JavaScript is disabled in your browser. Please enable JavaScript to view this website.
AB32503

Anti-Bax 抗体 [E63]

Anti-Bax antibody [E63]

  • BOND RX™ Validated
  • 20ul selling size
  • RabMAb
  • Recombinant
  • KO Validated
  • 詳細を見る

4

(12 Reviews)

|

(2474 Publications)

Anti-Bax antibody [E63] (ab32503) is a rabbit monoclonal antibody detecting Bax in Western Blot, IP, IHC-P, ELISA. Suitable for Human, Mouse, Rat.

- KO validated for confirmed specificity
- Biophysical QC for unrivalled batch-batch consistency
- Over 2470 publications
- Trusted since 2006

別名を表示する

BCL2L4, BAX, Apoptosis regulator BAX, Bcl-2-like protein 4, Bcl2-L-4

11 Images
Immunohistochemistry (Formalin/PFA-fixed paraffin-embedded sections) - Anti-Bax antibody [E63] (AB32503)
  • IHC-P

Unknown

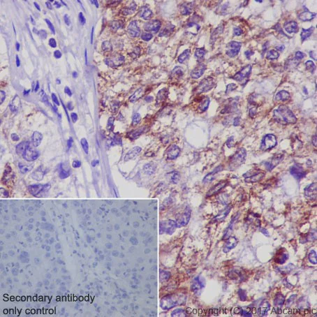
Immunohistochemistry (Formalin/PFA-fixed paraffin-embedded sections) - Anti-Bax antibody [E63] (AB32503)

Purified ab32503 staining Bax in Human lung carcinoma tissue section by immmunohistochemistry (IHC-P- Formalin/PFA-fixed paraffin-embedded sections). Tissue was fixed with paraffin and heat mediated antigen retrieval was performed using EDTA buffer (pH 9.0). Samples were incubated with primary antibody at 1 : 500 dilution. A goat anti-rabbit IgG H&L (HRP) (ab97051) was used as a secondary antibody at 1 : 500 dilution. Cytoplasmic staining on human lung carcinoma.

Immunohistochemistry (Formalin/PFA-fixed paraffin-embedded sections) - Anti-Bax antibody [E63] (AB32503)
  • IHC-P

Lab

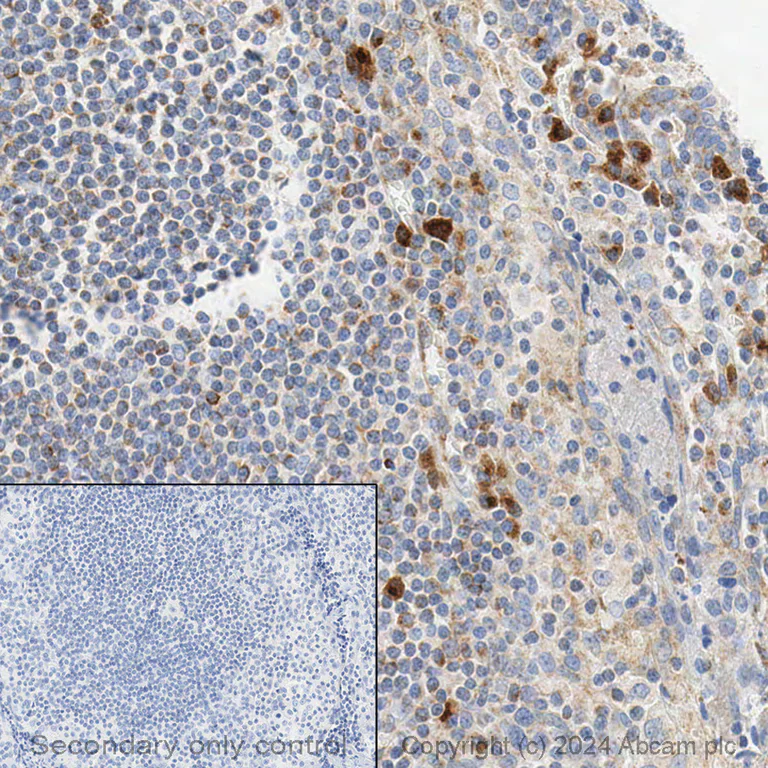
Immunohistochemistry (Formalin/PFA-fixed paraffin-embedded sections) - Anti-Bax antibody [E63] (AB32503)

Immunohistochemical analysis of formalin fixed paraffin embedded human tonsil labelling BAX with ab32503 at a concentration of 0.05 µg/ml. The immunostaining was performed on a Ventana DISCOVERY ULTRA (Roche Tissue Diagnostics) instrument with a OptiView DAB IHC Detection Kit. Heat mediated antigen retrieval was performed with DISCOVERY cell conditioning solution (CC1) 100°C, pH8.5 for 32mins.

ab32503 Anti-Bax antibody [E63] was incubated for 16mins at 37°C. Sections were counterstained with Hematoxylin II. Image inset shows absence of staining in secondary antibody only control.

Customers are encouraged to optimise antigen retrieval conditions, antibody concentration, incubation times and temperature for best results in their own IHC assay workflow (automated and manual)

Immunoprecipitation - Anti-Bax antibody [E63] (AB32503)
  • IP

Unknown

Immunoprecipitation - Anti-Bax antibody [E63] (AB32503)

Lane 1 (input) : HeLa (Human cervix adenocarcinoma epithelial cell) whole cell lysate, 10μg
Lane 2 (+) : HeLa whole cell lysate
Lane 3 (-) : Rabbit monoclonal IgG (ab172730) instead of ab32503 in HeLa whole cell lysate

Purified ab32503 immunoprecipitating Bax in HeLa lysates. For western blotting, the primary antibody used was purified ab32503 at 1/1000 dilution. ab131366 VeriBlot for IP Detection Reagent (HRP) was used for detection at 1/1000 dilution. Capture antibody was used at a 1/20 dilution. Blocking and diluting buffer used was 5% NFDM/TBST.

All lanes:

Immunoprecipitation - Anti-Bax antibody [E63] (ab32503)

Predicted band size: 21 kDa

false

Exposure time: 1s

Western blot - Anti-Bax antibody [E63] (AB32503)
  • WB

Lab

Western blot - Anti-Bax antibody [E63] (AB32503)

Different batches of ab32503 were tested on HeLa (Human cervix adenocarcinoma epithelial cell) lysate at 0.1 µg/ml. 15 µg of lysate was loaded in each lane.

All lanes:

Western blot - Anti-Bax antibody [E63] (ab32503)

Predicted band size: 21 kDa

false

Western blot - Anti-Bax antibody [E63] (AB32503)
  • WB

Lab

Western blot - Anti-Bax antibody [E63] (AB32503)

Lanes 1 - 2 : Merged signal (red and green). Green - ab32503. Red - loading control, ab8245, observed at 37 kDa or ab18058, observed at 130 kDa.

This western blot image is a comparison between ab32503 and a competitor's top cited rabbit polyclonal antibody.

All lanes:

Western blot - Anti-Bax antibody [E63] (ab32503)

Lane 1:

Wild-type HAP1 cell lysate at 20 µg

Lane 2:

Bax knockout HAP1 cell lysate at 20 µg

Predicted band size: 21 kDa

false

Western blot - Anti-Bax antibody [E63] (AB32503)
  • WB

Lab

Western blot - Anti-Bax antibody [E63] (AB32503)

Lanes 1 - 2 : Merged signal (red and green). Green - ab32503. Red - loading control, ab8245, observed at 37 kDa.
ab32503 was shown to recognize Bax in wild-type HAP1 cells, along with additional cross-reactive bands. Wild-type and Bax knockout samples were subjected to SDS-PAGE. ab32503 and ab8245 (loading control to GAPDH) were diluted at 1/1000 and 1/10 000 respectively and incubated overnight at 4°C. Blots were developed with Goat anti-Rabbit IgG H&L (IRDye® 800CW) preadsorbed (ab216773) and Goat anti-Mouse IgG H&L (IRDye® 680RD) preadsorbed (ab216776) secondary antibodies at 1/10 000 dilution for 1 h at room temperature before imaging.

All lanes:

Western blot - Anti-Bax antibody [E63] (ab32503) at 1/1000 dilution

Lane 1:

Wild-type HAP1 cell lysate at 20 µg

Lane 2:

Bax knockout HAP1 cell lysate at 20 µg

Predicted band size: 21 kDa

false

Western blot - Anti-Bax antibody [E63] (AB32503)
  • WB

Lab

Western blot - Anti-Bax antibody [E63] (AB32503)

Blocking and Diluting buffers : 5% NFDM/TBST

Exposure time 1~9 lanes 32 s; 10~11 lanes 3 min

Jurkat is negative reported by PMID : 15528359. Brain is low expressed reported by PMID : 27069530.

All lanes:

Western blot - Anti-Bax antibody [E63] (ab32503) at 1/2000 dilution

Lane 1:

HeLa (Human cervix adenocarcinoma epithelial cell) whole cell lysates at 20 µg

Lane 2:

Hep G2 (Human hepatocellular carcinoma epithelial cell). Whole cell lysates at 20 µg

Lane 3:

Jurkat (Human T cell leukemia T lymphocyte) whole cell lysates at 20 µg

Lane 4:

A549 (Human lung carcinoma epithelial cell) whole cell lysates at 20 µg

Lane 5:

C2C12 (Mouse myoblasts myoblast) whole cell lysates at 20 µg

Lane 6:

C6 (Rat glial tumor glial cell) whole cell lysates at 20 µg

Lane 7:

Mouse brain whole tissue lysate at 20 µg

Lanes 8 and 10:

Rat brain whole tissue lysate at 20 µg

Lanes 9 and 11:

Rat spleen whole tissue lysate at 20 µg

Secondary

All lanes:

Western blot - Goat Anti-Rabbit IgG H&L (HRP) (<a href='/products/secondary-antibodies/goat-rabbit-igg-h-l-hrp-ab97051'>ab97051</a>) at 1/100000 dilution

Predicted band size: 21 kDa

false

Western blot - Anti-Bax antibody [E63] (AB32503)
  • WB

Lab

Western blot - Anti-Bax antibody [E63] (AB32503)

Lanes 1- 2 : Merged signal (red and green). Green - ab32503. Red - Anti-GAPDH antibody [6C5] - Loading Control (ab8245) observed at 37 kDa.

ab32503 was shown to react with Bax in wild-type HeLa cells in western blot. Loss of signal was observed when knockout cell line ab255363 (knockout cell lysate ab263841) was used. Wild-type HeLa and BAX knockout HeLa cell lysates were subjected to SDS-PAGE. Membrane was blocked for 1 hour at room temperature in 0.1% TBST with 3% non-fat dried milk. ab32503 and Anti-GAPDH antibody [6C5] - Loading Control (ab8245) overnight at 4°C at a 1 in 1000 dilution and a 1 in 20000 dilution respectively. Blots were developed with Goat anti-Rabbit IgG H&L (IRDye®800CW) preadsorbed (ab216773) and Goat anti-Mouse IgG H&L (IRDye®680RD) preadsorbed (ab216776) secondary antibodies at 1 in 20000 dilution for 1 hour at room temperature before imaging.

All lanes:

Western blot - Anti-Bax antibody [E63] (ab32503) at 1/1000 dilution

Lane 1:

Wild-type HeLa cell lysate at 20 µg

Lane 2:

Western blot - Human BAX knockout HeLa cell lysate (<a href='/products/cell-lysates/human-bax-knockout-hela-cell-lysate-ab263841'>ab263841</a>) at 20 µg

Lane 2:

Western blot - Human BAX knockout HeLa cell line (<a href='/products/cell-lines/human-bax-knockout-hela-cell-line-ab255363'>ab255363</a>)

Predicted band size: 21 kDa

false

Immunohistochemistry (Formalin/PFA-fixed paraffin-embedded sections) - Anti-Bax antibody [E63] (AB32503)
  • IHC-P

Unknown

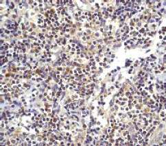
Immunohistochemistry (Formalin/PFA-fixed paraffin-embedded sections) - Anti-Bax antibody [E63] (AB32503)

Immunohistochemical analysis of paraffin-embedded human lymph node using anti-Bax Rabbit Monoclonal Antibody (ab32503) at 1/250 dilution.

Perform heat mediated antigen retrieval with citrate buffer pH 6 before commencing with IHC staining protocol.

Immunohistochemistry (Formalin/PFA-fixed paraffin-embedded sections) - Anti-Bax antibody [E63] (AB32503)
  • IHC-P

Unknown

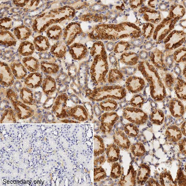
Immunohistochemistry (Formalin/PFA-fixed paraffin-embedded sections) - Anti-Bax antibody [E63] (AB32503)

IHC image of ab32503 staining Bax in rat kidney formalin fixed paraffin embedded tissue sections, performed on a Leica Bond. The section was pre-treated using heat mediated antigen retrieval with sodium citrate buffer (pH6, epitope retrieval solution 1) for 20 mins. The section was then incubated with ab32503, 1 : 250 dilution, for 15 mins at room temperature and detected using an HRP conjugated compact polymer system. DAB was used as the chromogen. The section was then counterstained with haematoxylin and mounted with DPX. No primary antibody was used in the secondary only control (shown on the inset).
For other IHC staining systems (automated and non-automated) customers should optimize variable parameters such as antigen retrieval conditions, primary antibody concentration and antibody incubation times.

Sandwich ELISA - Anti-Bax antibody [E63] (AB32503)
  • sELISA

Unknown

Sandwich ELISA - Anti-Bax antibody [E63] (AB32503)

Standard Curve for Bax (Analyte : Recombinant human Bax protein (tagged) ab85157) dilution range 1pg/ml to 1ug/ml using Capture Antibody Mouse monoclonal [2D2] to Bax - BSA and Azide free (ab77566) at 0.2ug/ml and Detector Antibody Rabbit monoclonal [E63] to Bax (ab32503) at 0.5ug/ml . Concentration of ab32503 may vary from lot to lot; please use this curve as guideline.

関連する標識済み抗体及び組成の異なる製品 (2)

  • HRP

    HRP Anti-Bax antibody [E63]

  • Carrier free

    Anti-Bax antibody [E63] - BSA and Azide free

Key facts

宿主種

Rabbit

クローン性

Monoclonal

クローン番号

E63

アイソタイプ

IgG

キャリアフリー

No

交差種

Rat, Human, Mouse

アプリケーション

IP, WB, sELISA, IHC-P

applications

免疫原

The exact immunogen used to generate this antibody is proprietary information.

特異性

Expression levels of BAX protein vary with sample type. Induction may be required if endogenous expression is low.

Reactivity data

{ "title": "Reactivity Data", "filters": { "stats": ["", "Species", "Dilution Info", "Notes"], "tabs": { "all-applications": {"fullname" : "All Applications", "shortname": "All Applications"}, "IHCP" : {"fullname" : "Immunohistochemistry (Formalin/PFA-fixed paraffin-embedded sections)", "shortname":"IHC-P"}, "ICCIF" : {"fullname" : "Immunocytochemistry/ Immunofluorescence", "shortname":"ICC/IF"}, "IP" : {"fullname" : "Immunoprecipitation", "shortname":"IP"}, "FlowCyt" : {"fullname" : "Flow Cytometry", "shortname":"Flow Cyt"}, "WB" : {"fullname" : "Western blot", "shortname":"WB"}, "sELISA" : {"fullname" : "Sandwich ELISA", "shortname":"sELISA"} }, "product-promise": { "all": "all", "testedAndGuaranteed": "tested", "guaranteed": "expected", "predicted": "predicted", "notRecommended": "not-recommended" } }, "values": { "Human": { "IHCP-species-checked": "testedAndGuaranteed", "IHCP-species-dilution-info": "1/250", "IHCP-species-notes": "<p></p> Perform heat-mediated antigen retrieval with citrate buffer pH 6 before commencing with IHC staining protocol.", "ICCIF-species-checked": "notRecommended", "ICCIF-species-dilution-info": "", "ICCIF-species-notes": "<p></p>", "IP-species-checked": "testedAndGuaranteed", "IP-species-dilution-info": "1/100", "IP-species-notes": "<p></p>", "FlowCyt-species-checked": "notRecommended", "FlowCyt-species-dilution-info": "1/1000", "FlowCyt-species-notes": "<p><a href='/products/primary-antibodies/rabbit-igg-monoclonal-epr25a-isotype-control-ab172730'>ab172730</a> - Rabbit monoclonal IgG, is suitable for use as an isotype control with this antibody.</p>", "WB-species-checked": "testedAndGuaranteed", "WB-species-dilution-info": "1/1000 - 1/10000", "WB-species-notes": "<p></p>", "sELISA-species-checked": "guaranteed", "sELISA-species-dilution-info": "", "sELISA-species-notes": "" }, "Mouse": { "IHCP-species-checked": "guaranteed", "IHCP-species-dilution-info": "", "IHCP-species-notes": "", "ICCIF-species-checked": "notRecommended", "ICCIF-species-dilution-info": "", "ICCIF-species-notes": "<p></p>", "IP-species-checked": "guaranteed", "IP-species-dilution-info": "", "IP-species-notes": "", "FlowCyt-species-checked": "notRecommended", "FlowCyt-species-dilution-info": "1/1000", "FlowCyt-species-notes": "<p><a href='/products/primary-antibodies/rabbit-igg-monoclonal-epr25a-isotype-control-ab172730'>ab172730</a> - Rabbit monoclonal IgG, is suitable for use as an isotype control with this antibody.</p>", "WB-species-checked": "testedAndGuaranteed", "WB-species-dilution-info": "1/1000 - 1/10000", "WB-species-notes": "<p></p>", "sELISA-species-checked": "guaranteed", "sELISA-species-dilution-info": "", "sELISA-species-notes": "" }, "Rat": { "IHCP-species-checked": "testedAndGuaranteed", "IHCP-species-dilution-info": "1/250", "IHCP-species-notes": "<p></p> Perform heat-mediated antigen retrieval with citrate buffer pH 6 before commencing with IHC staining protocol.", "ICCIF-species-checked": "notRecommended", "ICCIF-species-dilution-info": "", "ICCIF-species-notes": "<p></p>", "IP-species-checked": "guaranteed", "IP-species-dilution-info": "", "IP-species-notes": "", "FlowCyt-species-checked": "notRecommended", "FlowCyt-species-dilution-info": "1/1000", "FlowCyt-species-notes": "<p><a href='/products/primary-antibodies/rabbit-igg-monoclonal-epr25a-isotype-control-ab172730'>ab172730</a> - Rabbit monoclonal IgG, is suitable for use as an isotype control with this antibody.</p>", "WB-species-checked": "testedAndGuaranteed", "WB-species-dilution-info": "1/1000 - 1/10000", "WB-species-notes": "<p></p>", "sELISA-species-checked": "guaranteed", "sELISA-species-dilution-info": "", "sELISA-species-notes": "" }, "Cow": { "IHCP-species-checked": "predicted", "IHCP-species-dilution-info": "", "IHCP-species-notes": "", "ICCIF-species-checked": "notRecommended", "ICCIF-species-dilution-info": "", "ICCIF-species-notes": "", "IP-species-checked": "predicted", "IP-species-dilution-info": "", "IP-species-notes": "", "FlowCyt-species-checked": "notRecommended", "FlowCyt-species-dilution-info": "", "FlowCyt-species-notes": "", "WB-species-checked": "predicted", "WB-species-dilution-info": "", "WB-species-notes": "", "sELISA-species-checked": "predicted", "sELISA-species-dilution-info": "", "sELISA-species-notes": "" }, "Recombinant fragment - Human": { "IHCP-species-checked": "notRecommended", "IHCP-species-dilution-info": "", "IHCP-species-notes": "", "ICCIF-species-checked": "notRecommended", "ICCIF-species-dilution-info": "", "ICCIF-species-notes": "", "IP-species-checked": "notRecommended", "IP-species-dilution-info": "", "IP-species-notes": "", "FlowCyt-species-checked": "notRecommended", "FlowCyt-species-dilution-info": "", "FlowCyt-species-notes": "", "WB-species-checked": "notRecommended", "WB-species-dilution-info": "", "WB-species-notes": "", "sELISA-species-checked": "testedAndGuaranteed", "sELISA-species-dilution-info": "", "sELISA-species-notes": "<p></p>" }, "Recombinant full length protein - Human": { "IHCP-species-checked": "notRecommended", "IHCP-species-dilution-info": "", "IHCP-species-notes": "", "ICCIF-species-checked": "notRecommended", "ICCIF-species-dilution-info": "", "ICCIF-species-notes": "", "IP-species-checked": "notRecommended", "IP-species-dilution-info": "", "IP-species-notes": "", "FlowCyt-species-checked": "notRecommended", "FlowCyt-species-dilution-info": "", "FlowCyt-species-notes": "", "WB-species-checked": "testedAndGuaranteed", "WB-species-dilution-info": "1/1000 - 1/10000", "WB-species-notes": "<p></p>", "sELISA-species-checked": "notRecommended", "sELISA-species-dilution-info": "", "sELISA-species-notes": "" } } }

下記製品にもご興味をお持ちいただけるかもしれません:

AB199080

Human Bax ELISA Kit

0

0 Reviews

製品ページを見る
こちらの製品も推奨する理由

この製品は、同様の実験や関連する研究で広く使用されていることから推奨させていただいております。

お客様の実験に適するかご確認いただくため、必ず製品データシートをご確認いただくことをお勧めいたします。ご不明点等ございましたら、テクニカルサポートチームまでお問い合わせください。

製品の詳細

出荷温度及び保存条件

製品の状態
Liquid
精製方法
Affinity purification Protein A
バッファー組成
pH: 7.2 - 7.4 Preservative: 0.01% Sodium azide Constituents: 59% PBS, 40% Glycerol (glycerin, glycerine), 0.05% BSA
出荷温度
Conditional Ambient
短期保存期間
1-2 weeks
短期保存温度
+4°C
長期保存温度
-20°C
分注に関する情報
Upon delivery aliquot
保管に関する情報
Avoid freeze / thaw cycle

補足情報

This supplementary information is collated from multiple sources and compiled automatically.

Bax also known as Bcl-2-associated X protein plays an important role in the regulation of apoptosis. It is widely known for its pro-apoptotic function opposing the action of anti-apoptotic proteins like Bcl-2. Bax has a molecular weight of approximately 21 kDa making it identifiable in laboratory techniques such as western blot. Researchers often use anti-Bax antibodies to detect and analyze its expression levels in various studies. The Bax protein is mainly expressed in mitochondria where it undergoes changes in response to apoptotic signals.
Biological function summary

The Bax protein forms homodimers or heterodimers with other Bcl-2 family proteins to facilitate apoptosis. This protein is part of a larger complex involving several members of the Bcl-2 family which finely tunes the balance between cell survival and programmed cell death. Through a change in its conformation Bax translocates to the outer mitochondrial membrane where it promotes the release of cytochrome c and other apoptogenic factors into the cytosol.

Pathways

Bax plays a significant role in the intrinsic pathway of apoptosis also known as the mitochondrial pathway. This pathway involves the release of cytochrome c which further activates downstream proteins such as caspase-9 and caspase-3. Bax interacts closely with proteins like Bak another pro-apoptotic member of the Bcl-2 family providing a cooperative function in mitochondrial membrane permeabilization. Together Bax and Bak act as gatekeepers of the mitochondrial pathway determining the cell's fate in response to apoptotic stimuli.

The dysregulation of Bax often associates with various cancers and neurodegenerative diseases. In cancer reduced Bax expression or function can lead to resistance to apoptosis contributing to unchecked cellular proliferation. Conversely in neurodegenerative disorders such as Alzheimer's disease increased Bax activity results in excessive neuronal apoptosis. The balance between Bax and its partner proteins like Bcl-2 or Bcl-xL is important in maintaining normal cellular function and preventing disease progression.

製品プロトコール

For this product, it's our understanding that no specific protocols are required. You can visit:

ターゲットの情報

Plays a role in the mitochondrial apoptotic process (PubMed : 10772918, PubMed : 11060313, PubMed : 16113678, PubMed : 16199525, PubMed : 18948948, PubMed : 21199865, PubMed : 21458670, PubMed : 25609812, PubMed : 36361894, PubMed : 8358790, PubMed : 8521816). Under normal conditions, BAX is largely cytosolic via constant retrotranslocation from mitochondria to the cytosol mediated by BCL2L1/Bcl-xL, which avoids accumulation of toxic BAX levels at the mitochondrial outer membrane (MOM) (PubMed : 21458670). Under stress conditions, undergoes a conformation change that causes translocation to the mitochondrion membrane, leading to the release of cytochrome c that then triggers apoptosis (PubMed : 10772918, PubMed : 11060313, PubMed : 16113678, PubMed : 16199525, PubMed : 18948948, PubMed : 21199865, PubMed : 21458670, PubMed : 25609812, PubMed : 8358790, PubMed : 8521816). Promotes activation of CASP3, and thereby apoptosis (PubMed : 10772918, PubMed : 11060313, PubMed : 16113678, PubMed : 16199525, PubMed : 18948948, PubMed : 21199865, PubMed : 21458670, PubMed : 25609812, PubMed : 8358790, PubMed : 8521816).
See full target information BAX

文献 (2474)

Recent publications for all applications. Explore the full list and refine your search

Fluids and barriers of the CNS 20:95 PubMed38114994

2023

Cerebral microvascular endothelial cell-derived extracellular vesicles regulate blood - brain barrier function.

Applications

Unspecified application

Species

Unspecified reactive species

Baharak Hosseinkhani,Gayel Duran,Cindy Hoeks,Doryssa Hermans,Melissa Schepers,Paulien Baeten,Joren Poelmans,Britt Coenen,Kübra Bekar,Isabel Pintelon,Jean-Pierre Timmermans,Tim Vanmierlo,Luc Michiels,Niels Hellings,Bieke Broux

Journal of nanobiotechnology 21:488 PubMed38105218

2023

Inhibitory effects of the nanoscale lysate derived from xenogenic dental pulp stem cells in lung cancer models.

Applications

Unspecified application

Species

Unspecified reactive species

Yan He,Ruohan Li,Wenting She,Yilong Ai,Kesheng Li,Tushar Kumeria,Ziran Jiang,Qing Shao,Chen Zou,Abdullkhaleg Ali Albashari,Xingxiang Duan,Qingsong Ye

Burns & trauma 11:tkad024 PubMed38116467

2023

S-Nitrosylation-mediated coupling of DJ-1 with PTEN induces PI3K/AKT/mTOR pathway-dependent keloid formation.

Applications

Unspecified application

Species

Unspecified reactive species

Dongming Lv,Zhongye Xu,Pu Cheng,Zhicheng Hu,Yunxian Dong,Yanchao Rong,Hailin Xu,Zhiyong Wang,Xiaoling Cao,Wuguo Deng,Bing Tang

BMC complementary medicine and therapies 23:461 PubMed38102661

2023

Proteomic analysis reveals the molecular mechanism of Astragaloside in the treatment of non-small cell lung cancer by inducing apoptosis.

Applications

Unspecified application

Species

Unspecified reactive species

Jiaqi Liu,Yan Sun,Wenjing Chen,Lingling Deng,Mengmeng Chen,Jingcheng Dong

Journal of applied biomedicine 21:180-192 PubMed38112457

2023

Ginsenoside Rb2 improves heart failure by down-regulating miR-216a-5p to promote autophagy and inhibit apoptosis and oxidative stress.

Applications

Unspecified application

Species

Unspecified reactive species

You Peng,Bin Liao,Yan Zhou,Wei Zeng

PeerJ 11:e16659 PubMed38107572

2023

CXCL10-based gene cluster model serves as a potential diagnostic biomarker for premature ovarian failure.

Applications

Unspecified application

Species

Unspecified reactive species

Ying Qin,Canliang Wen,Huijiao Wu

Analytical cellular pathology (Amsterdam) 2023:4500810 PubMed38077523

2023

Luteolin Pretreatment Ameliorates Myocardial Ischemia/Reperfusion Injury by lncRNA-JPX/miR-146b Axis.

Applications

Unspecified application

Species

Unspecified reactive species

Tongda Xu,Yuanyuan Zhang,Gege Liao,Haochen Xuan,Jie Yin,Jieli Bao,Yang Liu,Dongye Li

Respiratory research 24:301 PubMed38041059

2023

CSE triggers ferroptosis via SIRT4-mediated GNPAT deacetylation in the pathogenesis of COPD.

Applications

Unspecified application

Species

Unspecified reactive species

Congping Li,Fei Chen,Liangfen Lin,Jiwei Li,Yamei Zheng,Qingyun Chen

Iranian journal of public health 52:1962-1972 PubMed38033851

2023

Licochalcone A Inhibits Proliferation and Metastasis of Colon Cancer by Regulating miR-1270/ADAM9/Akt/NF-κB axis.

Applications

Unspecified application

Species

Unspecified reactive species

Changhai Pan,Hongjin Chen,Bolin Yang

Nature communications 14:7856 PubMed38030636

2023

A click chemistry-mediated all-peptide cell printing hydrogel platform for diabetic wound healing.

Applications

Unspecified application

Species

Unspecified reactive species

Jinjian Huang,Rong Yang,Jiao Jiao,Ze Li,Penghui Wang,Ye Liu,Sicheng Li,Canwen Chen,Zongan Li,Guiwen Qu,Kang Chen,Xiuwen Wu,Bo Chi,Jianan Ren
View all publications

Abcam product promise

当社は、高品質な試薬を通じてお客様の研究を力強くサポートすることをお約束いたします。ご使用いただく各段階で、常にお客様をサポートできる体制を整えております。万が一、製品が期待通りに機能しない場合は、「Abcam Product Promise」による当社保証制度に基づき、安心してご利用いただけます。
保証に関する詳細については利用規約をご確認ください。

関連製品

Select an associated product type
Alternative Product
Primary Antibodies

AB111391

Anti-Bax (phospho S184) antibody

primary-antibodies

bax-phospho-s184-antibody-ab111391

0

(0 reviews)

Alternative Product
Primary Antibodies

AB262929

Anti-Bax antibody

primary-antibodies

bax-antibody-ab262929

0

(0 reviews)

Alternative Product
Primary Antibodies

AB192819

Anti-Bax (phospho T167) antibody

primary-antibodies

bax-phospho-t167-antibody-ab192819

0

(0 reviews)

Alternative Product
Primary Antibodies

AB216494

Anti-Bax antibody

primary-antibodies

bax-antibody-ab216494

0

(0 reviews)

Alternative Product
Primary Antibodies

AB81083

Anti-Bax antibody [SP47]

primary-antibodies

bax-antibody-sp47-ab81083

0

(0 reviews)

Alternative Product
Primary Antibodies

AB104156

Anti-Bax antibody

primary-antibodies

bax-antibody-ab104156

0

(0 reviews)

Alternative Product
Primary Antibodies

AB212790

Anti-Bax antibody [2D2] - BSA and Azide free

primary-antibodies

bax-antibody-2d2-bsa-and-azide-free-ab212790

0

(0 reviews)

Alternative Product
Primary Antibodies

AB270742

Anti-Bax antibody [2D2]

primary-antibodies

bax-antibody-2d2-ab270742

0

(0 reviews)

Alternative Product
Primary Antibodies

AB182734

Anti-Bax antibody [EPR18284]

primary-antibodies

bax-antibody-epr18284-ab182734

0

(0 reviews)

Alternative Product
Primary Antibodies

AB232479

Anti-Bax antibody [EPR18283] - BSA and Azide free

primary-antibodies

bax-antibody-epr18283-bsa-and-azide-free-ab232479

0

(0 reviews)

Alternative Product
Primary Antibodies

AB240930

Anti-Bax antibody [SP47] - BSA and Azide free

primary-antibodies

bax-antibody-sp47-bsa-and-azide-free-ab240930

0

(0 reviews)

Alternative Product
Primary Antibodies

AB53154

Anti-Bax antibody

primary-antibodies

bax-antibody-ab53154

1

(1 reviews)

Alternative Product
Primary Antibodies

AB263897

Anti-Bax antibody

primary-antibodies

bax-antibody-ab263897

0

(0 reviews)

Alternative Product
Primary Antibodies

AB252258

Anti-Bax antibody [5B7] - BSA and Azide free

primary-antibodies

bax-antibody-5b7-bsa-and-azide-free-ab252258

0

(0 reviews)

Alternative Product
Primary Antibodies

AB139543

FITC Anti-Bax antibody [T22-A]

primary-antibodies

fitc-bax-antibody-t22-a-ab139543

0

(0 reviews)

Please note: All products are 'FOR RESEARCH USE ONLY. NOT FOR USE IN DIAGNOSTIC OR THERAPEUTIC PROCEDURES'.

For licensing inquiries, please contact partnerships@abcam.com