JavaScript is disabled in your browser. Please enable JavaScript to view this website.
AB88865

Anti-Annexin A1/ANXA1 抗体

Anti-Annexin A1/ANXA1 antibody

Be the first to review this product! Submit a review

|

(3 Publications)

Mouse Polyclonal Annexin A1/ANXA1 antibody. Carrier free. Suitable for WB, ICC/IF, IHC-P and reacts with Human samples. Cited in 3 publications. Immunogen corresponding to Recombinant Full Length Protein corresponding to Human ANXA1.

別名を表示する

ANX1, LPC1, ANXA1, Annexin A1, Annexin I, Annexin-1, Calpactin II, Calpactin-2, Chromobindin-9, Lipocortin I, Phospholipase A2 inhibitory protein, p35

4 Images
Immunocytochemistry/ Immunofluorescence - Anti-Annexin A1/ANXA1 antibody (AB88865)
  • ICC/IF

Unknown

Immunocytochemistry/ Immunofluorescence - Anti-Annexin A1/ANXA1 antibody (AB88865)

ab88865, at 10 μg/ml staining Annexin A1 in HeLa cells by Immunofluorescence.

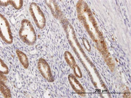
Immunohistochemistry (Formalin/PFA-fixed paraffin-embedded sections) - Anti-Annexin A1/ANXA1 antibody (AB88865)
  • IHC-P

Unknown

Immunohistochemistry (Formalin/PFA-fixed paraffin-embedded sections) - Anti-Annexin A1/ANXA1 antibody (AB88865)

ab88865, at 3 μg/ml staining Annexin A1 in formalin-fixed, paraffin-embedded human endometrium by Immunohistochemistry.

Western blot - Anti-Annexin A1/ANXA1 antibody (AB88865)
  • WB

Unknown

Western blot - Anti-Annexin A1/ANXA1 antibody (AB88865)

All lanes:

Western blot - Anti-Annexin A1/ANXA1 antibody (ab88865) at 1 µg/mL

All lanes:

human spleen tissue lysate at 50 µg

Predicted band size: 38 kDa

Observed band size: 30 kDa,35 kDa

false

Western blot - Anti-Annexin A1/ANXA1 antibody (AB88865)
  • WB

Unknown

Western blot - Anti-Annexin A1/ANXA1 antibody (AB88865)

All lanes:

Western blot - Anti-Annexin A1/ANXA1 antibody (ab88865) at 1 µg/mL

Lane 1:

Annexin A1 transfected 293T cell lysate at 25 µg

Lane 2:

Non-transfected 293T cell lysate at 25 µg

Predicted band size: 38 kDa

Observed band size: 36 kDa

false

Key facts

宿主種

Mouse

クローン性

Polyclonal

アイソタイプ

IgG

キャリアフリー

Yes

交差種

Human

アプリケーション

WB, IHC-P, ICC/IF

applications

免疫原

Recombinant Full Length Protein corresponding to Human ANXA1.

P04083

Reactivity data

{ "title": "Reactivity Data", "filters": { "stats": ["", "Species", "Dilution Info", "Notes"], "tabs": { "all-applications": {"fullname" : "All Applications", "shortname": "All Applications"}, "WB" : {"fullname" : "Western blot", "shortname":"WB"}, "ICCIF" : {"fullname" : "Immunocytochemistry/ Immunofluorescence", "shortname":"ICC/IF"}, "IHCP" : {"fullname" : "Immunohistochemistry (Formalin/PFA-fixed paraffin-embedded sections)", "shortname":"IHC-P"} }, "product-promise": { "all": "all", "testedAndGuaranteed": "tested", "guaranteed": "expected", "predicted": "predicted", "notRecommended": "not-recommended" } }, "values": { "Human": { "WB-species-checked": "testedAndGuaranteed", "WB-species-dilution-info": "1 µg/mL", "WB-species-notes": "<p></p>", "ICCIF-species-checked": "testedAndGuaranteed", "ICCIF-species-dilution-info": "10 µg/mL", "ICCIF-species-notes": "<p></p>", "IHCP-species-checked": "testedAndGuaranteed", "IHCP-species-dilution-info": "3 µg/mL", "IHCP-species-notes": "<p></p>" } } }

下記製品もご検討ください

AB214486

Anti-Annexin A1/ANXA1 antibody [EPR19342]

5
12 Reviews
製品ページを見る
こちらの製品も推奨する理由

私たちは、より高品質な製品をお届けするために、製品構成を常に改善しています。今回ご紹介する代替製品は、性能の向上、使いやすさや利便性の向上、またはより早くお届けできる点などを踏まえて選定しています。

出荷温度及び保存条件

製品の状態
Liquid
精製方法
Affinity purification Protein A
バッファー組成
pH: 7.4 Constituents: 100% PBS
出荷温度
Blue Ice
短期保存温度
+4°C
長期保存温度
-20°C
分注に関する情報
Upon delivery aliquot
保管に関する情報
Avoid freeze / thaw cycle

補足情報

This supplementary information is collated from multiple sources and compiled automatically.

Annexin A1 also known as ANXA1 or annexin 1 is a multifunctional protein with a molecular mass of approximately 37 kDa. This protein belongs to the annexin family and is distributed widely in various tissue types including the central nervous system respiratory system and immune cells. Annexin A1 functions by binding to phospholipids in a calcium-dependent manner influencing membrane-related processes and signal transduction. Its expression can be examined using techniques like annexin A1 immunohistochemistry and annexin A1 ELISA to study protein localization and concentration.
Biological function summary

Annexin A1 is involved in modulating inflammatory responses and cell proliferation. It acts as a mediator in the resolution of inflammation by promoting apoptotic cell clearance and regulating leukocyte migration. Annexin A1 participates in complex interactions often associating with cell membrane phospholipids to exert its effects. It contributes significantly to cell adhesion migration and intracellular signaling events which are important for maintaining homeostasis and proper immune function.

Pathways

Annexin A1 plays a significant role in the glucocorticoid signaling pathway and the formation of the cytoskeleton. It interacts with proteins like lipocortin 1 and phospholipase A2 impacting processes such as arachidonic acid metabolism and cytoskeletal reorganization. These interactions underline annexin A1's involvement in regulating inflammation and maintaining cellular architecture linking it to cellular processes that govern stress responses and cell movement.

Annexin A1 exhibits relevance to inflammatory diseases and cancer. It has been implicated in conditions such as asthma where it modulates inflammatory cell recruitment and activation. In cancer especially in breast cancer annexin A1 influences tumor progression by interacting with proteins like COX-2 affecting tumor cell invasion and metastasis. The protein's role in these conditions highlights its potential as both a biomarker and therapeutic target helping in understanding disease mechanisms and developing treatment strategies.

製品プロトコール

For this product, it's our understanding that no specific protocols are required. You can visit:

ターゲットの情報

Plays important roles in the innate immune response as effector of glucocorticoid-mediated responses and regulator of the inflammatory process. Has anti-inflammatory activity (PubMed : 8425544). Plays a role in glucocorticoid-mediated down-regulation of the early phase of the inflammatory response (By similarity). Contributes to the adaptive immune response by enhancing signaling cascades that are triggered by T-cell activation, regulates differentiation and proliferation of activated T-cells (PubMed : 17008549). Promotes the differentiation of T-cells into Th1 cells and negatively regulates differentiation into Th2 cells (PubMed : 17008549). Has no effect on unstimulated T cells (PubMed : 17008549). Negatively regulates hormone exocytosis via activation of the formyl peptide receptors and reorganization of the actin cytoskeleton (PubMed : 19625660). Has high affinity for Ca(2+) and can bind up to eight Ca(2+) ions (By similarity). Displays Ca(2+)-dependent binding to phospholipid membranes (PubMed : 2532504, PubMed : 8557678). Plays a role in the formation of phagocytic cups and phagosomes. Plays a role in phagocytosis by mediating the Ca(2+)-dependent interaction between phagosomes and the actin cytoskeleton (By similarity).. Annexin Ac2-26. Functions at least in part by activating the formyl peptide receptors and downstream signaling cascades (PubMed : 15187149, PubMed : 22879591, PubMed : 25664854). Promotes chemotaxis of granulocytes and monocytes via activation of the formyl peptide receptors (PubMed : 15187149). Promotes rearrangement of the actin cytoskeleton, cell polarization and cell migration (PubMed : 15187149). Promotes resolution of inflammation and wound healing (PubMed : 25664854). Acts via neutrophil N-formyl peptide receptors to enhance the release of CXCL2 (PubMed : 22879591).
See full target information ANXA1

文献 (3)

Recent publications for all applications. Explore the full list and refine your search

Cell death & disease 12:102 PubMed33473125

2021

Secreted KIAA1199 promotes the progression of rheumatoid arthritis by mediating hyaluronic acid degradation in an ANXA1-dependent manner.

Applications

Unspecified application

Species

Unspecified reactive species

Wei Zhang,Guoyu Yin,Heping Zhao,Hanzhi Ling,Zhen Xie,Chipeng Xiao,Yan Chen,Yufan Lin,Tao Jiang,Shengwei Jin,Jianguang Wang,Xinyu Yang

DNA and cell biology 39:1649-1656 PubMed32552056

2020

ANXA4 Activates JAK-STAT3 Signaling by Interacting with ANXA1 in Basal-Like Breast Cancer.

Applications

Unspecified application

Species

Unspecified reactive species

Lei Li,Rong Zhang,Ying Liu,Gong Zhang

Traffic (Copenhagen, Denmark) 13:1286-94 PubMed22679923

2012

Sarcolemmal repair is a slow process and includes EHD2.

Applications

Unspecified application

Species

Unspecified reactive species

Andreas Marg,Verena Schoewel,Tobias Timmel,Anne Schulze,Claudio Shah,Oliver Daumke,Simone Spuler
View all publications

Abcam product promise

当社は、高品質な試薬を通じてお客様の研究を力強くサポートすることをお約束いたします。ご使用いただく各段階で、常にお客様をサポートできる体制を整えております。万が一、製品が期待通りに機能しない場合は、「Abcam Product Promise」による当社保証制度に基づき、安心してご利用いただけます。
保証に関する詳細については利用規約をご確認ください。

関連製品

Select an associated product type
Alternative Product
Primary Antibodies

AB135256

Anti-Annexin A1/ANXA1 antibody [2F1]

primary-antibodies

annexin-a1-anxa1-antibody-2f1-ab135256

0

(0 reviews)

Alternative Product
Primary Antibodies

AB225511

APC Anti-Annexin A1/ANXA1 antibody [EPR19342]

primary-antibodies

apc-annexin-a1-anxa1-antibody-epr19342-ab225511

0

(0 reviews)

Alternative Product
Primary Antibodies

AB225513

Alexa Fluor® 488 Anti-Annexin A1/ANXA1 antibody [EPR19342]

primary-antibodies

alexa-fluor-488-annexin-a1-anxa1-antibody-epr19342-ab225513

0

(0 reviews)

Alternative Product
Primary Antibodies

AB222398

Anti-Annexin A1/ANXA1 antibody [EPR19342] - BSA and Azide free

primary-antibodies

annexin-a1-anxa1-antibody-epr19342-bsa-and-azide-free-ab222398

0

(0 reviews)

Alternative Product
Primary Antibodies

AB225512

PE Anti-Annexin A1/ANXA1 antibody [EPR19342]

primary-antibodies

pe-annexin-a1-anxa1-antibody-epr19342-ab225512

0

(0 reviews)

Please note: All products are 'FOR RESEARCH USE ONLY. NOT FOR USE IN DIAGNOSTIC OR THERAPEUTIC PROCEDURES'.

For licensing inquiries, please contact partnerships@abcam.com