JavaScript is disabled in your browser. Please enable JavaScript to view this website.
AB192612

Anti-ATP6V1B1 抗体 [EPR16400]

Anti-ATP6V1B1 antibody [EPR16400]

Be the first to review this product! Submit a review

|

(7 Publications)

Rabbit Recombinant Monoclonal ATP6V1B1 antibody. Suitable for WB, IHC-P and reacts with Mouse, Human, Rat samples. Cited in 7 publications.

別名を表示する

ATP6B1, VATB, VPP3, ATP6V1B1, V-ATPase subunit B 1, Endomembrane proton pump 58 kDa subunit, Vacuolar proton pump subunit B 1

6 Images
Immunohistochemistry (Formalin/PFA-fixed paraffin-embedded sections) - Anti-ATP6V1B1 antibody [EPR16400] (AB192612)
  • IHC-P

Unknown

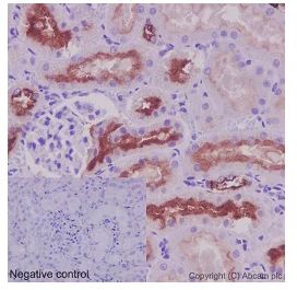
Immunohistochemistry (Formalin/PFA-fixed paraffin-embedded sections) - Anti-ATP6V1B1 antibody [EPR16400] (AB192612)

Immunohistochemical analysis of paraffin-embedded Human kidney tissue labeling ATP6V1B1 with ab192612 at 1/500 dilution (1.4 μg/ml) followed by pre-diluted HRP Polymer for Rabbit/Mouse IgG secondary antibody and counter-stained with Hematoxylin. (inset : negative control).

Perform heat mediated antigen retrieval with Tris/EDTA buffer pH 9.0 before commencing with IHC staining protocol.

Immunohistochemistry (Formalin/PFA-fixed paraffin-embedded sections) - Anti-ATP6V1B1 antibody [EPR16400] (AB192612)
  • IHC-P

Supplier Data

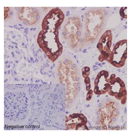
Immunohistochemistry (Formalin/PFA-fixed paraffin-embedded sections) - Anti-ATP6V1B1 antibody [EPR16400] (AB192612)

Immunohistochemical analysis of paraffin-embedded Mouse kidney tissue labeling ATP6V1B1 with ab192612 at 1/500 dilution (1.4 μg/ml) followed by pre-diluted HRP Polymer for Rabbit/Mouse IgG secondary antibody and counter-stained with Hematoxylin. (inset : negative control).

Perform heat mediated antigen retrieval with Tris/EDTA buffer pH 9.0 before commencing with IHC staining protocol.

Immunohistochemistry (Formalin/PFA-fixed paraffin-embedded sections) - Anti-ATP6V1B1 antibody [EPR16400] (AB192612)
  • IHC-P

Supplier Data

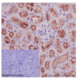
Immunohistochemistry (Formalin/PFA-fixed paraffin-embedded sections) - Anti-ATP6V1B1 antibody [EPR16400] (AB192612)

Immunohistochemical analysis of paraffin-embedded Rat kidney tissue labeling ATP6V1B1 with ab192612 at 1/500 dilution (1.4 μg/ml) followed by pre-diluted HRP Polymer for Rabbit/Mouse IgG secondary antibody and counter-stained with Hematoxylin. (inset : negative control).

Perform heat mediated antigen retrieval with Tris/EDTA buffer pH 9.0 before commencing with IHC staining protocol.

Western blot - Anti-ATP6V1B1 antibody [EPR16400] (AB192612)
  • WB

Supplier Data

Western blot - Anti-ATP6V1B1 antibody [EPR16400] (AB192612)

All lanes:

Western blot - Anti-ATP6V1B1 antibody [EPR16400] (ab192612) at 1/1000 dilution

All lanes:

JAR cell lysate at 20 µg

Secondary

All lanes:

Goat Anti-Rabbit IgG, (H+L), Peroxidase conjugate at 1/1000 dilution

Predicted band size: 57 kDa,79 kDa

false

Western blot - Anti-ATP6V1B1 antibody [EPR16400] (AB192612)
  • WB

Supplier Data

Western blot - Anti-ATP6V1B1 antibody [EPR16400] (AB192612)

All lanes:

Western blot - Anti-ATP6V1B1 antibody [EPR16400] (ab192612) at 1/10000 dilution

All lanes:

Human fetal kidney lysate at 20 µg

Secondary

All lanes:

Goat Anti-Rabbit IgG, (H+L), Peroxidase conjugate at 1/1000 dilution

Predicted band size: 57 kDa

false

Western blot - Anti-ATP6V1B1 antibody [EPR16400] (AB192612)
  • WB

Supplier Data

Western blot - Anti-ATP6V1B1 antibody [EPR16400] (AB192612)

All lanes:

Western blot - Anti-ATP6V1B1 antibody [EPR16400] (ab192612) at 1/1000 dilution

Lane 1:

Mouse kidney tissue lysate at 10 µg

Lane 2:

Mouse spleen tissue lysate at 10 µg

Lane 3:

Rat kidney tissue lysate at 10 µg

Secondary

All lanes:

Goat Anti-Rabbit IgG, (H+L), Peroxidase conjugate at 1/1000 dilution

Predicted band size: 57 kDa

false

関連する標識済み抗体及び組成の異なる製品 (1)

  • Carrier free

    Anti-ATP6V1B1 antibody [EPR16400] - BSA and Azide free

Key facts

宿主種

Rabbit

クローン性

Monoclonal

クローン番号

EPR16400

アイソタイプ

IgG

キャリアフリー

No

交差種

Mouse, Rat, Human

アプリケーション

IHC-P, WB

applications

免疫原

The exact immunogen used to generate this antibody is proprietary information.

Reactivity data

{ "title": "Reactivity Data", "filters": { "stats": ["", "Species", "Dilution Info", "Notes"], "tabs": { "all-applications": {"fullname" : "All Applications", "shortname": "All Applications"}, "WB" : {"fullname" : "Western blot", "shortname":"WB"}, "IHCP" : {"fullname" : "Immunohistochemistry (Formalin/PFA-fixed paraffin-embedded sections)", "shortname":"IHC-P"} }, "product-promise": { "all": "all", "testedAndGuaranteed": "tested", "guaranteed": "expected", "predicted": "predicted", "notRecommended": "not-recommended" } }, "values": { "Human": { "WB-species-checked": "testedAndGuaranteed", "WB-species-dilution-info": "1/1000 - 1/10000", "WB-species-notes": "<p></p>", "IHCP-species-checked": "testedAndGuaranteed", "IHCP-species-dilution-info": "1/250 - 1/500", "IHCP-species-notes": "<p></p>" }, "Mouse": { "WB-species-checked": "testedAndGuaranteed", "WB-species-dilution-info": "1/1000 - 1/10000", "WB-species-notes": "<p></p>", "IHCP-species-checked": "testedAndGuaranteed", "IHCP-species-dilution-info": "1/250 - 1/500", "IHCP-species-notes": "<p></p>" }, "Rat": { "WB-species-checked": "testedAndGuaranteed", "WB-species-dilution-info": "1/1000 - 1/10000", "WB-species-notes": "<p></p>", "IHCP-species-checked": "testedAndGuaranteed", "IHCP-species-dilution-info": "1/250 - 1/500", "IHCP-species-notes": "<p></p>" } } }

製品の詳細

Patented technology
Our RabMAb® technology is a patented hybridoma-based technology for making rabbit monoclonal antibodies. For details on our patents, please refer to RabMAb® patents.

What are the advantages of a recombinant monoclonal antibody?
This product is a recombinant monoclonal antibody, which offers several advantages including:

  • - High batch-to-batch consistency and reproducibility
  • - Improved sensitivity and specificity
  • - Long-term security of supply
  • - Animal-free batch production

For more information, read more on recombinant antibodies.

出荷温度及び保存条件

製品の状態
Liquid
精製方法
Affinity purification Protein A
バッファー組成
pH: 7.2 - 7.4 Preservative: 0.01% Sodium azide Constituents: PBS, 40% Glycerol (glycerin, glycerine), 0.05% BSA
出荷温度
Blue Ice
短期保存期間
1-2 weeks
短期保存温度
+4°C
長期保存温度
-20°C
分注に関する情報
Upon delivery aliquot
保管に関する情報
Avoid freeze / thaw cycle

補足情報

This supplementary information is collated from multiple sources and compiled automatically.

ATP6V1B1 also known as V-type proton ATPase subunit B1 is an important component of the vacuolar ATPase (V-ATPase) complex. It plays an important role in the acidification of intracellular compartments by facilitating proton translocation across membranes. The molecular mass of ATP6V1B1 is approximately 58 kDa. ATP6V1B1 expresses prominently in the kidney specifically in the epithelial cells of the distal tubules and collecting ducts as well as in the inner ear.
Biological function summary

ATP6V1B1 is involved in cellular processes that require the maintenance of pH gradients across membranes. It forms part of the V-ATPase complex which consists of multiple subunits working together to pump protons into the vacuoles and other organelles effectuating an acidic environment. These acidic environments are important for protein sorting zymogen activation and receptor-mediated endocytosis.

Pathways

ATP6V1B1 contributes directly to the endocytic and lysosomal degradation pathways playing an essential role in cellular homeostasis. The protein interacts with other V-ATPase subunits such as ATP6V1E1 and ATP6V1C1 within these pathways to ensure the proper functioning of organelles. It also assists in maintaining the acidification essential for the processing and transport of molecules inside cells.

Mutations in the ATP6V1B1 gene associate strongly with distal renal tubular acidosis (dRTA) and sensorineural hearing loss. In dRTA disrupted acidification in the kidney impairs the body's ability to excrete acids or balance pH. Furthermore ATP6V1B1's interaction with proteins like ATP6V0A4 is significant as mutations in both proteins are linked to a similar disorder highlighting their role in maintaining renal and auditory function.

製品プロトコール

For this product, it's our understanding that no specific protocols are required. You can visit:

ターゲットの情報

Non-catalytic subunit of the V1 complex of vacuolar(H+)-ATPase (V-ATPase), a multisubunit enzyme composed of a peripheral complex (V1) that hydrolyzes ATP and a membrane integral complex (V0) that translocates protons (PubMed : 16769747). V-ATPase is responsible for acidifying and maintaining the pH of intracellular compartments and in some cell types, is targeted to the plasma membrane, where it is responsible for acidifying the extracellular environment (PubMed : 32001091). Essential for the proper assembly and activity of V-ATPase (PubMed : 16769747). In renal intercalated cells, mediates secretion of protons (H+) into the urine thereby ensuring correct urinary acidification (PubMed : 16769747). Required for optimal olfactory function by mediating the acidification of the nasal olfactory epithelium (By similarity).
See full target information ATP6V1B1

文献 (7)

Recent publications for all applications. Explore the full list and refine your search

Heliyon 10:e36595 PubMed39286102

2024

CREB1 promotes cholangiocarcinoma metastasis through transcriptional regulation of the LAYN-mediated TLN1/β1 integrin axis: CREB1 promotes cholangiocarcinoma metastasis through regulating LAYN/TLN1/β1 integrin axis.

Applications

Unspecified application

Species

Unspecified reactive species

Shuai Liang,Shuhua Zhou,Yangshuo Tang,Moyan Xiao,Ke Ye

Journal of the American Society of Nephrology : JASN 34:554-571 PubMed36735940

2023

Lineage Tracing and Single-Nucleus Multiomics Reveal Novel Features of Adaptive and Maladaptive Repair after Acute Kidney Injury.

Applications

Unspecified application

Species

Unspecified reactive species

Louisa M S Gerhardt,Kari Koppitch,Jordi van Gestel,Jinjin Guo,Sam Cho,Haojia Wu,Yuhei Kirita,Benjamin D Humphreys,Andrew P McMahon

Journal of the American Society of Nephrology : JASN 33:1357-1376 PubMed35318267

2022

Aqp2 Progenitor Cells Maintain and Repair Distal Renal Segments.

Applications

Unspecified application

Species

Unspecified reactive species

Chao Gao,Long Zhang,Enuo Chen,Wenzheng Zhang

Autophagy 18:624-642 PubMed34313551

2021

Lysosomal TPCN (two pore segment channel) inhibition ameliorates beta-amyloid pathology and mitigates memory impairment in Alzheimer disease.

Applications

Unspecified application

Species

Unspecified reactive species

Benjamin Chun-Kit Tong,Aston Jiaxi Wu,Alexis Shiying Huang,Rui Dong,Sandeep Malampati,Ashok Iyaswamy,Senthilkumar Krishnamoorthi,Sravan Gopalkrishnashetty Sreenivasmurthy,Zhou Zhu,Chengfu Su,Jia Liu,Juxian Song,Jia-Hong Lu,Jieqiong Tan,Weidong Pan,Min Li,King-Ho Cheung

Cell reports 31:107476 PubMed32268094

2020

A Modular Differentiation System Maps Multiple Human Kidney Lineages from Pluripotent Stem Cells.

Applications

Unspecified application

Species

Unspecified reactive species

Hiraku Tsujimoto,Tomoko Kasahara,Shin-Ichi Sueta,Toshikazu Araoka,Satoko Sakamoto,Chihiro Okada,Shin-Ichi Mae,Taiki Nakajima,Natsumi Okamoto,Daisuke Taura,Makoto Nasu,Tatsuya Shimizu,Makoto Ryosaka,Zhongwei Li,Masakatsu Sone,Makoto Ikeya,Akira Watanabe,Kenji Osafune

Journal of the American Society of Nephrology : JA 31:701-715 PubMed32034106

2020

Renoprotective and Immunomodulatory Effects of GDF15 following AKI Invoked by Ischemia-Reperfusion Injury.

Applications

Unspecified application

Species

Unspecified reactive species

Jing Liu,Sanjeev Kumar,Andreas Heinzel,Michael Gao,Jinjin Guo,Gregory F Alvarado,Roman Reindl-Schwaighofer,A Michaela Krautzberger,Pietro E Cippà,Jill McMahon,Rainer Oberbauer,Andrew P McMahon

Developmental cell 51:399-413.e7 PubMed31689386

2019

Single-Cell Profiling Reveals Sex, Lineage, and Regional Diversity in the Mouse Kidney.

Applications

Unspecified application

Species

Unspecified reactive species

Andrew Ransick,Nils O Lindström,Jing Liu,Qin Zhu,Jin-Jin Guo,Gregory F Alvarado,Albert D Kim,Hannah G Black,Junhyong Kim,Andrew P McMahon
View all publications

Abcam product promise

当社は、高品質な試薬を通じてお客様の研究を力強くサポートすることをお約束いたします。ご使用いただく各段階で、常にお客様をサポートできる体制を整えております。万が一、製品が期待通りに機能しない場合は、「Abcam Product Promise」による当社保証制度に基づき、安心してご利用いただけます。
保証に関する詳細については利用規約をご確認ください。

Please note: All products are 'FOR RESEARCH USE ONLY. NOT FOR USE IN DIAGNOSTIC OR THERAPEUTIC PROCEDURES'.

For licensing inquiries, please contact partnerships@abcam.com