー

No

交差種

Mouse, Rat, Human

アプリケーション

WB, IHC-P

applications

免疫原

The exact immunogen used to generate this antibody is proprietary information.

Reactivity data

{ "title": "Reactivity Data", "filters": { "stats": ["", "Species", "Dilution Info", "Notes"], "tabs": { "all-applications": {"fullname" : "All Applications", "shortname": "All Applications"}, "ICC" : {"fullname" : "Immunocytochemistry", "shortname":"ICC"}, "IP" : {"fullname" : "Immunoprecipitation", "shortname":"IP"}, "FlowCyt" : {"fullname" : "Flow Cytometry", "shortname":"Flow Cyt"}, "WB" : {"fullname" : "Western blot", "shortname":"WB"}, "IHCP" : {"fullname" : "Immunohistochemistry (Formalin/PFA-fixed paraffin-embedded sections)", "shortname":"IHC-P"} }, "product-promise": { "all": "all", "testedAndGuaranteed": "tested", "guaranteed": "expected", "predicted": "predicted", "notRecommended": "not-recommended" } }, "values": { "Human": { "ICC-species-checked": "notRecommended", "ICC-species-dilution-info": "", "ICC-species-notes": "<p></p>", "IP-species-checked": "notRecommended", "IP-species-dilution-info": "", "IP-species-notes": "<p></p>", "FlowCyt-species-checked": "notRecommended", "FlowCyt-species-dilution-info": "", "FlowCyt-species-notes": "<p></p>", "WB-species-checked": "testedAndGuaranteed", "WB-species-dilution-info": "1/1000", "WB-species-notes": "<p></p>", "IHCP-species-checked": "testedAndGuaranteed", "IHCP-species-dilution-info": "1/100", "IHCP-species-notes": "<p></p> Perform heat-mediated antigen retrieval with Tris/EDTA buffer pH 9.0 before commencing with IHC staining protocol." }, "Mouse": { "ICC-species-checked": "notRecommended", "ICC-species-dilution-info": "", "ICC-species-notes": "<p></p>", "IP-species-checked": "notRecommended", "IP-species-dilution-info": "", "IP-species-notes": "<p></p>", "FlowCyt-species-checked": "notRecommended", "FlowCyt-species-dilution-info": "", "FlowCyt-species-notes": "<p></p>", "WB-species-checked": "testedAndGuaranteed", "WB-species-dilution-info": "1/1000", "WB-species-notes": "<p></p>", "IHCP-species-checked": "notRecommended", "IHCP-species-dilution-info": "1/100", "IHCP-species-notes": "<p></p> Perform heat-mediated antigen retrieval with Tris/EDTA buffer pH 9.0 before commencing with IHC staining protocol." }, "Rat": { "ICC-species-checked": "notRecommended", "ICC-species-dilution-info": "", "ICC-species-notes": "<p></p>", "IP-species-checked": "notRecommended", "IP-species-dilution-info": "", "IP-species-notes": "<p></p>", "FlowCyt-species-checked": "notRecommended", "FlowCyt-species-dilution-info": "", "FlowCyt-species-notes": "<p></p>", "WB-species-checked": "testedAndGuaranteed", "WB-species-dilution-info": "1/1000", "WB-species-notes": "<p></p>", "IHCP-species-checked": "notRecommended", "IHCP-species-dilution-info": "1/100", "IHCP-species-notes": "<p></p> Perform heat-mediated antigen retrieval with Tris/EDTA buffer pH 9.0 before commencing with IHC staining protocol." } } }

製品の詳細

What are the advantages of a recombinant monoclonal antibody?
This product is a recombinant monoclonal antibody, which offers several advantages including:

  • - High batch-to-batch consistency and reproducibility
  • - Improved sensitivity and specificity
  • - Long-term security of supply
  • - Animal-free batch production

For more information, read more on recombinant antibodies.

Want a custom formulation?
This antibody clone is manufactured by Abcam. If you require a custom buffer formulation or conjugation for your experiments, please contact orders@abcam.com

出荷温度及び保存条件

製品の状態
Liquid
精製方法
Affinity purification Protein A
バッファー組成
pH: 7.2 - 7.4 Preservative: 0.01% Sodium azide Constituents: PBS, 40% Glycerol (glycerin, glycerine), 0.05% BSA
出荷温度
Blue Ice
短期保存期間
1-2 weeks
短期保存温度
+4°C
長期保存温度
-20°C
分注に関する情報
Upon delivery aliquot
保管に関する情報
Avoid freeze / thaw cycle

補足情報

This supplementary information is collated from multiple sources and compiled automatically.

Bcl-XL also known as Bcl-xL or Bcl-Xl protein is a member of the Bcl-2 protein family playing an important role in regulating cell death. Bcl-XL inhibits apoptosis by binding to pro-apoptotic proteins preventing the release of cytochrome c from mitochondria. This protein has a molecular weight of approximately 30 kDa. Bcl-xL is widely expressed in tissues notably in the brain endothelial cells and hematopoietic tissues where it contributes to cell survival.
Biological function summary

This protein acts as an anti-apoptotic molecule within the mitochondria and is part of the Bcl-2 family complex. Bcl-XL modulates the balance between pro-apoptotic and anti-apoptotic signals impacting cell fate. By binding and sequestering pro-apoptotic members such as Bax and Bak Bcl-XL prevents mitochondrial outer membrane permeabilization important for avoiding programmed cell death. This function not only supports cellular longevity but also understanding cancer cell survival.

Pathways

The Bcl-XL protein holds a significant position in the apoptotic signaling pathways. It is particularly involved in the intrinsic pathway where its interactions with mitochondrial proteins Bax and Bak determine cell survival or death. It is interconnected with the PI3K/AKT pathway where AKT kinase activity can upregulate Bcl-XL expression demonstrating how survival signals are transmitted. These interactions highlight its pivotal role in balancing life and death at the cellular level.

Bcl-XL's overexpression often connects to the progression of cancers and resistance to chemotherapy. By inhibiting programmed cell death Bcl-XL allows cancer cells to evade traditional treatments. Furthermore research implicates Bcl-XL in neurodegenerative disorders where its interaction with Bcl-2 proteins disrupts normal apoptotic processes contributing to cellular dysfunction and disease. Understanding Bcl-XL's disease-related roles furthers the development of targeted therapies combating its protective effects in pathological contexts.

製品プロトコール

For this product, it's our understanding that no specific protocols are required. You can visit:

ターゲットの情報

Potent inhibitor of cell death. Inhibits activation of caspases. Appears to regulate cell death by blocking the voltage-dependent anion channel (VDAC) by binding to it and preventing the release of the caspase activator, CYC1, from the mitochondrial membrane. Also acts as a regulator of G2 checkpoint and progression to cytokinesis during mitosis.. Isoform Bcl-X(L) also regulates presynaptic plasticity, including neurotransmitter release and recovery, number of axonal mitochondria as well as size and number of synaptic vesicle clusters. During synaptic stimulation, increases ATP availability from mitochondria through regulation of mitochondrial membrane ATP synthase F(1)F(0) activity and regulates endocytic vesicle retrieval in hippocampal neurons through association with DMN1L and stimulation of its GTPase activity in synaptic vesicles. May attenuate inflammation impairing NLRP1-inflammasome activation, hence CASP1 activation and IL1B release (PubMed : 17418785).. Isoform Bcl-X(S) promotes apoptosis.
See full target information BCL2L1

文献 (9)

Recent publications for all applications. Explore the full list and refine your search

Nature communications 16:8806 PubMed41062500

2025

Elucidating molecularly stratified single agent, and combination, therapeutic strategies targeting MCL1 for lethal prostate cancer.

Applications

Unspecified application

Species

Unspecified reactive species

Juan M Jiménez-Vacas,Daniel Westaby,Ines Figueiredo,Alexis De Haven Brandon,Ana Padilha,Wei Yuan,George Seed,Denisa Bogdan,Bora Gurel,Claudia Bertan,Susana Miranda,Maryou Lambros,Antonio J Montero-Hidalgo,Ilsa Coleman,Ivan Pak Lok Yu,Lorenzo Buroni,Wanting Zeng,Antje J Neeb,Jon Welti,Jan Rekowski,Roberta Paravati,Florian Gabel,Nicole Pandell,Ana Ferreira,Mateus Crespo,Ruth Riisnaes,Souvik Das,Joe Taylor,Nick Waldron,Emily Hobern,Melanie Valenti,Jian Ning,Ilona Bernett,Kate Liodaki,Thomas Persse,Patricia Galipeau,Scott Wilkinson,Shana Y Trostel,Fatima Karzai,Cindy H Chau,Erica L Beatson,Xiaohu Zhang,Carleen Klumpp-Thomas,Andreas Varkaris,Raul M Luque,Amanda Swain,Florence Raynaud,Nathan A Lack,Craig J Thomas,Gavin Ha,William D Figg,Marco Bezzi,Adam G Sowalsky,Peter S Nelson,Suzanne Carreira,Steven P Balk,Johann S de Bono,Adam Sharp

International journal of molecular sciences 24: PubMed36674794

2023

Hyperforin Elicits Cytostatic/Cytotoxic Activity in Human Melanoma Cell Lines, Inhibiting Pro-Survival NF-κB, STAT3, AP1 Transcription Factors and the Expression of Functional Proteins Involved in Mitochondrial and Cytosolic Metabolism.

Applications

Unspecified application

Species

Unspecified reactive species

Alessia Cardile,Valentina Zanrè,Rachele Campagnari,Francesca Asson,Solomon Saforo Addo,Elisa Orlandi,Marta Menegazzi

Frontiers in pharmacology 12:671138 PubMed34093198

2021

Glucocappasalin Induces G2/M-Phase Arrest, Apoptosis, and Autophagy Pathways by Targeting CDK1 and PLK1 in Cervical Carcinoma Cells.

Applications

Unspecified application

Species

Unspecified reactive species

Guangya Xu,Xueling Yan,Zhongjia Hu,Lulu Zheng,Ke Ding,Yamei Zhang,Yi Qing,Tao Liu,Lijia Cheng,Zheng Shi

Molecular therapy : the journal of the American So 28:1078-1091 PubMed32053770

2020

Caspase-8 Induces Lysosome-Associated Cell Death in Cancer Cells.

Applications

Unspecified application

Species

Unspecified reactive species

Benfu Zhong,Miao Liu,Changsen Bai,Yuxia Ruan,Yuanyuan Wang,Li Qiu,Yang Hong,Xin Wang,Lifang Li,Binghui Li

EMBO reports 20:e47425 PubMed31385392

2019

Mitochondrial translocation of cyclin C stimulates intrinsic apoptosis through Bax recruitment.

Applications

Unspecified application

Species

Unspecified reactive species

Jan Jezek,Kai-Ti Chang,Amogh M Joshi,Randy Strich

Oncotarget 8:32576-32585 PubMed28427229

2017

NADPH accumulation is responsible for apoptosis in breast cancer cells induced by fatty acid synthase inhibition.

Applications

Unspecified application

Species

Unspecified reactive species

Yanfen Cui,Pan Xing,Yuanyuan Wang,Miao Liu,Li Qiu,Guoguang Ying,Binghui Li

Oncology research 24:65-72 PubMed27178823

2016

ABT-737, a Bcl-2 Selective Inhibitor, and Chloroquine Synergistically Kill Renal Cancer Cells.

Applications

Unspecified application

Species

Unspecified reactive species

Pei Yin,Jinpeng Jia,Jijun Li,Yan Song,Yiyan Zhang,Fengkun Chen

Bosnian journal of basic medical sciences 16:145-50 PubMed26773188

2016

Tocilizumab inhibits neuronal cell apoptosis and activates STAT3 in cerebral infarction rat model.

Applications

Unspecified application

Species

Unspecified reactive species

Shaojun Wang,Jun Zhou,Weijie Kang,Zhaoni Dong,Hezuo Wang

Journal of assisted reproduction and genetics 31:899-911 PubMed24760721

2014

Candidate gene expression patterns in rabbit preimplantation embryos developed in vivo and in vitro.

Applications

Unspecified application

Species

Unspecified reactive species

Gibence Rose Winnie Henderson,Sambasiva Rao Brahmasani,Uma Mahesh Yelisetti,Suman Konijeti,Venu Charan Katari,Shivaji Sisinthy
View all publications

Abcam product promise

当社は、高品質な試薬を通じてお客様の研究を力強くサポートすることをお約束いたします。ご使用いただく各段階で、常にお客様をサポートできる体制を整えております。万が一、製品が期待通りに機能しない場合は、「Abcam Product Promise」による当社保証制度に基づき、安心してご利用いただけます。
保証に関する詳細については利用規約をご確認ください。

Please note: All products are 'FOR RESEARCH USE ONLY. NOT FOR USE IN DIAGNOSTIC OR THERAPEUTIC PROCEDURES'.

For licensing inquiries, please contact partnerships@abcam.com