JavaScript is disabled in your browser. Please enable JavaScript to view this website.
AB126745

Anti-ADAR1 抗体 [EPR7033]

Anti-ADAR1 antibody [EPR7033]

Be the first to review this product! Submit a review

|

(15 Publications)

Anti-ADAR1 antibody [EPR7033] (ab126745) is a rabbit monoclonal antibody detecting ADAR1 in Western Blot, Flow Cytometry (Intra), Flow Cytometry, IHC-P. Suitable for Human.

- KO validated for confirmed specificity
- Biophysical QC for unrivalled batch-batch consistency
- Over 10 publications

別名を表示する

ADAR1, DSRAD, G1P1, IFI4, ADAR, Double-stranded RNA-specific adenosine deaminase, DRADA, 136 kDa double-stranded RNA-binding protein, Interferon-inducible protein 4, K88DSRBP, p136, IFI-4

6 Images
Flow Cytometry (Intracellular) - Anti-ADAR1 antibody [EPR7033] (AB126745)
  • Flow Cyt (Intra)

Unknown

Flow Cytometry (Intracellular) - Anti-ADAR1 antibody [EPR7033] (AB126745)

Intracellular flow cytometric analysis of permeabilized Ramos cells, staining ADAR1 (red) with ab126745. 1x106 cells were collected and washed with blocking buffer. Cells were fixed with 2% paraformaldehyde, permeabilized with 1X FACS permeabilizing solution and blocked with blocking buffer for 30 minutes at room temperature. Cells were incubated with primary antibody (1/10) for 30 minutes at room temperature before a Fluorescently-conjugated secondary antibody or 30 min at room temperature. A rabbit IgG was used as a negative control (green).

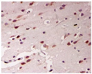
Immunohistochemistry (Formalin/PFA-fixed paraffin-embedded sections) - Anti-ADAR1 antibody [EPR7033] (AB126745)
  • IHC-P

Unknown

Immunohistochemistry (Formalin/PFA-fixed paraffin-embedded sections) - Anti-ADAR1 antibody [EPR7033] (AB126745)

ab126745, at 1/50 dilution, staining ADAR1 in paraffin-embedded Human brain tissue by Immunohistochemistry.

Perform heat mediated antigen retrieval with citrate buffer pH 6 before commencing with IHC staining protocol.

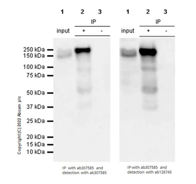
Immunoprecipitation - Anti-ADAR1 antibody [EPR7033] (AB126745)
  • IP

Supplier Data

Immunoprecipitation - Anti-ADAR1 antibody [EPR7033] (AB126745)

ADAR1 was immunoprecipitated from 0.35 mg HeLa whole cell lysate with ab307585 at 1/30 dilution (2ug in 0.35mg lysates). Western blot was performed on the immunoprecipitate using ab307585 at 1/1000 dilution. VeriBlot for IP secondary antibody(HRP)(ab131366) was used at 1/5000 dilution. Lane 1 : HeLa (human cervical adenocarcinoma epithelial cell) whole cell lysate Lane 2 : ab307585 IP in HeLa whole cell lysate Lane 3 : Rabbit monoclonal IgG (ab172730) instead of ab307585 in HeLa whole cell lysate Blocking and dilution buffer and concentration : 5% NFDM/TBST. Exposure time : Lanes 1-3 : 5 seconds (left), Lanes 1-3 : 3 seconds (right). The IP experiment was performed by ab307585 using HeLa cells. On the left the IP blot was probed with ab307585 and on the right the blot was probed by another anti-ADAR1 antibody (ab126745)(1 : 1000 dilution).

Lane 2:

Immunoprecipitation - Anti-ADAR1 antibody [EPR25431-60] (<a href='/products/primary-antibodies/adar1-antibody-epr25431-60-ab307585'>ab307585</a>) at 1/30 dilution

Lane 2:

Immunoprecipitation - Anti-ADAR1 antibody [EPR7033] (ab126745) at 1/1000 dilution

All lanes:

HeLa (human cervical adenocarcinoma epithelial cell) whole cell lysate

Secondary

All lanes:

Immunoprecipitation - VeriBlot for IP Detection Reagent (HRP) (<a href='/products/reagents/veriblot-for-ip-detection-reagent-hrp-ab131366'>ab131366</a>) at 1/5000 dilution

false

Exposure time: 3s

Western blot - Anti-ADAR1 antibody [EPR7033] (AB126745)
  • WB

Lab

Western blot - Anti-ADAR1 antibody [EPR7033] (AB126745)

Lane 1 : Wild-type HAP1 cell lysate (20 μg)
Lane 2 : ADAR1 knockout HAP1 cell lysate (20 μg)
Lane 3 : HepG2 cell lysate (20 μg)
Lane 4 : HeLa cell lysate (20 μg)
Lanes 1 - 4 : Merged signal (red and green). Green - ab126745 observed at 150 kDa. Red - loading control, ab8245, observed at 37 kDa.
ab126745 was shown to recognize ADAR1 when ADAR1 knockout samples were used, along with additional cross-reactive bands. Wild-type and ADAR1 knockout samples were subjected to SDS-PAGE. ab126745 and ab8245 (loading control to GAPDH) were diluted at 1/1000 and 1/10 000 respectively and incubated overnight at 4°C. Blots were developed with Goat anti-Rabbit IgG H&L (IRDye® 800CW) preadsorbed (ab216773) and Goat anti-Mouse IgG H&L (IRDye® 680RD) preadsorbed (ab216776) secondary antibodies at 1/10 000 dilution for 1 h at room temperature before imaging.

All lanes:

Western blot - Anti-ADAR1 antibody [EPR7033] (ab126745)

Predicted band size: 136 kDa

Observed band size: 150 kDa

false

Western blot - Anti-ADAR1 antibody [EPR7033] (AB126745)
  • WB

Unknown

Western blot - Anti-ADAR1 antibody [EPR7033] (AB126745)

All lanes:

Western blot - Anti-ADAR1 antibody [EPR7033] (ab126745) at 1/1000 dilution

Lane 1:

HeLa (treated with IFN-alpha) cell lysate at 10 µg

Lane 2:

HeLa cell lysate at 10 µg

Lane 3:

Ramos cell lysate at 10 µg

Lane 4:

SH-SY5Y cell lysate at 10 µg

Secondary

All lanes:

HRP labelled goat anti-rabbit at 1/2000 dilution

Predicted band size: 136 kDa

Observed band size: 150 kDa

false

Western blot - Anti-ADAR1 antibody [EPR7033] (AB126745)
  • WB

Lab

Western blot - Anti-ADAR1 antibody [EPR7033] (AB126745)

Lanes 1-3 : Merged signal (red and green). Green - ab126745 observed at 130 kDa. Red - loading control ab8245 observed at 36 kDa.

ab126745 Anti-ADAR1 antibody [EPR7033] was shown to specifically react with ADAR1 in wild-type HEK293T cells. Loss of signal was observed when knockout cell line ab266846 (knockout cell lysate ab257131) was used. Wild-type and ADAR1 knockout samples were subjected to SDS-PAGE. ab126745 and Anti-GAPDH antibody [6C5] - Loading Control (ab8245) were incubated overnight at 4°C at 1 in 1000 dilution and 1 in 20000 dilution respectively. Blots were developed with Goat anti-Rabbit IgG H&L (IRDye® 800CW) preadsorbed (ab216773) and Goat anti-Mouse IgG H&L (IRDye® 680RD) preadsorbed (ab216776) secondary antibodies at 1 in 20000 dilution for 1 hour at room temperature before imaging.

All lanes:

Western blot - Anti-ADAR1 antibody [EPR7033] (ab126745) at 1/1000 dilution

Lane 1:

Wild-type HEK293T cell lysate at 20 µg

Lane 2:

ADAR knockout HEK293T cell lysate at 20 µg

Lane 2:

Western blot - Human ADAR (ADAR1) knockout HEK-293T cell line (<a href='/products/cell-lines/human-adar-adar1-knockout-hek-293t-cell-line-ab266846'>ab266846</a>)

Lane 3:

HeLa cell lysate at 20 µg

Secondary

All lanes:

Western blot - Goat anti-Rabbit IgG H&L (IRDye® 800CW) preadsorbed (<a href='/products/secondary-antibodies/goat-rabbit-igg-h-l-irdye-800cw-preadsorbed-ab216773'>ab216773</a>) at 1/10000 dilution

Predicted band size: 136 kDa,19 kDa,29 kDa,35 kDa,36 kDa

Observed band size: 130 kDa,20 kDa,29 kDa,35 kDa,36 kDa

false

関連する標識済み抗体及び組成の異なる製品 (10)

Key facts

宿主種

Rabbit

クローン性

Monoclonal

クローン番号

EPR7033

アイソタイプ

IgG

キャリアフリー

No

交差種

Human

アプリケーション

Flow Cyt (Intra), IHC-P, WB

applications

免疫原

The exact immunogen used to generate this antibody is proprietary information.

特異性

The immunogen is designed to detect the p150 isoform and not the p110.

Reactivity data

{ "title": "Reactivity Data", "filters": { "stats": ["", "Species", "Dilution Info", "Notes"], "tabs": { "all-applications": {"fullname" : "All Applications", "shortname": "All Applications"}, "IHCP" : {"fullname" : "Immunohistochemistry (Formalin/PFA-fixed paraffin-embedded sections)", "shortname":"IHC-P"}, "IP" : {"fullname" : "Immunoprecipitation", "shortname":"IP"}, "WB" : {"fullname" : "Western blot", "shortname":"WB"}, "ICCIF" : {"fullname" : "Immunocytochemistry/ Immunofluorescence", "shortname":"ICC/IF"}, "FlowCytIntra" : {"fullname" : "Flow Cytometry (Intracellular)", "shortname":"Flow Cyt (Intra)"} }, "product-promise": { "all": "all", "testedAndGuaranteed": "tested", "guaranteed": "expected", "predicted": "predicted", "notRecommended": "not-recommended" } }, "values": { "Human": { "IHCP-species-checked": "testedAndGuaranteed", "IHCP-species-dilution-info": "1/50 - 1/100", "IHCP-species-notes": "<p></p> Perform heat-mediated antigen retrieval with citrate buffer pH 6 before commencing with IHC staining protocol.", "IP-species-checked": "notRecommended", "IP-species-dilution-info": "", "IP-species-notes": "<p></p>", "WB-species-checked": "testedAndGuaranteed", "WB-species-dilution-info": "1/1000 - 1/10000", "WB-species-notes": "<p></p>", "ICCIF-species-checked": "notRecommended", "ICCIF-species-dilution-info": "", "ICCIF-species-notes": "<p></p>", "FlowCytIntra-species-checked": "testedAndGuaranteed", "FlowCytIntra-species-dilution-info": "1/10 - 1/100", "FlowCytIntra-species-notes": "<p><a href='/products/primary-antibodies/rabbit-igg-monoclonal-epr25a-isotype-control-ab172730'>ab172730</a> - Rabbit monoclonal IgG, is suitable for use as an isotype control with this antibody.</p>" } } }

製品の詳細

What is this antibody validated in?
Anti-ADAR1 antibody [EPR7033] (ab126745) is a rabbit recombinant monoclonal antibody and is validated for use in Western Blot (WB), Flow Cytometry (Intra), Flow Cytometry (Flow Cyt), Immunohistochemistry (IHC-P) in Human samples.

What is the molecular weight of ADAR1?
Anti-ADAR1 [EPR7033] (ab126745) specifically detects a band for ADAR1 (UniProt: P55265) at a molecular weight of 136kDa.

Trusted by the scientific community
Anti-ADAR1 [EPR7033] (ab126745) was first used in a scientific publication in 2012 and has been cited over 10 times in peer-reviewed journals.

Trial sizes available!
Test your antibody or perform pre-screening before committing to a larger quantity. Sold in 10µl. Discover our selection of trial-size antibodies.

Specificity confirmed
The specificity of Anti-ADAR1 antibody [EPR7033] (ab126745) has been confirmed by Western blot testing in ADAR Knockout HAP1 cells.

Other related products
We have a range of other formats of antibody clone [EPR7033] also available for your convenience: ab126745, HRP - ab206086, Carrier free - ab240029, APC - ab310818, PE - ab310896, Alexa Fluor® 488 - ab310981, Alexa Fluor® 647 - ab311103, Alexa Fluor® 594 - ab311722, Alexa Fluor® 568 - ab312998, Alexa Fluor® 555 - ab313203, Alexa Fluor® 750 - ab321014

Species reactivity
Mouse, Rat: We have preliminary internal testing data to indicate this antibody may not react with these species.
Please contact us for more information.

Patented technology
Our RabMAb® technology is a patented hybridoma-based technology for making rabbit monoclonal antibodies. For details on our patents, please refer to RabMAb® patents.

What are the advantages of a recombinant monoclonal antibody?
This product is a recombinant monoclonal antibody, which offers several advantages including:

  • - High batch-to-batch consistency and reproducibility
  • - Improved sensitivity and specificity
  • - Long-term security of supply
  • - Animal-free batch production

For more information, read more on recombinant antibodies.

出荷温度及び保存条件

製品の状態
Liquid
精製方法
Affinity purification Protein A
バッファー組成
pH: 7.2 - 7.4 Preservative: 0.01% Sodium azide Constituents: PBS, 40% Glycerol (glycerin, glycerine), 0.05% BSA
出荷温度
Blue Ice
短期保存期間
1-2 weeks
短期保存温度
+4°C
長期保存温度
-20°C
分注に関する情報
Upon delivery aliquot
保管に関する情報
Stable for 12 months at -20°C

補足情報

This supplementary information is collated from multiple sources and compiled automatically.

ADAR1 also known as RNA-specific adenosine deaminase 1 or ADAR is an enzyme with a mass of approximately 150 kDa. This protein targets double-stranded RNA (dsRNA) and acts mechanistically to convert adenosine to inosine in pre-mRNA sequences a process known as A-to-I RNA editing. ADAR1 is expressed in numerous tissues with high levels in the brain liver and lungs. Its localization within cells can vary often found in both the nucleus and cytoplasm which influences its function.
Biological function summary

ADAR1 plays a role in the regulation of RNA molecules affecting their stability and translation. It is linked to the editosome complex working alongside other proteins to perform RNA editing tasks. By modifying the coding potential of mRNAs ADAR1 contributes to the diversity of proteomes and helps manage the responses to viral RNAs giving the immune system tools to recognize endogenous and exogenous RNA.

Pathways

ADAR1 is significant in the interferon signaling pathway and RNA processing pathways. It operates in coordination with proteins like PKR which is involved in the response to viral infections. ADAR1 ensures that the immune response is not directed against the self highlighting its role in the regulation of the innate immune system. These pathways are critical in maintaining homeostasis and preventing unchecked immune responses.

Mutations or dysregulation of ADAR1 have associations with autoimmune diseases like Aicardi-Goutieres syndrome and certain cancers. The enzyme's role in editing RNA makes it essential in preventing inappropriate immune attacks against the body's own cells highlighting its interaction with MDA5 another protein involved in immune regulation. Understanding ADAR1 and its related pathways may offer potential therapeutic targets for these conditions including exploration into ADAR1 inhibitors as interventions.

製品プロトコール

For this product, it's our understanding that no specific protocols are required. You can visit:

ターゲットの情報

Catalyzes the hydrolytic deamination of adenosine to inosine in double-stranded RNA (dsRNA) referred to as A-to-I RNA editing (PubMed : 12618436, PubMed : 7565688, PubMed : 7972084). This may affect gene expression and function in a number of ways that include mRNA translation by changing codons and hence the amino acid sequence of proteins since the translational machinery read the inosine as a guanosine; pre-mRNA splicing by altering splice site recognition sequences; RNA stability by changing sequences involved in nuclease recognition; genetic stability in the case of RNA virus genomes by changing sequences during viral RNA replication; and RNA structure-dependent activities such as microRNA production or targeting or protein-RNA interactions. Can edit both viral and cellular RNAs and can edit RNAs at multiple sites (hyper-editing) or at specific sites (site-specific editing). Its cellular RNA substrates include : bladder cancer-associated protein (BLCAP), neurotransmitter receptors for glutamate (GRIA2) and serotonin (HTR2C) and GABA receptor (GABRA3). Site-specific RNA editing of transcripts encoding these proteins results in amino acid substitutions which consequently alters their functional activities. Exhibits low-level editing at the GRIA2 Q/R site, but edits efficiently at the R/G site and HOTSPOT1. Its viral RNA substrates include : hepatitis C virus (HCV), vesicular stomatitis virus (VSV), measles virus (MV), hepatitis delta virus (HDV), and human immunodeficiency virus type 1 (HIV-1). Exhibits either a proviral (HDV, MV, VSV and HIV-1) or an antiviral effect (HCV) and this can be editing-dependent (HDV and HCV), editing-independent (VSV and MV) or both (HIV-1). Impairs HCV replication via RNA editing at multiple sites. Enhances the replication of MV, VSV and HIV-1 through an editing-independent mechanism via suppression of EIF2AK2/PKR activation and function. Stimulates both the release and infectivity of HIV-1 viral particles by an editing-dependent mechanism where it associates with viral RNAs and edits adenosines in the 5'UTR and the Rev and Tat coding sequence. Can enhance viral replication of HDV via A-to-I editing at a site designated as amber/W, thereby changing an UAG amber stop codon to an UIG tryptophan (W) codon that permits synthesis of the large delta antigen (L-HDAg) which has a key role in the assembly of viral particles. However, high levels of ADAR1 inhibit HDV replication.
See full target information ADAR

文献 (15)

Recent publications for all applications. Explore the full list and refine your search

Proceedings of the National Academy of Sciences of the United States of America 121:e2416982121 PubMed39602251

2024

inositol hexaphosphate pathways couple to RNA interference and pathogen defense.

Applications

Unspecified application

Species

Unspecified reactive species

Wenjing Xu,Yifan Sun,Peter Breen,Gary Ruvkun,Kai Mao

PloS one 19:e0307450 PubMed39178184

2024

RNA editing regulates host immune response and T cell homeostasis in SARS-CoV-2 infection.

Applications

Unspecified application

Species

Unspecified reactive species

Molly Huang,Adam Mark,Jessica Pham,Karina Vera,Amanda M Saravia-Butler,Afshin Beheshti,Qingfei Jiang,Kathleen M Fisch

Cancer research communications 4:986-1003 PubMed38530197

2024

Induction of Viral Mimicry Upon Loss of DHX9 and ADAR1 in Breast Cancer Cells.

Applications

Unspecified application

Species

Unspecified reactive species

Kyle A Cottrell,Sua Ryu,Jackson R Pierce,Luisangely Soto Torres,Holly E Bohlin,Angela M Schab,Jason D Weber

American journal of translational research 15:4727-4734 PubMed37560250

2023

Study on the protective effect of chondroitin sulfate from sturgeons on rat chondrocytes and its potential mechanisms.

Applications

Unspecified application

Species

Unspecified reactive species

Xi Zhang,Qingsong Li,Lei Chen

Cell stem cell 30:250-263.e6 PubMed36803553

2023

Reversal of malignant ADAR1 splice isoform switching with Rebecsinib.

Applications

Unspecified application

Species

Unspecified reactive species

Leslie A Crews,Wenxue Ma,Luisa Ladel,Jessica Pham,Larisa Balaian,S Kathleen Steel,Phoebe K Mondala,Raymond H Diep,Christina N Wu,Cayla N Mason,Inge van der Werf,Isabelle Oliver,Eduardo Reynoso,Gabriel Pineda,Thomas C Whisenant,Peggy Wentworth,James J La Clair,Qingfei Jiang,Michael D Burkart,Catriona H M Jamieson

BMC cancer 21:407 PubMed33853558

2021

Humanized anti-DEspR IgG4 antibody increases overall survival in a pancreatic cancer stem cell-xenograft peritoneal carcinomatosis rat model.

Applications

Unspecified application

Species

Unspecified reactive species

Christopher M Gromisch,Glaiza L A Tan,Khristine Amber Pasion,Ann-Marie Moran,Matthew S Gromisch,Mark W Grinstaff,Francis J Carr,Victoria L M Herrera,Nelson Ruiz-Opazo

Cell reports 34:108670 PubMed33503434

2021

Inflammation-driven deaminase deregulation fuels human pre-leukemia stem cell evolution.

Applications

Unspecified application

Species

Unspecified reactive species

Qingfei Jiang,Jane Isquith,Luisa Ladel,Adam Mark,Frida Holm,Cayla Mason,Yudou He,Phoebe Mondala,Isabelle Oliver,Jessica Pham,Wenxue Ma,Eduardo Reynoso,Shawn Ali,Isabella Jamieson Morris,Raymond Diep,Chanond Nasamran,Guorong Xu,Roman Sasik,Sara Brin Rosenthal,Amanda Birmingham,Sanja Coso,Gabriel Pineda,Leslie Crews,Mary E Donohoe,J Craig Venter,Thomas Whisenant,Ruben A Mesa,Ludmil B Alexandrov,Kathleen M Fisch,Catriona Jamieson

Molecular cancer 19:157 PubMed33172486

2020

Circular RNA hsa_circ_0004872 inhibits gastric cancer progression via the miR-224/Smad4/ADAR1 successive regulatory circuit.

Applications

Unspecified application

Species

Unspecified reactive species

Cunying Ma,Xiaoying Wang,Fenghua Yang,Yichen Zang,Jiansong Liu,Xinyi Wang,Xia Xu,Wenjuan Li,Jihui Jia,Zhifang Liu

Oncogene 40:189-202 PubMed33110236

2020

Evaluating the therapeutic potential of ADAR1 inhibition for triple-negative breast cancer.

Applications

Unspecified application

Species

Unspecified reactive species

Che-Pei Kung,Kyle A Cottrell,Sua Ryu,Emily R Bramel,Raleigh D Kladney,Emily A Bao,Eric C Freeman,Thwisha Sabloak,Leonard Maggi,Jason D Weber

Cell biology international 44:1671-1680 PubMed32281700

2020

LINC00667 promotes the proliferation, migration, and pathological angiogenesis in non-small cell lung cancer through stabilizing VEGFA by EIF4A3.

Applications

Unspecified application

Species

Unspecified reactive species

Huizhen Yang,Wuchen Yang,Wanqing Dai,Yun Ma,Guojun Zhang
View all publications

Abcam product promise

当社は、高品質な試薬を通じてお客様の研究を力強くサポートすることをお約束いたします。ご使用いただく各段階で、常にお客様をサポートできる体制を整えております。万が一、製品が期待通りに機能しない場合は、「Abcam Product Promise」による当社保証制度に基づき、安心してご利用いただけます。
保証に関する詳細については利用規約をご確認ください。

Please note: All products are 'FOR RESEARCH USE ONLY. NOT FOR USE IN DIAGNOSTIC OR THERAPEUTIC PROCEDURES'.

For licensing inquiries, please contact partnerships@abcam.com