JavaScript is disabled in your browser. Please enable JavaScript to view this website.
AB199423

Anti-ATE1 抗体 [EPR13667(2)] - N-terminal

Anti-ATE1 antibody [EPR13667(2)] - N-terminal

Be the first to review this product! Submit a review

|

(4 Publications)

Rabbit Recombinant Monoclonal ATE1 antibody. N-terminal. Suitable for WB, Flow Cyt (Intra), IHC-P and reacts with Mouse, Rat, Human samples. Cited in 4 publications.

別名を表示する

Arginyl-tRNA--protein transferase 1, Arginyltransferase 1, R-transferase 1, Arginine-tRNA--protein transferase 1, ATE1

9 Images
Immunohistochemistry (Formalin/PFA-fixed paraffin-embedded sections) - Anti-ATE1 antibody [EPR13667(2)] - N-terminal (AB199423)
  • IHC-P

Supplier Data

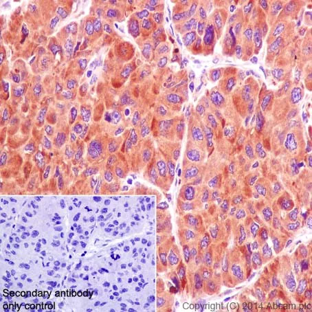
Immunohistochemistry (Formalin/PFA-fixed paraffin-embedded sections) - Anti-ATE1 antibody [EPR13667(2)] - N-terminal (AB199423)

Immunohistochemical analysis of paraffin-embedded human hepatocellular carcinoma tissue labeling ATE1 with ab199423 at 1/250 followed by Goat Anti-Rabbit IgG H&L (HRP) (ab97051) at 1/500. Cytoplasmic staining on human hepatocellular carcinoma tissue is observed (Subcellular location : Nucleus and cytoplasm [UniProt]). Counter-stained with hematoxylin.

Negative control : Used PBS instead of primary antibody, secondary antibody is Goat Anti-Rabbit IgG H&L (HRP) (ab97051) at 1/500 dilution.

Perform heat mediated antigen retrieval with Tris/EDTA buffer pH 9.0 before commencing with IHC staining protocol.

Flow Cytometry (Intracellular) - Anti-ATE1 antibody [EPR13667(2)] - N-terminal (AB199423)
  • Flow Cyt (Intra)

Supplier Data

Flow Cytometry (Intracellular) - Anti-ATE1 antibody [EPR13667(2)] - N-terminal (AB199423)

Intracellular flow cytometric analysis of 2% paraformaldehyde-fixed HeLa (Human epithelial cells from cervix adenocarcinoma) cells labeling ATE1 with ab199423 at 1/220 dilution (red) compared with a rabbit monoclonal IgG isotype control (black) and a unlabelled control (cells without incubation with primary antibody and secondary antibody; blue). Goat anti rabbit IgG (FITC) at 1/150 dilution was used as the secondary antibody.

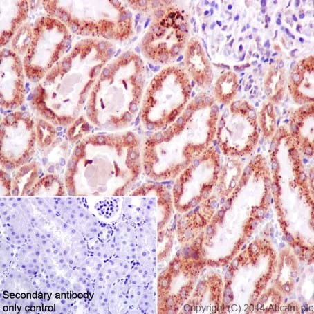
Immunohistochemistry (Formalin/PFA-fixed paraffin-embedded sections) - Anti-ATE1 antibody [EPR13667(2)] - N-terminal (AB199423)
  • IHC-P

Supplier Data

Immunohistochemistry (Formalin/PFA-fixed paraffin-embedded sections) - Anti-ATE1 antibody [EPR13667(2)] - N-terminal (AB199423)

Immunohistochemical analysis of paraffin-embedded Rat kidney tissue labeling ATE1 with ab199423 at 1/250 followed by Goat Anti-Rabbit IgG H&L (HRP) (ab97051) at 1/500. Cytoplasm staining on Rat kidney tissue is observed (Subcellular location : Nucleus and Cytoplasm [UniProt]) . Counter stained with Hematoxylin.
Negative control : Used PBS instead of primary antibody, secondary antibody is Goat Anti-Rabbit IgG H&L (HRP) (ab97051) at 1/500 dilution.

Perform heat mediated antigen retrieval with Tris/EDTA buffer pH 9.0 before commencing with IHC staining protocol.

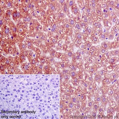
Immunohistochemistry (Formalin/PFA-fixed paraffin-embedded sections) - Anti-ATE1 antibody [EPR13667(2)] - N-terminal (AB199423)
  • IHC-P

Supplier Data

Immunohistochemistry (Formalin/PFA-fixed paraffin-embedded sections) - Anti-ATE1 antibody [EPR13667(2)] - N-terminal (AB199423)

Immunohistochemical analysis of paraffin-embedded Mouse liver tissue labeling ATE1 with ab199423 at 1/250 followed by Goat Anti-Rabbit IgG H&L (HRP) (ab97051) at 1/500. Cytoplasm staining on Mouse liver tissue is observed (Subcellular location : Nucleus and Cytoplasm [UniProt]) . Counter stained with Hematoxylin.
Negative control : Used PBS instead of primary antibody, secondary antibody is Goat Anti-Rabbit IgG H&L (HRP) (ab97051) at 1/500 dilution.

Perform heat mediated antigen retrieval with Tris/EDTA buffer pH 9.0 before commencing with IHC staining protocol.

Western blot - Anti-ATE1 antibody [EPR13667(2)] - N-terminal (AB199423)
  • WB

Supplier Data

Western blot - Anti-ATE1 antibody [EPR13667(2)] - N-terminal (AB199423)

Blocking and diluting buffer 5% NFDM/TBST

All lanes:

Western blot - Anti-ATE1 antibody [EPR13667(2)] - N-terminal (ab199423) at 1/10000 dilution

Lane 1:

HepG2 (Human liver hepatocellular carcinoma) whole cell lysate at 20 µg

Lane 2:

HeLa (Human epithelial cells from cervix adenocarcinoma ) whole cell lysate at 20 µg

Lane 3:

293 (Human epithelial cells from embryonic kidney) whole cell lysate at 20 µg

Secondary

All lanes:

Goat Anti-Rabbit IgG, (H+L), Peroxidase conjugated at 1/1000 dilution

Predicted band size: 59 kDa

Observed band size: 59 kDa

true

Exposure time: 3min

Western blot - Anti-ATE1 antibody [EPR13667(2)] - N-terminal (AB199423)
  • WB

Supplier Data

Western blot - Anti-ATE1 antibody [EPR13667(2)] - N-terminal (AB199423)

Blocking and diluting buffer 5% NFDM/TBST

All lanes:

Western blot - Anti-ATE1 antibody [EPR13667(2)] - N-terminal (ab199423) at 1/10000 dilution

All lanes:

Human fetal liver tissue lysate at 10 µg

Secondary

All lanes:

Goat Anti-Rabbit IgG, (H+L), Peroxidase conjugated at 1/1000 dilution

Predicted band size: 59 kDa

Observed band size: 59 kDa

true

Exposure time: 10s

Western blot - Anti-ATE1 antibody [EPR13667(2)] - N-terminal (AB199423)
  • WB

Supplier Data

Western blot - Anti-ATE1 antibody [EPR13667(2)] - N-terminal (AB199423)

Blocking and diluting buffer 5% NFDM/TBST

All lanes:

Western blot - Anti-ATE1 antibody [EPR13667(2)] - N-terminal (ab199423) at 1/1000 dilution

Lane 1:

C6 (Rat glial tumor cells) whole cell lysate at 10 µg

Lane 2:

Raw264.7 (Mouse macrophage cells transformed with Abelson murine leukemia virus) whole cell lysate at 10 µg

Lane 3:

PC-12 (Rat adrenal gland pheochromocytoma) whole cell lysate at 10 µg

Lane 4:

NIH/3T3 (Mouse embryo fibroblast cells) whole cell lysate at 10 µg

Lane 5:

Mouse kidney tissue lysate at 10 µg

Lane 6:

Rat kidney tissue lysate at 10 µg

Lane 7:

Rat spleen tissue lysate at 10 µg

Secondary

All lanes:

Goat Anti-Rabbit IgG, (H+L), Peroxidase conjugated at 1/1000 dilution

Predicted band size: 59 kDa

Observed band size: 59 kDa

true

Exposure time: 3min

Western blot - Anti-ATE1 antibody [EPR13667(2)] - N-terminal (AB199423)
  • WB

Supplier Data

Western blot - Anti-ATE1 antibody [EPR13667(2)] - N-terminal (AB199423)

Blocking and diluting buffer 5% NFDM/TBST

All lanes:

Western blot - Anti-ATE1 antibody [EPR13667(2)] - N-terminal (ab199423) at 1/1000 dilution

Lane 1:

Mouse brain tissue lysate at 10 µg

Lane 2:

Mouse spleen tissue lysate at 10 µg

Secondary

All lanes:

Goat Anti-Rabbit IgG, (H+L), Peroxidase conjugated at 1/1000 dilution

Predicted band size: 59 kDa

Observed band size: 59 kDa

true

Exposure time: 1min

Western blot - Anti-ATE1 antibody [EPR13667(2)] - N-terminal (AB199423)
  • WB

CiteAb

Western blot - Anti-ATE1 antibody [EPR13667(2)] - N-terminal (AB199423)

ATE1 western blot using anti-ATE1 antibody [EPR13667(2)] - N-terminal ab199423. Publication image and figure legend from Singh, K., Gupta, A., et al., 2020, Sci Rep, PubMed 31953451.

ab199423 was used in this publication in western blot. This may not be the same as the application(s) guaranteed by Abcam. For a full list of applications guaranteed by Abcam for ab199423 please see the product overview.

ATE1 expression is upregulated by hypertrophic stimuli. (A) Quantitative real-time PCR analysis of mRNA levels of ATE1 in Ang II treated H9C2 cells. (B) Transcriptional levels of ATE1 in heart samples from rat subjected to ligation of right renal artery (Ligated) and sham-operated control (Sham) rats. (C) Western blot analysis of ATE1 protein levels in heart samples from sham and renal ligated rats. Data were derived from experiments performed in triplicate and normalized to GAPDH content. Statistical analysis was carried out by student’s two-tailed t-test (*shows non-specific binding of antibody).

false

関連する標識済み抗体及び組成の異なる製品 (10)

  • Carrier free

    Anti-ATE1 antibody [EPR13667(2)] - BSA and Azide free

  • 578 PE

    PE Anti-ATE1 antibody [EPR13667(2)] (N-terminal)

  • 660 APC

    APC Anti-ATE1 antibody [EPR13667(2)] (N-terminal)

  • HRP

    HRP Anti-ATE1 antibody [EPR13667(2)] (N-terminal)

  • 519 Alexa Fluor® 488

    Alexa Fluor® 488 Anti-ATE1 antibody [EPR13667(2)] - N-terminal

  • 617 Alexa Fluor® 594

    Alexa Fluor® 594 Anti-ATE1 antibody [EPR13667(2)] - N-terminal

  • 603 Alexa Fluor® 568

    Alexa Fluor® 568 Anti-ATE1 antibody [EPR13667(2)] - N-terminal

  • 565 Alexa Fluor® 555

    Alexa Fluor® 555 Anti-ATE1 antibody [EPR13667(2)] - N-terminal

  • 665 Alexa Fluor® 647

    Alexa Fluor® 647 Anti-ATE1 antibody [EPR13667(2)] - N-terminal

  • 775 Alexa Fluor® 750

    Alexa Fluor® 750 Anti-ATE1 antibody [EPR13667(2)] - N-terminal

Key facts

宿主種

Rabbit

クローン性

Monoclonal

クローン番号

EPR13667(2)

アイソタイプ

IgG

キャリアフリー

No

交差種

Mouse, Rat, Human

アプリケーション

IHC-P, Flow Cyt (Intra), WB

applications

免疫原

The exact immunogen used to generate this antibody is proprietary information.

Reactivity data

{ "title": "Reactivity Data", "filters": { "stats": ["", "Species", "Dilution Info", "Notes"], "tabs": { "all-applications": {"fullname" : "All Applications", "shortname": "All Applications"}, "WB" : {"fullname" : "Western blot", "shortname":"WB"}, "FlowCytIntra" : {"fullname" : "Flow Cytometry (Intracellular)", "shortname":"Flow Cyt (Intra)"}, "IHCP" : {"fullname" : "Immunohistochemistry (Formalin/PFA-fixed paraffin-embedded sections)", "shortname":"IHC-P"} }, "product-promise": { "all": "all", "testedAndGuaranteed": "tested", "guaranteed": "expected", "predicted": "predicted", "notRecommended": "not-recommended" } }, "values": { "Human": { "WB-species-checked": "testedAndGuaranteed", "WB-species-dilution-info": "1/1000", "WB-species-notes": "<p></p>", "FlowCytIntra-species-checked": "testedAndGuaranteed", "FlowCytIntra-species-dilution-info": "1/220", "FlowCytIntra-species-notes": "<p><a href='/products/primary-antibodies/rabbit-igg-monoclonal-epr25a-isotype-control-ab172730'>ab172730</a> - Rabbit monoclonal IgG, is suitable for use as an isotype control with this antibody.</p>", "IHCP-species-checked": "testedAndGuaranteed", "IHCP-species-dilution-info": "1/100", "IHCP-species-notes": "<p></p> Perform heat-mediated antigen retrieval with Tris/EDTA buffer pH 9.0 before commencing with IHC staining protocol." }, "Mouse": { "WB-species-checked": "testedAndGuaranteed", "WB-species-dilution-info": "1/1000", "WB-species-notes": "<p></p>", "FlowCytIntra-species-checked": "guaranteed", "FlowCytIntra-species-dilution-info": "", "FlowCytIntra-species-notes": "", "IHCP-species-checked": "testedAndGuaranteed", "IHCP-species-dilution-info": "1/100", "IHCP-species-notes": "<p></p> Perform heat-mediated antigen retrieval with Tris/EDTA buffer pH 9.0 before commencing with IHC staining protocol." }, "Rat": { "WB-species-checked": "testedAndGuaranteed", "WB-species-dilution-info": "1/1000", "WB-species-notes": "<p></p>", "FlowCytIntra-species-checked": "guaranteed", "FlowCytIntra-species-dilution-info": "", "FlowCytIntra-species-notes": "", "IHCP-species-checked": "testedAndGuaranteed", "IHCP-species-dilution-info": "1/100", "IHCP-species-notes": "<p></p> Perform heat-mediated antigen retrieval with Tris/EDTA buffer pH 9.0 before commencing with IHC staining protocol." } } }

製品の詳細

Patented technology
Our RabMAb® technology is a patented hybridoma-based technology for making rabbit monoclonal antibodies. For details on our patents, please refer to RabMAb® patents.

What are the advantages of a recombinant monoclonal antibody?
This product is a recombinant monoclonal antibody, which offers several advantages including:

  • - High batch-to-batch consistency and reproducibility
  • - Improved sensitivity and specificity
  • - Long-term security of supply
  • - Animal-free batch production

For more information, read more on recombinant antibodies.

出荷温度及び保存条件

製品の状態
Liquid
精製方法
Affinity purification Protein A
バッファー組成
pH: 7.2 - 7.4 Preservative: 0.01% Sodium azide Constituents: PBS, 40% Glycerol (glycerin, glycerine), 0.05% BSA
出荷温度
Blue Ice
短期保存期間
1-2 weeks
短期保存温度
+4°C
長期保存温度
-20°C
分注に関する情報
Upon delivery aliquot
保管に関する情報
Avoid freeze / thaw cycle

補足情報

This supplementary information is collated from multiple sources and compiled automatically.

ATE1 also known as Arginyltransferase 1 is an important enzyme that plays a mechanical role in cellular processes. It is responsible for adding the amino acid arginine to the N-terminus of certain target proteins a modification important for protein stability and function. ATE1 has a molecular mass of approximately 75 kDa. This enzyme is expressed in various tissues with higher expression levels observed in the heart liver and brain indicating its importance in these areas.
Biological function summary

ATE1 acts as a regulator in protein degradation by tagging proteins with arginine marking them for ubiquitination and subsequent proteasomal degradation. This function is critical for controlling the protein turnover and maintaining cellular homeostasis. ATE1 functions independently and is not known to be a part of any larger protein complex emphasizing its specific role in post-translational modification of proteins.

Pathways

This arginylation process by ATE1 integrates into the ubiquitin-proteasome system a pathway significant for protein catabolism. It plays a role in cellular stress responses linking closely with the protein degradation pathways to control damaged or misfolded proteins. ATE1's activity interacts with proteins such as ubiquitin ligases which assist in the tagging and recognition of proteins for degradation ensuring proper proteostasis.

ATE1 has been implicated in cardiac hypertrophy and cancer. Altered expression or activity of ATE1 can contribute to the dysregulation of protein turnover in the heart connecting it to cardiac hypertrophy. In cancer abnormal arginylation can affect cellular homeostasis and lead to uncontrollable cell proliferation. ATE1 connects to proteins like N-end rule substrates in the context of these diseases acting as a potential biomarker or therapeutic target for disease intervention.

製品プロトコール

For this product, it's our understanding that no specific protocols are required. You can visit:

ターゲットの情報

Involved in the post-translational conjugation of arginine to the N-terminal aspartate or glutamate of a protein (PubMed : 34893540). This arginylation is required for degradation of the protein via the ubiquitin pathway (PubMed : 34893540). Does not arginylate cysteine residues (By similarity).
See full target information ATE1

文献 (4)

Recent publications for all applications. Explore the full list and refine your search

Acta neuropathologica 149:51 PubMed40411591

2025

Annexin A6 membrane repair protein protects against amyloid-induced dystrophic neurites and tau phosphorylation in Alzheimer's disease model mice.

Applications

Unspecified application

Species

Unspecified reactive species

Katherine R Sadleir,Karen P Gomez,Abigail E Edwards,Armana J Patel,Makenna L Ley,Ammaarah W Khatri,Joanna Guo,Shreya Mahesh,Elyse A Watkins,Jelena Popovic,Devi Krishna Priya Karunakaran,Dmitry Prokopenko,Rudolph E Tanzi,Bernabe Bustos,Steven J Lubbe,Alexis R Demonbruen,Elizabeth M McNally,Robert Vassar

Evidence-based complementary and alternative medicine : eCAM 2022:7861338 PubMed35341136

2022

Liquiritin Attenuates Angiotensin II-Induced Cardiomyocyte Hypertrophy via ATE1/TAK1-JNK1/2 Pathway.

Applications

Unspecified application

Species

Unspecified reactive species

Jiajia Mo,Peng Zhou,Zhaoxing Chu,Yan Zhao,Xiang Wang

Molecular cancer research : MCR 19:1441-1453 PubMed34158395

2021

ATE1 Inhibits Liver Cancer Progression through RGS5-Mediated Suppression of Wnt/β-Catenin Signaling.

Applications

Unspecified application

Species

Unspecified reactive species

Cong Xu,Yi-Ming Li,Bo Sun,Fang-Jing Zhong,Lian-Yue Yang

Scientific reports 10:598 PubMed31953451

2020

Arginyltransferase knockdown attenuates cardiac hypertrophy and fibrosis through TAK1-JNK1/2 pathway.

Applications

Unspecified application

Species

Unspecified reactive species

Kanika Singh,Ankit Gupta,Ashish Sarkar,Ishita Gupta,Santanu Rana,Sagartirtha Sarkar,Sameena Khan
View all publications

Abcam product promise

当社は、高品質な試薬を通じてお客様の研究を力強くサポートすることをお約束いたします。ご使用いただく各段階で、常にお客様をサポートできる体制を整えております。万が一、製品が期待通りに機能しない場合は、「Abcam Product Promise」による当社保証制度に基づき、安心してご利用いただけます。
保証に関する詳細については利用規約をご確認ください。

Please note: All products are 'FOR RESEARCH USE ONLY. NOT FOR USE IN DIAGNOSTIC OR THERAPEUTIC PROCEDURES'.

For licensing inquiries, please contact partnerships@abcam.com