JavaScript is disabled in your browser. Please enable JavaScript to view this website.
AB228009

Anti-ASXL1 抗体 - N-terminal

Anti-ASXL1 antibody - N-terminal

  • JP Deleterious:医薬用外劇物

3

(2 Reviews)

|

(4 Publications)

Rabbit Polyclonal ASXL1 antibody. N-terminal. Suitable for WB, IHC-P and reacts with Human samples. Cited in 4 publications. Immunogen corresponding to Recombinant Fragment Protein within Human ASXL1.

別名を表示する

KIAA0978, ASXL1, Polycomb group protein ASXL1, Additional sex combs-like protein 1

3 Images
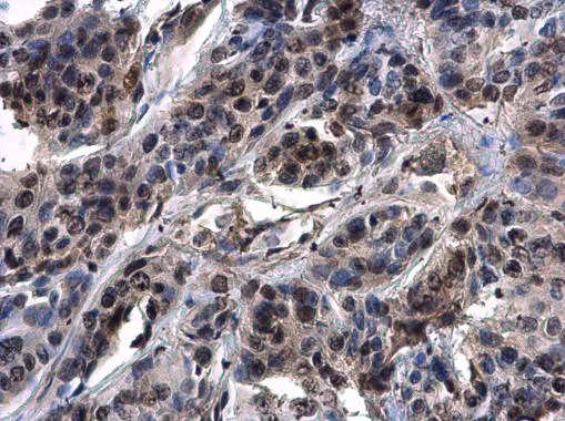
Immunohistochemistry (Formalin/PFA-fixed paraffin-embedded sections) - Anti-ASXL1 antibody - N-terminal (AB228009)
  • IHC-P

Supplier Data

Immunohistochemistry (Formalin/PFA-fixed paraffin-embedded sections) - Anti-ASXL1 antibody - N-terminal (AB228009)

Paraffin-embedded human esophagus carcinoma tissue stained for ASXL1 using ab228009 at 1/500 dilution in immunohistochemical analysis.

Western blot - Anti-ASXL1 antibody - N-terminal (AB228009)
  • WB

Supplier Data

Western blot - Anti-ASXL1 antibody - N-terminal (AB228009)

Samples were separated by 5% SDS-PAGE.

All lanes:

Western blot - Anti-ASXL1 antibody - N-terminal (ab228009) at 1/5000 dilution

All lanes:

MCF-7 Whole cell extract at 30 µg

Secondary

All lanes:

HRP-conjugated anti-rabbit IgG antibody

Predicted band size: 165 kDa

false

Western blot - Anti-ASXL1 antibody - N-terminal (AB228009)
  • WB

Supplier Data

Western blot - Anti-ASXL1 antibody - N-terminal (AB228009)

All lanes:

Western blot - Anti-ASXL1 antibody - N-terminal (ab228009) at 1/5000 dilution

Lane 1:

Non-transfected HEK-293T (human epithelial cell line from embryonic kidney transformed with large T antigen) whole cell lysate at 50 µg

Lane 2:

GFP-human ASXL1 transfected HEK-293T (human epithelial cell line from embryonic kidney transformed with large T antigen) whole cell lysate at 50 µg

Secondary

All lanes:

HRP-conjugated anti-rabbit IgG

Predicted band size: 165 kDa

false

Key facts

宿主種

Rabbit

クローン性

Polyclonal

アイソタイプ

IgG

キャリアフリー

No

交差種

Human

アプリケーション

WB, IHC-P

applications

免疫原

Recombinant Fragment Protein within Human ASXL1. The exact immunogen used to generate this antibody is proprietary information.

Q8IXJ9

Reactivity data

{ "title": "Reactivity Data", "filters": { "stats": ["", "Species", "Dilution Info", "Notes"], "tabs": { "all-applications": {"fullname" : "All Applications", "shortname": "All Applications"}, "WB" : {"fullname" : "Western blot", "shortname":"WB"}, "IHCP" : {"fullname" : "Immunohistochemistry (Formalin/PFA-fixed paraffin-embedded sections)", "shortname":"IHC-P"} }, "product-promise": { "all": "all", "testedAndGuaranteed": "tested", "guaranteed": "expected", "predicted": "predicted", "notRecommended": "not-recommended" } }, "values": { "Human": { "WB-species-checked": "testedAndGuaranteed", "WB-species-dilution-info": "1/1000 - 1/10000", "WB-species-notes": "<p></p>", "IHCP-species-checked": "testedAndGuaranteed", "IHCP-species-dilution-info": "1/100 - 1/1000", "IHCP-species-notes": "<p></p>" }, "Mouse": { "WB-species-checked": "predicted", "WB-species-dilution-info": "", "WB-species-notes": "", "IHCP-species-checked": "predicted", "IHCP-species-dilution-info": "", "IHCP-species-notes": "" } } }

出荷温度及び保存条件

製品の状態
Liquid
精製方法
Affinity purification Immunogen
バッファー組成
pH: 7 Preservative: 0.01% Thimerosal (merthiolate) Constituents: PBS, 20% Glycerol (glycerin, glycerine)
出荷温度
Blue Ice
短期保存期間
1-2 weeks
短期保存温度
+4°C
長期保存温度
-20°C
分注に関する情報
Upon delivery aliquot
保管に関する情報
Avoid freeze / thaw cycle

補足情報

This supplementary information is collated from multiple sources and compiled automatically.

ASXL1 also known as Additional Sex Combs-Like 1 functions primarily as a core component in chromatin modification processes. This protein has a molecular mass of approximately 165 kDa. ASXL1 is typically expressed in a wide range of tissues including hematopoietic cells indicating its role in diverse biological processes. The protein serves as a regulator of gene expression by influencing how tightly DNA wraps around histones allowing or restricting access to transcriptional machinery.
Biological function summary

ASXL1 plays a critical role in epigenetic regulation and is often part of polycomb repressive complexes. These complexes contribute to transcriptional repression particularly during cellular differentiation and development. ASXL1 interacts with other proteins to modify histones thereby affecting the expression of genes involved in growth and differentiation processes. Its function is closely connected to developmental pathways given its impact on regulation at the chromatin level.

Pathways

ASXL1 interacts with complex epigenetic regulatory networks. It takes part in the PRC2 (Polycomb Repressive Complex 2) pathway an essential pathway for transcriptional silencing via histone methylation. ASXL1 also shows interactions with proteins like EZH2 and SUZ12 within this pathway contributing to the methylation of histone H3 at lysine 27 (H3K27me3). Such interactions underline its role in chromatin remodeling and maintaining gene silencing during development and homeostasis.

ASXL1 mutations are frequently linked to myeloid malignancies such as myelodysplastic syndromes (MDS) and chronic myelomonocytic leukemia (CMML). These mutations often result in loss of function disrupting gene expression regulation and leading to abnormal cellular proliferation. ASXL1’s role connects with the protein RUNX1 in these conditions where impaired regulation can progress to malignancies. Researchers continue to investigate the exact mechanisms through which these interactions contribute to the pathogenesis of these disorders.

製品プロトコール

For this product, it's our understanding that no specific protocols are required. You can visit:

ターゲットの情報

Probable Polycomb group (PcG) protein involved in transcriptional regulation mediated by ligand-bound nuclear hormone receptors, such as retinoic acid receptors (RARs) and peroxisome proliferator-activated receptor gamma (PPARG) (PubMed : 16606617). Acts as a coactivator of RARA and RXRA through association with NCOA1 (PubMed : 16606617). Acts as a corepressor for PPARG and suppresses its adipocyte differentiation-inducing activity (By similarity). Non-catalytic component of the PR-DUB complex, a complex that specifically mediates deubiquitination of histone H2A monoubiquitinated at 'Lys-119' (H2AK119ub1) (PubMed : 20436459, PubMed : 30664650, PubMed : 36180891). Acts as a sensor of N(6)-methyladenine methylation on DNA (6mA) : recognizes and binds 6mA DNA, leading to its ubiquitination and degradation by TRIP12, thereby inactivating the PR-DUB complex and regulating Polycomb silencing (PubMed : 30982744). The PR-DUB complex is an epigenetic regulator of gene expression and acts as a transcriptional coactivator, affecting genes involved in development, cell communication, signaling, cell proliferation and cell viability (PubMed : 30664650, PubMed : 36180891). ASXL1, ASXL2 and ASXL3 function redundantly in the PR-DUB complex (By similarity) (PubMed : 30664650). The ASXL proteins are essential for chromatin recruitment and transcriptional activation of associated genes (By similarity). ASXL1 and ASXL2 are important for BAP1 protein stability (PubMed : 30664650). Together with BAP1, negatively regulates epithelial-mesenchymal transition (EMT) of trophoblast stem cells during placental development by regulating genes involved in epithelial cell integrity, cell adhesion and cytoskeletal organization (PubMed : 34170818).
See full target information ASXL1

文献 (4)

Recent publications for all applications. Explore the full list and refine your search

Frontiers in cardiovascular medicine 10:1191891 PubMed37636297

2023

Apelin prevents diabetes-induced poor collateral vessel formation and blood flow reperfusion in ischemic limb.

Applications

Unspecified application

Species

Unspecified reactive species

Stéphanie Robillard,Kien Trân,Marie-Sophie Lachance,Tristan Brazeau,Elizabeth Boisvert,Farah Lizotte,Mannix Auger-Messier,Pierre-Luc Boudreault,Éric Marsault,Pedro Geraldes

Frontiers in pharmacology 13:887822 PubMed35586041

2022

LINC00586 Represses ASXL1 Expression Thus Inducing Epithelial-To-Mesenchymal Transition of Colorectal Cancer Cells Through LSD1-Mediated H3K4me2 Demethylation.

Applications

Unspecified application

Species

Unspecified reactive species

Fengting Liu,Xiaofang Ma,Xiyun Bian,Chunyan Zhang,Xiaozhi Liu,Qiang Liu

Cell reports 36:109576 PubMed34433054

2021

A histone modifier, ASXL1, interacts with NONO and is involved in paraspeckle formation in hematopoietic cells.

Applications

Unspecified application

Species

Unspecified reactive species

Keita Yamamoto,Susumu Goyama,Shuhei Asada,Takeshi Fujino,Taishi Yonezawa,Naru Sato,Reina Takeda,Akiho Tsuchiya,Tomofusa Fukuyama,Yosuke Tanaka,Akihiko Yokoyama,Hikaru Toya,Ayana Kon,Yasuhito Nannya,Rena Onoguchi-Mizutani,Shinichi Nakagawa,Tetsuro Hirose,Seishi Ogawa,Nobuyoshi Akimitsu,Toshio Kitamura

Protein & cell 12:557-577 PubMed32683582

2020

Tumor-derived neomorphic mutations in ASXL1 impairs the BAP1-ASXL1-FOXK1/K2 transcription network.

Applications

Unspecified application

Species

Unspecified reactive species

Yu-Kun Xia,Yi-Rong Zeng,Meng-Li Zhang,Peng Liu,Fang Liu,Hao Zhang,Chen-Xi He,Yi-Ping Sun,Jin-Ye Zhang,Cheng Zhang,Lei Song,Chen Ding,Yu-Jie Tang,Zhen Yang,Chen Yang,Pu Wang,Kun-Liang Guan,Yue Xiong,Dan Ye
View all publications

Abcam product promise

当社は、高品質な試薬を通じてお客様の研究を力強くサポートすることをお約束いたします。ご使用いただく各段階で、常にお客様をサポートできる体制を整えております。万が一、製品が期待通りに機能しない場合は、「Abcam Product Promise」による当社保証制度に基づき、安心してご利用いただけます。
保証に関する詳細については利用規約をご確認ください。

Please note: All products are 'FOR RESEARCH USE ONLY. NOT FOR USE IN DIAGNOSTIC OR THERAPEUTIC PROCEDURES'.

For licensing inquiries, please contact partnerships@abcam.com