JavaScript is disabled in your browser. Please enable JavaScript to view this website.
AB3707

Anti-AP-2 complex subunit alpha-1 抗体

Anti-AP-2 complex subunit alpha-1 antibody

Be the first to review this product! Submit a review

|

(0 Publication)

Goat Polyclonal AP-2 complex subunit alpha-1 antibody. Suitable for WB and reacts with Human samples. Immunogen corresponding to Synthetic Peptide within Human AP2A1 aa 1-50.

別名を表示する

ADTAA, CLAPA1, AP2A1, AP-2 complex subunit alpha-1, 100 kDa coated vesicle protein A, Adaptor protein complex AP-2 subunit alpha-1, Adaptor-related protein complex 2 subunit alpha-1, Alpha-adaptin A, Alpha1-adaptin, Clathrin assembly protein complex 2 alpha-A large chain, Plasma membrane adaptor HA2/AP2 adaptin alpha A subunit

1 Images
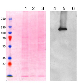
Western blot - Anti-AP-2 complex subunit alpha-1 antibody (AB3707)
  • WB

Unknown

Western blot - Anti-AP-2 complex subunit alpha-1 antibody (AB3707)

Western blot using ab3707 at 1/500.

Lane 1 : HeLa Nuclear Extract Lane 2 : HeLa Whole Cell Lysate
Lane 3 : 293 Whole Cell Lysate
Lane 4 : A431 Whole Cell Lysate
Lane 5 : Jurkat Whole Cell Lysate
Lane 6 : HeLa Nuclear Extract + blocking/immunising peptide
Lane 7 : HeLa Whole Cell Lysate + blocking/immunising peptide
Lane 8 : 293 Whole Cell Lysate + blocking/immunising peptide
Lane 9 : A431 Whole Cell Lysate + blocking/immunising peptide
Lane 10 : Jurkat Whole Cell Lysate + blocking/immunising peptide

AP2 alpha proteins (AP2A2 and AP2A1) have predicted molecular weights of 104 and 107kD. The band at just below 97kD (that is blocked by the immunising peptide) represents AP2 alpha, the lower bands are not blocked completely by the immunising peptide and are believed to be non-specific.

Secondary ab : Rabbit polyclonal to Goat IgG HRP
ab6741 (1/5000)

Exposure time : 1 minute.

All lanes:

Western blot - Anti-AP-2 complex subunit alpha-1 antibody (ab3707)

Predicted band size: 108 kDa

false

Key facts

宿主種

Goat

クローン性

Polyclonal

アイソタイプ

IgG

キャリアフリー

No

交差種

Human

アプリケーション

WB

applications

免疫原

Synthetic Peptide within Human AP2A1 aa 1-50. The exact immunogen used to generate this antibody is proprietary information.

O95782

特異性

The immunogen sequence is found in both AP2A2 and AP2A1. This antibody recognises a band of just under 100kD in multiple human cell lines (see picture), the band can be blocked with the immunising peptide.

Reactivity data

{ "title": "Reactivity Data", "filters": { "stats": ["", "Species", "Dilution Info", "Notes"], "tabs": { "all-applications": {"fullname" : "All Applications", "shortname": "All Applications"}, "WB" : {"fullname" : "Western blot", "shortname":"WB"} }, "product-promise": { "all": "all", "testedAndGuaranteed": "tested", "guaranteed": "expected", "predicted": "predicted", "notRecommended": "not-recommended" } }, "values": { "Human": { "WB-species-checked": "testedAndGuaranteed", "WB-species-dilution-info": "1/500 - 1/2000", "WB-species-notes": "<p></p>" }, "Mouse": { "WB-species-checked": "predicted", "WB-species-dilution-info": "", "WB-species-notes": "" } } }

出荷温度及び保存条件

製品の状態
Liquid
精製方法
Affinity purification Immunogen
精製に関する特記事項
This affinity purified antibody is directed against human AP2A. The product was affinity purified from antiserum by immunoaffinity purification.
バッファー組成
pH: 7.2 Preservative: 0.01% Sodium azide Constituents: 0.88% Sodium chloride, 0.424% Potassium phosphate solution
出荷温度
Blue Ice
短期保存温度
+4°C
長期保存温度
-20°C
分注に関する情報
Upon delivery aliquot
保管に関する情報
Avoid freeze / thaw cycle

補足情報

This supplementary information is collated from multiple sources and compiled automatically.

The AP-2 complex subunit alpha-1 also known as AP2A1 is a protein subunit part of the adaptor protein complex 2 (AP2) involved in clathrin-mediated endocytosis. The protein has a mass of about 105 kDa and is expressed in various tissues including the brain and lung. It mediates interactions between cargo proteins and clathrin facilitating the formation of clathrin-coated vesicles. By binding to phosphoinositides and specific motifs in the cargo proteins it regulates their sequestration into vesicles making it a central player in cellular trafficking.
Biological function summary

AP2A1 plays a critical role in vesicle-mediated transport by forming part of the AP2 complex which includes other subunits such as beta μ and sigma subunits. This complex ensures the specific and efficient endocytosis of receptor proteins and lipids influencing receptor recycling and signaling. Its participation in the AP2 complex affects cellular functions like nutrient uptake signal transduction and membrane protein turnover highlighting its functional diversity within cellular processes.

Pathways

The function of AP2A1 integrates into the clathrin-mediated endocytic pathway and the receptor-mediated endocytosis pathway. These pathways are essential for internalizing nutrients hormones and other signaling molecules. The AP2 complex collaborates with proteins such as clathrin and dynamin facilitating clathrin-coated vesicle formation and subsequent vesicle scission from the plasma membrane. The association with dynamin highlights AP2A1's role in vesicle budding and release reflecting its significance in membrane trafficking and cellular homeostasis.

AP2A1 has connections to neurological disorders and cancer. Disruptions in the clathrin-mediated endocytic functions attributed to AP2A1 anomalies can lead to neurological diseases like Alzheimer's disease due to impaired amyloid-beta precursor protein processing. Abnormal endocytic trafficking can also influence cancer progression as receptor signaling variances affect cell proliferation and survival. The interaction of AP2A1 within these pathways involves proteins such as amyloid precursor protein in Alzheimer's and various receptor tyrosine kinases in cancer underlining its pathological relevance in disease mechanisms.

製品プロトコール

For this product, it's our understanding that no specific protocols are required. You can visit:

ターゲットの情報

Component of the adaptor protein complex 2 (AP-2). Adaptor protein complexes function in protein transport via transport vesicles in different membrane traffic pathways. Adaptor protein complexes are vesicle coat components and appear to be involved in cargo selection and vesicle formation. AP-2 is involved in clathrin-dependent endocytosis in which cargo proteins are incorporated into vesicles surrounded by clathrin (clathrin-coated vesicles, CCVs) which are destined for fusion with the early endosome. The clathrin lattice serves as a mechanical scaffold but is itself unable to bind directly to membrane components. Clathrin-associated adaptor protein (AP) complexes which can bind directly to both the clathrin lattice and to the lipid and protein components of membranes are considered to be the major clathrin adaptors contributing the CCV formation. AP-2 also serves as a cargo receptor to selectively sort the membrane proteins involved in receptor-mediated endocytosis. AP-2 seems to play a role in the recycling of synaptic vesicle membranes from the presynaptic surface. AP-2 recognizes Y-X-X-[FILMV] (Y-X-X-Phi) and [ED]-X-X-X-L-[LI] endocytosis signal motifs within the cytosolic tails of transmembrane cargo molecules. AP-2 may also play a role in maintaining normal post-endocytic trafficking through the ARF6-regulated, non-clathrin pathway. During long-term potentiation in hippocampal neurons, AP-2 is responsible for the endocytosis of ADAM10 (PubMed : 23676497). The AP-2 alpha subunit binds polyphosphoinositide-containing lipids, positioning AP-2 on the membrane. The AP-2 alpha subunit acts via its C-terminal appendage domain as a scaffolding platform for endocytic accessory proteins. The AP-2 alpha and AP-2 sigma subunits are thought to contribute to the recognition of the [ED]-X-X-X-L-[LI] motif (By similarity).
See full target information AP2A1

Abcam product promise

当社は、高品質な試薬を通じてお客様の研究を力強くサポートすることをお約束いたします。ご使用いただく各段階で、常にお客様をサポートできる体制を整えております。万が一、製品が期待通りに機能しない場合は、「Abcam Product Promise」による当社保証制度に基づき、安心してご利用いただけます。
保証に関する詳細については利用規約をご確認ください。

Please note: All products are 'FOR RESEARCH USE ONLY. NOT FOR USE IN DIAGNOSTIC OR THERAPEUTIC PROCEDURES'.

For licensing inquiries, please contact partnerships@abcam.com