JavaScript is disabled in your browser. Please enable JavaScript to view this website.
AB177932

Anti-ADH5 抗体 [EPR12885(B)]

Anti-ADH5 antibody [EPR12885(B)]

5

(3 Reviews)

|

(3 Publications)

Rabbit Recombinant Monoclonal ADH5 antibody. Suitable for IHC-P, WB and reacts with Human, Mouse, Rat samples. Cited in 3 publications.

別名を表示する

ADHX, FDH, ADH5, Alcohol dehydrogenase class-3, Alcohol dehydrogenase 5, Alcohol dehydrogenase class chi chain, Alcohol dehydrogenase class-III, Glutathione-dependent formaldehyde dehydrogenase, S-(hydroxymethyl)glutathione dehydrogenase, FALDH, GSH-FDH

6 Images
Immunohistochemistry (Formalin/PFA-fixed paraffin-embedded sections) - Anti-ADH5 antibody [EPR12885(B)] (AB177932)
  • IHC-P

Unknown

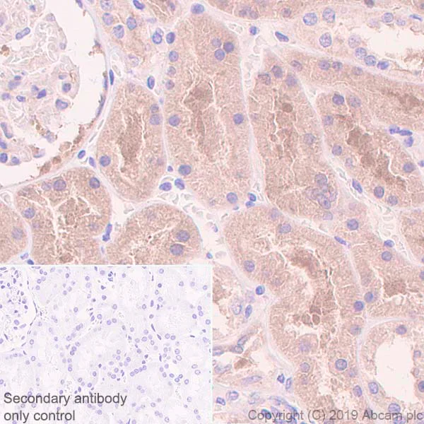
Immunohistochemistry (Formalin/PFA-fixed paraffin-embedded sections) - Anti-ADH5 antibody [EPR12885(B)] (AB177932)

Immunohistochemistry (Formalin/PFA-fixed paraffin-embedded sections) analysis of human kidney tissue sections labeling ADH5 with purified ab177932 at 1/8000 dilution (0.06 µg/ml). Perform heat mediated antigen retrieval using ab93684 (Tris/EDTA buffer, pH 9.0). ImmunoHistoProbe one step HRP Polymer (ready to use) was used as the secondary antibody. Negative control : PBS instead of the primary antibody. Hematoxylin was used as a counterstain.

Immunohistochemistry (Formalin/PFA-fixed paraffin-embedded sections) - Anti-ADH5 antibody [EPR12885(B)] (AB177932)
  • IHC-P

Supplier Data

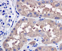
Immunohistochemistry (Formalin/PFA-fixed paraffin-embedded sections) - Anti-ADH5 antibody [EPR12885(B)] (AB177932)

Immunohistochemical analysis of paraffin-embedded Human kidney tissue labeling ADH5 with unpurified ab177932 at a 1/50 dilution.

Perform heat mediated antigen retrieval with citrate buffer pH 6 before commencing with IHC staining protocol.

Immunohistochemistry (Formalin/PFA-fixed paraffin-embedded sections) - Anti-ADH5 antibody [EPR12885(B)] (AB177932)
  • IHC-P

Supplier Data

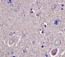
Immunohistochemistry (Formalin/PFA-fixed paraffin-embedded sections) - Anti-ADH5 antibody [EPR12885(B)] (AB177932)

Immunohistochemical analysis of paraffin-embedded Human brain tissue labeling ADH5 with unpurified ab177932 at a 1/50 dilution.

Perform heat mediated antigen retrieval with citrate buffer pH 6 before commencing with IHC staining protocol.

Western blot - Anti-ADH5 antibody [EPR12885(B)] (AB177932)
  • WB

Lab

Western blot - Anti-ADH5 antibody [EPR12885(B)] (AB177932)

All lanes:

Western blot - Anti-ADH5 antibody [EPR12885(B)] (ab177932) at 1/5000 dilution

All lanes:

Human liver lysates at 15 µg

Secondary

All lanes:

Goat Anti-Rabbit IgG (HRP) with minimal cross-reactivity with human IgG at 1/2000 dilution

Predicted band size: 40 kDa

Observed band size: 40 kDa

false

Western blot - Anti-ADH5 antibody [EPR12885(B)] (AB177932)
  • WB

Supplier Data

Western blot - Anti-ADH5 antibody [EPR12885(B)] (AB177932)

All lanes:

Western blot - Anti-ADH5 antibody [EPR12885(B)] (ab177932) at 1/1000 dilution

Lane 1:

Human fetal liver lysates at 10 µg

Lane 2:

HepG2 lysates at 10 µg

Lane 3:

Human fetal kidney lysates at 10 µg

Lane 4:

SH-SY5Y lysates at 10 µg

Predicted band size: 40 kDa

false

Western blot - Anti-ADH5 antibody [EPR12885(B)] (AB177932)
  • WB

Lab

Western blot - Anti-ADH5 antibody [EPR12885(B)] (AB177932)

ADH5 is highly expressed in liver, kidney and low expressed in brain as is described in PMID : 26412304

All lanes:

Western blot - Anti-ADH5 antibody [EPR12885(B)] (ab177932) at 1/5000 dilution

Lane 1:

Mouse liver lysates at 15 µg

Lane 2:

Mouse brain lysates at 15 µg

Lane 3:

Rat liver lysates at 15 µg

Lane 4:

Rat brain lysates at 15 µg

Secondary

All lanes:

Western blot - Goat Anti-Rabbit IgG H&L (HRP) (<a href='/products/secondary-antibodies/goat-rabbit-igg-h-l-hrp-ab97051'>ab97051</a>) at 1/20000 dilution

Predicted band size: 40 kDa

Observed band size: 40 kDa

false

関連する標識済み抗体及び組成の異なる製品 (1)

  • Carrier free

    Anti-ADH5 antibody [EPR12885(B)] - BSA and Azide free

Key facts

宿主種

Rabbit

クローン性

Monoclonal

クローン番号

EPR12885(B)

アイソタイプ

IgG

キャリアフリー

No

交差種

Mouse, Rat, Human

アプリケーション

WB, IHC-P

applications

免疫原

The exact immunogen used to generate this antibody is proprietary information.

特異性

The mouse and rat recommendation is based on the WB results. We do not guarantee IHC-P for mouse and rat.

Reactivity data

{ "title": "Reactivity Data", "filters": { "stats": ["", "Species", "Dilution Info", "Notes"], "tabs": { "all-applications": {"fullname" : "All Applications", "shortname": "All Applications"}, "IHCP" : {"fullname" : "Immunohistochemistry (Formalin/PFA-fixed paraffin-embedded sections)", "shortname":"IHC-P"}, "IP" : {"fullname" : "Immunoprecipitation", "shortname":"IP"}, "FlowCyt" : {"fullname" : "Flow Cytometry", "shortname":"Flow Cyt"}, "WB" : {"fullname" : "Western blot", "shortname":"WB"}, "ICCIF" : {"fullname" : "Immunocytochemistry/ Immunofluorescence", "shortname":"ICC/IF"} }, "product-promise": { "all": "all", "testedAndGuaranteed": "tested", "guaranteed": "expected", "predicted": "predicted", "notRecommended": "not-recommended" } }, "values": { "Human": { "IHCP-species-checked": "testedAndGuaranteed", "IHCP-species-dilution-info": "1/8000", "IHCP-species-notes": "<p>The immunostaining was performed on a Leica Biosystems BOND® RX instrument.</p><p>The mouse and rat recommendation is based on the WB results. We do not guarantee IHC-P for mouse and rat.</p> Perform heat-mediated antigen retrieval with citrate buffer pH 6 before commencing with IHC staining protocol.", "IP-species-checked": "notRecommended", "IP-species-dilution-info": "", "IP-species-notes": "<p></p>", "FlowCyt-species-checked": "notRecommended", "FlowCyt-species-dilution-info": "", "FlowCyt-species-notes": "<p></p>", "WB-species-checked": "testedAndGuaranteed", "WB-species-dilution-info": "1/1000 - 1/5000", "WB-species-notes": "<p></p>", "ICCIF-species-checked": "notRecommended", "ICCIF-species-dilution-info": "", "ICCIF-species-notes": "<p></p>" }, "Mouse": { "IHCP-species-checked": "guaranteed", "IHCP-species-dilution-info": "", "IHCP-species-notes": "", "IP-species-checked": "notRecommended", "IP-species-dilution-info": "", "IP-species-notes": "<p></p>", "FlowCyt-species-checked": "notRecommended", "FlowCyt-species-dilution-info": "", "FlowCyt-species-notes": "<p></p>", "WB-species-checked": "testedAndGuaranteed", "WB-species-dilution-info": "1/1000 - 1/5000", "WB-species-notes": "<p></p>", "ICCIF-species-checked": "notRecommended", "ICCIF-species-dilution-info": "", "ICCIF-species-notes": "" }, "Rat": { "IHCP-species-checked": "guaranteed", "IHCP-species-dilution-info": "", "IHCP-species-notes": "", "IP-species-checked": "notRecommended", "IP-species-dilution-info": "", "IP-species-notes": "<p></p>", "FlowCyt-species-checked": "notRecommended", "FlowCyt-species-dilution-info": "", "FlowCyt-species-notes": "<p></p>", "WB-species-checked": "testedAndGuaranteed", "WB-species-dilution-info": "1/1000 - 1/5000", "WB-species-notes": "<p></p>", "ICCIF-species-checked": "notRecommended", "ICCIF-species-dilution-info": "", "ICCIF-species-notes": "" } } }

下記製品にもご興味をお持ちいただけるかもしれません:

AB272524

Formaldehyde Assay Kit

0

0 Reviews

製品ページを見る
こちらの製品も推奨する理由

この製品は、同様の実験や関連する研究で広く使用されていることから推奨させていただいております。

お客様の実験に適するかご確認いただくため、必ず製品データシートをご確認いただくことをお勧めいたします。ご不明点等ございましたら、テクニカルサポートチームまでお問い合わせください。

製品の詳細

Patented technology
Our RabMAb® technology is a patented hybridoma-based technology for making rabbit monoclonal antibodies. For details on our patents, please refer to RabMAb® patents.

What are the advantages of a recombinant monoclonal antibody?
This product is a recombinant monoclonal antibody, which offers several advantages including:

  • - High batch-to-batch consistency and reproducibility
  • - Improved sensitivity and specificity
  • - Long-term security of supply
  • - Animal-free batch production

For more information, read more on recombinant antibodies.

出荷温度及び保存条件

製品の状態
Liquid
精製方法
Affinity purification Protein A
バッファー組成
Preservative: 0.01% Sodium azide Constituents: PBS, 40% Glycerol (glycerin, glycerine), 0.05% BSA
出荷温度
Blue Ice
短期保存期間
1-2 weeks
短期保存温度
+4°C
長期保存温度
-20°C
分注に関する情報
Upon delivery aliquot
保管に関する情報
Avoid freeze / thaw cycle

補足情報

This supplementary information is collated from multiple sources and compiled automatically.

ADH5 also known as alcohol dehydrogenase class-3 or glutathione-dependent formaldehyde dehydrogenase is an enzyme with a mass of approximately 42 kDa. It plays a role in alcohol metabolism specifically in the detoxification of formaldehyde. The protein is expressed in many tissues including the liver kidney and lung. ADH5 belongs to the alcohol dehydrogenase protein family and distinguishes itself by its ability to metabolize both aliphatic and aromatic compounds.
Biological function summary

Alcohol metabolism involves more than one enzyme and ADH5 functions within a network of metabolic reactions. This enzyme contributes to formaldehyde detoxification where it oxidizes formaldehyde to formic acid. The ADH5 enzyme operates in the cytosol and takes part in the catabolism of harmful aldehydes. Its action supports cellular protection reducing toxicity from chemical exposure and ensuring normal cellular metabolism.

Pathways

ADH5 plays significant roles in methanol and formaldehyde metabolic pathways. It acts alongside enzymes like alcohol dehydrogenase 1 (ADH1) and aldehyde dehydrogenase (ALDH) in processing formaldehyde into less toxic substances. In the methanol metabolism pathway interactions with ADH1 highlight its role in ethanol to acetaldehyde conversion. The pathway interactions emphasize its importance in reducing oxidative stress and preventing damage from reactive aldehydes.

ADH5's function aligns with conditions related to alcohol metabolism like formaldehyde sensitivity and methanol poisoning. Abnormal ADH5 activity can contribute to such conditions implicating oxidative stress responses. Associations also exist with other diseases related to aldehyde toxicity such as alcohol-related liver damage. Alongside ADH1 and ALDH ADH5 aids in maintaining homeostasis in cellular environments and disruptions can lead to pathological conditions.

製品プロトコール

For this product, it's our understanding that no specific protocols are required. You can visit:

ターゲットの情報

Catalyzes the oxidation of long-chain primary alcohols and the oxidation of S-(hydroxymethyl) glutathione (PubMed : 8460164). Also oxidizes long chain omega-hydroxy fatty acids, such as 20-HETE, producing both the intermediate aldehyde, 20-oxoarachidonate and the end product, a dicarboxylic acid, (5Z,8Z,11Z,14Z)-eicosatetraenedioate (PubMed : 16081420). Class-III ADH is remarkably ineffective in oxidizing ethanol (PubMed : 8460164). Required for clearance of cellular formaldehyde, a cytotoxic and carcinogenic metabolite that induces DNA damage (PubMed : 33355142). Also acts as a S-nitroso-glutathione reductase by catalyzing the NADH-dependent reduction of S-nitrosoglutathione, thereby regulating protein S-nitrosylation (By similarity).
See full target information ADH5

文献 (3)

Recent publications for all applications. Explore the full list and refine your search

Redox biology 41:101904 PubMed33706169

2021

bFGF alleviates diabetes-associated endothelial impairment by downregulating inflammation via S-nitrosylation pathway.

Applications

Unspecified application

Species

Unspecified reactive species

Gen Chen,Ning An,Weijian Ye,Shuai Huang,Yunjie Chen,Zhicheng Hu,Enzhao Shen,Junjie Zhu,Wenjie Gong,Gaozan Tong,Yu Zhu,Lexuan Fang,Chunyuan Cai,Xiaokun Li,Kwonseop Kim,Litai Jin,Jian Xiao,Weitao Cong

Arteriosclerosis, thrombosis, and vascular biology 40:175-188 PubMed31694393

2019

S-Nitrosylation of Plastin-3 Exacerbates Thoracic Aortic Dissection Formation via Endothelial Barrier Dysfunction.

Applications

Unspecified application

Species

Unspecified reactive species

Lihong Pan,Zhe Lin,Xin Tang,Jiaxin Tian,Qiao Zheng,Jin Jing,Liping Xie,Hongshan Chen,Qiulun Lu,Hong Wang,Qingguo Li,Yi Han,Yong Ji

Journal of cellular and molecular medicine 23:8161-8172 PubMed31565850

2019

Taraxacum officinale extract ameliorates dextran sodium sulphate-induced colitis by regulating fatty acid degradation and microbial dysbiosis.

Applications

Unspecified application

Species

Unspecified reactive species

Wei Chen,Huining Fan,Rui Liang,Rui Zhang,Jing Zhang,Jinshui Zhu
View all publications

Abcam product promise

当社は、高品質な試薬を通じてお客様の研究を力強くサポートすることをお約束いたします。ご使用いただく各段階で、常にお客様をサポートできる体制を整えております。万が一、製品が期待通りに機能しない場合は、「Abcam Product Promise」による当社保証制度に基づき、安心してご利用いただけます。
保証に関する詳細については利用規約をご確認ください。

関連製品

Select an associated product type
Alternative Product
Primary Antibodies

AB175406

Anti-ADH5 antibody

primary-antibodies

adh5-antibody-ab175406

0

(0 reviews)

Please note: All products are 'FOR RESEARCH USE ONLY. NOT FOR USE IN DIAGNOSTIC OR THERAPEUTIC PROCEDURES'.

For licensing inquiries, please contact partnerships@abcam.com