JavaScript is disabled in your browser. Please enable JavaScript to view this website.
AB109307

Anti-Axin 2 抗体 [EPR2005(2)]

Anti-Axin 2 antibody [EPR2005(2)]

4

(5 Reviews)

|

(72 Publications)

Anti-Axin 2 antibody [EPR2005(2)] (ab109307) is a rabbit monoclonal antibody detecting Axin 2 in Western Blot, IHC-P, ICC/IF. Suitable for Human, Mouse, Rat.

- Biophysical QC for unrivalled batch-batch consistency
- Over 50 publications

別名を表示する

Axin-2, Axin-like protein, Axis inhibition protein 2, Conductin, Axil, AXIN2

8 Images
Immunohistochemistry (Formalin/PFA-fixed paraffin-embedded sections) - Anti-Axin 2 antibody [EPR2005(2)] (AB109307)
  • IHC-P

Lab

Immunohistochemistry (Formalin/PFA-fixed paraffin-embedded sections) - Anti-Axin 2 antibody [EPR2005(2)] (AB109307)

Immunohistochemistry (Formalin/PFA-fixed paraffin-embedded sections) analysis of human lung carcinoma tissue labelling Axin 2 with purified ab109307 at 1/150. Heat mediated antigen retrieval was performed using Tris/EDTA buffer pH 9. A prediluted HRP-polymer conjugated anti-rabbit IgG was used as the secondary antibody. Negative control using PBS instead of primary antibody. Counterstained with hematoxylin.

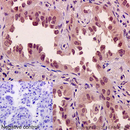
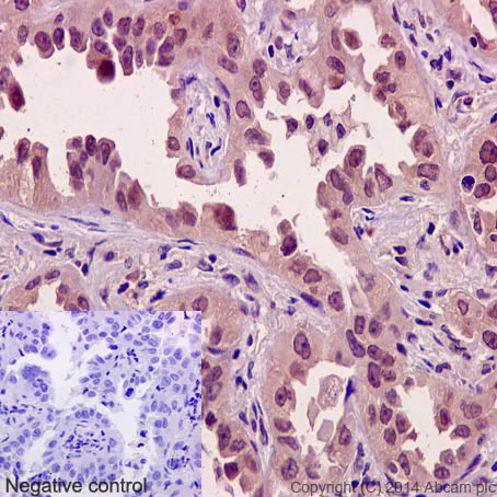
Immunohistochemistry (Formalin/PFA-fixed paraffin-embedded sections) - Anti-Axin 2 antibody [EPR2005(2)] (AB109307)
  • IHC-P

Lab

Immunohistochemistry (Formalin/PFA-fixed paraffin-embedded sections) - Anti-Axin 2 antibody [EPR2005(2)] (AB109307)

Immunohistochemistry (Formalin/PFA-fixed paraffin-embedded sections) analysis of human lung carcinoma tissue labelling Axin 2 with unpurified ab109307 at 1/150. Heat mediated antigen retrieval was performed using Tris/EDTA buffer pH 9. A prediluted HRP-polymer conjugated anti-rabbit IgG was used as the secondary antibody. Negative control using PBS instead of primary antibody. Counterstained with hematoxylin.

Immunocytochemistry/ Immunofluorescence - Anti-Axin 2 antibody [EPR2005(2)] (AB109307)
  • ICC/IF

Lab

Immunocytochemistry/ Immunofluorescence - Anti-Axin 2 antibody [EPR2005(2)] (AB109307)

Immunocytochemistry/Immunofluorescence analysis of LnCap cells labelling Axin 2 with unpurified ab109307 at 1/150. Cells were fixed with 4% paraformaldehyde. An Alexa Fluor® 555-conjugated goat anti-rabbit IgG (1/500) was used as the secondary antibody. DAPI (blue) was used as the nuclear counterstain.

Control : primary antibody (1/150) and secondary antibody, ab150113, an Alexa Fluor® 488-conjugated goat anti-mouse IgG (1/500).

Immunocytochemistry/ Immunofluorescence - Anti-Axin 2 antibody [EPR2005(2)] (AB109307)
  • ICC/IF

Lab

Immunocytochemistry/ Immunofluorescence - Anti-Axin 2 antibody [EPR2005(2)] (AB109307)

Immunocytochemistry/Immunofluorescence analysis of LnCap cells labelling Axin 2 with purified ab109307 at 1/150. Cells were fixed with 4% paraformaldehyde. An Alexa Fluor® 555-conjugated goat anti-rabbit IgG (1/500) was used as the secondary antibody. DAPI (blue) was used as the nuclear counterstain.

Control : primary antibody (1/150) and secondary antibody, ab150113, an Alexa Fluor® 488-conjugated goat anti-mouse IgG (1/500).

Immunocytochemistry/ Immunofluorescence - Anti-Axin 2 antibody [EPR2005(2)] (AB109307)
  • ICC/IF

AbReview46275****

Immunocytochemistry/ Immunofluorescence - Anti-Axin 2 antibody [EPR2005(2)] (AB109307)

Unpurified ab109307 staining Axin 2 in 293T cells by ICC/IF (Immunocytochemistry/immunofluorescence). Cells were fixed with paraformaldehyde, permeabilized with 1% Triton X-100 and blocked with 3% BSA for 1 hour at room temperature. Samples were incubated with primary antibody (1/50 in PBS + 3% BSA) for 16 hours. An Alexa Fluor® 488-conjugated donkey anti-rabbit IgG polyclonal (1/500) was used as the secondary antibody.

This image is courtesy of an anonymous Abreview

Western blot - Anti-Axin 2 antibody [EPR2005(2)] (AB109307)
  • WB

Unknown

Western blot - Anti-Axin 2 antibody [EPR2005(2)] (AB109307)

All lanes:

Western blot - Anti-Axin 2 antibody [EPR2005(2)] (ab109307) at 1/1000 dilution

Lane 1:

MCF7 cell lysates at 10 µg

Lane 2:

SW480 cell lysates at 10 µg

Lane 3:

PC3 cell lysates at 10 µg

Predicted band size: 93 kDa

Observed band size: 95 kDa

false

Western blot - Anti-Axin 2 antibody [EPR2005(2)] (AB109307)
  • WB

Lab

Western blot - Anti-Axin 2 antibody [EPR2005(2)] (AB109307)

Blocking buffer and concentration : 5% NFDM/TBST.

Diluting buffer and concentration : 5% NFDM /TBST.

All lanes:

Western blot - Anti-Axin 2 antibody [EPR2005(2)] (ab109307) at 1/1000 dilution

Lane 1:

SW480 cell lysate at 20 µg

Lane 2:

C6 cell lysate at 20 µg

Lane 3:

PC-12 cell lysate at 20 µg

Lane 4:

NIH/3T3 cell lysate at 20 µg

Secondary

All lanes:

Peroxidase-conjugated goat anti-rabbit IgG (H+L) at 1/1000 dilution

Predicted band size: 93 kDa

Observed band size: 94 kDa

false

Western blot - Anti-Axin 2 antibody [EPR2005(2)] (AB109307)
  • WB

Lab

Western blot - Anti-Axin 2 antibody [EPR2005(2)] (AB109307)

Blocking buffer and concentration : 5% NFDM/TBST.

Diluting buffer and concentration : 5% NFDM /TBST.

All lanes:

Western blot - Anti-Axin 2 antibody [EPR2005(2)] (ab109307) at 1/1000 dilution

Lane 1:

SW480 cell lysate at 20 µg

Lane 2:

C6 cell lysate at 20 µg

Lane 3:

PC-12 cell lysate at 20 µg

Lane 4:

NIH/3T3 cell lysate at 20 µg

Secondary

All lanes:

Peroxidase-conjugated goat anti-rabbit IgG (H+L) at 1/1000 dilution

Predicted band size: 93 kDa

Observed band size: 94 kDa

false

関連する標識済み抗体及び組成の異なる製品 (7)

Key facts

宿主種

Rabbit

クローン性

Monoclonal

クローン番号

EPR2005(2)

アイソタイプ

IgG

キャリアフリー

No

交差種

Mouse, Rat, Human

アプリケーション

ICC/IF, IHC-P, WB

applications

免疫原

The exact immunogen used to generate this antibody is proprietary information.

Reactivity data

{ "title": "Reactivity Data", "filters": { "stats": ["", "Species", "Dilution Info", "Notes"], "tabs": { "all-applications": {"fullname" : "All Applications", "shortname": "All Applications"}, "WB" : {"fullname" : "Western blot", "shortname":"WB"}, "ICCIF" : {"fullname" : "Immunocytochemistry/ Immunofluorescence", "shortname":"ICC/IF"}, "IHCP" : {"fullname" : "Immunohistochemistry (Formalin/PFA-fixed paraffin-embedded sections)", "shortname":"IHC-P"} }, "product-promise": { "all": "all", "testedAndGuaranteed": "tested", "guaranteed": "expected", "predicted": "predicted", "notRecommended": "not-recommended" } }, "values": { "Human": { "WB-species-checked": "testedAndGuaranteed", "WB-species-dilution-info": "1/1000 - 1/2000", "WB-species-notes": "<p></p>", "ICCIF-species-checked": "testedAndGuaranteed", "ICCIF-species-dilution-info": "1/150", "ICCIF-species-notes": "<p></p>", "IHCP-species-checked": "testedAndGuaranteed", "IHCP-species-dilution-info": "1/150", "IHCP-species-notes": "<p></p> Perform heat-mediated antigen retrieval with Tris/EDTA buffer pH 9.0 before commencing with IHC staining protocol." }, "Mouse": { "WB-species-checked": "testedAndGuaranteed", "WB-species-dilution-info": "1/1000 - 1/2000", "WB-species-notes": "<p></p>", "ICCIF-species-checked": "guaranteed", "ICCIF-species-dilution-info": "", "ICCIF-species-notes": "", "IHCP-species-checked": "guaranteed", "IHCP-species-dilution-info": "", "IHCP-species-notes": "" }, "Rat": { "WB-species-checked": "testedAndGuaranteed", "WB-species-dilution-info": "1/1000 - 1/2000", "WB-species-notes": "<p></p>", "ICCIF-species-checked": "guaranteed", "ICCIF-species-dilution-info": "", "ICCIF-species-notes": "", "IHCP-species-checked": "guaranteed", "IHCP-species-dilution-info": "", "IHCP-species-notes": "" }, "Pig": { "WB-species-checked": "predicted", "WB-species-dilution-info": "", "WB-species-notes": "", "ICCIF-species-checked": "predicted", "ICCIF-species-dilution-info": "", "ICCIF-species-notes": "", "IHCP-species-checked": "predicted", "IHCP-species-dilution-info": "", "IHCP-species-notes": "" } } }

製品の詳細

What is this antibody validated in?
Anti-Axin 2 antibody [EPR2005(2)] (ab109307) is a rabbit recombinant monoclonal antibody and is validated for use in Western Blot (WB), Immunohistochemistry (IHC-P), Immunocytochemistry/immunofluorescence (ICC/IF) in Human, Mouse, Rat samples.

What is the molecular weight of Axin 2?
Anti-Axin 2 [EPR2005(2)] (ab109307) specifically detects a band for Axin 2 (UniProt: Q9Y2T1) at a molecular weight of 94kDa.

Trusted by the scientific community
Anti-Axin 2 [EPR2005(2)] (ab109307) was first used in a scientific publication in 2011 and has been cited over 50 times in peer-reviewed journals.

Reviewed by scientists
Anti-Axin 2 [EPR2005(2)] (ab109307) has over 5 independent reviews from customers.

Trial sizes available!
Test your antibody or perform pre-screening before committing to a larger quantity. Sold in 10µl. Discover our selection of trial-size antibodies.

Other related products
We have a range of other formats of antibody clone [EPR2005(2)] also available for your convenience: ab109307, Carrier free - ab192230, Alexa Fluor® 488 - ab310998, Alexa Fluor® 647 - ab311122, Alexa Fluor® 594 - ab311754, Alexa Fluor® 568 - ab313034, Alexa Fluor® 555 - ab313235, Alexa Fluor® 750 - ab320944

Patented technology
Our RabMAb® technology is a patented hybridoma-based technology for making rabbit monoclonal antibodies. For details on our patents, please refer to RabMAb® patents.

What are the advantages of a recombinant monoclonal antibody?
This product is a recombinant monoclonal antibody, which offers several advantages including:

  • - High batch-to-batch consistency and reproducibility
  • - Improved sensitivity and specificity
  • - Long-term security of supply
  • - Animal-free batch production

For more information, read more on recombinant antibodies.

出荷温度及び保存条件

製品の状態
Liquid
精製方法
Affinity purification Protein A
バッファー組成
pH: 7.2 - 7.4 Preservative: 0.01% Sodium azide Constituents: PBS, 40% Glycerol (glycerin, glycerine), 0.05% BSA
出荷温度
Blue Ice
短期保存期間
1-2 weeks
短期保存温度
+4°C
長期保存温度
-20°C
分注に関する情報
Upon delivery aliquot
保管に関する情報
Stable for 12 months at -20°C

補足情報

This supplementary information is collated from multiple sources and compiled automatically.

Axin 2 also known as Axin Invasion is a protein belonging to the Axin family. It serves as a negative regulator of the Wnt signaling pathway. The molecular weight of Axin 2 is approximately 96 kDa. It is expressed in various tissues including the brain heart and skeletal muscle. Within cellular structures Axin 2 localizes to the cytoplasm where it interacts with other key proteins in its signaling pathways.
Biological function summary

Axin 2 functions as a scaffolding protein facilitating the assembly of multi-protein complexes. It forms part of the beta-catenin destruction complex which includes proteins like GSK-3Β and APC. This complex plays a critical role in degrading beta-catenin an important player in the Wnt signaling pathway. Axin 2 therefore acts to downregulate signaling cascades that lead to cell proliferation and differentiation.

Pathways

Axin 2 is integral to the Wnt/Β-catenin signaling pathway and also influences the JNK signaling pathway. By interacting with proteins like Β-catenin and GSK-3Β Axin 2 helps regulate gene expression initiatives important for developmental processes and cellular homeostasis. It acts as a check against unwarranted cellular proliferation maintaining balance within these signaling networks.

Axin 2 has significant implications in colorectal cancer and osteomalacia. Its regulation of the Wnt signaling pathway links it closely with the progression of these diseases. Mutations or dysregulation in Axin 2 can lead to the abnormal accumulation of Β-catenin which disrupts cellular processes and promotes cancer development. Furthermore altered expression of Axin 2 in osteomalacia highlights its role in bone formation and mineralization processes.

製品プロトコール

For this product, it's our understanding that no specific protocols are required. You can visit:

ターゲットの情報

Inhibitor of the Wnt signaling pathway. Down-regulates beta-catenin. Probably facilitate the phosphorylation of beta-catenin and APC by GSK3B.
See full target information Axin-2

文献 (72)

Recent publications for all applications. Explore the full list and refine your search

iScience 28:113117 PubMed40761291

2025

ARID1A mutation drives gastric tumorigenesis via activating type 2 immune dominant microenvironment.

Applications

Unspecified application

Species

Unspecified reactive species

Junya Arai,Yoku Hayakawa,Nobumi Suzuki,Hiroto Kinoshita,Masahiro Hata,Ken Kurokawa,Yuki Matsushita,Sohei Abe,Yukiko Oya,Mayo Tsuboi,Sozaburo Ihara,Yusuke Iwata,Keita Murakami,Toshiro Shiokawa,Chihiro Shiomi,Chie Uekura,Keisuke Yamamoto,Hiroaki Fujiwara,Satoshi Kawamura,Hayato Nakagawa,Tsuneo Ikenoue,Hiroaki Tateno,Tetsuo Ushiku,Hideaki Ijichi,Yoshihiro Hirata,Masato Kasuga,Gloria H Su,Timothy C Wang,Mitsuhiro Fujishiro

International journal of molecular sciences 25: PubMed39519238

2024

Melittin Inhibits Colorectal Cancer Growth and Metastasis by Ac-Tivating the Mitochondrial Apoptotic Pathway and Suppressing Epithelial-Mesenchymal Transition and Angiogenesis.

Applications

Unspecified application

Species

Unspecified reactive species

Kangli Wang,Lingchen Tao,Meifei Zhu,Xinyu Yu,Yuanyuan Lu,Bin Yuan,Fuliang Hu

Biological & pharmaceutical bulletin 47:1774-1785 PubMed39477471

2024

5-Demethylnobiletin Ameliorates Isoproterenol-Induced Cardiac Fibrosis and Apoptosis by Repressing the Sirt1/FOXO3a/NF-κB and Wnt/β-Catenin Pathways.

Applications

Unspecified application

Species

Unspecified reactive species

Haiyan Du,Weizhong Huangfu,Zhonghua Liu,Gaopeng Jia,Feng Zhao,Wenjun Cheng

Journal of periodontology 96:82-96 PubMed39012429

2024

Disparate effects of sclerostin deletion on alveolar bone and cellular cementum in mice.

Applications

Unspecified application

Species

Unspecified reactive species

Aonjittra Phanrungsuwan,Michael B Chavez,Leena A Eltilib,Tamara N Kolli,Fatma F Mohamed,Michelle H Tan,Cristiane R Salmon,Francisco H Nociti,Brian L Foster

Heliyon 10:e32241 PubMed38912446

2024

Exploring the potential of thiophene derivatives as dual inhibitors of β-tubulin and Wnt/β-catenin pathways for gastrointestinal cancers in vitro.

Applications

Unspecified application

Species

Unspecified reactive species

Lina Fu,Fuhao Li,Xia Xue,Huayuan Xi,Xiangdong Sun,Ruoyu Hu,Huijuan Wen,Simeng Liu

Cells 13: PubMed38891118

2024

Ileal Crohn's Disease Exhibits Reduced Activity of Phospholipase C-β3-Dependent Wnt/β-Catenin Signaling Pathway.

Applications

Unspecified application

Species

Unspecified reactive species

Tomoaki Ando,Ikuo Takazawa,Zachary T Spencer,Ryoji Ito,Yoshiaki Tomimori,Zbigniew Mikulski,Kenji Matsumoto,Tohru Ishitani,Lee A Denson,Yu Kawakami,Yuko Kawakami,Jiro Kitaura,Yashi Ahmed,Toshiaki Kawakami

BioFactors (Oxford, England) 50:1134-1147 PubMed38696072

2024

Deubiquitinase PSMD14 promotes tumorigenicity of glioblastoma by deubiquitinating and stabilizing β-catenin.

Applications

Unspecified application

Species

Unspecified reactive species

Yang Wang,Yu Liu,Chongchen Ma,Cen Liu,Qikai Tang,Zhangjie Wang,Jiacheng Lu,Zhengxin Chen,Huibo Wang

Molecular medicine reports 29: PubMed38426532

2024

SFRP2 suppresses trophoblast cell migration by inhibiting the Wnt/β‑catenin pathway.

Applications

Unspecified application

Species

Unspecified reactive species

Ruihong Lan,Yihong Yu,Jie Song,Mengdi Xue,Humin Gong

Frontiers in immunology 14:1271603 PubMed38035113

2023

Hypoxia mediates immune escape of pancreatic cancer cells by affecting miR-1275/AXIN2 in natural killer cells.

Applications

Unspecified application

Species

Unspecified reactive species

Zhenglin Ou,Yebin Lu,Dayong Xu,Zhen Luo

Tissue engineering and regenerative medicine 20:739-751 PubMed37326937

2023

Mesenchymal Stem Cell-Derived Exosomes are Effective for Radiation Enteritis and Essential for the Proliferation and Differentiation of Lgr5 Intestinal Epithelial Stem Cells by Regulating Mir-195/Akt/β-Catenin Pathway.

Applications

Unspecified application

Species

Unspecified reactive species

Leilei Yang,Chengfeng Fang,Caifang Song,Yaya Zhang,Ruili Zhang,Shenkang Zhou
View all publications

Abcam product promise

当社は、高品質な試薬を通じてお客様の研究を力強くサポートすることをお約束いたします。ご使用いただく各段階で、常にお客様をサポートできる体制を整えております。万が一、製品が期待通りに機能しない場合は、「Abcam Product Promise」による当社保証制度に基づき、安心してご利用いただけます。
保証に関する詳細については利用規約をご確認ください。

Please note: All products are 'FOR RESEARCH USE ONLY. NOT FOR USE IN DIAGNOSTIC OR THERAPEUTIC PROCEDURES'.

For licensing inquiries, please contact partnerships@abcam.com