JavaScript is disabled in your browser. Please enable JavaScript to view this website.
AB317703

Anti-ACSL6/ACS2 抗体 [EPR29174-76]

Anti-ACSL6/ACS2 antibody [EPR29174-76]

Be the first to review this product! Submit a review

|

(0 Publication)

Rabbit Recombinant Monoclonal ACSL6/ACS2 antibody. Suitable for WB, IP and reacts with Recombinant fragment - Human, Human, Mouse, Rat samples.

別名を表示する

ACS2, FACL6, KIAA0837, LACS5, Long-chain-fatty-acid--CoA ligase 6, Arachidonate--CoA ligase, Long-chain acyl-CoA synthetase 6, LACS 6

5 Images
Immunoprecipitation - Anti-ACSL6/ACS2 antibody [EPR29174-76] (AB317703)
  • IP

Supplier Data

Immunoprecipitation - Anti-ACSL6/ACS2 antibody [EPR29174-76] (AB317703)

ACSL6/ACS2 was immunoprecipitated from 0.35 mg Jurkat (human T cell leukemia T lymphocyte from peripheral blood) whole lysate with ab317703 at 1/30 dilution (2ug in 0.35mg lysates). Western blot was performed on the immunoprecipitate using ab317703 at 1/1000 dilution. VeriBlot for IP secondary antibody(HRP)(ab131366) was used at 1/5000 dilution.

Lane 1 : Jurkat (human T cell leukemia T lymphocyte from peripheral blood) whole lysate

Lane 2 : ab317703 IP in Jurkat (human T cell leukemia T lymphocyte from peripheral blood) whole lysate

Lane 3 : Rabbit monoclonal IgG (ab172730) instead of ab317703 in Jurkat whole cell lysate

Blocking and dilution buffer and concentration : 5% NFDM/TBST

This blot was developed using a high sensitivity ECL substrate. The high-sensitivity ECL substrate used allows for the detection of proteins in the mid-femtogram range.

All lanes:

Immunoprecipitation - Anti-ACSL6/ACS2 antibody [EPR29174-76] (ab317703) at 1/30 dilution

All lanes:

Jurkat (human T cell leukemia T lymphocyte from peripheral blood) whole lysate

Secondary

All lanes:

Immunoprecipitation - VeriBlot for IP Detection Reagent (HRP) (<a href='/products/reagents/veriblot-for-ip-detection-reagent-hrp-ab131366'>ab131366</a>) at 1/5000 dilution

true

Exposure time: 180s

Western blot - Anti-ACSL6/ACS2 antibody [EPR29174-76] (AB317703)
  • WB

Supplier Data

Western blot - Anti-ACSL6/ACS2 antibody [EPR29174-76] (AB317703)

In Western blot, Anti-GAPDH antibody [EPR16891] - Loading Control (ab181602) staining at 1/200000 dilution.

All lanes:

Western blot - Anti-ACSL6/ACS2 antibody [EPR29174-76] (ab317703) at 1/1000 dilution

All lanes:

Jurkat (human T cell leukemia T lymphocyte from peripheral blood) whole cell lysate at 20 µg with NFDM/TBST

Secondary

All lanes:

Western blot - Goat Anti-Rabbit IgG H&L (HRP) (<a href='/products/secondary-antibodies/goat-rabbit-igg-h-l-hrp-ab97051'>ab97051</a>) at 1/20000 dilution

Observed band size: 74 kDa,36 kDa

false

Exposure time: 180s

Western blot - Anti-ACSL6/ACS2 antibody [EPR29174-76] (AB317703)
  • WB

Supplier Data

Western blot - Anti-ACSL6/ACS2 antibody [EPR29174-76] (AB317703)

Low expression : liver, lung (PMID : 12767919, PMID : 10502316).

The identity of the band at approximately 37 kDa (in lane 4) is unknown.

In Western blot, Anti-GAPDH antibody [EPR16891] - Loading Control (ab181602) staining at 1/200000 dilution.

All lanes:

Western blot - Anti-ACSL6/ACS2 antibody [EPR29174-76] (ab317703) at 1/1000 dilution

Lane 1:

Human hypothalamus tissue lysate at 50 µg with NFDM/TBST

Lane 2:

Human cerebellum tissue lysate at 50 µg with NFDM/TBST

Lane 3:

Human lung tissue lysate at 50 µg with NFDM/TBST

Lane 4:

Human liver tissue lysate at 50 µg with NFDM/TBST

Secondary

All lanes:

Goat Anti-Rabbit IgG (HRP) with minimal cross-reactivity with human IgG at 1/2000 dilution

Observed band size: 74 kDa,36 kDa

false

Exposure time: 180s

Western blot - Anti-ACSL6/ACS2 antibody [EPR29174-76] (AB317703)
  • WB

Supplier Data

Western blot - Anti-ACSL6/ACS2 antibody [EPR29174-76] (AB317703)

Low expression : liver, kidney (PMID : 12767919, PMID : 10502316).

In Western blot, Anti-GAPDH antibody [EPR16891] - Loading Control (ab181602) staining at 1/200000 dilution.

All lanes:

Western blot - Anti-ACSL6/ACS2 antibody [EPR29174-76] (ab317703) at 1/1000 dilution

Lane 1:

Rat brain tissue lysate at 20 µg with NFDM/TBST

Lane 2:

Rat liver tissue lysate at 20 µg with NFDM/TBST

Lane 3:

Mouse brain tissue lysate at 20 µg with NFDM/TBST

Lane 4:

Mouse hypothalamus tissue lysate at 20 µg with NFDM/TBST

Lane 5:

Mouse kidney tissue lysate at 20 µg with NFDM/TBST

Secondary

All lanes:

Western blot - Goat Anti-Rabbit IgG H&L (HRP) (<a href='/products/secondary-antibodies/goat-rabbit-igg-h-l-hrp-ab97051'>ab97051</a>) at 1/100000 dilution

Observed band size: 74 kDa,36 kDa

true

Exposure time: 180s

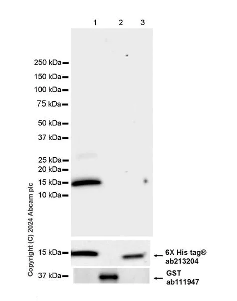
Western blot - Anti-ACSL6/ACS2 antibody [EPR29174-76] (AB317703)
  • WB

Supplier Data

Western blot - Anti-ACSL6/ACS2 antibody [EPR29174-76] (AB317703)

This antibody does not cross-react with human ACSL1 and ACSL5.

In Western blot, Anti-6X His tag® antibody [EPR20547] - ChIP Grade (ab213204) staining at 1/5000 dilution.

In Western blot, Anti-GST antibody [EPR4236] (ab111947) staining at 1/1000 dilution.

All lanes:

Western blot - Anti-ACSL6/ACS2 antibody [EPR29174-76] (ab317703) at 1/1000 dilution

Lane 1:

His-tagged human ACSL6/ACS2 fragment at 10 ng with NFDM/TBST

Lane 2:

GST-tagged human ACSL5 fragment at 10 ng with NFDM/TBST

Lane 3:

His-tagged human ACSL1 fragment at 10 ng with NFDM/TBST

Secondary

All lanes:

Western blot - Goat Anti-Rabbit IgG H&L (HRP) (<a href='/products/secondary-antibodies/goat-rabbit-igg-h-l-hrp-ab97051'>ab97051</a>) at 1/100000 dilution

Observed band size: 15 kDa,37 kDa

false

Exposure time: 180s

関連する標識済み抗体及び組成の異なる製品 (1)

  • Carrier free

    Anti-ACSL6/ACS2 antibody [EPR29174-76] - BSA and Azide free

Key facts

宿主種

Rabbit

クローン性

Monoclonal

クローン番号

EPR29174-76

アイソタイプ

IgG

キャリアフリー

No

交差種

Human, Mouse, Rat

アプリケーション

IP, WB

applications

免疫原

The exact immunogen used to generate this antibody is proprietary information.

Reactivity data

{ "title": "Reactivity Data", "filters": { "stats": ["", "Species", "Dilution Info", "Notes"], "tabs": { "all-applications": {"fullname" : "All Applications", "shortname": "All Applications"}, "WB" : {"fullname" : "Western blot", "shortname":"WB"}, "IP" : {"fullname" : "Immunoprecipitation", "shortname":"IP"}, "IHCP" : {"fullname" : "Immunohistochemistry (Formalin/PFA-fixed paraffin-embedded sections)", "shortname":"IHC-P"}, "ICCIF" : {"fullname" : "Immunocytochemistry/ Immunofluorescence", "shortname":"ICC/IF"} }, "product-promise": { "all": "all", "testedAndGuaranteed": "tested", "guaranteed": "expected", "predicted": "predicted", "notRecommended": "not-recommended" } }, "values": { "Human": { "WB-species-checked": "testedAndGuaranteed", "WB-species-dilution-info": "1/1000", "WB-species-notes": "<p></p>", "IP-species-checked": "testedAndGuaranteed", "IP-species-dilution-info": "1/30", "IP-species-notes": "<p></p>", "IHCP-species-checked": "notRecommended", "IHCP-species-dilution-info": "", "IHCP-species-notes": "<p></p>", "ICCIF-species-checked": "notRecommended", "ICCIF-species-dilution-info": "", "ICCIF-species-notes": "<p></p>" }, "Mouse": { "WB-species-checked": "testedAndGuaranteed", "WB-species-dilution-info": "1/1000", "WB-species-notes": "<p></p>", "IP-species-checked": "guaranteed", "IP-species-dilution-info": "", "IP-species-notes": "", "IHCP-species-checked": "notRecommended", "IHCP-species-dilution-info": "", "IHCP-species-notes": "<p></p>", "ICCIF-species-checked": "notRecommended", "ICCIF-species-dilution-info": "", "ICCIF-species-notes": "" }, "Rat": { "WB-species-checked": "testedAndGuaranteed", "WB-species-dilution-info": "1/1000", "WB-species-notes": "<p></p>", "IP-species-checked": "guaranteed", "IP-species-dilution-info": "", "IP-species-notes": "", "IHCP-species-checked": "notRecommended", "IHCP-species-dilution-info": "", "IHCP-species-notes": "<p></p>", "ICCIF-species-checked": "notRecommended", "ICCIF-species-dilution-info": "", "ICCIF-species-notes": "" }, "Recombinant fragment - Human": { "WB-species-checked": "testedAndGuaranteed", "WB-species-dilution-info": "1/1000", "WB-species-notes": "<p></p>", "IP-species-checked": "notRecommended", "IP-species-dilution-info": "", "IP-species-notes": "", "IHCP-species-checked": "notRecommended", "IHCP-species-dilution-info": "", "IHCP-species-notes": "", "ICCIF-species-checked": "notRecommended", "ICCIF-species-dilution-info": "", "ICCIF-species-notes": "" } } }

製品の詳細

Patented technology
Our RabMAb® technology is a patented hybridoma-based technology for making rabbit monoclonal antibodies. For details on our patents, please refer to RabMAb® patents.

What are the advantages of a recombinant monoclonal antibody?
This product is a recombinant monoclonal antibody, which offers several advantages including:

  • - High batch-to-batch consistency and reproducibility
  • - Improved sensitivity and specificity
  • - Long-term security of supply
  • - Animal-free batch production

For more information, read more on recombinant antibodies.

出荷温度及び保存条件

製品の状態
Liquid
精製方法
Affinity purification Protein A
バッファー組成
pH: 7.2 - 7.4 Preservative: 0.01% Sodium azide Constituents: PBS, 40% Glycerol (glycerin, glycerine), 0.05% BSA
出荷温度
Blue Ice
短期保存期間
1-2 weeks
短期保存温度
+4°C
長期保存温度
-20°C
分注に関する情報
Upon delivery aliquot
保管に関する情報
Avoid freeze / thaw cycle

補足情報

This supplementary information is collated from multiple sources and compiled automatically.

The ACSL6 also known as ACS2 is an enzyme involved in lipid metabolism. It is responsible for converting long-chain fatty acids into acyl-CoA an essential step in the metabolism of fatty acids. ACSL6 has a molecular mass that ranges around 78 kilodaltons. It is expressed in the brain particularly in neurons and can also be found in other tissues like the heart and skeletal muscles. This enzyme is important for maintaining energy balance and proper neural function due to its role in lipid metabolism.
Biological function summary

The activation of long-chain fatty acids by ACSL6 is an important step facilitating their incorporation into cellular lipids or their oxidation to generate energy. While ACSL6 does not form part of a multi-protein complex its activity aids in the regulation of lipidic composition within membranes and signaling molecules. ACSL6 plays a role in the maintenance of membrane fluidity which is important for neuronal health and function.

Pathways

The role of ACSL6 in the metabolism of fatty acids intersects with the beta-oxidation and lipid biosynthesis pathways. ACSL6 cooperates with other ACSL family members such as ACSL1 in these pathways though each family member may have different substrate specificities. Fatty acid oxidation represents an important energy source especially in tissues with high demand like the heart and brain where ACSL6 is notably expressed.

Disruptions in ACSL6 activity have been associated with neurological disorders and metabolic diseases. For example aberrations in ACSL6 expression or function have been linked to schizophrenia where altered lipid metabolism may affect neural cell membranes and signaling. ACSL6's connection to schizophrenia involves interactions with pathways also influenced by proteins like COMT which is implicated in cognitive functions and neurochemistry. Such links suggest that ACSL6's proper functioning is necessary for maintaining normal physiological conditions in the brain and perhaps in associated metabolic contexts.

製品プロトコール

For this product, it's our understanding that no specific protocols are required. You can visit:

ターゲットの情報

Catalyzes the conversion of long-chain fatty acids to their active form acyl-CoA for both synthesis of cellular lipids, and degradation via beta-oxidation (PubMed : 22633490, PubMed : 24269233). Plays an important role in fatty acid metabolism in brain and the acyl-CoAs produced may be utilized exclusively for the synthesis of the brain lipid.
See full target information Long-chain-fatty-acid--CoA ligase 6

Abcam product promise

当社は、高品質な試薬を通じてお客様の研究を力強くサポートすることをお約束いたします。ご使用いただく各段階で、常にお客様をサポートできる体制を整えております。万が一、製品が期待通りに機能しない場合は、「Abcam Product Promise」による当社保証制度に基づき、安心してご利用いただけます。
保証に関する詳細については利用規約をご確認ください。

Please note: All products are 'FOR RESEARCH USE ONLY. NOT FOR USE IN DIAGNOSTIC OR THERAPEUTIC PROCEDURES'.

For licensing inquiries, please contact partnerships@abcam.com