JavaScript is disabled in your browser. Please enable JavaScript to view this website.
AB227584

Anti-Anterior Gradient 2 抗体

Anti-Anterior Gradient 2 antibody

Be the first to review this product! Submit a review

|

(6 Publications)

Rabbit Polyclonal Anterior Gradient 2 antibody. Suitable for IP, WB, IHC-P, ICC/IF and reacts with Human, Mouse samples. Cited in 6 publications. Immunogen corresponding to Recombinant Fragment Protein within Human AGR2.

別名を表示する

AG2, UNQ515/PRO1030, AGR2, Anterior gradient protein 2 homolog, AG-2, hAG-2, HPC8, Secreted cement gland protein XAG-2 homolog

4 Images
Immunocytochemistry/ Immunofluorescence - Anti-Anterior Gradient 2 antibody (AB227584)
  • ICC/IF

Supplier Data

Immunocytochemistry/ Immunofluorescence - Anti-Anterior Gradient 2 antibody (AB227584)

MCF7 (human breast adenocarcinoma cell line) cells stained for Anterior Gradient 2 (green) using ab227584 at 1/1000 dilution in ICC/IF. Cells were fixed in 4% paraformaldehyde at RT for 15 minutes.

Blue : Hoechst 33342 staining.

Immunoprecipitation - Anti-Anterior Gradient 2 antibody (AB227584)
  • IP

Supplier Data

Immunoprecipitation - Anti-Anterior Gradient 2 antibody (AB227584)

Anterior Gradient 2 was immunoprecipitated from MCF7 (human breast adenocarcinoma cell line) whole cell extract with 5 μg ab227584. Western blot was performed from the immunoprecipitate using ab227584. Anti-Rabbit IgG was used as the secondary antibody.

Lane 1 : MCF7 whole cell extract (Input).

Lane 2 : Control IgG IP in MCF7 whole cell extract.

Lane 3 : ab227584 IP in MCF7 whole cell extract.

All lanes:

Immunoprecipitation - Anti-Anterior Gradient 2 antibody (ab227584)

Predicted band size: 19 kDa

true

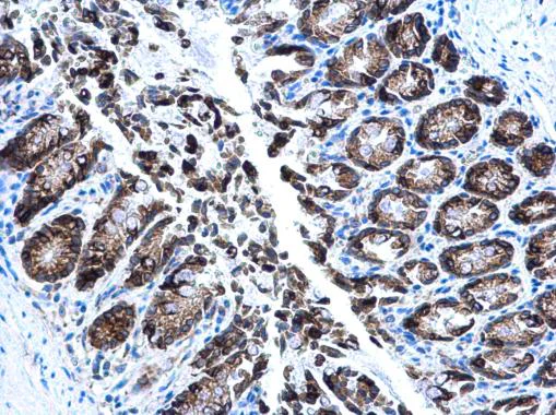
Immunohistochemistry (Formalin/PFA-fixed paraffin-embedded sections) - Anti-Anterior Gradient 2 antibody (AB227584)
  • IHC-P

Supplier Data

Immunohistochemistry (Formalin/PFA-fixed paraffin-embedded sections) - Anti-Anterior Gradient 2 antibody (AB227584)

Paraffin-embedded mouse colon tissue stained for Anterior Gradient 2 with ab227584 at 1/500 dilution in immunohistochemical analysis.

Western blot - Anti-Anterior Gradient 2 antibody (AB227584)
  • WB

Supplier Data

Western blot - Anti-Anterior Gradient 2 antibody (AB227584)

15% SDS-PAGE

All lanes:

Western blot - Anti-Anterior Gradient 2 antibody (ab227584) at 1/1000 dilution

All lanes:

MCF7 (human breast adenocarcinoma cell line) whole cell extract at 30 µg

Predicted band size: 19 kDa

true

Key facts

宿主種

Rabbit

クローン性

Polyclonal

アイソタイプ

IgG

キャリアフリー

No

交差種

Mouse, Human

アプリケーション

ICC/IF, IHC-P, WB, IP

applications

免疫原

Recombinant Fragment Protein within Human AGR2. The exact immunogen used to generate this antibody is proprietary information.

O95994

Reactivity data

{ "title": "Reactivity Data", "filters": { "stats": ["", "Species", "Dilution Info", "Notes"], "tabs": { "all-applications": {"fullname" : "All Applications", "shortname": "All Applications"}, "IP" : {"fullname" : "Immunoprecipitation", "shortname":"IP"}, "WB" : {"fullname" : "Western blot", "shortname":"WB"}, "IHCP" : {"fullname" : "Immunohistochemistry (Formalin/PFA-fixed paraffin-embedded sections)", "shortname":"IHC-P"}, "ICCIF" : {"fullname" : "Immunocytochemistry/ Immunofluorescence", "shortname":"ICC/IF"} }, "product-promise": { "all": "all", "testedAndGuaranteed": "tested", "guaranteed": "expected", "predicted": "predicted", "notRecommended": "not-recommended" } }, "values": { "Human": { "IP-species-checked": "testedAndGuaranteed", "IP-species-dilution-info": "1/100 - 1/500", "IP-species-notes": "<p></p>", "WB-species-checked": "testedAndGuaranteed", "WB-species-dilution-info": "1/500 - 1/3000", "WB-species-notes": "<p></p>", "IHCP-species-checked": "guaranteed", "IHCP-species-dilution-info": "", "IHCP-species-notes": "", "ICCIF-species-checked": "testedAndGuaranteed", "ICCIF-species-dilution-info": "1/100 - 1/1000", "ICCIF-species-notes": "<p></p>" }, "Mouse": { "IP-species-checked": "guaranteed", "IP-species-dilution-info": "", "IP-species-notes": "", "WB-species-checked": "guaranteed", "WB-species-dilution-info": "", "WB-species-notes": "", "IHCP-species-checked": "testedAndGuaranteed", "IHCP-species-dilution-info": "1/100 - 1/1000", "IHCP-species-notes": "<p></p>", "ICCIF-species-checked": "guaranteed", "ICCIF-species-dilution-info": "", "ICCIF-species-notes": "" }, "Rat": { "IP-species-checked": "predicted", "IP-species-dilution-info": "", "IP-species-notes": "", "WB-species-checked": "predicted", "WB-species-dilution-info": "", "WB-species-notes": "", "IHCP-species-checked": "predicted", "IHCP-species-dilution-info": "", "IHCP-species-notes": "", "ICCIF-species-checked": "predicted", "ICCIF-species-dilution-info": "", "ICCIF-species-notes": "" }, "Cow": { "IP-species-checked": "predicted", "IP-species-dilution-info": "", "IP-species-notes": "", "WB-species-checked": "predicted", "WB-species-dilution-info": "", "WB-species-notes": "", "IHCP-species-checked": "predicted", "IHCP-species-dilution-info": "", "IHCP-species-notes": "", "ICCIF-species-checked": "predicted", "ICCIF-species-dilution-info": "", "ICCIF-species-notes": "" }, "Pig": { "IP-species-checked": "predicted", "IP-species-dilution-info": "", "IP-species-notes": "", "WB-species-checked": "predicted", "WB-species-dilution-info": "", "WB-species-notes": "", "IHCP-species-checked": "predicted", "IHCP-species-dilution-info": "", "IHCP-species-notes": "", "ICCIF-species-checked": "predicted", "ICCIF-species-dilution-info": "", "ICCIF-species-notes": "" }, "Rhesus monkey": { "IP-species-checked": "predicted", "IP-species-dilution-info": "", "IP-species-notes": "", "WB-species-checked": "predicted", "WB-species-dilution-info": "", "WB-species-notes": "", "IHCP-species-checked": "predicted", "IHCP-species-dilution-info": "", "IHCP-species-notes": "", "ICCIF-species-checked": "predicted", "ICCIF-species-dilution-info": "", "ICCIF-species-notes": "" } } }

出荷温度及び保存条件

製品の状態
Liquid
精製方法
Affinity purification Immunogen
バッファー組成
pH: 7 Preservative: 0.025% Proclin 300 Constituents: PBS, 20% Glycerol (glycerin, glycerine)
出荷温度
Blue Ice
短期保存期間
1-2 weeks
短期保存温度
+4°C
長期保存温度
-20°C
分注に関する情報
Upon delivery aliquot
保管に関する情報
Avoid freeze / thaw cycle

補足情報

This supplementary information is collated from multiple sources and compiled automatically.

Anterior Gradient 2 (AG2) also known as AGR2 is a protein with a molecular weight of approximately 20 kDa. This protein is a member of the protein disulfide isomerase family and has an important mechanical role in facilitating protein folding within the endoplasmic reticulum. The protein exists mainly in epithelial tissues and notably in the gastrointestinal tract with high expression also found in the pancreas and lungs. AG2 is characterized by its interaction with various client proteins assisting in their proper folding and stability.
Biological function summary

The anterior gradient protein influences cellular processes such as proliferation and differentiation often playing a role in cellular adhesion and migration. This protein does not work alone but instead can form complexes with other molecules enhancing its functional capabilities. Such interactions highlight its significance in maintaining normal cell physiology and response to external stimuli.

Pathways

Anterior gradient protein participates in key signaling pathways including the Wnt signaling pathway and the unfolded protein response (UPR). Through these pathways AG2 associates with proteins like β-catenin influencing gene transcription and cellular outcomes. In the UPR its role is important in managing cellular stress and maintaining homeostasis by regulating protein folding and quality control mechanisms.

Anterior gradient protein shows strong associations with cancer particularly in tumors such as breast and lung cancer where it is often overexpressed. Its involvement links closely with proteins like MUC1 which is found in tumors suggesting a role in promoting cancer progression and metastasis. Additionally AG2 can be related to inflammatory bowel diseases where its dysregulation may result in epithelial barrier dysfunction and contribute to the pathology.

製品プロトコール

For this product, it's our understanding that no specific protocols are required. You can visit:

ターゲットの情報

Required for MUC2 post-transcriptional synthesis and secretion. May play a role in the production of mucus by intestinal cells (By similarity). Proto-oncogene that may play a role in cell migration, cell differentiation and cell growth. Promotes cell adhesion (PubMed : 23274113).
See full target information AGR2

文献 (6)

Recent publications for all applications. Explore the full list and refine your search

Animals : an open access journal from MDPI 15: PubMed40941427

2025

Histopathological and Immunohistochemical Study of Neoplastic Cell Heterogeneity in Early and Advanced Ovine Pulmonary Adenocarcinoma.

Applications

Unspecified application

Species

Unspecified reactive species

Raúl A Reséndiz-Pozos,Jose María González-Saínz,Aurora Ortín,Javier Asin,María Climent,Luis Borderías,Marcelo De Las Heras

British journal of cancer 130:1096-1108 PubMed38341509

2024

Unraveling the impact of cancer-associated fibroblasts on hypovascular pancreatic neuroendocrine tumors.

Applications

Unspecified application

Species

Unspecified reactive species

Ting-Yu Lai,Tsai-Chen Chiang,Chih-Yuan Lee,Ting-Chun Kuo,Chien-Hui Wu,Yi-Ing Chen,Chun-Mei Hu,Manjit Maskey,Shiue-Cheng Tang,Yung-Ming Jeng,Yu-Wen Tien,Eva Y-H P Lee,Wen-Hwa Lee

Translational pediatrics 11:1040-1049 PubMed35800288

2022

A paediatric dysembryoplastic neuroepithelial tumour (DNET) with deregulated stem cell markers: a case report.

Applications

Unspecified application

Species

Unspecified reactive species

Deema Hussein,Alazouf Alhowity,Rinad Algehani,Abdulla Ahmed A Salwati,Ashraf Dallol,Hans-Juergen Schulten,Saleh Baeesa,Mohammed Bangash,Fahad Alghamdi,Mohamad Saka,Adeel Chaudhary,Adel Abuzenadah

EBioMedicine 75:103769 PubMed34954656

2021

Cannabinoid control of gingival immune activation in chronically SIV-infected rhesus macaques involves modulation of the indoleamine-2,3-dioxygenase-1 pathway and salivary microbiome.

Applications

Unspecified application

Species

Unspecified reactive species

Marina McDew-White,Eunhee Lee,Xavier Alvarez,Karol Sestak,Binhua J Ling,Siddappa N Byrareddy,Chioma M Okeoma,Mahesh Mohan

Viruses 12: PubMed32630206

2020

Long Term Delta-9-tetrahydrocannabinol Administration Inhibits Proinflammatory Responses in Minor Salivary Glands of Chronically Simian Immunodeficieny Virus Infected Rhesus Macaques.

Applications

Unspecified application

Species

Unspecified reactive species

Xavier Alvarez,Karol Sestak,Siddappa N Byrareddy,Mahesh Mohan

eLife 5: PubMed27240165

2016

Secretion of protein disulphide isomerase AGR2 confers tumorigenic properties.

Applications

Unspecified application

Species

Unspecified reactive species

Delphine Fessart,Charlotte Domblides,Tony Avril,Leif A Eriksson,Hugues Begueret,Raphael Pineau,Camille Malrieux,Nathalie Dugot-Senant,Carlo Lucchesi,Eric Chevet,Frederic Delom
View all publications

Abcam product promise

当社は、高品質な試薬を通じてお客様の研究を力強くサポートすることをお約束いたします。ご使用いただく各段階で、常にお客様をサポートできる体制を整えております。万が一、製品が期待通りに機能しない場合は、「Abcam Product Promise」による当社保証制度に基づき、安心してご利用いただけます。
保証に関する詳細については利用規約をご確認ください。

Please note: All products are 'FOR RESEARCH USE ONLY. NOT FOR USE IN DIAGNOSTIC OR THERAPEUTIC PROCEDURES'.

For licensing inquiries, please contact partnerships@abcam.com