JavaScript is disabled in your browser. Please enable JavaScript to view this website.
AB4074

Anti-alpha Tubulin 抗体 - Loading Control

Anti-alpha Tubulin antibody - Loading Control

5

(28 Reviews)

|

(521 Publications)

Anti-alpha Tubulin antibody - Loading Control (ab4074) is a rabbit polyclonal antibody detecting alpha Tubulin in Western Blot, ICC/IF. Suitable for Chicken, Chinese hamster, Cow, Human, Mouse, Rat.

- Over 430 publications
- Trusted since 2005

別名を表示する

TUBA1, TUBA4A, Tubulin alpha-4A chain, Alpha-tubulin 1, Testis-specific alpha-tubulin, Tubulin H2-alpha, Tubulin alpha-1 chain

5 Images
Immunocytochemistry/ Immunofluorescence - Anti-alpha Tubulin antibody - Loading Control (AB4074)
  • ICC/IF

Lab

Immunocytochemistry/ Immunofluorescence - Anti-alpha Tubulin antibody - Loading Control (AB4074)

ab4074 staining alpha Tubulin in HeLa cells. The cells were fixed with 4% paraformaldehyde (10 min), permeabilized with 0.1% PBS-Triton X-100 for 5 minutes and then blocked with 1% BSA/10% normal goat serum/0.3M glycine in 0.1% PBS-Tween for 1h. The cells were then incubated overnight at 4°C with ab4064 at 1µg/ml and ab7291, Mouse monoclonal [DM1A] to alpha Tubulin - Loading Control. Cells were then incubated with ab150081, Goat polyclonal Secondary Antibody to Rabbit IgG - H&L (Alexa Fluor® 488), pre-adsorbed at 1/1000 dilution (shown in green) and ab150120, Goat polyclonal Secondary Antibody to Mouse IgG - H&L (Alexa Fluor® 594), pre-adsorbed at 1/1000 dilution (shown in pseudocolour red). Nuclear DNA was labelled with DAPI (shown in blue).

Also suitable in cells fixed with 100% methanol (5 min).

Image was acquired with a high-content analyser (Operetta CLS, Perkin Elmer) and a maximum intensity projection of confocal sections is shown.

Immunocytochemistry/ Immunofluorescence - Anti-alpha Tubulin antibody - Loading Control (AB4074)
  • ICC/IF

PubMed

Immunocytochemistry/ Immunofluorescence - Anti-alpha Tubulin antibody - Loading Control (AB4074)

Immunocytochemistry of SisNPFR-C6E8 cell line. Cells were prefixed in freshly prepared 4% paraformaldehyde (PFA) in F12 K culture medium with 10% fetal bovine serum and Geneticin. Fixed cells were permeabilized in PBST (0.25% Triton X-100 in PBS) for 5 min and blocked at 4°C overnight in 5% normal goat serum. The cells were then incubated at 4°C overnight with ab4074 (1 : 50). Cover slips were placed onto slides and mounted with VectaShield containing DAPI.

Image from PLoS One. 2014; 9(10): e109590. Fig 5o,doi: 10.1371/journal.pone.0109590 Reproduced under the Creative Commons license http://creativecommons.org/licenses/by/4.0/

Western blot - Anti-alpha Tubulin antibody - Loading Control (AB4074)
  • WB

Ap

Western blot - Anti-alpha Tubulin antibody - Loading Control (AB4074)

All lanes:

Western blot - Anti-alpha Tubulin antibody - Loading Control (ab4074) at 1 µg/mL

Lane 1:

HeLa (Human epithelial carcinoma cell line) Whole Cell Lysate (ab27252) at 20 µg

Lane 2:

HEK-293 (Human) Whole Cell Lysate (ab52256) at 20 µg

Lane 3:

Western blot - NIH/3T3 whole cell lysate (<a href='/products/cell-lysates/nih-3t3-whole-cell-lysate-ab7179'>ab7179</a>) at 20 µg

Lane 4:

PC-12 (Rat adrenal pheochromocytoma cell line) Whole Cell Lysate (ab50957) at 20 µg

Lane 5:

HeLa (Human epithelial carcinoma cell line) Whole Cell Lysate (ab27252) at 20 µg with Human alpha Tubulin peptide (ab23537)

Lane 6:

HEK-293 (Human) Whole Cell Lysate (ab52256) at 20 µg with Human alpha Tubulin peptide (ab23537)

Lane 7:

Western blot - NIH/3T3 whole cell lysate (<a href='/products/cell-lysates/nih-3t3-whole-cell-lysate-ab7179'>ab7179</a>) at 20 µg with Human alpha Tubulin peptide (ab23537)

Lane 8:

PC-12 (Rat adrenal pheochromocytoma cell line) Whole Cell Lysate (ab50957) at 20 µg with Human alpha Tubulin peptide (ab23537)

Secondary

All lanes:

Goat polyclonal to Rabbit IgG - H&L - Pre-Adsorbed (HRP) (ab65484) at 1/3000 dilution

Predicted band size: 50 kDa

false

Western blot - Anti-alpha Tubulin antibody - Loading Control (AB4074)
  • WB

Ap

Western blot - Anti-alpha Tubulin antibody - Loading Control (AB4074)

All lanes:

Western blot - Anti-alpha Tubulin antibody - Loading Control (ab4074) at 1 µg/mL

Lane 1:

HeLa (Human epithelial carcinoma cell line) Whole Cell Lysate (ab27252) at 10 µg

Lane 2:

NIH/3T3 (Mouse) Whole Cell Lysate (ab52956) at 10 µg

Lane 3:

PC-12 (Rat adrenal pheochromocytoma cell line) Whole Cell Lysate (ab50957) at 10 µg

Secondary

All lanes:

Goat polyclonal to Rabbit IgG - H&L - Pre-Adsorbed (HRP) (ab65484) at 1/3000 dilution

Predicted band size: 50 kDa

false

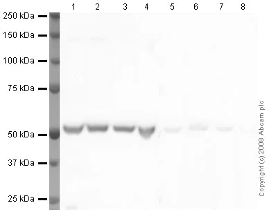
Western blot - Anti-alpha Tubulin antibody - Loading Control (AB4074)
  • WB

Project

Western blot - Anti-alpha Tubulin antibody - Loading Control (AB4074)

ab4074 cross-reacts strongly with Mouse 3T3 lysate and shows weak cross-reactivity with Rat liver, Cow, Chicken and CHO lysates.

All lanes:

Western blot - Anti-alpha Tubulin antibody - Loading Control (ab4074) at 1 µg/mL

Lane 1:

Mouse 3T3 lysate at 20 µg

Lane 2:

Rat liver lysate at 20 µg

Lane 3:

Cow cell lysate at 20 µg

Lane 4:

Chicken cell lysate at 20 µg

Lane 5:

CHO lysate at 20 µg

Secondary

All lanes:

Western blot - Goat Anti-Rabbit IgG H&L (HRP) (<a href='/products/secondary-antibodies/goat-rabbit-igg-h-l-hrp-ab6721'>ab6721</a>) at 1/5000 dilution

Predicted band size: 50 kDa

Observed band size: 50 kDa

true

Exposure time: 30s

Key facts

宿主種

Rabbit

クローン性

Polyclonal

アイソタイプ

IgG

キャリアフリー

No

交差種

Mouse, Rat, Chicken, Cow, Human, Chinese hamster

アプリケーション

ICC/IF, WB

applications

免疫原

The exact immunogen used to generate this antibody is proprietary information.

特異性

This antibody detects a single band in cell lines, corresponding to alpha tubulin.

Reactivity data

{ "title": "Reactivity Data", "filters": { "stats": ["", "Species", "Dilution Info", "Notes"], "tabs": { "all-applications": {"fullname" : "All Applications", "shortname": "All Applications"}, "WB" : {"fullname" : "Western blot", "shortname":"WB"}, "ICCIF" : {"fullname" : "Immunocytochemistry/ Immunofluorescence", "shortname":"ICC/IF"} }, "product-promise": { "all": "all", "testedAndGuaranteed": "tested", "guaranteed": "expected", "predicted": "predicted", "notRecommended": "not-recommended" } }, "values": { "Human": { "WB-species-checked": "testedAndGuaranteed", "WB-species-dilution-info": "1 µg/mL", "WB-species-notes": "<p>Can be blocked with alpha Tubulin peptide (ab23537).</p>", "ICCIF-species-checked": "testedAndGuaranteed", "ICCIF-species-dilution-info": "1 µg/mL", "ICCIF-species-notes": "<p></p>" }, "Mouse": { "WB-species-checked": "testedAndGuaranteed", "WB-species-dilution-info": "1 µg/mL", "WB-species-notes": "<p>Can be blocked with alpha Tubulin peptide (ab23537).</p>", "ICCIF-species-checked": "guaranteed", "ICCIF-species-dilution-info": "", "ICCIF-species-notes": "" }, "Rat": { "WB-species-checked": "testedAndGuaranteed", "WB-species-dilution-info": "1 µg/mL", "WB-species-notes": "<p>Can be blocked with alpha Tubulin peptide (ab23537).</p>", "ICCIF-species-checked": "guaranteed", "ICCIF-species-dilution-info": "", "ICCIF-species-notes": "" }, "Chicken": { "WB-species-checked": "testedAndGuaranteed", "WB-species-dilution-info": "1 µg/mL", "WB-species-notes": "<p>Can be blocked with alpha Tubulin peptide (ab23537).</p>", "ICCIF-species-checked": "guaranteed", "ICCIF-species-dilution-info": "", "ICCIF-species-notes": "" }, "Chimpanzee": { "WB-species-checked": "predicted", "WB-species-dilution-info": "", "WB-species-notes": "", "ICCIF-species-checked": "predicted", "ICCIF-species-dilution-info": "", "ICCIF-species-notes": "" }, "Chinese hamster": { "WB-species-checked": "testedAndGuaranteed", "WB-species-dilution-info": "1 µg/mL", "WB-species-notes": "<p>Can be blocked with alpha Tubulin peptide (ab23537).</p>", "ICCIF-species-checked": "guaranteed", "ICCIF-species-dilution-info": "", "ICCIF-species-notes": "" }, "Cow": { "WB-species-checked": "testedAndGuaranteed", "WB-species-dilution-info": "1 µg/mL", "WB-species-notes": "<p>Can be blocked with alpha Tubulin peptide (ab23537).</p>", "ICCIF-species-checked": "guaranteed", "ICCIF-species-dilution-info": "", "ICCIF-species-notes": "" }, "Monkey": { "WB-species-checked": "predicted", "WB-species-dilution-info": "", "WB-species-notes": "", "ICCIF-species-checked": "predicted", "ICCIF-species-dilution-info": "", "ICCIF-species-notes": "" }, "Pig": { "WB-species-checked": "predicted", "WB-species-dilution-info": "", "WB-species-notes": "", "ICCIF-species-checked": "predicted", "ICCIF-species-dilution-info": "", "ICCIF-species-notes": "" }, "Xenopus laevis": { "WB-species-checked": "predicted", "WB-species-dilution-info": "", "WB-species-notes": "", "ICCIF-species-checked": "predicted", "ICCIF-species-dilution-info": "", "ICCIF-species-notes": "" }, "Zebrafish": { "WB-species-checked": "predicted", "WB-species-dilution-info": "", "WB-species-notes": "", "ICCIF-species-checked": "predicted", "ICCIF-species-dilution-info": "", "ICCIF-species-notes": "" } } }

製品の詳細

Anti-alpha Tubulin antibody - Loading Control (ab4074) is a rabbit polyclonal antibody and is validated for use in ICC/IF, WB in drosophila melanogaster, human, mouse, pig, rat samples.

Anti-alpha Tubulin antibody - Loading Control (ab4074) has been cited over 431 times in peer reviewed journals and is trusted by the scientific community.

Abcam's high quality validation processes ensure Anti-alpha Tubulin antibody - Loading Control (ab4074) has high sensitivity and specificity.

Anti-alpha Tubulin antibody - Loading Control (ab4074) has 28 independent reviews from customers.

alpha Tubulin antibodies are often used as loading controls in Western Blot. Anti-alpha Tubulin antibody - Loading Control has been verified in Western Blot samples and detects a band at 50kDa Molecular weight.

Anti-alpha Tubulin antibody (Anti-TUBA4A antibody) (ab4074) specifically detects alpha Tubulin (UniProt ID: P68366; Molecular weight: 50kDa) and is sold in 100 µg and 250 µg selling sizes.

Alpha Tubulin (TUBA4A) is a fundamental component of microtubules, essential for maintaining the cytoskeleton and facilitating cell division. The alpha tubulin molecular weight is approximately 50 kDa, making it a critical marker in various studies. Abnormalities in alpha Tubulin are linked to neurodegenerative diseases and cancer, highlighting its disease relevance. Our A-tubulin antibody is a valuable tool for research, aiding in the detection and study of alpha Tubulin pathways. Understanding the role of alpha Tubulin, including its post-translational modifications, is crucial for developing targeted therapies.

出荷温度及び保存条件

製品の状態
Liquid
精製方法
Affinity purification Immunogen
バッファー組成
pH: 7.4 Preservative: 0.02% Sodium azide Constituents: PBS, 1% BSA
出荷温度
Blue Ice
短期保存期間
1-2 weeks
短期保存温度
+4°C
長期保存温度
-20°C
分注に関する情報
Upon delivery aliquot
保管に関する情報
Avoid freeze / thaw cycle

補足情報

This supplementary information is collated from multiple sources and compiled automatically.

Alpha tubulin also known as DM1A is an important component of the structural unit called microtubules. This protein weighs approximately 50 kDa and acts as a building block in the cytoskeleton. Alpha tubulin is expressed in various cell types across many organisms playing a fundamental role in maintaining cell shape and enabling intracellular transport. Researchers often acetylate alpha tubulin to study post-translational modifications and its effects on microtubule dynamics.
Biological function summary

Alpha tubulin combines with beta tubulin to form the tubulin dimer which is the basic unit of microtubule polymerization. These dimers assemble into microtubule filaments integral in numerous cellular processes. As part of the cytoskeleton network alpha tubulin facilitates roles in mitosis and meiosis providing spindle structures necessary for chromosome separation. Its participation in cell signaling pathways is noteworthy as it interacts with motor proteins like kinesins and dyneins to aid cellular activities.

Pathways

Alpha tubulin holds critical roles in microtubule-associated processes within the cytoskeleton and intracellular transport pathways. It interacts with the MAP (microtubule-associated protein) family which modulates microtubule stability and impacts cell division and trafficking. Moreover the microtubule pathway involves proteins like tau which bind to stabilize microtubules and are implicated in cellular dynamics and signaling.

Alpha tubulin is relevant in neurodegenerative diseases such as Alzheimer's disease and cancer. Aberrant modifications or mutations in alpha tubulin or associated proteins like tau can disrupt microtubule stability contributing to pathological conditions. In cancer altered expression of alpha tubulin affects cell division leading to tumor progression and chemoresistance. Researchers study alpha tubulin using techniques such as immunofluorescence with Alexa fluor 555 to understand its role in disease better.

製品プロトコール

For this product, it's our understanding that no specific protocols are required. You can visit:

ターゲットの情報

Tubulin is the major constituent of microtubules, a cylinder consisting of laterally associated linear protofilaments composed of alpha- and beta-tubulin heterodimers. Microtubules grow by the addition of GTP-tubulin dimers to the microtubule end, where a stabilizing cap forms. Below the cap, tubulin dimers are in GDP-bound state, owing to GTPase activity of alpha-tubulin.
See full target information TUBA4A

文献 (521)

Recent publications for all applications. Explore the full list and refine your search

Frontiers in immunology 16:1644391 PubMed41041320

2025

Generation of novel human anti-OX-40 mAbs endowed with different biological properties as tools for cancer therapy.

Applications

Unspecified application

Species

Unspecified reactive species

Rosa Rapuano Lembo,Margherita Passariello,Lorenzo Manna,Guendalina Froechlich,Martina Belardo,Alfredo Nicosia,Emanuele Sasso,Claudia De Lorenzo

Epigenetics & chromatin 18:58 PubMed40855509

2025

The isoflavone genistein selectively stimulates major satellite repeat transcription in mouse heterochromatin.

Applications

Unspecified application

Species

Unspecified reactive species

Thomas Fuhrmann,Nicholas Shukeir,Reagan W Ching,Galina Erikson,Yuan Dou,Zoe Sawitzki,Megumi Onishi-Seebacher,Carmen Galan,Thomas Jenuwein

Oncology letters 30:473 PubMed40842469

2025

UBE2T promotes epithelial-mesenchymal transition and motility in oral cancer cells via induction of IL-6 expression.

Applications

Unspecified application

Species

Unspecified reactive species

Ai Watanabe,Jin Lu,Kai Ishihara,Sadahiro Iwabuchi,Kazuchika Ohno,Shinichi Hashimoto,Takahiro Asakage,Kazuki Takahashi,Katarzyna A Podyma-Inoue,Tetsuro Watabe

Physiological reports 13:e70468 PubMed40757778

2025

Plasma hepcidin level is elevated by water immersion-induced central fatigue via hepatic inflammatory response in male and female rats.

Applications

Unspecified application

Species

Unspecified reactive species

Takuro Karaushi,Toshifumi Ogawa,Hiroyori Fusagawa,Taiki Kudo,Yuito Inoue,Takashi Yamada,Nobutoshi Ichise,Tatsuya Sato,Noritsugu Tohse

GeroScience : PubMed40715936

2025

Alterations in mitochondria and cellular senescence in aged sEH null female kidneys.

Applications

Unspecified application

Species

Unspecified reactive species

Ala Yousef,Liye Fang,Mobina Heidari,Andy Huang,Patrick Kondraciuk,Kristen A Yee,Michael Mengel,John M Seubert

eLife 13: PubMed40704991

2025

Rapid and inducible mislocalization of endogenous TDP43 in a novel human model of amyotrophic lateral sclerosis.

Applications

Unspecified application

Species

Unspecified reactive species

Johanna Ganssauge,Sophie Hawkins,Seema Chandramohan Namboori,Szi Kay Leung,Jonathan Mill,Akshay Bhinge

Molecular neurobiology 62:15741-15758 PubMed40702289

2025

Oleuropein Aglycone, an Olive Polyphenol, Influences Alpha-Synuclein Aggregation and Exerts Neuroprotective Effects in Different Parkinson's Disease Models.

Applications

Unspecified application

Species

Unspecified reactive species

Milo J Basellini,José M Granadino-Roldán,Pablo V Torres-Ortega,Giulia Simmini,Jaime Rubio-Martinez,Silvia Marin,Graziella Cappelletti,Marta Cascante,Ana Cañuelo

Fluids and barriers of the CNS 22:64 PubMed40598363

2025

Are diurnal variations in glymphatic clearance driven by circadian regulation of Aquaporin-4 expression?

Applications

Unspecified application

Species

Unspecified reactive species

Mina Martine Frey,Negar Zohoorian,Nadia Skauli,Ole Petter Ottersen,Mahmood Amiry-Moghaddam

Nature communications 16:4024 PubMed40301324

2025

Autophagy disruption and mitochondrial stress precede photoreceptor necroptosis in multiple mouse models of inherited retinal disorders.

Applications

Unspecified application

Species

Unspecified reactive species

Fay Newton,Mihail Halachev,Linda Nguyen,Lisa McKie,Pleasantine Mill,Roly Megaw

The Canadian journal of infectious diseases & medical microbiology = Journal canadien des maladies infectieuses et de la microbiologie medicale 2025:1668482 PubMed40242184

2025

Thymopoietin-, -, and - Isoforms Increased Expression in Cervical Cancer Cells.

Applications

Unspecified application

Species

Unspecified reactive species

Víctor Huerta-Padilla,Daniel Marrero-Rodríguez,Keiko Taniguchi-Ponciano,Ariana E López,Fernando Candanedo-González,Emmanuel Salcedo,Alejandra Valdivia-Flores,Miriam Rodriguez-Esquivel,Laura Gómez Virgilio,Ricardo López-Romero,Maria de Jesus Nambo-Lucio,Sergio E Meza-Toledo,Cindy Bandala,Marco A Meraz,Mauricio Salcedo
View all publications

Abcam product promise

当社は、高品質な試薬を通じてお客様の研究を力強くサポートすることをお約束いたします。ご使用いただく各段階で、常にお客様をサポートできる体制を整えております。万が一、製品が期待通りに機能しない場合は、「Abcam Product Promise」による当社保証制度に基づき、安心してご利用いただけます。
保証に関する詳細については利用規約をご確認ください。

Please note: All products are 'FOR RESEARCH USE ONLY. NOT FOR USE IN DIAGNOSTIC OR THERAPEUTIC PROCEDURES'.

For licensing inquiries, please contact partnerships@abcam.com