JavaScript is disabled in your browser. Please enable JavaScript to view this website.
AB47124

Anti-Bag3 抗体

Anti-Bag3 antibody

5

(1 Review)

|

(28 Publications)

Rabbit Polyclonal BAG3 antibody. Suitable for IP, WB, IHC-P, ICC/IF, IHC-Fr and reacts with Mouse, Human samples. Cited in 28 publications. Immunogen corresponding to Recombinant Fragment Protein within Human BAG3.

別名を表示する

BIS, BAG3, BAG family molecular chaperone regulator 3, BAG-3, Bcl-2-associated athanogene 3, Bcl-2-binding protein Bis, Docking protein CAIR-1

6 Images
Immunocytochemistry/ Immunofluorescence - Anti-Bag3 antibody (AB47124)
  • ICC/IF

Supplier Data

Immunocytochemistry/ Immunofluorescence - Anti-Bag3 antibody (AB47124)

Immunocytochemistry/Immunofluorescence of A431 cells stained with Anti-Bag3 antibody (ab47124) green. Nuclei and alpha-tubulin were counterstained with DAPI (blue) and DyLight 550 (red).

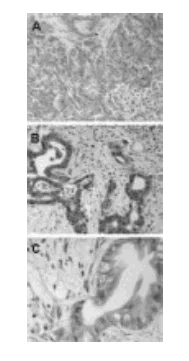
Immunohistochemistry (Formalin/PFA-fixed paraffin-embedded sections) - Anti-Bag3 antibody (AB47124)
  • IHC-P

Unknown

Immunohistochemistry (Formalin/PFA-fixed paraffin-embedded sections) - Anti-Bag3 antibody (AB47124)

Immunohistochemistry of formalin fixed paraffin embedded human pancreas tissue sections using ab47124 at 1/2000. A, normal pancreas. B and C, pancreatic cancer. Hematoxylin-eosin counterstain.

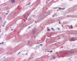
Immunohistochemistry (Frozen sections) - Anti-Bag3 antibody (AB47124)
  • IHC-Fr

Unknown

Immunohistochemistry (Frozen sections) - Anti-Bag3 antibody (AB47124)

Frozen mouse muscle tissue section stained for BAG3 expression using ab47124 at 1/2000. The tissue section was fixed in 3.8% paraformaldehyde prior to staining. BAG3 localizes with Z-disk proteins."

Western blot - Anti-Bag3 antibody (AB47124)
  • WB

Unknown

Western blot - Anti-Bag3 antibody (AB47124)

Tissue lysates, normalized for total protein (20 μg/lane), were from a 4 week old male mouse. BAG3 expression was detected at highest levels in skeletal (quadriceps and diaphragm) and smooth (heart) muscle specimens.

All lanes:

Western blot - Anti-Bag3 antibody (ab47124) at 1/2000 dilution

Lane 1:

Thymus lysates, total protein (20ug/lane)

Lane 2:

Spleen lysates, total protein (20ug/lane)

Lane 3:

Skeletal(quadriceps) lysates, total protein (20ug/lane)

Lane 4:

Skeletal(diaphragm) lysates, total protein (20ug/lane)

Lane 5:

Smooth (heart) muscle lysates, total protein (20ug/lane)

Predicted band size: 62 kDa

Observed band size: 86 kDa

false

Immunocytochemistry/ Immunofluorescence - Anti-Bag3 antibody (AB47124)
  • ICC/IF

Unknown

Immunocytochemistry/ Immunofluorescence - Anti-Bag3 antibody (AB47124)

ICC/IF image of ab47124 stained HeLa cells. The cells were 4% formaldehyde fixed (10 min) and then incubated in 1%BSA / 10% normal goat serum / 0.3M glycine in 0.1% PBS-Tween for 1h to permeabilise the cells and block non-specific protein-protein interactions. The cells were then incubated with the antibody (ab47124) overnight at +4°C. The secondary antibody (green) was ab96899, DyLight® 488 goat anti-rabbit IgG (H+L) used at a 1/250 dilution for 1h. Alexa Fluor® 594 WGA was used to label plasma membranes (red) at a 1/200 dilution for 1h. DAPI was used to stain the cell nuclei (blue) at a concentration of 1.43μM.

Western blot - Anti-Bag3 antibody (AB47124)
  • WB

Supplier Data

Western blot - Anti-Bag3 antibody (AB47124)

All lanes:

Western blot - Anti-Bag3 antibody (ab47124)

All lanes:

Hela lysate at 0.5 mg/mL

Predicted band size: 62 kDa

false

Key facts

宿主種

Rabbit

クローン性

Polyclonal

アイソタイプ

IgG

キャリアフリー

No

交差種

Mouse, Human

アプリケーション

ICC/IF, IP, IHC-Fr, WB, IHC-P

applications

免疫原

Recombinant Fragment Protein within Human BAG3. The exact immunogen used to generate this antibody is proprietary information.

O95817

Reactivity data

{ "title": "Reactivity Data", "filters": { "stats": ["", "Species", "Dilution Info", "Notes"], "tabs": { "all-applications": {"fullname" : "All Applications", "shortname": "All Applications"}, "IP" : {"fullname" : "Immunoprecipitation", "shortname":"IP"}, "WB" : {"fullname" : "Western blot", "shortname":"WB"}, "IHCP" : {"fullname" : "Immunohistochemistry (Formalin/PFA-fixed paraffin-embedded sections)", "shortname":"IHC-P"}, "ICCIF" : {"fullname" : "Immunocytochemistry/ Immunofluorescence", "shortname":"ICC/IF"}, "IHCFr" : {"fullname" : "Immunohistochemistry (Frozen sections)", "shortname":"IHC-Fr"} }, "product-promise": { "all": "all", "testedAndGuaranteed": "tested", "guaranteed": "expected", "predicted": "predicted", "notRecommended": "not-recommended" } }, "values": { "Human": { "IP-species-checked": "guaranteed", "IP-species-dilution-info": "", "IP-species-notes": "<p></p>", "WB-species-checked": "testedAndGuaranteed", "WB-species-dilution-info": "1/1000 - 1/2000", "WB-species-notes": "<p></p>", "IHCP-species-checked": "testedAndGuaranteed", "IHCP-species-dilution-info": "1/1000 - 1/5000", "IHCP-species-notes": "<p></p>", "ICCIF-species-checked": "testedAndGuaranteed", "ICCIF-species-dilution-info": "", "ICCIF-species-notes": "<p></p>", "IHCFr-species-checked": "guaranteed", "IHCFr-species-dilution-info": "", "IHCFr-species-notes": "" }, "Mouse": { "IP-species-checked": "guaranteed", "IP-species-dilution-info": "", "IP-species-notes": "<p></p>", "WB-species-checked": "guaranteed", "WB-species-dilution-info": "", "WB-species-notes": "", "IHCP-species-checked": "guaranteed", "IHCP-species-dilution-info": "", "IHCP-species-notes": "", "ICCIF-species-checked": "guaranteed", "ICCIF-species-dilution-info": "", "ICCIF-species-notes": "", "IHCFr-species-checked": "testedAndGuaranteed", "IHCFr-species-dilution-info": "", "IHCFr-species-notes": "<p></p>" } } }

出荷温度及び保存条件

製品の状態
Liquid
精製度
Whole antiserum
バッファー組成
Preservative: 0.05% Sodium azide Constituents: Whole serum
出荷温度
Blue Ice
短期保存温度
+4°C
長期保存温度
-20°C
分注に関する情報
Upon delivery aliquot
保管に関する情報
Avoid freeze / thaw cycle

補足情報

This supplementary information is collated from multiple sources and compiled automatically.

The Bcl-2-associated athanogene 3 commonly known as Bag3 is a protein with a molecular weight of approximately 74 kDa. It plays an important role in apoptosis regulation and stress responses by interacting with heat shock proteins. Bag3 is expressed in various tissues including the heart skeletal muscles and certain types of neurons. It functions mechanically by binding to chaperones like Hsp70 modulating their activity and helping in protein folding and degradation processes.
Biological function summary

Bag3 contributes to cell survival by assisting in protein homeostasis and mitigating stress-related cellular damage. It acts as a co-chaperone and forms part of complexes with Hsp70 HspB8 and CHIP among others. These interactions enhance the cellular capacity to handle misfolded proteins preventing the aggregation that could lead to cell toxicity. In muscle cells Bag3 plays a role in maintaining structural integrity by participating in the assembly of myofibrils critical for muscle function.

Pathways

The protein is involved in autophagy and apoptosis regulation. It actively participates in the ubiquitin-proteasome system and chaperone-mediated autophagy collaborating closely with proteins like HspB8 and Hsp70. The integration of Bag3 within these pathways highlights its involvement in removing damaged proteins and preserving cellular function during stress conditions. Additionally Bag3 contributes to the regulation of the NF-kB pathway which is involved in the immune response and inflammation.

Mutations or dysregulation of Bag3 associate with conditions such as myopathy and certain cancers. In myopathy aberrations in Bag3 affect muscle resilience and repair leading to structural muscle defects. In cancer Bag3's role in inhibiting apoptosis promotes tumor cell survival making it a target for therapeutic interventions. The protein has connections with p53 in cancer contexts where it influences cell death and survival decisions. Understanding Bag3's interactions and functions in these diseases opens new opportunities for developing treatments targeting these pathways.

製品プロトコール

For this product, it's our understanding that no specific protocols are required. You can visit:

ターゲットの情報

Co-chaperone for HSP70 and HSC70 chaperone proteins. Acts as a nucleotide-exchange factor (NEF) promoting the release of ADP from the HSP70 and HSC70 proteins thereby triggering client/substrate protein release. Nucleotide release is mediated via its binding to the nucleotide-binding domain (NBD) of HSPA8/HSC70 where as the substrate release is mediated via its binding to the substrate-binding domain (SBD) of HSPA8/HSC70 (PubMed : 27474739, PubMed : 9873016). Has anti-apoptotic activity (PubMed : 10597216). Plays a role in the HSF1 nucleocytoplasmic transport (PubMed : 26159920).
See full target information BAG3

文献 (28)

Recent publications for all applications. Explore the full list and refine your search

Nature cell biology 27:1448-1464 PubMed40866512

2025

A chaperone-proteasome-based fragmentation machinery is essential for aggrephagy.

Applications

Unspecified application

Species

Unspecified reactive species

Mario Mauthe,Nicole van de Beek,Muriel Mari,Giel Korsten,Parisa Nobari,Kennith B Castelino,Eduardo P de Mattos,Ibtisam Ouhida,Jesse L Dijkstra,Sabine Schipper-Krom,Laura R de la Ballina,Monja R Mueller,Anne Simonsen,Mark S Hipp,Lukas C Kapitein,Harm H Kampinga,Fulvio Reggiori

Cardiovascular pathology : the official journal of the Society for Cardiovascular Pathology 73:107675 PubMed39059779

2024

Dilated cardiomyopathy due to a novel combination of TTN and BAG3 genetic variants: From acute heart failure to subclinical phenotypes.

Applications

Unspecified application

Species

Unspecified reactive species

Irene Bottillo,Carla Giordano,Maria Pia Ciccone,Maria Gemma Pignataro,Fiammetta Albi,Gabriella Parisi,Daniela Formicola,Simona Grotta,Federico Ranocchi,Maria Valeria Giuli,Saula Checquolo,Laura Masuelli,Federica Re,Silvia Majore,Giulia d'Amati,Paola Grammatico

Cell stem cell 31:1162-1174.e8 PubMed38917806

2024

Genome-wide CRISPR screen identifies neddylation as a regulator of neuronal aging and AD neurodegeneration.

Applications

Unspecified application

Species

Unspecified reactive species

Nathalie Saurat,Andrew P Minotti,Maliha T Rahman,Trisha Sikder,Chao Zhang,Daniela Cornacchia,Johannes Jungverdorben,Gabriele Ciceri,Doron Betel,Lorenz Studer

iScience 26:108370 PubMed38034348

2023

Molecular subtyping and characterization of clear cell renal cell carcinoma by tumor differentiation trajectories.

Applications

Unspecified application

Species

Unspecified reactive species

Xiu-Wu Pan,Wen-Jin Chen,Da Xu,Wen-Bin Guan,Lin Li,Jia-Xin Chen,Wei-Jie Chen,Ke-Qin Dong,Jian-Qing Ye,Si-Shun Gan,Wang Zhou,Xin-Gang Cui

Neurotherapeutics : the journal of the American Society for Experimental NeuroTherapeutics 20:524-545 PubMed36717478

2023

Bicalutamide and Trehalose Ameliorate Spinal and Bulbar Muscular Atrophy Pathology in Mice.

Applications

Unspecified application

Species

Unspecified reactive species

Mariarita Galbiati,Marco Meroni,Marina Boido,Matilde Cescon,Paola Rusmini,Valeria Crippa,Riccardo Cristofani,Margherita Piccolella,Veronica Ferrari,Barbara Tedesco,Elena Casarotto,Marta Chierichetti,Marta Cozzi,Francesco Mina,Maria Elena Cicardi,Silvia Pedretti,Nico Mitro,Anna Caretto,Patrizia Risè,Angelo Sala,Andrew P Lieberman,Paolo Bonaldo,Maria Pennuto,Alessandro Vercelli,Angelo Poletti

Cell death and differentiation 29:1-13 PubMed34215846

2021

Global identification of phospho-dependent SCF substrates reveals a FBXO22 phosphodegron and an ERK-FBXO22-BAG3 axis in tumorigenesis.

Applications

Unspecified application

Species

Unspecified reactive species

Ping Liu,Xiaoji Cong,Shengjie Liao,Xinglong Jia,Xiaomin Wang,Wei Dai,Linhui Zhai,Lei Zhao,Jing Ji,Duan Ni,Zhiwei Liu,Yulu Chen,Lulu Pan,Wei Liu,Jian Zhang,Min Huang,Bin Liu,Minjia Tan

Cancers 13: PubMed34203709

2021

Targeting HSF1 as a Therapeutic Strategy for Multiple Mechanisms of EGFR Inhibitor Resistance in EGFR Mutant Non-Small-Cell Lung Cancer.

Applications

Unspecified application

Species

Unspecified reactive species

Sangah Lee,Jiyae Jung,Yu-Jin Lee,Seon-Kyu Kim,Jung-Ae Kim,Bo-Kyung Kim,Kyung Chan Park,Byoung-Mog Kwon,Dong Cho Han

Frontiers in oncology 11:652085 PubMed34136389

2021

Retinoic Acid Downregulates HSPB8 Gene Expression in Human Breast Cancer Cells MCF-7.

Applications

Unspecified application

Species

Unspecified reactive species

Margherita Piccolella,Riccardo Cristofani,Barbara Tedesco,Marta Chierichetti,Veronica Ferrari,Elena Casarotto,Marta Cozzi,Valeria Crippa,Paola Rusmini,Mariarita Galbiati,Angelo Poletti,Elio Messi

Brain pathology (Zurich, Switzerland) 31:e12962 PubMed34043258

2021

Inflammatory features in sporadic late-onset nemaline myopathy are independent from monoclonal gammopathy.

Applications

Unspecified application

Species

Unspecified reactive species

Jantima Tanboon,Akinori Uruha,Yukie Arahata,Carsten Dittmayer,Leonille Schweizer,Hans-Hilmar Goebel,Ichizo Nishino,Werner Stenzel

JCI insight 4: PubMed31723063

2019

Investigation of a dilated cardiomyopathy-associated variant in BAG3 using genome-edited iPSC-derived cardiomyocytes.

Applications

Unspecified application

Species

Unspecified reactive species

Chris McDermott-Roe,Wenjian Lv,Tania Maximova,Shogo Wada,John Bukowy,Maribel Marquez,Shuping Lai,Amarda Shehu,Ivor Benjamin,Aron Geurts,Kiran Musunuru
View all publications

Abcam product promise

当社は、高品質な試薬を通じてお客様の研究を力強くサポートすることをお約束いたします。ご使用いただく各段階で、常にお客様をサポートできる体制を整えております。万が一、製品が期待通りに機能しない場合は、「Abcam Product Promise」による当社保証制度に基づき、安心してご利用いただけます。
保証に関する詳細については利用規約をご確認ください。

Please note: All products are 'FOR RESEARCH USE ONLY. NOT FOR USE IN DIAGNOSTIC OR THERAPEUTIC PROCEDURES'.

For licensing inquiries, please contact partnerships@abcam.com