JavaScript is disabled in your browser. Please enable JavaScript to view this website.
AB108252

Anti-ACE2 抗体 [EPR4435(2)]

Anti-ACE2 antibody [EPR4435(2)]

  • BOND RX™ Validated
  • RabMAb
  • Recombinant
  • KO Validated
  • 20ul selling size
  • 詳細を見る

4

(10 Reviews)

|

(194 Publications)

Anti-ACE2 antibody [EPR4435(2)] (ab108252) is a rabbit monoclonal antibody detecting ACE2 in Western Blot, IP, IHC-P, ELISA. Suitable for Human, Mouse, Rat.

- KO validated for confirmed specificity
- Biophysical QC for unrivalled batch-batch consistency
- Over 150 publications

別名を表示する

UNQ868/PRO1885, ACE2, Angiotensin-converting enzyme 2, Angiotensin-converting enzyme homolog, Angiotensin-converting enzyme-related carboxypeptidase, Metalloprotease MPROT15, ACEH, ACE-related carboxypeptidase

14 Images
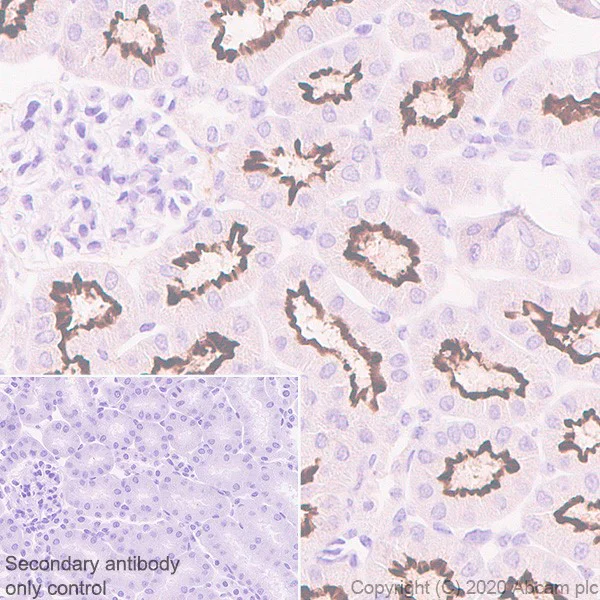
Immunohistochemistry (Formalin/PFA-fixed paraffin-embedded sections) - Anti-ACE2 antibody [EPR4435(2)] (AB108252)
  • IHC-P

Lab

Immunohistochemistry (Formalin/PFA-fixed paraffin-embedded sections) - Anti-ACE2 antibody [EPR4435(2)] (AB108252)

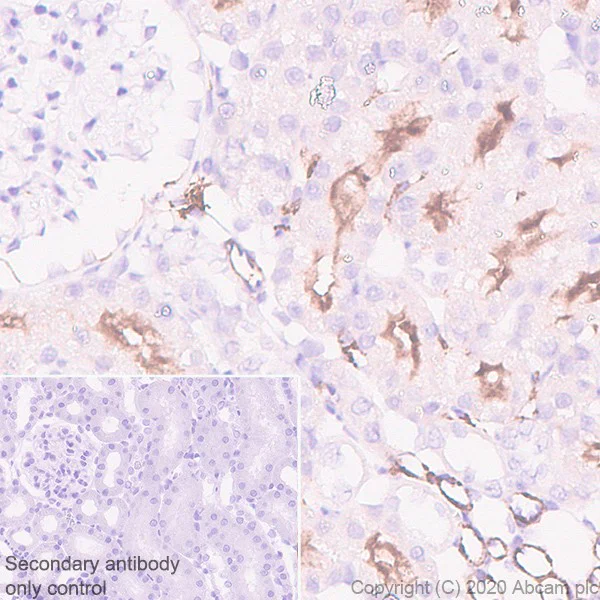
Immunohistochemical analysis of formalin fixed paraffin embedded human kidney labelling ACE2 with ab108252 at a concentration of 0.01µg/ml. The immunostaining was performed on a Ventana DISCOVERY ULTRA (Roche Tissue Diagnostics) instrument with a OptiView DAB IHC Detection Kit. Heat mediated antigen retrieval was performed with DISCOVERY cell conditioning solution (CC1) 100°C, pH8.5 for 32 mins. ab108252 Anti-ACE2 antibody [EPR4435(2)] was incubated for 16 mins at 37°C. Sections were counterstained with Hematoxylin II. Image inset shows absence of staining in secondary antibody only control.

Customers are encouraged to optimise antigen retrieval conditions, antibody concentration, incubation times and temperature for best results in their own IHC assay workflow (automated and manual).

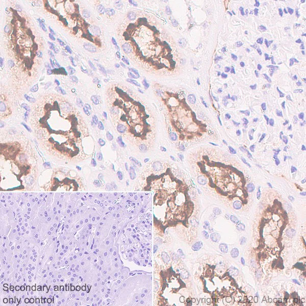
Immunohistochemistry (Formalin/PFA-fixed paraffin-embedded sections) - Anti-ACE2 antibody [EPR4435(2)] (AB108252)
  • IHC-P

Lab

Immunohistochemistry (Formalin/PFA-fixed paraffin-embedded sections) - Anti-ACE2 antibody [EPR4435(2)] (AB108252)

Immunohistochemical analysis of formalin fixed paraffin embedded human testis labelling ACE2 with ab108252 at a concentration of 0.01µg/ml. The immunostaining was performed on a Ventana DISCOVERY ULTRA (Roche Tissue Diagnostics) instrument with a OptiView DAB IHC Detection Kit. Heat mediated antigen retrieval was performed with DISCOVERY cell conditioning solution (CC1) 100°C, pH8.5 for 32 mins. ab108252 Anti-ACE2 antibody [EPR4435(2)] was incubated for 16 mins at 37°C. Sections were counterstained with Hematoxylin II. Image inset shows absence of staining in secondary antibody only control.

Customers are encouraged to optimise antigen retrieval conditions, antibody concentration, incubation times and temperature for best results in their own IHC assay workflow (automated and manual).

Immunohistochemistry (Formalin/PFA-fixed paraffin-embedded sections) - Anti-ACE2 antibody [EPR4435(2)] (AB108252)
  • IHC-P

Supplier Data

Immunohistochemistry (Formalin/PFA-fixed paraffin-embedded sections) - Anti-ACE2 antibody [EPR4435(2)] (AB108252)

Immunohistochemistry (Formalin/PFA-fixed paraffin-embedded sections) analysis of human kidney tissue labeling ACE2 with ab108252 at 1/6400 dilution. Heat mediated antigen retrieval was performed using Bond™ Epitope Retrieval Solution 2 (pH 9.0) for 20 minutes. Staining was visualised using Rabbit specific IHC polymer detection kit HRP/DAB (ab209101). Negative control using PBS instead of primary antibody. Counterstained with hematoxylin.

The section was incubated with ab108252 for 30 mins at room temperature.

The immunostaining was performed on a Leica Biosystems BOND® RX instrument.

Immunoprecipitation - Anti-ACE2 antibody [EPR4435(2)] (AB108252)
  • IP

Lab

Immunoprecipitation - Anti-ACE2 antibody [EPR4435(2)] (AB108252)

ab108252 Immunoprecipitating ACE2 in human testis tissue lysate. 0.35 mg of tissue lysate was incubated with 0.6 μg primary antibody (1/20). For western blotting a HRP-conjugated Veriblot for IP Detection Reagent (ab131366) (1/1000) was used to confirm successful immunoprecipitation.

Exposure time : 1 second.
Blocking buffer and concentration : 5% NFDM/TBST.
Diluting buffer and concentration : 5% NFDM /TBST.

All lanes:

Immunoprecipitation - Anti-ACE2 antibody [EPR4435(2)] (ab108252) at 1/500 dilution

Lane 1:

Human testis tissue lysate at 10 µg

Lane 2:

ab108252 + Human testis tissue lysate

Lane 3:

Rabbit monoclonal IgG (<a href='/products/primary-antibodies/rabbit-igg-monoclonal-epr25a-isotype-control-ab172730'>ab172730</a>) instead of ab108252 in Human testis tissue lysate

Predicted band size: 92 kDa

Observed band size: 110 kDa

false

Immunohistochemistry (Formalin/PFA-fixed paraffin-embedded sections) - Anti-ACE2 antibody [EPR4435(2)] (AB108252)
  • IHC-P

Supplier Data

Immunohistochemistry (Formalin/PFA-fixed paraffin-embedded sections) - Anti-ACE2 antibody [EPR4435(2)] (AB108252)

Immunohistochemistry (Formalin/PFA-fixed paraffin-embedded sections) analysis of mouse kidney tissue labeling ACE2 with ab108252 at 1/6400 dilution. Heat mediated antigen retrieval was performed using Bond™ Epitope Retrieval Solution 2 (pH 9.0) for 20 minutes. Staining was visualised using Rabbit specific IHC polymer detection kit HRP/DAB (ab209101). Negative control using PBS instead of primary antibody. Counterstained with hematoxylin.

The section was incubated with ab108252 for 30 mins at room temperature.

The immunostaining was performed on a Leica Biosystems BOND® RX instrument.

Immunohistochemistry (Formalin/PFA-fixed paraffin-embedded sections) - Anti-ACE2 antibody [EPR4435(2)] (AB108252)
  • IHC-P

Supplier Data

Immunohistochemistry (Formalin/PFA-fixed paraffin-embedded sections) - Anti-ACE2 antibody [EPR4435(2)] (AB108252)

Immunohistochemistry (Formalin/PFA-fixed paraffin-embedded sections) analysis of rat kidney tissue labeling ACE2 with ab108252 at 1/6400 dilution. Heat mediated antigen retrieval was performed using Bond™ Epitope Retrieval Solution 2 (pH 9.0) for 20 minutes. Staining was visualised using Rabbit specific IHC polymer detection kit HRP/DAB (ab209101). Negative control using PBS instead of primary antibody. Counterstained with hematoxylin.

The section was incubated with ab108252 for 30 mins at room temperature.

The immunostaining was performed on a Leica Biosystems BOND® RX instrument.

Western blot - Anti-ACE2 antibody [EPR4435(2)] (AB108252)
  • WB

Lab

Western blot - Anti-ACE2 antibody [EPR4435(2)] (AB108252)

Blocking and diluting buffer and concentration : 5% NFDM/TBST. ab181602 was used as a GAPDH loading control. Two bands observed by ab108252 corresponding to glycosylation and non-glycosylation forms. Signal in heart tissue is low, we recommend loading more amount of lysate or using lower antibody dilution to improve result.

All lanes:

Western blot - Anti-ACE2 antibody [EPR4435(2)] (ab108252) at 1/1000 dilution

Lane 1:

Human heart tissue lysate at 20 µg

Lane 2:

Rat heart tissue lysate at 20 µg

Secondary

All lanes:

Anti-Rabbit IgG (HRP) with minimal cross-reactivity with human IgG at 1/2000 dilution

Predicted band size: 92 kDa

Observed band size: 110 kDa,120 kDa

false

Exposure time: 180s

Western blot - Anti-ACE2 antibody [EPR4435(2)] (AB108252)
  • WB

Lab

Western blot - Anti-ACE2 antibody [EPR4435(2)] (AB108252)

Different batches of ab108252 were tested on Human kidney lysate at 0.2 µg/ml. 15 µg of lysate was loaded in each lane. Bands observed at 120 kDa.

All lanes:

Western blot - Anti-ACE2 antibody [EPR4435(2)] (ab108252)

Predicted band size: 92 kDa

false

Western blot - Anti-ACE2 antibody [EPR4435(2)] (AB108252)
  • WB

Lab

Western blot - Anti-ACE2 antibody [EPR4435(2)] (AB108252)

Lanes 1 - 4 : Merged signal (red and green). Green - ab108252 observed at 125 kDa. Red - loading control ab8245 (Mouse anti-GAPDH antibody [6C5]) observed at 37kDa.

ab108252 was shown to react with ACE2 in Caco-2 wild-type cells in western blot with loss of signal observed in ACE2 knockout cell line ab273731 (knockout cell lysate ab275516). Wild-type and ACE2 knockout Caco-2 cell lysates were subjected to SDS-PAGE. Membranes were blocked in fluorescent western blot (TBS-based) blocking solution before incubation with ab108252 and ab8245 (Mouse anti-GAPDH antibody [6C5]) overnight at 4°C at a 1 in 1000 Dilution and a 1 in 20000 dilution respectively. Blots were incubated with Goat anti-Rabbit IgG H&L (IRDye® 800CW) preabsorbed (ab216773) and Goat anti-Mouse IgG H&L (IRDye® 680RD) preabsorbed (ab216776) secondary antibodies at 1 in 20000 dilution for 1 hour at room temperature before imaging.

All lanes:

Western blot - Anti-ACE2 antibody [EPR4435(2)] (ab108252) at 1/1000 dilution

Lane 1:

Wild-type Caco-2 cell lysate at 30 µg

Lane 2:

ACE2 knockout Caco-2 cell lysate at 30 µg

Lane 2:

Western blot - Human ACE2 knockout Caco-2 cell line (<a href='/products/cell-lines/human-ace2-knockout-caco-2-cell-line-ab273731'>ab273731</a>)

Lane 3:

Calu-3 cell lysate at 30 µg

Lane 4:

A549 cell lysate at 30 µg

Predicted band size: 104 kDa,60 kDa,76 kDa,92 kDa

Observed band size: 125 kDa,75 kDa

false

Western blot - Anti-ACE2 antibody [EPR4435(2)] (AB108252)
  • WB

Lab

Western blot - Anti-ACE2 antibody [EPR4435(2)] (AB108252)

Lanes 1 - 4 : Merged signal (red and green). Green - ab108252 observed at 130 kDa. Red - loading control ab8245 (Mouse anti-GAPDH antibody [6C5]) observed at 37kDa.

ab108252 was shown to react with ACE2 in wild-type HepG2 cells in western blot with loss of signal observed in ACE2 knockout cell line ab273733 (knockout cell lysate ab275495). Wild-type and ACE2 knockout HepG2 cell lysates were subjected to SDS-PAGE. Membranes were blocked in 3% milk in TBS-T (0.1% Tween®) before incubation with ab108252 and ab8245 (Mouse anti-GAPDH antibody [6C5]) overnight at 4°C at a 1 in 1000 dilution and a 1 in 20000 dilution respectively. Blots were incubated with Goat anti-Rabbit IgG H&L (IRDye® 800CW) preabsorbed (ab216773) and Goat anti-Mouse IgG H&L (IRDye® 680RD) preabsorbed (ab216776) secondary antibodies at 1 in 20000 dilution for 1 hour at room temperature before imaging.

All lanes:

Western blot - Anti-ACE2 antibody [EPR4435(2)] (ab108252) at 1/1000 dilution

Lane 1:

Wild-type HepG2 cell lysate at 30 µg

Lane 2:

ACE2 knockout HepG2 cell lysate at 30 µg

Lane 3:

Calu-3 cell lysate at 30 µg

Lane 4:

A549 cell lysate at 30 µg

Predicted band size: 92 kDa

Observed band size: 130 kDa

false

Western blot - Anti-ACE2 antibody [EPR4435(2)] (AB108252)
  • WB

Lab

Western blot - Anti-ACE2 antibody [EPR4435(2)] (AB108252)

Blocking and diluting buffer and concentration : 5% NFDM/TBST. ab181602 was used as GAPDH loading control. Exposure time : Lane 1 : 7 seconds; Lane 2-8 : 180 seconds. Two bands observed by ab108252 corresponding to glycosylation and non-glycosylation forms. Signal in mouse and rat tissues are low, we recommend loading more amount of lysate or using lower antibody dilution to improve result.

All lanes:

Western blot - Anti-ACE2 antibody [EPR4435(2)] (ab108252) at 1/1000 dilution

Lane 1:

Human testis tissue lysate at 20 µg

Lane 2:

Human lung tissue lysate at 20 µg

Lane 3:

Mouse testis tissue lysate

Lane 4:

Mouse spleen tissue lysate

Lane 5:

Mouse lung tissue lysate

Lane 6:

Rat testis tissue lysate

Lane 7:

Rat spleen tissue lysate

Lane 8:

Rat lung tissue lysate

Secondary

All lanes:

Anti-Rabbit IgG (HRP) with minimal cross-reactivity with human IgG at 1/2000 dilution

Predicted band size: 92 kDa

Observed band size: 110 kDa,120 kDa

false

Western blot - Anti-ACE2 antibody [EPR4435(2)] (AB108252)
  • WB

Lab

Western blot - Anti-ACE2 antibody [EPR4435(2)] (AB108252)

Lanes 1 - 6 : Merged signal (red and green). Green - ab108252 observed at 120 kDa. Red - loading control, Mouse anti-Actin observed at 42kDa.

ab108252 was shown to react with ACE2 in western blot. Membranes were blocked in 3% milk in TBS-T (0.1% Tween®) before incubation with ab108252 and Mouse anti Actin overnight at 4°C at a 1 in 1000 dilution and a 1 in 20000 dilution respectively. Blots were incubated with Goat anti-Rabbit IgG H&L (IRDye® 800CW) preabsorbed (ab216773) and Goat anti-Mouse IgG H&L (IRDye® 680RD) preabsorbed (ab216776) secondary antibodies at 1 in 20000 dilution for 1 hour at room temperature before imaging.

Absence of ACE2 expression in A549 cells aligns with previously reported mRNA and protein data (PMID 16282461; fig.2b and 2c).

All lanes:

Western blot - Anti-ACE2 antibody [EPR4435(2)] (ab108252) at 1/1000 dilution

Lane 1:

Human testis cell lysate at 20 µg

Lane 2:

Human kidney cell lysate at 20 µg

Lane 3:

Human lung cell lysate at 20 µg

Lane 4:

HepG2 cell lysate at 20 µg

Lane 5:

Caco-2 cell lysate at 20 µg

Lane 6:

A549 cell lysate (negative control) at 20 µg

Predicted band size: 92 kDa

Observed band size: 120 kDa

false

Indirect ELISA - Anti-ACE2 antibody [EPR4435(2)] (AB108252)
  • I-ELISA

Unknown

Indirect ELISA - Anti-ACE2 antibody [EPR4435(2)] (AB108252)

ELISA using ab108252 at varying antibody concentrations (4000~0 ng/ml) and antigen concentration at 1000 ng/mL. An Alkaline Phosphatase-conjugated Goat Anti-Rabbit IgG (H+L) (1/2500) was used as the secondary antibody.

Western blot - Anti-ACE2 antibody [EPR4435(2)] (AB108252)
  • WB

Unknown

Western blot - Anti-ACE2 antibody [EPR4435(2)] (AB108252)

All lanes:

Western blot - Anti-ACE2 antibody [EPR4435(2)] (ab108252) at 1/1000 dilution

Lane 1:

Human fetal kidney lysate at 10 µg

Lane 2:

Human testis lysate at 10 µg

Predicted band size: 92 kDa

false

関連する標識済み抗体及び組成の異なる製品 (5)

  • 565 Alexa Fluor® 555

    Alexa Fluor® 555 Anti-Angiotensin Converting Enzyme 2 antibody [EPR4435(2)]

  • 617 Alexa Fluor® 594

    Alexa Fluor® 594 Anti-Angiotensin Converting Enzyme 2 antibody [EPR4435(2)]

  • 665 Alexa Fluor® 647

    Alexa Fluor® 647 Anti-Angiotensin Converting Enzyme 2 antibody [EPR4435(2)]

  • Carrier free

    Anti-ACE2 antibody [EPR4435(2)] - BSA and Azide free

  • 519 Alexa Fluor® 488

    Alexa Fluor® 488 Anti-ACE2 antibody [EPR4435(2)]

Key facts

宿主種

Rabbit

クローン性

Monoclonal

クローン番号

EPR4435(2)

アイソタイプ

IgG

キャリアフリー

No

交差種

Mouse, Rat, Human

アプリケーション

I-ELISA, IP, WB, IHC-P

applications

免疫原

The exact immunogen used to generate this antibody is proprietary information.

Reactivity data

{ "title": "Reactivity Data", "filters": { "stats": ["", "Species", "Dilution Info", "Notes"], "tabs": { "all-applications": {"fullname" : "All Applications", "shortname": "All Applications"}, "IHCP" : {"fullname" : "Immunohistochemistry (Formalin/PFA-fixed paraffin-embedded sections)", "shortname":"IHC-P"}, "IP" : {"fullname" : "Immunoprecipitation", "shortname":"IP"}, "IELISA" : {"fullname" : "Indirect ELISA", "shortname":"I-ELISA"}, "WB" : {"fullname" : "Western blot", "shortname":"WB"}, "ICCIF" : {"fullname" : "Immunocytochemistry/ Immunofluorescence", "shortname":"ICC/IF"}, "FlowCyt" : {"fullname" : "Flow Cytometry", "shortname":"Flow Cyt"} }, "product-promise": { "all": "all", "testedAndGuaranteed": "tested", "guaranteed": "expected", "predicted": "predicted", "notRecommended": "not-recommended" } }, "values": { "Human": { "IHCP-species-checked": "testedAndGuaranteed", "IHCP-species-dilution-info": "1/6400 - 1/32000", "IHCP-species-notes": "<p><strong>For unpurified use at 1/100 - 1/250.</strong></p> Perform heat-mediated antigen retrieval with citrate buffer pH 6 before commencing with IHC staining protocol.", "IP-species-checked": "testedAndGuaranteed", "IP-species-dilution-info": "1/10 - 1/100", "IP-species-notes": "<p></p>", "IELISA-species-checked": "guaranteed", "IELISA-species-dilution-info": "", "IELISA-species-notes": "", "WB-species-checked": "testedAndGuaranteed", "WB-species-dilution-info": "1/1000 - 1/10000", "WB-species-notes": "<p></p>", "ICCIF-species-checked": "notRecommended", "ICCIF-species-dilution-info": "", "ICCIF-species-notes": "<p></p>", "FlowCyt-species-checked": "notRecommended", "FlowCyt-species-dilution-info": "", "FlowCyt-species-notes": "<p></p>" }, "Mouse": { "IHCP-species-checked": "testedAndGuaranteed", "IHCP-species-dilution-info": "1/6400 - 1/32000", "IHCP-species-notes": "<p><strong>For unpurified use at 1/100 - 1/250.</strong></p> Perform heat-mediated antigen retrieval with citrate buffer pH 6 before commencing with IHC staining protocol.", "IP-species-checked": "guaranteed", "IP-species-dilution-info": "", "IP-species-notes": "", "IELISA-species-checked": "guaranteed", "IELISA-species-dilution-info": "", "IELISA-species-notes": "", "WB-species-checked": "testedAndGuaranteed", "WB-species-dilution-info": "1/1000 - 1/10000", "WB-species-notes": "<p></p>", "ICCIF-species-checked": "notRecommended", "ICCIF-species-dilution-info": "", "ICCIF-species-notes": "<p></p>", "FlowCyt-species-checked": "notRecommended", "FlowCyt-species-dilution-info": "", "FlowCyt-species-notes": "<p></p>" }, "Rat": { "IHCP-species-checked": "testedAndGuaranteed", "IHCP-species-dilution-info": "1/6400 - 1/32000", "IHCP-species-notes": "<p><strong>For unpurified use at 1/100 - 1/250.</strong></p> Perform heat-mediated antigen retrieval with citrate buffer pH 6 before commencing with IHC staining protocol.", "IP-species-checked": "guaranteed", "IP-species-dilution-info": "", "IP-species-notes": "", "IELISA-species-checked": "guaranteed", "IELISA-species-dilution-info": "", "IELISA-species-notes": "", "WB-species-checked": "testedAndGuaranteed", "WB-species-dilution-info": "1/1000 - 1/10000", "WB-species-notes": "<p></p>", "ICCIF-species-checked": "notRecommended", "ICCIF-species-dilution-info": "", "ICCIF-species-notes": "", "FlowCyt-species-checked": "notRecommended", "FlowCyt-species-dilution-info": "", "FlowCyt-species-notes": "<p></p>" }, "Synthetic peptide": { "IHCP-species-checked": "notRecommended", "IHCP-species-dilution-info": "", "IHCP-species-notes": "", "IP-species-checked": "notRecommended", "IP-species-dilution-info": "", "IP-species-notes": "", "IELISA-species-checked": "testedAndGuaranteed", "IELISA-species-dilution-info": "", "IELISA-species-notes": "<p></p>", "WB-species-checked": "notRecommended", "WB-species-dilution-info": "", "WB-species-notes": "", "ICCIF-species-checked": "notRecommended", "ICCIF-species-dilution-info": "", "ICCIF-species-notes": "", "FlowCyt-species-checked": "notRecommended", "FlowCyt-species-dilution-info": "", "FlowCyt-species-notes": "" } } }

製品の詳細

What is this antibody validated in?
Anti-ACE2 antibody [EPR4435(2)] (ab108252) is a rabbit recombinant monoclonal antibody and is validated for use in Western Blot (WB), Immunoprecipitation (IP), Immunohistochemistry (IHC-P), ELISA in Human, Mouse, Rat samples.

What is the molecular weight of ACE2?
Anti-ACE2 [EPR4435(2)] (ab108252) specifically detects a band for ACE2 (UniProt: Q9BYF1) at a molecular weight of 92kDa.

Trusted by the scientific community
Anti-ACE2 [EPR4435(2)] (ab108252) was first used in a scientific publication in 2011 and has been cited over 150 times in peer-reviewed journals.

Reviewed by scientists
Anti-ACE2 [EPR4435(2)] (ab108252) has over 10 independent reviews from customers.

Trial sizes available!
Test your antibody or perform pre-screening before committing to a larger quantity. Sold in 10µl. Discover our selection of trial-size antibodies.

Specificity confirmed
The specificity of Anti-ACE2 antibody [EPR4435(2)] (ab108252) has been confirmed by Western blot testing in ACE2 Knockout HepG2 cell line, ab273733.

Other related products
We have a range of other formats of antibody clone [EPR4435(2)] also available for your convenience: ab108252, Carrier free - ab239924, Alexa Fluor® 647 - ab311135, Alexa Fluor® 594 - ab311772, Alexa Fluor® 555 - ab313253, Alexa Fluor® 488 - ab317075

Patented technology
Our RabMAb® technology is a patented hybridoma-based technology for making rabbit monoclonal antibodies. For details on our patents, please refer to RabMAb® patents.

What are the advantages of a recombinant monoclonal antibody?
This product is a recombinant monoclonal antibody, which offers several advantages including:

  • - High batch-to-batch consistency and reproducibility
  • - Improved sensitivity and specificity
  • - Long-term security of supply
  • - Animal-free batch production

For more information, read more on recombinant antibodies.

Shipping conditions update: ambient shipping

This product will be delivered at ambient temperature instead of chilled – this is by design. Extensive stability testing confirmed that our products are suitable for shipment under ambient conditions and maintain expected quality.

Why the change?

It’s part of our commitment to more sustainable packaging solutions, with ambient deliveries using eco-friendly materials such as recyclable cardboard instead of polystyrene.

What you need to know

  • Ambient shipments come with a flyer explaining the below.
  • No ice will be included in ambient shipments, but mixed orders (ambient and cold-chain items) will still arrive with ice packs to protect temperature-sensitive products.
  • Warranty coverage remains fully valid, aligned with our validated shipping method.
  • Please store the product as per the datasheet instructions upon receipt.

Find out more - https://www.abcam.com/en-us/support/shipping-storage-support/ambient-shipping

出荷温度及び保存条件

製品の状態
Liquid
精製方法
Affinity purification Protein A
バッファー組成
pH: 7.2 - 7.4 Preservative: 0.01% Sodium azide Constituents: PBS, 40% Glycerol (glycerin, glycerine), 0.05% BSA
出荷温度
Conditional Ambient
短期保存期間
1-2 weeks
短期保存温度
+4°C
長期保存温度
-20°C
分注に関する情報
Upon delivery aliquot
保管に関する情報
Avoid freeze / thaw cycle

補足情報

This supplementary information is collated from multiple sources and compiled automatically.

The ACE2 protein also known as angiotensin-converting enzyme 2 is an essential component in the renin-angiotensin system. It functions mechanically by converting the hormone angiotensin II to angiotensin-(1-7) which helps regulate blood pressure and fluid balance. The molecular weight of ACE2 is approximately 120 kDa. This protein is expressed in various tissues particularly the lungs heart kidneys and gastrointestinal tract. In cultured cells like Caco-2 cells researchers often study this expression.
Biological function summary

The ACE2 protein plays an important role in the regulation of cardiovascular and renal functions. It is a single-pass type I membrane protein and its activity reduces inflammation and oxidative stress in cells. ACE2 does not function as part of a larger protein complex but its enzymatic conversion has a substantial impact on reducing the effects of angiotensin II in the body leading to vasodilation and decreased blood pressure.

Pathways

ACE2 involvement is significant in the renin-angiotensin system and the kallikrein-kinin system. These pathways are essential for maintaining cardiovascular homeostasis. In the renin-angiotensin system ACE2 works in opposition to angiotensin-converting enzyme (ACE) balancing the effects through the production of angiotensin-(1-7) from angiotensin II. Additionally ACE2 interacts indirectly with proteins like angiotensin receptor type 1 (AT1) and angiotensin receptor type 2 (AT2) ensuring proper signaling and physiological responses.

ACE2 links closely with conditions such as hypertension and COVID-19. Increased activity of angiotensin II due to low ACE2 levels contributes to hypertension. In infectious disease SARS-CoV-2 virus responsible for COVID-19 uses ACE2 as an entry receptor to initiate infection in host cells. This interaction highlights the importance of ACE2 in disease pathogenesis and has prompted interest in ACE2 as a potential therapeutic target.

製品プロトコール

For this product, it's our understanding that no specific protocols are required. You can visit:

ターゲットの情報

Essential counter-regulatory carboxypeptidase of the renin-angiotensin hormone system that is a critical regulator of blood volume, systemic vascular resistance, and thus cardiovascular homeostasis (PubMed : 27217402). Converts angiotensin I to angiotensin 1-9, a nine-amino acid peptide with anti-hypertrophic effects in cardiomyocytes, and angiotensin II to angiotensin 1-7, which then acts as a beneficial vasodilator and anti-proliferation agent, counterbalancing the actions of the vasoconstrictor angiotensin II (PubMed : 10924499, PubMed : 10969042, PubMed : 11815627, PubMed : 14504186, PubMed : 19021774). Also removes the C-terminal residue from three other vasoactive peptides, neurotensin, kinetensin, and des-Arg bradykinin, but is not active on bradykinin (PubMed : 10969042, PubMed : 11815627). Also cleaves other biological peptides, such as apelins (apelin-13, [Pyr1]apelin-13, apelin-17, apelin-36), casomorphins (beta-casomorphin-7, neocasomorphin) and dynorphin A with high efficiency (PubMed : 11815627, PubMed : 27217402, PubMed : 28293165). In addition, ACE2 C-terminus is homologous to collectrin and is responsible for the trafficking of the neutral amino acid transporter SL6A19 to the plasma membrane of gut epithelial cells via direct interaction, regulating its expression on the cell surface and its catalytic activity (PubMed : 18424768, PubMed : 19185582).. (Microbial infection) Acts as a receptor for human coronaviruses SARS-CoV and SARS-CoV-2, as well as human coronavirus NL63/HCoV-NL63.. Isoform 2. Non-functional as a carboxypeptidase.. Isoform 2. (Microbial infection) Non-functional as a receptor for human coronavirus SARS-CoV-2.
See full target information ACE2

文献 (194)

Recent publications for all applications. Explore the full list and refine your search

International journal of molecular sciences 26: PubMed40806787

2025

Immunohistochemical Analysis of Placental Tissue of Women Infected with SARS-CoV-2 During Pregnancy-A Prospective Clinical Study.

Applications

Unspecified application

Species

Unspecified reactive species

Marija Bicanin Ilic,Tamara Nikolic Turnic,Aleksandar Nikolov,Srdjan Mujkovic,Ivana Likic Ladjevic,Igor Ilic,Marija Spasojevic,Nikola Jovic,Jovana Joksimovic Jovic,Dejana Rakic,Begzudin Ahmetovic,Sara Rosic,Aleksandra Dimitrijevic

International journal of molecular medicine 56: PubMed40613222

2025

Integrated multi‑omics analysis of liver metabolic dysregulation in ACE2 knockout mice.

Applications

Unspecified application

Species

Unspecified reactive species

Shuai Xiao,Jinxiu Guo,Bo Yu,Shiyuan Zhao,Yicun Shang,Ni Li,Jiyao Cui,Fangqiang Song,Pei Jiang

International journal of molecular sciences 26: PubMed40565006

2025

SARS-Cov-2 Replication in a Blood-Brain Barrier Model Established with Human Brain Microvascular Endothelial Cells Induces Permeability and Disables ACE2-Dependent Regulation of Bradykinin B1 Receptor.

Applications

Unspecified application

Species

Unspecified reactive species

Sharton Vinicius Antunes Coelho,Gabriela Lisboa E Souza,Bruno Braz Bezerra,Luan Rocha Lima,Isadora Alonso Correa,Dalziza Victalina de Almeida,Rodrigo Pacheco da Silva-Aguiar,Ana Acácia S Pinheiro,Pierre Sirois,Celso Caruso-Neves,Luciana Jesus da Costa,Julio Scharfstein,Luciana Barros de Arruda

Communications biology 8:164 PubMed39900972

2025

Optimized gene transduction in human lung organoids: A high-efficiency method for advanced research applications.

Applications

Unspecified application

Species

Unspecified reactive species

Jasmin Khateeb,Jady Liang,Yuchong Li,Thenuka Thanabalasingam,Julie Khang,Mirjana Jerkic,Giovanna Pellecchia,Bhooma Thiruv,Ya-Wen Chen,Ori Rotstein,Arthur S Slutsky,Haibo Zhang

Journal of medical virology 97:e70156 PubMed39760326

2025

SARS-CoV-2 Productively Infects Human Hepatocytes and Induces Cell Death.

Applications

Unspecified application

Species

Unspecified reactive species

Chunkyu Ko,Cho-Chin Cheng,Daniele Mistretta,Shubhankar Ambike,Julia Sacherl,Stoyan Velkov,Bo-Hung Liao,Romina Bester,Merve Gültan,Olga Polezhaeva,Alexander Herrmann,Constanze A Jakwerth,Carsten B Schmidt-Weber,Joachim J Bugert,Roman Wölfel,Vincent Grass,Sandra Essbauer,Daniel Schnepf,Oliver T Keppler,Florian W R Vondran,Andreas Pichlmair,Carolin Mogler,Gregor Ebert,Ulrike Protzer

BMC nephrology 25:470 PubMed39716128

2024

Fasting recovers age-related hypertension in the rats: reset of renal renin-angiotensin system components and klotho.

Applications

Unspecified application

Species

Unspecified reactive species

Firuzeh Badreh,Siyavash Joukar,Mohammad Badavi,Mohammad Rashno

Nature communications 15:10155 PubMed39578473

2024

Lysosomal "TRAP": a neotype modality for clearance of viruses and variants.

Applications

Unspecified application

Species

Unspecified reactive species

Chengliang Lyu,Zhanlong He,Xiaoming Hu,Shuang Wang,Meng Qin,Li Zhu,Yanyan Li,Fengmei Yang,Zhouguang Jiao,Xiao Zhang,Guihong Lu,Erqiang Wang,Yaling Hu,Yu Zhai,Youchun Wang,Weijin Huang,Dongshu Wang,Yimin Cui,Xiaocong Pang,Xiangzheng Liu,Hidehiro Kamiya,Guanghui Ma,Wei Wei

Scientific reports 14:27023 PubMed39506016

2024

Effect of carbon black and silicon dioxide nanoparticle exposure on corona receptor ACE2 and TMPRSS2 expression in the ocular surface.

Applications

Unspecified application

Species

Unspecified reactive species

Xuemin Li,Xiangzhe Li,Boram Kang,Youngsub Eom,Dong Hyun Kim,Jong Suk Song

Molecular medicine (Cambridge, Mass.) 30:154 PubMed39300372

2024

ACE2 deficiency inhibits thoracic aortic dissection by enhancing SIRT3 mediated inhibition of inflammation and VSCMs phenotypic switch.

Applications

Unspecified application

Species

Unspecified reactive species

Liqing Jiang,Linhe Lu,Chao Xue,He Sun,Kai Ren,Liyun Zhang,Hanzhao Zhu,Bin Zhang,Xiaoya Wang,Xinan Qiao,Xiangyan Peng,Jincheng Liu,Weixun Duan

CNS neuroscience & therapeutics 30:e14822 PubMed38923860

2024

Evidences of neurological injury caused by COVID-19 from glioma tissues and glioma organoids.

Applications

Unspecified application

Species

Unspecified reactive species

Huimin Hu,Chen Wang,Rui Tao,Bohan Liu,Dazhao Peng,Yankun Chen,Wei Zhang
View all publications

Abcam product promise

当社は、高品質な試薬を通じてお客様の研究を力強くサポートすることをお約束いたします。ご使用いただく各段階で、常にお客様をサポートできる体制を整えております。万が一、製品が期待通りに機能しない場合は、「Abcam Product Promise」による当社保証制度に基づき、安心してご利用いただけます。
保証に関する詳細については利用規約をご確認ください。

Please note: All products are 'FOR RESEARCH USE ONLY. NOT FOR USE IN DIAGNOSTIC OR THERAPEUTIC PROCEDURES'.

For licensing inquiries, please contact partnerships@abcam.com