JavaScript is disabled in your browser. Please enable JavaScript to view this website.
AB309519

Anti-ATG9A 抗体 [EPR2450(2)] - Mouse IgG1 (Chimeric) - BSA and Azide free

Anti-ATG9A antibody [EPR2450(2)] - Mouse IgG1 (Chimeric) - BSA and Azide free

Be the first to review this product! Submit a review

|

(0 Publication)

Mouse Recombinant Monoclonal ATG9A antibody. Carrier free. Suitable for WB, IHC-P and reacts with Human samples.

別名を表示する

APG9L1, ATG9A, Autophagy-related protein 9A, APG9-like 1, mATG9

5 Images
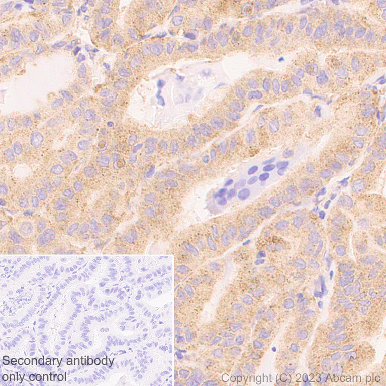
Immunohistochemistry (Formalin/PFA-fixed paraffin-embedded sections) - Anti-ATG9A antibody [EPR2450(2)] - Mouse IgG1 (Chimeric) - BSA and Azide free (AB309519)
  • IHC-P

Supplier Data

Immunohistochemistry (Formalin/PFA-fixed paraffin-embedded sections) - Anti-ATG9A antibody [EPR2450(2)] - Mouse IgG1 (Chimeric) - BSA and Azide free (AB309519)

This data was developed using ab309518 the same antibody clone in a different buffer formulation. Immunohistochemical analysis of paraffin-embedded Human thyroid cancer tissue labeling ATG9A with ab309518 at 1/1000 (0.996 ug/ml) dilution followed by a ready to use LeicaDS9800 (Bond™ Polymer Refine Detection). Cytoplasmic staining on human thyroid cancer.The section was incubated with ab309518 for 30 mins at room temperature, followed by anti-mouse IgG1 antibody (ab125913) for 8 mins during the LeicaDS9800 kit staining procedure.The immunostaining was performed on a Leica Biosystems BOND® RX instrument Counterstained with Hematoxylin. antibody only control : Secondary antibody is a ready to use LeicaDS9800 (Bond™ Polymer Refine Detection). Heat mediated antigen retrieval was performed with Tris-EDTA buffer (pH 9.0, Epitope Retrieval Solution2) for 20 mins

Immunohistochemistry (Formalin/PFA-fixed paraffin-embedded sections) - Anti-ATG9A antibody [EPR2450(2)] - Mouse IgG1 (Chimeric) - BSA and Azide free (AB309519)
  • IHC-P

Supplier Data

Immunohistochemistry (Formalin/PFA-fixed paraffin-embedded sections) - Anti-ATG9A antibody [EPR2450(2)] - Mouse IgG1 (Chimeric) - BSA and Azide free (AB309519)

This data was developed using ab309518 the same antibody clone in a different buffer formulation. Immunohistochemical analysis of paraffin-embedded Human cerebrum tissue labeling ATG9A with ab309518 at 1/1000 (0.996 ug/ml) dilution followed by a ready to use LeicaDS9800 (Bond™ Polymer Refine Detection). Cytoplasmic staining on human cerebrum.The section was incubated with ab309518 for 30 mins at room temperature, followed by anti-mouse IgG1 antibody (ab125913) for 8 mins during the LeicaDS9800 kit staining procedure.The immunostaining was performed on a Leica Biosystems BOND® RX instrument Counterstained with Hematoxylin. antibody only control : Secondary antibody is a ready to use LeicaDS9800 (Bond™ Polymer Refine Detection). Heat mediated antigen retrieval was performed with Tris-EDTA buffer (pH 9.0, Epitope Retrieval Solution2) for 20 mins

Western blot - Anti-ATG9A antibody [EPR2450(2)] - Mouse IgG1 (Chimeric) - BSA and Azide free (AB309519)
  • WB

Supplier Data

Western blot - Anti-ATG9A antibody [EPR2450(2)] - Mouse IgG1 (Chimeric) - BSA and Azide free (AB309519)

This data was developed using ab309518, the same antibody clone in a different buffer formulation. Blocking and diluting buffer and concentration : 5% NFDM/TBST Samples are non-boiled as boiling may cause protein aggregation. Exposure time : 136 Seconds

All lanes:

Western blot - Anti-ATG9A antibody [EPR2450(2)] - Mouse IgG1 (Chimeric) (<a href='/products/primary-antibodies/atg9a-antibody-epr24502-mouse-igg1-chimeric-ab309518'>ab309518</a>) at 1/1000 dilution

Lane 1:

U-87 MG (human glioblastoma-astrocytoma epithelial cell) whole cell lysate at 20 µg

Lane 2:

SH-SY5Y (human neuroblastoma epithelial cell) whole cell lysate at 20 µg

Secondary

All lanes:

Peroxidase-Conjugated Goat anti-Mouse IgG (H+L) (ZB-2305) at 1/10000 dilution

Observed band size: 110 kDa

false

Exposure time: 136s

Western blot - Anti-ATG9A antibody [EPR2450(2)] - Mouse IgG1 (Chimeric) - BSA and Azide free (AB309519)
  • WB

Supplier Data

Western blot - Anti-ATG9A antibody [EPR2450(2)] - Mouse IgG1 (Chimeric) - BSA and Azide free (AB309519)

This data was developed using ab309518, the same antibody clone in a different buffer formulation.Blocking and diluting buffer and concentration : 5% NFDM/TBST Samples are non-boiled as boiling may cause protein aggregation. Exposure time : 3 minutes

All lanes:

Western blot - Anti-ATG9A antibody [EPR2450(2)] - Mouse IgG1 (Chimeric) (<a href='/products/primary-antibodies/atg9a-antibody-epr24502-mouse-igg1-chimeric-ab309518'>ab309518</a>) at 1/1000 dilution

Lane 1:

HeLa (human cervical adenocarcinoma epithelial cell) whole cell lysate at 20 µg

Lane 2:

A375 (human malignant melanoma epithelial cell) whole cell lysate at 20 µg

Secondary

All lanes:

Peroxidase-Conjugated Goat anti-Mouse IgG (H+L) (ZB-2305) at 1/10000 dilution

Observed band size: 110 kDa

false

Exposure time: 3min

Western blot - Anti-ATG9A antibody [EPR2450(2)] - Mouse IgG1 (Chimeric) - BSA and Azide free (AB309519)
  • WB

Supplier Data

Western blot - Anti-ATG9A antibody [EPR2450(2)] - Mouse IgG1 (Chimeric) - BSA and Azide free (AB309519)

This data was developed using ab309518, the same antibody clone in a different buffer formulation.Blocking and diluting buffer and concentration : 5% NFDM/TBST Samples are non-boiled as boiling may cause protein aggregation. In Western blot, anti-GAPDH antibody (ab181602) loading control staining at 1/200000 dilution. Exposure time : 125 seconds

All lanes:

Western blot - Anti-ATG9A antibody [EPR2450(2)] - Mouse IgG1 (Chimeric) (<a href='/products/primary-antibodies/atg9a-antibody-epr24502-mouse-igg1-chimeric-ab309518'>ab309518</a>) at 1/1000 dilution

Lane 1:

293T (human embryonic kidney epithelial cell) transfected with scrambled siRNA control whole cell lysate at 20 µg

Lane 2:

293T transfected with siRNA specifically targeting ATG9A whole cell lysate at 20 µg

Secondary

All lanes:

Peroxidase-Conjugated Goat anti-Mouse IgG (H+L) (ZB-2305) at 1/10000 dilution

Observed band size: 110 kDa

false

Exposure time: 125s

Key facts

宿主種

Mouse

クローン性

Monoclonal

クローン番号

EPR2450(2)

アイソタイプ

IgG1

キャリアフリー

Yes

交差種

Human

アプリケーション

IHC-P, WB

applications

免疫原

The exact immunogen used to generate this antibody is proprietary information.

Reactivity data

{ "title": "Reactivity Data", "filters": { "stats": ["", "Species", "Dilution Info", "Notes"], "tabs": { "all-applications": {"fullname" : "All Applications", "shortname": "All Applications"}, "WB" : {"fullname" : "Western blot", "shortname":"WB"}, "IHCP" : {"fullname" : "Immunohistochemistry (Formalin/PFA-fixed paraffin-embedded sections)", "shortname":"IHC-P"}, "ICCIF" : {"fullname" : "Immunocytochemistry/ Immunofluorescence", "shortname":"ICC/IF"} }, "product-promise": { "all": "all", "testedAndGuaranteed": "tested", "guaranteed": "expected", "predicted": "predicted", "notRecommended": "not-recommended" } }, "values": { "Human": { "WB-species-checked": "testedAndGuaranteed", "WB-species-dilution-info": "", "WB-species-notes": "<p></p>", "IHCP-species-checked": "testedAndGuaranteed", "IHCP-species-dilution-info": "", "IHCP-species-notes": "<p></p>", "ICCIF-species-checked": "notRecommended", "ICCIF-species-dilution-info": "", "ICCIF-species-notes": "<p></p>" }, "Mouse": { "WB-species-checked": "notRecommended", "WB-species-dilution-info": "", "WB-species-notes": "<p></p>", "IHCP-species-checked": "notRecommended", "IHCP-species-dilution-info": "", "IHCP-species-notes": "<p></p>", "ICCIF-species-checked": "notRecommended", "ICCIF-species-dilution-info": "", "ICCIF-species-notes": "<p></p>" }, "Rat": { "WB-species-checked": "notRecommended", "WB-species-dilution-info": "", "WB-species-notes": "<p></p>", "IHCP-species-checked": "notRecommended", "IHCP-species-dilution-info": "", "IHCP-species-notes": "<p></p>", "ICCIF-species-checked": "notRecommended", "ICCIF-species-dilution-info": "", "ICCIF-species-notes": "<p></p>" } } }

下記製品にもご興味をお持ちいただけるかもしれません:

AB139484

Autophagy Assay Kit

4

2 Reviews

製品ページを見る
こちらの製品も推奨する理由

この製品は、同様の実験や関連する研究で広く使用されていることから推奨させていただいております。

お客様の実験に適するかご確認いただくため、必ず製品データシートをご確認いただくことをお勧めいたします。ご不明点等ございましたら、テクニカルサポートチームまでお問い合わせください。

製品の詳細

出荷温度及び保存条件

製品の状態
Liquid
精製方法
Affinity purification Protein A
バッファー組成
pH: 7.2 - 7.4 Constituents: 100% PBS
出荷温度
Blue Ice
短期保存温度
+4°C
長期保存温度
+4°C

補足情報

This supplementary information is collated from multiple sources and compiled automatically.

ATG9A also known as APG9-like 1 or ATG9 autophagy related 9A is an important component in the autophagy machinery. This protein has a molecular weight of approximately 93 kDa. It is ubiquitously expressed in various tissues with higher expression seen in the heart and skeletal muscle. Mechanically ATG9A is essential for the trafficking of membranes necessary for autophagosome formation. It actively participates in membrane lipids' delivery from donor organelles which are critical for constructing autophagosomes.
Biological function summary

ATG9A facilitates the recycling of cellular materials through a process called autophagy. This protein acts with other autophagy-related proteins to form a complex essential for autophagosome elongation and closure. The ATG9A protein's dynamic movements between the Golgi apparatus and endosomes ensure proper membrane supply for autophagy. It coordinates with the ULK1 complex and various phospholipid-modifying enzymes which are necessary to regulate autophagic flux.

Pathways

ATG9A plays an integral role in the mTOR signaling and MAPK pathways. Both pathways are essential for cellular responses to stress and nutrient availability. In these pathways ATG9A works closely with proteins like beclin 1 and ATG5. Inhibiting mTOR actively induces autophagy where ATG9A contributes to membrane recruitment and elongation of the autophagosomes facilitating the clearance of damaged organelles and proteins.

ATG9A shows a significant link to neurodegenerative diseases such as Parkinson's and Alzheimer's disease. The dysfunction of autophagic pathways due to altered ATG9A function leads to the accumulation of damaged proteins and organelles. This event contributes to the pathogenesis of such neurodegenerative diseases. Moreover ATG9A closely associates with proteins like LAMP2 whose mutations similarly lead to defective autophagic processes resulting in the accumulation of unprocessed cellular debris in these disorders.

製品プロトコール

For this product, it's our understanding that no specific protocols are required. You can visit:

ターゲットの情報

Phospholipid scramblase involved in autophagy by mediating autophagosomal membrane expansion (PubMed : 22456507, PubMed : 27510922, PubMed : 29437695, PubMed : 32513819, PubMed : 32610138, PubMed : 33106659, PubMed : 33468622, PubMed : 33850023). Cycles between the preautophagosomal structure/phagophore assembly site (PAS) and the cytoplasmic vesicle pool and supplies membrane for the growing autophagosome (PubMed : 16940348, PubMed : 22456507, PubMed : 33106659). Lipid scramblase activity plays a key role in preautophagosomal structure/phagophore assembly by distributing the phospholipids that arrive through ATG2 (ATG2A or ATG2B) from the cytoplasmic to the luminal leaflet of the bilayer, thereby driving autophagosomal membrane expansion (PubMed : 33106659). Also required to supply phosphatidylinositol 4-phosphate to the autophagosome initiation site by recruiting the phosphatidylinositol 4-kinase beta (PI4KB) in a process dependent on ARFIP2, but not ARFIP1 (PubMed : 30917996). In addition to autophagy, also plays a role in necrotic cell death (By similarity).
See full target information ATG9A

Abcam product promise

当社は、高品質な試薬を通じてお客様の研究を力強くサポートすることをお約束いたします。ご使用いただく各段階で、常にお客様をサポートできる体制を整えております。万が一、製品が期待通りに機能しない場合は、「Abcam Product Promise」による当社保証制度に基づき、安心してご利用いただけます。
保証に関する詳細については利用規約をご確認ください。

関連製品

Select an associated product type
Alternative Version
Primary Antibodies

AB309518

Anti-ATG9A antibody [EPR2450(2)] - Mouse IgG1 (Chimeric)

primary-antibodies

atg9a-antibody-epr24502-mouse-igg1-chimeric-ab309518

0

(0 reviews)

Alternative Version
Primary Antibodies

AB312947

Alexa Fluor® 568 Anti-ATG9A antibody [EPR2450(2)]

primary-antibodies

alexa-fluor-568-atg9a-antibody-epr24502-ab312947

0

(0 reviews)

Please note: All products are 'FOR RESEARCH USE ONLY. NOT FOR USE IN DIAGNOSTIC OR THERAPEUTIC PROCEDURES'.

For licensing inquiries, please contact partnerships@abcam.com