JavaScript is disabled in your browser. Please enable JavaScript to view this website.
AB207168

Anti-AMCase 抗体 [EPR19985]

Anti-AMCase antibody [EPR19985]

Be the first to review this product! Submit a review

|

(1 Publication)

Rabbit Recombinant Monoclonal AMCase antibody. Suitable for WB, IHC-Fr, IHC-P and reacts with Mouse, Rat samples. Cited in 1 publication.

別名を表示する

Acidic mammalian chitinase, AMCase, Lung-specific protein TSA1902, CHIA

8 Images
Immunohistochemistry (Formalin/PFA-fixed paraffin-embedded sections) - Anti-AMCase antibody [EPR19985] (AB207168)
  • IHC-P

Supplier Data

Immunohistochemistry (Formalin/PFA-fixed paraffin-embedded sections) - Anti-AMCase antibody [EPR19985] (AB207168)

Immunohistochemical analysis of paraffin-embedded rat stomach tissue labeling AMCase with ab207168 at 1/2000 dilution followed by Goat Anti-Rabbit IgG H&L (HRP) (ab97051) at 1/500 dilution. Positive staining on chief cells of rat gastric glands is observed [PMID : 12971947]. Counter stained with Hematoxylin.

Secondary antibody only control : Used PBS instead of primary antibody secondary antibody is Goat Anti-Rabbit IgG H&L (HRP) (ab97051) at 1/500 dilution.

Perform heat mediated antigen retrieval with Tris/EDTA buffer pH 9.0 before commencing with IHC staining protocol.

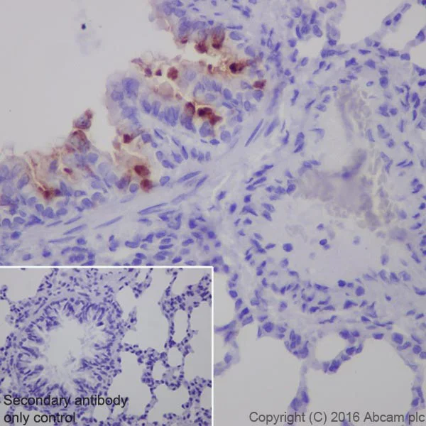
Immunohistochemistry (Formalin/PFA-fixed paraffin-embedded sections) - Anti-AMCase antibody [EPR19985] (AB207168)
  • IHC-P

Supplier Data

Immunohistochemistry (Formalin/PFA-fixed paraffin-embedded sections) - Anti-AMCase antibody [EPR19985] (AB207168)

Immunohistochemical analysis of paraffin-embedded rat lung tissue labeling AMCase with ab207168 at 1/2000 dilution followed by Goat Anti-Rabbit IgG H&L (HRP) (ab97051) at 1/500 dilution. Positive staining on airway epithelial cells of rat lung is observed [PMID : 16556727]. Counter stained with Hematoxylin.

Secondary antibody only control : Used PBS instead of primary antibody secondary antibody is Goat Anti-Rabbit IgG H&L (HRP) (ab97051) at 1/500 dilution.

Perform heat mediated antigen retrieval with Tris/EDTA buffer pH 9.0 before commencing with IHC staining protocol.

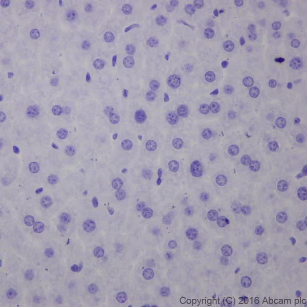
Immunohistochemistry (Formalin/PFA-fixed paraffin-embedded sections) - Anti-AMCase antibody [EPR19985] (AB207168)
  • IHC-P

Supplier Data

Immunohistochemistry (Formalin/PFA-fixed paraffin-embedded sections) - Anti-AMCase antibody [EPR19985] (AB207168)

Immunohistochemical analysis of paraffin-embedded Mouse liver tissue labeling AMCase with ab207168 at 1/2000 dilution followed by Goat Anti-Rabbit IgG H&L (HRP) (ab97051) at 1/500 dilution.

Negative control : no staining on mouse liver [PMID : 15923370].

Counter stained with Hematoxylin.

Perform heat mediated antigen retrieval with Tris/EDTA buffer pH 9.0 before commencing with IHC staining protocol.

Immunohistochemistry (Formalin/PFA-fixed paraffin-embedded sections) - Anti-AMCase antibody [EPR19985] (AB207168)
  • IHC-P

Supplier Data

Immunohistochemistry (Formalin/PFA-fixed paraffin-embedded sections) - Anti-AMCase antibody [EPR19985] (AB207168)

Immunohistochemical analysis of paraffin-embedded Mouse stomach tissue labeling AMCase with ab207168 at 1/2000 dilution followed by Goat Anti-Rabbit IgG H&L (HRP) (ab97051) at 1/500 dilution. Positive staining on chief cells of mouse gastric glands is observed [PMID : 12971947]. Counter stained with Hematoxylin.

Secondary antibody only control : Used PBS instead of primary antibody secondary antibody is Goat Anti-Rabbit IgG H&L (HRP) (ab97051) at 1/500 dilution.

Perform heat mediated antigen retrieval with Tris/EDTA buffer pH 9.0 before commencing with IHC staining protocol.

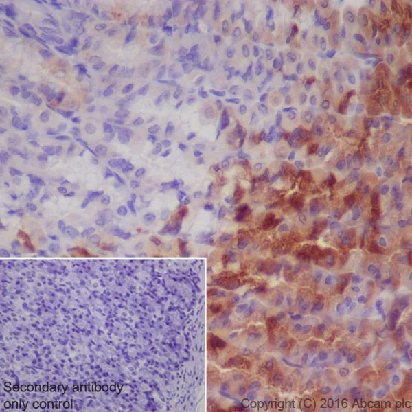
Immunohistochemistry (Formalin/PFA-fixed paraffin-embedded sections) - Anti-AMCase antibody [EPR19985] (AB207168)
  • IHC-P

Supplier Data

Immunohistochemistry (Formalin/PFA-fixed paraffin-embedded sections) - Anti-AMCase antibody [EPR19985] (AB207168)

Immunohistochemical analysis of paraffin-embedded Mouse lung tissue labeling AMCase with ab207168 at 1/2000 dilution followed by Goat Anti-Rabbit IgG H&L (HRP) (ab97051) at 1/500 dilution. Positive staining on alveolar and airway epithelial cells of mouse lung is observed [PMID : 16556727]. Counter stained with Hematoxylin.

Secondary antibody only control : Used PBS instead of primary antibody secondary antibody is Goat Anti-Rabbit IgG H&L (HRP) (ab97051) at 1/500 dilution.

Perform heat mediated antigen retrieval with Tris/EDTA buffer pH 9.0 before commencing with IHC staining protocol.

Immunohistochemistry (Frozen sections) - Anti-AMCase antibody [EPR19985] (AB207168)
  • IHC-Fr

Supplier Data

Immunohistochemistry (Frozen sections) - Anti-AMCase antibody [EPR19985] (AB207168)

Immunohistochemical analysis of 4% paraformaldehyde-fixed 0.2% Triton X-100 permeabilized frozen Mouse stomach tissue labeling AMCase with ab207168 at 1/100 dilution followed by Goat anti-rabbit IgG (Alexa Fluor® 488) (ab150077) secondary antibody at 1/1000 dilution (green). Cytoplasm staining on chief cells of mouse gastric glands is observed [PMID : 12971947]. The nuclear counterstain is DAPI (blue).

Secondary antibody only control : Used PBS instead of primary antibody secondary antibody is Goat anti-rabbit IgG (Alexa Fluor® 488) (ab150077) secondary antibody at 1/1000 dilution.

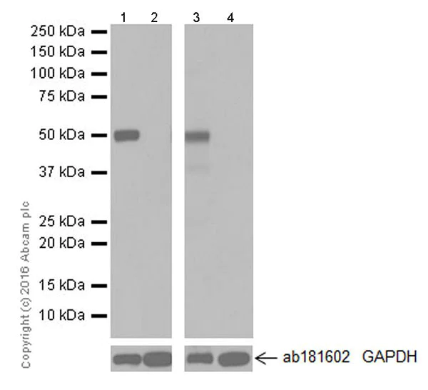
Western blot - Anti-AMCase antibody [EPR19985] (AB207168)
  • WB

Supplier Data

Western blot - Anti-AMCase antibody [EPR19985] (AB207168)

Blocking/Dilution buffer : 5% NFDM/TBST.

Exposure time : Lane 1/2 : 3 minutes; Lane 3/4 : 1 second.

CHIA mRNA is predominantly found in stomach, but not found in liver.

PMID : 11085997

PMID : 12971947

Negative control : Mouse liver, Rat liver.

All lanes:

Western blot - Anti-AMCase antibody [EPR19985] (ab207168) at 1/1000 dilution

Lane 1:

Rat stomach lysate at 20 µg

Lane 2:

Rat liver lysate at 20 µg

Lane 3:

Mouse stomach lysate at 20 µg

Lane 4:

Mouse liver lysate at 20 µg

Secondary

All lanes:

Western blot - Goat Anti-Rabbit IgG H&L (HRP) (<a href='/products/secondary-antibodies/goat-rabbit-igg-h-l-hrp-ab97051'>ab97051</a>) at 1/100000 dilution

Predicted band size: 52 kDa

Observed band size: 50 kDa

false

Western blot - Anti-AMCase antibody [EPR19985] (AB207168)
  • WB

Supplier Data

Western blot - Anti-AMCase antibody [EPR19985] (AB207168)

Blocking/Dilution buffer : 5% NFDM/TBST.

CHIA mRNA is predominantly found in salivary gland.

PMID : 11085997

PMID : 12971947

All lanes:

Western blot - Anti-AMCase antibody [EPR19985] (ab207168) at 1/1000 dilution

All lanes:

Mouse salivary gland lysate at 20 µg

Secondary

All lanes:

Western blot - Goat Anti-Rabbit IgG H&L (HRP) (<a href='/products/secondary-antibodies/goat-rabbit-igg-h-l-hrp-ab97051'>ab97051</a>) at 1/100000 dilution

Predicted band size: 52 kDa

Observed band size: 50 kDa

false

Exposure time: 1s

関連する標識済み抗体及び組成の異なる製品 (1)

  • Carrier free

    Anti-AMCase antibody [EPR19985] - BSA and Azide free

Key facts

宿主種

Rabbit

クローン性

Monoclonal

クローン番号

EPR19985

アイソタイプ

IgG

キャリアフリー

No

交差種

Mouse, Rat

アプリケーション

IHC-Fr, WB, IHC-P

applications

免疫原

The exact immunogen used to generate this antibody is proprietary information.

Reactivity data

{ "title": "Reactivity Data", "filters": { "stats": ["", "Species", "Dilution Info", "Notes"], "tabs": { "all-applications": {"fullname" : "All Applications", "shortname": "All Applications"}, "WB" : {"fullname" : "Western blot", "shortname":"WB"}, "IHCFr" : {"fullname" : "Immunohistochemistry (Frozen sections)", "shortname":"IHC-Fr"}, "IHCP" : {"fullname" : "Immunohistochemistry (Formalin/PFA-fixed paraffin-embedded sections)", "shortname":"IHC-P"} }, "product-promise": { "all": "all", "testedAndGuaranteed": "tested", "guaranteed": "expected", "predicted": "predicted", "notRecommended": "not-recommended" } }, "values": { "Mouse": { "WB-species-checked": "testedAndGuaranteed", "WB-species-dilution-info": "1/1000", "WB-species-notes": "<p></p>", "IHCFr-species-checked": "testedAndGuaranteed", "IHCFr-species-dilution-info": "1/100", "IHCFr-species-notes": "<p>Antigen retrieval: Heated citrate solution (10mM citrate PH 6.0 + 0.05% Tween-20).</p>", "IHCP-species-checked": "testedAndGuaranteed", "IHCP-species-dilution-info": "1/2000", "IHCP-species-notes": "<p></p>" }, "Rat": { "WB-species-checked": "testedAndGuaranteed", "WB-species-dilution-info": "1/1000", "WB-species-notes": "<p></p>", "IHCFr-species-checked": "guaranteed", "IHCFr-species-dilution-info": "", "IHCFr-species-notes": "", "IHCP-species-checked": "testedAndGuaranteed", "IHCP-species-dilution-info": "1/2000", "IHCP-species-notes": "<p></p>" } } }

製品の詳細

Patented technology
Our RabMAb® technology is a patented hybridoma-based technology for making rabbit monoclonal antibodies. For details on our patents, please refer to RabMAb® patents.

What are the advantages of a recombinant monoclonal antibody?
This product is a recombinant monoclonal antibody, which offers several advantages including:

  • - High batch-to-batch consistency and reproducibility
  • - Improved sensitivity and specificity
  • - Long-term security of supply
  • - Animal-free batch production

For more information, read more on recombinant antibodies.

出荷温度及び保存条件

製品の状態
Liquid
精製方法
Affinity purification Protein A
バッファー組成
pH: 7.2 - 7.4 Preservative: 0.01% Sodium azide Constituents: PBS, 40% Glycerol (glycerin, glycerine), 0.05% BSA
出荷温度
Blue Ice
短期保存期間
1-2 weeks
短期保存温度
+4°C
長期保存温度
-20°C
分注に関する情報
Upon delivery aliquot
保管に関する情報
Avoid freeze / thaw cycle

製品プロトコール

For this product, it's our understanding that no specific protocols are required. You can visit:

ターゲットの情報

Degrades chitin and chitotriose. May participate in the defense against nematodes, fungi and other pathogens. Plays a role in T-helper cell type 2 (Th2) immune response. Contributes to the response to IL-13 and inflammation in response to IL-13. Stimulates chemokine production by pulmonary epithelial cells. Protects lung epithelial cells against apoptosis and promotes phosphorylation of AKT1. Its function in the inflammatory response and in protecting cells against apoptosis is inhibited by allosamidin, suggesting that the function of this protein depends on carbohydrate binding.
See full target information CHIA

文献 (1)

Recent publications for all applications. Explore the full list and refine your search

Cell reports. Medicine 6:102319 PubMed40882623

2025

Selenized neural stem cell-derived exosomes: A neotype therapeutic agent for traumatic injuries of the central nervous system.

Applications

Unspecified application

Species

Unspecified reactive species

Wenjing Wang,Guihong Lu,Peilin Guo,Haochong Zhang,Yan Wang,Diwei Zheng,Chengliang Lyu,Dongfang Wang,Shang Li,Feng Li,Jiawei Zhao,Meng Qin,Weiping Li,Hui Tan,Guanghui Ma,Wei Wei
View all publications

Abcam product promise

当社は、高品質な試薬を通じてお客様の研究を力強くサポートすることをお約束いたします。ご使用いただく各段階で、常にお客様をサポートできる体制を整えております。万が一、製品が期待通りに機能しない場合は、「Abcam Product Promise」による当社保証制度に基づき、安心してご利用いただけます。
保証に関する詳細については利用規約をご確認ください。

Please note: All products are 'FOR RESEARCH USE ONLY. NOT FOR USE IN DIAGNOSTIC OR THERAPEUTIC PROCEDURES'.

For licensing inquiries, please contact partnerships@abcam.com