JavaScript is disabled in your browser. Please enable JavaScript to view this website.
AB59469

Anti-Apelin 抗体

Anti-Apelin antibody

Be the first to review this product! Submit a review

|

(22 Publications)

Rabbit Polyclonal Apelin antibody. Suitable for IHC-P and reacts with Human samples. Cited in 22 publications. Immunogen corresponding to Synthetic Peptide within Human APLN.

別名を表示する

APEL, APLN, Apelin, APJ endogenous ligand

1 Images
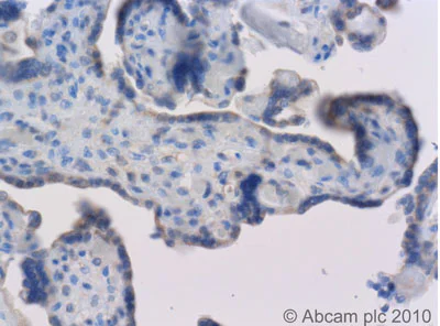
Immunohistochemistry (Formalin/PFA-fixed paraffin-embedded sections) - Anti-Apelin antibody (AB59469)
  • IHC-P

Unknown

Immunohistochemistry (Formalin/PFA-fixed paraffin-embedded sections) - Anti-Apelin antibody (AB59469)

ab59469 (1 : 500) staining Apelin in human placenta using an automated system (DAKO Autostainer Plus). Using this protocol there is strong staining of cytoplasmic/secreted regions of cells in the basal uterine glands.
Sections were rehydrated and antigen retrieved with the Dako 3 in 1 AR buffer EDTA pH 9.0 in a DAKO PT link. Slides were peroxidase blocked in 3% H2O2 in methanol for 10 mins. They were then blocked with Dako Protein block for 10 minutes (containing casein 0.25% in PBS) then incubated with primary antibody for 20 min and detected with Dako envision flex amplification kit for 30 minutes. Colorimetric detection was completed with Diaminobenzidine for 5 minutes. Slides were counterstained with Haematoxylin and coverslipped under DePeX. Please note that, for manual staining, optimization of primary antibody concentration and incubation time is recommended. Signal amplification may be required.

Key facts

宿主種

Rabbit

クローン性

Polyclonal

アイソタイプ

IgG

キャリアフリー

No

交差種

Human

アプリケーション

IHC-P

applications

免疫原

Synthetic Peptide within Human APLN. The exact immunogen used to generate this antibody is proprietary information.

Q9ULZ1

特異性

This antibody reacts specifically with 8,5 kDa of human APLN protein.

Reactivity data

{ "title": "Reactivity Data", "filters": { "stats": ["", "Species", "Dilution Info", "Notes"], "tabs": { "all-applications": {"fullname" : "All Applications", "shortname": "All Applications"}, "IHCP" : {"fullname" : "Immunohistochemistry (Formalin/PFA-fixed paraffin-embedded sections)", "shortname":"IHC-P"} }, "product-promise": { "all": "all", "testedAndGuaranteed": "tested", "guaranteed": "expected", "predicted": "predicted", "notRecommended": "not-recommended" } }, "values": { "Human": { "IHCP-species-checked": "testedAndGuaranteed", "IHCP-species-dilution-info": "1/500", "IHCP-species-notes": "<p></p>" }, "Mouse": { "IHCP-species-checked": "predicted", "IHCP-species-dilution-info": "", "IHCP-species-notes": "" }, "Rat": { "IHCP-species-checked": "predicted", "IHCP-species-dilution-info": "", "IHCP-species-notes": "" }, "Cow": { "IHCP-species-checked": "predicted", "IHCP-species-dilution-info": "", "IHCP-species-notes": "" } } }

出荷温度及び保存条件

製品の状態
Liquid
精製度
Whole antiserum
バッファー組成
Constituents: Whole serum
出荷温度
Blue Ice
短期保存期間
1-2 weeks
短期保存温度
+4°C
長期保存温度
-20°C
分注に関する情報
Upon delivery aliquot

補足情報

This supplementary information is collated from multiple sources and compiled automatically.

Apelin also known as APLN is a peptide ligand with a mass of approximately 77 amino acids. It has gained attention in scientific research due to its interaction with the G-protein coupled receptor named APJ (Apelin receptor). Apelin expresses widely in various tissues including heart lung kidney and gastrointestinal tract. This widespread expression suggests it plays roles in multiple physiological processes.
Biological function summary

Apelin acts as an important regulator of cardiovascular functions and fluid homeostasis. It modulates blood pressure and cardiac contractility indicating its role in maintaining cardiovascular health. Apelin operates independently but interacts closely with its receptor APJ forming a functional complex that initiates various intracellular signaling mechanisms. Researchers have noted its significant effects on the vascular system and potential involvement in angiogenesis.

Pathways

Apelin participates in the renin-angiotensin system and influences the nitric oxide signaling pathway. These pathways are important for maintaining vascular tone and pressure as well as for ensuring proper fluid balance in the body. Apelin's actions appear related to the angiotensin II type 1 receptor and endothelial nitric oxide synthase affecting their activity to achieve desired physiological outcomes. This involvement illustrates how apelin bridges different signaling networks to regulate homeostasis.

Apelin has connections to cardiovascular disorders and metabolic syndrome. High apelin levels have been observed in heart failure indicating its compensatory role in maintaining cardiovascular function. Additionally disruptions in apelin signaling may link to obesity-related diabetes given its effects on insulin sensitivity and energy metabolism. The interplay between apelin APJ and angiotensin II type 1 receptor highlights its potential as a therapeutic target for managing these conditions.

製品プロトコール

For this product, it's our understanding that no specific protocols are required. You can visit:

ターゲットの情報

Endogenous ligand for the apelin receptor (APLNR) (PubMed : 10525157). Drives internalization of the apelin receptor (By similarity). Apelin-36 dissociates more hardly than (pyroglu)apelin-13 from APLNR (By similarity). Hormone involved in the regulation of cardiac precursor cell movements during gastrulation and heart morphogenesis (By similarity). Has an inhibitory effect on cytokine production in response to T-cell receptor/CD3 cross-linking; the oral intake of apelin in the colostrum and the milk might therefore modulate immune responses in neonates (By similarity). Plays a role in early coronary blood vessels formation (By similarity). Mediates myocardial contractility in an ERK1/2-dependent manner (By similarity). May also have a role in the central control of body fluid homeostasis by influencing vasopressin release and drinking behavior (By similarity).. (Microbial infection) Endogenous ligand for the apelin receptor (APLNR), an alternative coreceptor with CD4 for HIV-1 infection (PubMed : 11090199). Inhibits HIV-1 entry in cells coexpressing CD4 and APLNR (PubMed : 11090199). Apelin-36 has a greater inhibitory activity on HIV infection than other synthetic apelin derivatives (PubMed : 11090199).
See full target information APLN

文献 (22)

Recent publications for all applications. Explore the full list and refine your search

Frontiers in neuroscience 18:1379658 PubMed38803685

2024

Expression of the apelin receptor, a novel potential therapeutic target, and its endogenous ligands in diverse stem cell populations in human glioblastoma.

Applications

Unspecified application

Species

Unspecified reactive species

Thomas L Williams,Peter Nwokoye,Rhoda E Kuc,Kieran Smith,Anna L Paterson,Kieren Allinson,Janet J Maguire,Anthony P Davenport

Pediatric blood & cancer 71:e30989 PubMed38602300

2024

Serum apelin as a potential biomarker for infantile hemangiomas.

Applications

Unspecified application

Species

Unspecified reactive species

Qiang Chen,Yunxuan Zhang,Sili Ni,Liuqing Yang,Jiwei Li,Xingang Yuan,Meng Chen,Jing Liu,Xiaoyan Luo,Yimin Xie,Hua Wang

Journal of clinical medicine 12: PubMed37048724

2023

Comparative Transcriptomic Analysis of Archival Human Vestibular Schwannoma Tissue from Patients with and without Tinnitus.

Applications

Unspecified application

Species

Unspecified reactive species

Krishna Bommakanti,Richard Seist,Phanidhar Kukutla,Murat Cetinbas,Shelley Batts,Ruslan I Sadreyev,Anat Stemmer-Rachamimov,Gary J Brenner,Konstantina M Stankovic

Frontiers in cell and developmental biology 9:628463 PubMed33738284

2021

Apelin Rejuvenates Aged Human Mesenchymal Stem Cells by Regulating Autophagy and Improves Cardiac Protection After Infarction.

Applications

Unspecified application

Species

Unspecified reactive species

Hao Zhang,Chengling Zhao,Guojun Jiang,Bei Hu,Huifeng Zheng,Yimei Hong,Zhen Cui,Linli Shi,Xin Li,Fang Lin,Yue Ding,Lu Wei,Mimi Li,Xiaoting Liang,Yuelin Zhang

Investigative ophthalmology & visual science 61:47 PubMed32729912

2020

The Role of Apelin/APJ in a Mouse Model of Oxygen-induced Retinopathy.

Applications

Unspecified application

Species

Unspecified reactive species

Jing Feng,Li Chen,Yanrong Jiang,Yong Tao

Neuroscience letters 728:134948 PubMed32278025

2020

Apelin protects auditory cells from cisplatin-induced toxicity in vitro by inhibiting ROS and apoptosis.

Applications

Unspecified application

Species

Unspecified reactive species

Haiyan Yin,Hui Zhang,Youhua Kong,Chunmei Wang,Yan Guo,Yang Gao,Lili Yuan,Xinxin Yang,Jing Chen

American journal of physiology. Renal physiology 318:F1122-F1135 PubMed32174138

2020

ELABELA antagonizes intrarenal renin-angiotensin system to lower blood pressure and protects against renal injury.

Applications

Unspecified application

Species

Unspecified reactive species

Chuanming Xu,Fei Wang,Yanting Chen,Shiying Xie,Danielle Sng,Bruno Reversade,Tianxin Yang

Biotechnic & histochemistry : official publication 95:27-36 PubMed31264472

2019

Tumor apelin immunoreactivity is correlated with body mass index in ovarian high grade serous carcinoma.

Applications

Unspecified application

Species

Unspecified reactive species

I Unal,I R Khiavi,G E Tasar,D Goksuluk,G Boyraz,N Ozgul,A Usubutun,S Yuruker,N D Zeybek

Thoracic cancer 10:1419-1430 PubMed31070305

2019

MicroRNA-195 suppresses the progression of lung adenocarcinoma by directly targeting apelin.

Applications

Unspecified application

Species

Unspecified reactive species

Yongchun Zhou,Ming Zhao,Yaxi Du,Yajie Liu,Guangqiang Zhao,Lianhua Ye,Quan Li,Hongsheng Li,Xiaoxiong Wang,Xin Liu,Yinjin Guo,Junxi Liu,Yunchao Huang

Disease markers 2019:4586405 PubMed30984306

2019

High Apelin Level Indicates a Poor Prognostic Factor in Muscle-Invasive Bladder Cancer.

Applications

Unspecified application

Species

Unspecified reactive species

Long Yang,Yan-Lei Li,Xiao-Qing Li,Zheng Zhang
View all publications

Abcam product promise

当社は、高品質な試薬を通じてお客様の研究を力強くサポートすることをお約束いたします。ご使用いただく各段階で、常にお客様をサポートできる体制を整えております。万が一、製品が期待通りに機能しない場合は、「Abcam Product Promise」による当社保証制度に基づき、安心してご利用いただけます。
保証に関する詳細については利用規約をご確認ください。

Please note: All products are 'FOR RESEARCH USE ONLY. NOT FOR USE IN DIAGNOSTIC OR THERAPEUTIC PROCEDURES'.

For licensing inquiries, please contact partnerships@abcam.com