JavaScript is disabled in your browser. Please enable JavaScript to view this website.
AB321809

Anti-ATP6V0D2 抗体 [EPR29173-521]

Anti-ATP6V0D2 antibody [EPR29173-521]

  • BOND RX™ Validated
  • 20ul selling size
  • Recombinant
  • RabMAb
  • 詳細を見る

Be the first to review this product! Submit a review

|

(0 Publication)

Rabbit Recombinant Monoclonal ATP6V0D2 antibody. Suitable for WB, IHC-P and reacts with Recombinant fragment - Human, Human, Mouse samples.

別名を表示する

V-type proton ATPase subunit d 2, V-ATPase subunit d 2, Vacuolar proton pump subunit d 2, ATP6V0D2

9 Images
Immunohistochemistry (Formalin/PFA-fixed paraffin-embedded sections) - Anti-ATP6V0D2 antibody [EPR29173-521] (AB321809)
  • IHC-P

Supplier Data

Immunohistochemistry (Formalin/PFA-fixed paraffin-embedded sections) - Anti-ATP6V0D2 antibody [EPR29173-521] (AB321809)

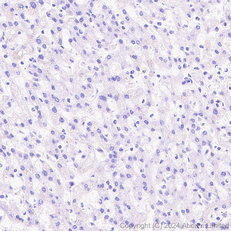
Immunohistochemical analysis of paraffin-embedded Human liver tissue labeling ATP6V0D2 with ab321809 at 1/1000 (0.505 ug/ml) dilution, followed by a ready to use LeicaDS9800 (Bond™ Polymer Refine Detection).

Low expression tissue : no staining on human liver. The section was incubated with ab321809 for 30 mins at room temperature.
The immunostaining was performed on a Leica Biosystems BOND® RX instrument

Counterstained with Hematoxylin.

Secondary antibody only control : Secondary antibody is a ready to use LeicaDS9800 (Bond™ Polymer Refine Detection).

Heat mediated antigen retrieval was performed with Tris-EDTA buffer (pH 9.0, Epitope Retrieval Solution2) for 20 mins

Immunohistochemistry (Formalin/PFA-fixed paraffin-embedded sections) - Anti-ATP6V0D2 antibody [EPR29173-521] (AB321809)
  • IHC-P

Supplier Data

Immunohistochemistry (Formalin/PFA-fixed paraffin-embedded sections) - Anti-ATP6V0D2 antibody [EPR29173-521] (AB321809)

Immunohistochemical analysis of paraffin-embedded Human cardiac muscle tissue labeling ATP6V0D2 with ab321809 at 1/1000 (0.505 ug/ml) dilution, followed by a ready to use LeicaDS9800 (Bond™ Polymer Refine Detection).

Low expression tissue : no staining on human cardiac muscle. The section was incubated with ab321809 for 30 mins at room temperature.
The immunostaining was performed on a Leica Biosystems BOND® RX instrument

Counterstained with Hematoxylin.

Secondary antibody only control : Secondary antibody is a ready to use LeicaDS9800 (Bond™ Polymer Refine Detection).

Heat mediated antigen retrieval was performed with Tris-EDTA buffer (pH 9.0, Epitope Retrieval Solution2) for 20 mins

Immunohistochemistry (Formalin/PFA-fixed paraffin-embedded sections) - Anti-ATP6V0D2 antibody [EPR29173-521] (AB321809)
  • IHC-P

Supplier Data

Immunohistochemistry (Formalin/PFA-fixed paraffin-embedded sections) - Anti-ATP6V0D2 antibody [EPR29173-521] (AB321809)

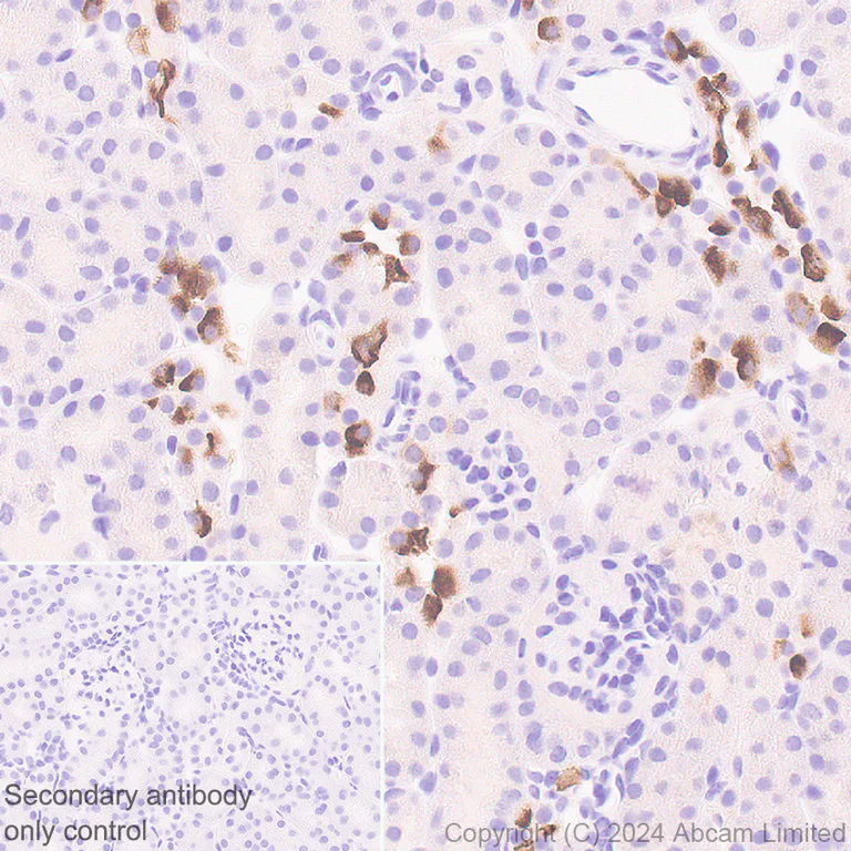
Immunohistochemical analysis of paraffin-embedded Human kidney tissue labeling ATP6V0D2 with ab321809 at 1/1000 (0.505 ug/ml) dilution, followed by a ready to use LeicaDS9800 (Bond™ Polymer Refine Detection).

Positive staining on tubules of human kidney. The section was incubated with ab321809 for 30 mins at room temperature.
The immunostaining was performed on a Leica Biosystems BOND® RX instrument

Counterstained with Hematoxylin.

Secondary antibody only control : Secondary antibody is a ready to use LeicaDS9800 (Bond™ Polymer Refine Detection).

Heat mediated antigen retrieval was performed with Tris-EDTA buffer (pH 9.0, Epitope Retrieval Solution2) for 20 mins

Immunohistochemistry (Formalin/PFA-fixed paraffin-embedded sections) - Anti-ATP6V0D2 antibody [EPR29173-521] (AB321809)
  • IHC-P

Supplier Data

Immunohistochemistry (Formalin/PFA-fixed paraffin-embedded sections) - Anti-ATP6V0D2 antibody [EPR29173-521] (AB321809)

Immunohistochemical analysis of paraffin-embedded Mouse cardiac muscle tissue labeling ATP6V0D2 with ab321809 at 1/1000 (0.505 ug/ml) dilution, followed by a ready to use LeicaDS9800 (Bond™ Polymer Refine Detection).

Low expression tissue : no staining on mouse cardiac muscle. The section was incubated with ab321809 for 30 mins at room temperature.
The immunostaining was performed on a Leica Biosystems BOND® RX instrument

Counterstained with Hematoxylin.

Secondary antibody only control : Secondary antibody is a ready to use LeicaDS9800 (Bond™ Polymer Refine Detection).

Heat mediated antigen retrieval was performed with Tris-EDTA buffer (pH 9.0, Epitope Retrieval Solution2) for 20 mins

Immunohistochemistry (Formalin/PFA-fixed paraffin-embedded sections) - Anti-ATP6V0D2 antibody [EPR29173-521] (AB321809)
  • IHC-P

Supplier Data

Immunohistochemistry (Formalin/PFA-fixed paraffin-embedded sections) - Anti-ATP6V0D2 antibody [EPR29173-521] (AB321809)

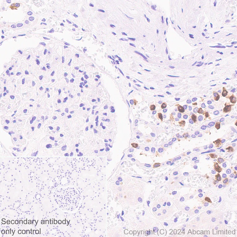
Immunohistochemical analysis of paraffin-embedded Mouse kidney tissue labeling ATP6V0D2 with ab321809 at 1/1000 (0.505 ug/ml) dilution, followed by a ready to use LeicaDS9800 (Bond™ Polymer Refine Detection).

Positive staining on tubules of mouse kidney. The section was incubated with ab321809 for 30 mins at room temperature.
The immunostaining was performed on a Leica Biosystems BOND® RX instrument

Counterstained with Hematoxylin.

Secondary antibody only control : Secondary antibody is a ready to use LeicaDS9800 (Bond™ Polymer Refine Detection).

Heat mediated antigen retrieval was performed with Tris-EDTA buffer (pH 9.0, Epitope Retrieval Solution2) for 20 mins

Immunohistochemistry (Formalin/PFA-fixed paraffin-embedded sections) - Anti-ATP6V0D2 antibody [EPR29173-521] (AB321809)
  • IHC-P

Supplier Data

Immunohistochemistry (Formalin/PFA-fixed paraffin-embedded sections) - Anti-ATP6V0D2 antibody [EPR29173-521] (AB321809)

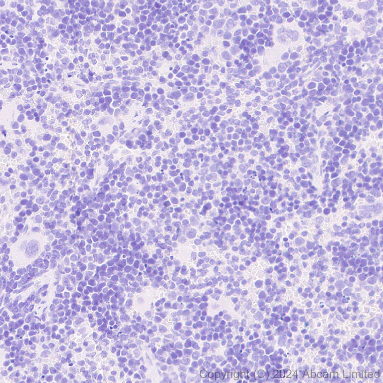
Immunohistochemical analysis of paraffin-embedded Mouse spleen tissue labeling ATP6V0D2 with ab321809 at 1/1000 (0.505 ug/ml) dilution, followed by a ready to use LeicaDS9800 (Bond™ Polymer Refine Detection).

Low expression tissue : no staining on mouse spleen. The section was incubated with ab321809 for 30 mins at room temperature.
The immunostaining was performed on a Leica Biosystems BOND® RX instrument

Counterstained with Hematoxylin.

Secondary antibody only control : Secondary antibody is a ready to use LeicaDS9800 (Bond™ Polymer Refine Detection).

Heat mediated antigen retrieval was performed with Tris-EDTA buffer (pH 9.0, Epitope Retrieval Solution2) for 20 mins

Western blot - Anti-ATP6V0D2 antibody [EPR29173-521] (AB321809)
  • WB

Supplier Data

Western blot - Anti-ATP6V0D2 antibody [EPR29173-521] (AB321809)

Blocking and diluting buffer and concentration : 5% NFDM/TBST.

All lanes:

Western blot - Anti-ATP6V0D2 antibody [EPR29173-521] (ab321809) at 1/1000 dilution

All lanes:

SK-MEL-28 (human malignant melanoma cell) whole cell lysate at 20 µg

Secondary

All lanes:

Western blot - Goat Anti-Rabbit IgG H&L (HRP) (<a href='/products/secondary-antibodies/goat-rabbit-igg-h-l-hrp-ab97051'>ab97051</a>) at 1/100000 dilution

Observed band size: 40 kDa

false

Exposure time: 180s

Western blot - Anti-ATP6V0D2 antibody [EPR29173-521] (AB321809)
  • WB

Supplier Data

Western blot - Anti-ATP6V0D2 antibody [EPR29173-521] (AB321809)

Blocking and diluting buffer and concentration : 5% NFDM/TBST.

Low expression : lung, skeletal muscle, spleen (PMID : 12963731)

Negative control : liver (PMID : 12963731)

In Western blot, Anti-GAPDH antibody [EPR16891] - Loading Control (ab181602) staining at 1/200000 dilution.

All lanes:

Western blot - Anti-ATP6V0D2 antibody [EPR29173-521] (ab321809) at 1/1000 dilution

Lane 1:

Human kidney tissue lysate at 40 µg

Lane 2:

Human liver tissue lysate at 40 µg

Lane 3:

Human lung tissue lysate at 40 µg

Lane 4:

Mouse kidney tissue lysate at 40 µg

Lane 5:

Mouse skeletal muscle tissue lysate at 40 µg

Lane 6:

Mouse spleen tissue lysate at 40 µg

Lane 7:

Mouse lung tissue lysate at 40 µg

Secondary

All lanes:

Goat Anti-Rabbit IgG (HRP) with minimal cross-reactivity with human IgG at 1/2000 dilution

Observed band size: 40 kDa,36 kDa

false

Exposure time: 37s

Western blot - Anti-ATP6V0D2 antibody [EPR29173-521] (AB321809)
  • WB

Supplier Data

Western blot - Anti-ATP6V0D2 antibody [EPR29173-521] (AB321809)

Blocking and diluting buffer and concentration : 5% NFDM/TBST.

This antibody doesn't cross-react with Human ATP6V0D1.

The bands observed at higher mw could be detection of glycosylated forms of the overexpressed protein.

In Western blot, Anti-LIF antibody [EPR21713-25] - BSA and Azide free staining at Capture dilution.

All lanes:

Western blot - Anti-ATP6V0D2 antibody [EPR29173-521] (ab321809) at 1/1000 dilution

Lane 1:

LIF/His-tagged human ATP6V0D2 protein fragment at 10 ng

Lane 2:

LIF/His-tagged human ATP6V0D1 protein fragment at 10 ng

Secondary

All lanes:

Western blot - Goat Anti-Rabbit IgG H&L (HRP) (<a href='/products/secondary-antibodies/goat-rabbit-igg-h-l-hrp-ab97051'>ab97051</a>) at 1/100000 dilution

Observed band size: 80 kDa

false

Exposure time: 180s

Key facts

宿主種

Rabbit

クローン性

Monoclonal

クローン番号

EPR29173-521

アイソタイプ

IgG

キャリアフリー

No

交差種

Human, Mouse

アプリケーション

WB, IHC-P

applications

免疫原

The exact immunogen used to generate this antibody is proprietary information.

Reactivity data

{ "title": "Reactivity Data", "filters": { "stats": ["", "Species", "Dilution Info", "Notes"], "tabs": { "all-applications": {"fullname" : "All Applications", "shortname": "All Applications"}, "WB" : {"fullname" : "Western blot", "shortname":"WB"}, "IHCP" : {"fullname" : "Immunohistochemistry (Formalin/PFA-fixed paraffin-embedded sections)", "shortname":"IHC-P"}, "ICCIF" : {"fullname" : "Immunocytochemistry/ Immunofluorescence", "shortname":"ICC/IF"} }, "product-promise": { "all": "all", "testedAndGuaranteed": "tested", "guaranteed": "expected", "predicted": "predicted", "notRecommended": "not-recommended" } }, "values": { "Human": { "WB-species-checked": "testedAndGuaranteed", "WB-species-dilution-info": "1/1000", "WB-species-notes": "<p></p>", "IHCP-species-checked": "testedAndGuaranteed", "IHCP-species-dilution-info": "1/1000", "IHCP-species-notes": "<p></p> Perform heat-mediated antigen retrieval with Tris/EDTA buffer pH 9.0 before commencing with IHC staining protocol.", "ICCIF-species-checked": "notRecommended", "ICCIF-species-dilution-info": "", "ICCIF-species-notes": "<p></p>" }, "Mouse": { "WB-species-checked": "testedAndGuaranteed", "WB-species-dilution-info": "1/1000", "WB-species-notes": "<p></p>", "IHCP-species-checked": "testedAndGuaranteed", "IHCP-species-dilution-info": "1/1000", "IHCP-species-notes": "<p></p> Perform heat-mediated antigen retrieval with Tris/EDTA buffer pH 9.0 before commencing with IHC staining protocol.", "ICCIF-species-checked": "notRecommended", "ICCIF-species-dilution-info": "", "ICCIF-species-notes": "" }, "Recombinant fragment - Human": { "WB-species-checked": "testedAndGuaranteed", "WB-species-dilution-info": "1/1000", "WB-species-notes": "<p></p>", "IHCP-species-checked": "notRecommended", "IHCP-species-dilution-info": "", "IHCP-species-notes": "", "ICCIF-species-checked": "notRecommended", "ICCIF-species-dilution-info": "", "ICCIF-species-notes": "" } } }

製品の詳細

Patented technology
Our RabMAb® technology is a patented hybridoma-based technology for making rabbit monoclonal antibodies. For details on our patents, please refer to RabMAb® patents.

What are the advantages of a recombinant monoclonal antibody?
This product is a recombinant monoclonal antibody, which offers several advantages including:

  • - High batch-to-batch consistency and reproducibility
  • - Improved sensitivity and specificity
  • - Long-term security of supply
  • - Animal-free batch production

For more information, read more on recombinant antibodies.

出荷温度及び保存条件

製品の状態
Liquid
精製方法
Affinity purification Protein A
バッファー組成
pH: 7.2 - 7.4 Preservative: 0.01% Sodium azide Constituents: PBS, 40% Glycerol (glycerin, glycerine), 0.05% BSA
出荷温度
Blue Ice
短期保存期間
1-2 weeks
短期保存温度
+4°C
長期保存温度
-20°C
分注に関する情報
Upon delivery aliquot
保管に関する情報
Avoid freeze / thaw cycle

補足情報

This supplementary information is collated from multiple sources and compiled automatically.

ATP6V0D2 also known as V-type proton ATPase subunit d 2 is a subunit of the V-ATPase complex. It has a mass of approximately 38 kDa. This protein is expressed in various tissues with significant expression noted in bone and white adipose tissue. Mechanically ATP6V0D2 contributes to the acidification of intracellular compartments. It functions as part of the proton pump machinery facilitating the transfer of protons across membranes which is essential for processes like endocytosis and intracellular trafficking.
Biological function summary

ATP6V0D2 plays a significant role in bone resorption and adipogenesis. It is a component of the larger V-ATPase complex important for creating acidic environments required for enzyme activity particularly in osteoclasts. This acidity enables the breakdown of bone matrix which is a fundamental part of bone remodeling. Additionally ATP6V0D2 influences fat cell differentiation by modulating the function of cytosolic components within the complex.

Pathways

ATP6V0D2 functions as an integral part of the bone remodeling and lysosomal degradation pathways. In the bone remodeling pathway the protein works closely with other proton pump components like ATP6V0A3 to regulate osteoclast activity. In lysosomal degradation it aids in maintaining the acidity essential for lysosomal enzyme activity. Both pathways are connected through ATP6V0D2's regulation of intracellular pH and ion homeostasis.

ATP6V0D2 has associations with osteoporosis and obesity. In osteoporosis deficient or dysfunctional ATP6V0D2 activity can impair osteoclast function leading to altered bone resorption and skeletal fragility. In the context of obesity this protein influences adipocyte differentiation and function. ATP6V0D2's role in these disorders connects it to other proteins like RANKL in bone metabolism and PPARγ in adipogenesis linking it beyond just its structural function within proton pumps.

製品プロトコール

For this product, it's our understanding that no specific protocols are required. You can visit:

ターゲットの情報

Subunit of the V0 complex of vacuolar(H+)-ATPase (V-ATPase), a multisubunit enzyme composed of a peripheral complex (V1) that hydrolyzes ATP and a membrane integral complex (V0) that translocates protons. V-ATPase is responsible for acidifying and maintaining the pH of intracellular compartments and in some cell types, is targeted to the plasma membrane, where it is responsible for acidifying the extracellular environment (By similarity). May play a role in coupling of proton transport and ATP hydrolysis (By similarity). Regulator of osteoclast fusion and bone formation (By similarity).
See full target information ATP6V0D2

Abcam product promise

当社は、高品質な試薬を通じてお客様の研究を力強くサポートすることをお約束いたします。ご使用いただく各段階で、常にお客様をサポートできる体制を整えております。万が一、製品が期待通りに機能しない場合は、「Abcam Product Promise」による当社保証制度に基づき、安心してご利用いただけます。
保証に関する詳細については利用規約をご確認ください。

Please note: All products are 'FOR RESEARCH USE ONLY. NOT FOR USE IN DIAGNOSTIC OR THERAPEUTIC PROCEDURES'.

For licensing inquiries, please contact partnerships@abcam.com