JavaScript is disabled in your browser. Please enable JavaScript to view this website.
AB256456

Anti-Annexin-4/ANXA4 抗体 [EPR22929-208]

Anti-Annexin-4/ANXA4 antibody [EPR22929-208]

Be the first to review this product! Submit a review

|

(4 Publications)

Rabbit Recombinant Monoclonal Annexin-4/ANXA4 antibody. Suitable for IHC-P, WB, ICC/IF, IHC-Fr, Flow Cyt (Intra) and reacts with Mouse, Rat, Human samples. Cited in 4 publications.

別名を表示する

ANX4, ANXA4, Annexin A4, 35-beta calcimedin, Annexin IV, Annexin-4, Carbohydrate-binding protein p33/p41, Chromobindin-4, Endonexin I, Lipocortin IV, P32.5, PP4-X, Placental anticoagulant protein II, Protein II, PAP-II

15 Images
Immunohistochemistry (Formalin/PFA-fixed paraffin-embedded sections) - Anti-Annexin-4/ANXA4 antibody [EPR22929-208] (AB256456)
  • IHC-P

Unknown

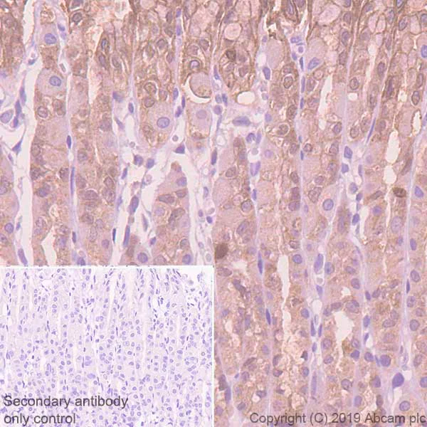
Immunohistochemistry (Formalin/PFA-fixed paraffin-embedded sections) - Anti-Annexin-4/ANXA4 antibody [EPR22929-208] (AB256456)

Immunohistochemical analysis of paraffin-embedded human endometrium tissue labeling Annexin-4/ANXA4 with ab256456 at 1/5000 dilution (0.103 μg/ml) followed by a ready to use Rabbit specific IHC polymer detection kit HRP/DAB (ab209101). Positive staining in human endometrium (PMID : 16954445) is observed. The section was incubated with ab256456 for 10 mins at RT. The immunostaining staining was performed on a Leica Biosystems BOND® RX instrument. Counterstained with hematoxylin.

Secondary antibody only control : Secondary antibody is a ready to use Rabbit specific IHC polymer detection kit HRP/DAB (ab209101).

Heat mediated antigen retrieval with citrate buffer (pH 6.0, epitope retrieval solution 1) for 20 mins.

Immunohistochemistry (Formalin/PFA-fixed paraffin-embedded sections) - Anti-Annexin-4/ANXA4 antibody [EPR22929-208] (AB256456)
  • IHC-P

Unknown

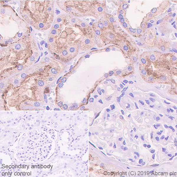
Immunohistochemistry (Formalin/PFA-fixed paraffin-embedded sections) - Anti-Annexin-4/ANXA4 antibody [EPR22929-208] (AB256456)

Immunohistochemical analysis of paraffin-embedded human kidney tissue labeling Annexin-4/ANXA4 with ab256456 at 1/5000 dilution (0.103 μg/ml) followed by a ready to use Rabbit specific IHC polymer detection kit HRP/DAB (ab209101). Positive staining in human kidney (PMID : 9720986) is observed. The section was incubated with ab256456 for 10 mins at RT. The immunostaining staining was performed on a Leica Biosystems BOND® RX instrument. Counterstained with hematoxylin.

Secondary antibody only control : Secondary antibody is a ready to use Rabbit specific IHC polymer detection kit HRP/DAB (ab209101).

Heat mediated antigen retrieval with citrate buffer (pH 6.0, epitope retrieval solution 1) for 20 mins.

Immunohistochemistry (Formalin/PFA-fixed paraffin-embedded sections) - Anti-Annexin-4/ANXA4 antibody [EPR22929-208] (AB256456)
  • IHC-P

Unknown

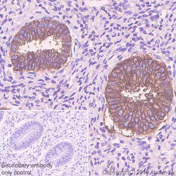
Immunohistochemistry (Formalin/PFA-fixed paraffin-embedded sections) - Anti-Annexin-4/ANXA4 antibody [EPR22929-208] (AB256456)

Immunohistochemical analysis of paraffin-embedded human pancreas tissue labeling Annexin-4/ANXA4 with ab256456 at 1/5000 dilution (0.103 μg/ml) followed by a ready to use Rabbit specific IHC polymer detection kit HRP/DAB (ab209101). Positive staining in centroacinar cells and islets of human pancreas. The section was incubated with ab256456 for 10 mins at RT. The immunostaining staining was performed on a Leica Biosystems BOND® RX instrument. Counterstained with hematoxylin.

Secondary antibody only control : Secondary antibody is a ready to use Rabbit specific IHC polymer detection kit HRP/DAB (ab209101).

Heat mediated antigen retrieval with citrate buffer (pH 6.0, epitope retrieval solution 1) for 20 mins.

Flow Cytometry (Intracellular) - Anti-Annexin-4/ANXA4 antibody [EPR22929-208] (AB256456)
  • Flow Cyt (Intra)

Unknown

Flow Cytometry (Intracellular) - Anti-Annexin-4/ANXA4 antibody [EPR22929-208] (AB256456)

Intracellular flow cytometric analysis of 4% paraformaldehyde fixed 90% methanol permeabilized HepG2 (human hepatocellular carcinoma epithelial cell) cells labelling Annexin-4/ANXA4 with ab256456 at 1/500 dilution (Red) compared with a Rabbit monoclonal IgG (ab172730) / Black isotype control and an unlabeled control (cells without incubation with primary antibody and secondary antibody) (Blue). A Goat anti rabbit IgG (Alexa Fluor® 488, ab150077) at 1/2000 dilution was used as the secondary antibody.

Immunocytochemistry/ Immunofluorescence - Anti-Annexin-4/ANXA4 antibody [EPR22929-208] (AB256456)
  • ICC/IF

Unknown

Immunocytochemistry/ Immunofluorescence - Anti-Annexin-4/ANXA4 antibody [EPR22929-208] (AB256456)

Immunofluorescent analysis of 4% Paraformaldehyde-fixed, 0.1% TritonX-100 permeabilized HepG2 (human hepatocellular carcinoma epithelial cell) cells labeling Annexin-4/ANXA4 with ab256456 at 1/100 5.2 μg/ml dilution, followed by ab150077 AlexaFluor®488 Goat anti-Rabbit secondary antibody at 1/1000 2 μg/ml dilution (Green). Confocal image showing nuclear, cytoplasmic and staining in HepG2 cell line. ab195889 Anti-alpha Tubulin antibody [DM1A] - Microtubule Marker (Alexa Fluor® 594) was used to counterstain tubulin at 1/200 dilution (Red). The nuclear counterstain was DAPI (Blue).

Secondary antibody only control : Secondary antibody is ab150077 AlexaFluor®488 Goat anti-Rabbit secondary at 1/1000 2 μg/ml dilution.

Immunohistochemistry (Frozen sections) - Anti-Annexin-4/ANXA4 antibody [EPR22929-208] (AB256456)
  • IHC-Fr

Unknown

Immunohistochemistry (Frozen sections) - Anti-Annexin-4/ANXA4 antibody [EPR22929-208] (AB256456)

Immunohistochemical analysis of frozen section of 4% PFA-fixed, 0.2% Triton X-100 permeabilized rat kidney tissue labeling Annexin-4/ANXA4 with ab256456 at 1/100 dilution, followed by ab150077 AlexaFluor®488 Goat anti-Rabbit secondary at 1/1000 dilution (green). Positive staining on rat kidney (PMID : 15145526) is observed. The nuclear counter stain is DAPI (blue).
Secondary antibody only control : Used PBS instead of primary antibody, secondary antibody is ab150077 AlexaFluor®488 Goat anti-Rabbit secondary at 1/1000 dilution.

Heat mediated antigen retrieval using sodium citrate buffer (10mM citrate pH 6.0 + 0.05% Tween-20).

Flow Cytometry (Intracellular) - Anti-Annexin-4/ANXA4 antibody [EPR22929-208] (AB256456)
  • Flow Cyt (Intra)

Unknown

Flow Cytometry (Intracellular) - Anti-Annexin-4/ANXA4 antibody [EPR22929-208] (AB256456)

Intracellular flow cytometric analysis of 4% paraformaldehyde fixed 90% methanol permeabilized NIH/3T3 (mouse embryonic fibroblast) cells labelling Annexin-4/ANXA4 with ab256456 at 1/500 dilution (Red) compared with a Rabbit monoclonal IgG (ab172730) / Black isotype control and an unlabeled control (cells without incubation with primary antibody and secondary antibody) (Blue). A Goat anti rabbit IgG (Alexa Fluor® 488, ab150077) at 1/2000 dilution was used as the secondary antibody.

Immunohistochemistry (Frozen sections) - Anti-Annexin-4/ANXA4 antibody [EPR22929-208] (AB256456)
  • IHC-Fr

Unknown

Immunohistochemistry (Frozen sections) - Anti-Annexin-4/ANXA4 antibody [EPR22929-208] (AB256456)

Immunohistochemical analysis of frozen section of 4% PFA-fixed, 0.2% Triton X-100 permeabilized mouse pancreas tissue labeling Annexin-4/ANXA4 with ab256456 at 1/100 dilution, followed by ab150077 AlexaFluor®488 Goat anti-Rabbit secondary at 1/1000 dilution (green). Positive staining on mouse pancreas (PMID : 25176043) is observed. The nuclear counter stain is DAPI (blue).
Secondary antibody only control : Used PBS instead of primary antibody, secondary antibody is ab150077 AlexaFluor®488 Goat anti-Rabbit secondary at 1/1000 dilution.

Heat mediated antigen retrieval using sodium citrate buffer (10mM citrate pH 6.0 + 0.05% Tween-20).

Immunohistochemistry (Formalin/PFA-fixed paraffin-embedded sections) - Anti-Annexin-4/ANXA4 antibody [EPR22929-208] (AB256456)
  • IHC-P

Unknown

Immunohistochemistry (Formalin/PFA-fixed paraffin-embedded sections) - Anti-Annexin-4/ANXA4 antibody [EPR22929-208] (AB256456)

Immunohistochemical analysis of paraffin-embedded rat stomach tissue labeling Annexin-4/ANXA4 with ab256456 at 1/5000 dilution (0.103 μg/ml) followed by a ready to use Rabbit specific IHC polymer detection kit HRP/DAB (ab209101). Positive staining in rat stomach. The section was incubated with ab256456 for 10 mins at RT. The immunostaining staining was performed on a Leica Biosystems BOND® RX instrument. Counterstained with hematoxylin.

Secondary antibody only control : Secondary antibody is a ready to use Rabbit specific IHC polymer detection kit HRP/DAB (ab209101).

Heat mediated antigen retrieval with citrate buffer (pH 6.0, epitope retrieval solution 1) for 20 mins.

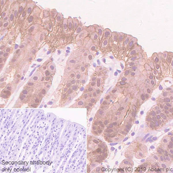
Immunohistochemistry (Formalin/PFA-fixed paraffin-embedded sections) - Anti-Annexin-4/ANXA4 antibody [EPR22929-208] (AB256456)
  • IHC-P

Unknown

Immunohistochemistry (Formalin/PFA-fixed paraffin-embedded sections) - Anti-Annexin-4/ANXA4 antibody [EPR22929-208] (AB256456)

Immunohistochemical analysis of paraffin-embedded mouse stomach tissue labeling Annexin-4/ANXA4 with ab256456 at 1/5000 dilution (0.103 μg/ml) followed by a ready to use Rabbit specific IHC polymer detection kit HRP/DAB (ab209101). Positive staining in mouse stomach. The section was incubated with ab256456 for 10 mins at RT. The immunostaining staining was performed on a Leica Biosystems BOND® RX instrument. Counterstained with hematoxylin.

Secondary antibody only control : Secondary antibody is a ready to use Rabbit specific IHC polymer detection kit HRP/DAB (ab209101).

Heat mediated antigen retrieval with citrate buffer (pH 6.0, epitope retrieval solution 1) for 20 mins.

Immunohistochemistry (Frozen sections) - Anti-Annexin-4/ANXA4 antibody [EPR22929-208] (AB256456)
  • IHC-Fr

Unknown

Immunohistochemistry (Frozen sections) - Anti-Annexin-4/ANXA4 antibody [EPR22929-208] (AB256456)

Immunohistochemical analysis of frozen section of 4% PFA-fixed, 0.2% Triton X-100 permeabilized mouse kidney tissue labeling Annexin-4/ANXA4 with ab256456 at 1/100 dilution, followed by ab150077 AlexaFluor®488 Goat anti-Rabbit secondary at 1/1000 dilution (green). Positive staining on mouse kidney (PMID : 15145526) is observed. The nuclear counter stain is DAPI (blue).
Secondary antibody only control : Used PBS instead of primary antibody, secondary antibody is ab150077 AlexaFluor®488 Goat anti-Rabbit secondary at 1/1000 dilution.

Heat mediated antigen retrieval using sodium citrate buffer (10mM citrate pH 6.0 + 0.05% Tween-20).

Immunocytochemistry/ Immunofluorescence - Anti-Annexin-4/ANXA4 antibody [EPR22929-208] (AB256456)
  • ICC/IF

Unknown

Immunocytochemistry/ Immunofluorescence - Anti-Annexin-4/ANXA4 antibody [EPR22929-208] (AB256456)

Immunofluorescent analysis of 4% Paraformaldehyde-fixed, 0.1% TritonX-100 permeabilized NIH/3T3 (mouse embryonic fibroblast) cells labeling Annexin-4/ANXA4 with ab256456 at 1/100 5.2 μg/ml dilution, followed by ab150077 AlexaFluor®488 Goat anti-Rabbit secondary antibody at 1/1000 2 μg/ml dilution (Green). Confocal image showing nuclear, cytoplasmic and staining in NIH/3T3 cell line. ab195889 Anti-alpha Tubulin antibody [DM1A] - Microtubule Marker (Alexa Fluor® 594) was used to counterstain tubulin at 1/200 dilution (Red). The nuclear counterstain was DAPI (Blue).

Secondary antibody only control : Secondary antibody is ab150077 AlexaFluor®488 Goat anti-Rabbit secondary at 1/1000 2 μg/ml dilution.

Immunohistochemistry (Frozen sections) - Anti-Annexin-4/ANXA4 antibody [EPR22929-208] (AB256456)
  • IHC-Fr

Unknown

Immunohistochemistry (Frozen sections) - Anti-Annexin-4/ANXA4 antibody [EPR22929-208] (AB256456)

Immunohistochemical analysis of frozen section of 4% PFA-fixed, 0.2% Triton X-100 permeabilized rat pancreas tissue labeling Annexin-4/ANXA4 with ab256456 at 1/100 dilution, followed by ab150077 AlexaFluor®488 Goat anti-Rabbit secondary at 1/1000 dilution (green). Positive staining on mouse pancreas (PMID : 25176043) is observed. The nuclear counter stain is DAPI (blue).
Secondary antibody only control : Used PBS instead of primary antibody, secondary antibody is ab150077 AlexaFluor®488 Goat anti-Rabbit secondary at 1/1000 dilution.

Heat mediated antigen retrieval using sodium citrate buffer (10mM citrate pH 6.0 + 0.05% Tween-20).

Western blot - Anti-Annexin-4/ANXA4 antibody [EPR22929-208] (AB256456)
  • WB

Lab

Western blot - Anti-Annexin-4/ANXA4 antibody [EPR22929-208] (AB256456)

The expression molecular weight observed is consistent with what has been described in the literature (PMID : 16893879). Blocking/Diluting buffer and concentration : 5% NFDM/TBST. Exposure Time : Lanes 1-4 : 59 seconds; Lanes 5-8 : 125 seconds; Lane 9 : 10 seconds.

All lanes:

Western blot - Anti-Annexin-4/ANXA4 antibody [EPR22929-208] (ab256456) at 1/2000 dilution

Lane 1:

Human kidney lysate at 20 µg

Lane 2:

Human liver lysate at 20 µg

Lane 3:

Human lung lysate at 20 µg

Lane 4:

HepG2 (human hepatocellular carcinoma epithelial cell) whole cell lysate at 20 µg

Lane 5:

HeLa (human cervix adenocarcinoma epithelial cell) whole cell lysate at 20 µg

Lane 6:

Mouse liver lysate at 20 µg

Lane 7:

Mouse kidney lysate at 20 µg

Lane 8:

Mouse lung lysate at 20 µg

Lane 9:

Rat kidney lysate at 20 µg

Secondary

Lanes 1 - 3:

Western blot - VeriBlot for IP Detection Reagent (HRP) (<a href='/products/reagents/veriblot-for-ip-detection-reagent-hrp-ab131366'>ab131366</a>) at 1/1000 dilution

Lanes 4 - 9:

Western blot - Goat Anti-Rabbit IgG H&L (HRP) (<a href='/products/secondary-antibodies/goat-rabbit-igg-h-l-hrp-ab97051'>ab97051</a>) at 1/100000 dilution

Predicted band size: 35 kDa

Observed band size: 31 kDa

false

Western blot - Anti-Annexin-4/ANXA4 antibody [EPR22929-208] (AB256456)
  • WB

Lab

Western blot - Anti-Annexin-4/ANXA4 antibody [EPR22929-208] (AB256456)

The expression molecular weight observed is consistent with what has been described in the literature (PMID : 16893879). Blocking/Diluting buffer and concentration : 5% NFDM/TBST. Exposure Time : 15 seconds.

All lanes:

Western blot - Anti-Annexin-4/ANXA4 antibody [EPR22929-208] (ab256456) at 1/2000 dilution

Lane 1:

C6 (rat glial tumor glial cell) whole cell lysate at 10 µg

Lane 2:

RAW 264.7 (mouse abelson murine leukemia virus-induced tumor macrophage) whole cell lysate at 10 µg

Lane 3:

PC-12 (rat adrenal gland pheochromocytoma) whole cell lysate at 10 µg

Lane 4:

NIH/3T3 (mouse embryonic fibroblast) whole cell lysate at 10 µg

Secondary

All lanes:

Western blot - Goat Anti-Rabbit IgG H&L (HRP) (<a href='/products/secondary-antibodies/goat-rabbit-igg-h-l-hrp-ab97051'>ab97051</a>) at 1/100000 dilution

Predicted band size: 35 kDa

Observed band size: 31 kDa

false

Key facts

宿主種

Rabbit

クローン性

Monoclonal

クローン番号

EPR22929-208

アイソタイプ

IgG

キャリアフリー

No

交差種

Mouse, Rat, Human

アプリケーション

IHC-P, ICC/IF, Flow Cyt (Intra), WB, IHC-Fr

applications

免疫原

The exact immunogen used to generate this antibody is proprietary information.

Reactivity data

{ "title": "Reactivity Data", "filters": { "stats": ["", "Species", "Dilution Info", "Notes"], "tabs": { "all-applications": {"fullname" : "All Applications", "shortname": "All Applications"}, "IHCP" : {"fullname" : "Immunohistochemistry (Formalin/PFA-fixed paraffin-embedded sections)", "shortname":"IHC-P"}, "IP" : {"fullname" : "Immunoprecipitation", "shortname":"IP"}, "WB" : {"fullname" : "Western blot", "shortname":"WB"}, "ICCIF" : {"fullname" : "Immunocytochemistry/ Immunofluorescence", "shortname":"ICC/IF"}, "IHCFr" : {"fullname" : "Immunohistochemistry (Frozen sections)", "shortname":"IHC-Fr"}, "FlowCytIntra" : {"fullname" : "Flow Cytometry (Intracellular)", "shortname":"Flow Cyt (Intra)"} }, "product-promise": { "all": "all", "testedAndGuaranteed": "tested", "guaranteed": "expected", "predicted": "predicted", "notRecommended": "not-recommended" } }, "values": { "Human": { "IHCP-species-checked": "testedAndGuaranteed", "IHCP-species-dilution-info": "1/5000", "IHCP-species-notes": "<p></p>", "IP-species-checked": "notRecommended", "IP-species-dilution-info": "", "IP-species-notes": "<p></p>", "WB-species-checked": "testedAndGuaranteed", "WB-species-dilution-info": "1/2000", "WB-species-notes": "<p></p>", "ICCIF-species-checked": "testedAndGuaranteed", "ICCIF-species-dilution-info": "1/100", "ICCIF-species-notes": "<p></p>", "IHCFr-species-checked": "guaranteed", "IHCFr-species-dilution-info": "", "IHCFr-species-notes": "", "FlowCytIntra-species-checked": "testedAndGuaranteed", "FlowCytIntra-species-dilution-info": "1/500", "FlowCytIntra-species-notes": "<p></p>" }, "Mouse": { "IHCP-species-checked": "testedAndGuaranteed", "IHCP-species-dilution-info": "1/5000", "IHCP-species-notes": "<p></p>", "IP-species-checked": "notRecommended", "IP-species-dilution-info": "", "IP-species-notes": "<p></p>", "WB-species-checked": "testedAndGuaranteed", "WB-species-dilution-info": "1/2000", "WB-species-notes": "<p></p>", "ICCIF-species-checked": "testedAndGuaranteed", "ICCIF-species-dilution-info": "1/100", "ICCIF-species-notes": "<p></p>", "IHCFr-species-checked": "testedAndGuaranteed", "IHCFr-species-dilution-info": "1/100", "IHCFr-species-notes": "<p>Heat mediated antigen retrieval using sodium citrate buffer (10mM citrate pH 6.0 + 0.05% Tween-20).</p>", "FlowCytIntra-species-checked": "testedAndGuaranteed", "FlowCytIntra-species-dilution-info": "1/500", "FlowCytIntra-species-notes": "<p></p>" }, "Rat": { "IHCP-species-checked": "testedAndGuaranteed", "IHCP-species-dilution-info": "1/5000", "IHCP-species-notes": "<p></p>", "IP-species-checked": "notRecommended", "IP-species-dilution-info": "", "IP-species-notes": "", "WB-species-checked": "testedAndGuaranteed", "WB-species-dilution-info": "1/2000", "WB-species-notes": "<p></p>", "ICCIF-species-checked": "guaranteed", "ICCIF-species-dilution-info": "", "ICCIF-species-notes": "", "IHCFr-species-checked": "testedAndGuaranteed", "IHCFr-species-dilution-info": "1/100", "IHCFr-species-notes": "<p>Heat mediated antigen retrieval using sodium citrate buffer (10mM citrate pH 6.0 + 0.05% Tween-20).</p>", "FlowCytIntra-species-checked": "guaranteed", "FlowCytIntra-species-dilution-info": "", "FlowCytIntra-species-notes": "" } } }

製品の詳細

Patented technology
Our RabMAb® technology is a patented hybridoma-based technology for making rabbit monoclonal antibodies. For details on our patents, please refer to RabMAb® patents.

What are the advantages of a recombinant monoclonal antibody?
This product is a recombinant monoclonal antibody, which offers several advantages including:

  • - High batch-to-batch consistency and reproducibility
  • - Improved sensitivity and specificity
  • - Long-term security of supply
  • - Animal-free batch production

For more information, read more on recombinant antibodies.

出荷温度及び保存条件

製品の状態
Liquid
精製方法
Affinity purification Protein A
バッファー組成
pH: 7.2 - 7.4 Preservative: 0.01% Sodium azide Constituents: PBS, 40% Glycerol (glycerin, glycerine), 0.05% BSA
出荷温度
Blue Ice
短期保存期間
1-2 weeks
短期保存温度
+4°C
長期保存温度
-20°C
分注に関する情報
Upon delivery aliquot
保管に関する情報
Avoid freeze / thaw cycle

補足情報

This supplementary information is collated from multiple sources and compiled automatically.

Annexin-4 also known as ANXA4 is a protein with a molecular mass of approximately 36 kDa. It belongs to the annexin family characterized by their ability to bind phospholipids in a calcium-dependent manner. Annexin-4 is widely expressed in various tissues including epithelial cells in the gastrointestinal tract kidney and placenta. This protein associates with the inner surface of the plasma membrane and plays roles in processes like vesicle trafficking and membrane dynamics.
Biological function summary

The protein functions in cellular processes involving membrane-related activities. It does not appear to be part of a larger stable complex but researchers have observed its interaction with cell membranes and involvement in membrane repair and cell signal transduction. Annexin-4 can mediate interactions between the cytoskeleton and the plasma membrane impacting cell motility and structure.

Pathways

Annexin-4 functions in the phospholipid signaling pathways particularly influencing pathways related to calcium signaling. In the calcium-dependent signaling pathway Annexin-4 regulates cellular responses by cooperating with proteins such as calmodulin and other annexins contributing to processes like cell proliferation and apoptosis.

Annexin-4 has shown associations with cancer and inflammatory diseases. Abnormal expression of Annexin-4 has been observed in certain cancer types where it may affect tumor metastasis and progression by modifying cellular adhesion and migration. Additionally its interactions with inflammation-related proteins such as interleukins suggest its involvement in inflammatory responses and disorders like inflammatory bowel disease. Researchers continue to explore its potential as a biomarker for early detection and as a target for therapeutic intervention.

製品プロトコール

For this product, it's our understanding that no specific protocols are required. You can visit:

ターゲットの情報

Calcium/phospholipid-binding protein which promotes membrane fusion and is involved in exocytosis.
See full target information ANXA4

文献 (4)

Recent publications for all applications. Explore the full list and refine your search

Cell death & disease 16:542 PubMed40691131

2025

HIF-1α alleviates ferroptosis in ulcerative colitis by regulation of GPX4.

Applications

Unspecified application

Species

Unspecified reactive species

Weitao Hu,Yanliang Cai,Daxing Cai,Zongchi Chen,Siying Huang,Su Zhang,Huie Zhuang,Taiyong Fang,Xiaoqing Chen

CNS neuroscience & therapeutics 30:e70065 PubMed39350328

2024

Comprehensive Proteomic Analysis of Dysferlinopathy Unveiling Molecular Mechanisms and Biomarkers Linked to Pathological Progression.

Applications

Unspecified application

Species

Unspecified reactive species

Di Wang,Xin-Yi Liu,Qi-Fang He,Fu-Ze Zheng,Long Chen,Ying Zheng,Ming-Hui Zeng,Yu-Hua Lin,Xin Lin,Hai-Zhu Chen,Min-Ting Lin,Ning Wang,Zhi-Qiang Wang,Feng Lin

Journal of neurodevelopmental disorders 15:6 PubMed36737720

2023

NRXN1 depletion in the medial prefrontal cortex induces anxiety-like behaviors and abnormal social phenotypes along with impaired neurite outgrowth in rat.

Applications

Unspecified application

Species

Unspecified reactive species

Di Wu,Jiansheng Zhu,Lianghui You,Jingyu Wang,Sufen Zhang,Zhonghui Liu,Qu Xu,Xiaojie Yuan,Lei Yang,Wei Wang,Meiling Tong,Qin Hong,Xia Chi

DNA and cell biology 39:1649-1656 PubMed32552056

2020

ANXA4 Activates JAK-STAT3 Signaling by Interacting with ANXA1 in Basal-Like Breast Cancer.

Applications

Unspecified application

Species

Unspecified reactive species

Lei Li,Rong Zhang,Ying Liu,Gong Zhang
View all publications

Abcam product promise

当社は、高品質な試薬を通じてお客様の研究を力強くサポートすることをお約束いたします。ご使用いただく各段階で、常にお客様をサポートできる体制を整えております。万が一、製品が期待通りに機能しない場合は、「Abcam Product Promise」による当社保証制度に基づき、安心してご利用いただけます。
保証に関する詳細については利用規約をご確認ください。

Please note: All products are 'FOR RESEARCH USE ONLY. NOT FOR USE IN DIAGNOSTIC OR THERAPEUTIC PROCEDURES'.

For licensing inquiries, please contact partnerships@abcam.com