JavaScript is disabled in your browser. Please enable JavaScript to view this website.
AB192771

Anti-AZIN2 抗体

Anti-AZIN2 antibody

  • JP Deleterious:医薬用外劇物

Be the first to review this product! Submit a review

|

(2 Publications)

Rabbit Polyclonal AZIN2 antibody. Suitable for WB, IHC-P and reacts with Human samples. Cited in 2 publications. Immunogen corresponding to Recombinant Fragment Protein within Human AZIN2 aa 100-400.

別名を表示する

ADC, KIAA1945, ODCP, AZIN2, Antizyme inhibitor 2, AzI2, Arginine decarboxylase, Ornithine decarboxylase-like protein, ornithine decarboxylase paralog, ARGDC, ODC-like protein, ODC-p

4 Images
Western blot - Anti-AZIN2 antibody (AB192771)
  • WB

Supplier Data

Western blot - Anti-AZIN2 antibody (AB192771)

10% SDS PAGE

All lanes:

Western blot - Anti-AZIN2 antibody (ab192771) at 1/1500 dilution

All lanes:

Human normal cerebellar extract at 30 µg

Predicted band size: 50 kDa

false

Immunohistochemistry (Formalin/PFA-fixed paraffin-embedded sections) - Anti-AZIN2 antibody (AB192771)
  • IHC-P

Supplier Data

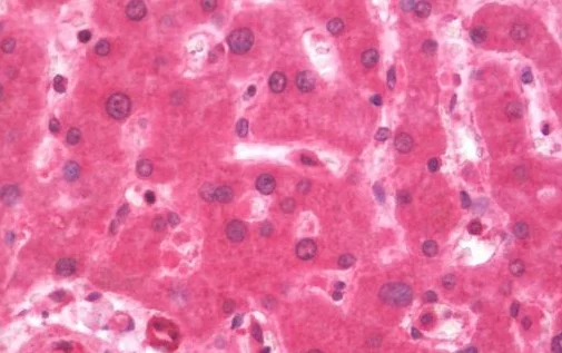
Immunohistochemistry (Formalin/PFA-fixed paraffin-embedded sections) - Anti-AZIN2 antibody (AB192771)

Immunohistochemistry of formalin-fixed, paraffin-embedded human liver labeling AZIN2 with ab192771 at 7.5 μg/ml.

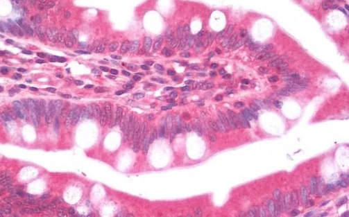
Immunohistochemistry (Formalin/PFA-fixed paraffin-embedded sections) - Anti-AZIN2 antibody (AB192771)
  • IHC-P

Supplier Data

Immunohistochemistry (Formalin/PFA-fixed paraffin-embedded sections) - Anti-AZIN2 antibody (AB192771)

Immunohistochemistry of formalin-fixed, paraffin-embedded human small intestine labeling AZIN2 with ab192771 at 7.5 μg/ml.

Western blot - Anti-AZIN2 antibody (AB192771)
  • WB

Supplier Data

Western blot - Anti-AZIN2 antibody (AB192771)

10% SDS PAGE

All lanes:

Western blot - Anti-AZIN2 antibody (ab192771) at 1/5000 dilution

All lanes:

SK-N-SH whole cell lysate at 30 µg

Predicted band size: 50 kDa

false

Key facts

宿主種

Rabbit

クローン性

Polyclonal

アイソタイプ

IgG

キャリアフリー

No

交差種

Human

アプリケーション

WB, IHC-P

applications

免疫原

Recombinant Fragment Protein within Human AZIN2 aa 100-400. The exact immunogen used to generate this antibody is proprietary information.

Q96A70

Reactivity data

{ "title": "Reactivity Data", "filters": { "stats": ["", "Species", "Dilution Info", "Notes"], "tabs": { "all-applications": {"fullname" : "All Applications", "shortname": "All Applications"}, "WB" : {"fullname" : "Western blot", "shortname":"WB"}, "IHCP" : {"fullname" : "Immunohistochemistry (Formalin/PFA-fixed paraffin-embedded sections)", "shortname":"IHC-P"} }, "product-promise": { "all": "all", "testedAndGuaranteed": "tested", "guaranteed": "expected", "predicted": "predicted", "notRecommended": "not-recommended" } }, "values": { "Human": { "WB-species-checked": "testedAndGuaranteed", "WB-species-dilution-info": "1/1000 - 1/10000", "WB-species-notes": "<p></p>", "IHCP-species-checked": "testedAndGuaranteed", "IHCP-species-dilution-info": "7.5 µg/mL", "IHCP-species-notes": "<p></p>" } } }

出荷温度及び保存条件

製品の状態
Liquid
精製方法
Affinity purification Immunogen
バッファー組成
pH: 7 Preservative: 0.01% Thimerosal (merthiolate) Constituents: 78% PBS, 20% Glycerol (glycerin, glycerine), 1% BSA
出荷温度
Blue Ice
短期保存期間
1-2 weeks
短期保存温度
+4°C
長期保存温度
-20°C
分注に関する情報
Upon delivery aliquot
保管に関する情報
Avoid freeze / thaw cycle

補足情報

This supplementary information is collated from multiple sources and compiled automatically.

The biological target AZIN2 also known as Antizyme Inhibitor 2 is a protein that modulates polyamine levels within cells by inhibiting antizyme activity. It weighs approximately 47 kDa. AZIN2 expresses in various tissues including the brain and adrenal glands where its role is closely associated with polyamine biosynthesis. The protein interacts with antizymes to regulate their function which in turn controls the degradation of ornithine decarboxylase and the uptake of polyamines.
Biological function summary

AZIN2 functions as a modulator of the polyamine pathway preventing protein degradation and facilitating cellular growth and proliferation. It is part of a regulatory complex that includes antizymes and affects the homeostasis of polyamines. This complex interplay significantly impacts the cellular environment and plays a role in maintaining cellular function influencing processes such as signal transduction and ion transport.

Pathways

AZIN2's manipulation of the polyamine pathway reveals its role in cellular growth regulation. It participates in the pathway alongside the arginine and proline metabolism influencing the balance of polyamines within cells. AZIN2 shares a relationship with ornithine decarboxylase and antizymes stabilizing polyamine levels critical for DNA stabilization and protein synthesis.

Dysregulation of AZIN2 can relate to cancer and metabolic syndrome. In cancer disrupted polyamine regulation can lead to uncontrolled cell proliferation; AZIN2 affects this through its interaction with antizymes and ornithine decarboxylase. In metabolic syndrome altered polyamine levels associate with energy homeostasis and can implicate AZIN2’s function in disease progression. Understanding these connections provides potential therapeutic avenues for managing such conditions.

製品プロトコール

For this product, it's our understanding that no specific protocols are required. You can visit:

ターゲットの情報

Antizyme inhibitor (AZI) protein that positively regulates ornithine decarboxylase (ODC) activity and polyamine uptake. AZI is an enzymatically inactive ODC homolog that counteracts the negative effect of ODC antizymes (AZs) OAZ1, OAZ2 and OAZ3 on ODC activity by competing with ODC for antizyme-binding (PubMed : 17900240). Inhibits antizyme-dependent ODC degradation and releases ODC monomers from their inactive complex with antizymes, leading to formation of the catalytically active ODC homodimer and restoring polyamine production (PubMed : 17900240). Participates in the morphological integrity of the trans-Golgi network (TGN) and functions as a regulator of intracellular secretory vesicle trafficking (PubMed : 20188728).
See full target information AZIN2

文献 (2)

Recent publications for all applications. Explore the full list and refine your search

Journal of animal science and biotechnology 12:46 PubMed33827696

2021

Pre-implantation exogenous progesterone and pregnancy in sheep. II. Effects on fetal-placental development and nutrient transporters in late pregnancy.

Applications

Unspecified application

Species

Unspecified reactive species

Katherine M Halloran,Emily C Hoskins,Claire Stenhouse,Robyn M Moses,Kathrin A Dunlap,M Carey Satterfield,Heewon Seo,Gregory A Johnson,Guoyao Wu,Fuller W Bazer

Journal of animal science and biotechnology 12:39 PubMed33663606

2021

Pre-implantation exogenous progesterone and pregnancy in sheep: I. polyamines, nutrient transport, and progestamedins.

Applications

Unspecified application

Species

Unspecified reactive species

Emily C Hoskins,Katherine M Halloran,Claire Stenhouse,Robyn M Moses,Kathrin A Dunlap,Michael C Satterfield,Heewon Seo,Gregory A Johnson,Guoyao Wu,Fuller W Bazer
View all publications

Abcam product promise

当社は、高品質な試薬を通じてお客様の研究を力強くサポートすることをお約束いたします。ご使用いただく各段階で、常にお客様をサポートできる体制を整えております。万が一、製品が期待通りに機能しない場合は、「Abcam Product Promise」による当社保証制度に基づき、安心してご利用いただけます。
保証に関する詳細については利用規約をご確認ください。

関連製品

Select an associated product type
Alternative Product
Primary Antibodies

AB157214

Anti-AZIN2 antibody [EPR7124(2)]

primary-antibodies

azin2-antibody-epr71242-ab157214

0

(0 reviews)

Please note: All products are 'FOR RESEARCH USE ONLY. NOT FOR USE IN DIAGNOSTIC OR THERAPEUTIC PROCEDURES'.

For licensing inquiries, please contact partnerships@abcam.com