JavaScript is disabled in your browser. Please enable JavaScript to view this website.
AB185548

Anti-ABCE1 抗体 [EPR15373(B)] - C-terminal

Anti-ABCE1 antibody [EPR15373(B)] - C-terminal

Be the first to review this product! Submit a review

|

(11 Publications)

Rabbit Recombinant Monoclonal ABCE1 antibody. C-terminal. Suitable for IP, WB, ICC/IF, Flow Cyt (Intra), IHC-P and reacts with Human, Mouse, Rat samples. Cited in 11 publications.

別名を表示する

RLI, RNASEL1, RNASELI, RNS4I, OK/SW-cl.40, ABCE1, ATP-binding cassette sub-family E member 1, 2'-5'-oligoadenylate-binding protein, HuHP68, RNase L inhibitor, Ribonuclease 4 inhibitor

8 Images
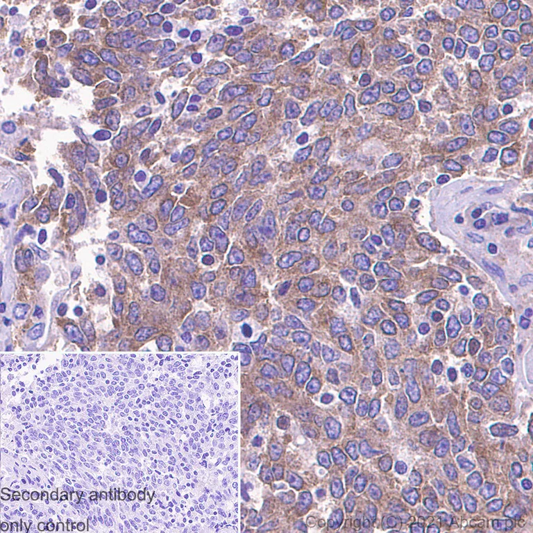
Immunohistochemistry (Formalin/PFA-fixed paraffin-embedded sections) - Anti-ABCE1 antibody [EPR15373(B)] - C-terminal (AB185548)
  • IHC-P

Lab

Immunohistochemistry (Formalin/PFA-fixed paraffin-embedded sections) - Anti-ABCE1 antibody [EPR15373(B)] - C-terminal (AB185548)

Immunohistochemistry (Formalin/PFA-fixed paraffin-embedded sections) analysis of human breast carcinoma tissue sections labeling ABCE1 with Purified ab185548 at 1 : 100 (11 μg/ml). Heat mediated antigen retrieval was performed using Heat mediated antigen retrieval using Bond™ Epitope Retrieval Solution 2 (pH 9.0) . Tissue was counterstained with Hematoxylin. Rabbit specific IHC polymer detection kit HRP/DAB (ab209101) secondary antibody was used. PBS instead of the primary antibody was used as the negative control.

Immunohistochemistry (Formalin/PFA-fixed paraffin-embedded sections) - Anti-ABCE1 antibody [EPR15373(B)] - C-terminal (AB185548)
  • IHC-P

Lab

Immunohistochemistry (Formalin/PFA-fixed paraffin-embedded sections) - Anti-ABCE1 antibody [EPR15373(B)] - C-terminal (AB185548)

Immunohistochemistry (Formalin/PFA-fixed paraffin-embedded sections) analysis of human lung carcinoma tissue sections labeling ABCE1 with Purified ab185548 at 1 : 100 (11 μg/ml). Heat mediated antigen retrieval was performed using Heat mediated antigen retrieval using Bond™ Epitope Retrieval Solution 2 (pH 9.0) . Tissue was counterstained with Hematoxylin. Rabbit specific IHC polymer detection kit HRP/DAB (ab209101) secondary antibody was used. PBS instead of the primary antibody was used as the negative control.

Flow Cytometry (Intracellular) - Anti-ABCE1 antibody [EPR15373(B)] - C-terminal (AB185548)
  • Flow Cyt (Intra)

Lab

Flow Cytometry (Intracellular) - Anti-ABCE1 antibody [EPR15373(B)] - C-terminal (AB185548)

Flow Cytometry analysis of K-562 (Human chronic myelogenous leukemia lymphoblast) cells labelling ABCE1 with Purified ab185548 at 1 : 100 dilution (10 μg/ml) (Red). Cells were fixed with 4% Paraformaldehyde and permeabilised with 90% Methanol. A Goat anti rabbit IgG (Alexa Fluor® 488, ab150081) secondary antibody was used at 1 : 2000. Isotype control - Rabbit monoclonal IgG (Black). Unlabelled control - Cell without incubation with primary antibody and secondary antibody (Blue).

Immunocytochemistry/ Immunofluorescence - Anti-ABCE1 antibody [EPR15373(B)] - C-terminal (AB185548)
  • ICC/IF

Lab

Immunocytochemistry/ Immunofluorescence - Anti-ABCE1 antibody [EPR15373(B)] - C-terminal (AB185548)

Immunocytochemistry analysis of K-562 (Human chronic myelogenous leukemia lymphoblast) cells labeling ABCE1 with Purified ab185548 at 1 : 100 dilution (10 μg/ml). Cells were fixed in 4% Paraformaldehyde and permeabilized with 0.1% tritonX-100. Cells were counterstained with ab195889 Anti-alpha Tubulin antibody [DM1A]+H21 : L21 - Microtubule Marker (Alexa Fluor® 594) 1 : 200 (2.5 μg/ml). Goat anti rabbit IgG (Alexa Fluor® 488, ab150077) was used as the secondary antibody at 1 : 1000 (2 μg/ml) dilution. DAPI (blue) was used as nuclear counterstain. PBS instead of the primary antibody was used as the secondary antibody only control.

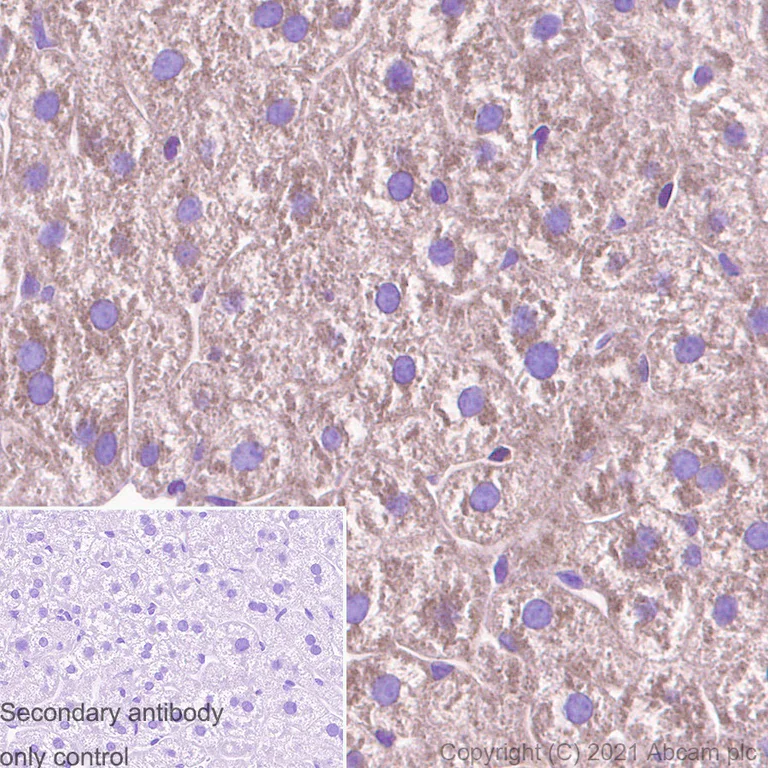
Immunohistochemistry (Formalin/PFA-fixed paraffin-embedded sections) - Anti-ABCE1 antibody [EPR15373(B)] - C-terminal (AB185548)
  • IHC-P

Lab

Immunohistochemistry (Formalin/PFA-fixed paraffin-embedded sections) - Anti-ABCE1 antibody [EPR15373(B)] - C-terminal (AB185548)

Immunohistochemistry (Formalin/PFA-fixed paraffin-embedded sections) analysis of mouse liver tissue sections labeling ABCE1 with Purified ab185548 at 1 : 300 (3.67 μg/ml). Heat mediated antigen retrieval was performed using Heat mediated antigen retrieval using Bond™ Epitope Retrieval Solution 2 (pH 9.0) . Tissue was counterstained with Hematoxylin. Rabbit specific IHC polymer detection kit HRP/DAB (ab209101) secondary antibody was used. PBS instead of the primary antibody was used as the negative control.

Immunohistochemistry (Formalin/PFA-fixed paraffin-embedded sections) - Anti-ABCE1 antibody [EPR15373(B)] - C-terminal (AB185548)
  • IHC-P

Lab

Immunohistochemistry (Formalin/PFA-fixed paraffin-embedded sections) - Anti-ABCE1 antibody [EPR15373(B)] - C-terminal (AB185548)

Immunohistochemistry (Formalin/PFA-fixed paraffin-embedded sections) analysis of mouse testis tissue sections labeling ABCE1 with Purified ab185548 at 1 : 300 (3.67 μg/ml). Heat mediated antigen retrieval was performed using Heat mediated antigen retrieval using Bond™ Epitope Retrieval Solution 2 (pH 9.0) . Tissue was counterstained with Hematoxylin. Rabbit specific IHC polymer detection kit HRP/DAB (ab209101) secondary antibody was used. PBS instead of the primary antibody was used as the negative control.

Western blot - Anti-ABCE1 antibody [EPR15373(B)] - C-terminal (AB185548)
  • WB

Unknown

Western blot - Anti-ABCE1 antibody [EPR15373(B)] - C-terminal (AB185548)

All lanes:

Western blot - Anti-ABCE1 antibody [EPR15373(B)] - C-terminal (ab185548) at 1/5000 dilution

Lane 1:

HeLa (Human cervix adenocarcinoma epithelial cell) whole cell lysate

Lane 2:

K-562 (Human chronic myelogenous leukemia lymphoblast) whole cell lysate

Lane 3:

Jurkat (Human T cell leukemia T lymphocyte) whole cell lysate

Lane 4:

NIH/3T3 (Mouse embryonic fibroblast) whole cell lysate

Lane 5:

PC-12 (Rat adrenal gland pheochromocytoma ) whole cell lysate

Secondary

All lanes:

Western blot - Goat Anti-Rabbit IgG H&L (HRP) (<a href='/products/secondary-antibodies/goat-rabbit-igg-h-l-hrp-ab97051'>ab97051</a>) at 1/20000 dilution

Predicted band size: 67 kDa

false

Western blot - Anti-ABCE1 antibody [EPR15373(B)] - C-terminal (AB185548)
  • WB

CiteAb

Western blot - Anti-ABCE1 antibody [EPR15373(B)] - C-terminal (AB185548)

ABCE1 western blot using anti-ABCE1 antibody [EPR15373(B)] - C-terminal ab185548. Publication image and figure legend from Yin, H., Jiang, Z., et al., 2019, Cell Death Dis, PubMed 31501431.

ab185548 was used in this publication in western blot. This may not be the same as the application(s) guaranteed by Abcam. For a full list of applications guaranteed by Abcam for ab185548 please see the product overview.

Upregulation of RNase L by IFN-γ neutralized RLI and restored cleavage activity.a, b Dose dependence (a) and time course (b) of IFN-γ in restoring the cleavage activity of RNase L (n = 3). c Cleavage activity of RNase L in the presence of IFN-γ in BEAS-2B and NCI-H157 cells (n = 3). d Western blot of OAS1, OAS2, and OAS3 in the presence of IFN-γ in BEAS-2B and NCI-H157 cells. e, f Western blot verification and rRNA cleavage after OAS3 interference by siRNA; g, j Western blot of RNase L dimer or monomer in the cytoplasm (g) or nucleus (j) in the presence of IFN-γ in BEAS-2B and NCI-H157 cells. h, i, k, l Cytoplasmic (h, i) and nuclear (k, l) RLI expression (i, l) and IP with RNase L (h, k) in the presence of IFN-γ in BEAS-2B and NCI-H157 cells

false

関連する標識済み抗体及び組成の異なる製品 (3)

  • Carrier free

    Anti-ABCE1 antibody [EPR15373(B)] - BSA and Azide free

  • HRP

    HRP Anti-ABCE1 antibody [EPR15373(B)] - C-terminal

  • 578 PE

    PE Anti-ABCE1 antibody [EPR15373(B)] - C-terminal

Key facts

宿主種

Rabbit

クローン性

Monoclonal

クローン番号

EPR15373(B)

アイソタイプ

IgG

キャリアフリー

No

交差種

Mouse, Human, Rat

アプリケーション

Flow Cyt (Intra), IP, WB, IHC-P, ICC/IF

applications

免疫原

The exact immunogen used to generate this antibody is proprietary information.

特異性

The rat recommendation is based on the WB results. We do not guarantee IHC-P for rat.

Reactivity data

{ "title": "Reactivity Data", "filters": { "stats": ["", "Species", "Dilution Info", "Notes"], "tabs": { "all-applications": {"fullname" : "All Applications", "shortname": "All Applications"}, "IP" : {"fullname" : "Immunoprecipitation", "shortname":"IP"}, "WB" : {"fullname" : "Western blot", "shortname":"WB"}, "ICCIF" : {"fullname" : "Immunocytochemistry/ Immunofluorescence", "shortname":"ICC/IF"}, "FlowCytIntra" : {"fullname" : "Flow Cytometry (Intracellular)", "shortname":"Flow Cyt (Intra)"}, "IHCP" : {"fullname" : "Immunohistochemistry (Formalin/PFA-fixed paraffin-embedded sections)", "shortname":"IHC-P"} }, "product-promise": { "all": "all", "testedAndGuaranteed": "tested", "guaranteed": "expected", "predicted": "predicted", "notRecommended": "not-recommended" } }, "values": { "Human": { "IP-species-checked": "testedAndGuaranteed", "IP-species-dilution-info": "1/30 - 1/50", "IP-species-notes": "<p></p>", "WB-species-checked": "testedAndGuaranteed", "WB-species-dilution-info": "1/1000 - 1/10000", "WB-species-notes": "<p></p>", "ICCIF-species-checked": "testedAndGuaranteed", "ICCIF-species-dilution-info": "1/100 - 1/250", "ICCIF-species-notes": "<p></p>", "FlowCytIntra-species-checked": "testedAndGuaranteed", "FlowCytIntra-species-dilution-info": "1/220", "FlowCytIntra-species-notes": "<p><a href='/products/primary-antibodies/rabbit-igg-monoclonal-epr25a-isotype-control-ab172730'>ab172730</a> - Rabbit monoclonal IgG, is suitable for use as an isotype control with this antibody.</p>", "IHCP-species-checked": "testedAndGuaranteed", "IHCP-species-dilution-info": "1/100", "IHCP-species-notes": "<p>The rat recommendation is based on the WB results. We do not guarantee IHC-P for rat.</p>" }, "Mouse": { "IP-species-checked": "guaranteed", "IP-species-dilution-info": "", "IP-species-notes": "", "WB-species-checked": "testedAndGuaranteed", "WB-species-dilution-info": "1/1000 - 1/10000", "WB-species-notes": "<p></p>", "ICCIF-species-checked": "guaranteed", "ICCIF-species-dilution-info": "", "ICCIF-species-notes": "", "FlowCytIntra-species-checked": "guaranteed", "FlowCytIntra-species-dilution-info": "", "FlowCytIntra-species-notes": "", "IHCP-species-checked": "testedAndGuaranteed", "IHCP-species-dilution-info": "1/100", "IHCP-species-notes": "<p>The rat recommendation is based on the WB results. We do not guarantee IHC-P for rat.</p>" }, "Rat": { "IP-species-checked": "guaranteed", "IP-species-dilution-info": "", "IP-species-notes": "", "WB-species-checked": "testedAndGuaranteed", "WB-species-dilution-info": "1/1000 - 1/10000", "WB-species-notes": "<p></p>", "ICCIF-species-checked": "guaranteed", "ICCIF-species-dilution-info": "", "ICCIF-species-notes": "", "FlowCytIntra-species-checked": "guaranteed", "FlowCytIntra-species-dilution-info": "", "FlowCytIntra-species-notes": "", "IHCP-species-checked": "guaranteed", "IHCP-species-dilution-info": "", "IHCP-species-notes": "" } } }

製品の詳細

Patented technology
Our RabMAb® technology is a patented hybridoma-based technology for making rabbit monoclonal antibodies. For details on our patents, please refer to RabMAb® patents.

What are the advantages of a recombinant monoclonal antibody?
This product is a recombinant monoclonal antibody, which offers several advantages including:

  • - High batch-to-batch consistency and reproducibility
  • - Improved sensitivity and specificity
  • - Long-term security of supply
  • - Animal-free batch production

For more information, read more on recombinant antibodies.

出荷温度及び保存条件

製品の状態
Liquid
精製方法
Affinity purification Protein A
バッファー組成
pH: 7.2 - 7.4 Preservative: 0.01% Sodium azide Constituents: PBS, 40% Glycerol (glycerin, glycerine), 0.05% BSA
出荷温度
Blue Ice
短期保存期間
1-2 weeks
短期保存温度
+4°C
長期保存温度
-20°C
分注に関する情報
Upon delivery aliquot
保管に関する情報
Avoid freeze / thaw cycle

補足情報

This supplementary information is collated from multiple sources and compiled automatically.

ABCE1 also known as ATP-binding cassette sub-family E member 1 is an ATPase involved in various cellular processes. It belongs to the ATP-binding cassette (ABC) transporter family. The protein mass is approximately 68 kDa and its expression occurs widely in various tissues including the cytoplasm and mitochondria. ABCE1 has a unique structure with two nucleotide-binding domains making it distinct from other ABC family members that typically transport molecules across membranes.
Biological function summary

ABCE1 plays a role in inhibiting ribonuclease activity and is essential in ribosome recycling. This protein interacts with translation initiation factors and actively participates in the dissociation of ribosomes after translation termination. It is a part of the ribosome recycling complex an important multi-proteins setup necessary to prepare ribosomes for another round of translation. The biochemical interactions and presence in different cellular compartments highlight its multiple roles in cellular homeostasis.

Pathways

ABCE1 engages significantly in translation and its regulation. It plays an important role in the translation termination pathway where it interacts with eukaryotic release factors. Additionally it influences the degradation pathway of defective ribosomal products. Within these pathways the function of ABCE1 is closely linked to proteins like eRF1 and eRF3 which are essential in the translation termination process. The interaction of these proteins ensures efficient termination and recycling of translation machinery components.

Alterations in ABCE1 expression or function link to certain cancers and viral infections. The aberrant activity of ABCE1 influences cancer progression as it affects protein synthesis and cellular growth levels. Also ABCE1 has been implicated in promoting the replication of certain viruses providing them a competitive advantage. Proteins like eIF3 and eIF4 involved in translation initiation can show altered associations in disorders where ABCE1 is dysregulated influencing disease outcomes and progression.

製品プロトコール

For this product, it's our understanding that no specific protocols are required. You can visit:

ターゲットの情報

Nucleoside-triphosphatase (NTPase) involved in ribosome recycling by mediating ribosome disassembly (PubMed : 20122402, PubMed : 21448132). Able to hydrolyze ATP, GTP, UTP and CTP (PubMed : 20122402). Splits ribosomes into free 60S subunits and tRNA- and mRNA-bound 40S subunits (PubMed : 20122402, PubMed : 21448132). Acts either after canonical termination facilitated by release factors (ETF1/eRF1) or after recognition of stalled and vacant ribosomes by mRNA surveillance factors (PELO/Pelota) (PubMed : 20122402, PubMed : 21448132). Involved in the No-Go Decay (NGD) pathway : recruited to stalled ribosomes by the Pelota-HBS1L complex, and drives the disassembly of stalled ribosomes, followed by degradation of damaged mRNAs as part of the NGD pathway (PubMed : 21448132). Also plays a role in quality control of translation of mitochondrial outer membrane-localized mRNA (PubMed : 29861391). As part of the PINK1-regulated signaling, ubiquitinated by CNOT4 upon mitochondria damage; this modification generates polyubiquitin signals that recruit autophagy receptors to the mitochondrial outer membrane and initiate mitophagy (PubMed : 29861391). RNASEL-specific protein inhibitor which antagonizes the binding of 2-5A (5'-phosphorylated 2',5'-linked oligoadenylates) to RNASEL (PubMed : 9660177). Negative regulator of the anti-viral effect of the interferon-regulated 2-5A/RNASEL pathway (PubMed : 11585831, PubMed : 9660177, PubMed : 9847332).. (Microbial infection) May act as a chaperone for post-translational events during HIV-1 capsid assembly.. (Microbial infection) Plays a role in the down-regulation of the 2-5A/RNASEL pathway during encephalomyocarditis virus (EMCV) and HIV-1 infections.
See full target information ABCE1

文献 (11)

Recent publications for all applications. Explore the full list and refine your search

Nature 638:1095-1103 PubMed39910291

2025

Synthetic lethality of mRNA quality control complexes in cancer.

Applications

Unspecified application

Species

Unspecified reactive species

Vivian Prindle,Adam E Richardson,Kimberly R Sher,Sarah Kongpachith,Kaitlin Kentala,Sakina Petiwala,Dong Cheng,Deborah Widomski,Phuong Le,Maricel Torrent,Anlu Chen,Stephen Walker,Marianne B Palczewski,Diya Mitra,Vlasios Manaves,Xu Shi,Charles Lu,Stephanie Sandoval,Zoltan Dezso,F Gregory Buchanan,Daniel Verduzco,Brian Bierie,Jonathan A Meulbroek,William N Pappano,Joshua P Plotnik

Science advances 7: PubMed33627425

2021

Glucocorticoid counteracts cellular mechanoresponses by LINC01569-dependent glucocorticoid receptor-mediated mRNA decay.

Applications

Unspecified application

Species

Unspecified reactive species

Huayu Zhu,Jun Li,Yize Li,Zhao Zheng,Hao Guan,Hongtao Wang,Ke Tao,Jiaqi Liu,Yunchuan Wang,Wanfu Zhang,Chao Li,Jie Li,Lintao Jia,Wendong Bai,Dahai Hu

Nucleic acids research 48:10259-10279 PubMed32941650

2020

Readthrough of stop codons under limiting ABCE1 concentration involves frameshifting and inhibits nonsense-mediated mRNA decay.

Applications

Unspecified application

Species

Unspecified reactive species

Giuditta Annibaldis,Michal Domanski,René Dreos,Lara Contu,Sarah Carl,Nina Kläy,Oliver Mühlemann

Journal of cellular physiology 236:2740-2755 PubMed32914432

2020

FOXO3a-dependent Parkin regulates the development of gastric cancer by targeting ATP-binding cassette transporter E1.

Applications

Unspecified application

Species

Unspecified reactive species

Dan Ding,Xiang Ao,Mengyang Li,Shuo Miao,Ying Liu,Zhijuan Lin,Mengyu Wang,Yuqi He,Jianxun Wang

Nature communications 11:4134 PubMed32807779

2020

Human NMD ensues independently of stable ribosome stalling.

Applications

Unspecified application

Species

Unspecified reactive species

Evangelos D Karousis,Lukas-Adrian Gurzeler,Giuditta Annibaldis,René Dreos,Oliver Mühlemann

Cell death & disease 10:642 PubMed31501431

2019

IFN-γ restores the impaired function of RNase L and induces mitochondria-mediated apoptosis in lung cancer.

Applications

Unspecified application

Species

Unspecified reactive species

Huijing Yin,Zhengyu Jiang,Shuoer Wang,Ping Zhang

Experimental and therapeutic medicine 17:3195-3202 PubMed30936993

2019

Tip60-siRNA regulates ABCE1 acetylation to suppress lung cancer growth via activation of the apoptotic signaling pathway.

Applications

Unspecified application

Species

Unspecified reactive species

Zongying Liang,Qian Yu,Hongtao Ji,Dali Tian

Haematologica 104:1756-1767 PubMed30765471

2019

Dimeric ferrochelatase bridges ABCB7 and ABCB10 homodimers in an architecturally defined molecular complex required for heme biosynthesis.

Applications

Unspecified application

Species

Unspecified reactive species

Nunziata Maio,Ki Soon Kim,Gregory Holmes-Hampton,Anamika Singh,Tracey A Rouault

Cell reports 25:2447-2456.e4 PubMed30485811

2018

Widespread Accumulation of Ribosome-Associated Isolated 3' UTRs in Neuronal Cell Populations of the Aging Brain.

Applications

Unspecified application

Species

Unspecified reactive species

Peter H Sudmant,Hyeseung Lee,Daniel Dominguez,Myriam Heiman,Christopher B Burge

Oncotarget 8:39012-39020 PubMed28380459

2017

Abce1 orchestrates M-phase entry and cytoskeleton architecture in mouse oocyte.

Applications

Unspecified application

Species

Unspecified reactive species

Xiao-Fei Jiao,Chun-Jie Huang,Di Wu,Jia-Yu Zhang,Yu-Ting Long,Fan Chen,Xiang Li,Li-Jun Huo
View all publications

Abcam product promise

当社は、高品質な試薬を通じてお客様の研究を力強くサポートすることをお約束いたします。ご使用いただく各段階で、常にお客様をサポートできる体制を整えております。万が一、製品が期待通りに機能しない場合は、「Abcam Product Promise」による当社保証制度に基づき、安心してご利用いただけます。
保証に関する詳細については利用規約をご確認ください。

Please note: All products are 'FOR RESEARCH USE ONLY. NOT FOR USE IN DIAGNOSTIC OR THERAPEUTIC PROCEDURES'.

For licensing inquiries, please contact partnerships@abcam.com