JavaScript is disabled in your browser. Please enable JavaScript to view this website.
AB32061

Anti-ATF2 抗体 [E242]

Anti-ATF2 antibody [E242]

Be the first to review this product! Submit a review

|

(1 Publication)

Rabbit Recombinant Monoclonal ATF2 antibody. Suitable for IP, WB, IHC-P and reacts with Human samples. Cited in 1 publication.

別名を表示する

CREB2, CREBP1, ATF2, Cyclic AMP-dependent transcription factor ATF-2, cAMP-dependent transcription factor ATF-2, Activating transcription factor 2, Cyclic AMP-responsive element-binding protein 2, HB16, cAMP response element-binding protein CRE-BP1, CREB-2, cAMP-responsive element-binding protein 2

3 Images
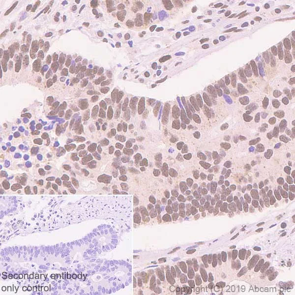
Immunohistochemistry (Formalin/PFA-fixed paraffin-embedded sections) - Anti-ATF2 antibody [E242] (AB32061)
  • IHC-P

Lab

Immunohistochemistry (Formalin/PFA-fixed paraffin-embedded sections) - Anti-ATF2 antibody [E242] (AB32061)

Immunohistochemistry (Formalin/PFA-fixed paraffin-embedded sections) analysis of human lung cancer tissue labeling ATF2 with ab32061 at 1/100 dilution (2.55 μg/mL). Heat mediated antigen retrieval was performed using Tris/EDTA buffer pH 9 (epitope retrieval solution 2). Positive staining on lung cancer. The section was incubated with ab32061 for 30 mins at room temperature. The immunostaining staining was performed on a Leica Biosystems BOND® RX instrument and visualised using ab209101, Rabbit specific IHC polymer detection kit HRP/DAB. Negative control using PBS instead of primary antibody. Counterstained with hematoxylin.

Immunoprecipitation - Anti-ATF2 antibody [E242] (AB32061)
  • IP

Unknown

Immunoprecipitation - Anti-ATF2 antibody [E242] (AB32061)

ab32061 (purified) at 1/30 dilution immunoprecipitating ATF2 in HeLa (human cervix adenocarcinoma epithelial cell) whole cell lysate.
Lane 1 (input) : HeLa whole cell lysate 10μg
Lane 2 (+) : ab32061 + HeLa whole cell lysate
Lane 3 (-) : Rabbit monoclonal IgG (ab172730) instead of ab32061 in HeLa whole cell lysate

For western blotting, ab32061 at 1/500 and VeriBlot for IP Detection Reagent (HRP) (ab131366) was used for detection at 1/1000 dilution.

Blocking and diluting buffer : 5% NFDM/TBST.

All lanes:

Immunoprecipitation - Anti-ATF2 antibody [E242] (ab32061)

Predicted band size: 55 kDa

Observed band size: 75 kDa

false

Western blot - Anti-ATF2 antibody [E242] (AB32061)
  • WB

Lab

Western blot - Anti-ATF2 antibody [E242] (AB32061)

Blocking buffer and concentration : 5% NFDM/TBST

All lanes:

Western blot - Anti-ATF2 antibody [E242] (ab32061) at 1/10000 dilution

All lanes:

HeLa (Human cervix adenocarcinoma epithelial cell) whole cell lysate

Secondary

All lanes:

Western blot - Goat Anti-Rabbit IgG H&L (HRP) (<a href='/products/secondary-antibodies/goat-rabbit-igg-h-l-hrp-ab97051'>ab97051</a>) at 1/20000 dilution

Predicted band size: 55 kDa

Observed band size: 70 kDa

false

Exposure time: 90s

関連する標識済み抗体及び組成の異なる製品 (1)

  • Carrier free

    Anti-ATF2 antibody [E242] - BSA and Azide free

Key facts

宿主種

Rabbit

クローン性

Monoclonal

クローン番号

E242

アイソタイプ

IgG

キャリアフリー

No

交差種

Human

アプリケーション

IP, IHC-P, WB

applications

免疫原

The exact immunogen used to generate this antibody is proprietary information.

特異性

ab32061 recognises ATF-2 (activating transcription factor-2, CRE-BP1). It does not cross-react with other ATF family members

Reactivity data

{ "title": "Reactivity Data", "filters": { "stats": ["", "Species", "Dilution Info", "Notes"], "tabs": { "all-applications": {"fullname" : "All Applications", "shortname": "All Applications"}, "ICCIF" : {"fullname" : "Immunocytochemistry/ Immunofluorescence", "shortname":"ICC/IF"}, "IP" : {"fullname" : "Immunoprecipitation", "shortname":"IP"}, "FlowCyt" : {"fullname" : "Flow Cytometry", "shortname":"Flow Cyt"}, "WB" : {"fullname" : "Western blot", "shortname":"WB"}, "IHCP" : {"fullname" : "Immunohistochemistry (Formalin/PFA-fixed paraffin-embedded sections)", "shortname":"IHC-P"} }, "product-promise": { "all": "all", "testedAndGuaranteed": "tested", "guaranteed": "expected", "predicted": "predicted", "notRecommended": "not-recommended" } }, "values": { "Human": { "ICCIF-species-checked": "notRecommended", "ICCIF-species-dilution-info": "", "ICCIF-species-notes": "<p></p>", "IP-species-checked": "testedAndGuaranteed", "IP-species-dilution-info": "1/30", "IP-species-notes": "<p></p>", "FlowCyt-species-checked": "notRecommended", "FlowCyt-species-dilution-info": "", "FlowCyt-species-notes": "<p></p>", "WB-species-checked": "testedAndGuaranteed", "WB-species-dilution-info": "1/10000", "WB-species-notes": "<p></p>", "IHCP-species-checked": "testedAndGuaranteed", "IHCP-species-dilution-info": "1/100", "IHCP-species-notes": "<p></p>" } } }

製品の詳細

Species reactivity
Mouse, Rat: We have preliminary internal testing data to indicate this antibody may not react with these species.
Please contact us for more information.

Patented technology
Our RabMAb® technology is a patented hybridoma-based technology for making rabbit monoclonal antibodies. For details on our patents, please refer to RabMAb® patents.

What are the advantages of a recombinant monoclonal antibody?
This product is a recombinant monoclonal antibody, which offers several advantages including:

  • - High batch-to-batch consistency and reproducibility
  • - Improved sensitivity and specificity
  • - Long-term security of supply
  • - Animal-free batch production

For more information, read more on recombinant antibodies.

出荷温度及び保存条件

製品の状態
Liquid
精製方法
Affinity purification Protein A
バッファー組成
pH: 7.2 - 7.4 Preservative: 0.01% Sodium azide Constituents: PBS, 50% Glycerol (glycerin, glycerine), 0.05% BSA
出荷温度
Blue Ice
短期保存温度
+4°C
長期保存温度
-20°C
分注に関する情報
Upon delivery aliquot
保管に関する情報
Avoid freeze / thaw cycle

補足情報

This supplementary information is collated from multiple sources and compiled automatically.

The ATF2 protein also referred to as ATF-2 or activating transcription factor 2 plays a significant role as a transcription factor in cellular processes. It weighs approximately 75 kDa and is expressed in many tissues with higher levels in the brain heart and skeletal muscle. Functionally ATF2 belongs to the leucine zipper family of proteins facilitating its ability to bind DNA and regulate the expression of genes involved in stress responses development and growth.
Biological function summary

ATF2 takes part in the regulation of gene expression in response to various stimuli. It often forms a complex with other proteins such as c-Jun when binding to the DNA. This complex then influences the transcription of genes that respond to cellular stress and DNA damage. By phosphorylating specific serine residues cellular kinases activate ATF2 which then translocates to the nucleus where it exerts its function.

Pathways

ATF2 integrates into the MAPK and JNK signaling cascades which are important for transmitting stress signals from the cell surface to the nucleus. Through these pathways ATF2 interacts with proteins such as JNK and p38 MAPK modulating the transcription of downstream genes that control cell proliferation apoptosis and differentiation. Its role in these pathways positions ATF2 as a critical node where various signaling inputs merge to influence cellular outcomes.

ATF2 has associations with conditions such as cancer and neurological disorders. Aberrant regulation of ATF2 can contribute to oncogenesis by affecting cell cycle control and apoptosis. For example in melanoma altered ATF2 activity is linked to tumor progression and resistance to apoptosis. Additionally in neurological disorders its interaction with proteins like phospho-c-Jun influences neuronal survival and plasticity implicating ATF2 in pathologies related to neurodegeneration and cognitive dysfunction.

製品プロトコール

For this product, it's our understanding that no specific protocols are required. You can visit:

ターゲットの情報

Transcriptional activator which regulates the transcription of various genes, including those involved in anti-apoptosis, cell growth, and DNA damage response. Dependent on its binding partner, binds to CRE (cAMP response element) consensus sequences (5'-TGACGTCA-3') or to AP-1 (activator protein 1) consensus sequences (5'-TGACTCA-3'). In the nucleus, contributes to global transcription and the DNA damage response, in addition to specific transcriptional activities that are related to cell development, proliferation and death. In the cytoplasm, interacts with and perturbs HK1- and VDAC1-containing complexes at the mitochondrial outer membrane, thereby impairing mitochondrial membrane potential, inducing mitochondrial leakage and promoting cell death. The phosphorylated form (mediated by ATM) plays a role in the DNA damage response and is involved in the ionizing radiation (IR)-induced S phase checkpoint control and in the recruitment of the MRN complex into the IR-induced foci (IRIF). Exhibits histone acetyltransferase (HAT) activity which specifically acetylates histones H2B and H4 in vitro (PubMed : 10821277). In concert with CUL3 and RBX1, promotes the degradation of KAT5 thereby attenuating its ability to acetylate and activate ATM. Can elicit oncogenic or tumor suppressor activities depending on the tissue or cell type.
See full target information ATF2

文献 (1)

Recent publications for all applications. Explore the full list and refine your search

Oncology letters 12:4795-4802 PubMed28105187

2016

ATF2 translation is induced under chemotherapeutic drug-mediated cellular stress via an IRES-dependent mechanism in human hepatic cancer Bel7402 cells.

Applications

Unspecified application

Species

Unspecified reactive species

Qi Li,Wen-Qing Gao,Wen-Yan Dai,Chuang Yu,Rui-Yu Zhu,Jian Jin
View all publications

Abcam product promise

当社は、高品質な試薬を通じてお客様の研究を力強くサポートすることをお約束いたします。ご使用いただく各段階で、常にお客様をサポートできる体制を整えております。万が一、製品が期待通りに機能しない場合は、「Abcam Product Promise」による当社保証制度に基づき、安心してご利用いただけます。
保証に関する詳細については利用規約をご確認ください。

Please note: All products are 'FOR RESEARCH USE ONLY. NOT FOR USE IN DIAGNOSTIC OR THERAPEUTIC PROCEDURES'.

For licensing inquiries, please contact partnerships@abcam.com