JavaScript is disabled in your browser. Please enable JavaScript to view this website.
AB252393

Anti-Apolipoprotein L1/APOL1 抗体 [EPRBOB-2-F1-53] - BSA and Azide free

Anti-Apolipoprotein L1/APOL1 antibody [EPRBOB-2-F1-53] - BSA and Azide free

Be the first to review this product! Submit a review

|

(1 Publication)

Rabbit Recombinant Monoclonal Apolipoprotein L1/APOL1 antibody. Carrier free. Suitable for IP, WB, IHC-P and reacts with Human samples. Cited in 1 publication.

別名を表示する

APOL, APOL1, Apolipoprotein L1, Apolipoprotein L, Apolipoprotein L-I, Apo-L, ApoL, ApoL-I

3 Images
Immunohistochemistry (Formalin/PFA-fixed paraffin-embedded sections) - Anti-Apolipoprotein L1/APOL1 antibody [EPRBOB-2-F1-53] - BSA and Azide free (AB252393)
  • IHC-P

Unknown

Immunohistochemistry (Formalin/PFA-fixed paraffin-embedded sections) - Anti-Apolipoprotein L1/APOL1 antibody [EPRBOB-2-F1-53] - BSA and Azide free (AB252393)

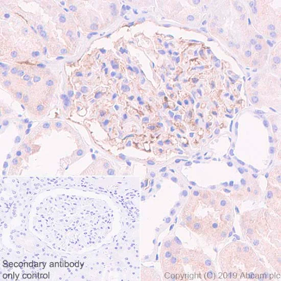
Immunohistochemical analysis of paraffin-embedded human kidney tissue labeling Apolipoprotein L 1/APOL1 with ab252219 at 1/2000 dilution, followed by Goat Anti-Rabbit IgG H&L (HRP) ready to use. Positive staining on glomerulus and weak cytoplasmic staining on renal tubules (PMID : 21997392, PMID : 28724794, PMID : 27138898) is observed. Counter stained with hematoxylin.

Secondary antibody only control : Used PBS instead of primary antibody, secondary antibody is Goat Anti-Rabbit IgG H&L (HRP) ready to use.

Heat mediated antigen retrieval using ab93684 (Tris/EDTA buffer, pH 9.0).

This data was developed using the same antibody clone in a different buffer formulation containing PBS, BSA, glycerol, and sodium azide (ab252219).

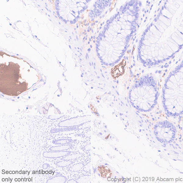
Immunohistochemistry (Formalin/PFA-fixed paraffin-embedded sections) - Anti-Apolipoprotein L1/APOL1 antibody [EPRBOB-2-F1-53] - BSA and Azide free (AB252393)
  • IHC-P

Unknown

Immunohistochemistry (Formalin/PFA-fixed paraffin-embedded sections) - Anti-Apolipoprotein L1/APOL1 antibody [EPRBOB-2-F1-53] - BSA and Azide free (AB252393)

Immunohistochemical analysis of paraffin-embedded human colon tissue labeling Apolipoprotein L 1/APOL1 with ab252219 at 1/2000 dilution, followed by Goat Anti-Rabbit IgG H&L (HRP) ready to use. Positive staining mainly in plasma of human colon blood vessel is observed. Counter stained with hematoxylin.

Secondary antibody only control : Used PBS instead of primary antibody, secondary antibody is Goat Anti-Rabbit IgG H&L (HRP) ready to use.

Heat mediated antigen retrieval using ab93684 (Tris/EDTA buffer, pH 9.0).

This data was developed using the same antibody clone in a different buffer formulation containing PBS, BSA, glycerol, and sodium azide (ab252219).

Immunoprecipitation - Anti-Apolipoprotein L1/APOL1 antibody [EPRBOB-2-F1-53] - BSA and Azide free (AB252393)
  • IP

Unknown

Immunoprecipitation - Anti-Apolipoprotein L1/APOL1 antibody [EPRBOB-2-F1-53] - BSA and Azide free (AB252393)

Apolipoprotein L 1/APOL1 was immunoprecipitated from 0.35 mg of HepG2 (human liver hepatocellular carcinoma cell line) whole cell lysate with ab252219 at 1/30 dilution. Western blot was performed from the immunoprecipitate using ab252219 at 1/1000 dilution. VeriBlot for IP Detection Reagent (HRP) (ab131366), was used for detection at 1/5000 dilution.

Lane 1 : HepG2 whole cell lysate 10 μg (Input).
Lane 2 : ab252219 IP in HepG2 whole cell lysate.
Lane 3 : Rabbit monoclonal IgG (ab172730) instead of ab252219 in HepG2 whole cell lysate.

Blocking and dilution buffer and concentration : 5% NFDM/TBST.
Exposure time : 10 seconds.

This data was developed using the same antibody clone in a different buffer formulation containing PBS, BSA, glycerol, and sodium azide (ab252219).

All lanes:

Immunoprecipitation - Anti-Apolipoprotein L1/APOL1 antibody [EPRBOB-2-F1-53] (<a href='/products/primary-antibodies/apolipoprotein-l1-apol1-antibody-eprbob-2-f1-53-ab252219'>ab252219</a>)

Predicted band size: 44 kDa

Observed band size: 43 kDa

false

関連する標識済み抗体及び組成の異なる製品 (1)

  • Unconjugated

    Anti-Apolipoprotein L1/APOL1 antibody [EPRBOB-2-F1-53]

Key facts

宿主種

Rabbit

クローン性

Monoclonal

クローン番号

EPRBOB-2-F1-53

アイソタイプ

IgG

キャリアフリー

Yes

交差種

Human

アプリケーション

IP, IHC-P, WB

applications

免疫原

The exact immunogen used to generate this antibody is proprietary information.

Reactivity data

{ "title": "Reactivity Data", "filters": { "stats": ["", "Species", "Dilution Info", "Notes"], "tabs": { "all-applications": {"fullname" : "All Applications", "shortname": "All Applications"}, "IP" : {"fullname" : "Immunoprecipitation", "shortname":"IP"}, "FlowCyt" : {"fullname" : "Flow Cytometry", "shortname":"Flow Cyt"}, "WB" : {"fullname" : "Western blot", "shortname":"WB"}, "ICCIF" : {"fullname" : "Immunocytochemistry/ Immunofluorescence", "shortname":"ICC/IF"}, "IHCP" : {"fullname" : "Immunohistochemistry (Formalin/PFA-fixed paraffin-embedded sections)", "shortname":"IHC-P"} }, "product-promise": { "all": "all", "testedAndGuaranteed": "tested", "guaranteed": "expected", "predicted": "predicted", "notRecommended": "not-recommended" } }, "values": { "Human": { "IP-species-checked": "testedAndGuaranteed", "IP-species-dilution-info": "", "IP-species-notes": "<p></p>", "FlowCyt-species-checked": "notRecommended", "FlowCyt-species-dilution-info": "", "FlowCyt-species-notes": "<p></p>", "WB-species-checked": "guaranteed", "WB-species-dilution-info": "", "WB-species-notes": "<p></p>", "ICCIF-species-checked": "notRecommended", "ICCIF-species-dilution-info": "", "ICCIF-species-notes": "<p></p>", "IHCP-species-checked": "testedAndGuaranteed", "IHCP-species-dilution-info": "", "IHCP-species-notes": "<p></p>" } } }

製品の詳細

ab252393 is the carrier-free version of ab252219.

Patented technology
Our RabMAb® technology is a patented hybridoma-based technology for making rabbit monoclonal antibodies. For details on our patents, please refer to RabMAb® patents.

What are the advantages of a recombinant monoclonal antibody?
This product is a recombinant monoclonal antibody, which offers several advantages including:

  • - High batch-to-batch consistency and reproducibility
  • - Improved sensitivity and specificity
  • - Long-term security of supply
  • - Animal-free batch production

For more information, read more on recombinant antibodies.

Conjugation ready
Our carrier-free antibodies are typically supplied in a PBS-only formulation, purified and free of BSA, sodium azide and glycerol. This conjugation-ready format is designed for use with fluorochromes, metal isotopes, oligonucleotides, and enzymes, which makes them ideal for antibody labelling, functional and cell-based assays, flow-based assays (e.g. mass cytometry) and Multiplex Imaging applications.

Use our conjugation kits for antibody conjugates that are ready-to-use in as little as 20 minutes with 1 minute hands-on-time and 100% antibody recovery: available for fluorescent dyes, HRP, biotin and gold.

Compatibility
This product is compatible with the Maxpar® Antibody Labeling Kit from Fluidigm, without the need for antibody preparation. Maxpar® is a trademark of Fluidigm Canada Inc.

出荷温度及び保存条件

製品の状態
Liquid
精製方法
Affinity purification Protein A
バッファー組成
pH: 7.2 - 7.4 Constituents: PBS
出荷温度
Blue Ice
短期保存温度
+4°C
長期保存温度
+4°C
保管に関する情報
Do Not Freeze

補足情報

This supplementary information is collated from multiple sources and compiled automatically.

Apolipoprotein L1 also known as APOL1 is a protein with a mass of approximately 42 kDa. It is primarily expressed in the liver but can also be found in various tissues including the placenta pancreas and kidney. As a part of the apolipoprotein family APOL1 contributes to lipid binding and transport processes. The protein is involved in innate immunity due to its ability to bind and kill certain trypanosomes which are parasites that can cause disease in humans.
Biological function summary

APOL1 functions as a component in lipid transport and immune response. It plays an important role in the lytic pathway against trypanosomes by forming a pore in their lysosomal membranes leading to cell death. While it does not form part of a larger complex its activity is important when interacting with other factors and lipids. APOL1's actions demonstrate an integral aspect of the body's defense system particularly with its influence on cellular structures through lipid interactions.

Pathways

APOL1 is involved in the regulation of lipid metabolism and immune response pathways. It plays a role in the high-density lipoprotein (HDL) particle remodeling pathway. Another significant pathway involving APOL1 is the APOL family protein pathway which includes related proteins like APOL2 and APOL3. These proteins collaboratively contribute to intracellular lipid transport and immune defense establishing an interconnected network among them.

There is a significant connection between APOL1 variants and chronic kidney disease (CKD) and non-diabetic forms of End-Stage Renal Disease (ESRD). The risk alleles of the APOL1 gene are associated with increased incidence of CKD especially in individuals of African descent. These associations highlight the interaction between APOL1 and renal pathology as well as its linkage to other proteins like MYH9 which also relate to kidney diseases. Understanding APOL1's role in these conditions may aid in developing targeted medical interventions.

製品プロトコール

For this product, it's our understanding that no specific protocols are required. You can visit:

ターゲットの情報

May play a role in lipid exchange and transport throughout the body. May participate in reverse cholesterol transport from peripheral cells to the liver.
See full target information APOL1

文献 (1)

Recent publications for all applications. Explore the full list and refine your search

Advanced healthcare materials 12:e2300887 PubMed37317936

2023

Nanosized Silk-Magnesium Complexes for Tissue Regeneration.

Applications

Unspecified application

Species

Unspecified reactive species

Zhaozhao Ding,Weinan Cheng,Lutong Liu,Gang Xu,Qiang Lu,David L Kaplan
View all publications

Abcam product promise

当社は、高品質な試薬を通じてお客様の研究を力強くサポートすることをお約束いたします。ご使用いただく各段階で、常にお客様をサポートできる体制を整えております。万が一、製品が期待通りに機能しない場合は、「Abcam Product Promise」による当社保証制度に基づき、安心してご利用いただけます。
保証に関する詳細については利用規約をご確認ください。

Please note: All products are 'FOR RESEARCH USE ONLY. NOT FOR USE IN DIAGNOSTIC OR THERAPEUTIC PROCEDURES'.

For licensing inquiries, please contact partnerships@abcam.com