JavaScript is disabled in your browser. Please enable JavaScript to view this website.
AB307585

Anti-ADAR1 抗体 [EPR25431-60]

Anti-ADAR1 antibody [EPR25431-60]

Be the first to review this product! Submit a review

|

(0 Publication)

Knockout Tested Rabbit Recombinant Monoclonal ADAR1 antibody. Suitable for IP, Flow Cyt (Intra), ICC/IF, WB and reacts with Human samples.

別名を表示する

ADAR1, DSRAD, G1P1, IFI4, ADAR, Double-stranded RNA-specific adenosine deaminase, DRADA, 136 kDa double-stranded RNA-binding protein, Interferon-inducible protein 4, K88DSRBP, p136, IFI-4

8 Images
Immunocytochemistry/ Immunofluorescence - Anti-ADAR1 antibody [EPR25431-60] (AB307585)
  • ICC/IF

Supplier Data

Immunocytochemistry/ Immunofluorescence - Anti-ADAR1 antibody [EPR25431-60] (AB307585)

Immunofluorescent analysis of 4% Paraformaldehyde-fixed, 0.1% TritonX-100 permeabilized ADAR KO HEK293T (ab266846) cells labelling ADAR1 with ab307585 at 1/500 (1.08 ug/ml) dilution, followed by ab150081 Goat Anti-Rabbit IgG H&L (Alexa Fluor® 488) preadsorbed antibody at 1/1000 2 ug/ml dilution (Green). Confocal image showing increased nuclear and cytoplasmic staining in parental HEK293T cells treated with IFN alpha 1 (human) (10 ng/ml) for 16 hours, and no staining in treated ADAR KO HEK293T cells. Image was taken with a confocal microscope(Leica-Microsystems, TCS SP8). ab195889 Anti-alpha Tubulin mouse monoclonal antibody - Microtubule Marker (Alexa Fluor® 594) was used to counterstain tubulin at 1/200 2.5ug/ml dilution (Red). The Nuclear counterstain was DAPI (Blue). Secondary antibody only control : Secondary antibody is ab150081 Goat Anti-Rabbit IgG H&L (Alexa Fluor® 488) preadsorbed at 1/1000 2 ug/ml dilution.

Flow Cytometry (Intracellular) - Anti-ADAR1 antibody [EPR25431-60] (AB307585)
  • Flow Cyt (Intra)

Supplier Data

Flow Cytometry (Intracellular) - Anti-ADAR1 antibody [EPR25431-60] (AB307585)

Flow cytometric analysis of 4% paraformaldehyde fixed 90% methanol permeabilized Wild-type 293T (human embryonic kidney epithelial cell, Right) / ADAR1 knockout 293T (Left) cells labelling ADAR1 with ab307585 at 1/500 dilution (0.1ug) (Red) (Red) compared with a Rabbit monoclonal IgG (ab172730) (Black) isotype control and an unlabelled control (cells without incubation with primary antibody and secondary antibody) (Blue). A Goat Anti-Rabbit IgG (Alexa Fluor® 488, ab150081) at 1/2000 dilution was used as the secondary antibody.

Immunocytochemistry/ Immunofluorescence - Anti-ADAR1 antibody [EPR25431-60] (AB307585)
  • ICC/IF

Supplier Data

Immunocytochemistry/ Immunofluorescence - Anti-ADAR1 antibody [EPR25431-60] (AB307585)

Immunofluorescent analysis of 4% Paraformaldehyde-fixed, 0.1% TritonX-100 permeabilized HeLa (human cervical adenocarcinoma epithelial cell) cells labelling ADAR1 with ab307585 at 1/500 (1.08 ug/ml) dilution, followed by ab150081 Goat Anti-Rabbit IgG H&L (Alexa Fluor® 488) preadsorbed antibody at 1/1000 2 ug/ml dilution (Green). Confocal image showing increased nuclear and cytoplasmic staining in HeLa cells treated with IFN alpha 1 (human) (10 ng/ml) for 16 hours. Image was taken with a confocal microscope(Leica-Microsystems, TCS SP8). ab195889 Anti-alpha Tubulin mouse monoclonal antibody - Microtubule Marker (Alexa Fluor® 594) was used to counterstain tubulin at 1/200 2.5ug/ml dilution (Red). The Nuclear counterstain was DAPI (Blue). Secondary antibody only control : Secondary antibody is ab150081 Goat Anti-Rabbit IgG H&L (Alexa Fluor® 488) preadsorbed at 1/1000 2 ug/ml dilution.

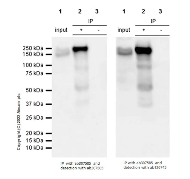
Immunoprecipitation - Anti-ADAR1 antibody [EPR25431-60] (AB307585)
  • IP

Supplier Data

Immunoprecipitation - Anti-ADAR1 antibody [EPR25431-60] (AB307585)

ADAR1 was immunoprecipitated from 0.35 mg HeLa whole cell lysate with ab307585 at 1/30 dilution (2ug in 0.35mg lysates). Western blot was performed on the immunoprecipitate using ab307585 at 1/1000 dilution. VeriBlot for IP secondary antibody(HRP)(ab131366) was used at 1/5000 dilution. Lane 1 : HeLa (human cervical adenocarcinoma epithelial cell) whole cell lysate Lane 2 : ab307585 IP in HeLa whole cell lysate Lane 3 : Rabbit monoclonal IgG (ab172730) instead of ab307585 in HeLa whole cell lysate Blocking and dilution buffer and concentration : 5% NFDM/TBST. Exposure time : Lanes 1-3 : 5 seconds (left), Lanes 1-3 : 3 seconds (right). The IP experiment was performed by ab307585 using HeLa cells. On the left the IP blot was probed with ab307585 and on the right the blot was probed by another anti-ADAR1 antibody (ab126745)(1 : 1000 dilution).

Lane 2:

Immunoprecipitation - Anti-ADAR1 antibody [EPR25431-60] (ab307585) at 1/30 dilution

Lane 2:

Immunoprecipitation - Anti-ADAR1 antibody [EPR7033] (<a href='/products/primary-antibodies/adar1-antibody-epr7033-ab126745'>ab126745</a>) at 1/1000 dilution

All lanes:

HeLa (human cervical adenocarcinoma epithelial cell) whole cell lysate

Secondary

All lanes:

Immunoprecipitation - VeriBlot for IP Detection Reagent (HRP) (<a href='/products/reagents/veriblot-for-ip-detection-reagent-hrp-ab131366'>ab131366</a>) at 1/5000 dilution

false

Exposure time: 3s

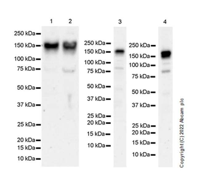
Western blot - Anti-ADAR1 antibody [EPR25431-60] (AB307585)
  • WB

Supplier Data

Western blot - Anti-ADAR1 antibody [EPR25431-60] (AB307585)

Blocking and diluting buffer and concentration : 5% NFDM/TBST Performed under reducing conditions. In Western blot, ab307585 was shown to bind specifically to ADAR1. A band was observed at 150 kDa in wild-type HEK-293T cell lysates whereas no signal observed at this size in ADAR1 knockout cell line ab266846 (knockout cell lysate ab257131). Exposure time : 59 seconds

All lanes:

Western blot - Anti-ADAR1 antibody [EPR25431-60] (ab307585) at 1/1000 dilution

Lane 1:

Wild-type HEK-293T (human embryonic kidney epithelial cell) whole cell lysate at 20 µg

Lane 2:

ADAR1 knockout HEK-293T whole cell lysate at 20 µg

Lane 2:

Western blot - Human ADAR (ADAR1) knockout HEK-293T cell line (<a href='/products/cell-lines/human-adar-adar1-knockout-hek-293t-cell-line-ab266846'>ab266846</a>)

Lane 2:

Western blot - Human ADAR (ADAR1) knockout HEK-293T cell lysate (<a href='/products/cell-lysates/human-adar-adar1-knockout-hek-293t-cell-lysate-ab257131'>ab257131</a>)

Lane 3:

HeLa (human cervical adenocarcinoma epithelial cell) whole cell lysate at 20 µg

Lane 4:

Ramos (human burkitts lymphoma b lymphocyte) whole cell lysate at 20 µg

Secondary

All lanes:

Western blot - Goat Anti-Rabbit IgG H&L (HRP) (<a href='/products/secondary-antibodies/goat-rabbit-igg-h-l-hrp-ab97051'>ab97051</a>) at 1/100000 dilution

Observed band size: 150 kDa

false

Exposure time: 59s

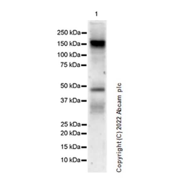
Western blot - Anti-ADAR1 antibody [EPR25431-60] (AB307585)
  • WB

Supplier Data

Western blot - Anti-ADAR1 antibody [EPR25431-60] (AB307585)

Blocking and diluting buffer and concentration : 5% NFDM/TBST Lysates were freshly made and used for Western blotting immediately to minimize protein degradation. Exposure time : 70 seconds

All lanes:

Western blot - Anti-ADAR1 antibody [EPR25431-60] (ab307585) at 1/1000 dilution

Lane 1:

HeLa (human cervical adenocarcinoma epithelial cell) whole cell lysate at 20 µg

Lane 2:

293T (human embryonic kidney epithelial cell) whole cell lysate at 20 µg

Lane 3:

SH-SY5Y (human neuroblastoma epithelial cell) whole cell lysate at 20 µg

Lane 4:

HepG2 (human hepatocellar carcinoma epithelial cell) whole cell lysate at 20 µg

Secondary

All lanes:

Western blot - Goat Anti-Rabbit IgG H&L (HRP) (<a href='/products/secondary-antibodies/goat-rabbit-igg-h-l-hrp-ab97051'>ab97051</a>) at 1/100000 dilution

Observed band size: 150 kDa

false

Exposure time: 70s

Western blot - Anti-ADAR1 antibody [EPR25431-60] (AB307585)
  • WB

Supplier Data

Western blot - Anti-ADAR1 antibody [EPR25431-60] (AB307585)

Blocking and diluting buffer and concentration : 5% NFDM/TBST Exposure time : 158 seconds

All lanes:

Western blot - Anti-ADAR1 antibody [EPR25431-60] (ab307585) at 1/1000 dilution

All lanes:

Human kidney tissue lysate at 20 µg

Secondary

All lanes:

Goat Anti-Rabbit IgG (HRP) with minimal cross-reactivity with human IgG at 1/2000 dilution

Observed band size: 150 kDa

false

Exposure time: 158s

Western blot - Anti-ADAR1 antibody [EPR25431-60] (AB307585)
  • WB

Supplier Data

Western blot - Anti-ADAR1 antibody [EPR25431-60] (AB307585)

Blocking and diluting buffer and concentration : 5% NFDM/TBST Exposure time : 37 seconds

All lanes:

Western blot - Anti-ADAR1 antibody [EPR25431-60] (ab307585) at 1/1000 dilution

Lane 1:

Untreated HeLa (human cervical adenocarcinoma epithelial cell) whole cell lysate at 20 µg

Lane 2:

HeLa treated with /ml IFN alpha 1 for 16 hours whole cell lysate at 20 µg

Secondary

All lanes:

Western blot - Goat Anti-Rabbit IgG H&L (HRP) (<a href='/products/secondary-antibodies/goat-rabbit-igg-h-l-hrp-ab97051'>ab97051</a>) at 1/100000 dilution

Observed band size: 150 kDa

false

Exposure time: 37s

関連する標識済み抗体及び組成の異なる製品 (1)

  • Carrier free

    Anti-ADAR1 antibody [EPR25431-60] - BSA and Azide free

Key facts

宿主種

Rabbit

クローン性

Monoclonal

クローン番号

EPR25431-60

アイソタイプ

IgG

キャリアフリー

No

交差種

Human

アプリケーション

ICC/IF, IP, WB, Flow Cyt (Intra)

applications

免疫原

The exact immunogen used to generate this antibody is proprietary information.

Reactivity data

{ "title": "Reactivity Data", "filters": { "stats": ["", "Species", "Dilution Info", "Notes"], "tabs": { "all-applications": {"fullname" : "All Applications", "shortname": "All Applications"}, "IP" : {"fullname" : "Immunoprecipitation", "shortname":"IP"}, "FlowCytIntra" : {"fullname" : "Flow Cytometry (Intracellular)", "shortname":"Flow Cyt (Intra)"}, "ICCIF" : {"fullname" : "Immunocytochemistry/ Immunofluorescence", "shortname":"ICC/IF"}, "WB" : {"fullname" : "Western blot", "shortname":"WB"}, "IHCP" : {"fullname" : "Immunohistochemistry (Formalin/PFA-fixed paraffin-embedded sections)", "shortname":"IHC-P"} }, "product-promise": { "all": "all", "testedAndGuaranteed": "tested", "guaranteed": "expected", "predicted": "predicted", "notRecommended": "not-recommended" } }, "values": { "Human": { "IP-species-checked": "testedAndGuaranteed", "IP-species-dilution-info": "1/30", "IP-species-notes": "<p></p>", "FlowCytIntra-species-checked": "testedAndGuaranteed", "FlowCytIntra-species-dilution-info": "1/500", "FlowCytIntra-species-notes": "<p></p>", "ICCIF-species-checked": "testedAndGuaranteed", "ICCIF-species-dilution-info": "1/500", "ICCIF-species-notes": "<p></p>", "WB-species-checked": "testedAndGuaranteed", "WB-species-dilution-info": "1/1000", "WB-species-notes": "<p></p>", "IHCP-species-checked": "notRecommended", "IHCP-species-dilution-info": "", "IHCP-species-notes": "<p></p>" }, "Mouse": { "IP-species-checked": "notRecommended", "IP-species-dilution-info": "", "IP-species-notes": "", "FlowCytIntra-species-checked": "notRecommended", "FlowCytIntra-species-dilution-info": "", "FlowCytIntra-species-notes": "", "ICCIF-species-checked": "notRecommended", "ICCIF-species-dilution-info": "1/500", "ICCIF-species-notes": "<p></p>", "WB-species-checked": "notRecommended", "WB-species-dilution-info": "", "WB-species-notes": "<p></p>", "IHCP-species-checked": "notRecommended", "IHCP-species-dilution-info": "", "IHCP-species-notes": "<p></p>" }, "Rat": { "IP-species-checked": "notRecommended", "IP-species-dilution-info": "", "IP-species-notes": "", "FlowCytIntra-species-checked": "notRecommended", "FlowCytIntra-species-dilution-info": "", "FlowCytIntra-species-notes": "", "ICCIF-species-checked": "notRecommended", "ICCIF-species-dilution-info": "", "ICCIF-species-notes": "", "WB-species-checked": "notRecommended", "WB-species-dilution-info": "", "WB-species-notes": "<p></p>", "IHCP-species-checked": "notRecommended", "IHCP-species-dilution-info": "", "IHCP-species-notes": "<p></p>" } } }

製品の詳細

Patented technology
Our RabMAb® technology is a patented hybridoma-based technology for making rabbit monoclonal antibodies. For details on our patents, please refer to RabMAb® patents.

What are the advantages of a recombinant monoclonal antibody?
This product is a recombinant monoclonal antibody, which offers several advantages including:

  • - High batch-to-batch consistency and reproducibility
  • - Improved sensitivity and specificity
  • - Long-term security of supply
  • - Animal-free batch production

For more information, read more on recombinant antibodies.

出荷温度及び保存条件

製品の状態
Liquid
精製方法
Affinity purification Protein A
バッファー組成
pH: 7.2 - 7.4 Preservative: 0.01% Sodium azide Constituents: PBS, 40% Glycerol (glycerin, glycerine), 0.05% BSA
出荷温度
Blue Ice
短期保存期間
1-2 weeks
短期保存温度
+4°C
長期保存温度
-20°C
分注に関する情報
Upon delivery aliquot
保管に関する情報
Avoid freeze / thaw cycle

補足情報

This supplementary information is collated from multiple sources and compiled automatically.

ADAR1 also known as RNA-specific adenosine deaminase 1 or ADAR is an enzyme with a mass of approximately 150 kDa. This protein targets double-stranded RNA (dsRNA) and acts mechanistically to convert adenosine to inosine in pre-mRNA sequences a process known as A-to-I RNA editing. ADAR1 is expressed in numerous tissues with high levels in the brain liver and lungs. Its localization within cells can vary often found in both the nucleus and cytoplasm which influences its function.
Biological function summary

ADAR1 plays a role in the regulation of RNA molecules affecting their stability and translation. It is linked to the editosome complex working alongside other proteins to perform RNA editing tasks. By modifying the coding potential of mRNAs ADAR1 contributes to the diversity of proteomes and helps manage the responses to viral RNAs giving the immune system tools to recognize endogenous and exogenous RNA.

Pathways

ADAR1 is significant in the interferon signaling pathway and RNA processing pathways. It operates in coordination with proteins like PKR which is involved in the response to viral infections. ADAR1 ensures that the immune response is not directed against the self highlighting its role in the regulation of the innate immune system. These pathways are critical in maintaining homeostasis and preventing unchecked immune responses.

Mutations or dysregulation of ADAR1 have associations with autoimmune diseases like Aicardi-Goutieres syndrome and certain cancers. The enzyme's role in editing RNA makes it essential in preventing inappropriate immune attacks against the body's own cells highlighting its interaction with MDA5 another protein involved in immune regulation. Understanding ADAR1 and its related pathways may offer potential therapeutic targets for these conditions including exploration into ADAR1 inhibitors as interventions.

製品プロトコール

For this product, it's our understanding that no specific protocols are required. You can visit:

ターゲットの情報

Catalyzes the hydrolytic deamination of adenosine to inosine in double-stranded RNA (dsRNA) referred to as A-to-I RNA editing (PubMed : 12618436, PubMed : 7565688, PubMed : 7972084). This may affect gene expression and function in a number of ways that include mRNA translation by changing codons and hence the amino acid sequence of proteins since the translational machinery read the inosine as a guanosine; pre-mRNA splicing by altering splice site recognition sequences; RNA stability by changing sequences involved in nuclease recognition; genetic stability in the case of RNA virus genomes by changing sequences during viral RNA replication; and RNA structure-dependent activities such as microRNA production or targeting or protein-RNA interactions. Can edit both viral and cellular RNAs and can edit RNAs at multiple sites (hyper-editing) or at specific sites (site-specific editing). Its cellular RNA substrates include : bladder cancer-associated protein (BLCAP), neurotransmitter receptors for glutamate (GRIA2) and serotonin (HTR2C) and GABA receptor (GABRA3). Site-specific RNA editing of transcripts encoding these proteins results in amino acid substitutions which consequently alters their functional activities. Exhibits low-level editing at the GRIA2 Q/R site, but edits efficiently at the R/G site and HOTSPOT1. Its viral RNA substrates include : hepatitis C virus (HCV), vesicular stomatitis virus (VSV), measles virus (MV), hepatitis delta virus (HDV), and human immunodeficiency virus type 1 (HIV-1). Exhibits either a proviral (HDV, MV, VSV and HIV-1) or an antiviral effect (HCV) and this can be editing-dependent (HDV and HCV), editing-independent (VSV and MV) or both (HIV-1). Impairs HCV replication via RNA editing at multiple sites. Enhances the replication of MV, VSV and HIV-1 through an editing-independent mechanism via suppression of EIF2AK2/PKR activation and function. Stimulates both the release and infectivity of HIV-1 viral particles by an editing-dependent mechanism where it associates with viral RNAs and edits adenosines in the 5'UTR and the Rev and Tat coding sequence. Can enhance viral replication of HDV via A-to-I editing at a site designated as amber/W, thereby changing an UAG amber stop codon to an UIG tryptophan (W) codon that permits synthesis of the large delta antigen (L-HDAg) which has a key role in the assembly of viral particles. However, high levels of ADAR1 inhibit HDV replication.
See full target information ADAR

Abcam product promise

当社は、高品質な試薬を通じてお客様の研究を力強くサポートすることをお約束いたします。ご使用いただく各段階で、常にお客様をサポートできる体制を整えております。万が一、製品が期待通りに機能しない場合は、「Abcam Product Promise」による当社保証制度に基づき、安心してご利用いただけます。
保証に関する詳細については利用規約をご確認ください。

Please note: All products are 'FOR RESEARCH USE ONLY. NOT FOR USE IN DIAGNOSTIC OR THERAPEUTIC PROCEDURES'.

For licensing inquiries, please contact partnerships@abcam.com