JavaScript is disabled in your browser. Please enable JavaScript to view this website.
AB227431

Anti-ACTR1B 抗体

Anti-ACTR1B antibody

  • JP Deleterious:医薬用外劇物

Be the first to review this product! Submit a review

|

(1 Publication)

Rabbit Polyclonal ACTR1B antibody. Suitable for WB, IHC-P, ICC/IF and reacts with Mouse, Human samples. Cited in 1 publication. Immunogen corresponding to Recombinant Fragment Protein within Human ACTR1B.

別名を表示する

CTRN2, ACTR1B, Beta-centractin, Actin-related protein 1B, ARP1B

4 Images
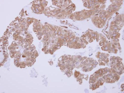
Immunohistochemistry (Formalin/PFA-fixed paraffin-embedded sections) - Anti-ACTR1B antibody (AB227431)
  • IHC-P

Supplier Data

Immunohistochemistry (Formalin/PFA-fixed paraffin-embedded sections) - Anti-ACTR1B antibody (AB227431)

Paraffin-embedded human ovarian carcinoma tissue stained for ACTR1B using ab227431 at 1/500 dilution in immunohistochemical analysis.

Immunocytochemistry/ Immunofluorescence - Anti-ACTR1B antibody (AB227431)
  • ICC/IF

Supplier Data

Immunocytochemistry/ Immunofluorescence - Anti-ACTR1B antibody (AB227431)

Methanol-fixed SK-N-SH (human neuroblastoma cell line) stained for ACTR1B (green) using ab227431 at 1/1000 dilution in ICC/IF.

Blue : Hoechst 33342 staining.

Western blot - Anti-ACTR1B antibody (AB227431)
  • WB

Supplier Data

Western blot - Anti-ACTR1B antibody (AB227431)

10% SDS-PAGE

All lanes:

Western blot - Anti-ACTR1B antibody (ab227431) at 1/1000 dilution

All lanes:

IMR32 whole cell lysate at 30 µg

Predicted band size: 42 kDa

true

Western blot - Anti-ACTR1B antibody (AB227431)
  • WB

Supplier Data

Western blot - Anti-ACTR1B antibody (AB227431)

10% SDS-PAGE

All lanes:

Western blot - Anti-ACTR1B antibody (ab227431) at 1/1000 dilution

All lanes:

Mouse brain tissue lysate at 50 µg

Predicted band size: 42 kDa

true

Key facts

宿主種

Rabbit

クローン性

Polyclonal

アイソタイプ

IgG

キャリアフリー

No

交差種

Mouse, Human

アプリケーション

ICC/IF, WB, IHC-P

applications

免疫原

Recombinant Fragment Protein within Human ACTR1B. The exact immunogen used to generate this antibody is proprietary information.

P42025

Reactivity data

{ "title": "Reactivity Data", "filters": { "stats": ["", "Species", "Dilution Info", "Notes"], "tabs": { "all-applications": {"fullname" : "All Applications", "shortname": "All Applications"}, "WB" : {"fullname" : "Western blot", "shortname":"WB"}, "IHCP" : {"fullname" : "Immunohistochemistry (Formalin/PFA-fixed paraffin-embedded sections)", "shortname":"IHC-P"}, "ICCIF" : {"fullname" : "Immunocytochemistry/ Immunofluorescence", "shortname":"ICC/IF"} }, "product-promise": { "all": "all", "testedAndGuaranteed": "tested", "guaranteed": "expected", "predicted": "predicted", "notRecommended": "not-recommended" } }, "values": { "Human": { "WB-species-checked": "testedAndGuaranteed", "WB-species-dilution-info": "1/500 - 1/3000", "WB-species-notes": "<p></p>", "IHCP-species-checked": "testedAndGuaranteed", "IHCP-species-dilution-info": "1/100 - 1/1000", "IHCP-species-notes": "<p></p>", "ICCIF-species-checked": "testedAndGuaranteed", "ICCIF-species-dilution-info": "1/100 - 1/1000", "ICCIF-species-notes": "<p></p>" }, "Mouse": { "WB-species-checked": "testedAndGuaranteed", "WB-species-dilution-info": "1/500 - 1/3000", "WB-species-notes": "<p></p>", "IHCP-species-checked": "guaranteed", "IHCP-species-dilution-info": "", "IHCP-species-notes": "", "ICCIF-species-checked": "guaranteed", "ICCIF-species-dilution-info": "", "ICCIF-species-notes": "" }, "Rat": { "WB-species-checked": "predicted", "WB-species-dilution-info": "", "WB-species-notes": "", "IHCP-species-checked": "predicted", "IHCP-species-dilution-info": "", "IHCP-species-notes": "", "ICCIF-species-checked": "predicted", "ICCIF-species-dilution-info": "", "ICCIF-species-notes": "" }, "Cow": { "WB-species-checked": "predicted", "WB-species-dilution-info": "", "WB-species-notes": "", "IHCP-species-checked": "predicted", "IHCP-species-dilution-info": "", "IHCP-species-notes": "", "ICCIF-species-checked": "predicted", "ICCIF-species-dilution-info": "", "ICCIF-species-notes": "" }, "Rhesus monkey": { "WB-species-checked": "predicted", "WB-species-dilution-info": "", "WB-species-notes": "", "IHCP-species-checked": "predicted", "IHCP-species-dilution-info": "", "IHCP-species-notes": "", "ICCIF-species-checked": "predicted", "ICCIF-species-dilution-info": "", "ICCIF-species-notes": "" } } }

出荷温度及び保存条件

製品の状態
Liquid
精製方法
Affinity purification Immunogen
バッファー組成
pH: 7 Preservative: 0.01% Thimerosal (merthiolate) Constituents: 20% Glycerol (glycerin, glycerine), 1.21% Tris, 0.75% Glycine
出荷温度
Blue Ice
短期保存期間
1-2 weeks
短期保存温度
+4°C
長期保存温度
-20°C
分注に関する情報
Upon delivery aliquot
保管に関する情報
Avoid freeze / thaw cycle

補足情報

This supplementary information is collated from multiple sources and compiled automatically.

ACTR1B also known as Actin-Related Protein 1B is part of the ACTR family and plays a mechanical role in cellular processes. It has a molecular mass of approximately 45 kDa. ACTR1B expresses in various tissues including the brain and the testis. The protein is a component of the dynactin complex which associates with microtubules and is essential for dynein-mediated transport within cells.
Biological function summary

ACTR1B supports cellular activities such as intracellular transport and maintenance of cytoskeletal structure. It functions as a part of the dynactin complex a group of proteins that includes p150Glued and p50. This complex has a significant role in the function of cytoplasmic dynein a motor protein responsible for vesicle trafficking mitotic spindle organization and chromosome movement during cell division.

Pathways

ACTR1B contributes to intracellular transport and cytoskeletal regulation through its involvement in the dynactin complex. It directly participates in the dynein-dynactin pathway where it interacts with proteins like LIS1 and Ndel1 to facilitate microtubule-based movements. ACTR1B also plays a part in the endosome sorting pathway affecting proteins related to transport and sorting of intracellular cargo.

Faulty ACTR1B function can contribute to neurodegenerative diseases and developmental disorders. For example its connection to dynein pathway disruptions links ACTR1B to defects in nervous system development potentially causing intellectual disabilities and lissencephaly. The protein's role in intracellular trafficking involves it with cellular stress responses linking it to some neurodegenerative diseases through proteins like tau and huntingtin.

製品プロトコール

For this product, it's our understanding that no specific protocols are required. You can visit:

ターゲットの情報

Component of a multi-subunit complex involved in microtubule based vesicle motility. It is associated with the centrosome.
See full target information ACTR1B

文献 (1)

Recent publications for all applications. Explore the full list and refine your search

International journal of molecular medicine 56: PubMed40937577

2025

CDC5L binds to ELAVL1 to inhibit pyroptosis in hepatocellular carcinoma through the Caspase 3/GSDME signaling pathway.

Applications

Unspecified application

Species

Unspecified reactive species

Shuai Liang,Zhongcheng Zhu,Yangshuo Tang,Shuhua Zhou,Moyan Xiao,Xuejun Gong,Ke Ye
View all publications

Abcam product promise

当社は、高品質な試薬を通じてお客様の研究を力強くサポートすることをお約束いたします。ご使用いただく各段階で、常にお客様をサポートできる体制を整えております。万が一、製品が期待通りに機能しない場合は、「Abcam Product Promise」による当社保証制度に基づき、安心してご利用いただけます。
保証に関する詳細については利用規約をご確認ください。

Please note: All products are 'FOR RESEARCH USE ONLY. NOT FOR USE IN DIAGNOSTIC OR THERAPEUTIC PROCEDURES'.

For licensing inquiries, please contact partnerships@abcam.com