JavaScript is disabled in your browser. Please enable JavaScript to view this website.
AB8451

Anti-Angiopoietin 1 抗体

Anti-Angiopoietin 1 antibody

4

(3 Reviews)

|

(64 Publications)

Rabbit Polyclonal Angiopoietin 1 antibody. Suitable for WB, IHC-P, ELISA, ICC/IF and reacts with Human, Mouse, Pig samples. Cited in 64 publications. Immunogen corresponding to Synthetic Peptide within Mouse Angpt1 aa 1-50.

別名を表示する

KIAA0003, ANGPT1, Angiopoietin-1, ANG-1

2 Images
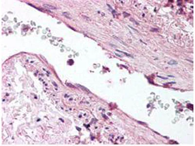
Immunohistochemistry (Formalin/PFA-fixed paraffin-embedded sections) - Anti-Angiopoietin 1 antibody (AB8451)
  • IHC-P

Supplier Data

Immunohistochemistry (Formalin/PFA-fixed paraffin-embedded sections) - Anti-Angiopoietin 1 antibody (AB8451)

ab8451 was diluted 1 : 500 to detect Angiopoietin 1 in human lung tissue. Tissue was formalin fixed and paraffin embedded. No pre-treatment of sample was required. The image shows the localization of antibody as the precipitated red signal, with a hematoxylin purple nuclear counter stain.

Western blot - Anti-Angiopoietin 1 antibody (AB8451)
  • WB

Supplier Data

Western blot - Anti-Angiopoietin 1 antibody (AB8451)

Supernatants of mouse-angiopoietin-expressing endothelial cells.

Lane 1 - wt endothelial cell
Lane 2 - mouse Ang-1 (clone 1-8) expressing cells
Lane 3 - mouse Ang-1 (clone 1-15) expressing cells
Lane 4 - mouse Ang-2 (clone 2-9) expressing cells

All lanes:

Western blot - Anti-Angiopoietin 1 antibody (ab8451)

Predicted band size: 57 kDa

false

This image is courtesy of Marion Scharpfenecker 2002

Key facts

宿主種

Rabbit

クローン性

Polyclonal

アイソタイプ

IgG

キャリアフリー

No

交差種

Mouse, Human, Pig

アプリケーション

ICC/IF, WB, ELISA, IHC-P

applications

免疫原

Synthetic Peptide within Mouse Angpt1 aa 1-50. The exact immunogen used to generate this antibody is proprietary information.

O08538

特異性

Anti-Angiopoietin 1 is directed against mouse angiopoietin-1 and shows no reactivity with mouse angiopoietin-2. This reagent cross-reacts with human angiopoietin 1. Partially cross reactivity is noted with human angiopoietin 2.

Reactivity data

{ "title": "Reactivity Data", "filters": { "stats": ["", "Species", "Dilution Info", "Notes"], "tabs": { "all-applications": {"fullname" : "All Applications", "shortname": "All Applications"}, "WB" : {"fullname" : "Western blot", "shortname":"WB"}, "IHCP" : {"fullname" : "Immunohistochemistry (Formalin/PFA-fixed paraffin-embedded sections)", "shortname":"IHC-P"}, "ELISA" : {"fullname" : "ELISA", "shortname":"ELISA"}, "ICCIF" : {"fullname" : "Immunocytochemistry/ Immunofluorescence", "shortname":"ICC/IF"} }, "product-promise": { "all": "all", "testedAndGuaranteed": "tested", "guaranteed": "expected", "predicted": "predicted", "notRecommended": "not-recommended" } }, "values": { "Human": { "WB-species-checked": "testedAndGuaranteed", "WB-species-dilution-info": "1/500 - 1/2000", "WB-species-notes": "<p>Using this antiserum with cell supernatants may result in high background due to other components in the serum. This can be alleviated by immunoprecipitating the antibody:antigen complex before detection, or precipitation using soluble Tie2. These methods result in a clean, strong signal. Both Ang-1 and Ang-2 proteins have predicted MW of 57 kDa and appear on blots close to predicted MW. Additional bands may be seen at approx. 75 kDa which represent highly glycosylated forms of the protein.</p>", "IHCP-species-checked": "testedAndGuaranteed", "IHCP-species-dilution-info": "1/200 - 1/800", "IHCP-species-notes": "<p></p>", "ELISA-species-checked": "guaranteed", "ELISA-species-dilution-info": "1/5000 - 1/25000", "ELISA-species-notes": "<p></p>", "ICCIF-species-checked": "guaranteed", "ICCIF-species-dilution-info": "", "ICCIF-species-notes": "<p></p>" }, "Mouse": { "WB-species-checked": "testedAndGuaranteed", "WB-species-dilution-info": "1/500 - 1/2000", "WB-species-notes": "<p>Using this antiserum with cell supernatants may result in high background due to other components in the serum. This can be alleviated by immunoprecipitating the antibody:antigen complex before detection, or precipitation using soluble Tie2. These methods result in a clean, strong signal. Both Ang-1 and Ang-2 proteins have predicted MW of 57 kDa and appear on blots close to predicted MW. Additional bands may be seen at approx. 75 kDa which represent highly glycosylated forms of the protein.</p>", "IHCP-species-checked": "guaranteed", "IHCP-species-dilution-info": "", "IHCP-species-notes": "", "ELISA-species-checked": "guaranteed", "ELISA-species-dilution-info": "1/5000 - 1/25000", "ELISA-species-notes": "<p></p>", "ICCIF-species-checked": "guaranteed", "ICCIF-species-dilution-info": "", "ICCIF-species-notes": "<p></p>" }, "Pig": { "WB-species-checked": "testedAndGuaranteed", "WB-species-dilution-info": "1/500 - 1/2000", "WB-species-notes": "<p>Using this antiserum with cell supernatants may result in high background due to other components in the serum. This can be alleviated by immunoprecipitating the antibody:antigen complex before detection, or precipitation using soluble Tie2. These methods result in a clean, strong signal. Both Ang-1 and Ang-2 proteins have predicted MW of 57 kDa and appear on blots close to predicted MW. Additional bands may be seen at approx. 75 kDa which represent highly glycosylated forms of the protein.</p>", "IHCP-species-checked": "guaranteed", "IHCP-species-dilution-info": "", "IHCP-species-notes": "", "ELISA-species-checked": "guaranteed", "ELISA-species-dilution-info": "1/5000 - 1/25000", "ELISA-species-notes": "<p></p>", "ICCIF-species-checked": "guaranteed", "ICCIF-species-dilution-info": "", "ICCIF-species-notes": "<p></p>" } } }

製品の詳細

Angiopoeitin-1 (Ang-1) and Antiopoietin-2 (Ang2) are important for development of the endothelium, by regulating tyrosine phosphorylation of the membrane receptor Tie-2/Tek. Ang-1 binding to Tie-2/Tek causes phosphorylation of the receptor. Ang-2 competes for this binding, and thus blocks receptor phosphorylation. Ang-1 has potential fibrinogen-like domain at the carboxy terminus and coiled-coil regions in the amino terminus. Ang-1 is prominently expressed in the myocardium of atrium and ventricle, mesenchymal and smooth muscle cells surrounding most blood vessels, and lung. In the adult, ANG-1 is also expressed in the heart and liver. To our knowledge, this is the first time that an Ang antibody recognises a band above 55 kD. This antibody (and the ang-2 antibody, ab8452) give a band at 75 kD which resembles the original size, because these are soluble highly glycosylated proteins, which should run higher than the calculated molecular weight of 55 kD.

出荷温度及び保存条件

製品の状態
Liquid
精製度
Whole antiserum
精製に関する特記事項
his product was prepared from monospecific antiserum by a delipidation and defibrination.
バッファー組成
pH: 7.2 Preservative: 0.01% Sodium azide Constituents: 98.6% Whole serum, 0.88% Sodium chloride, 0.424% Potassium phosphate solution
出荷温度
Blue Ice
短期保存温度
+4°C
長期保存温度
-20°C
分注に関する情報
Upon delivery aliquot
保管に関する情報
Avoid freeze / thaw cycle

補足情報

This supplementary information is collated from multiple sources and compiled automatically.

Angiopoietin 1 also known as Ang1 or Angpt1 is a protein important to the vascular system with a molecular mass of around 70 kDa. It is expressed widely in endothelial cells and fibroblasts. Angiopoietin 1 functions mechanically to bind the Tie2 receptor triggering signaling pathways that regulate blood vessel maturation and stability. This interaction is important for the development and maintenance of the blood vessel network.
Biological function summary

Angiopoietin 1 supports the structural integrity of blood vessels by interacting with the Tie2 receptor as part of a signaling complex. It helps prevent vascular leak and promotes endothelial cell survival migration and adhesion. By playing such roles Angiopoietin 1 is fundamental for maintaining vascular homeostasis and facilitating proper blood flow throughout the body. It also influences the immune response by modulating endothelial functions.

Pathways

Angiopoietin 1's involvement is most notable within the PI3K/AKT pathway and the MAPK pathway which are important for signaling cell survival and growth. These pathways work closely with other proteins such as VEGF (Vascular Endothelial Growth Factor) in angiogenesis and vascular remodeling. Angiopoietin 1 interacts with its related pathways to ensure that blood vessels remain functional and adaptive to physiological changes.

Angiopoietin 1 plays significant roles in cardiovascular diseases like atherosclerosis and diabetic vascular complications. Its dysregulation can lead to abnormalities in vascular maintenance and repair. There is also an association between Angiopoietin 1 and proteins like VEGF in cancer as both have roles in tumor angiogenesis. Understanding Angiopoietin 1's function could provide insights into therapeutic strategies for these conditions.

製品プロトコール

For this product, it's our understanding that no specific protocols are required. You can visit:

ターゲットの情報

Binds and activates TEK/TIE2 receptor by inducing its dimerization and tyrosine phosphorylation. Plays an important role in the regulation of angiogenesis, endothelial cell survival, proliferation, migration, adhesion and cell spreading, reorganization of the actin cytoskeleton, but also maintenance of vascular quiescence. Required for normal angiogenesis and heart development during embryogenesis. After birth, activates or inhibits angiogenesis, depending on the context. Inhibits angiogenesis and promotes vascular stability in quiescent vessels, where endothelial cells have tight contacts. In quiescent vessels, ANGPT1 oligomers recruit TEK to cell-cell contacts, forming complexes with TEK molecules from adjoining cells, and this leads to preferential activation of phosphatidylinositol 3-kinase and the AKT1 signaling cascades. In migrating endothelial cells that lack cell-cell adhesions, ANGT1 recruits TEK to contacts with the extracellular matrix, leading to the formation of focal adhesion complexes, activation of PTK2/FAK and of the downstream kinases MAPK1/ERK2 and MAPK3/ERK1, and ultimately to the stimulation of sprouting angiogenesis. Mediates blood vessel maturation/stability. Implicated in endothelial developmental processes later and distinct from that of VEGF. Appears to play a crucial role in mediating reciprocal interactions between the endothelium and surrounding matrix and mesenchyme.
See full target information ANGPT1

文献 (64)

Recent publications for all applications. Explore the full list and refine your search

Scientific reports 15:20513 PubMed40593993

2025

Photobiomodulation therapy for diabetic erectile dysfunction targeting neuroinflammation and neurovascular regeneration.

Applications

Unspecified application

Species

Unspecified reactive species

Limanjaya Anita,Min-Ji Choi,Guo Nan Yin,JiYeon Ock,Mi-Hye Kwon,Soon-Sun Hong,Ju-Hee Kang,Jun-Kyu Suh,Ji-Kan Ryu

Cancer cell international 24:158 PubMed38711062

2024

Flavokawain C inhibits glucose metabolism and tumor angiogenesis in nasopharyngeal carcinoma by targeting the HSP90B1/STAT3/HK2 signaling axis.

Applications

Unspecified application

Species

Unspecified reactive species

YuQiang Hu,ChenJie Yu,LiangJun Cheng,Chang Zhong,Jun An,MingZhen Zou,Bing Liu,Xia Gao

Biomedicines 11: PubMed37626761

2023

Characterization of the Ang/Tie2 Signaling Pathway in the Diaphragm Muscle of DMD Mice.

Applications

Unspecified application

Species

Unspecified reactive species

Yiming Lin,Andrew McClennan,Lisa Hoffman

Experimental biology and medicine (Maywood, N.J.) 248:732-745 PubMed37354086

2023

Epicatechin gallate promotes vascularization in co-culture of human osteoblasts and outgrowth endothelial cells.

Applications

Unspecified application

Species

Unspecified reactive species

Liyan Zhang,Miaoran Wang,Huiqing Qiu,Yusen Wei,Lu Zhou,Nannan Nian,Zhongli Shi,Dailun Hu,Bin Ma

Molecules (Basel, Switzerland) 28: PubMed37049657

2023

Utilizing Contrast-Enhanced Ultrasonography with Phosphatidylserine Microbubbles to Detect Placental Inflammation in Rhesus Macaques.

Applications

Unspecified application

Species

Unspecified reactive species

Rachel C Wilson,Jamie O Lo,Gabriel Romero Jimenez,Jonathan R Lindner,Ov D Slayden,Victoria H J Roberts

PeerJ 11:e14562 PubMed36846460

2023

Effects of swimming before and during pregnancy on placental angiogenesis and perinatal outcome in high-fat diet-fed mice.

Applications

Unspecified application

Species

Unspecified reactive species

Xiaofeng Zhu,Weiwei Chen,Haitang Wang

Frontiers in molecular biosciences 9:1050112 PubMed36504711

2022

Endothelial-mesenchymal transition induced by metastatic 4T1 breast cancer cells in pulmonary endothelium in aged mice.

Applications

Unspecified application

Species

Unspecified reactive species

Marta Smeda,Agnieszka Jasztal,Ebrahim H Maleki,Anna Bar,Magdalena Sternak,Grzegorz Kwiatkowski,Joanna Suraj-Prażmowska,Bartosz Proniewski,Anna Kieronska-Rudek,Kamila Wojnar-Lason,Klaudia Skrzypek,Marcin Majka,Karolina Chrabaszcz,Kamilla Malek,Stefan Chlopicki

Journal of cell communication and signaling 17:609-626 PubMed36326988

2022

Quinacrine and Curcumin in combination decreased the breast cancer angiogenesis by modulating ABCG2 via VEGF A.

Applications

Unspecified application

Species

Unspecified reactive species

Deepika Nayak,Subarno Paul,Chinmay Das,Subhasmita Bhal,Chanakya Nath Kundu

Frontiers in medicine 9:869284 PubMed35935760

2022

Intrarenal Single-Cell Sequencing of Hepatitis B Virus Associated Membranous Nephropathy.

Applications

Unspecified application

Species

Unspecified reactive species

Leilin Yu,Wei Lin,Chanjuan Shen,Ting Meng,Peng Jin,Xiang Ding,Peter J Eggenhuizen,Joshua D Ooi,Rong Tang,Wannian Nie,Xia Li,Xiangcheng Xiao,Yong Zhong

Nephrology, dialysis, transplantation : official publication of the European Dialysis and Transplant Association - European Renal Association 37:1844-1856 PubMed35451482

2022

Microvascular remodeling and altered angiogenic signaling in human kidneys distal to occlusive atherosclerotic renal artery stenosis.

Applications

Unspecified application

Species

Unspecified reactive species

Nattawat Klomjit,Xiang-Yang Zhu,Alfonso Eirin,Aditya S Pawar,Sabena M Conley,Amrutesh S Puranik,Christopher M Ferguson,Seo Rin Kim,Hui Tang,Kyra L Jordan,Ishran M Saadiq,Amir Lerman,Joseph P Grande,Stephen C Textor,Lilach O Lerman
View all publications

Abcam product promise

当社は、高品質な試薬を通じてお客様の研究を力強くサポートすることをお約束いたします。ご使用いただく各段階で、常にお客様をサポートできる体制を整えております。万が一、製品が期待通りに機能しない場合は、「Abcam Product Promise」による当社保証制度に基づき、安心してご利用いただけます。
保証に関する詳細については利用規約をご確認ください。

Please note: All products are 'FOR RESEARCH USE ONLY. NOT FOR USE IN DIAGNOSTIC OR THERAPEUTIC PROCEDURES'.

For licensing inquiries, please contact partnerships@abcam.com