JavaScript is disabled in your browser. Please enable JavaScript to view this website.
AB316864

Anti-AKR1C3 抗体 [EPR28747-41]

Anti-AKR1C3 antibody [EPR28747-41]

  • BOND RX™ Validated
  • 20ul selling size
  • Recombinant
  • RabMAb
  • 詳細を見る

Be the first to review this product! Submit a review

|

(1 Publication)

Rabbit Recombinant Monoclonal AKR1C3 antibody. Suitable for WB, IHC-P, Flow Cyt (Intra), IP, ICC/IF and reacts with Human, Mouse samples. Cited in 1 publication.

別名を表示する

DDH1, HSD17B5, KIAA0119, PGFS, AKR1C3, Aldo-keto reductase family 1 member C3, 17-beta-hydroxysteroid dehydrogenase type 5, 3-alpha-hydroxysteroid dehydrogenase type 2, Chlordecone reductase homolog HAKRb, Dihydrodiol dehydrogenase 3, Dihydrodiol dehydrogenase type I, HA1753, Prostaglandin F synthase, Testosterone 17-beta-dehydrogenase 5, 17-beta-HSD 5, 3-alpha-HSD type 2, DD-3, DD3

13 Images
Immunocytochemistry/ Immunofluorescence - Anti-AKR1C3 antibody [EPR28747-41] (AB316864)
  • ICC/IF

Supplier Data

Immunocytochemistry/ Immunofluorescence - Anti-AKR1C3 antibody [EPR28747-41] (AB316864)

Immunofluorescent analysis of 100% methanol-fixed, 0.1% TritonX-100 permeabilized TF-1 (human erythroleukemia erythroblast) cells labelling AKR1C3 with ab316864 at 1/50 (10.0 ug/ml) dilution, followed by ab150081 Goat Anti-Rabbit IgG H&L (Alexa Fluor® 488) preadsorbed antibody at 1/1000 (2 ug/ml) dilution (Green).

Confocal image showing nuclear and cytoplasmic staining in TF-1 cell line.
Low expression : HCT 116 (PMID : 21215737).
Image was taken with a confocal microscope(Leica-Microsystems, TCS SP8).

ab195889 Anti-alpha Tubulin mouse monoclonal antibody - Microtubule Marker (Alexa Fluor® 594) was used to counterstain tubulin at 1/200 (2.5ug/ml) dilution (Magenta). The Nuclear counterstain was DAPI (Blue).

Secondary antibody only control : Secondary antibody is ab150081 Goat Anti-Rabbit IgG H&L (Alexa Fluor® 488) preadsorbed at 1/1000 (2 ug/ml) dilution.

Immunohistochemistry (Formalin/PFA-fixed paraffin-embedded sections) - Anti-AKR1C3 antibody [EPR28747-41] (AB316864)
  • IHC-P

Supplier Data

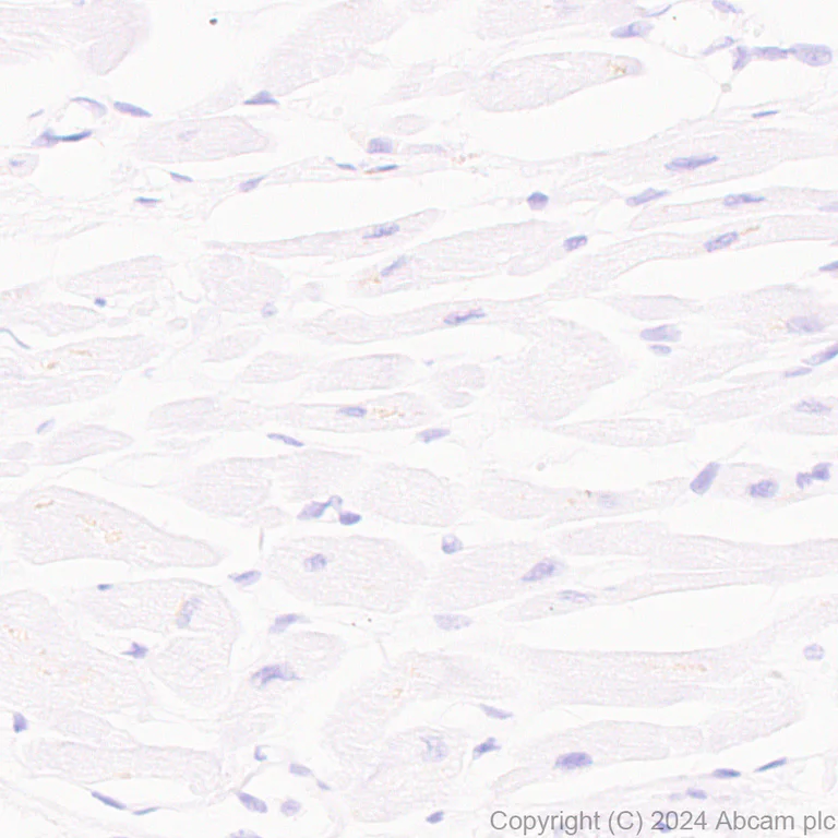
Immunohistochemistry (Formalin/PFA-fixed paraffin-embedded sections) - Anti-AKR1C3 antibody [EPR28747-41] (AB316864)

Immunohistochemical analysis of paraffin-embedded Human cardiac muscle tissue labeling AKR1C3 with ab316864 at 1/2000 (0.25 ug/ml) dilution, followed by a ready to use LeicaDS9800 (Bond™ Polymer Refine Detection).

Negative control : No staining on human cardiac muscle (PMID : 33352741).
The section was incubated with ab316864 for 30 mins at room temperature.
The immunostaining was performed on a Leica Biosystems BOND® RX instrument
Incubate slides with 3% Hydrogen Peroxide for 10 mins at room temperature after secondary antibody incubation to reduce the background.

Counterstained with Hematoxylin.

Secondary antibody only control : Secondary antibody is a ready to use LeicaDS9800 (Bond™ Polymer Refine Detection).

Heat mediated antigen retrieval was performed with Tris-EDTA buffer (pH 9.0, Epitope Retrieval Solution2) for 20 mins

Immunohistochemistry (Formalin/PFA-fixed paraffin-embedded sections) - Anti-AKR1C3 antibody [EPR28747-41] (AB316864)
  • IHC-P

Supplier Data

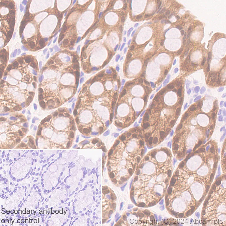
Immunohistochemistry (Formalin/PFA-fixed paraffin-embedded sections) - Anti-AKR1C3 antibody [EPR28747-41] (AB316864)

Immunohistochemical analysis of paraffin-embedded Human colon tissue labeling AKR1C3 with ab316864 at 1/2000 (0.25 ug/ml) dilution, followed by a ready to use LeicaDS9800 (Bond™ Polymer Refine Detection).

Positive staining on human colon (PMID : 33352741).
The section was incubated with ab316864 for 30 mins at room temperature.
The immunostaining was performed on a Leica Biosystems BOND® RX instrument
Incubate slides with 3% Hydrogen Peroxide for 10 mins at room temperature after secondary antibody incubation to reduce the background.

Counterstained with Hematoxylin.

Secondary antibody only control : Secondary antibody is a ready to use LeicaDS9800 (Bond™ Polymer Refine Detection).

Heat mediated antigen retrieval was performed with Tris-EDTA buffer (pH 9.0, Epitope Retrieval Solution2) for 20 mins

Immunohistochemistry (Formalin/PFA-fixed paraffin-embedded sections) - Anti-AKR1C3 antibody [EPR28747-41] (AB316864)
  • IHC-P

Supplier Data

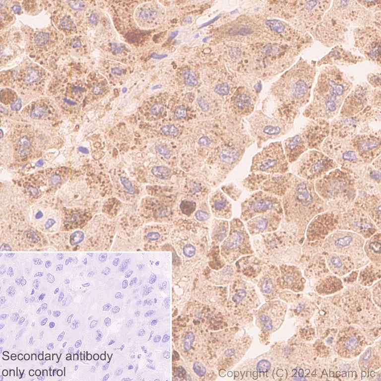
Immunohistochemistry (Formalin/PFA-fixed paraffin-embedded sections) - Anti-AKR1C3 antibody [EPR28747-41] (AB316864)

Immunohistochemical analysis of paraffin-embedded Human hepatocellular carcinoma tissue labeling AKR1C3 with ab316864 at 1/2000 (0.25 ug/ml) dilution, followed by a ready to use LeicaDS9800 (Bond™ Polymer Refine Detection).

Positive staining on human hepatocellular carcinoma.
The section was incubated with ab316864 for 30 mins at room temperature.
The immunostaining was performed on a Leica Biosystems BOND® RX instrument
Incubate slides with 3% Hydrogen Peroxide for 10 mins at room temperature after secondary antibody incubation to reduce the background.

Counterstained with Hematoxylin.

Secondary antibody only control : Secondary antibody is a ready to use LeicaDS9800 (Bond™ Polymer Refine Detection).

Heat mediated antigen retrieval was performed with Tris-EDTA buffer (pH 9.0, Epitope Retrieval Solution2) for 20 mins

Flow Cytometry (Intracellular) - Anti-AKR1C3 antibody [EPR28747-41] (AB316864)
  • Flow Cyt (Intra)

Supplier Data

Flow Cytometry (Intracellular) - Anti-AKR1C3 antibody [EPR28747-41] (AB316864)

Flow cytometric analysis of 4% paraformaldehyde fixed 90% methanol permeabilized HCT 116 (human colorectal carcinoma epithelial cell, Left) / TF-1 (human erythroleukemia erythroblast, Right) cells labelling AKR1C3 with ab316864 at 1/500 dilution (0.1 ug)/Red compared with a Rabbit monoclonal IgG (ab172730) (Black) isotype control and an unlabelled control (cells without incubation with primary antibody and secondary antibody) (Blue).

Goat Anti-Rabbit IgG (Alexa Fluor® 488, ab150081) at 1/5000 dilution was used as the secondary antibody.

Low expression : HCT 116.

Immunoprecipitation - Anti-AKR1C3 antibody [EPR28747-41] (AB316864)
  • IP

Supplier Data

Immunoprecipitation - Anti-AKR1C3 antibody [EPR28747-41] (AB316864)

AKR1C3 was immunoprecipitated from 0.35 mg A549 (human lung carcinoma epithelial cell) whole cell lysate with ab316864 at 1/30 dilution (2ug in 0.35mg lysates). Western blot was performed on the immunoprecipitate using ab316864 at 1/1000 dilution. VeriBlot for IP secondary antibody(HRP)(ab131366) was used at 1/5000 dilution.

Lane 1 : A549 (human lung carcinoma epithelial cell) whole cell lysate
Lane 2 : ab316864 IP in A549 (human lung carcinoma epithelial cell) whole cell lysate
Lane 3 : Rabbit monoclonal IgG (ab172730) instead of ab316864 in A549 whole cell lysate

All lanes:

Immunoprecipitation - Anti-AKR1C3 antibody [EPR28747-41] (ab316864) at 1/30 dilution

All lanes:

A549 (human lung carcinoma epithelial cell) whole cell lysate

Secondary

All lanes:

Immunoprecipitation - VeriBlot for IP Detection Reagent (HRP) (<a href='/products/reagents/veriblot-for-ip-detection-reagent-hrp-ab131366'>ab131366</a>) at 1/5000 dilution

false

Exposure time: 6s

Immunohistochemistry (Formalin/PFA-fixed paraffin-embedded sections) - Anti-AKR1C3 antibody [EPR28747-41] (AB316864)
  • IHC-P

Supplier Data

Immunohistochemistry (Formalin/PFA-fixed paraffin-embedded sections) - Anti-AKR1C3 antibody [EPR28747-41] (AB316864)

Immunohistochemical analysis of paraffin-embedded Mouse colon tissue labeling AKR1C3 with ab316864 at 1/2000 (0.25 ug/ml) dilution, followed by a ready to use LeicaDS9800 (Bond™ Polymer Refine Detection).

Positive staining on mouse colon.
The section was incubated with ab316864 for 30 mins at room temperature.
The immunostaining was performed on a Leica Biosystems BOND® RX instrument

Counterstained with Hematoxylin.

Secondary antibody only control : Secondary antibody is a ready to use LeicaDS9800 (Bond™ Polymer Refine Detection).

Heat mediated antigen retrieval was performed with Tris-EDTA buffer (pH 9.0, Epitope Retrieval Solution2) for 20 mins

Immunohistochemistry (Formalin/PFA-fixed paraffin-embedded sections) - Anti-AKR1C3 antibody [EPR28747-41] (AB316864)
  • IHC-P

Supplier Data

Immunohistochemistry (Formalin/PFA-fixed paraffin-embedded sections) - Anti-AKR1C3 antibody [EPR28747-41] (AB316864)

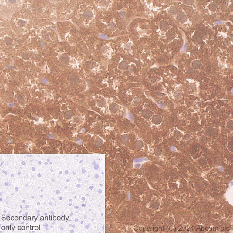
Immunohistochemical analysis of paraffin-embedded Mouse liver tissue labeling AKR1C3 with ab316864 at 1/2000 (0.25 ug/ml) dilution, followed by a ready to use LeicaDS9800 (Bond™ Polymer Refine Detection).

Positive staining on mouse liver.
The section was incubated with ab316864 for 30 mins at room temperature.
The immunostaining was performed on a Leica Biosystems BOND® RX instrument

Counterstained with Hematoxylin.

Secondary antibody only control : Secondary antibody is a ready to use LeicaDS9800 (Bond™ Polymer Refine Detection).

Heat mediated antigen retrieval was performed with Tris-EDTA buffer (pH 9.0, Epitope Retrieval Solution2) for 20 mins

Immunohistochemistry (Formalin/PFA-fixed paraffin-embedded sections) - Anti-AKR1C3 antibody [EPR28747-41] (AB316864)
  • IHC-P

Supplier Data

Immunohistochemistry (Formalin/PFA-fixed paraffin-embedded sections) - Anti-AKR1C3 antibody [EPR28747-41] (AB316864)

Immunohistochemical analysis of paraffin-embedded Mouse cardiac muscle tissue labeling AKR1C3 with ab316864 at 1/2000 (0.25 ug/ml) dilution, followed by a ready to use LeicaDS9800 (Bond™ Polymer Refine Detection).

Negative control : No staining on mouse cardiac muscle.
The section was incubated with ab316864 for 30 mins at room temperature.
The immunostaining was performed on a Leica Biosystems BOND® RX instrument

Counterstained with Hematoxylin.

Secondary antibody only control : Secondary antibody is a ready to use LeicaDS9800 (Bond™ Polymer Refine Detection).

Heat mediated antigen retrieval was performed with Tris-EDTA buffer (pH 9.0, Epitope Retrieval Solution2) for 20 mins

Western blot - Anti-AKR1C3 antibody [EPR28747-41] (AB316864)
  • WB

Supplier Data

Western blot - Anti-AKR1C3 antibody [EPR28747-41] (AB316864)

Low expression : HCT 116 (PMID : 21215737, PMID : 35388063)

In Western blot, Anti-Vinculin antibody [EPR8185] (ab129002) staining at 1/10000 dilution.

All lanes:

Western blot - Anti-AKR1C3 antibody [EPR28747-41] (ab316864) at 1/1000 dilution

Lane 1:

TF-1 (human Erythroleukemia erythroblast) whole cell lysate at 20 µg

Lane 2:

HCT116 (human colorectal carcinoma epithelial cell) whole cell lysate at 20 µg

Lane 3:

A549 (human lung carcinoma epithelial cell) whole cell lysate at 20 µg

Lane 4:

HepG2 (human hepatocellar carcinoma epithelial cell) whole cell lysate at 20 µg

Secondary

All lanes:

Western blot - Goat Anti-Rabbit IgG H&L (HRP) (<a href='/products/secondary-antibodies/goat-rabbit-igg-h-l-hrp-ab97051'>ab97051</a>) at 1/100000 dilution

Observed band size: 36 kDa,124 kDa

false

Exposure time: 10s

Western blot - Anti-AKR1C3 antibody [EPR28747-41] (AB316864)
  • WB

Supplier Data

Western blot - Anti-AKR1C3 antibody [EPR28747-41] (AB316864)

Low expression : muscle (PMID : 18635746)

In Western blot, Anti-GAPDH antibody [EPR16891] - Loading Control (ab181602) staining at 1/200000 dilution.

All lanes:

Western blot - Anti-AKR1C3 antibody [EPR28747-41] (ab316864) at 1/1000 dilution

Lane 1:

Human liver tissue lysate at 20 µg

Lane 2:

Human kidney tissue lysate at 20 µg

Lane 3:

Human testis tissue lysate at 20 µg

Lane 4:

Human skeletal muscle tissue lysate at 20 µg

Secondary

All lanes:

Western blot - Goat Anti-Rabbit IgG H&L (HRP) (<a href='/products/secondary-antibodies/goat-rabbit-igg-h-l-hrp-ab97051'>ab97051</a>) at 1/100000 dilution

Observed band size: 36 kDa

false

Exposure time: 8s

Western blot - Anti-AKR1C3 antibody [EPR28747-41] (AB316864)
  • WB

Supplier Data

Western blot - Anti-AKR1C3 antibody [EPR28747-41] (AB316864)

Low expression : muscle (PMID : 18635746)

In Western blot, Anti-GAPDH antibody [EPR16891] - Loading Control (ab181602) staining at 1/200000 dilution.

All lanes:

Western blot - Anti-AKR1C3 antibody [EPR28747-41] (ab316864) at 1/1000 dilution

Lane 1:

Mouse colon tissue lysate at 20 µg

Lane 2:

Mouse kidney tissue lysate at 20 µg

Lane 3:

Mouse liver tissue lysate at 20 µg

Lane 4:

Mouse skeletal muscle tissue lysate at 20 µg

Secondary

All lanes:

Western blot - Goat Anti-Rabbit IgG H&L (HRP) (<a href='/products/secondary-antibodies/goat-rabbit-igg-h-l-hrp-ab97051'>ab97051</a>) at 1/100000 dilution

Observed band size: 36 kDa

false

Exposure time: 10s

Dot Blot - Anti-AKR1C3 antibody [EPR28747-41] (AB316864)
  • Dot

Lab

Dot Blot - Anti-AKR1C3 antibody [EPR28747-41] (AB316864)

Dot blot analysis of AKR1C3 using ab316864 (Lane 1-4) at 1/1000 followed by a Goat Anti-Rabbit IgG, (H+L), Peroxidase conjugated (ab97051) at 1/20000 Dilution] dilution and Dot blot analysis of AKR1C3 using ab213204 (lane 5-8) at 1/1000 followed by a Goat Anti-Rabbit IgG, (H+L), Peroxidase conjugated (ab97051) at 1/20000 dilution.

Lane 1&5 : His tagged AKR1C1 recombinant protein
Lane 2&6 : His tagged AKR1C2 recombinant protein
Lane 3&7 : AKR1C3 recombinant protein without tag
Lane 4&8 : His tagged AKR1C4 recombinant protein

Lanes 1 - 4:

Dot Blot - Anti-AKR1C3 antibody [EPR28747-41] (ab316864) at 1/1000 dilution

Lanes 5 - 8:

Dot Blot - Anti-6X His tag® antibody [EPR20547] - ChIP Grade (<a href='/products/primary-antibodies/6x-his-tag-antibody-epr20547-chip-grade-ab213204'>ab213204</a>) at 1/1000 dilution

Lanes 1 and 5:

His tagged AKR1C1 recombinant protein

Lanes 2 and 6:

His tagged AKR1C2 recombinant protein

Lanes 3 and 7:

AKR1C3 recombinant protein without tag

Lanes 4 and 8:

His tagged AKR1C4 recombinant protein

Secondary

All lanes:

Dot Blot - Goat Anti-Rabbit IgG H&L (HRP) (<a href='/products/secondary-antibodies/goat-rabbit-igg-h-l-hrp-ab97051'>ab97051</a>)

false

Exposure time: 180s

関連する標識済み抗体及び組成の異なる製品 (1)

  • Carrier free

    Anti-AKR1C3 antibody [EPR28747-41] - BSA and Azide free

Key facts

宿主種

Rabbit

クローン性

Monoclonal

クローン番号

EPR28747-41

アイソタイプ

IgG

キャリアフリー

No

交差種

Human, Mouse

アプリケーション

WB, IP, Flow Cyt (Intra), IHC-P, ICC/IF

applications

免疫原

The exact immunogen used to generate this antibody is proprietary information.

特異性

Not suitable for detecting normal mouse lung tissue in IHC-P.

Reactivity data

{ "title": "Reactivity Data", "filters": { "stats": ["", "Species", "Dilution Info", "Notes"], "tabs": { "all-applications": {"fullname" : "All Applications", "shortname": "All Applications"}, "WB" : {"fullname" : "Western blot", "shortname":"WB"}, "IHCP" : {"fullname" : "Immunohistochemistry (Formalin/PFA-fixed paraffin-embedded sections)", "shortname":"IHC-P"}, "FlowCytIntra" : {"fullname" : "Flow Cytometry (Intracellular)", "shortname":"Flow Cyt (Intra)"}, "IP" : {"fullname" : "Immunoprecipitation", "shortname":"IP"}, "ICCIF" : {"fullname" : "Immunocytochemistry/ Immunofluorescence", "shortname":"ICC/IF"} }, "product-promise": { "all": "all", "testedAndGuaranteed": "tested", "guaranteed": "expected", "predicted": "predicted", "notRecommended": "not-recommended" } }, "values": { "Human": { "WB-species-checked": "testedAndGuaranteed", "WB-species-dilution-info": "1/1000", "WB-species-notes": "<p></p>", "IHCP-species-checked": "testedAndGuaranteed", "IHCP-species-dilution-info": "1/2000", "IHCP-species-notes": "<p></p> Perform heat-mediated antigen retrieval with Tris/EDTA buffer pH 9.0 before commencing with IHC staining protocol.", "FlowCytIntra-species-checked": "testedAndGuaranteed", "FlowCytIntra-species-dilution-info": "1/500", "FlowCytIntra-species-notes": "<p></p>", "IP-species-checked": "testedAndGuaranteed", "IP-species-dilution-info": "1/30", "IP-species-notes": "<p></p>", "ICCIF-species-checked": "testedAndGuaranteed", "ICCIF-species-dilution-info": "1/50", "ICCIF-species-notes": "<p></p>" }, "Mouse": { "WB-species-checked": "testedAndGuaranteed", "WB-species-dilution-info": "1/1000", "WB-species-notes": "<p></p>", "IHCP-species-checked": "testedAndGuaranteed", "IHCP-species-dilution-info": "1/2000", "IHCP-species-notes": "<p></p> Perform heat-mediated antigen retrieval with Tris/EDTA buffer pH 9.0 before commencing with IHC staining protocol.", "FlowCytIntra-species-checked": "guaranteed", "FlowCytIntra-species-dilution-info": "", "FlowCytIntra-species-notes": "", "IP-species-checked": "guaranteed", "IP-species-dilution-info": "", "IP-species-notes": "", "ICCIF-species-checked": "guaranteed", "ICCIF-species-dilution-info": "", "ICCIF-species-notes": "" }, "Rat": { "WB-species-checked": "notRecommended", "WB-species-dilution-info": "", "WB-species-notes": "<p></p>", "IHCP-species-checked": "notRecommended", "IHCP-species-dilution-info": "", "IHCP-species-notes": "<p></p>", "FlowCytIntra-species-checked": "notRecommended", "FlowCytIntra-species-dilution-info": "", "FlowCytIntra-species-notes": "", "IP-species-checked": "notRecommended", "IP-species-dilution-info": "", "IP-species-notes": "", "ICCIF-species-checked": "notRecommended", "ICCIF-species-dilution-info": "", "ICCIF-species-notes": "" } } }

製品の詳細

Patented technology
Our RabMAb® technology is a patented hybridoma-based technology for making rabbit monoclonal antibodies. For details on our patents, please refer to RabMAb® patents.

What are the advantages of a recombinant monoclonal antibody?
This product is a recombinant monoclonal antibody, which offers several advantages including:

  • - High batch-to-batch consistency and reproducibility
  • - Improved sensitivity and specificity
  • - Long-term security of supply
  • - Animal-free batch production

For more information, read more on recombinant antibodies.

出荷温度及び保存条件

製品の状態
Liquid
精製方法
Affinity purification Protein A
バッファー組成
pH: 7.2 - 7.4 Preservative: 0.01% Sodium azide Constituents: PBS, 40% Glycerol (glycerin, glycerine), 0.05% BSA
出荷温度
Blue Ice
短期保存期間
1-2 weeks
短期保存温度
+4°C
長期保存温度
-20°C
分注に関する情報
Upon delivery aliquot
保管に関する情報
Avoid freeze / thaw cycle

補足情報

This supplementary information is collated from multiple sources and compiled automatically.

The AKR1C3 protein also known as aldo-keto reductase family 1 member C3 functions as an enzyme and part of the aldo-keto reductase superfamily. AKR1C3 reduces ketosteroids and prostaglandins participating in steroid hormone metabolism. It has a molecular mass of about 37 kDa. It is expressed in various tissues such as the liver ovaries and adrenal glands.
Biological function summary

The enzyme engages in important roles in androgen estrogen and prostaglandin metabolism. AKR1C3 works in steroid biosynthesis by reducing 17-ketosteroids to their hydroxysteroid forms. It participates in the regulation of sex steroid hormones and contributes to prostaglandin metabolism though it does not function as part of a complex. Its activity can affect the balance of hormones and local cellular processes impacting a variety of biological activities.

Pathways

AKR1C3 plays significant roles in metabolic and signaling pathways including the steroid hormone biosynthesis and prostaglandin receptor pathways. It interacts with other enzymes like AKR1C2 which also works in steroid processing adding to the regulation of hormone levels and activities. These pathways enable the enzyme to alter cellular responses and influence receptor signaling.

AKR1C3 has associations with hormone-related cancers such as prostate and breast cancer. Its overexpression or misregulation could drive tumor progression by altering hormone levels that fuel cancer growth. It connects with other proteins like CYP19A1 (aromatase) involved in estrogen synthesis indicating a contribution to estrogen-sensitive cancer development. Overall AKR1C3's role in metabolic dysfunctions and hormone-related disorders emphasizes its importance as a biological target.

製品プロトコール

For this product, it's our understanding that no specific protocols are required. You can visit:

ターゲットの情報

Cytosolic aldo-keto reductase that catalyzes the NADH and NADPH-dependent reduction of ketosteroids to hydroxysteroids. Acts as a NAD(P)(H)-dependent 3-, 17- and 20-ketosteroid reductase on the steroid nucleus and side chain and regulates the metabolism of androgens, estrogens and progesterone (PubMed : 10622721, PubMed : 11165022, PubMed : 7650035, PubMed : 9415401, PubMed : 9927279). Displays the ability to catalyze both oxidation and reduction in vitro, but most probably acts as a reductase in vivo since the oxidase activity measured in vitro is inhibited by physiological concentration of NADPH (PubMed : 11165022, PubMed : 14672942). Acts preferentially as a 17-ketosteroid reductase and has the highest catalytic efficiency of the AKR1C enzyme for the reduction of delta4-androstenedione to form testosterone (PubMed : 20036328). Reduces prostaglandin (PG) D2 to 11beta-prostaglandin F2, progesterone to 20alpha-hydroxyprogesterone and estrone to 17beta-estradiol (PubMed : 10622721, PubMed : 10998348, PubMed : 11165022, PubMed : 15047184, PubMed : 19010934, PubMed : 20036328). Catalyzes the transformation of the potent androgen dihydrotestosterone (DHT) into the less active form, 5-alpha-androstan-3-alpha,17-beta-diol (3-alpha-diol) (PubMed : 10557352, PubMed : 10998348, PubMed : 11165022, PubMed : 14672942, PubMed : 7650035, PubMed : 9415401). Also displays retinaldehyde reductase activity toward 9-cis-retinal (PubMed : 21851338).
See full target information AKR1C3

文献 (1)

Recent publications for all applications. Explore the full list and refine your search

World journal of gastrointestinal oncology 17:98844 PubMed40092947

2025

Chlorogenic acid induces hepatocellular carcinoma cell ferroptosis PTGS2/AKR1C3/GPX4 axis-mediated reprogramming of arachidonic acid metabolism.

Applications

Unspecified application

Species

Unspecified reactive species

Ling Wu,Hong-Yao Chen,Jing-Ting Zhang,Ren-Yi Yang,Zhi-Bin Wang,Pei-Sen Xue,Wei Peng,Ke-Xiong Li,Wen-Hui Gao,Pu-Hua Zeng
View all publications

Abcam product promise

当社は、高品質な試薬を通じてお客様の研究を力強くサポートすることをお約束いたします。ご使用いただく各段階で、常にお客様をサポートできる体制を整えております。万が一、製品が期待通りに機能しない場合は、「Abcam Product Promise」による当社保証制度に基づき、安心してご利用いただけます。
保証に関する詳細については利用規約をご確認ください。

Please note: All products are 'FOR RESEARCH USE ONLY. NOT FOR USE IN DIAGNOSTIC OR THERAPEUTIC PROCEDURES'.

For licensing inquiries, please contact partnerships@abcam.com