JavaScript is disabled in your browser. Please enable JavaScript to view this website.
AB228584

Anti-ALDH6A1 抗体

Anti-ALDH6A1 antibody

  • JP Deleterious:医薬用外劇物

Be the first to review this product! Submit a review

|

(1 Publication)

Rabbit Polyclonal ALDH6A1 antibody. Suitable for WB, IHC-P and reacts with Mouse, Human samples. Cited in 1 publication. Immunogen corresponding to Recombinant Fragment Protein within Human ALDH6A1.

別名を表示する

MMSDH, ALDH6A1, Aldehyde dehydrogenase family 6 member A1, Malonate-semialdehyde dehydrogenase [acylating]

4 Images
Immunohistochemistry (Formalin/PFA-fixed paraffin-embedded sections) - Anti-ALDH6A1 antibody (AB228584)
  • IHC-P

Supplier Data

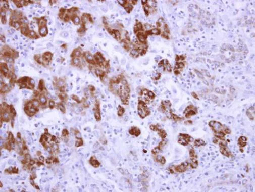
Immunohistochemistry (Formalin/PFA-fixed paraffin-embedded sections) - Anti-ALDH6A1 antibody (AB228584)

Paraffin-embedded human liver carcinoma tissue stained for ALDH6A1 with ab228584 at 1/250 dilution in immunohistochemical analysis.

Immunohistochemistry (Formalin/PFA-fixed paraffin-embedded sections) - Anti-ALDH6A1 antibody (AB228584)
  • IHC-P

Supplier Data

Immunohistochemistry (Formalin/PFA-fixed paraffin-embedded sections) - Anti-ALDH6A1 antibody (AB228584)

Paraffin-embedded mouse stomach tissue stained for ALDH6A1 with ab228584 at 1/500 dilution in immunohistochemical analysis.

Western blot - Anti-ALDH6A1 antibody (AB228584)
  • WB

Supplier Data

Western blot - Anti-ALDH6A1 antibody (AB228584)

7.5% SDS-PAGE

All lanes:

Western blot - Anti-ALDH6A1 antibody (ab228584) at 1/500 dilution

All lanes:

HepG2 (human liver hepatocellular carcinoma cell line) whole cell lysate at 30 µg

Predicted band size: 58 kDa

true

Western blot - Anti-ALDH6A1 antibody (AB228584)
  • WB

Supplier Data

Western blot - Anti-ALDH6A1 antibody (AB228584)

7.5% SDS-PAGE

All lanes:

Western blot - Anti-ALDH6A1 antibody (ab228584) at 1/1000 dilution

All lanes:

Mouse liver tissue whole cell lysate at 50 µg

Predicted band size: 58 kDa

true

Key facts

宿主種

Rabbit

クローン性

Polyclonal

アイソタイプ

IgG

キャリアフリー

No

交差種

Mouse, Human

アプリケーション

WB, IHC-P

applications

免疫原

Recombinant Fragment Protein within Human ALDH6A1. The exact immunogen used to generate this antibody is proprietary information.

Q02252

Reactivity data

{ "title": "Reactivity Data", "filters": { "stats": ["", "Species", "Dilution Info", "Notes"], "tabs": { "all-applications": {"fullname" : "All Applications", "shortname": "All Applications"}, "WB" : {"fullname" : "Western blot", "shortname":"WB"}, "IHCP" : {"fullname" : "Immunohistochemistry (Formalin/PFA-fixed paraffin-embedded sections)", "shortname":"IHC-P"} }, "product-promise": { "all": "all", "testedAndGuaranteed": "tested", "guaranteed": "expected", "predicted": "predicted", "notRecommended": "not-recommended" } }, "values": { "Human": { "WB-species-checked": "testedAndGuaranteed", "WB-species-dilution-info": "1/500 - 1/3000", "WB-species-notes": "<p></p>", "IHCP-species-checked": "testedAndGuaranteed", "IHCP-species-dilution-info": "1/100 - 1/1000", "IHCP-species-notes": "<p></p>" }, "Mouse": { "WB-species-checked": "testedAndGuaranteed", "WB-species-dilution-info": "1/500 - 1/3000", "WB-species-notes": "<p></p>", "IHCP-species-checked": "testedAndGuaranteed", "IHCP-species-dilution-info": "1/100 - 1/1000", "IHCP-species-notes": "<p></p>" }, "Rat": { "WB-species-checked": "predicted", "WB-species-dilution-info": "", "WB-species-notes": "", "IHCP-species-checked": "predicted", "IHCP-species-dilution-info": "", "IHCP-species-notes": "" }, "Cow": { "WB-species-checked": "predicted", "WB-species-dilution-info": "", "WB-species-notes": "", "IHCP-species-checked": "predicted", "IHCP-species-dilution-info": "", "IHCP-species-notes": "" } } }

出荷温度及び保存条件

製品の状態
Liquid
精製方法
Affinity purification Immunogen
バッファー組成
pH: 7 Preservative: 0.01% Thimerosal (merthiolate) Constituents: 10% Glycerol (glycerin, glycerine), 1.21% Tris, 0.75% Glycine
出荷温度
Blue Ice
短期保存期間
1-2 weeks
短期保存温度
+4°C
長期保存温度
-20°C
分注に関する情報
Upon delivery aliquot
保管に関する情報
Avoid freeze / thaw cycle

補足情報

This supplementary information is collated from multiple sources and compiled automatically.

ALDH6A1 also known as methylmalonate semialdehyde dehydrogenase (MMSDH) plays an important mechanical role in the metabolism of specific aldehydes. It belongs to the family of aldehyde dehydrogenases and has a molecular mass of approximately 58 kDa. ALDH6A1 is mainly expressed in human liver and kidney tissues. This protein catalyzes the conversion of methylmalonate semialdehyde to propionyl-CoA which is an essential step in the metabolism of branched-chain amino acids such as valine and isoleucine.
Biological function summary

ALDH6A1 contributes to cellular detoxification and energy production by participating in the breakdown of aldehydes which are toxic if accumulated. It is a part of the mitochondrial aldehyde dehydrogenase complex working alongside other enzymes for efficient catalysis. The enzyme's activity helps maintain cellular redox balance and supports energy metabolism directly impacting cellular function.

Pathways

ALDH6A1 plays a role within the propanoate metabolism and valine degradation processes. Through these pathways ALDH6A1 connects to proteins such as the branched-chain-amino-acid aminotransferase (BCAT) and propionyl-CoA carboxylase (PCC). These interactions facilitate the breakdown of amino acids into substrates that enter the citric acid cycle contributing to cellular energy generation.

Dysfunction of ALDH6A1 relates to metabolic disorders particularly methylmalonic aciduria. Patients with this condition accumulate methylmalonate semialdehyde and other toxic intermediates due to insufficient activity of the enzyme. Additionally interactions between ALDH6A1 and proteins like PCC can compound metabolic issues since both are involved in propionate metabolism linking their dysfunctions to similar metabolic diseases.

製品プロトコール

For this product, it's our understanding that no specific protocols are required. You can visit:

ターゲットの情報

Malonate and methylmalonate semialdehyde dehydrogenase involved in the catabolism of valine, thymine, and compounds catabolized by way of beta-alanine, including uracil and cytidine.
See full target information ALDH6A1

文献 (1)

Recent publications for all applications. Explore the full list and refine your search

Oncogene 41:782-796 PubMed34853466

2021

GTF2E2 is a novel biomarker for recurrence after surgery and promotes progression of esophageal squamous cell carcinoma via miR-139-5p/GTF2E2/FUS axis.

Applications

Unspecified application

Species

Unspecified reactive species

Yujie Zhang,Yuxin Zhang,Bo Ai,Juejun Gong,Yichen Li,Shiying Yu,Xiuyu Cai,Li Zhang
View all publications

Abcam product promise

当社は、高品質な試薬を通じてお客様の研究を力強くサポートすることをお約束いたします。ご使用いただく各段階で、常にお客様をサポートできる体制を整えております。万が一、製品が期待通りに機能しない場合は、「Abcam Product Promise」による当社保証制度に基づき、安心してご利用いただけます。
保証に関する詳細については利用規約をご確認ください。

Please note: All products are 'FOR RESEARCH USE ONLY. NOT FOR USE IN DIAGNOSTIC OR THERAPEUTIC PROCEDURES'.

For licensing inquiries, please contact partnerships@abcam.com