JavaScript is disabled in your browser. Please enable JavaScript to view this website.
AB61823

Anti-5HT7 Receptor 抗体

Anti-5HT7 Receptor antibody

Be the first to review this product! Submit a review

|

(0 Publication)

Rabbit Polyclonal 5HT7 Receptor antibody. Suitable for IHC-P and reacts with Human samples. Immunogen corresponding to Synthetic Peptide within Human HTR7 conjugated to Keyhole Limpet Haemocyanin.

別名を表示する

5-hydroxytryptamine receptor 7, 5-HT-7, 5-HT7, 5-HT-X, Serotonin receptor 7, HTR7

1 Images
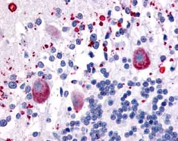
Immunohistochemistry (Formalin/PFA-fixed paraffin-embedded sections) - Anti-5HT7 Receptor antibody (AB61823)
  • IHC-P

Unknown

Immunohistochemistry (Formalin/PFA-fixed paraffin-embedded sections) - Anti-5HT7 Receptor antibody (AB61823)

Immunohistochemical analysis of formalin-fixed, paraffin-embedded Human brain cerebellum tissue, staining 5HT7 Receptor with ab61823 at 10 µg/ml.

Key facts

宿主種

Rabbit

クローン性

Polyclonal

アイソタイプ

IgG

キャリアフリー

No

交差種

Human

アプリケーション

IHC-P

applications

免疫原

Synthetic Peptide within Human HTR7 conjugated to Keyhole Limpet Haemocyanin. The exact immunogen used to generate this antibody is proprietary information.

P34969

Reactivity data

{ "title": "Reactivity Data", "filters": { "stats": ["", "Species", "Dilution Info", "Notes"], "tabs": { "all-applications": {"fullname" : "All Applications", "shortname": "All Applications"}, "IHCP" : {"fullname" : "Immunohistochemistry (Formalin/PFA-fixed paraffin-embedded sections)", "shortname":"IHC-P"} }, "product-promise": { "all": "all", "testedAndGuaranteed": "tested", "guaranteed": "expected", "predicted": "predicted", "notRecommended": "not-recommended" } }, "values": { "Human": { "IHCP-species-checked": "testedAndGuaranteed", "IHCP-species-dilution-info": "10 µg/mL", "IHCP-species-notes": "<p></p> Perform heat-mediated antigen retrieval with citrate buffer pH 6 before commencing with IHC staining protocol." }, "Mouse": { "IHCP-species-checked": "predicted", "IHCP-species-dilution-info": "", "IHCP-species-notes": "" }, "Rat": { "IHCP-species-checked": "predicted", "IHCP-species-dilution-info": "", "IHCP-species-notes": "" }, "Bat": { "IHCP-species-checked": "predicted", "IHCP-species-dilution-info": "", "IHCP-species-notes": "" }, "Common marmoset": { "IHCP-species-checked": "predicted", "IHCP-species-dilution-info": "", "IHCP-species-notes": "" }, "Cow": { "IHCP-species-checked": "predicted", "IHCP-species-dilution-info": "", "IHCP-species-notes": "" }, "Dog": { "IHCP-species-checked": "predicted", "IHCP-species-dilution-info": "", "IHCP-species-notes": "" }, "Gorilla": { "IHCP-species-checked": "predicted", "IHCP-species-dilution-info": "", "IHCP-species-notes": "" }, "Hamster": { "IHCP-species-checked": "predicted", "IHCP-species-dilution-info": "", "IHCP-species-notes": "" }, "Horse": { "IHCP-species-checked": "predicted", "IHCP-species-dilution-info": "", "IHCP-species-notes": "" }, "Monkey": { "IHCP-species-checked": "predicted", "IHCP-species-dilution-info": "", "IHCP-species-notes": "" }, "Opossum": { "IHCP-species-checked": "predicted", "IHCP-species-dilution-info": "", "IHCP-species-notes": "" }, "Pig": { "IHCP-species-checked": "predicted", "IHCP-species-dilution-info": "", "IHCP-species-notes": "" } } }

出荷温度及び保存条件

製品の状態
Liquid
精製方法
Affinity purification Immunogen
バッファー組成
pH: 7.7 Preservative: 0.1% Sodium azide Constituents: PBS
出荷温度
Blue Ice
短期保存期間
1-2 weeks
短期保存温度
+4°C
長期保存温度
-20°C
分注に関する情報
Upon delivery aliquot
保管に関する情報
Avoid freeze / thaw cycle

補足情報

This supplementary information is collated from multiple sources and compiled automatically.

The 5-HT7 receptor also known as the serotonin receptor 5-HT7 is a G-protein-coupled receptor that plays a mechanical role in neurotransmission. This receptor belongs to the serotonin receptor family and typically weighs around 46 kDa. You find the 5-HT7 receptor expressed in various tissues including the brain particularly in regions such as the thalamus hypothalamus and hippocampus as well as in smooth muscles and the gastrointestinal tract. Its function is mediated through Gs proteins which activate adenylate cyclase leading to increased levels of cyclic adenosine monophosphate (cAMP).
Biological function summary

The 5-HT7 receptor contributes to multiple physiological processes including the regulation of circadian rhythms mood and cognitive functions. It operates as part of complex signaling networks within the central nervous system and other systems throughout the body. The receptor plays a significant role in modulating neurotransmitter release and neuronal excitability. Through these mechanisms it influences various behavioral and physiological outputs that are critical for the maintenance of homeostasis.

Pathways

The 5-HT7 receptor is a pivotal component of serotoninergic signaling especially influencing the cAMP signaling cascade. This pathway interacts with proteins like adenylate cyclase and cAMP-dependent protein kinase impacting functions such as learning and memory. The receptor's modulation of cAMP levels places it within important pathways that affect cell signaling and metabolism including the broader serotonergic system which involves other serotonin receptors such as 5-HT1A and 5-HT2A.

Alterations in the function or expression of the 5-HT7 receptor are linked to a variety of conditions. It has been implicated in psychiatric disorders such as depression and schizophrenia where disruptions in serotonin signaling are common. In these contexts the receptor's interaction with other neurotransmitter systems including dopamine comes into play with proteins like the dopamine D2 receptor being relevant. The 5-HT7 receptor is also associated with migraine as it plays a role in the dilation of cerebral blood vessels and transmission of nociceptive signals making it a target for therapeutic interventions.

製品プロトコール

For this product, it's our understanding that no specific protocols are required. You can visit:

ターゲットの情報

G-protein coupled receptor for 5-hydroxytryptamine (serotonin), a biogenic hormone that functions as a neurotransmitter, a hormone and a mitogen (PubMed : 35714614, PubMed : 8226867). Ligand binding causes a conformation change that triggers signaling via guanine nucleotide-binding proteins (G proteins) and modulates the activity of downstream effectors (PubMed : 35714614, PubMed : 8226867). HTR7 is coupled to G(s) G alpha proteins and mediates activation of adenylate cyclase activity (PubMed : 35714614).
See full target information HTR7

Abcam product promise

当社は、高品質な試薬を通じてお客様の研究を力強くサポートすることをお約束いたします。ご使用いただく各段階で、常にお客様をサポートできる体制を整えております。万が一、製品が期待通りに機能しない場合は、「Abcam Product Promise」による当社保証制度に基づき、安心してご利用いただけます。
保証に関する詳細については利用規約をご確認ください。

関連製品

Select an associated product type
Alternative Product
Primary Antibodies

AB128892

Anti-5HT7 Receptor antibody [EPR6271]

primary-antibodies

5ht7-receptor-antibody-epr6271-ab128892

0

(0 reviews)

Please note: All products are 'FOR RESEARCH USE ONLY. NOT FOR USE IN DIAGNOSTIC OR THERAPEUTIC PROCEDURES'.

For licensing inquiries, please contact partnerships@abcam.com