JavaScript is disabled in your browser. Please enable JavaScript to view this website.
AB275964

Anti-ALK 抗体 [EPR24029-128]

Anti-ALK antibody [EPR24029-128]

Be the first to review this product! Submit a review

|

(0 Publication)

Rabbit Recombinant Monoclonal ALK antibody. Suitable for IP, WB and reacts with Mouse, Human, Rat samples.

別名を表示する

CD246, ALK tyrosine kinase receptor, Anaplastic lymphoma kinase, ALK

4 Images
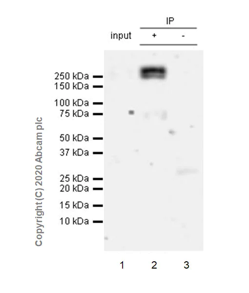
Immunoprecipitation - Anti-ALK antibody [EPR24029-128] (AB275964)
  • IP

Unknown

Immunoprecipitation - Anti-ALK antibody [EPR24029-128] (AB275964)

ALK was immunoprecipitated from 0.35 mg IMR-32 (human neuroblastoma neuroblast) whole cell lysate with ab275964 at 1/30 dilution (2ug in 0.35mg lysates). Western blot was performed on the immunoprecipitate using ab275964 at 1/1000 dilution. VeriBlot for IP Detection Reagent (HRP)(ab131366) was used at 1/5000 dilution.

Lane 1 : IMR-32 (human neuroblastoma neuroblast) whole cell lysate 10 ug

Lane 2 : ab275964 IP in IMR-32 whole cell lysate

Lane 3 : Rabbit monoclonal IgG (ab172730) instead of ab275964 in IMR-32 whole cell lysate

Blocking and dilution buffer and concentration : 5% NFDM/TBST.

Exposure time : 119 seconds.

All lanes:

Immunoprecipitation - Anti-ALK antibody [EPR24029-128] (ab275964)

Predicted band size: 176 kDa

Observed band size: 140-250 kDa,70 kDa

false

Immunoprecipitation - Anti-ALK antibody [EPR24029-128] (AB275964)
  • IP

Unknown

Immunoprecipitation - Anti-ALK antibody [EPR24029-128] (AB275964)

ALK was immunoprecipitated from 0.35 mg Neuro-2a (mouse neuroblastoma neuroblast) whole cell lysate with ab275964 at 1/30 dilution (2ug in 0.35mg lysates). Western blot was performed on the immunoprecipitate using ab275964 at 1/500 dilution. VeriBlot for IP Detection Reagent (HRP)(ab131366) was used at 1/1000 dilution.

Lane 1 : Neuro-2a (mouse neuroblastoma neuroblast) whole cell lysate 10 ug

Lane 2 : ab275964 IP in Neuro-2a whole cell lysate

Lane 3 : Rabbit monoclonal IgG (ab172730) instead of ab275964 in Neuro-2a whole cell lysate

Blocking and dilution buffer and concentration : 5% NFDM/TBST.

Exposure time : 3 minutes.

All lanes:

Immunoprecipitation - Anti-ALK antibody [EPR24029-128] (ab275964)

Predicted band size: 176 kDa

Observed band size: 250 kDa

false

Western blot - Anti-ALK antibody [EPR24029-128] (AB275964)
  • WB

Lab

Western blot - Anti-ALK antibody [EPR24029-128] (AB275964)

Blocking and diluting buffer and concentration : 5% NFDM/TBST.

ALK undergoes glycosylation and phosphorylation. ALK has both extracellular and intracellular cleavage sites. The 140-250 kDa bands observed are consistent with what have been described in literatures (PMID : 30541790, 32344689).

A 70-kDa band is observed, it may correspond to N terminal truncated ALK (PMID : 30400214).

Negative control : Raji and Ramos (PMID : 30541790).

Exposure time : 26 seconds.

All lanes:

Western blot - Anti-ALK antibody [EPR24029-128] (ab275964) at 1/1000 dilution

Lane 1:

SK-N-BE(2) (human neuroblastoma neuroblast) whole cell lysate at 40 µg

Lane 2:

IMR-32 (human neuroblastoma neuroblast) whole cell lysate at 40 µg

Lane 3:

SH-SY5Y (human neuroblastoma epithelial cell) whole cell lysate at 40 µg

Lane 4:

Raji (human burkitts lymphoma b lymphocyte) whole cell lysate at 40 µg

Lane 5:

Ramos (human burkitts lymphoma b lymphocyte) whole cell lysate at 40 µg

Secondary

All lanes:

Goat Anti-Rabbit IgG, (H+L), Peroxidase conjugated (<a href='/products/secondary-antibodies/goat-rabbit-igg-h-l-hrp-ab97051'>ab97051</a>) at 1/50000 dilution

Predicted band size: 176 kDa

Observed band size: 140-250 kDa,70 kDa

false

Western blot - Anti-ALK antibody [EPR24029-128] (AB275964)
  • WB

Lab

Western blot - Anti-ALK antibody [EPR24029-128] (AB275964)

Blocking and diluting buffer and concentration : 5% NFDM/TBST.

ALK undergoes glycosylation and phosphorylation. ALK has both extracellular and intracellular cleavage sites. The molecular weight observed are consistent with what have been described in literatures (PMID : 30541790, 32344689).

Negative control : kidney (PMID : 9053841).

This blot was developed using a higher sensitivity ECL substrate.

Exposure time : 3 minutes.

All lanes:

Western blot - Anti-ALK antibody [EPR24029-128] (ab275964) at 1/1000 dilution

Lane 1:

Mouse P5 brain tissue lysate at 40 µg

Lane 2:

Mouse kidney tissue lysate at 40 µg

Lane 3:

Neuro-2a (mouse neuroblastoma neuroblast) whole cell lysate at 40 µg

Lane 4:

Rat P0 brain tissue lysate at 40 µg

Lane 5:

Rat kidney tissue lysate at 40 µg

Secondary

All lanes:

VeriBlot for IP secondary antibody(HRP)(<a href='/products/reagents/veriblot-for-ip-detection-reagent-hrp-ab131366'>ab131366</a>) at 1/1000 dilution

Predicted band size: 176 kDa

Observed band size: 140-250 kDa

false

関連する標識済み抗体及び組成の異なる製品 (1)

  • Carrier free

    Anti-ALK antibody [EPR24029-128] - BSA and Azide free

Key facts

宿主種

Rabbit

クローン性

Monoclonal

クローン番号

EPR24029-128

アイソタイプ

IgG

キャリアフリー

No

交差種

Mouse, Rat, Human

アプリケーション

WB, IP

applications

免疫原

The exact immunogen used to generate this antibody is proprietary information.

Reactivity data

{ "title": "Reactivity Data", "filters": { "stats": ["", "Species", "Dilution Info", "Notes"], "tabs": { "all-applications": {"fullname" : "All Applications", "shortname": "All Applications"}, "ICCIF" : {"fullname" : "Immunocytochemistry/ Immunofluorescence", "shortname":"ICC/IF"}, "IP" : {"fullname" : "Immunoprecipitation", "shortname":"IP"}, "FlowCyt" : {"fullname" : "Flow Cytometry", "shortname":"Flow Cyt"}, "WB" : {"fullname" : "Western blot", "shortname":"WB"}, "IHCP" : {"fullname" : "Immunohistochemistry (Formalin/PFA-fixed paraffin-embedded sections)", "shortname":"IHC-P"}, "IHCFr" : {"fullname" : "Immunohistochemistry (Frozen sections)", "shortname":"IHC-Fr"} }, "product-promise": { "all": "all", "testedAndGuaranteed": "tested", "guaranteed": "expected", "predicted": "predicted", "notRecommended": "not-recommended" } }, "values": { "Human": { "ICCIF-species-checked": "notRecommended", "ICCIF-species-dilution-info": "", "ICCIF-species-notes": "<p></p>", "IP-species-checked": "testedAndGuaranteed", "IP-species-dilution-info": "1/30", "IP-species-notes": "<p></p>", "FlowCyt-species-checked": "notRecommended", "FlowCyt-species-dilution-info": "", "FlowCyt-species-notes": "<p></p>", "WB-species-checked": "testedAndGuaranteed", "WB-species-dilution-info": "1/1000", "WB-species-notes": "<p></p>", "IHCP-species-checked": "notRecommended", "IHCP-species-dilution-info": "", "IHCP-species-notes": "<p></p>", "IHCFr-species-checked": "notRecommended", "IHCFr-species-dilution-info": "", "IHCFr-species-notes": "<p></p>" }, "Mouse": { "ICCIF-species-checked": "notRecommended", "ICCIF-species-dilution-info": "", "ICCIF-species-notes": "<p></p>", "IP-species-checked": "testedAndGuaranteed", "IP-species-dilution-info": "1/30", "IP-species-notes": "<p></p>", "FlowCyt-species-checked": "notRecommended", "FlowCyt-species-dilution-info": "", "FlowCyt-species-notes": "<p></p>", "WB-species-checked": "testedAndGuaranteed", "WB-species-dilution-info": "1/1000", "WB-species-notes": "<p></p>", "IHCP-species-checked": "notRecommended", "IHCP-species-dilution-info": "", "IHCP-species-notes": "<p></p>", "IHCFr-species-checked": "notRecommended", "IHCFr-species-dilution-info": "", "IHCFr-species-notes": "<p></p>" }, "Rat": { "ICCIF-species-checked": "notRecommended", "ICCIF-species-dilution-info": "", "ICCIF-species-notes": "<p></p>", "IP-species-checked": "guaranteed", "IP-species-dilution-info": "", "IP-species-notes": "", "FlowCyt-species-checked": "notRecommended", "FlowCyt-species-dilution-info": "", "FlowCyt-species-notes": "<p></p>", "WB-species-checked": "testedAndGuaranteed", "WB-species-dilution-info": "1/1000", "WB-species-notes": "<p></p>", "IHCP-species-checked": "notRecommended", "IHCP-species-dilution-info": "", "IHCP-species-notes": "<p></p>", "IHCFr-species-checked": "notRecommended", "IHCFr-species-dilution-info": "", "IHCFr-species-notes": "<p></p>" } } }

製品の詳細

Patented technology
Our RabMAb® technology is a patented hybridoma-based technology for making rabbit monoclonal antibodies. For details on our patents, please refer to RabMAb® patents.

What are the advantages of a recombinant monoclonal antibody?
This product is a recombinant monoclonal antibody, which offers several advantages including:

  • - High batch-to-batch consistency and reproducibility
  • - Improved sensitivity and specificity
  • - Long-term security of supply
  • - Animal-free batch production

For more information, read more on recombinant antibodies.

出荷温度及び保存条件

製品の状態
Liquid
精製方法
Affinity purification Protein A
バッファー組成
Preservative: 0.01% Sodium azide Constituents: PBS, 40% Glycerol (glycerin, glycerine), 0.05% BSA
出荷温度
Blue Ice
短期保存期間
1-2 weeks
短期保存温度
+4°C
長期保存温度
-20°C
分注に関する情報
Upon delivery aliquot
保管に関する情報
Avoid freeze / thaw cycle

補足情報

This supplementary information is collated from multiple sources and compiled automatically.

The Anaplastic Lymphoma Kinase commonly referred to as ALK is a receptor tyrosine kinase known for its role in cell signaling. It is sometimes called CD246. ALK has a molecular mass of approximately 180 kDa. This protein finds expression predominantly in the central and peripheral nervous system with prominence in neural tissue during development. The ALK protein belongs to the insulin receptor superfamily exhibiting kinase activity that promotes signal transduction processes associated with growth and differentiation.
Biological function summary

ALK influences cell growth survival and differentiation playing a significant role during the development of the nervous system. As part of its biological activity the ALK protein can become a component of larger signaling complexes participating as an important activator or mediator. Evidence suggests ALK's involvement in neuronal differentiation and synaptogenesis. Its activity impacts intracellular pathways consequently modulating biological processes relevant to neural tissue and oncogenesis.

Pathways

ALK acts within the MAPK and PI3K-AKT signaling pathways. These pathways enable the transduction of signals from the cell surface to the nucleus influencing cellular outcomes such as proliferation and survival. In these pathways ALK interacts with various other proteins including GRB2 and PI3K which further facilitate downstream signaling. Proper functioning of these pathways is essential to maintaining cellular homeostasis and development.

ALK has a significant relationship with certain types of cancer such as non-small cell lung carcinoma and anaplastic large cell lymphoma. Genetic alterations in ALK such as translocations or mutations can lead to the uncontrolled activation of its kinase activity resulting in oncogenic transformation. In these contexts the ALK protein often interacts with EML4 in lung cancer through a fusion forming an oncogenic driver. Targeting ALK with anti-ALK antibodies or small molecule inhibitors has emerged as a therapeutic strategy to manage these malignancies.

製品プロトコール

For this product, it's our understanding that no specific protocols are required. You can visit:

ターゲットの情報

Neuronal receptor tyrosine kinase that is essentially and transiently expressed in specific regions of the central and peripheral nervous systems and plays an important role in the genesis and differentiation of the nervous system (PubMed : 11121404, PubMed : 11387242, PubMed : 16317043, PubMed : 17274988, PubMed : 30061385, PubMed : 34646012, PubMed : 34819673). Also acts as a key thinness protein involved in the resistance to weight gain : in hypothalamic neurons, controls energy expenditure acting as a negative regulator of white adipose tissue lipolysis and sympathetic tone to fine-tune energy homeostasis (By similarity). Following activation by ALKAL2 ligand at the cell surface, transduces an extracellular signal into an intracellular response (PubMed : 30061385, PubMed : 33411331, PubMed : 34646012, PubMed : 34819673). In contrast, ALKAL1 is not a potent physiological ligand for ALK (PubMed : 34646012). Ligand-binding to the extracellular domain induces tyrosine kinase activation, leading to activation of the mitogen-activated protein kinase (MAPK) pathway (PubMed : 34819673). Phosphorylates almost exclusively at the first tyrosine of the Y-x-x-x-Y-Y motif (PubMed : 15226403, PubMed : 16878150). Induces tyrosine phosphorylation of CBL, FRS2, IRS1 and SHC1, as well as of the MAP kinases MAPK1/ERK2 and MAPK3/ERK1 (PubMed : 15226403, PubMed : 16878150). ALK activation may also be regulated by pleiotrophin (PTN) and midkine (MDK) (PubMed : 11278720, PubMed : 11809760, PubMed : 12107166, PubMed : 12122009). PTN-binding induces MAPK pathway activation, which is important for the anti-apoptotic signaling of PTN and regulation of cell proliferation (PubMed : 11278720, PubMed : 11809760, PubMed : 12107166). MDK-binding induces phosphorylation of the ALK target insulin receptor substrate (IRS1), activates mitogen-activated protein kinases (MAPKs) and PI3-kinase, resulting also in cell proliferation induction (PubMed : 12122009). Drives NF-kappa-B activation, probably through IRS1 and the activation of the AKT serine/threonine kinase (PubMed : 15226403, PubMed : 16878150). Recruitment of IRS1 to activated ALK and the activation of NF-kappa-B are essential for the autocrine growth and survival signaling of MDK (PubMed : 15226403, PubMed : 16878150).
See full target information ALK

Abcam product promise

当社は、高品質な試薬を通じてお客様の研究を力強くサポートすることをお約束いたします。ご使用いただく各段階で、常にお客様をサポートできる体制を整えております。万が一、製品が期待通りに機能しない場合は、「Abcam Product Promise」による当社保証制度に基づき、安心してご利用いただけます。
保証に関する詳細については利用規約をご確認ください。

Please note: All products are 'FOR RESEARCH USE ONLY. NOT FOR USE IN DIAGNOSTIC OR THERAPEUTIC PROCEDURES'.

For licensing inquiries, please contact partnerships@abcam.com