JavaScript is disabled in your browser. Please enable JavaScript to view this website.
AB248277

Anti-Aconitase 2 抗体 [EPR8282(B)] - BSA and Azide free

Anti-Aconitase 2 antibody [EPR8282(B)] - BSA and Azide free

Be the first to review this product! Submit a review

|

(0 Publication)

Rabbit Recombinant Monoclonal Aconitase 2 antibody. Carrier free. Suitable for IHC-P, WB and reacts with Human, Mouse, Rat samples.

別名を表示する

Aconitase, Citrate hydro-lyase, ACO2

4 Images
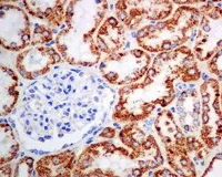
Immunohistochemistry (Formalin/PFA-fixed paraffin-embedded sections) - Anti-Aconitase 2 antibody [EPR8282(B)] - BSA and Azide free (AB248277)
  • IHC-P

Unknown

Immunohistochemistry (Formalin/PFA-fixed paraffin-embedded sections) - Anti-Aconitase 2 antibody [EPR8282(B)] - BSA and Azide free (AB248277)

This data was developed using ab129069, the same antibody clone in a different buffer formulation.

ab129069, at 1/100 dilution, staining Aconitase 2 in paraffin-embedded Human kidney tissue by Immunohistochemistry.

Perform heat mediated antigen retrieval before commencing with IHC staining protocol.

Western blot - Anti-Aconitase 2 antibody [EPR8282(B)] - BSA and Azide free (AB248277)
  • WB

Unknown

Western blot - Anti-Aconitase 2 antibody [EPR8282(B)] - BSA and Azide free (AB248277)

This data was developed using ab129069, the same antibody clone in a different buffer formulation.

All lanes:

Western blot - Anti-Aconitase 2 antibody [EPR8282(B)] (<a href='/products/primary-antibodies/aconitase-2-antibody-epr8282b-ab129069'>ab129069</a>) at 1/10000 dilution

Lane 1:

HeLa cell lysate at 10 µg

Lane 2:

K562 cell lysate at 10 µg

Lane 3:

Human fetal heart tissue lysate at 10 µg

Lane 4:

Jurkat cell lysate at 10 µg

Secondary

All lanes:

Goat anti-rabbit HRP-conjugated at 1/2000 dilution

Predicted band size: 85 kDa

false

Western blot - Anti-Aconitase 2 antibody [EPR8282(B)] - BSA and Azide free (AB248277)
  • WB

Lab

Western blot - Anti-Aconitase 2 antibody [EPR8282(B)] - BSA and Azide free (AB248277)

This data was developed using ab129069, the same antibody clone in a different buffer formulation.

Lane 1 : Wild-type HAP1 whole cell lysate (20 Âμg)

Lane 2 : Aconitase 2 knockout HAP1 whole cell lysate (20 Âμg)

Lane 3 : HeLa whole cell lysate (20 Âμg)

Lane 4 : Jurkat whole cell lysate (20 Âμg)

Lanes 1 - 4 : Merged signal (red and green). Green - ab129069 observed at 90 kDa. Red - loading control, ab9484, observed at 37 kDa.

ab129069 was shown to specifically react with Aconitase 2 in wild-type HAP1 cells as signal was lost in Aconitase 2 knockout cells. Wild-type and Aconitase 2 knockout samples were subjected to SDS-PAGE. ab129069 and ab9484 (Mouse anti-GAPDH loading control) were incubated overnight at 4°C at 1/10000 dilution and 1/20000 dilution respectively. Blots were developed with Goat anti-Rabbit IgG H&L (IRDye® 800CW) preabsorbed ab216773 and Goat anti-Mouse IgG H&L (IRDye® 680RD) preabsorbed ab216776 secondary antibodies at 1/20000 dilution for 1 hour at room temperature before imaging.

All lanes:

Western blot - Anti-Aconitase 2 antibody [EPR8282(B)] (<a href='/products/primary-antibodies/aconitase-2-antibody-epr8282b-ab129069'>ab129069</a>)

Predicted band size: 85 kDa

false

OI-RD Scanning - Anti-Aconitase 2 antibody [EPR8282(B)] - BSA and Azide free (AB248277)
  • OI-RD Scanning

Unknown

OI-RD Scanning - Anti-Aconitase 2 antibody [EPR8282(B)] - BSA and Azide free (AB248277)

We have systematically measured KD (the equilibrium dissociation constant between the antibody and its antigen), of more than 840 recombinant antibodies to assess not only their individual KD values but also to see the average affinity of antibody. Based on the comparison with published literature values for mouse monoclonal antibodies, Recombinant antibodies appear to be on average 1-2 order of magnitude higher affinity.

関連する標識済み抗体及び組成の異なる製品 (8)

  • Unconjugated

    Anti-Aconitase 2 antibody [EPR8282(B)]

  • 519 Alexa Fluor® 488

    Alexa Fluor® 488 Anti-Aconitase 2 antibody [EPR8282(B)]

  • 578 PE

    PE Anti-Aconitase 2 antibody [EPR8282(B)]

  • 565 Alexa Fluor® 555

    Alexa Fluor® 555 Anti-Aconitase 2 antibody [EPR8282(B)]

  • 660 APC

    APC Anti-Aconitase 2 antibody [EPR8282(B)]

  • 665 Alexa Fluor® 647

    Alexa Fluor® 647 Anti-Aconitase 2 antibody [EPR8282(B)]

  • 617 Alexa Fluor® 594

    Alexa Fluor® 594 Anti-Aconitase 2 antibody [EPR8282(B)]

  • 775 Alexa Fluor® 750

    Alexa Fluor® 750 Anti-Aconitase 2 antibody [EPR8282(B)]

Key facts

宿主種

Rabbit

クローン性

Monoclonal

クローン番号

EPR8282(B)

アイソタイプ

IgG

キャリアフリー

Yes

交差種

Human

アプリケーション

WB, IHC-P

applications

免疫原

The exact immunogen used to generate this antibody is proprietary information.

Reactivity data

{ "title": "Reactivity Data", "filters": { "stats": ["", "Species", "Dilution Info", "Notes"], "tabs": { "all-applications": {"fullname" : "All Applications", "shortname": "All Applications"}, "IHCP" : {"fullname" : "Immunohistochemistry (Formalin/PFA-fixed paraffin-embedded sections)", "shortname":"IHC-P"}, "FlowCyt" : {"fullname" : "Flow Cytometry", "shortname":"Flow Cyt"}, "WB" : {"fullname" : "Western blot", "shortname":"WB"} }, "product-promise": { "all": "all", "testedAndGuaranteed": "tested", "guaranteed": "expected", "predicted": "predicted", "notRecommended": "not-recommended" } }, "values": { "Human": { "IHCP-species-checked": "testedAndGuaranteed", "IHCP-species-dilution-info": "", "IHCP-species-notes": "<p></p>", "FlowCyt-species-checked": "notRecommended", "FlowCyt-species-dilution-info": "", "FlowCyt-species-notes": "<p></p>", "WB-species-checked": "testedAndGuaranteed", "WB-species-dilution-info": "", "WB-species-notes": "<p></p>" }, "Mouse": { "IHCP-species-checked": "predicted", "IHCP-species-dilution-info": "", "IHCP-species-notes": "", "FlowCyt-species-checked": "notRecommended", "FlowCyt-species-dilution-info": "", "FlowCyt-species-notes": "", "WB-species-checked": "guaranteed", "WB-species-dilution-info": "", "WB-species-notes": "<p></p>" }, "Rat": { "IHCP-species-checked": "predicted", "IHCP-species-dilution-info": "", "IHCP-species-notes": "", "FlowCyt-species-checked": "notRecommended", "FlowCyt-species-dilution-info": "", "FlowCyt-species-notes": "", "WB-species-checked": "guaranteed", "WB-species-dilution-info": "", "WB-species-notes": "<p></p>" } } }

製品の詳細

ab248277 is the carrier-free version of ab129069.

Patented technology
Our RabMAb® technology is a patented hybridoma-based technology for making rabbit monoclonal antibodies. For details on our patents, please refer to RabMAb® patents.

What are the advantages of a recombinant monoclonal antibody?
This product is a recombinant monoclonal antibody, which offers several advantages including:

  • - High batch-to-batch consistency and reproducibility
  • - Improved sensitivity and specificity
  • - Long-term security of supply
  • - Animal-free batch production

For more information, read more on recombinant antibodies.

Conjugation ready
Our carrier-free antibodies are typically supplied in a PBS-only formulation, purified and free of BSA, sodium azide and glycerol. This conjugation-ready format is designed for use with fluorochromes, metal isotopes, oligonucleotides, and enzymes, which makes them ideal for antibody labelling, functional and cell-based assays, flow-based assays (e.g. mass cytometry) and Multiplex Imaging applications.

Use our conjugation kits for antibody conjugates that are ready-to-use in as little as 20 minutes with 1 minute hands-on-time and 100% antibody recovery: available for fluorescent dyes, HRP, biotin and gold.

Compatibility
This product is compatible with the Maxpar® Antibody Labeling Kit from Fluidigm, without the need for antibody preparation. Maxpar® is a trademark of Fluidigm Canada Inc.

出荷温度及び保存条件

製品の状態
Liquid
精製方法
Affinity purification Protein A
バッファー組成
pH: 7.2 - 7.4 Constituents: PBS
出荷温度
Blue Ice
短期保存温度
+4°C
長期保存温度
+4°C
保管に関する情報
Do Not Freeze

補足情報

This supplementary information is collated from multiple sources and compiled automatically.

Aconitase 2 also known as ACO2 is an enzyme involved in the citric acid cycle which plays an important role in energy production within the cell. This enzyme converts citrate to isocitrate via a cis-aconitate intermediate an essential step in the cycle that generates ATP. Aconitase 2 has a molecular mass of approximately 83 kDa and is primarily expressed in the mitochondria of eukaryotic cells where it functions optimally due to the organelle's environment.
Biological function summary

Aconitase 2 supports cellular energy metabolism by facilitating the conversion of citrate derivatives. It is an iron-sulfur protein integral to both the cytosolic aconitase and mitochondrial varieties that functions as part of the mitochondrial aconitase complex. The enzyme's iron-sulfur cluster gets oxidized under different conditions causing the enzyme to act as a regulatory factor in response to iron levels further linking it with cellular iron metabolism.

Pathways

Aconitase 2 plays a significant role in the tricarboxylic acid (TCA) cycle commonly known as the Krebs cycle and the iron regulatory pathway. In the TCA cycle aconitase 2 acts after citrate synthase and before isocitrate dehydrogenase establishing its role in the middle of the cycle. It is functionally related to iron regulatory proteins particularly IRP1 which can interchangeably bind to iron-responsive elements or possess aconitase activity in its Fe-containing form.

Disruptions in aconitase 2 activity are linked to conditions like Friedreich's ataxia and cancer. Friedreich's ataxia involves mitochondrial dysfunction wherein the decreased activity of aconitase 2 leads to impaired energy metabolism contributing to neurodegeneration. In cancers altered aconitase 2 function can impact cellular proliferation by modifying energy metabolism pathways. Aconitase 2 also interacts with the protein frataxin in the context of these conditions underlining its involvement in disease mechanisms related to mitochondrial dysfunction and iron metabolism.

製品プロトコール

For this product, it's our understanding that no specific protocols are required. You can visit:

ターゲットの情報

Catalyzes the isomerization of citrate to isocitrate via cis-aconitate.
See full target information ACO2

Abcam product promise

当社は、高品質な試薬を通じてお客様の研究を力強くサポートすることをお約束いたします。ご使用いただく各段階で、常にお客様をサポートできる体制を整えております。万が一、製品が期待通りに機能しない場合は、「Abcam Product Promise」による当社保証制度に基づき、安心してご利用いただけます。
保証に関する詳細については利用規約をご確認ください。

Please note: All products are 'FOR RESEARCH USE ONLY. NOT FOR USE IN DIAGNOSTIC OR THERAPEUTIC PROCEDURES'.

For licensing inquiries, please contact partnerships@abcam.com