JavaScript is disabled in your browser. Please enable JavaScript to view this website.
AB252990

Anti-ASAH2 抗体

Anti-ASAH2 antibody

Be the first to review this product! Submit a review

|

(1 Publication)

Rabbit Polyclonal ASAH2 antibody. Suitable for IHC-P, WB, ICC/IF and reacts with Human samples. Cited in 1 publication. Immunogen corresponding to Recombinant Fragment Protein within Human ASAH2 aa 1-100.

別名を表示する

HNAC1, ASAH2, Neutral ceramidase, N-CDase, NCDase, Acylsphingosine deacylase 2, BCDase, LCDase, N-acylsphingosine amidohydrolase 2, Non-lysosomal ceramidase, hCD

2 Images
Immunocytochemistry/ Immunofluorescence - Anti-ASAH2 antibody (AB252990)
  • ICC/IF

Unknown

Immunocytochemistry/ Immunofluorescence - Anti-ASAH2 antibody (AB252990)

PFA-fixed, Triton X-100 permeabilized U-251MG (Human brain glioma cell line) cells stained for ASAH2 (green) using ab252990 at 4 μg/ml in ICC/IF.

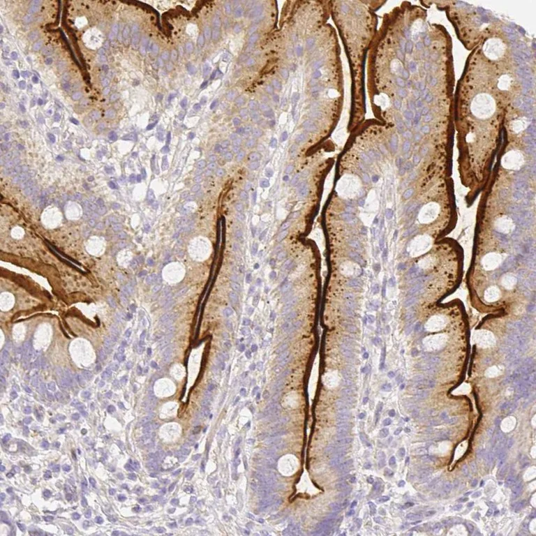
Immunohistochemistry (Formalin/PFA-fixed paraffin-embedded sections) - Anti-ASAH2 antibody (AB252990)
  • IHC-P

Unknown

Immunohistochemistry (Formalin/PFA-fixed paraffin-embedded sections) - Anti-ASAH2 antibody (AB252990)

Paraffin-embedded human duodenum tissue stained for ASAH2 using ab252990 at 1/1000 dilution in immunohistochemical analysis.

Key facts

宿主種

Rabbit

クローン性

Polyclonal

アイソタイプ

IgG

キャリアフリー

No

交差種

Human

アプリケーション

ICC/IF, WB, IHC-P

applications

免疫原

Recombinant Fragment Protein within Human ASAH2 aa 1-100. The exact immunogen used to generate this antibody is proprietary information.

Q9NR71

Reactivity data

{ "title": "Reactivity Data", "filters": { "stats": ["", "Species", "Dilution Info", "Notes"], "tabs": { "all-applications": {"fullname" : "All Applications", "shortname": "All Applications"}, "IHCP" : {"fullname" : "Immunohistochemistry (Formalin/PFA-fixed paraffin-embedded sections)", "shortname":"IHC-P"}, "WB" : {"fullname" : "Western blot", "shortname":"WB"}, "ICCIF" : {"fullname" : "Immunocytochemistry/ Immunofluorescence", "shortname":"ICC/IF"} }, "product-promise": { "all": "all", "testedAndGuaranteed": "tested", "guaranteed": "expected", "predicted": "predicted", "notRecommended": "not-recommended" } }, "values": { "Human": { "IHCP-species-checked": "testedAndGuaranteed", "IHCP-species-dilution-info": "1/1000 - 1/2500", "IHCP-species-notes": "<p></p> Perform heat-mediated antigen retrieval with citrate buffer pH 6 before commencing with IHC staining protocol.", "WB-species-checked": "testedAndGuaranteed", "WB-species-dilution-info": "0.04-0.4 µg/mL", "WB-species-notes": "<p></p>", "ICCIF-species-checked": "testedAndGuaranteed", "ICCIF-species-dilution-info": "0.25-2 µg/mL", "ICCIF-species-notes": "<p>Fixation/Permeabilization: PFA/Triton X-100.</p>" } } }

出荷温度及び保存条件

製品の状態
Liquid
精製方法
Affinity purification Immunogen
バッファー組成
pH: 7.2 Preservative: 0.02% Sodium azide Constituents: PBS, 40% Glycerol (glycerin, glycerine)
出荷温度
Blue Ice
短期保存期間
1-2 weeks
短期保存温度
+4°C
長期保存温度
-20°C
分注に関する情報
Upon delivery aliquot
保管に関する情報
Avoid freeze / thaw cycle

補足情報

This supplementary information is collated from multiple sources and compiled automatically.

ASAH2 also known as N-acylsphingosine amidohydrolase 2 is an important enzyme responsible for the hydrolysis of ceramides into sphingosine and free fatty acids. It has a molecular mass of approximately 85 kDa. ASAH2 is expressed in many tissues with prominent expression observed in the small intestine and brain. Its activity influences cell membrane integrity and intercellular communication which plays an essential role in the normal functioning of cells.
Biological function summary

ASAH2 regulates the levels of ceramide and sphingosine both of which are important lipid signaling molecules. This enzyme exists within cells as part of a complex that maintains lipid homeostasis impacting numerous biological processes through ceramide metabolism. The balance between ceramide and sphingosine signaling is important for cell survival proliferation and apoptosis highlighting the importance of ASAH2 in these cellular dynamics.

Pathways

ASAH2 involves itself in the sphingolipid metabolism pathway which is significant for signal transduction and cellular communication. ASAH2 works closely with proteins like sphingosine kinase which further metabolizes sphingosine into sphingosine-1-phosphate (S1P) a lipid mediator with diverse functions. This pathway plays essential roles in inflammation immune response and cell growth demonstrating the interconnected nature of ASAH2's activity with other critical proteins.

ASAH2 has associations with metabolic disorders and neurodegenerative diseases. Elevated ceramide levels due to ASAH2 dysfunction relate to disorders such as Gaucher disease characterized by abnormal lipid storage and may influence neurodegenerative conditions like Alzheimer's disease. The enzyme interacts with proteins like acid ceramidase where imbalances in these enzymes lead to disruptions in lipid metabolism and contribute to disease pathology making ASAH2 a potential target for therapeutic intervention.

製品プロトコール

For this product, it's our understanding that no specific protocols are required. You can visit:

ターゲットの情報

Plasma membrane ceramidase that hydrolyzes sphingolipid ceramides into sphingosine and free fatty acids at neutral pH (PubMed : 10781606, PubMed : 16229686, PubMed : 26190575). Ceramides, sphingosine, and its phosphorylated form sphingosine-1-phosphate are bioactive lipids that mediate cellular signaling pathways regulating several biological processes including cell proliferation, apoptosis and differentiation (PubMed : 15946935, PubMed : 19345744, PubMed : 24798654). Also catalyzes the reverse reaction allowing the synthesis of ceramides from fatty acids and sphingosine (PubMed : 11278489, PubMed : 17475390). Together with sphingomyelinase, participates in the production of sphingosine and sphingosine-1-phosphate from the degradation of sphingomyelin, a sphingolipid enriched in the plasma membrane of cells (PubMed : 16061940). Also participates in the hydrolysis of ceramides from the extracellular milieu allowing the production of sphingosine-1-phosphate inside and outside cells (By similarity). This is the case for instance with the digestion of dietary sphingolipids in the intestinal tract (By similarity).
See full target information ASAH2

文献 (1)

Recent publications for all applications. Explore the full list and refine your search

Frontiers in cell and developmental biology 10:836041 PubMed35281088

2022

iTRAQ-Based Proteome Profiling of Differentially Expressed Proteins in Insulin-Resistant Human Hepatocellular Carcinoma.

Applications

Unspecified application

Species

Unspecified reactive species

Jing Yan,Bei Xie,Ye Tian,Li Huang,Shuli Zou,Zhiheng Peng,Zhuan Liu,Linjing Li
View all publications

Abcam product promise

当社は、高品質な試薬を通じてお客様の研究を力強くサポートすることをお約束いたします。ご使用いただく各段階で、常にお客様をサポートできる体制を整えております。万が一、製品が期待通りに機能しない場合は、「Abcam Product Promise」による当社保証制度に基づき、安心してご利用いただけます。
保証に関する詳細については利用規約をご確認ください。

Please note: All products are 'FOR RESEARCH USE ONLY. NOT FOR USE IN DIAGNOSTIC OR THERAPEUTIC PROCEDURES'.

For licensing inquiries, please contact partnerships@abcam.com