JavaScript is disabled in your browser. Please enable JavaScript to view this website.
AB305169

Anti-BCKDHA 抗体 [EPR27003-11] - BSA and Azide free

Anti-BCKDHA antibody [EPR27003-11] - BSA and Azide free

Be the first to review this product! Submit a review

|

(0 Publication)

Rabbit Recombinant Monoclonal BCKDHA antibody. Carrier free. Suitable for IP, IHC-P, WB and reacts with Human samples.

別名を表示する

Branched-chain alpha-keto acid dehydrogenase E1 component alpha chain, BCKDE1A, BCKDH E1-alpha, BCKDHA

7 Images
Immunohistochemistry (Formalin/PFA-fixed paraffin-embedded sections) - Anti-BCKDHA antibody [EPR27003-11] - BSA and Azide free (AB305169)
  • IHC-P

Supplier Data

Immunohistochemistry (Formalin/PFA-fixed paraffin-embedded sections) - Anti-BCKDHA antibody [EPR27003-11] - BSA and Azide free (AB305169)

This data was developed using ab305168, the same antibody clone in a different buffer formulation. Immunohistochemical analysis of paraffin-embedded Human liver tissue labeling BCKDHA with ab305168 at 1/2000 (0.264 ug/ml) followed by a ready to use LeicaDS9800 (Bond? Polymer Refine Detection) was used. Positive staining on human liver (PMID : 3224821). The section was incubated with ab305168 for 30 mins at room temperature.The immunostaining was performed on a Leica Biosystems BOND? RX instrument Counterstained with Hematoxylin. Secondary antibody only control : Secondary antibody is a ready to use LeicaDS9800 (Bond? Polymer Refine Detection) was used. Heat mediated antigen retrieval was performed with Tris-EDTA buffer (pH 9.0, Epitope Retrieval Solution2) for 20 mins

Immunohistochemistry (Formalin/PFA-fixed paraffin-embedded sections) - Anti-BCKDHA antibody [EPR27003-11] - BSA and Azide free (AB305169)
  • IHC-P

Supplier Data

Immunohistochemistry (Formalin/PFA-fixed paraffin-embedded sections) - Anti-BCKDHA antibody [EPR27003-11] - BSA and Azide free (AB305169)

This data was developed using ab305168, the same antibody clone in a different buffer formulation.

Immunohistochemical analysis of paraffin-embedded (A) Wild-type HEK293 tissue labeling BCKDHA with ab305168 at 1/5000 (0.264 ug/ml) followed by a ready to use LeicaDS9800 (Bond® Polymer Refine Detection) was used. Positive staining on (A) Wild-type HEK293T cell pellet; no staining on (B) BCKDHA knockout HEK293T (ab266439) cell pellet.The section was incubated with ab305168 for 30 mins at room temperature. The immunostaining was performed on a Leica Biosystems BOND® RX instrument. Counterstained with Hematoxylin.
Secondary antibody only control : Secondary antibody is a ready to use LeicaDS9800 (Bond® Polymer Refine Detection) was used.
Heat mediated antigen retrieval was performed with Tris-EDTA buffer (pH 9.0, Epitope Retrieval Solution2) for 20 mins

Immunohistochemistry (Formalin/PFA-fixed paraffin-embedded sections) - Anti-BCKDHA antibody [EPR27003-11] - BSA and Azide free (AB305169)
  • IHC-P

Supplier Data

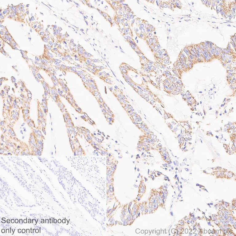
Immunohistochemistry (Formalin/PFA-fixed paraffin-embedded sections) - Anti-BCKDHA antibody [EPR27003-11] - BSA and Azide free (AB305169)

This data was developed using ab305168, the same antibody clone in a different buffer formulation. Immunohistochemical analysis of paraffin-embedded Human colorectal can tissue labeling BCKDHA with ab305168 at 1/2000 (0.264 ug/ml) followed by a ready to use LeicaDS9800 (Bond™ Polymer Refine Detection) was used. Positive staining on human colorectal cancer (PMID : 28501528). The section was incubated with ab305168 for 30 mins at room temperature. The immunostaining was performed on a Leica Biosystems BOND® RX instrument Counterstained with Hematoxylin. Secondary antibody only control : Secondary antibody is a ready to use LeicaDS9800 (Bond™ Polymer Refine Detection) was used. Heat mediated antigen retrieval was performed with Tris-EDTA buffer (pH 9.0, Epitope Retrieval Solution2) for 20 mins

Immunohistochemistry (Formalin/PFA-fixed paraffin-embedded sections) - Anti-BCKDHA antibody [EPR27003-11] - BSA and Azide free (AB305169)
  • IHC-P

Supplier Data

Immunohistochemistry (Formalin/PFA-fixed paraffin-embedded sections) - Anti-BCKDHA antibody [EPR27003-11] - BSA and Azide free (AB305169)

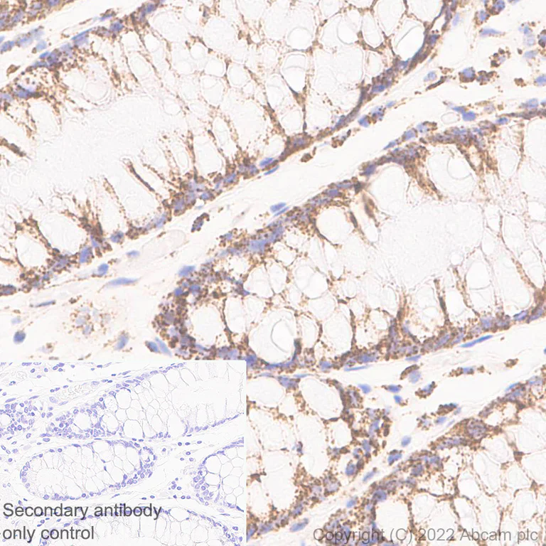
This data was developed using ab305168, the same antibody clone in a different buffer formulation.

Immunohistochemical analysis of paraffin-embedded Human colon tissue labeling BCKDHA with ab305168 at 1/2000 (0.264 ug/ml) followed by a ready to use LeicaDS9800 (Bond® Polymer Refine Detection) was used. Positive staining on human colon (PMID : 28501528). The section was incubated with ab305168 for 30 mins at room temperature. The immunostaining was performed on a Leica Biosystems BOND® RX instrument. Counterstained with Hematoxylin.
Secondary antibody only control : Secondary antibody is a ready to use LeicaDS9800 (Bond® Polymer Refine Detection) was used.
Heat mediated antigen retrieval was performed with Tris-EDTA buffer (pH 9.0, Epitope Retrieval Solution2) for 20 mins

Immunoprecipitation - Anti-BCKDHA antibody [EPR27003-11] - BSA and Azide free (AB305169)
  • IP

Supplier Data

Immunoprecipitation - Anti-BCKDHA antibody [EPR27003-11] - BSA and Azide free (AB305169)

This data was developed using ab305168, the same antibody clone in a different buffer formulation.

BCKDHA was immunoprecipitated from 0.35 mg HEK293T (human embryonic kidney epithelial cell), whole cell lysate 10 ug with ab305168 at 1/30 dilution (2ug in 0.35mg lysates). Western blot was performed on the immunoprecipitate using ab305168 at 1/1000 dilution. VeriBlot for IP secondary antibody (HRP) (ab131366) was used at 1/5000 dilution.

Lane 1 : HEK293T (human embryonic kidney epithelial cell), whole cell lysate 10 ug
Lane 2 : ab305168 IP in HEK293T whole cell lysate
Lane 3 : Rabbit monoclonal IgG (ab172730) instead of ab305168 in HEK293T whole cell lysate

Blocking and dilution buffer and concentration : 5% NFDM/TBST.

Exposure time : 15 seconds

All lanes:

Immunoprecipitation - Anti-BCKDHA antibody [EPR27003-11] (<a href='/products/primary-antibodies/bckdha-antibody-epr27003-11-ab305168'>ab305168</a>) at 1/1000 dilution

Lane 1:

HEK293T (human embryonic kidney epithelial cell), whole cell lysate 10 μg

Lane 2:

HEK293T whole cell lysate

Secondary

All lanes:

Immunoprecipitation - VeriBlot for IP Detection Reagent (HRP) (<a href='/products/reagents/veriblot-for-ip-detection-reagent-hrp-ab131366'>ab131366</a>) at 1/5000 dilution

Observed band size: 49 kDa

false

Exposure time: 15s

Western blot - Anti-BCKDHA antibody [EPR27003-11] - BSA and Azide free (AB305169)
  • WB

Supplier Data

Western blot - Anti-BCKDHA antibody [EPR27003-11] - BSA and Azide free (AB305169)

This data was developed using 305168, the same antibody clone in a different buffer formulation. Blocking and diluting buffer and concentration : 26 seconds Exposure time :

All lanes:

Western blot - Anti-BCKDHA antibody [EPR27003-11] (<a href='/products/primary-antibodies/bckdha-antibody-epr27003-11-ab305168'>ab305168</a>) at 1/1000 dilution

All lanes:

Human liver tissue lysate 20 μg

Secondary

All lanes:

Western blot - Goat Anti-Rabbit IgG H&L (HRP) (<a href='/products/secondary-antibodies/goat-rabbit-igg-h-l-hrp-ab97051'>ab97051</a>) at 1/20000 dilution

Observed band size: 49 kDa

false

Exposure time: 26s

Western blot - Anti-BCKDHA antibody [EPR27003-11] - BSA and Azide free (AB305169)
  • WB

Supplier Data

Western blot - Anti-BCKDHA antibody [EPR27003-11] - BSA and Azide free (AB305169)

This data was developed using 305168, the same antibody clone in a different buffer formulation. Blocking and diluting buffer and concentration : In Western blot, ab305168 was shown to bind specifically to BCKDHA. A band was observed at 49 kDa in wild-type HEK293T cell lysates with no signal observed at this size in BCKDHA knockout cell line ab266439 (knockout cell lysate ab258324). 15 seconds Exposure time :

All lanes:

Western blot - Anti-BCKDHA antibody [EPR27003-11] (<a href='/products/primary-antibodies/bckdha-antibody-epr27003-11-ab305168'>ab305168</a>) at 1/1000 dilution

Lane 1:

Wild-type HEK293T (human embryonic kidney epithelial cell), whole cell lysate 20 μg

Lane 2:

BCKDHA knockout HEK293T whole cell lysate 20 μg

Lane 3:

HeLa (human cervix adenocarcinoma epithelial cell), whole cell lysate 20 μg

Secondary

All lanes:

Western blot - Goat Anti-Rabbit IgG H&L (HRP) (<a href='/products/secondary-antibodies/goat-rabbit-igg-h-l-hrp-ab97051'>ab97051</a>) at 1/20000 dilution

Observed band size: 49 kDa

false

Exposure time: 15s

関連する標識済み抗体及び組成の異なる製品 (1)

Key facts

宿主種

Rabbit

クローン性

Monoclonal

クローン番号

EPR27003-11

アイソタイプ

IgG

キャリアフリー

Yes

交差種

Human

アプリケーション

IP, WB, IHC-P

applications

免疫原

The exact immunogen used to generate this antibody is proprietary information.

Reactivity data

{ "title": "Reactivity Data", "filters": { "stats": ["", "Species", "Dilution Info", "Notes"], "tabs": { "all-applications": {"fullname" : "All Applications", "shortname": "All Applications"}, "IP" : {"fullname" : "Immunoprecipitation", "shortname":"IP"}, "FlowCytIntra" : {"fullname" : "Flow Cytometry (Intracellular)", "shortname":"Flow Cyt (Intra)"}, "ICCIF" : {"fullname" : "Immunocytochemistry/ Immunofluorescence", "shortname":"ICC/IF"}, "IHCP" : {"fullname" : "Immunohistochemistry (Formalin/PFA-fixed paraffin-embedded sections)", "shortname":"IHC-P"}, "WB" : {"fullname" : "Western blot", "shortname":"WB"} }, "product-promise": { "all": "all", "testedAndGuaranteed": "tested", "guaranteed": "expected", "predicted": "predicted", "notRecommended": "not-recommended" } }, "values": { "Human": { "IP-species-checked": "testedAndGuaranteed", "IP-species-dilution-info": "", "IP-species-notes": "<p></p>", "FlowCytIntra-species-checked": "notRecommended", "FlowCytIntra-species-dilution-info": "", "FlowCytIntra-species-notes": "<p></p>", "ICCIF-species-checked": "notRecommended", "ICCIF-species-dilution-info": "", "ICCIF-species-notes": "<p></p>", "IHCP-species-checked": "testedAndGuaranteed", "IHCP-species-dilution-info": "", "IHCP-species-notes": "<p></p>", "WB-species-checked": "testedAndGuaranteed", "WB-species-dilution-info": "", "WB-species-notes": "<p></p>" }, "Mouse": { "IP-species-checked": "notRecommended", "IP-species-dilution-info": "", "IP-species-notes": "", "FlowCytIntra-species-checked": "notRecommended", "FlowCytIntra-species-dilution-info": "", "FlowCytIntra-species-notes": "", "ICCIF-species-checked": "notRecommended", "ICCIF-species-dilution-info": "", "ICCIF-species-notes": "", "IHCP-species-checked": "notRecommended", "IHCP-species-dilution-info": "", "IHCP-species-notes": "<p></p>", "WB-species-checked": "notRecommended", "WB-species-dilution-info": "", "WB-species-notes": "<p></p>" }, "Rat": { "IP-species-checked": "notRecommended", "IP-species-dilution-info": "", "IP-species-notes": "", "FlowCytIntra-species-checked": "notRecommended", "FlowCytIntra-species-dilution-info": "", "FlowCytIntra-species-notes": "", "ICCIF-species-checked": "notRecommended", "ICCIF-species-dilution-info": "", "ICCIF-species-notes": "", "IHCP-species-checked": "notRecommended", "IHCP-species-dilution-info": "", "IHCP-species-notes": "<p></p>", "WB-species-checked": "notRecommended", "WB-species-dilution-info": "", "WB-species-notes": "<p></p>" } } }

製品の詳細

Patented technology
Our RabMAb® technology is a patented hybridoma-based technology for making rabbit monoclonal antibodies. For details on our patents, please refer to RabMAb® patents.

What are the advantages of a recombinant monoclonal antibody?
This product is a recombinant monoclonal antibody, which offers several advantages including:

  • - High batch-to-batch consistency and reproducibility
  • - Improved sensitivity and specificity
  • - Long-term security of supply
  • - Animal-free batch production

For more information, read more on recombinant antibodies.

Conjugation ready
Our carrier-free antibodies are typically supplied in a PBS-only formulation, purified and free of BSA, sodium azide and glycerol. This conjugation-ready format is designed for use with fluorochromes, metal isotopes, oligonucleotides, and enzymes, which makes them ideal for antibody labelling, functional and cell-based assays, flow-based assays (e.g. mass cytometry) and Multiplex Imaging applications.

Use our conjugation kits for antibody conjugates that are ready-to-use in as little as 20 minutes with 1 minute hands-on-time and 100% antibody recovery: available for fluorescent dyes, HRP, biotin and gold.

Compatibility
This product is compatible with the Maxpar® Antibody Labeling Kit from Fluidigm, without the need for antibody preparation. Maxpar® is a trademark of Fluidigm Canada Inc.

出荷温度及び保存条件

製品の状態
Liquid
精製方法
Affinity purification Protein A
バッファー組成
pH: 7.2 - 7.4 Constituents: PBS
出荷温度
Blue Ice
短期保存温度
+4°C
長期保存温度
+4°C
保管に関する情報
Do Not Freeze

製品プロトコール

For this product, it's our understanding that no specific protocols are required. You can visit:

ターゲットの情報

Together with BCKDHB forms the heterotetrameric E1 subunit of the mitochondrial branched-chain alpha-ketoacid dehydrogenase (BCKD) complex. The BCKD complex catalyzes the multi-step oxidative decarboxylation of alpha-ketoacids derived from the branched-chain amino-acids valine, leucine and isoleucine producing CO2 and acyl-CoA which is subsequently utilized to produce energy. The E1 subunit catalyzes the first step with the decarboxylation of the alpha-ketoacid forming an enzyme-product intermediate. A reductive acylation mediated by the lipoylamide cofactor of E2 extracts the acyl group from the E1 active site for the next step of the reaction.
See full target information BCKDHA

Abcam product promise

当社は、高品質な試薬を通じてお客様の研究を力強くサポートすることをお約束いたします。ご使用いただく各段階で、常にお客様をサポートできる体制を整えております。万が一、製品が期待通りに機能しない場合は、「Abcam Product Promise」による当社保証制度に基づき、安心してご利用いただけます。
保証に関する詳細については利用規約をご確認ください。

Please note: All products are 'FOR RESEARCH USE ONLY. NOT FOR USE IN DIAGNOSTIC OR THERAPEUTIC PROCEDURES'.

For licensing inquiries, please contact partnerships@abcam.com