JavaScript is disabled in your browser. Please enable JavaScript to view this website.
AB179463

Anti-AKT1 + AKT2 + AKT3 抗体 [EPR16798]

Anti-AKT1 + AKT2 + AKT3 antibody [EPR16798]

Be the first to review this product! Submit a review

|

(456 Publications)

Anti-AKT1 + AKT2 + AKT3 antibody [EPR16798] (ab179463) is a rabbit monoclonal antibody detecting AKT1 + AKT2 + AKT3 in Western Blot, Flow Cytometry, IP, IHC-P, ICC/IF. Suitable for Human, Mouse, Rat, Xenopus laevis, Xenopus tropicalis.

- Biophysical QC for unrivalled batch-batch consistency
- Over 310 publications

別名を表示する

PKB, RAC, AKT1, RAC-alpha serine/threonine-protein kinase, Protein kinase B, Protein kinase B alpha, Proto-oncogene c-Akt, RAC-PK-alpha, PKB alpha

12 Images
Flow Cytometry (Intracellular) - Anti-AKT1 + AKT2 + AKT3 antibody [EPR16798] (AB179463)
  • Flow Cyt (Intra)

Supplier Data

Flow Cytometry (Intracellular) - Anti-AKT1 + AKT2 + AKT3 antibody [EPR16798] (AB179463)

Intracellular flow cytometric analysis of 2% paraformaldehyde-fixed A549 (Human lung carcinoma) cells labeling AKT1 + AKT2 + AKT3 with ab179463 at 1/330 dilution (red) compared with a rabbit monoclonal IgG isotype control (black) and a unlabelled control (cells without incubation with primary antibody and secondary antibody; blue). Goat anti rabbit IgG (FITC) at 1/150 dilution was used as the secondary antibody.

Immunohistochemistry (Formalin/PFA-fixed paraffin-embedded sections) - Anti-AKT1 + AKT2 + AKT3 antibody [EPR16798] (AB179463)
  • IHC-P

Supplier Data

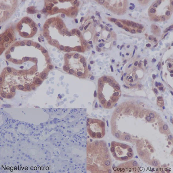
Immunohistochemistry (Formalin/PFA-fixed paraffin-embedded sections) - Anti-AKT1 + AKT2 + AKT3 antibody [EPR16798] (AB179463)

Immunohistochemical analysis of paraffin-embedded Human kidney tissue labeling AKT1 + AKT2 + AKT3 with ab179463 at 1/250 dilution followed by prediluted HRP Polymer for Rabbit/Mouse IgG. Cytoplasm and nucleus staining on Human renal cortex is observed. Counter stained with Hematoxylin.

Negative control : Using PBS instead of primary ab secondary ab is prediluted HRP Polymer for Rabbit/Mouse IgG.

Perform heat mediated antigen retrieval with Tris/EDTA buffer pH 9.0 before commencing with IHC staining protocol.

Immunocytochemistry/ Immunofluorescence - Anti-AKT1 + AKT2 + AKT3 antibody [EPR16798] (AB179463)
  • ICC/IF

Supplier Data

Immunocytochemistry/ Immunofluorescence - Anti-AKT1 + AKT2 + AKT3 antibody [EPR16798] (AB179463)

Immunofluorescent analysis of 4% paraformaldehyde-fixed, 0.1% Triton X-100 permeabilized K562 (Human chronic myelogenous leukemia cells from bone marrow) cells labeling AKT1 + AKT2 + AKT3 with ab179463 at 1/100 dilution, followed by Goat anti-rabbit IgG (Alexa Fluor® 488) (ab150077) secondary antibody at 1/400 dilution (green). Cytoplasm and nuclear staining on K562 cell line is observed. The nuclear counter stain is DAPI (blue). Tubulin is detected with ab7291 (anti-Tubulin mouse mAb) at 1/500 dilution and ab150120 (AlexaFluor®594 Goat anti-Mouse secondary) at 1/500 dilution (red).
The negative controls are as follows;
1. ab179463 at 1/100 dilution followed by ab150120 (AlexaFluor®594 Goat anti-Mouse secondary) at 1/500 dilution.
2. ab7291 (anti-Tubulin mouse mAb) at 1/500 dilution followed by ab150077 (Alexa Fluor®488 Goat Anti-Rabbit IgG H&L) at 1/400 dilution.

Immunoprecipitation - Anti-AKT1 + AKT2 + AKT3 antibody [EPR16798] (AB179463)
  • IP

Supplier Data

Immunoprecipitation - Anti-AKT1 + AKT2 + AKT3 antibody [EPR16798] (AB179463)

AKT1 + AKT2 + AKT3 was immunoprecipitated from 1mg of MCF7 (Human breast adenocarcinoma cell line) whole cell extract with ab179463 at 1/100 dilution. Western blot was performed from the immunoprecipitate using ab179463 at 1/1000 dilution. Anti-Rabbit IgG (HRP), specific to the non-reduced form of IgG, was used as secondary antibody at 1/1500 dilution. Lane 1 : MCF7 whole cell extract. Lane 2 : PBS instead of MCF7 whole cell extract.
Blocking and dilution buffer and concentration : 5% NFDM/TBST.

All lanes:

Immunoprecipitation - Anti-AKT1 + AKT2 + AKT3 antibody [EPR16798] (ab179463)

Predicted band size: 56 kDa

Observed band size: 56 kDa

false

Immunohistochemistry (Formalin/PFA-fixed paraffin-embedded sections) - Anti-AKT1 + AKT2 + AKT3 antibody [EPR16798] (AB179463)
  • IHC-P

Supplier Data

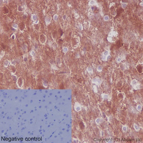
Immunohistochemistry (Formalin/PFA-fixed paraffin-embedded sections) - Anti-AKT1 + AKT2 + AKT3 antibody [EPR16798] (AB179463)

Immunohistochemical analysis of paraffin-embedded Rat cerebral cortex tissue labeling AKT1 + AKT2 + AKT3 with ab179463 at 1/250 dilution followed by prediluted HRP Polymer for Rabbit/Mouse IgG. Cytoplasm and nucleus staining on Rat cerebral cortex is observed. Counter stained with Hematoxylin.

Negative control : Using PBS instead of primary ab secondary ab is prediluted HRP Polymer for Rabbit/Mouse IgG.

Perform heat mediated antigen retrieval with Tris/EDTA buffer pH 9.0 before commencing with IHC staining protocol.

Immunohistochemistry (Formalin/PFA-fixed paraffin-embedded sections) - Anti-AKT1 + AKT2 + AKT3 antibody [EPR16798] (AB179463)
  • IHC-P

Supplier Data

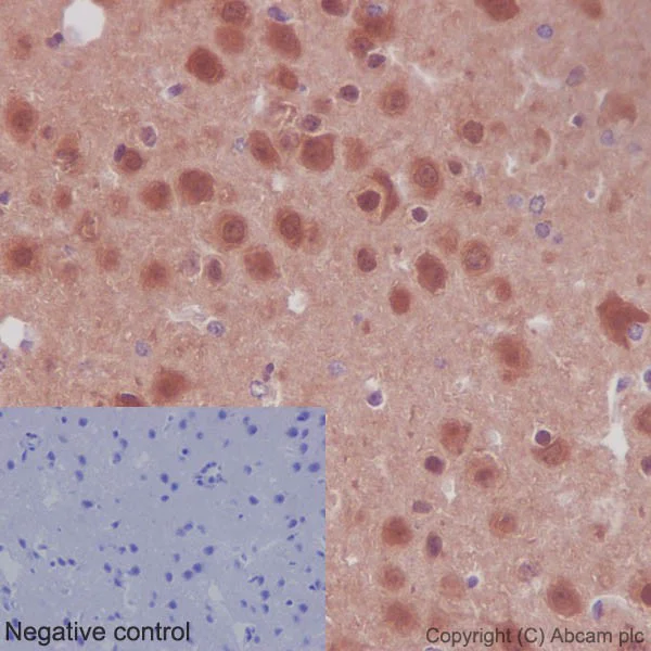
Immunohistochemistry (Formalin/PFA-fixed paraffin-embedded sections) - Anti-AKT1 + AKT2 + AKT3 antibody [EPR16798] (AB179463)

Immunohistochemical analysis of paraffin-embedded Mouse cerebral cortex tissue labeling AKT1 + AKT2 + AKT3 with ab179463 at 1/250 dilution followed by prediluted HRP Polymer for Rabbit/Mouse IgG. Cytoplasm and nucleus staining on Mouse cerebral cortex is observed. Counter stained with Hematoxylin.

Negative control : Using PBS instead of primary ab secondary ab is prediluted HRP Polymer for Rabbit/Mouse IgG.

Perform heat mediated antigen retrieval with Tris/EDTA buffer pH 9.0 before commencing with IHC staining protocol.

Western blot - Anti-AKT1 + AKT2 + AKT3 antibody [EPR16798] (AB179463)
  • WB

Supplier Data

Western blot - Anti-AKT1 + AKT2 + AKT3 antibody [EPR16798] (AB179463)

Blocking and diluting buffer and concentration : 5% NFDM/TBST.

The identity of the bands higher than 100 kDa are unknown.

In Western blot, Anti-AKT1 + AKT2 + AKT3 antibody [EPR16798] - (ab179463) staining at 1/10000 dilution.

All lanes:

Western blot - Anti-AKT (phospho T308) antibody [EPR26565-137] (<a href='/products/primary-antibodies/akt-phospho-t308-antibody-epr26565-137-ab324741'>ab324741</a>) at 1/5000 dilution

Lane 1:

Untreated LNCaP (human prostate carcinoma epithelial cell) starve overnight, whole cell lysate at 20 µg

Lanes 2 - 3:

LNCaP starve overnight, then treated with 100nM Calyculin A for 30min, whole cell lysate at 20 µg

Secondary

All lanes:

Western blot - Goat Anti-Rabbit IgG H&L (HRP) (<a href='/products/secondary-antibodies/goat-rabbit-igg-h-l-hrp-ab97051'>ab97051</a>) at 1/100000 dilution

Observed band size: 60 kDa

false

Exposure time: 180s

Western blot - Anti-AKT1 + AKT2 + AKT3 antibody [EPR16798] (AB179463)
  • WB

Supplier Data

Western blot - Anti-AKT1 + AKT2 + AKT3 antibody [EPR16798] (AB179463)

Blocking/Dilution buffer : 5% NFDM/TBST.

All lanes:

Western blot - Anti-AKT1 + AKT2 + AKT3 antibody [EPR16798] (ab179463) at 1/10000 dilution

Lane 1:

MCF7 (Human breast adenocarcinoma cell line) whole cell lysates at 20 µg

Lane 2:

HeLa (Human epithelial cells from cervix adenocarcinoma) whole cell lysates at 20 µg

Lane 3:

Hep G2 (Human liver hepatocellular carcinoma) whole cell lysates at 20 µg

Lane 4:

A549 (Human lung carcinoma) whole cell lysates at 20 µg

Secondary

All lanes:

Goat Anti-Rabbit IgG, (H+L),Peroxidase conjugated at 1/1000 dilution

Predicted band size: 56 kDa

Observed band size: 56 kDa

false

Western blot - Anti-AKT1 + AKT2 + AKT3 antibody [EPR16798] (AB179463)
  • WB

Supplier Data

Western blot - Anti-AKT1 + AKT2 + AKT3 antibody [EPR16798] (AB179463)

Blocking/Dilution buffer : 5% NFDM/TBST.

All lanes:

Western blot - Anti-AKT1 + AKT2 + AKT3 antibody [EPR16798] (ab179463) at 1/1000 dilution

Lane 1:

Human fetal brain lysate at 10 µg

Lane 2:

Human fetal heart lysate at 10 µg

Lane 3:

Human fetal kidney lysate at 10 µg

Secondary

All lanes:

Anti-Rabbit IgG (HRP), specific to the non-reduced form of IgG at 1/1000 dilution

Predicted band size: 56 kDa

Observed band size: 56 kDa

false

Western blot - Anti-AKT1 + AKT2 + AKT3 antibody [EPR16798] (AB179463)
  • WB

Supplier Data

Western blot - Anti-AKT1 + AKT2 + AKT3 antibody [EPR16798] (AB179463)

Blocking/Dilution buffer : 5% NFDM/TBST.

All lanes:

Western blot - Anti-AKT1 + AKT2 + AKT3 antibody [EPR16798] (ab179463) at 1/10000 dilution

Lane 1:

AKT2 recombinant protein (HIS-tag): aa282-481 at 10 µg

Lane 2:

AKT3 recombinant protein (HIS-tag) :aa351-479 at 10 µg

Secondary

All lanes:

Goat Anti-Rabbit IgG, (H+L),Peroxidase conjugated at 1/1000 dilution

Predicted band size: 56 kDa

Observed band size: 18 kDa,26 kDa

false

Western blot - Anti-AKT1 + AKT2 + AKT3 antibody [EPR16798] (AB179463)
  • WB

Supplier Data

Western blot - Anti-AKT1 + AKT2 + AKT3 antibody [EPR16798] (AB179463)

Blocking/Dilution buffer : 5% NFDM/TBST.

All lanes:

Western blot - Anti-AKT1 + AKT2 + AKT3 antibody [EPR16798] (ab179463) at 1/1000 dilution

Lane 1:

Mouse brain lysate at 10 µg

Lane 2:

Mouse heart lysate at 10 µg

Lane 3:

Mouse kidney lysate at 10 µg

Lane 4:

Mouse spleen lysate at 10 µg

Lane 5:

Rat brain lysate at 10 µg

Lane 6:

Rat heart lysate at 10 µg

Lane 7:

Rat kidney lysate at 10 µg

Lane 8:

Rat spleen lysate at 10 µg

Secondary

All lanes:

Goat Anti-Rabbit IgG, (H+L),Peroxidase conjugated at 1/1000 dilution

Predicted band size: 56 kDa

Observed band size: 56 kDa

false

Western blot - Anti-AKT1 + AKT2 + AKT3 antibody [EPR16798] (AB179463)
  • WB

Supplier Data

Western blot - Anti-AKT1 + AKT2 + AKT3 antibody [EPR16798] (AB179463)

Blocking/Dilution buffer : 5% NFDM/TBST.

All lanes:

Western blot - Anti-AKT1 + AKT2 + AKT3 antibody [EPR16798] (ab179463) at 1/10000 dilution

All lanes:

Xenopus muscle lysate at 10 µg

Secondary

All lanes:

Goat Anti-Rabbit IgG, (H+L),Peroxidase conjugated at 1/1000 dilution

Predicted band size: 56 kDa

Observed band size: 56 kDa

false

関連する標識済み抗体及び組成の異なる製品 (4)

  • HRP

    HRP Anti-AKT1 + AKT2 + AKT3 antibody [EPR16798]

  • Carrier free

    Anti-AKT1 + AKT2 + AKT3 antibody [EPR16798] - BSA and Azide free

  • 519 Alexa Fluor® 488

    Alexa Fluor® 488 Anti-AKT1 + AKT2 + AKT3 antibody [EPR16798]

  • 665 Alexa Fluor® 647

    Alexa Fluor® 647 Anti-AKT1 + AKT2 + AKT3 antibody [EPR16798]

Key facts

宿主種

Rabbit

クローン性

Monoclonal

クローン番号

EPR16798

アイソタイプ

IgG

キャリアフリー

No

交差種

Mouse, Rat, Human, Xenopus laevis, Xenopus tropicalis

アプリケーション

WB, Flow Cyt (Intra), IHC-P, IP, ICC/IF

applications

免疫原

The exact immunogen used to generate this antibody is proprietary information.

Reactivity data

{ "title": "Reactivity Data", "filters": { "stats": ["", "Species", "Dilution Info", "Notes"], "tabs": { "all-applications": {"fullname" : "All Applications", "shortname": "All Applications"}, "IP" : {"fullname" : "Immunoprecipitation", "shortname":"IP"}, "WB" : {"fullname" : "Western blot", "shortname":"WB"}, "ICCIF" : {"fullname" : "Immunocytochemistry/ Immunofluorescence", "shortname":"ICC/IF"}, "FlowCytIntra" : {"fullname" : "Flow Cytometry (Intracellular)", "shortname":"Flow Cyt (Intra)"}, "IHCP" : {"fullname" : "Immunohistochemistry (Formalin/PFA-fixed paraffin-embedded sections)", "shortname":"IHC-P"} }, "product-promise": { "all": "all", "testedAndGuaranteed": "tested", "guaranteed": "expected", "predicted": "predicted", "notRecommended": "not-recommended" } }, "values": { "Human": { "IP-species-checked": "testedAndGuaranteed", "IP-species-dilution-info": "1/100", "IP-species-notes": "<p></p>", "WB-species-checked": "testedAndGuaranteed", "WB-species-dilution-info": "1/10000", "WB-species-notes": "<p></p>", "ICCIF-species-checked": "testedAndGuaranteed", "ICCIF-species-dilution-info": "1/100", "ICCIF-species-notes": "<p></p>", "FlowCytIntra-species-checked": "testedAndGuaranteed", "FlowCytIntra-species-dilution-info": "1/330", "FlowCytIntra-species-notes": "<p><a href='/products/primary-antibodies/rabbit-igg-monoclonal-epr25a-isotype-control-ab172730'>ab172730</a> - Rabbit monoclonal IgG, is suitable for use as an isotype control with this antibody.</p>", "IHCP-species-checked": "testedAndGuaranteed", "IHCP-species-dilution-info": "1/250", "IHCP-species-notes": "<p></p> Perform heat-mediated antigen retrieval with Tris/EDTA buffer pH 9.0 before commencing with IHC staining protocol." }, "Mouse": { "IP-species-checked": "guaranteed", "IP-species-dilution-info": "", "IP-species-notes": "", "WB-species-checked": "testedAndGuaranteed", "WB-species-dilution-info": "1/10000", "WB-species-notes": "<p></p>", "ICCIF-species-checked": "guaranteed", "ICCIF-species-dilution-info": "", "ICCIF-species-notes": "", "FlowCytIntra-species-checked": "guaranteed", "FlowCytIntra-species-dilution-info": "", "FlowCytIntra-species-notes": "", "IHCP-species-checked": "testedAndGuaranteed", "IHCP-species-dilution-info": "1/250", "IHCP-species-notes": "<p></p> Perform heat-mediated antigen retrieval with Tris/EDTA buffer pH 9.0 before commencing with IHC staining protocol." }, "Rat": { "IP-species-checked": "guaranteed", "IP-species-dilution-info": "", "IP-species-notes": "", "WB-species-checked": "testedAndGuaranteed", "WB-species-dilution-info": "1/10000", "WB-species-notes": "<p></p>", "ICCIF-species-checked": "guaranteed", "ICCIF-species-dilution-info": "", "ICCIF-species-notes": "", "FlowCytIntra-species-checked": "guaranteed", "FlowCytIntra-species-dilution-info": "", "FlowCytIntra-species-notes": "", "IHCP-species-checked": "testedAndGuaranteed", "IHCP-species-dilution-info": "1/250", "IHCP-species-notes": "<p></p> Perform heat-mediated antigen retrieval with Tris/EDTA buffer pH 9.0 before commencing with IHC staining protocol." }, "Recombinant fragment": { "IP-species-checked": "notRecommended", "IP-species-dilution-info": "", "IP-species-notes": "", "WB-species-checked": "testedAndGuaranteed", "WB-species-dilution-info": "1/10000", "WB-species-notes": "<p></p>", "ICCIF-species-checked": "notRecommended", "ICCIF-species-dilution-info": "", "ICCIF-species-notes": "", "FlowCytIntra-species-checked": "notRecommended", "FlowCytIntra-species-dilution-info": "", "FlowCytIntra-species-notes": "", "IHCP-species-checked": "notRecommended", "IHCP-species-dilution-info": "", "IHCP-species-notes": "" }, "Xenopus laevis": { "IP-species-checked": "guaranteed", "IP-species-dilution-info": "", "IP-species-notes": "", "WB-species-checked": "testedAndGuaranteed", "WB-species-dilution-info": "1/10000", "WB-species-notes": "<p></p>", "ICCIF-species-checked": "guaranteed", "ICCIF-species-dilution-info": "", "ICCIF-species-notes": "", "FlowCytIntra-species-checked": "guaranteed", "FlowCytIntra-species-dilution-info": "", "FlowCytIntra-species-notes": "", "IHCP-species-checked": "guaranteed", "IHCP-species-dilution-info": "", "IHCP-species-notes": "" }, "Xenopus tropicalis": { "IP-species-checked": "predicted", "IP-species-dilution-info": "", "IP-species-notes": "", "WB-species-checked": "predicted", "WB-species-dilution-info": "", "WB-species-notes": "", "ICCIF-species-checked": "predicted", "ICCIF-species-dilution-info": "", "ICCIF-species-notes": "", "FlowCytIntra-species-checked": "predicted", "FlowCytIntra-species-dilution-info": "", "FlowCytIntra-species-notes": "", "IHCP-species-checked": "predicted", "IHCP-species-dilution-info": "", "IHCP-species-notes": "" } } }

製品の詳細

What is this antibody validated in?
Anti-AKT1 + AKT2 + AKT3 antibody [EPR16798] (ab179463) is a rabbit recombinant monoclonal antibody and is validated for use in Western Blot (WB), Flow Cytometry (Intra), Flow Cytometry (Flow Cyt), Immunoprecipitation (IP), Immunohistochemistry (IHC-P), Immunocytochemistry/immunofluorescence (ICC/IF) in Human, Mouse, Rat, Xenopus laevis, Xenopus tropicalis samples.

What is the molecular weight of AKT1 + AKT2 + AKT3?
Anti-AKT1 + AKT2 + AKT3 [EPR16798] (ab179463) specifically detects a band for AKT1 + AKT2 + AKT3 (UniProt: P31749) at a molecular weight of 56kDa.

Trusted by the scientific community
Anti-AKT1 + AKT2 + AKT3 [EPR16798] (ab179463) was first used in a scientific publication in 2014 and has been cited over 310 times in peer-reviewed journals.

Trial sizes available!
Test your antibody or perform pre-screening before committing to a larger quantity. Sold in 10µl. Discover our selection of trial-size antibodies.

Other related products
We have a range of other formats of antibody clone [EPR16798] also available for your convenience: ab179463, PE - ab210454, Carrier free - ab214167, Carrier free - ab271930, Alexa Fluor® 647 - ab302553

Patented technology
Our RabMAb® technology is a patented hybridoma-based technology for making rabbit monoclonal antibodies. For details on our patents, please refer to RabMAb® patents.

What are the advantages of a recombinant monoclonal antibody?
This product is a recombinant monoclonal antibody, which offers several advantages including:

  • - High batch-to-batch consistency and reproducibility
  • - Improved sensitivity and specificity
  • - Long-term security of supply
  • - Animal-free batch production

For more information, read more on recombinant antibodies.

出荷温度及び保存条件

製品の状態
Liquid
精製方法
Affinity purification Protein A
バッファー組成
Preservative: 0.01% Sodium azide Constituents: PBS, 40% Glycerol (glycerin, glycerine), 0.05% BSA
出荷温度
Blue Ice
短期保存期間
1-2 weeks
短期保存温度
+4°C
長期保存温度
-20°C
分注に関する情報
Upon delivery aliquot
保管に関する情報
Avoid freeze / thaw cycle

補足情報

This supplementary information is collated from multiple sources and compiled automatically.

AKT1 AKT2 and AKT3 also known as Protein Kinase B (PKB) isoforms are serine/threonine-specific protein kinases with critical roles in cellular processes. AKT1 has a molecular weight of about 55.8 kDa AKT2 weighs approximately 56.1 kDa and AKT3 typically has a similar mass. These proteins are expressed in many tissues including brain and heart with AKT1 ubiquitously present AKT2 focused in insulin-responsive tissues and AKT3 mainly in the brain. The molecular weight of AKT plays an important role in their functionality and specificity in tissues.
Biological function summary

AKT proteins regulate cell cycle growing cell survival proliferation and metabolism. They participate as core components of the PI3K/AKT/mTOR signaling pathway forming complexes with other proteins to transmit signals. They bind to phosphoinositide lipids on the cell membrane facilitating their activation and downstream signaling. Through these activities the AKT transporter proteins maintain cellular homeostasis and play a part in stress response.

Pathways

AKT proteins engage in important signaling networks including the PI3K/AKT pathway and mTOR pathway. They work closely with PI3K and mTOR proteins coordinating cellular growth and energy metabolism. In particular the AKT pathway responds to growth factors and insulin influencing glucose uptake and glycolysis regulation through interaction with proteins such as glycogen synthase kinase 3 (GSK3).

Dysregulation of AKT signaling can lead to cancer and diabetes. High AKT activation correlates with various cancers by promoting cell survival and growth. In diabetes impaired AKT2 regulation disrupts glucose uptake affecting insulin response. AKT's relationship with mTOR is significant as it often influences tumor growth and progression in cancerous tissues.

製品プロトコール

For this product, it's our understanding that no specific protocols are required. You can visit:

ターゲットの情報

AKT1 is one of 3 closely related serine/threonine-protein kinases (AKT1, AKT2 and AKT3) called the AKT kinase, and which regulate many processes including metabolism, proliferation, cell survival, growth and angiogenesis (PubMed : 11882383, PubMed : 15526160, PubMed : 15861136, PubMed : 21432781, PubMed : 21620960, PubMed : 31204173). This is mediated through serine and/or threonine phosphorylation of a range of downstream substrates (PubMed : 11882383, PubMed : 15526160, PubMed : 21432781, PubMed : 21620960, PubMed : 29343641, PubMed : 31204173). Over 100 substrate candidates have been reported so far, but for most of them, no isoform specificity has been reported (PubMed : 11882383, PubMed : 15526160, PubMed : 21432781, PubMed : 21620960). AKT is responsible of the regulation of glucose uptake by mediating insulin-induced translocation of the SLC2A4/GLUT4 glucose transporter to the cell surface (By similarity). Phosphorylation of PTPN1 at 'Ser-50' negatively modulates its phosphatase activity preventing dephosphorylation of the insulin receptor and the attenuation of insulin signaling (By similarity). Phosphorylation of TBC1D4 triggers the binding of this effector to inhibitory 14-3-3 proteins, which is required for insulin-stimulated glucose transport (PubMed : 11994271). AKT also regulates the storage of glucose in the form of glycogen by phosphorylating GSK3A at 'Ser-21' and GSK3B at 'Ser-9', resulting in inhibition of its kinase activity (By similarity). Phosphorylation of GSK3 isoforms by AKT is also thought to be one mechanism by which cell proliferation is driven (By similarity). AKT also regulates cell survival via the phosphorylation of MAP3K5 (apoptosis signal-related kinase) (PubMed : 11154276). Phosphorylation of 'Ser-83' decreases MAP3K5 kinase activity stimulated by oxidative stress and thereby prevents apoptosis (PubMed : 11154276). AKT mediates insulin-stimulated protein synthesis by phosphorylating TSC2 at 'Ser-939' and 'Thr-1462', thereby activating the mTORC1 signaling pathway, and leading to both phosphorylation of 4E-BP1 and in activation of RPS6KB1 (PubMed : 12150915, PubMed : 12172553). Also regulates the mTORC1 signaling pathway by catalyzing phosphorylation of CASTOR1 and DEPDC5 (PubMed : 31548394, PubMed : 33594058). AKT plays a role as key modulator of the AKT-mTOR signaling pathway controlling the tempo of the process of newborn neurons integration during adult neurogenesis, including correct neuron positioning, dendritic development and synapse formation (By similarity). Part of a positive feedback loop of mTORC2 signaling by mediating phosphorylation of MAPKAP1/SIN1, promoting mTORC2 activation (By similarity). AKT is involved in the phosphorylation of members of the FOXO factors (Forkhead family of transcription factors), leading to binding of 14-3-3 proteins and cytoplasmic localization (PubMed : 10358075). In particular, FOXO1 is phosphorylated at 'Thr-24', 'Ser-256' and 'Ser-319' (PubMed : 10358075). FOXO3 and FOXO4 are phosphorylated on equivalent sites (PubMed : 10358075). AKT has an important role in the regulation of NF-kappa-B-dependent gene transcription and positively regulates the activity of CREB1 (cyclic AMP (cAMP)-response element binding protein) (PubMed : 9829964). The phosphorylation of CREB1 induces the binding of accessory proteins that are necessary for the transcription of pro-survival genes such as BCL2 and MCL1 (PubMed : 9829964). AKT phosphorylates 'Ser-454' on ATP citrate lyase (ACLY), thereby potentially regulating ACLY activity and fatty acid synthesis (By similarity). Activates the 3B isoform of cyclic nucleotide phosphodiesterase (PDE3B) via phosphorylation of 'Ser-273', resulting in reduced cyclic AMP levels and inhibition of lipolysis (By similarity). Phosphorylates PIKFYVE on 'Ser-318', which results in increased PI(3)P-5 activity (By similarity). The Rho GTPase-activating protein DLC1 is another substrate and its phosphorylation is implicated in the regulation cell proliferation and cell growth (By similarity). Signals downstream of phosphatidylinositol 3-kinase (PI(3)K) to mediate the effects of various growth factors such as platelet-derived growth factor (PDGF), epidermal growth factor (EGF), insulin and insulin-like growth factor 1 (IGF1) (PubMed : 12176338, PubMed : 12964941). AKT mediates the antiapoptotic effects of IGF1 (By similarity). Essential for the SPATA13-mediated regulation of cell migration and adhesion assembly and disassembly (PubMed : 19934221). May be involved in the regulation of the placental development (By similarity). Phosphorylates STK4/MST1 at 'Thr-120' and 'Thr-387' leading to inhibition of its : kinase activity, nuclear translocation, autophosphorylation and ability to phosphorylate FOXO3 (PubMed : 17726016). Phosphorylates STK3/MST2 at 'Thr-117' and 'Thr-384' leading to inhibition of its : cleavage, kinase activity, autophosphorylation at Thr-180, binding to RASSF1 and nuclear translocation (PubMed : 20086174). Phosphorylates SRPK2 and enhances its kinase activity towards SRSF2 and ACIN1 and promotes its nuclear translocation (PubMed : 19592491). Phosphorylates RAF1 at 'Ser-259' and negatively regulates its activity (PubMed : 10576742). Phosphorylation of BAD stimulates its pro-apoptotic activity (PubMed : 10926925). Phosphorylates KAT6A at 'Thr-369' and this phosphorylation inhibits the interaction of KAT6A with PML and negatively regulates its acetylation activity towards p53/TP53 (PubMed : 23431171). Phosphorylates palladin (PALLD), modulating cytoskeletal organization and cell motility (PubMed : 20471940). Phosphorylates prohibitin (PHB), playing an important role in cell metabolism and proliferation (PubMed : 18507042). Phosphorylates CDKN1A, for which phosphorylation at 'Thr-145' induces its release from CDK2 and cytoplasmic relocalization (PubMed : 16982699). These recent findings indicate that the AKT1 isoform has a more specific role in cell motility and proliferation (PubMed : 16139227). Phosphorylates CLK2 thereby controlling cell survival to ionizing radiation (PubMed : 20682768). Phosphorylates PCK1 at 'Ser-90', reducing the binding affinity of PCK1 to oxaloacetate and changing PCK1 into an atypical protein kinase activity using GTP as donor (PubMed : 32322062). Also acts as an activator of TMEM175 potassium channel activity in response to growth factors : forms the lysoK(GF) complex together with TMEM175 and acts by promoting TMEM175 channel activation, independently of its protein kinase activity (PubMed : 32228865). Acts as a regulator of mitochondrial calcium uptake by mediating phosphorylation of MICU1 in the mitochondrial intermembrane space, impairing MICU1 maturation (PubMed : 30504268). Acts as an inhibitor of tRNA methylation by mediating phosphorylation of the N-terminus of METTL1, thereby inhibiting METTL1 methyltransferase activity (PubMed : 15861136). In response to LPAR1 receptor pathway activation, phosphorylates Rabin8/RAB3IP which alters its activity and phosphorylates WDR44 which induces WDR44 binding to Rab11, thereby switching Rab11 vesicular function from preciliary trafficking to endocytic recycling (PubMed : 31204173).
See full target information AKT1

追加のターゲット

RAC-beta serine/threonine-protein kinase,AKT3

文献 (456)

Recent publications for all applications. Explore the full list and refine your search

Scientific reports 15:33520 PubMed41023048

2025

SETD5 in glioma cells conferred TRAIL resistance induction.

Applications

Unspecified application

Species

Unspecified reactive species

Lakshay Taneja,Sachin Bhardwaj,Ajay Kumar Yadav

PloS one 20:e0332202 PubMed40991530

2025

Investigating the anti-osteosarcoma effects of Patchouli alcohol through protein network mapping and in vitro experiments.

Applications

Unspecified application

Species

Unspecified reactive species

Zeyu Zhan,He Pang,Hang Wu,Lijun Song,Bo Wei

Science advances 11:eadu5571 PubMed40961206

2025

Nanozyme eye drops for retinal barrier penetration and vasculopathy repair.

Applications

Unspecified application

Species

Unspecified reactive species

Bai Xue,Shuyu Wang,Tingting Wu,Lulu Wang,Xuejiao J Gao,Mengyuan Cao,Ming Tang,Yuxin Wan,Xiyun Yan,Wei Jiang,Bing Jiang

Frontiers in medicine 12:1614592 PubMed40809438

2025

Mechanism of action of decitabine in treating acute lymphoblastic leukemia.

Applications

Unspecified application

Species

Unspecified reactive species

Xiaohui Gao,Hui Zeng,Fei Sun,Xiaoyan Zhao,Haibing Wu,Minchao Yan,Yuan Li,Qinyan Fu,Gang Zhang

Bioactive materials 53:737-753 PubMed40801020

2025

Inhibition of ARH2 by pH/ROS-responsive nanosystem for improved lung adenocarcinoma immunochemotherapy.

Applications

Unspecified application

Species

Unspecified reactive species

Rui Cai,Meng Wang,Mengting Pan,Zhiwu Zhang,Qiang Jia,Longbao Feng,Zhongjian Yu,Lu Liu,Tongyu Zhu,Silin Cai,Han Tian,Jiangyu Zhang,Rui Guo,Yanfang Zheng

Cell biochemistry and function 43:e70108 PubMed40770889

2025

Osteoking Ameliorates Type 2 Diabetes Osteoporosis by Enhancing Osteoblast Differentiation via PI3K/AKT/GSK-3β Pathway Activation.

Applications

Unspecified application

Species

Unspecified reactive species

Rong Li,Jiangli Lu,Peijin Wang,Yulan Zhao,Yi Yang,Jianlin Jiao,Zhongyi Qian,Limei Wang,Hong Zheng

Pharmaceuticals (Basel, Switzerland) 18: PubMed40732297

2025

Isoliensinine Induces Ferroptosis in Urothelial Carcinoma Cells via the PI3K/AKT/HIF-1α Axis: Molecular Evidence from Next-Generation Sequencing.

Applications

Unspecified application

Species

Unspecified reactive species

Yun-Chen Li,Hsuan-En Huang,Chia-Ying Yu,Ya-Chuan Chang,Shu-Yu Lin,Shao-Chuan Wang,Wen-Wei Sung

International journal of oral science 17:56 PubMed40707447

2025

Single-cell transcriptomics identifies PDGFRA progenitors orchestrating angiogenesis and periodontal tissue regeneration.

Applications

Unspecified application

Species

Unspecified reactive species

Jianing Liu,Junxi He,Ziqi Zhang,Lu Liu,Yuan Cao,Xiaohui Zhang,Xinyue Cai,Xinyan Luo,Xiao Lei,Nan Zhang,Hao Wang,Ji Chen,Peisheng Liu,Jiongyi Tian,Jiexi Liu,Yuru Gao,Haokun Xu,Chao Ma,Shengfeng Bai,Yubohan Zhang,Yan Jin,Chenxi Zheng,Bingdong Sui,Fang Jin

mSystems 10:e0014825 PubMed40693815

2025

Gut-derived exerts anti-cancer effects on colorectal cancer by modulating PDPN-CLEC-2 signaling pathway.

Applications

Unspecified application

Species

Unspecified reactive species

Xiaojuan Yang,Miao Liu,Ting Wang,Xinjuan Ma,Zhirong Guan,Bin Ma,Xiangguo Duan,Chunxia Su

PloS one 20:e0326676 PubMed40569910

2025

Effects of Conocarpus lancifolius and crocin on superoxide dismutase and protein kinase B genes and protein expressions in diabetic rats.

Applications

Unspecified application

Species

Unspecified reactive species

Mohamed Lotfy,Abdallah Khalaf,Faisal AlBarghouthy,Abdulla Alhashmi,Hesham Adam,Abdulla Almesmari,Biduth Kundu,Taoufik Ksiksi
View all publications

Abcam product promise

当社は、高品質な試薬を通じてお客様の研究を力強くサポートすることをお約束いたします。ご使用いただく各段階で、常にお客様をサポートできる体制を整えております。万が一、製品が期待通りに機能しない場合は、「Abcam Product Promise」による当社保証制度に基づき、安心してご利用いただけます。
保証に関する詳細については利用規約をご確認ください。

Please note: All products are 'FOR RESEARCH USE ONLY. NOT FOR USE IN DIAGNOSTIC OR THERAPEUTIC PROCEDURES'.

For licensing inquiries, please contact partnerships@abcam.com