JavaScript is disabled in your browser. Please enable JavaScript to view this website.
AB317501

Anti-5HT4 Receptor 抗体 [EPR28675-19] - BSA and Azide free

Anti-5HT4 Receptor antibody [EPR28675-19] - BSA and Azide free

Be the first to review this product! Submit a review

|

(0 Publication)

Rabbit Recombinant Monoclonal 5HT4 Receptor antibody. Carrier free. Suitable for WB and reacts with Human, Mouse, Rat samples.

別名を表示する

5-hydroxytryptamine receptor 4, 5-HT-4, 5-HT4, Serotonin receptor 4, HTR4

4 Images
Western blot - Anti-5HT4 Receptor antibody [EPR28675-19] - BSA and Azide free (AB317501)
  • WB

Supplier Data

Western blot - Anti-5HT4 Receptor antibody [EPR28675-19] - BSA and Azide free (AB317501)

This data was developed using ab317500, the same antibody clone in a different buffer formulation.

Low expression tissue : liver (PMID : 15118808).

The identity of the band higher than 50 kDa is unknown.

In Western blot, Anti-GAPDH antibody [EPR16891] - Loading Control (ab181602) staining at 1/200000 dilution.

All lanes:

Western blot - Anti-5HT4 Receptor antibody [EPR28675-19] (<a href='/products/primary-antibodies/5ht4-receptor-antibody-epr28675-19-ab317500'>ab317500</a>) at 1/1000 dilution

Lane 1:

Human brain tissue lysate at 20 µg

Lane 2:

Human liver tissue lysate at 20 µg

Secondary

All lanes:

Goat Anti-Rabbit IgG (HRP) with minimal cross-reactivity with human IgG at 1/2000 dilution

Observed band size: 43 kDa,36 kDa

false

Exposure time: 180s

Western blot - Anti-5HT4 Receptor antibody [EPR28675-19] - BSA and Azide free (AB317501)
  • WB

Supplier Data

Western blot - Anti-5HT4 Receptor antibody [EPR28675-19] - BSA and Azide free (AB317501)

This data was developed using ab317500, the same antibody clone in a different buffer formulation.

Low expression tissue : skeletal muscle (PMID : 15118808).

The identity of the bands higher than 50 kDa and lower than 37 kDa are unknown.

In Western blot, Anti-GAPDH antibody [EPR16891] - Loading Control (ab181602) staining at 1/200000 dilution.

Exposure time : Lanes 1-4 : 59 seconds; Lanes 5-6 : 180 seconds.

All lanes:

Western blot - Anti-5HT4 Receptor antibody [EPR28675-19] (<a href='/products/primary-antibodies/5ht4-receptor-antibody-epr28675-19-ab317500'>ab317500</a>) at 1/1000 dilution

Lane 1:

Human testis tissue lysate at 20 µg

Lane 2:

Human placenta tissue lysate at 20 µg

Lane 3:

Human striatum tissue lysate at 20 µg

Lane 4:

Human skeletal muscle tissue lysate at 20 µg

Lane 5:

Human tonsil tissue lysate at 20 µg

Lane 6:

IMR-90 (human lung fibroblast) whole cell lysate at 20 µg

Secondary

All lanes:

Goat Anti-Rabbit IgG (HRP) with minimal cross-reactivity with human IgG at 1/2000 dilution

Observed band size: 43 kDa,36 kDa

false

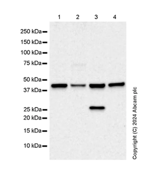
Western blot - Anti-5HT4 Receptor antibody [EPR28675-19] - BSA and Azide free (AB317501)
  • WB

Supplier Data

Western blot - Anti-5HT4 Receptor antibody [EPR28675-19] - BSA and Azide free (AB317501)

This data was developed using ab317500, the same antibody clone in a different buffer formulation.

The identity of the lower MW band at approximately 28 kDa (in lane 3) is unknown.

All lanes:

Western blot - Anti-5HT4 Receptor antibody [EPR28675-19] (<a href='/products/primary-antibodies/5ht4-receptor-antibody-epr28675-19-ab317500'>ab317500</a>) at 1/1000 dilution

Lane 1:

HeLa (human cervical adenocarcinoma epithelial cell) whole cell lysate at 20 µg

Lane 2:

293T (human embryonic kidney epithelial cell) whole cell lysate at 20 µg

Lane 3:

NIH/3T3 (mouse embryonic fibroblast) whole cell lysate at 20 µg

Lane 4:

PC-12 (rat adrenal gland pheochromocytoma cell) whole cell lysate at 20 µg

Secondary

All lanes:

Western blot - Goat Anti-Rabbit IgG H&L (HRP) (<a href='/products/secondary-antibodies/goat-rabbit-igg-h-l-hrp-ab97051'>ab97051</a>) at 1/20000 dilution

Observed band size: 43 kDa

false

Exposure time: 180s

Western blot - Anti-5HT4 Receptor antibody [EPR28675-19] - BSA and Azide free (AB317501)
  • WB

Supplier Data

Western blot - Anti-5HT4 Receptor antibody [EPR28675-19] - BSA and Azide free (AB317501)

This data was developed using ab317500, the same antibody clone in a different buffer formulation.

Low expression tissue : Skeletal muscle, liver (PMID : 15118808).

In Western blot, Anti-GAPDH antibody [EPR16891] - Loading Control (ab181602) staining at 1/200000 dilution.

All lanes:

Western blot - Anti-5HT4 Receptor antibody [EPR28675-19] (<a href='/products/primary-antibodies/5ht4-receptor-antibody-epr28675-19-ab317500'>ab317500</a>) at 1/1000 dilution

Lane 1:

Mouse placenta tissue lysate at 20 µg

Lane 2:

Mouse striatum tissue lysate at 20 µg

Lane 3:

Mouse skeletal muscle tissue lysate at 20 µg

Lane 4:

Rat placenta tissue lysate at 20 µg

Lane 5:

Rat striatum tissue lysate at 20 µg

Lane 6:

Rat skeletal muscle tissue lysate at 20 µg

Lane 7:

Rat liver tissue lysate at 20 µg

Secondary

All lanes:

Western blot - Goat Anti-Rabbit IgG H&L (HRP) (<a href='/products/secondary-antibodies/goat-rabbit-igg-h-l-hrp-ab97051'>ab97051</a>) at 1/20000 dilution

Observed band size: 43 kDa,36 kDa

false

Exposure time: 180s

関連する標識済み抗体及び組成の異なる製品 (1)

Key facts

宿主種

Rabbit

クローン性

Monoclonal

クローン番号

EPR28675-19

アイソタイプ

IgG

キャリアフリー

Yes

交差種

Human, Mouse, Rat

アプリケーション

WB

applications

免疫原

The exact immunogen used to generate this antibody is proprietary information.

Reactivity data

{ "title": "Reactivity Data", "filters": { "stats": ["", "Species", "Dilution Info", "Notes"], "tabs": { "all-applications": {"fullname" : "All Applications", "shortname": "All Applications"}, "WB" : {"fullname" : "Western blot", "shortname":"WB"}, "IHCFr" : {"fullname" : "Immunohistochemistry (Frozen sections)", "shortname":"IHC-Fr"}, "FlowCytIntra" : {"fullname" : "Flow Cytometry (Intracellular)", "shortname":"Flow Cyt (Intra)"}, "IHCP" : {"fullname" : "Immunohistochemistry (Formalin/PFA-fixed paraffin-embedded sections)", "shortname":"IHC-P"}, "ICCIF" : {"fullname" : "Immunocytochemistry/ Immunofluorescence", "shortname":"ICC/IF"}, "IP" : {"fullname" : "Immunoprecipitation", "shortname":"IP"} }, "product-promise": { "all": "all", "testedAndGuaranteed": "tested", "guaranteed": "expected", "predicted": "predicted", "notRecommended": "not-recommended" } }, "values": { "Human": { "WB-species-checked": "testedAndGuaranteed", "WB-species-dilution-info": "", "WB-species-notes": "<p></p>", "IHCFr-species-checked": "notRecommended", "IHCFr-species-dilution-info": "", "IHCFr-species-notes": "", "FlowCytIntra-species-checked": "notRecommended", "FlowCytIntra-species-dilution-info": "", "FlowCytIntra-species-notes": "<p></p>", "IHCP-species-checked": "notRecommended", "IHCP-species-dilution-info": "", "IHCP-species-notes": "<p></p>", "ICCIF-species-checked": "notRecommended", "ICCIF-species-dilution-info": "", "ICCIF-species-notes": "<p></p>", "IP-species-checked": "notRecommended", "IP-species-dilution-info": "", "IP-species-notes": "<p></p>" }, "Mouse": { "WB-species-checked": "testedAndGuaranteed", "WB-species-dilution-info": "", "WB-species-notes": "<p></p>", "IHCFr-species-checked": "notRecommended", "IHCFr-species-dilution-info": "", "IHCFr-species-notes": "<p></p>", "FlowCytIntra-species-checked": "notRecommended", "FlowCytIntra-species-dilution-info": "", "FlowCytIntra-species-notes": "", "IHCP-species-checked": "notRecommended", "IHCP-species-dilution-info": "", "IHCP-species-notes": "<p></p>", "ICCIF-species-checked": "notRecommended", "ICCIF-species-dilution-info": "", "ICCIF-species-notes": "", "IP-species-checked": "notRecommended", "IP-species-dilution-info": "", "IP-species-notes": "" }, "Rat": { "WB-species-checked": "testedAndGuaranteed", "WB-species-dilution-info": "", "WB-species-notes": "<p></p>", "IHCFr-species-checked": "notRecommended", "IHCFr-species-dilution-info": "", "IHCFr-species-notes": "<p></p>", "FlowCytIntra-species-checked": "notRecommended", "FlowCytIntra-species-dilution-info": "", "FlowCytIntra-species-notes": "", "IHCP-species-checked": "notRecommended", "IHCP-species-dilution-info": "", "IHCP-species-notes": "<p></p>", "ICCIF-species-checked": "notRecommended", "ICCIF-species-dilution-info": "", "ICCIF-species-notes": "", "IP-species-checked": "notRecommended", "IP-species-dilution-info": "", "IP-species-notes": "" } } }

製品の詳細

ab317501 is the carrirer-free version of ab317500.

Patented technology
Our RabMAb® technology is a patented hybridoma-based technology for making rabbit monoclonal antibodies. For details on our patents, please refer to RabMAb® patents.

What are the advantages of a recombinant monoclonal antibody?
This product is a recombinant monoclonal antibody, which offers several advantages including:

  • - High batch-to-batch consistency and reproducibility
  • - Improved sensitivity and specificity
  • - Long-term security of supply
  • - Animal-free batch production

For more information, read more on recombinant antibodies.

Conjugation ready
Our carrier-free antibodies are typically supplied in a PBS-only formulation, purified and free of BSA, sodium azide and glycerol. This conjugation-ready format is designed for use with fluorochromes, metal isotopes, oligonucleotides, and enzymes, which makes them ideal for antibody labelling, functional and cell-based assays, flow-based assays (e.g. mass cytometry) and Multiplex Imaging applications.

Use our conjugation kits for antibody conjugates that are ready-to-use in as little as 20 minutes with 1 minute hands-on-time and 100% antibody recovery: available for fluorescent dyes, HRP, biotin and gold.

Compatibility
This product is compatible with the Maxpar® Antibody Labeling Kit from Fluidigm, without the need for antibody preparation. Maxpar® is a trademark of Fluidigm Canada Inc.

出荷温度及び保存条件

製品の状態
Liquid
精製方法
Affinity purification Protein A
バッファー組成
pH: 7.2 - 7.4 Constituents: PBS
出荷温度
Blue Ice
短期保存温度
+4°C
長期保存温度
+4°C

補足情報

This supplementary information is collated from multiple sources and compiled automatically.

The 5-HT4 receptor also known as 5-hydroxytryptamine receptor 4 is a G protein-coupled receptor (GPCR) that largely facilitates neurotransmission. Mechanically 5-HT4 receptors bind serotonin leading to the activation of adenylate cyclase which increases cellular levels of cyclic AMP. The 5-HT4 receptor has a molecular mass of approximately 40 kDa. It is widely expressed in the central nervous system such as in the brain as well as in peripheral tissues including the gastrointestinal tract and heart.
Biological function summary

The 5-HT4 receptor plays key roles in modulating brain processes related to memory and cognition and regulates gut motility. While the receptor acts independently it does not form part of larger receptor complexes. Its ability to influence neurotransmitter release makes it important for synaptic plasticity and smooth muscle contraction in the gastrointestinal tract.

Pathways

The 5-HT4 receptor is integral in the serotonergic signaling pathway which governs mood cognition and gastrointestinal function. Additionally the receptor interacts with downstream elements of the cyclic AMP signaling pathway linking to proteins such as protein kinase A that subsequently affect gene expression and modulation of ion channels.

The 5-HT4 receptor has connections with neurodegenerative diseases like Alzheimer’s disease and gastrointestinal disorders such as irritable bowel syndrome. Dysregulation of the receptor's signaling may lead to these conditions through interactions with proteins like tau in Alzheimer's disease or other neurotransmitter systems impacting gut motility disorders.

製品プロトコール

For this product, it's our understanding that no specific protocols are required. You can visit:

ターゲットの情報

G-protein coupled receptor for 5-hydroxytryptamine (serotonin), a biogenic hormone that functions as a neurotransmitter, a hormone and a mitogen (PubMed : 10821780, PubMed : 16102731, PubMed : 35714614, PubMed : 9603189). Ligand binding causes a conformation change that triggers signaling via guanine nucleotide-binding proteins (G proteins) and modulates the activity of downstream effectors (PubMed : 16102731, PubMed : 35714614). HTR4 is coupled to G(s) G alpha proteins and mediates activation of adenylate cyclase activity (PubMed : 16102731, PubMed : 35714614).
See full target information HTR4

Abcam product promise

当社は、高品質な試薬を通じてお客様の研究を力強くサポートすることをお約束いたします。ご使用いただく各段階で、常にお客様をサポートできる体制を整えております。万が一、製品が期待通りに機能しない場合は、「Abcam Product Promise」による当社保証制度に基づき、安心してご利用いただけます。
保証に関する詳細については利用規約をご確認ください。

Please note: All products are 'FOR RESEARCH USE ONLY. NOT FOR USE IN DIAGNOSTIC OR THERAPEUTIC PROCEDURES'.

For licensing inquiries, please contact partnerships@abcam.com