JavaScript is disabled in your browser. Please enable JavaScript to view this website.
AB47476

Anti-ATF2 抗体

Anti-ATF2 antibody

4

(1 Review)

|

(14 Publications)

Rabbit Polyclonal ATF2 antibody. Suitable for WB, IHC-P and reacts with Human samples. Cited in 14 publications. Immunogen corresponding to Synthetic Peptide within Human ATF2 aa 1-100.

別名を表示する

CREB2, CREBP1, ATF2, Cyclic AMP-dependent transcription factor ATF-2, cAMP-dependent transcription factor ATF-2, Activating transcription factor 2, Cyclic AMP-responsive element-binding protein 2, HB16, cAMP response element-binding protein CRE-BP1, CREB-2, cAMP-responsive element-binding protein 2

2 Images
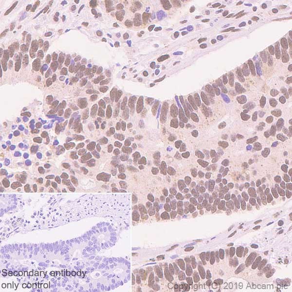
Immunohistochemistry (Formalin/PFA-fixed paraffin-embedded sections) - Anti-ATF2 antibody (AB47476)
  • IHC-P

Unknown

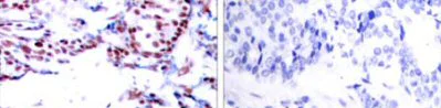
Immunohistochemistry (Formalin/PFA-fixed paraffin-embedded sections) - Anti-ATF2 antibody (AB47476)

Immunohistochemical analysis of paraffin-embedded human breast carcinoma. Left : Using ATF2 antibody; Right : The same antibody preincubated with synthesized peptide.

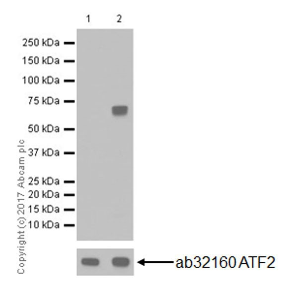
Western blot - Anti-ATF2 antibody (AB47476)
  • WB

Unknown

Western blot - Anti-ATF2 antibody (AB47476)

All lanes:

Western blot - Anti-ATF2 antibody (ab47476) at 1/500 dilution

Lane 1:

extracts from HeLa cells.

Lane 2:

extracts from HeLa cells preincubated with immunizing peptide

Predicted band size: 55 kDa

Observed band size: 52 kDa

false

Key facts

宿主種

Rabbit

クローン性

Polyclonal

アイソタイプ

IgG

キャリアフリー

No

交差種

Human

アプリケーション

WB, IHC-P

applications

免疫原

Synthetic Peptide within Human ATF2 aa 1-100. The exact immunogen used to generate this antibody is proprietary information.

P15336

特異性

ATF2 antibody detects endogenous levels of ATF2 protein around Threonine 71 or 53.

Reactivity data

{ "title": "Reactivity Data", "filters": { "stats": ["", "Species", "Dilution Info", "Notes"], "tabs": { "all-applications": {"fullname" : "All Applications", "shortname": "All Applications"}, "WB" : {"fullname" : "Western blot", "shortname":"WB"}, "IHCP" : {"fullname" : "Immunohistochemistry (Formalin/PFA-fixed paraffin-embedded sections)", "shortname":"IHC-P"} }, "product-promise": { "all": "all", "testedAndGuaranteed": "tested", "guaranteed": "expected", "predicted": "predicted", "notRecommended": "not-recommended" } }, "values": { "Human": { "WB-species-checked": "testedAndGuaranteed", "WB-species-dilution-info": "1/500 - 1/1000", "WB-species-notes": "<p></p>", "IHCP-species-checked": "testedAndGuaranteed", "IHCP-species-dilution-info": "", "IHCP-species-notes": "<p></p>" } } }

出荷温度及び保存条件

製品の状態
Liquid
バッファー組成
pH: 7.4 Preservative: 0.02% Sodium azide Constituents: PBS, 50% Glycerol (glycerin, glycerine), 0.87% Sodium chloride
出荷温度
Blue Ice
短期保存温度
+4°C
長期保存温度
-20°C
保管に関する情報
Stable for 12 months at -20°C

補足情報

This supplementary information is collated from multiple sources and compiled automatically.

The ATF2 protein also referred to as ATF-2 or activating transcription factor 2 plays a significant role as a transcription factor in cellular processes. It weighs approximately 75 kDa and is expressed in many tissues with higher levels in the brain heart and skeletal muscle. Functionally ATF2 belongs to the leucine zipper family of proteins facilitating its ability to bind DNA and regulate the expression of genes involved in stress responses development and growth.
Biological function summary

ATF2 takes part in the regulation of gene expression in response to various stimuli. It often forms a complex with other proteins such as c-Jun when binding to the DNA. This complex then influences the transcription of genes that respond to cellular stress and DNA damage. By phosphorylating specific serine residues cellular kinases activate ATF2 which then translocates to the nucleus where it exerts its function.

Pathways

ATF2 integrates into the MAPK and JNK signaling cascades which are important for transmitting stress signals from the cell surface to the nucleus. Through these pathways ATF2 interacts with proteins such as JNK and p38 MAPK modulating the transcription of downstream genes that control cell proliferation apoptosis and differentiation. Its role in these pathways positions ATF2 as a critical node where various signaling inputs merge to influence cellular outcomes.

ATF2 has associations with conditions such as cancer and neurological disorders. Aberrant regulation of ATF2 can contribute to oncogenesis by affecting cell cycle control and apoptosis. For example in melanoma altered ATF2 activity is linked to tumor progression and resistance to apoptosis. Additionally in neurological disorders its interaction with proteins like phospho-c-Jun influences neuronal survival and plasticity implicating ATF2 in pathologies related to neurodegeneration and cognitive dysfunction.

製品プロトコール

For this product, it's our understanding that no specific protocols are required. You can visit:

ターゲットの情報

Transcriptional activator which regulates the transcription of various genes, including those involved in anti-apoptosis, cell growth, and DNA damage response. Dependent on its binding partner, binds to CRE (cAMP response element) consensus sequences (5'-TGACGTCA-3') or to AP-1 (activator protein 1) consensus sequences (5'-TGACTCA-3'). In the nucleus, contributes to global transcription and the DNA damage response, in addition to specific transcriptional activities that are related to cell development, proliferation and death. In the cytoplasm, interacts with and perturbs HK1- and VDAC1-containing complexes at the mitochondrial outer membrane, thereby impairing mitochondrial membrane potential, inducing mitochondrial leakage and promoting cell death. The phosphorylated form (mediated by ATM) plays a role in the DNA damage response and is involved in the ionizing radiation (IR)-induced S phase checkpoint control and in the recruitment of the MRN complex into the IR-induced foci (IRIF). Exhibits histone acetyltransferase (HAT) activity which specifically acetylates histones H2B and H4 in vitro (PubMed : 10821277). In concert with CUL3 and RBX1, promotes the degradation of KAT5 thereby attenuating its ability to acetylate and activate ATM. Can elicit oncogenic or tumor suppressor activities depending on the tissue or cell type.
See full target information ATF2

文献 (14)

Recent publications for all applications. Explore the full list and refine your search

Drug development research 83:755-768 PubMed34981843

2022

CircRNF121 knockdown suppresses the progression of cervical cancer by regulating miR-153-3p/ATF2 axis and wnt/β-catenin pathway.

Applications

Unspecified application

Species

Unspecified reactive species

Qi Wang,Bai Xu,Haiping Liu,Dongwei Wang,Siyang Liu,Chi He,Xiaona Feng,Limin Wang

Journal of cellular and molecular medicine : PubMed33951295

2021

microRNA-125b and its downstream Smurf1/KLF2/ATF2 axis as important promoters on neurological function recovery in rats with spinal cord injury.

Applications

Unspecified application

Species

Unspecified reactive species

Kunchi Zhao,Ran Li,Qing Ruan,Chunyang Meng,Fei Yin,Qingsan Zhu

Journal of advanced research 26:123-135 PubMed33133688

2020

Inhibition of long noncoding RNA HIF1A-AS2 confers protection against atherosclerosis ATF2 downregulation.

Applications

Unspecified application

Species

Unspecified reactive species

Pengcheng Li,Junhui Xing,Jielei Zhang,Jianwu Jiang,Xuemeng Liu,Di Zhao,Yanzhou Zhang

Cancer biology & medicine 17:371-386 PubMed32587775

2020

KIF18B promotes tumor progression in osteosarcoma by activating β-catenin.

Applications

Unspecified application

Species

Unspecified reactive species

Tian Gao,Ling Yu,Zhiwei Fang,Jiayong Liu,Chujie Bai,Shu Li,Ruifeng Xue,Lu Zhang,Zhichao Tan,Zhengfu Fan

Journal of cellular and molecular medicine 24:7730-7742 PubMed32476275

2020

Exosomal microRNA-26b-5p down-regulates ATF2 to enhance radiosensitivity of lung adenocarcinoma cells.

Applications

Unspecified application

Species

Unspecified reactive species

Fushi Han,Dongdong Huang,Xinghong Huang,Wei Wang,Shusong Yang,Shuzhen Chen

Bioscience reports 40: PubMed31829413

2019

Ubiquitin fold modifier 1 activates NF-κB pathway by down-regulating LZAP expression in the macrophage of diabetic mouse model.

Applications

Unspecified application

Species

Unspecified reactive species

Xiaolei Hu,Hengyan Zhang,Yuan Song,Langen Zhuang,Qingqing Yang,Minglin Pan,Fengling Chen

Journal of cellular and molecular medicine 23:3357-3368 PubMed30770640

2019

Ligustilide attenuates nitric oxide-induced apoptosis in rat chondrocytes and cartilage degradation via inhibiting JNK and p38 MAPK pathways.

Applications

Unspecified application

Species

Unspecified reactive species

Yan Zhou,Jianghua Ming,Yaming Li,Ming Deng,Qing Chen,Yonggang Ma,Zhonghui Chen,Yubiao Zhang,Shiqing Liu

Journal of thoracic disease 10:6921-6931 PubMed30746238

2019

The role of NF-κB-mediated JNK pathway in cognitive impairment in a rat model of sleep apnea.

Applications

Unspecified application

Species

Unspecified reactive species

Fan Liu,Ting-Wei Liu,Jian Kang

Oncology letters 15:7563-7570 PubMed29725461

2018

miR-204 reverses temozolomide resistance and inhibits cancer initiating cells phenotypes by degrading FAP-α in glioblastoma.

Applications

Unspecified application

Species

Unspecified reactive species

Yun-Na Yang,Xiang-Hua Zhang,Yan-Ming Wang,Xi Zhang,Zheng Gu

Cell death & disease 7:e2487 PubMed27882945

2016

Adiponectin reduces ER stress-induced apoptosis through PPARα transcriptional regulation of ATF2 in mouse adipose.

Applications

WB

Species

Mouse

Zhenjiang Liu,Lu Gan,Tianjiao Wu,Fei Feng,Dan Luo,Huihui Gu,Shimin Liu,Chao Sun
View all publications

Abcam product promise

当社は、高品質な試薬を通じてお客様の研究を力強くサポートすることをお約束いたします。ご使用いただく各段階で、常にお客様をサポートできる体制を整えております。万が一、製品が期待通りに機能しない場合は、「Abcam Product Promise」による当社保証制度に基づき、安心してご利用いただけます。
保証に関する詳細については利用規約をご確認ください。

Please note: All products are 'FOR RESEARCH USE ONLY. NOT FOR USE IN DIAGNOSTIC OR THERAPEUTIC PROCEDURES'.

For licensing inquiries, please contact partnerships@abcam.com