JavaScript is disabled in your browser. Please enable JavaScript to view this website.
AB183612

Anti-BACE1 抗体 [EPR19523]

Anti-BACE1 antibody [EPR19523]

  • BOND RX™ Validated
  • 20ul selling size
  • RabMAb
  • Recombinant
  • KO Validated
  • 詳細を見る

5

(9 Reviews)

|

(63 Publications)

Anti-BACE1 antibody [EPR19523] (ab183612) is a rabbit monoclonal antibody detecting BACE1 in Western Blot, IP, IHC-P, IHC-Fr. Suitable for Human, Mouse, Rat.

- KO validated for confirmed specificity
- Biophysical QC for unrivalled batch-batch consistency
- Over 30 publications

別名を表示する

BACE, KIAA1149, BACE1, Beta-secretase 1, Aspartyl protease 2, Beta-site amyloid precursor protein cleaving enzyme 1, Memapsin-2, Membrane-associated aspartic protease 2, ASP2, Asp 2, Beta-site APP cleaving enzyme 1

15 Images
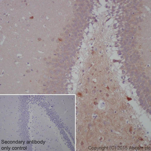
Immunohistochemistry (Formalin/PFA-fixed paraffin-embedded sections) - Anti-BACE1 antibody [EPR19523] (AB183612)
  • IHC-P

Lab

Immunohistochemistry (Formalin/PFA-fixed paraffin-embedded sections) - Anti-BACE1 antibody [EPR19523] (AB183612)

Immunohistochemical analysis of paraffin-embedded human cerebellum tissue* labelling BACE1 with ab183612 at 0.2ug/ml followed by a ready to use LeicaDS9800 (Bond™ Polymer Refine Detection).

Positive staining in human cerebellum.

The section was incubated with ab183612 for 30 mins at room temperature. The immunostaining was performed on a Leica Biosystems BOND® RX instrument Counterstained with Hematoxylin.

Secondary antibody only control : Secondary antibody is a ready to use LeicaDS9800 (Bond™ Polymer Refine Detection). Heat mediated antigen retrieval with sodium citrate buffer (pH 6.0 epitope retrieval solution1) for 20 mins.

*Tissue obtained from the Human Research Tissue Bank, supported by the NIHR Cambridge Biomedical Research Centre.

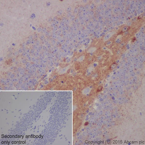
Immunohistochemistry (Formalin/PFA-fixed paraffin-embedded sections) - Anti-BACE1 antibody [EPR19523] (AB183612)
  • IHC-P

Supplier Data

Immunohistochemistry (Formalin/PFA-fixed paraffin-embedded sections) - Anti-BACE1 antibody [EPR19523] (AB183612)

Immunohistochemical analysis of paraffin-embedded mouse hippocampus tissue labeling BACE1 with ab183612 at 1/50 dilution, followed by Goat Anti-Rabbit IgG H&L (HRP) (ab97051) at 1/500 dilution. Cytoplasm staining on mouse Hilar region of the dentate gyrus is observed. Counter stained with Hematoxylin.

Secondary antibody only control : Used PBS instead of primary antibody, secondary antibody is Goat Anti-Rabbit IgG H&L (HRP) (ab97051) at 1/500 dilution.

Perform heat mediated antigen retrieval with Tris/EDTA buffer pH 9.0 before commencing with IHC staining protocol.

Immunohistochemistry (Frozen sections) - Anti-BACE1 antibody [EPR19523] (AB183612)
  • IHC-Fr

Supplier Data

Immunohistochemistry (Frozen sections) - Anti-BACE1 antibody [EPR19523] (AB183612)

Immunohistochemical analysis of 4% paraformaldehyde-fixed, 0.2% Triton X-100 permeabilized frozen mouse hippocampus tissue labeling BACE1 with ab183612 at 1/250 dilution, followed by Goat Anti-Rabbit IgG (Alexa Fluor® 488) (ab150077) secondary antibody at 1/1000 dilution (green). The result showed mainly cytoplasmic staining on mouse hippocampus. The nuclear counterstain is DAPI (blue).

Secondary antibody only control : Used PBS instead of primary antibody, secondary antibody is Goat anti-rabbit IgG (Alexa Fluor® 488) (ab150077) secondary antibody at 1/1000 dilution.

Immunohistochemistry (Formalin/PFA-fixed paraffin-embedded sections) - Anti-BACE1 antibody [EPR19523] (AB183612)
  • IHC-P

Supplier Data

Immunohistochemistry (Formalin/PFA-fixed paraffin-embedded sections) - Anti-BACE1 antibody [EPR19523] (AB183612)

Immunohistochemical analysis of paraffin-embedded rat cerebrum tissue labeling BACE1 with ab183612 at 1/50 dilution, followed by Goat Anti-Rabbit IgG H&L (HRP) (ab97051) at 1/500 dilution. Cytoplasm staining on some neurons of the rat cerebrum is observed. Counter stained with Hematoxylin.

Secondary antibody only control : Used PBS instead of primary antibody, secondary antibody is Goat Anti-Rabbit IgG H&L (HRP) (ab97051) at 1/500 dilution.

Binding in rat was weak under our experimental conditions and requires further optimization.

Perform heat mediated antigen retrieval with Tris/EDTA buffer pH 9.0 before commencing with IHC staining protocol.

Immunohistochemistry (Formalin/PFA-fixed paraffin-embedded sections) - Anti-BACE1 antibody [EPR19523] (AB183612)
  • IHC-P

Lab

Immunohistochemistry (Formalin/PFA-fixed paraffin-embedded sections) - Anti-BACE1 antibody [EPR19523] (AB183612)

Immunohistochemical analysis of paraffin-embedded rat hippocampus tissue labelling BACE1 with ab183612 at 1/50 dilution, followed by Goat Anti-Rabbit IgG H&L (HRP) (ab97051) at 1/500 dilution. The sample was counterstained with hematoxylin. Antigen retrieval was performed using Tris/EDTA buffer; pH 9.0.

Secondary antibody only control : Used PBS instead of primary antibody, secondary antibody is Goat Anti-Rabbit IgG H&L (HRP) (ab97051) at 1/500 dilution.

Binding in rat was weak under our experimental conditions and requires further optimization.

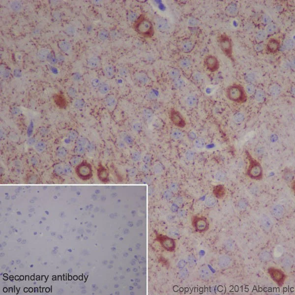
Immunohistochemistry (Formalin/PFA-fixed paraffin-embedded sections) - Anti-BACE1 antibody [EPR19523] (AB183612)
  • IHC-P

Supplier Data

Immunohistochemistry (Formalin/PFA-fixed paraffin-embedded sections) - Anti-BACE1 antibody [EPR19523] (AB183612)

Immunohistochemical analysis of paraffin-embedded mouse cerebrum tissue labeling BACE1 with ab183612 at 1/50 dilution, followed by Goat Anti-Rabbit IgG H&L (HRP) (ab97051) at 1/500 dilution. Cytoplasm staining on neurons of the mouse cerebrum is observed. Counter stained with Hematoxylin.

Secondary antibody only control : Used PBS instead of primary antibody, secondary antibody is Goat Anti-Rabbit IgG H&L (HRP) (ab97051) at 1/500 dilution.

Perform heat mediated antigen retrieval with Tris/EDTA buffer pH 9.0 before commencing with IHC staining protocol.

Immunohistochemistry (Formalin/PFA-fixed paraffin-embedded sections) - Anti-BACE1 antibody [EPR19523] (AB183612)
  • IHC-P

Supplier Data

Immunohistochemistry (Formalin/PFA-fixed paraffin-embedded sections) - Anti-BACE1 antibody [EPR19523] (AB183612)

Immunohistochemical analysis of paraffin-embedded mouse liver tissue labeling BACE1 with ab183612 at 1/50 dilution, followed by Goat Anti-Rabbit IgG H&L (HRP) (ab97051) at 1/500 dilution. Negative staining on mouse liver. Counter stained with Hematoxylin.

Secondary antibody only control : Used PBS instead of primary antibody, secondary antibody is ab97051 at 1/500 dilution.

Perform heat mediated antigen retrieval with Tris/EDTA buffer pH 9.0 before commencing with IHC staining protocol.

Immunoprecipitation - Anti-BACE1 antibody [EPR19523] (AB183612)
  • IP

Supplier Data

Immunoprecipitation - Anti-BACE1 antibody [EPR19523] (AB183612)

BACE1 was immunoprecipitated from 1mg of mouse hippocampus whole cell lysate with ab183612 at 1/50 dilution. Western blot was performed from the immunoprecipitate using ab183612 at 1/1000 dilution. VeriBlot for IP Detection Reagent (HRP) (ab131366), was used for detection at 1/10000 dilution.

Lane 1 : Mouse hippocampus whole cell lysate, 10μg (Input).

Lane 2 : ab183612 IP in mouse hippocampus whole cell lysate.

Lane 3 : Rabbit IgG,monoclonal [EPR25A] - Isotype Control (ab172730) instead of ab183612 in Mouse hippocampus whole cell lysate.

Blocking and dilution buffer and concentration : 5% NFDM/TBST.

Exposure time : 1 second.

All lanes:

Immunoprecipitation - Anti-BACE1 antibody [EPR19523] (ab183612)

Predicted band size: 56 kDa

false

Immunoprecipitation - Anti-BACE1 antibody [EPR19523] (AB183612)
  • IP

Supplier Data

Immunoprecipitation - Anti-BACE1 antibody [EPR19523] (AB183612)

BACE1 was immunoprecipitated from 1mg of rat hippocampus whole cell lysate with ab183612 at 1/50 dilution. Western blot was performed from the immunoprecipitate using ab183612 at 1/1000 dilution. VeriBlot for IP Detection Reagent (HRP) (ab131366), was used for detection at 1/10000 dilution.

Lane 1 : Rat hippocampus whole cell lysate, 10μg (Input).

Lane 2 : ab183612 IP in Rat hippocampus whole cell lysate.

Lane 3 : Rabbit IgG,monoclonal [EPR25A] - Isotype Control (ab172730) instead of ab183612 in rat hippocampus whole cell lysate.

Blocking and dilution buffer and concentration : 5% NFDM/TBST.

Exposure time : 5 seconds.

All lanes:

Immunoprecipitation - Anti-BACE1 antibody [EPR19523] (ab183612)

Predicted band size: 56 kDa

false

Western blot - Anti-BACE1 antibody [EPR19523] (AB183612)
  • WB

Lab

Western blot - Anti-BACE1 antibody [EPR19523] (AB183612)

False colour image of Western blot : Anti-BACE1 antibody [EPR19523] staining at 1/1000 dilution, shown in green; Mouse anti-GAPDH antibody [6C5] (ab8245) loading control staining at 1/20000 dilution, shown in red. In Western blot, ab183612 was shown to bind specifically to BACE1. A band was observed at 60/70 kDa in wild-type SH-SY5Y cell lysates with no signal observed at this size in Bace1 knockout cell line ab280078 (knockout cell lysate ab280137). To generate this image, wild-type and Bace1 knockout SH-SY5Y cell lysates were analysed. First, samples were run on an SDS-PAGE gel then transferred onto a nitrocellulose membrane. Membranes were blocked in 3 % milk in TBS-0.1 % Tween® 20 (TBS-T) before incubation with primary antibodies overnight at 4 °C. Blots were washed four times in TBS-T, incubated with secondary antibodies for 1 h at room temperature, washed again four times then imaged. Secondary antibodies used were Goat anti-Rabbit IgG H&L 800CW and Goat anti-Mouse IgG H&L 680RD at 1/20000 dilution.

Lanes 1 - 3:

Western blot - Anti-BACE1 antibody [EPR19523] - BSA and Azide free (<a href='/products/primary-antibodies/bace1-antibody-epr19523-bsa-and-azide-free-ab238937'>ab238937</a>) at 1/1000 dilution

Lanes 1 - 3:

Western blot - Anti-BACE1 antibody [EPR19523] (ab183612) at 1/1000 dilution

Lane 1:

Wild-type SH-SY5Y cell lysate at 20 µg

Lane 2:

Western blot - Human BACE1 knockout SH-SY5Y cell line (ab280078)

Lane 2:

Western blot - Human BACE1 knockout SH-SY5Y cell lysate (ab280137)

Lane 2:

Bace1 knockout SH-SY5Y cell lysate at 20 µg

Lane 3:

HAP1 cell lysate at 20 µg

Secondary

All lanes:

Goat anti-Rabbit IgG H&L 800CW and Goat anti-Mouse IgG H&L 680RD at 1/20000 dilution

Observed band size: 60 kDa,70 kDa

false

Western blot - Anti-BACE1 antibody [EPR19523] (AB183612)
  • WB

Lab

Western blot - Anti-BACE1 antibody [EPR19523] (AB183612)

Lane 1 : Wild-type HAP1 whole cell lysate (20 μg)
Lane 2 : BACE1 knockout HAP1 whole cell lysate (20 μg)
Lane 3 : SHSY5Y whole cell lysate (20 μg)

Lanes 1 - 3 : Merged signal (red and green). Green - ab183612 observed at 68 kDa. Red - loading control, ab181602, observed at 37 kDa.

ab183612 was shown to specifically react with BACE1 in wild-type HAP1 cells as signal was lost in BACE1 knockout cells. Wild-type and BACE1 knockout samples were subjected to SDS-PAGE. ab183612 and ab181602 (Rabbit anti-GAPDH loading control) were incubated overnight at 4°C at 1/1000 dilution and 1/20000 dilution respectively. Blots were developed with Goat anti-Rabbit IgG H&L (IRDye® 800CW) preabsorbed ab216773 and Goat anti-Mouse IgG H&L (IRDye® 680RD) preabsorbed ab216776 secondary antibodies at 1/10000 dilution for 1 hour at room temperature before imaging.

All lanes:

Western blot - Anti-BACE1 antibody [EPR19523] (ab183612)

Predicted band size: 56 kDa

Observed band size: 68 kDa

false

Western blot - Anti-BACE1 antibody [EPR19523] (AB183612)
  • WB

Supplier Data

Western blot - Anti-BACE1 antibody [EPR19523] (AB183612)

Blocking and dilution buffer : 5% NFDM/TBST.

ab181602 was used as a loading control at 1/1000000 dilution.

We suggest optimizing experimental protocols (increasing lysate amount, using lower dilution or higher sensitivity ECL substrate) to improve results.

ab263901 could be an alternative for getting stronger signal in testing cell lines.

Lanes 1 - 3:

Western blot - Anti-BACE1 antibody [EPR19523] (ab183612) at 1/1000 dilution

Lanes 4 - 6:

Western blot - Anti-BACE1 antibody [EPR22802-233] (<a href='/products/primary-antibodies/bace1-antibody-epr22802-233-ab263901'>ab263901</a>) at 1/1000 dilution

Lanes 1 and 4:

SH-SY5Y (human neuroblastoma epithelial cell) whole cell lysate at 20 µg

Lanes 2 and 5:

Mouse brain tissue lysate at 20 µg

Lanes 3 and 6:

Neuro-2a (Mouse neuroblastoma cell line) whole cell lysate at 20 µg

Secondary

All lanes:

Western blot - Goat Anti-Rabbit IgG H&L (HRP) (<a href='/products/secondary-antibodies/goat-rabbit-igg-h-l-hrp-ab97051'>ab97051</a>) at 1/20000 dilution

Predicted band size: 56 kDa

Observed band size: 68 kDa

false

Exposure time: 180s

Western blot - Anti-BACE1 antibody [EPR19523] (AB183612)
  • WB

Supplier Data

Western blot - Anti-BACE1 antibody [EPR19523] (AB183612)

An additional band was observed at 70 kD. The expression profile is consistent with what has been described in the literature (PMID : 22741101).

Blocking/Dilution buffer : 5% NFDM/TBST.

All lanes:

Western blot - Anti-BACE1 antibody [EPR19523] (ab183612) at 1/1000 dilution

All lanes:

Mouse brain lysate at 10 µg

Secondary

All lanes:

Western blot - Goat Anti-Rabbit IgG H&L (HRP) (<a href='/products/secondary-antibodies/goat-rabbit-igg-h-l-hrp-ab97051'>ab97051</a>) at 1/100000 dilution

Predicted band size: 56 kDa,57 kDa

Observed band size: 57 kDa,68 kDa

false

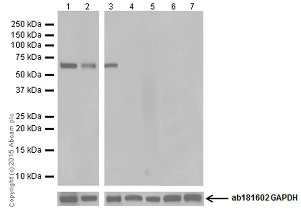
Western blot - Anti-BACE1 antibody [EPR19523] (AB183612)
  • WB

Supplier Data

Western blot - Anti-BACE1 antibody [EPR19523] (AB183612)

Blocking/Dilution buffer : 5% NFDM/TBST.

Exposure time : Lane 1 and 2 : 1 minute; Lane 3,4,5,6,7 and 8 : 3 minutes.

All lanes:

Western blot - Anti-BACE1 antibody [EPR19523] (ab183612) at 1/1000 dilution

Lane 1:

Mouse hippocampus lysate at 20 µg

Lane 2:

Rat brain lysate at 20 µg

Lane 3:

Rat hippocampus lysate at 20 µg

Lane 4:

Mouse ovary lysate at 20 µg

Lane 5:

Neuro-2a (Mouse neuroblastoma cell line) whole cell lysate at 20 µg

Lane 6:

C6 (Rat glial tumor cell line) whole cell lysate at 20 µg

Lane 7:

SH-SY5Y (Human neuroblastoma cell line from bone marrow) whole cell lysate at 20 µg

Secondary

All lanes:

Western blot - Goat Anti-Rabbit IgG H&L (HRP) (<a href='/products/secondary-antibodies/goat-rabbit-igg-h-l-hrp-ab97051'>ab97051</a>) at 1/100000 dilution

Predicted band size: 56 kDa

Observed band size: 68 kDa

false

Western blot - Anti-BACE1 antibody [EPR19523] (AB183612)
  • WB

CiteAb

Western blot - Anti-BACE1 antibody [EPR19523] (AB183612)

BACE1 western blot using anti-BACE1 antibody [EPR19523] ab183612. Publication image and figure legend from Tang, Y., Shao, S., et al., 2019, Neural Plast, PubMed 31223308.

ab183612 was used in this publication in western blot. This may not be the same as the application(s) guaranteed by Abcam. For a full list of applications guaranteed by Abcam for ab183612 please see the product overview.

Effects of EA treatment on the expression levels of hippocampal APP, BACE1, and p-PKA in APP/PS1 mice using WB. (a) The effects of EA treatment on the relative expression of hippocampal APP in APP/PS1 mice. (b) The effects of EA treatment on the relative expression of hippocampal BACE1 in APP/PS1 mice. (c) The effects of EA treatment on the phosphorylation of PKA in the hippocampus of APP/PS1 mice. Data are presented as means ± SD; n = 7 per group. #p < 0.05 vs. the C group, ##p < 0.01 vs. the C group, and *p < 0.05 vs. the M group (C : control; M : model; EA : electroacupuncture).

false

関連する標識済み抗体及び組成の異なる製品 (3)

Key facts

宿主種

Rabbit

クローン性

Monoclonal

クローン番号

EPR19523

アイソタイプ

IgG

キャリアフリー

No

交差種

Mouse, Rat, Human

アプリケーション

IHC-P, IP, IHC-Fr, WB

applications

免疫原

The exact immunogen used to generate this antibody is proprietary information.

特異性

This antibody shows very low cross-reactivity with BACE2.

Reactivity data

{ "title": "Reactivity Data", "filters": { "stats": ["", "Species", "Dilution Info", "Notes"], "tabs": { "all-applications": {"fullname" : "All Applications", "shortname": "All Applications"}, "IP" : {"fullname" : "Immunoprecipitation", "shortname":"IP"}, "WB" : {"fullname" : "Western blot", "shortname":"WB"}, "IHCFr" : {"fullname" : "Immunohistochemistry (Frozen sections)", "shortname":"IHC-Fr"}, "IHCP" : {"fullname" : "Immunohistochemistry (Formalin/PFA-fixed paraffin-embedded sections)", "shortname":"IHC-P"} }, "product-promise": { "all": "all", "testedAndGuaranteed": "tested", "guaranteed": "expected", "predicted": "predicted", "notRecommended": "not-recommended" } }, "values": { "Human": { "IP-species-checked": "guaranteed", "IP-species-dilution-info": "", "IP-species-notes": "", "WB-species-checked": "testedAndGuaranteed", "WB-species-dilution-info": "1/1000", "WB-species-notes": "<p></p>", "IHCFr-species-checked": "guaranteed", "IHCFr-species-dilution-info": "", "IHCFr-species-notes": "", "IHCP-species-checked": "guaranteed", "IHCP-species-dilution-info": "", "IHCP-species-notes": "" }, "Mouse": { "IP-species-checked": "testedAndGuaranteed", "IP-species-dilution-info": "1/50", "IP-species-notes": "<p></p>", "WB-species-checked": "testedAndGuaranteed", "WB-species-dilution-info": "1/1000", "WB-species-notes": "<p></p>", "IHCFr-species-checked": "testedAndGuaranteed", "IHCFr-species-dilution-info": "1/250", "IHCFr-species-notes": "<p>IHC-Fr is recommended for mouse only.</p>", "IHCP-species-checked": "testedAndGuaranteed", "IHCP-species-dilution-info": "1/50", "IHCP-species-notes": "<p>IHC-P is recommended for mouse only. Binding in rat is weak under our experimental conditions and requires further optimization.</p>" }, "Rat": { "IP-species-checked": "testedAndGuaranteed", "IP-species-dilution-info": "1/50", "IP-species-notes": "<p></p>", "WB-species-checked": "testedAndGuaranteed", "WB-species-dilution-info": "1/1000", "WB-species-notes": "<p></p>", "IHCFr-species-checked": "guaranteed", "IHCFr-species-dilution-info": "", "IHCFr-species-notes": "", "IHCP-species-checked": "testedAndGuaranteed", "IHCP-species-dilution-info": "1/50", "IHCP-species-notes": "<p>IHC-P is recommended for mouse only. Binding in rat is weak under our experimental conditions and requires further optimization.</p>" } } }

製品の詳細

What is this antibody validated in?
Anti-BACE1 antibody [EPR19523] (ab183612) is a rabbit recombinant monoclonal antibody and is validated for use in Western Blot (WB), Immunoprecipitation (IP), Immunohistochemistry (IHC-P), Immunohistochemistry (IHC-Fr) in Human, Mouse, Rat samples.

What is the molecular weight of BACE1?
Anti-BACE1 [EPR19523] (ab183612) specifically detects a band for BACE1 (UniProt: P56818) at a molecular weight of 56kDa.

Trusted by the scientific community
Anti-BACE1 [EPR19523] (ab183612) was first used in a scientific publication in 2016 and has been cited over 30 times in peer-reviewed journals.

Reviewed by scientists
Anti-BACE1 [EPR19523] (ab183612) has over 5 independent reviews from customers.

Trial sizes available!
Test your antibody or perform pre-screening before committing to a larger quantity. Sold in 10µl. Discover our selection of trial-size antibodies.

Specificity confirmed
The specificity of Anti-BACE1 antibody [EPR19523] (ab183612) has been confirmed by Western blot testing in BACE1 Knockout HAP1 cells.

Other related products
We have a range of other formats of antibody clone [EPR19523] also available for your convenience: ab183612, Carrier free - ab238937, Alexa Fluor® 647 - ab225307

Patented technology
Our RabMAb® technology is a patented hybridoma-based technology for making rabbit monoclonal antibodies. For details on our patents, please refer to RabMAb® patents.

What are the advantages of a recombinant monoclonal antibody?
This product is a recombinant monoclonal antibody, which offers several advantages including:

  • - High batch-to-batch consistency and reproducibility
  • - Improved sensitivity and specificity
  • - Long-term security of supply
  • - Animal-free batch production

For more information, read more on recombinant antibodies.

出荷温度及び保存条件

製品の状態
Liquid
精製方法
Affinity purification Protein A
バッファー組成
pH: 7.2 Preservative: 0.01% Sodium azide Constituents: PBS, 40% Glycerol (glycerin, glycerine), 0.05% BSA
出荷温度
Blue Ice
短期保存期間
1-2 weeks
短期保存温度
+4°C
長期保存温度
-20°C
分注に関する情報
Upon delivery aliquot
保管に関する情報
Avoid freeze / thaw cycle

補足情報

This supplementary information is collated from multiple sources and compiled automatically.

BACE1 also known as beta-site APP cleaving enzyme 1 or beta-secretase plays an important role in the cleavage of amyloid precursor protein (APP). This cleavage results in the production of amyloid-beta peptides which are associated with Alzheimer's disease. BACE1 is a membrane-bound aspartic protease and has a molecular weight of approximately 50100 Da. The enzyme expresses mostly in the brain's neurons and some secretory tissues.
Biological function summary

BACE1 initiates the amyloidogenic pathway of APP processing which involves amyloid-beta generation. BACE1 doesn't function alone but acts as part of a complex that aids in protein substrate recognition and processing. Its activity contributes to physiological processes like myelination and axonal guidance indicating its importance beyond amyloid production.

Pathways

BACE1 is integral to the amyloidogenic pathway which is important in Alzheimer's disease development. It interacts with proteins such as presenilin 1 a part of the gamma-secretase complex that further processes the amyloid-beta precursor. Furthermore BACE1 links to synaptic functions and neural signaling pathways highlighting its multifaceted roles.

BACE1 holds significance in Alzheimer's disease due to its role in amyloid-beta peptide production. This connection has led to the development of BACE1 inhibitors as potential therapeutic agents. Additionally BACE1's involvement in other neural functions ties it to cognitive impairments. It also relates to APP through its function in Alzheimer's suggesting targeted strategies for treatment could involve modulating BACE1 activity.

製品プロトコール

For this product, it's our understanding that no specific protocols are required. You can visit:

ターゲットの情報

Responsible for the proteolytic processing of the amyloid precursor protein (APP). Cleaves at the N-terminus of the A-beta peptide sequence, between residues 671 and 672 of APP, leads to the generation and extracellular release of beta-cleaved soluble APP, and a corresponding cell-associated C-terminal fragment which is later released by gamma-secretase (PubMed : 10656250, PubMed : 10677483, PubMed : 20354142). Cleaves CHL1 (By similarity).
See full target information BACE1

文献 (63)

Recent publications for all applications. Explore the full list and refine your search

Translational neurodegeneration 14:41 PubMed40814010

2025

Targeted delivery of BACE1 siRNA for synergistic treatment of Alzheimer's disease.

Applications

Unspecified application

Species

Unspecified reactive species

Zhaohan Li,Jun Yang,Jianan Li,Shuxuan Zhao,Shaoping Jiang,Weimin Liu,Xinjian Li,Simeng Zhang,Haiyan Du,Junjun Ni,Yuanyu Huang,Hong Qing,Shaobo Ruan

Materials today. Bio 32:101841 PubMed40469696

2025

Multifunctional natural chlorogenic acid based nanocarrier for Alzheimer's disease treatment.

Applications

Unspecified application

Species

Unspecified reactive species

Chenchen Wang,Xiaolei Song,Xiaowan Zhang,Peng Li,Wei Wei,Shihao Sun,Yong Chen

Archives of medical science : AMS 21:538-554 PubMed40395889

2025

Celastrol attenuates Alzheimer's disease-mediated learning and memory impairment by inhibiting endoplasmic reticulum stress-induced inflammation and oxidative stress.

Applications

Unspecified application

Species

Unspecified reactive species

Fanfan Cao,Limin Xu,Xiaoxue He,Yongbin Chi,Ying Wang,Qiuyun Liu,Denghai Zhang

Frontiers in aging neuroscience 17:1516190 PubMed40182757

2025

Parishin A ameliorates cognitive decline by promoting PS1 autophagy in Alzheimer's disease.

Applications

Unspecified application

Species

Unspecified reactive species

Song Guo,Lilin Yi,Man Luo,Zhifang Dong,Yehong Du

Nature communications 16:2368 PubMed40064874

2025

Berberine-inspired ionizable lipid for self-structure stabilization and brain targeting delivery of nucleic acid therapeutics.

Applications

Unspecified application

Species

Unspecified reactive species

Xufei Bian,Qian Guo,Lee-Fong Yau,Ling Yang,Xiaoyou Wang,Shikang Zhao,Shiqiong Wu,Xurong Qin,Zhi-Hong Jiang,Chong Li

Journal of neuroinflammation 22:11 PubMed39833906

2025

Microglial double stranded DNA accumulation induced by DNase II deficiency drives neuroinflammation and neurodegeneration.

Applications

Unspecified application

Species

Unspecified reactive species

Ling-Jie Li,Shi-Yu Liang,Xiao-Ying Sun,Jie Zhu,Xiao-Yun Niu,Xiao-Yu Du,Ya-Ru Huang,Rui-Tian Liu

Degenerative neurological and neuromuscular disease 14:143-155 PubMed39741909

2025

Cold Inducible RNA-Binding Protein Promotes the Development of Alzheimer's Disease Partly by Inhibition of uPA in Astrocytes.

Applications

Unspecified application

Species

Unspecified reactive species

Ze Li,Jing Peng Liu,Feng Hua Yao,Yang Cao,Shou Chun Li,Yuan Yang Liu,Su Xin Wen,Yu Xiao Liu,Ai Jun Liu

The Journal of neuroscience : the official journal of the Society for Neuroscience 44: PubMed39496485

2024

The Icelandic Mutation (APP-A673T) Is Protective against Amyloid Pathology In Vivo.

Applications

Unspecified application

Species

Unspecified reactive species

Sho Shimohama,Ryo Fujioka,Naomi Mihira,Misaki Sekiguchi,Luca Sartori,Daisuke Joho,Takashi Saito,Takaomi C Saido,Jin Nakahara,Tomohito Hino,Atsushi Hoshino,Hiroki Sasaguri

Noise & health 26:287-293 PubMed39345066

2024

Noise Exposure Promotes Alzheimer's Disease-Like Lesions and DNA Damage.

Applications

Unspecified application

Species

Unspecified reactive species

Xiao-Jie Dai,Jun-Hua Liao,Yi Jia,Rui Cao,Mei-Ning Zhou

Journal of diabetes investigation 15:1365-1376 PubMed39171660

2024

Calpeptin improves the cognitive function in Alzheimer's disease-like complications of diabetes mellitus rats by regulating TXNIP/NLRP3 inflammasome.

Applications

Unspecified application

Species

Unspecified reactive species

Luyao Qiao,Shouqin Yi,Tianpei Li,Xin Pan,Gege Wang,Xu Liu,Min Li,Jun Min,Huahui Le,Zhenyu Tang
View all publications

Abcam product promise

当社は、高品質な試薬を通じてお客様の研究を力強くサポートすることをお約束いたします。ご使用いただく各段階で、常にお客様をサポートできる体制を整えております。万が一、製品が期待通りに機能しない場合は、「Abcam Product Promise」による当社保証制度に基づき、安心してご利用いただけます。
保証に関する詳細については利用規約をご確認ください。

Please note: All products are 'FOR RESEARCH USE ONLY. NOT FOR USE IN DIAGNOSTIC OR THERAPEUTIC PROCEDURES'.

For licensing inquiries, please contact partnerships@abcam.com