JavaScript is disabled in your browser. Please enable JavaScript to view this website.
AB18180

Anti-ABCA1 抗体 [AB.H10]

Anti-ABCA1 antibody [AB.H10]

4

(18 Reviews)

|

(226 Publications)

Anti-ABCA1 antibody [AB.H10] (ab18180) is a mouse monoclonal antibody detecting ABCA1 in Western Blot, Flow Cytometry, IHC-P. Suitable for Human, Mouse.

- KO validated for confirmed specificity
- Over 200 publications
- Trusted since 2005

別名を表示する

ABC1, CERP, ABCA1, Phospholipid-transporting ATPase ABCA1, ATP-binding cassette sub-family A member 1, ATP-binding cassette transporter 1, Cholesterol efflux regulatory protein, ABC-1, ATP-binding cassette 1

4 Images
Western blot - Anti-ABCA1 antibody [AB.H10] (AB18180)
  • WB

Unknown

Western blot - Anti-ABCA1 antibody [AB.H10] (AB18180)

Western blot analysis of ABCA1 induction by cholesterol (+) in human fibroblast cells from different patients (1,2,3,4). Simultaneous bloting with anti-actin antibody was used for protein loading control. Western blot analysis of ABCA1 induction by cholesterol (+) in human fibroblast cells from different patients (1,2,3,4). Simultaneous blotting with anti-actin antibody was used for protein loading control.

All lanes:

Western blot - Anti-ABCA1 antibody [AB.H10] (ab18180)

Predicted band size: 254 kDa

false

Flow Cytometry - Anti-ABCA1 antibody [AB.H10] (AB18180)
  • Flow Cyt

Unknown

Flow Cytometry - Anti-ABCA1 antibody [AB.H10] (AB18180)

Overlay histogram showing HepG2 cells stained with ab18180 (red line). The cells were fixed with methanol (5 min) and then permeabilized with 0.1% PBS-Tween for 20 min. The cells were then incubated in 1x PBS / 10% normal goat serum / 0.3M glycine to block non-specific protein-protein interactions followed by the antibody (ab18180, 2μg/1x106 cells) for 30 min at 22°C. The secondary antibody used was DyLight® 488 goat anti-mouse IgG (H+L) (ab96879) at 1/500 dilution for 30 min at 22°C. Isotype control antibody (black line) was mouse IgG1 [ICIGG1] (ab91353, 2μg/1x106 cells) used under the same conditions. Acquisition of >5,000 events was performed. This antibody gave a positive signal in HepG2 cells fixed with 4% paraformaldehyde/permeabilized in 0.1% PBS-Tween used under the same conditions.

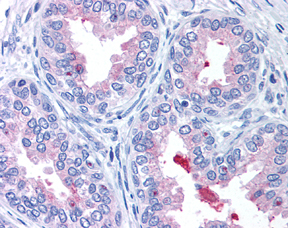
Immunohistochemistry (Formalin/PFA-fixed paraffin-embedded sections) - Anti-ABCA1 antibody [AB.H10] (AB18180)
  • IHC-P

Unknown

Immunohistochemistry (Formalin/PFA-fixed paraffin-embedded sections) - Anti-ABCA1 antibody [AB.H10] (AB18180)

Immunoreactivity of pancreas tissue for ABCA1 protein. Left panel : strong immunopositivity of exocrine glandular cells of the pancreas, especially in the basal region (arrows). Interstitial microvascular cells are apparently negative. Cells within the islet were weakly positive (data not shown). Right panel : the negative control. Hematoxylin counterstain.

Western blot - Anti-ABCA1 antibody [AB.H10] (AB18180)
  • WB

Supplier Data

Western blot - Anti-ABCA1 antibody [AB.H10] (AB18180)

The lower bands are from the secondary anti-mouse antibody reacting to the endogenous mouse antibodies from the tissue.

All lanes:

Western blot - Anti-ABCA1 antibody [AB.H10] (ab18180) at 1/1000 dilution

Lanes 1, 3 and 5:

Wild type mouse liver tissue lysate at 100 µg

Lanes 2, 4 and 6:

Knockout mouse liver tissue lysate at 100 µg

Predicted band size: 254 kDa

Observed band size: 254 kDa

false

Key facts

宿主種

Mouse

クローン性

Monoclonal

クローン番号

AB.H10

アイソタイプ

IgG1

キャリアフリー

No

交差種

Mouse, Human

アプリケーション

WB, IHC-P, Flow Cyt

applications

免疫原

Recombinant Fragment Protein within Human ABCA1 aa 1800 to C-terminus. The exact immunogen used to generate this antibody is proprietary information.

O95477

Reactivity data

{ "title": "Reactivity Data", "filters": { "stats": ["", "Species", "Dilution Info", "Notes"], "tabs": { "all-applications": {"fullname" : "All Applications", "shortname": "All Applications"}, "FlowCyt" : {"fullname" : "Flow Cytometry", "shortname":"Flow Cyt"}, "WB" : {"fullname" : "Western blot", "shortname":"WB"}, "IHCP" : {"fullname" : "Immunohistochemistry (Formalin/PFA-fixed paraffin-embedded sections)", "shortname":"IHC-P"} }, "product-promise": { "all": "all", "testedAndGuaranteed": "tested", "guaranteed": "expected", "predicted": "predicted", "notRecommended": "not-recommended" } }, "values": { "Human": { "FlowCyt-species-checked": "testedAndGuaranteed", "FlowCyt-species-dilution-info": "1-2 µg for 10^6 Cells", "FlowCyt-species-notes": "<p><a href='/products/primary-antibodies/mouse-igg1-kappa-monoclonal-15-6e10a7-isotype-control-ab170190'>ab170190</a> - Mouse monoclonal IgG1, is suitable for use as an isotype control with this antibody.</p>", "WB-species-checked": "testedAndGuaranteed", "WB-species-dilution-info": "1/200 - 1/500", "WB-species-notes": "<p>Abcam recommends using BSA as the blocking agent and 80-100 ug of lysate.</p>", "IHCP-species-checked": "testedAndGuaranteed", "IHCP-species-dilution-info": "1/200", "IHCP-species-notes": "<p></p> Perform heat-mediated antigen retrieval before commencing with IHC staining protocol." }, "Mouse": { "FlowCyt-species-checked": "guaranteed", "FlowCyt-species-dilution-info": "", "FlowCyt-species-notes": "", "WB-species-checked": "testedAndGuaranteed", "WB-species-dilution-info": "1/200 - 1/500", "WB-species-notes": "<p>Abcam recommends using BSA as the blocking agent and 80-100 ug of lysate.</p>", "IHCP-species-checked": "guaranteed", "IHCP-species-dilution-info": "", "IHCP-species-notes": "" } } }

製品の詳細

What is this antibody validated in?
Anti-ABCA1 antibody [AB.H10] (ab18180) is a mouse monoclonal antibody and is validated for use in Western Blot (WB), Flow Cytometry (Flow Cyt), Immunohistochemistry (IHC-P) in Human, Mouse samples.

What is the molecular weight of ABCA1?
Anti-ABCA1 [AB.H10] (ab18180) specifically detects a band for ABCA1 (UniProt: O95477) at a molecular weight of 254kDa.

Trusted by the scientific community
Anti-ABCA1 [AB.H10] (ab18180) was first used in a scientific publication in 2005 and has been cited over 200 times in peer-reviewed journals.

Reviewed by scientists
Anti-ABCA1 [AB.H10] (ab18180) has over 15 independent reviews from customers.

Specificity confirmed
The specificity of Anti-ABCA1 antibody [AB.H10] (ab18180) has been confirmed by Western blot testing in ABCA1 Knockout Mouse liver samples.

出荷温度及び保存条件

製品の状態
Liquid
精製方法
Affinity purification Protein A
精製に関する特記事項
Protein A purified from TCS
バッファー組成
pH: 7.2 Preservative: 0.05% Sodium azide Constituents: PBS
出荷温度
Blue Ice
短期保存期間
1-2 weeks
短期保存温度
+4°C
長期保存温度
-20°C
分注に関する情報
Upon delivery aliquot
保管に関する情報
Avoid freeze / thaw cycle

補足情報

This supplementary information is collated from multiple sources and compiled automatically.

The ABCA1 protein also known as ATP-binding cassette transporter A1 plays an important role in lipid transport processes. It helps in the export of cholesterol and phospholipids to apolipoprotein A-I which is essential for high-density lipoprotein (HDL) formation. The ABCA1 molecular weight is approximately 220 kDa. This protein is widely expressed in various tissues including the liver lungs and intestines indicating its systemic role in lipid metabolism. Researchers often study ABCA1 using techniques like ABCA1 ELISA and H10 flow cytometry.
Biological function summary

ABCA1 functions as a cholesterol efflux pump in the cellular membrane. It facilitates the transfer of cholesterol to lipid-poor apolipoproteins such as apoA-I which then forms HDL particles. This active process helps maintain cellular cholesterol homeostasis and reduces cholesterol accumulation. ABCA1 is a critical component of the HDL synthesis pathway and does not form part of a larger protein complex acting more as an individual unit in this function.

Pathways

Many regulatory mechanisms control the activity of ABCA1. It plays a significant role in the reverse cholesterol transport pathway thereby promoting the movement of cholesterol away from peripheral tissues back to the liver for excretion. This pathway helps maintain systemic lipid balance. The LXR/RXR pathway regulates ABCA1 expression aligning it closely with other proteins such as LXR and ABCG1 which also deal with cholesterol metabolism.

ABCA1 is intimately connected with atherosclerosis and Tangier disease. Dysfunction or mutations in the ABCA1 gene lead to impaired cholesterol efflux contributing to cholesterol build-up and atherosclerotic plaque formation. Tangier disease a rare genetic disorder arises from severe mutations in ABCA1 resulting in very low levels of HDL cholesterol. This protein's role in disease is often studied alongside proteins such as apoA-I and LDL receptors which influence cholesterol transportation and storage.

製品プロトコール

For this product, it's our understanding that no specific protocols are required. You can visit:

ターゲットの情報

Catalyzes the translocation of specific phospholipids from the cytoplasmic to the extracellular/lumenal leaflet of membrane coupled to the hydrolysis of ATP (PubMed : 24097981, PubMed : 35974019). Thereby, participates in phospholipid transfer to apolipoproteins to form nascent high density lipoproteins/HDLs (PubMed : 14754908). Transports preferentially phosphatidylcholine over phosphatidylserine (PubMed : 24097981). May play a similar role in the efflux of intracellular cholesterol to apolipoproteins and the formation of nascent high density lipoproteins/HDLs (PubMed : 10533863, PubMed : 14754908, PubMed : 24097981, PubMed : 35974019). Translocates phospholipids from the outer face of the plasma membrane and forces it through its gateway and annulus into an elongated hydrophobic tunnel in its extracellular domain (PubMed : 35974019).
See full target information ABCA1

文献 (226)

Recent publications for all applications. Explore the full list and refine your search

Molecular neurodegeneration 20:15 PubMed39901180

2025

Cellular senescence induced by cholesterol accumulation is mediated by lysosomal ABCA1 in APOE4 and AD.

Applications

Unspecified application

Species

Unspecified reactive species

Shaowei Wang,Boyang Li,Jie Li,Zhiheng Cai,Cristelle Hugo,Yi Sun,Lu Qian,Julia Tcw,Helena C Chui,Dante Dikeman,Isaac Asante,Stan G Louie,David A Bennett,Zoe Arvanitakis,Alan T Remaley,Bilal E Kerman,Hussein N Yassine

Redox biology 78:103427 PubMed39566163

2024

Fluorescent gold nanoclusters possess multiple actions against atherosclerosis.

Applications

Unspecified application

Species

Unspecified reactive species

Yi-Nan Lee,Yih-Jer Wu,Cheng-Huang Su,Bo-Jeng Wang,Sheng-Hsun Yang,Hsin-I Lee,Yen-Hung Chou,Ting-Yi Tien,Chao-Feng Lin,Wen-Hsiung Chan,Ching-Hu Chung,Shin-Wei Wang,Hung-I Yeh

Journal of extracellular vesicles 13:e12478 PubMed39016173

2024

HIV-1 Nef is carried on the surface of extracellular vesicles.

Applications

Unspecified application

Species

Unspecified reactive species

Christophe Vanpouille,Beda Brichacek,Tatiana Pushkarsky,Larisa Dubrovsky,Wendy Fitzgerald,Nigora Mukhamedova,Sofia Garcia-Hernandez,Doreen Matthies,Anastas Popratiloff,Dmitri Sviridov,Leonid Margolis,Michael Bukrinsky

Clinical and translational medicine 14:e1591 PubMed38385857

2024

Tumour-associated macrophage-derived DOCK7-enriched extracellular vesicles drive tumour metastasis in colorectal cancer via the RAC1/ABCA1 axis.

Applications

Unspecified application

Species

Unspecified reactive species

Weiwei Chen,Menghua Zhou,Bingjie Guan,Bowen Xie,Youdong Liu,Jiang He,Jingjing Zhao,Qian Zhao,Dongwang Yan

PeerJ 12:e16740 PubMed38274331

2024

Regulation of lipid metabolism by APOE4 in intrahepatic cholangiocarcinoma the enhancement of ABCA1 membrane expression.

Applications

Unspecified application

Species

Unspecified reactive species

Liqiang Qian,Gang Wang,Bin Li,Haoyuan Su,Lei Qin

International journal of molecular sciences 24: PubMed38139111

2023

MP Allosterically Activates AMPK to Enhance ABCA1 Stability by Retarding the Calpain-Mediated Degradation Pathway.

Applications

Unspecified application

Species

Unspecified reactive species

Hui Li,Mingchao Wang,Kai Qu,Ruiming Xu,Haibo Zhu

Nutrients 15: PubMed38068817

2023

Impact of Ring Finger Protein 20 and Its Downstream Regulation on Renal Tubular Injury in a Unilateral Nephrectomy Mouse Model Fed a High-Fat Diet.

Applications

Unspecified application

Species

Unspecified reactive species

You-Jin Kim,Se-Hyun Oh,Jeong-Hoon Lim,Jang-Hee Cho,Hee-Yeon Jung,Chan-Duck Kim,Sun-Hee Park,Tae-Hwan Kwon,Yong-Lim Kim

Life science alliance 6: PubMed37550000

2023

Macrophage promotes pathological neovascularization in age-related macular degeneration.

Applications

Unspecified application

Species

Unspecified reactive species

Yafang Wang,Yang Liu,Yan Wang,Yidong Wu,Zhixuan Chen,Feng Wang,Xiaoling Wan,Fenghua Wang,Xiaodong Sun

Communications biology 6:789 PubMed37516746

2023

An iPSC-derived astrocyte model of fragile X syndrome exhibits dysregulated cholesterol homeostasis.

Applications

Unspecified application

Species

Unspecified reactive species

Karo Talvio,Victoria A Wagner,Rimante Minkeviciene,Jay S Kirkwood,Anna O Kulinich,Juzoh Umemori,Anil Bhatia,Manhoi Hur,Reijo Käkelä,Iryna M Ethell,Maija L Castrén

Cell biology international 47:1589-1599 PubMed37309064

2023

Macrophage Gpx4 deficiency aggravates foam cell formation by regulating the expression of scavenger receptors, ABCA1, and ABCG1.

Applications

Unspecified application

Species

Unspecified reactive species

Jingquan Zhou,Suhua Wu,Xiaoqin Chen,Lianjie Hou,Qiong Zhong,Weixia Luo,Chunni Dai,Xiaoyan Dai
View all publications

Abcam product promise

当社は、高品質な試薬を通じてお客様の研究を力強くサポートすることをお約束いたします。ご使用いただく各段階で、常にお客様をサポートできる体制を整えております。万が一、製品が期待通りに機能しない場合は、「Abcam Product Promise」による当社保証制度に基づき、安心してご利用いただけます。
保証に関する詳細については利用規約をご確認ください。

Please note: All products are 'FOR RESEARCH USE ONLY. NOT FOR USE IN DIAGNOSTIC OR THERAPEUTIC PROCEDURES'.

For licensing inquiries, please contact partnerships@abcam.com