JavaScript is disabled in your browser. Please enable JavaScript to view this website.
AB192870

Anti-ART3 抗体 [EPR7220(2)] - C-terminal

Anti-ART3 antibody [EPR7220(2)] - C-terminal

Be the first to review this product! Submit a review

|

(2 Publications)

Rabbit Recombinant Monoclonal ART3 antibody. C-terminal. Suitable for IP, WB, IHC-P and reacts with Human samples. Cited in 2 publications.

別名を表示する

TMART, ART3, Ecto-ADP-ribosyltransferase 3, ADP-ribosyltransferase C2 and C3 toxin-like 3, Mono(ADP-ribosyl)transferase 3, NAD(P)(+)--arginine ADP-ribosyltransferase 3, ARTC3

3 Images
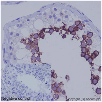
Immunohistochemistry (Formalin/PFA-fixed paraffin-embedded sections) - Anti-ART3 antibody [EPR7220(2)] - C-terminal (AB192870)
  • IHC-P

Supplier Data

Immunohistochemistry (Formalin/PFA-fixed paraffin-embedded sections) - Anti-ART3 antibody [EPR7220(2)] - C-terminal (AB192870)

Immunohistochemical analysis of paraffin-embedded Human testis tissue labeling ART3 using ab192870 at 1/500 dilution (0.6 μg/ml). A prediluted HRP Polymer for Rabbit IgG was used as secondary. Counterstain : Hematoxylin. Negative control also shown.

Perform heat mediated antigen retrieval with Tris/EDTA buffer pH 9.0 before commencing with IHC staining protocol.

Immunoprecipitation - Anti-ART3 antibody [EPR7220(2)] - C-terminal (AB192870)
  • IP

Supplier Data

Immunoprecipitation - Anti-ART3 antibody [EPR7220(2)] - C-terminal (AB192870)

Immunoprecipitation analysis of Human testis lysate labeling ART3 using ab192870 at 1/20 dilution (Lane 1). PBS negative control (Lane 2). Anti-Rabbit IgG (HRP), specific to the non-reduced form of IgG at 1/1500 was used as the secondary antibody

Note : The band observed at 41 kDa may be due to the removal of a 27 amino acid propeptide (mature form).

All lanes:

Immunoprecipitation - Anti-ART3 antibody [EPR7220(2)] - C-terminal (ab192870)

Predicted band size: 36 kDa,44 kDa

Observed band size: 36 kDa

false

Western blot - Anti-ART3 antibody [EPR7220(2)] - C-terminal (AB192870)
  • WB

Supplier Data

Western blot - Anti-ART3 antibody [EPR7220(2)] - C-terminal (AB192870)

All lanes:

Western blot - Anti-ART3 antibody [EPR7220(2)] - C-terminal (ab192870) at 1/10000 dilution

All lanes:

Human testis tissue lysate at 20 µg

Secondary

All lanes:

Anti-Rabbit IgG (HRP), specific to the non-reduced form of IgG at 1/1000 dilution

Predicted band size: 44 kDa

Observed band size: 41 kDa,44 kDa

false

関連する標識済み抗体及び組成の異なる製品 (1)

  • Carrier free

    Anti-ART3 antibody [EPR7220(2)] - BSA and Azide free

Key facts

宿主種

Rabbit

クローン性

Monoclonal

クローン番号

EPR7220(2)

アイソタイプ

IgG

キャリアフリー

No

交差種

Human

アプリケーション

WB, IHC-P, IP

applications

免疫原

The exact immunogen used to generate this antibody is proprietary information.

Reactivity data

{ "title": "Reactivity Data", "filters": { "stats": ["", "Species", "Dilution Info", "Notes"], "tabs": { "all-applications": {"fullname" : "All Applications", "shortname": "All Applications"}, "IP" : {"fullname" : "Immunoprecipitation", "shortname":"IP"}, "WB" : {"fullname" : "Western blot", "shortname":"WB"}, "IHCP" : {"fullname" : "Immunohistochemistry (Formalin/PFA-fixed paraffin-embedded sections)", "shortname":"IHC-P"} }, "product-promise": { "all": "all", "testedAndGuaranteed": "tested", "guaranteed": "expected", "predicted": "predicted", "notRecommended": "not-recommended" } }, "values": { "Human": { "IP-species-checked": "testedAndGuaranteed", "IP-species-dilution-info": "1/20", "IP-species-notes": "<p></p>", "WB-species-checked": "testedAndGuaranteed", "WB-species-dilution-info": "1/1000 - 1/10000", "WB-species-notes": "<p></p>", "IHCP-species-checked": "testedAndGuaranteed", "IHCP-species-dilution-info": "1/250 - 1/500", "IHCP-species-notes": "<p></p>" } } }

製品の詳細

Patented technology
Our RabMAb® technology is a patented hybridoma-based technology for making rabbit monoclonal antibodies. For details on our patents, please refer to RabMAb® patents.

What are the advantages of a recombinant monoclonal antibody?
This product is a recombinant monoclonal antibody, which offers several advantages including:

  • - High batch-to-batch consistency and reproducibility
  • - Improved sensitivity and specificity
  • - Long-term security of supply
  • - Animal-free batch production

For more information, read more on recombinant antibodies.

出荷温度及び保存条件

製品の状態
Liquid
精製方法
Affinity purification Protein A
バッファー組成
pH: 7.2 - 7.4 Preservative: 0.01% Sodium azide Constituents: PBS, 40% Glycerol (glycerin, glycerine), 0.05% BSA
出荷温度
Blue Ice
短期保存期間
1-2 weeks
短期保存温度
+4°C
長期保存温度
-20°C
分注に関する情報
Upon delivery aliquot
保管に関する情報
Avoid freeze / thaw cycle

補足情報

This supplementary information is collated from multiple sources and compiled automatically.

ART3 also known as ADP-ribosyltransferase 3 is an enzyme with a molecular mass of approximately 41 kDa. It belongs to the family of ARTs (ADP-ribosyltransferases) which facilitate the transfer of ADP-ribose from NAD+ to target proteins modifying their function. ART3 is mainly expressed on the surface of cells with higher expression observed in testicular tissues. Its distribution suggests a specialized role in certain physiological processes.
Biological function summary

ART3 modifies protein functions by adding ADP-ribose groups a process important for cellular signaling and protein interactions. While it is not as deeply investigated as other ART family members ART3 still plays significant roles in certain biological contexts. It operates independently rather than being part of a larger complex. Current research explores its involvement in sperm maturation and other reproductive functions especially due to its elevated expression in testicular tissue.

Pathways

ART3's actions integrate into the wider cellular signaling network influenced by ADP-ribosylation. This modification impacts pathways such as cell communication and possibly apoptosis although detailed mapping in these contexts remains developing. ART3 shares mechanistic similarities with proteins such as ART1 and ART5 which also perform ADP-ribosylation and align with changes in protein activity and signaling dynamics.

ART3 has potential implications in reproductive health and certain cancers. Altered ART3 expression or function may link to testes-related disorders or contribute to cellular oncogenesis. It connects with other proteins like ART1 whose dysregulation has been studied in various cancers. Understanding ART3's contributions could aid in developing targeted treatments or diagnostics related to its roles in these diseases.

製品プロトコール

For this product, it's our understanding that no specific protocols are required. You can visit:

ターゲットの情報

See full target information ART3

文献 (2)

Recent publications for all applications. Explore the full list and refine your search

Chemical & pharmaceutical bulletin 73:896-906 PubMed40993069

2025

A Melittin-Derived Peptide with Improved Cytosolic Delivery Efficiency through Caveolae- and Actin-Mediated Endocytosis.

Applications

Unspecified application

Species

Unspecified reactive species

Yoshimasa Kawaguchi,Naoki Tamemoto,Yusuke Uehata,Yusuke Miyazaki,Wataru Shinoda,Shiroh Futaki

Cell death & disease 12:191 PubMed33602903

2021

c-MYC-induced long noncoding RNA MEG3 aggravates kidney ischemia-reperfusion injury through activating mitophagy by upregulation of RTKN to trigger the Wnt/β-catenin pathway.

Applications

Unspecified application

Species

Unspecified reactive species

Dajun Liu,Ying Liu,Xiaotong Zheng,Naiquan Liu
View all publications

Abcam product promise

当社は、高品質な試薬を通じてお客様の研究を力強くサポートすることをお約束いたします。ご使用いただく各段階で、常にお客様をサポートできる体制を整えております。万が一、製品が期待通りに機能しない場合は、「Abcam Product Promise」による当社保証制度に基づき、安心してご利用いただけます。
保証に関する詳細については利用規約をご確認ください。

Please note: All products are 'FOR RESEARCH USE ONLY. NOT FOR USE IN DIAGNOSTIC OR THERAPEUTIC PROCEDURES'.

For licensing inquiries, please contact partnerships@abcam.com