JavaScript is disabled in your browser. Please enable JavaScript to view this website.
AB228677

Anti-ACRV1 抗体

Anti-ACRV1 antibody

  • JP Deleterious:医薬用外劇物

Be the first to review this product! Submit a review

|

(1 Publication)

Rabbit Polyclonal ACRV1 antibody. Suitable for WB and reacts with Mouse samples. Cited in 1 publication. Immunogen corresponding to Recombinant Fragment Protein within Human Acrosomal protein SP-10.

別名を表示する

Acrosomal protein SP-10, Acrosomal vesicle protein 1, ACRV1

1 Images
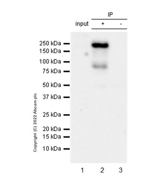
Western blot - Anti-ACRV1 antibody (AB228677)
  • WB

Supplier Data

Western blot - Anti-ACRV1 antibody (AB228677)

12% SDS-PAGE

All lanes:

Western blot - Anti-ACRV1 antibody (ab228677) at 1/500 dilution

All lanes:

Mouse testis whole cell lysate at 50 µg

Predicted band size: 28 kDa

true

Key facts

宿主種

Rabbit

クローン性

Polyclonal

アイソタイプ

IgG

キャリアフリー

No

交差種

Mouse

アプリケーション

WB

applications

免疫原

Recombinant Fragment Protein within Human Acrosomal protein SP-10. The exact immunogen used to generate this antibody is proprietary information.

P26436

Reactivity data

{ "title": "Reactivity Data", "filters": { "stats": ["", "Species", "Dilution Info", "Notes"], "tabs": { "all-applications": {"fullname" : "All Applications", "shortname": "All Applications"}, "WB" : {"fullname" : "Western blot", "shortname":"WB"} }, "product-promise": { "all": "all", "testedAndGuaranteed": "tested", "guaranteed": "expected", "predicted": "predicted", "notRecommended": "not-recommended" } }, "values": { "Human": { "WB-species-checked": "predicted", "WB-species-dilution-info": "", "WB-species-notes": "" }, "Mouse": { "WB-species-checked": "testedAndGuaranteed", "WB-species-dilution-info": "1/500 - 1/3000", "WB-species-notes": "<p></p>" } } }

出荷温度及び保存条件

製品の状態
Liquid
精製方法
Affinity purification Immunogen
バッファー組成
pH: 7 Preservative: 0.01% Thimerosal (merthiolate) Constituents: PBS, 20% Glycerol (glycerin, glycerine), 1% BSA
出荷温度
Blue Ice
短期保存期間
1-2 weeks
短期保存温度
+4°C
長期保存温度
-20°C
分注に関する情報
Upon delivery aliquot
保管に関する情報
Avoid freeze / thaw cycle

補足情報

This supplementary information is collated from multiple sources and compiled automatically.

ACRV1 also known as acidic epididymal glycoprotein (AEG) is a protein that plays a role in reproductive biology. This protein has a molecular mass of approximately 24 kDa. Expression of ACRV1 mainly occurs in the testis more specifically in germ cells during spermatogenesis. Due to its specialized expression ACRV1 serves functions related to sperm development and maturation.
Biological function summary

Acidic epididymal glycoprotein (AEG) contributes to the stability and function of the acrosome a cap-like structure in sperm cells necessary for fertilization. ACRV1 is part of a larger protein complex involved in this process ensuring structural integrity and facilitating sperm-egg interaction. The acrosome plays a critical role in releasing enzymes that allow sperm to penetrate the egg’s outer layer enabling fertilization.

Pathways

Sperm maturation and fertilization processes rely on the presence of ACRV1. This protein is involved in the spermatogenesis pathway which is essential for producing functional and viable sperm. ACRV1 interacts with alpha-lactalbumin and protamines during this pathway to maintain chromatin stability and enable appropriate sperm head structure changes important for successful fertilization.

Abnormalities in ACRV1 expression or function can affect male fertility potentially leading to infertility conditions such as azoospermia. Defects in ACRV1 can disrupt normal sperm development contributing to issues with acrosome formation. ACRV1 is associated with other sperm-specific proteins like protamine 1 and cathepsin L which are implicated in compromised spermatozoa function and male reproductive disorders.

製品プロトコール

For this product, it's our understanding that no specific protocols are required. You can visit:

文献 (1)

Recent publications for all applications. Explore the full list and refine your search

International journal of molecular sciences 26: PubMed40141229

2025

mTOR-Mediated Autophagy Regulates Cadmium-Induced Kidney Injury via Pyroptosis.

Applications

Unspecified application

Species

Unspecified reactive species

Yuan Hu,Kui Wang,Jie Xu,Guohuan Wan,Yiyi Zhao,Yajing Chen,Kangfeng Jiang,Xiaobing Li
View all publications

Abcam product promise

当社は、高品質な試薬を通じてお客様の研究を力強くサポートすることをお約束いたします。ご使用いただく各段階で、常にお客様をサポートできる体制を整えております。万が一、製品が期待通りに機能しない場合は、「Abcam Product Promise」による当社保証制度に基づき、安心してご利用いただけます。
保証に関する詳細については利用規約をご確認ください。

Please note: All products are 'FOR RESEARCH USE ONLY. NOT FOR USE IN DIAGNOSTIC OR THERAPEUTIC PROCEDURES'.

For licensing inquiries, please contact partnerships@abcam.com