JavaScript is disabled in your browser. Please enable JavaScript to view this website.
AB84327

Anti-AKR1C3 抗体

Anti-AKR1C3 antibody

  • JP Hazardous:医薬用外毒物

Be the first to review this product! Submit a review

|

(19 Publications)

Rabbit Polyclonal AKR1C3 antibody. Suitable for WB, IHC-P, ICC/IF and reacts with Human, Cow samples. Cited in 19 publications. Immunogen corresponding to Synthetic Peptide within Human AKR1C3.

別名を表示する

DDH1, HSD17B5, KIAA0119, PGFS, AKR1C3, Aldo-keto reductase family 1 member C3, 17-beta-hydroxysteroid dehydrogenase type 5, 3-alpha-hydroxysteroid dehydrogenase type 2, Chlordecone reductase homolog HAKRb, Dihydrodiol dehydrogenase 3, Dihydrodiol dehydrogenase type I, HA1753, Prostaglandin F synthase, Testosterone 17-beta-dehydrogenase 5, 17-beta-HSD 5, 3-alpha-HSD type 2, DD-3, DD3

3 Images
Immunocytochemistry/ Immunofluorescence - Anti-AKR1C3 antibody (AB84327)
  • ICC/IF

Unknown

Immunocytochemistry/ Immunofluorescence - Anti-AKR1C3 antibody (AB84327)

ab84327, at a 1/50 dilution, staining AKR1C3 in HeLa cells by Immunofluorescence.

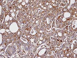
Immunohistochemistry (Formalin/PFA-fixed paraffin-embedded sections) - Anti-AKR1C3 antibody (AB84327)
  • IHC-P

Unknown

Immunohistochemistry (Formalin/PFA-fixed paraffin-embedded sections) - Anti-AKR1C3 antibody (AB84327)

ab84327, at a 1/100 dilution, staining AKR1C3 in formalin fixed, paraffin embedded human lung tissue by Immunohistochemistry. Note cytoplasmic staining.

Western blot - Anti-AKR1C3 antibody (AB84327)
  • WB

Unknown

Western blot - Anti-AKR1C3 antibody (AB84327)

All lanes:

Western blot - Anti-AKR1C3 antibody (ab84327) at 1/500 dilution

All lanes:

human fetal liver lysate

Predicted band size: 37 kDa

Observed band size: 36 kDa

false

Key facts

宿主種

Rabbit

クローン性

Polyclonal

アイソタイプ

IgG

キャリアフリー

No

交差種

Human, Cow

アプリケーション

ICC/IF, WB, IHC-P

applications

免疫原

Synthetic Peptide within Human AKR1C3. The exact immunogen used to generate this antibody is proprietary information.

P42330

Reactivity data

{ "title": "Reactivity Data", "filters": { "stats": ["", "Species", "Dilution Info", "Notes"], "tabs": { "all-applications": {"fullname" : "All Applications", "shortname": "All Applications"}, "WB" : {"fullname" : "Western blot", "shortname":"WB"}, "IHCP" : {"fullname" : "Immunohistochemistry (Formalin/PFA-fixed paraffin-embedded sections)", "shortname":"IHC-P"}, "ICCIF" : {"fullname" : "Immunocytochemistry/ Immunofluorescence", "shortname":"ICC/IF"} }, "product-promise": { "all": "all", "testedAndGuaranteed": "tested", "guaranteed": "expected", "predicted": "predicted", "notRecommended": "not-recommended" } }, "values": { "Human": { "WB-species-checked": "testedAndGuaranteed", "WB-species-dilution-info": "1/500 - 1/1000", "WB-species-notes": "<p></p>", "IHCP-species-checked": "testedAndGuaranteed", "IHCP-species-dilution-info": "1/100 - 1/500", "IHCP-species-notes": "<p></p>", "ICCIF-species-checked": "testedAndGuaranteed", "ICCIF-species-dilution-info": "1/50 - 1/200", "ICCIF-species-notes": "<p></p>" }, "Cow": { "WB-species-checked": "guaranteed", "WB-species-dilution-info": "", "WB-species-notes": "<p></p>", "IHCP-species-checked": "predicted", "IHCP-species-dilution-info": "", "IHCP-species-notes": "", "ICCIF-species-checked": "predicted", "ICCIF-species-dilution-info": "", "ICCIF-species-notes": "" } } }

出荷温度及び保存条件

製品の状態
Lyophilized
再構成
reconstitute with water at 200µL
精製方法
Affinity purification Immunogen
バッファー組成
Preservative: 0.02% Sodium azide Constituents: 2% BSA
出荷温度
Blue Ice
短期保存温度
+4°C
長期保存温度
-20°C
分注に関する情報
Upon delivery aliquot
保管に関する情報
Avoid freeze / thaw cycle

補足情報

This supplementary information is collated from multiple sources and compiled automatically.

The AKR1C3 protein also known as aldo-keto reductase family 1 member C3 functions as an enzyme and part of the aldo-keto reductase superfamily. AKR1C3 reduces ketosteroids and prostaglandins participating in steroid hormone metabolism. It has a molecular mass of about 37 kDa. It is expressed in various tissues such as the liver ovaries and adrenal glands.
Biological function summary

The enzyme engages in important roles in androgen estrogen and prostaglandin metabolism. AKR1C3 works in steroid biosynthesis by reducing 17-ketosteroids to their hydroxysteroid forms. It participates in the regulation of sex steroid hormones and contributes to prostaglandin metabolism though it does not function as part of a complex. Its activity can affect the balance of hormones and local cellular processes impacting a variety of biological activities.

Pathways

AKR1C3 plays significant roles in metabolic and signaling pathways including the steroid hormone biosynthesis and prostaglandin receptor pathways. It interacts with other enzymes like AKR1C2 which also works in steroid processing adding to the regulation of hormone levels and activities. These pathways enable the enzyme to alter cellular responses and influence receptor signaling.

AKR1C3 has associations with hormone-related cancers such as prostate and breast cancer. Its overexpression or misregulation could drive tumor progression by altering hormone levels that fuel cancer growth. It connects with other proteins like CYP19A1 (aromatase) involved in estrogen synthesis indicating a contribution to estrogen-sensitive cancer development. Overall AKR1C3's role in metabolic dysfunctions and hormone-related disorders emphasizes its importance as a biological target.

製品プロトコール

For this product, it's our understanding that no specific protocols are required. You can visit:

ターゲットの情報

Cytosolic aldo-keto reductase that catalyzes the NADH and NADPH-dependent reduction of ketosteroids to hydroxysteroids. Acts as a NAD(P)(H)-dependent 3-, 17- and 20-ketosteroid reductase on the steroid nucleus and side chain and regulates the metabolism of androgens, estrogens and progesterone (PubMed : 10622721, PubMed : 11165022, PubMed : 7650035, PubMed : 9415401, PubMed : 9927279). Displays the ability to catalyze both oxidation and reduction in vitro, but most probably acts as a reductase in vivo since the oxidase activity measured in vitro is inhibited by physiological concentration of NADPH (PubMed : 11165022, PubMed : 14672942). Acts preferentially as a 17-ketosteroid reductase and has the highest catalytic efficiency of the AKR1C enzyme for the reduction of delta4-androstenedione to form testosterone (PubMed : 20036328). Reduces prostaglandin (PG) D2 to 11beta-prostaglandin F2, progesterone to 20alpha-hydroxyprogesterone and estrone to 17beta-estradiol (PubMed : 10622721, PubMed : 10998348, PubMed : 11165022, PubMed : 15047184, PubMed : 19010934, PubMed : 20036328). Catalyzes the transformation of the potent androgen dihydrotestosterone (DHT) into the less active form, 5-alpha-androstan-3-alpha,17-beta-diol (3-alpha-diol) (PubMed : 10557352, PubMed : 10998348, PubMed : 11165022, PubMed : 14672942, PubMed : 7650035, PubMed : 9415401). Also displays retinaldehyde reductase activity toward 9-cis-retinal (PubMed : 21851338).
See full target information AKR1C3

文献 (19)

Recent publications for all applications. Explore the full list and refine your search

Cancers 16: PubMed39001492

2024

Deconstructing Intratumoral Heterogeneity through Multiomic and Multiscale Analysis of Serial Sections.

Applications

Unspecified application

Species

Unspecified reactive species

Patrick G Schupp,Samuel J Shelton,Daniel J Brody,Rebecca Eliscu,Brett E Johnson,Tali Mazor,Kevin W Kelley,Matthew B Potts,Michael W McDermott,Eric J Huang,Daniel A Lim,Russell O Pieper,Mitchel S Berger,Joseph F Costello,Joanna J Phillips,Michael C Oldham

PLoS neglected tropical diseases 17:e0011477 PubMed37478057

2023

Single-cell sequencing analysis reveals development and differentiation trajectory of Schwann cells manipulated by M. leprae.

Applications

Unspecified application

Species

Unspecified reactive species

Shanshan Ma,Zihao Mi,Zhenzhen Wang,Lele Sun,Tingting Liu,Peidian Shi,Chuan Wang,Xiaotong Xue,Wenjie Chen,Zhe Wang,Yueqian Yu,Yuan Zhang,Fangfang Bao,Na Wang,Honglei Wang,Qianqian Xia,Hong Liu,Yonghu Sun,Furen Zhang

Animals : an open access journal from MDPI 11: PubMed34573602

2021

Hypothyroidism Affects Uterine Function via the Modulation of Prostaglandin Signaling.

Applications

Unspecified application

Species

Unspecified reactive species

Ilona Kowalczyk-Zieba,Joanna Staszkiewicz-Chodor,Dorota Boruszewska,Krzysztof Lukaszuk,Joanna Jaworska,Izabela Woclawek-Potocka

Toxicology 450:152686 PubMed33486071

2021

Protection of 6-OHDA neurotoxicity by PGF through FP-ERK-Nrf2 signaling in SH-SY5Y cells.

Applications

Unspecified application

Species

Unspecified reactive species

Ayaka Sano,Toko Maehara,Ko Fujimori

Cell reports 33:108444 PubMed33264619

2020

Concurrent Mutations in STK11 and KEAP1 Promote Ferroptosis Protection and SCD1 Dependence in Lung Cancer.

Applications

Unspecified application

Species

Unspecified reactive species

Corrin A Wohlhieter,Allison L Richards,Fathema Uddin,Christopher H Hulton,Àlvaro Quintanal-Villalonga,Axel Martin,Elisa de Stanchina,Umeshkumar Bhanot,Marina Asher,Nisargbhai S Shah,Omar Hayatt,Darren J Buonocore,Natasha Rekhtman,Ronglai Shen,Kathryn C Arbour,Mark Donoghue,John T Poirier,Triparna Sen,Charles M Rudin

Cancers 12: PubMed32560251

2020

Targeting Pharmacokinetic Drug Resistance in Acute Myeloid Leukemia Cells with CDK4/6 Inhibitors.

Applications

Unspecified application

Species

Unspecified reactive species

Ales Sorf,Simona Sucha,Anselm Morell,Eva Novotna,Frantisek Staud,Alzbeta Zavrelova,Benjamin Visek,Vladimir Wsol,Martina Ceckova

Theranostics 10:4201-4216 PubMed32226548

2020

Nuclear receptor ERRα contributes to castration-resistant growth of prostate cancer via its regulation of intratumoral androgen biosynthesis.

Applications

Unspecified application

Species

Unspecified reactive species

Zhenyu Xu,Taiyang Ma,Jianfu Zhou,Weijie Gao,Youjia Li,Shan Yu,Yuliang Wang,Franky Leung Chan

BMC veterinary research 15:203 PubMed31200703

2019

Prostaglandin F (PGF) production possibility and its receptors expression in the early- and late-cleaved preimplantation bovine embryos.

Applications

Unspecified application

Species

Unspecified reactive species

Katarzyna Grycmacher,Dorota Boruszewska,Emilia Sinderewicz,Ilona Kowalczyk-Zięba,Joanna Staszkiewicz-Chodor,Izabela Woclawek-Potocka

Biochemical pharmacology 163:290-298 PubMed30826329

2019

Cyclin-dependent kinase inhibitors AZD5438 and R547 show potential for enhancing efficacy of daunorubicin-based anticancer therapy: Interaction with carbonyl-reducing enzymes and ABC transporters.

Applications

Unspecified application

Species

Unspecified reactive species

Ales Sorf,Eva Novotna,Jakub Hofman,Anselm Morell,Frantisek Staud,Vladimir Wsol,Martina Ceckova

Steroids 143:73-79 PubMed30639543

2019

Characterization of a highly specific monoclonal antibody against human aldo-keto reductase AKR1C3.

Applications

Unspecified application

Species

Unspecified reactive species

Jiayu Liu,Ping He,Limin Lin,Yining Zhao,Wentong Deng,Hejiazi Ding,Qing Li,Zhong Wang
View all publications

Abcam product promise

当社は、高品質な試薬を通じてお客様の研究を力強くサポートすることをお約束いたします。ご使用いただく各段階で、常にお客様をサポートできる体制を整えております。万が一、製品が期待通りに機能しない場合は、「Abcam Product Promise」による当社保証制度に基づき、安心してご利用いただけます。
保証に関する詳細については利用規約をご確認ください。

Please note: All products are 'FOR RESEARCH USE ONLY. NOT FOR USE IN DIAGNOSTIC OR THERAPEUTIC PROCEDURES'.

For licensing inquiries, please contact partnerships@abcam.com