JavaScript is disabled in your browser. Please enable JavaScript to view this website.
AB32382

Anti-AMPK gamma 1 抗体 [Y307]

Anti-AMPK gamma 1 antibody [Y307]

5

(1 Review)

|

(5 Publications)

Rabbit Recombinant Monoclonal AMPK gamma 1 antibody. Suitable for IHC-P, WB and reacts with Human samples. Cited in 5 publications.

別名を表示する

5'-AMP-activated protein kinase subunit gamma-1, AMPK gamma1, AMPK subunit gamma-1, AMPKg, PRKAG1

4 Images
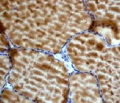
Immunohistochemistry (Formalin/PFA-fixed paraffin-embedded sections) - Anti-AMPK gamma 1 antibody [Y307] (AB32382)
  • IHC-P

Unknown

Immunohistochemistry (Formalin/PFA-fixed paraffin-embedded sections) - Anti-AMPK gamma 1 antibody [Y307] (AB32382)

This image shows paraffin embedded human skeletal muscle stained with 1/250 ab23282.

Perform heat mediated antigen retrieval with citrate buffer pH 6 before commencing with IHC staining protocol.

Western blot - Anti-AMPK gamma 1 antibody [Y307] (AB32382)
  • WB

Unknown

Western blot - Anti-AMPK gamma 1 antibody [Y307] (AB32382)

All lanes:

Western blot - Anti-AMPK gamma 1 antibody [Y307] (ab32382) at 1/2000 dilution

Lane 1:

Jurkat cell lysate

Lane 2:

HeLa cell lysate

Predicted band size: 38 kDa

Observed band size: 37 kDa

false

Western blot - Anti-AMPK gamma 1 antibody [Y307] (AB32382)
  • WB

Lab

Western blot - Anti-AMPK gamma 1 antibody [Y307] (AB32382)

Lanes 1 - 3 : Merged signal (red and green). Green - ab32382 observed at 38 kDa. Red - loading control, Mouse anti Vinculin, observed at 125 kDa.

ab32382 was shown to recognize AMPK gamma 1 in wild-type HAP1 cells as signal was lost at the expected MW in PRKAG1 (AMPK gamma 1) knockout cells. Additional cross-reactive bands were observed in the wild-type and knockout cells. Wild-type and PRKAG1 (AMPK gamma 1) knockout samples were subjected to SDS-PAGE. ab32382 and Mouse anti-Vinculin (ab9484 loading control) were incubated overnight at 4°C at 1/1000 dilution and 1/20000 dilution respectively. Blots were developed with Goat anti-Rabbit IgG H&L (IRDye® 800CW) preabsorbed ab216773 and Goat anti-Mouse IgG H&L (IRDye® 680RD) preabsorbed ab216776 secondary antibodies at 1/20000 dilution for 1 hour at room temperature before imaging.

All lanes:

Western blot - Anti-AMPK gamma 1 antibody [Y307] (ab32382) at 1/1000 dilution

Lane 1:

Wild-type HAP1 whole cell lysate at 20 µg

Lane 2:

PRKAG1 (AMPK gamma 1) knockout HAP1 whole cell lysate at 20 µg

Lane 3:

HeLa whole cell lysate at 20 µg

Predicted band size: 38 kDa

false

Western blot - Anti-AMPK gamma 1 antibody [Y307] (AB32382)
  • WB

AbReview17601****

Western blot - Anti-AMPK gamma 1 antibody [Y307] (AB32382)

All lanes:

Western blot - Anti-AMPK gamma 1 antibody [Y307] (ab32382) at 1/2000 dilution

Lane 1:

HeLa whole cell lystate - Control Si

Lane 2:

HeLa whole cell lystate - treated with AMPK gamma 1 siRNA A for 36 hours

Lane 3:

HeLa whole cell lystate - treated with AMPK gamma 1 siRNA B for 36 hours

Secondary

All lanes:

HRP-conjugated Donkey polyclonal to rabbit IgG at 1/3000 dilution

Predicted band size: 38 kDa

false

This image is courtesy of an anonymous Abreview

関連する標識済み抗体及び組成の異なる製品 (2)

Key facts

宿主種

Rabbit

クローン性

Monoclonal

クローン番号

Y307

アイソタイプ

IgG

キャリアフリー

No

交差種

Human

アプリケーション

WB, IHC-P

applications

免疫原

The exact immunogen used to generate this antibody is proprietary information.

エピトープ

ab32382 reacts with an epitope located in the N terminal region of AMPK gamma 1.

Reactivity data

{ "title": "Reactivity Data", "filters": { "stats": ["", "Species", "Dilution Info", "Notes"], "tabs": { "all-applications": {"fullname" : "All Applications", "shortname": "All Applications"}, "IHCP" : {"fullname" : "Immunohistochemistry (Formalin/PFA-fixed paraffin-embedded sections)", "shortname":"IHC-P"}, "WB" : {"fullname" : "Western blot", "shortname":"WB"} }, "product-promise": { "all": "all", "testedAndGuaranteed": "tested", "guaranteed": "expected", "predicted": "predicted", "notRecommended": "not-recommended" } }, "values": { "Human": { "IHCP-species-checked": "testedAndGuaranteed", "IHCP-species-dilution-info": "", "IHCP-species-notes": "<p></p>", "WB-species-checked": "testedAndGuaranteed", "WB-species-dilution-info": "1/1000 - 1/2000", "WB-species-notes": "<p></p>" } } }

製品の詳細

Species reactivity
Mouse, Rat: We have preliminary internal testing data to indicate this antibody may not react with these species.
Please contact us for more information.

Patented technology
Our RabMAb® technology is a patented hybridoma-based technology for making rabbit monoclonal antibodies. For details on our patents, please refer to RabMAb® patents.

What are the advantages of a recombinant monoclonal antibody?
This product is a recombinant monoclonal antibody, which offers several advantages including:

  • - High batch-to-batch consistency and reproducibility
  • - Improved sensitivity and specificity
  • - Long-term security of supply
  • - Animal-free batch production

For more information, read more on recombinant antibodies.

出荷温度及び保存条件

製品の状態
Liquid
精製方法
Affinity purification Protein A
バッファー組成
pH: 7.2 - 7.4 Preservative: 0.01% Sodium azide Constituents: PBS, 50% Glycerol (glycerin, glycerine), 0.05% BSA
出荷温度
Blue Ice
短期保存温度
+4°C
長期保存温度
-20°C
分注に関する情報
Upon delivery aliquot
保管に関する情報
Avoid freeze / thaw cycle

製品プロトコール

For this product, it's our understanding that no specific protocols are required. You can visit:

ターゲットの情報

AMP/ATP-binding subunit of AMP-activated protein kinase (AMPK), an energy sensor protein kinase that plays a key role in regulating cellular energy metabolism (PubMed : 21680840, PubMed : 24563466). In response to reduction of intracellular ATP levels, AMPK activates energy-producing pathways and inhibits energy-consuming processes : inhibits protein, carbohydrate and lipid biosynthesis, as well as cell growth and proliferation (PubMed : 21680840, PubMed : 24563466). AMPK acts via direct phosphorylation of metabolic enzymes, and by longer-term effects via phosphorylation of transcription regulators (PubMed : 21680840, PubMed : 24563466). Also acts as a regulator of cellular polarity by remodeling the actin cytoskeleton; probably by indirectly activating myosin (PubMed : 21680840, PubMed : 24563466). Gamma non-catalytic subunit mediates binding to AMP, ADP and ATP, leading to activate or inhibit AMPK : AMP-binding results in allosteric activation of alpha catalytic subunit (PRKAA1 or PRKAA2) both by inducing phosphorylation and preventing dephosphorylation of catalytic subunits (PubMed : 21680840, PubMed : 24563466). ADP also stimulates phosphorylation, without stimulating already phosphorylated catalytic subunit (PubMed : 21680840, PubMed : 24563466). ATP promotes dephosphorylation of catalytic subunit, rendering the AMPK enzyme inactive (PubMed : 21680840, PubMed : 24563466).
See full target information PRKAG1

文献 (5)

Recent publications for all applications. Explore the full list and refine your search

Cell death discovery 9:16 PubMed36681672

2023

Resveratrol protects osteocytes against oxidative stress in ovariectomized rats through AMPK/JNK1-dependent pathway leading to promotion of autophagy and inhibition of apoptosis.

Applications

Unspecified application

Species

Unspecified reactive species

Liwei Wei,Shuang Chai,Chen Yue,Hong Zhang,Jitian Li,Na Qin

Autophagy 16:1871-1888 PubMed31983282

2020

DNA-dependent protein kinase regulates lysosomal AMP-dependent protein kinase activation and autophagy.

Applications

Unspecified application

Species

Unspecified reactive species

Pietri Puustinen,Anne Keldsbo,Elisabeth Corcelle-Termeau,Kevin Ngoei,Stine L Sønder,Thomas Farkas,Klaus Kaae Andersen,Jon S Oakhill,Marja Jäättelä

PloS one 11:e0166740 PubMed27851811

2016

Atorvastatin Alleviates Experimental Diabetic Cardiomyopathy by Regulating the GSK-3β-PP2Ac-NF-κB Signaling Axis.

Applications

Unspecified application

Species

Unspecified reactive species

Xiao-Min Ren,Guang-Feng Zuo,Wen Wu,Jie Luo,Peng Ye,Shao-Liang Chen,Zuo-Ying Hu

Proceedings of the National Academy of Sciences of 112:E7276-85 PubMed26655341

2015

Antifungal drug itraconazole targets VDAC1 to modulate the AMPK/mTOR signaling axis in endothelial cells.

Applications

Unspecified application

Species

Unspecified reactive species

Sarah A Head,Wei Shi,Liang Zhao,Kirill Gorshkov,Kalyan Pasunooti,Yue Chen,Zhiyou Deng,Ruo-jing Li,Joong Sup Shim,Wenzhi Tan,Thomas Hartung,Jin Zhang,Yingming Zhao,Marco Colombini,Jun O Liu

International journal of cancer 135:2046-53 PubMed24676687

2014

Inactivation of protein-phosphatase 2A causing hyperphosphorylation of autoantigenic paraprotein targets in MGUS/MM is due to an exchange of its regulatory subunits.

Applications

Unspecified application

Species

Unspecified reactive species

Klaus-Dieter Preuss,Natalie Fadle,Evi Regitz,Gerhard Held,Michael Pfreundschuh
View all publications

Abcam product promise

当社は、高品質な試薬を通じてお客様の研究を力強くサポートすることをお約束いたします。ご使用いただく各段階で、常にお客様をサポートできる体制を整えております。万が一、製品が期待通りに機能しない場合は、「Abcam Product Promise」による当社保証制度に基づき、安心してご利用いただけます。
保証に関する詳細については利用規約をご確認ください。

Please note: All products are 'FOR RESEARCH USE ONLY. NOT FOR USE IN DIAGNOSTIC OR THERAPEUTIC PROCEDURES'.

For licensing inquiries, please contact partnerships@abcam.com