JavaScript is disabled in your browser. Please enable JavaScript to view this website.
AB288702

Human MEF2C knockout THP-1 cell line

Human MEF2C knockout THP-1 cell line

Be the first to review this product! Submit a review

|

(0 Publication)

MEF2C KO cell line available to order. KO validated. Free of charge wild type control available. To order both knockout and wild-type control cells: select '2 x 1000000 Cells/vial'. To order only knockout cells: select '1000000 Cells/vial'.
5 Images
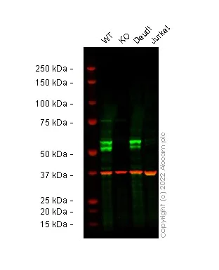
Western blot - Human MEF2C knockout THP-1 cell line (AB288702)
  • WB

Supplier Data

Western blot - Human MEF2C knockout THP-1 cell line (AB288702)

False colour image of Western blot : Anti-MEF2A + MEF2C antibody [EPR19089-34] staining at 1/1000 dilution, shown in green; Mouse anti-GAPDH antibody [6C5] (ab8245) loading control staining at 1/20000 dilution, shown in red. In Western blot, ab197070 was shown to bind specifically to MEF2C. A band was observed at 55/60 kDa in wild-type THP-1 cell lysates with no signal observed at this size in MEF2C knockout cell line. To generate this image, wild-type and MEF2C knockout THP-1 cell lysates were analysed. First, samples were run on an SDS-PAGE gel then transferred onto a nitrocellulose membrane. Membranes were blocked in 3 % milk in TBS-0.1 % Tween® 20 (TBS-T) before incubation with primary antibodies overnight at 4 °C. Blots were washed four times in TBS-T, incubated with secondary antibodies for 1 h at room temperature, washed again four times then imaged. Secondary antibodies used were Goat anti-Rabbit IgG H&L 800CW and Goat anti-Mouse IgG H&L 680RD at 1/20000 dilution.

All lanes:

Western blot - Anti-MEF2A + MEF2C antibody [EPR19089-34] (<a href='/products/primary-antibodies/mef2a-mef2c-antibody-epr19089-34-ab197070'>ab197070</a>) at 1/1000 dilution

Lane 1:

Wild-type THP-1 cell lysate at 20 µg

Lane 2:

MEF2C knockout THP-1 cell lysate at 20 µg

Lane 2:

Western blot - Human MEF2C knockout THP-1 cell line (<a href='/products/cell-lines/human-mef2c-knockout-thp-1-cell-line-ab313739'>ab313739</a>)

Lane 2:

Western blot - Human MEF2C knockout THP-1 cell line (ab288702)

Lane 3:

Daudi cell lysate at 20 µg

Lane 4:

Jurkat cell lysate at 20 µg

Secondary

All lanes:

Goat anti-Rabbit IgG H&L 800CW and Goat anti-Mouse IgG H&L 680RD at 1/20000 dilution

Observed band size: 55/60 kDa,37 kDa

false

Sanger Sequencing - Human MEF2C knockout THP-1 cell line (AB288702)
  • Sanger seq

Supplier Data

Sanger Sequencing - Human MEF2C knockout THP-1 cell line (AB288702)

Homozygote. 65 bp deletion

Western blot - Human MEF2C knockout THP-1 cell line (AB288702)
  • WB

Supplier Data

Western blot - Human MEF2C knockout THP-1 cell line (AB288702)

False colour image of Western blot : Anti-MEF2A + MEF2C antibody [EPR19089-34] staining at 1/1000 dilution, shown in green; Mouse anti-GAPDH antibody [6C5] (ab8245) loading control staining at 1/20000 dilution, shown in red. In Western blot, ab197070 was shown to bind specifically to MEF2C. A band was observed at 55/60 kDa in wild-type THP-1 cell lysates with no signal observed at this size in MEF2C knockout cell line. To generate this image, wild-type and MEF2C knockout THP-1 cell lysates were analysed. First, samples were run on an SDS-PAGE gel then transferred onto a nitrocellulose membrane. Membranes were blocked in 3 % milk in TBS-0.1 % Tween® 20 (TBS-T) before incubation with primary antibodies overnight at 4 °C. Blots were washed four times in TBS-T, incubated with secondary antibodies for 1 h at room temperature, washed again four times then imaged. Secondary antibodies used were Goat anti-Rabbit IgG H&L 800CW and Goat anti-Mouse IgG H&L 680RD at 1/20000 dilution.

false

Western blot - Human MEF2C knockout THP-1 cell line (AB288702)
  • WB

Supplier Data

Western blot - Human MEF2C knockout THP-1 cell line (AB288702)

False colour image of Western blot : Anti-MEF2C antibody [EPR19089-202] - ChIP Grade staining at 1/1000 dilution, shown in green; Mouse anti-GAPDH antibody [6C5] (ab8245) loading control staining at 1/20000 dilution, shown in red. In Western blot, ab211493 was shown to bind specifically to MEF2C. A band was observed at 55/60 kDa in wild-type THP-1 cell lysates with no signal observed at this size in MEF2C knockout cell line. To generate this image, wild-type and MEF2C knockout THP-1 cell lysates were analysed. First, samples were run on an SDS-PAGE gel then transferred onto a nitrocellulose membrane. Membranes were blocked in 3 % milk in TBS-0.1 % Tween® 20 (TBS-T) before incubation with primary antibodies overnight at 4 °C. Blots were washed four times in TBS-T, incubated with secondary antibodies for 1 h at room temperature, washed again four times then imaged. Secondary antibodies used were Goat anti-Rabbit IgG H&L 800CW and Goat anti-Mouse IgG H&L 680RD at 1/20000 dilution.

false

Western blot - Human MEF2C knockout THP-1 cell line (AB288702)
  • WB

Unknown

Western blot - Human MEF2C knockout THP-1 cell line (AB288702)

False colour image of Western blot : Anti-MEF2C antibody [EPR19089-202] - ChIP Grade staining at 1/1000 dilution, shown in green; Mouse anti-GAPDH antibody [6C5] (ab8245) loading control staining at 1/20000 dilution, shown in red. In Western blot, ab211493 was shown to bind specifically to MEF2C. A band was observed at 55/60 kDa in wild-type THP-1 cell lysates with no signal observed at this size in MEF2C knockout cell line. To generate this image, wild-type and MEF2C knockout THP-1 cell lysates were analysed. First, samples were run on an SDS-PAGE gel then transferred onto a nitrocellulose membrane. Membranes were blocked in 3 % milk in TBS-0.1 % Tween® 20 (TBS-T) before incubation with primary antibodies overnight at 4 °C. Blots were washed four times in TBS-T, incubated with secondary antibodies for 1 h at room temperature, washed again four times then imaged. Secondary antibodies used were Goat anti-Rabbit IgG H&L 800CW and Goat anti-Mouse IgG H&L 680RD at 1/20000 dilution.

All lanes:

Western blot - Anti-MEF2C antibody [EPR19089-202] - ChIP Grade (<a href='/products/primary-antibodies/mef2c-antibody-epr19089-202-chip-grade-ab211493'>ab211493</a>) at 1/1000 dilution

Lane 1:

Human MEF2C recombinant protein (aa271-493) 10 ng

Lane 2:

Human MEF2A recombinant protein (aa1-499, <a href='/products/proteins-peptides/recombinant-human-mef2a-protein-his-tag-ab204772'>ab204772</a>) 10 ng

Lane 2:

Western blot - Human MEF2C knockout THP-1 cell line (ab288702)

Secondary

All lanes:

Western blot - Goat Anti-Rabbit IgG H&L (HRP) (<a href='/products/secondary-antibodies/goat-rabbit-igg-h-l-hrp-ab97051'>ab97051</a>) at 1/100000 dilution

Predicted band size: 51 kDa

Observed band size: 26 kDa

false

Key facts

細胞タイプ

THP-1

生物種

Human

組織

Blood

製品の状態

Liquid

form

ノックアウト検証方法

Sanger Sequencing

疾病

Acute Monocytic Leukemia

Reactivity data

{ "title": "Reactivity Data", "filters": { "stats": ["", "Reactivity", "Dilution Info", "Notes"] }, "values": { "Sanger seq": { "reactivity":"TESTED_AND_REACTS", "dilution-info":"", "notes":"<p></p>" }, "WB": { "reactivity":"TESTED_AND_REACTS", "dilution-info":"", "notes":"<p></p>" } } }

製品の詳細

Although we aim to provide customers with a homozygous clone, feasibility will be dependent on the biology of the protein. Should only heterozygous edits be achieved, you will be notified of the outcome and be asked to confirm whether the cell line is acceptable. All clones will be accompanied with DNA sequencing data, and the mutation description.

We will provide viable cells that proliferate on revival.

This product is subject to limited use licenses from The Broad Institute and ERS Genomics Limited, and is developed with patented technology. For full details of the limited use licenses and relevant patents please refer to our limited use license and patent pages.

製品内容

{ "values": { "2x1000000Cellsvial": { "sellingSize": "2 x 1000000 Cells/vial", "publicAssetCode":"ab288702-2x1000000Cells_vial", "assetComponentDetails": [ { "size":"1 x 1000000 Cells/vial", "name":"ab288702 Human MEF2C knockout THP-1 cell line", "number":"AB288702-CMP01" }, { "size":"1 x 1000000 Cells/vial", "name":"ab281894 Human wild-type THP-1 cell line", "number":"AB288702-CMP02" } ] }, "1000000Cellsvial": { "sellingSize": "1000000 Cells/vial", "publicAssetCode":"ab288702-1000000Cells_vial", "assetComponentDetails": [ { "size":"1 x 1000000 Cells/vial", "name":"ab288702 Human MEF2C knockout THP-1 cell line", "number":"AB288702-CMP01", "productcode":"" } ] } } }

出荷温度及び保存条件

遺伝子名
MEF2C
遺伝子編集のタイプ
Knockout
遺伝子編集の方法
CRISPR technology
ノックアウト検証方法
Sanger Sequencing
出荷温度
Dry Ice
短期保存温度
-196°C
長期保存温度
-196°C

取り扱い方法

初回取り扱いガイドライン

Upon arrival, the vial should be stored in liquid nitrogen vapor phase and not at -80°C. Storage at -80°C may result in loss of viability.

1. Thaw the vial in 37°C water bath for approximately 1-2 minutes.
2. Transfer the cell suspension (0.8 mL) to a 15 mL/50 mL conical sterile polypropylene centrifuge tube containing 8.4 mL pre-warmed culture medium, wash vial with an additional 0.8 mL culture medium (total volume 10 mL) to collect remaining cells, and centrifuge at 201 x g (rcf) for 5 minutes at room temperature. 10 mL represents minimum recommended dilution. 20 mL represents maximum recommended dilution.
3. Resuspend the cell pellet in 5 mL pre-warmed culture medium and count using a haemocytometer or alternative cell counting method. Based on cell count, seed cells in an appropriate cell culture flask at a density of 4x105 cells/mL. Seeding density is given as a guide only and should be scaled to align with individual lab schedules.
4. Incubate the culture at 37°C incubator with 5% CO2. Cultures should be monitored daily.
5. THP-1 cells recover slowly from cryopreservation and therefore may not be ready for subculture for a number of days. Cells should be left as much as possible over this time and only subcultured when the cell density reaches 8x105 cells/mL.Small amounts of fresh media can be added until cell number/viability improves.

継代培養ガイドライン
  • All seeding densities should be based on cell counts gained by established methods.
  • Cells should be seeded at 2x105 - 3x105 cells/mL and subcultured when they have reached 8x105 cells/mL.
  • It is not recommended to allow the cell density to exceed 1x106 cells/mL.
培養培地

RPMI + 10% FBS + 0.05 mM beta-mercaptoethanol

凍結保存培地

Cell Freezing Medium-DMSO Serum free media, contains 8.7% DMSO in MEM supplemented with methyl cellulose.

補足情報

This supplementary information is collated from multiple sources and compiled automatically.

The MEF2C protein also known as MADS box transcription enhancer factor 2 polypeptide C plays an important role in gene expression regulation. This protein has a mass of approximately 52 kDa and is mainly found in the heart skeletal muscle brain and endothelial cells. It is part of the MEF2 family which includes other members like MEF2A MEF2B and MEF2D. MEF2C acts as a transcription factor binding to specific DNA sequences to activate the transcription of target genes involved in various biological processes.
Biological function summary

The MEF2C protein is essential in cellular differentiation and development. MEF2C is not part of a complex but interacts with other cofactors and regulatory proteins to fulfill its roles. It is important in the development of cardiac and skeletal muscle cells and plays a significant role in neurogenesis and neuronal connectivity in the central nervous system. This protein's precise regulation ensures proper development and function of these tissues and organs.

Pathways

MEF2C influences cellular signaling through the MAPK/ERK and calcium/calmodulin-dependent protein kinase pathways. In the MAPK/ERK pathway MEF2C modulates gene expression in response to external stimuli interacting with proteins like ERK1/2. In the calcium/calmodulin-dependent kinase pathway MEF2C plays a role in calcium signaling networks impacting neuronal plasticity and survival. These pathways highlight MEF2C’s involvement in muscle and brain function.

MEF2C mutations or dysregulation link to conditions like dilated cardiomyopathy and neurodevelopmental disorders such as MEF2C haploinsufficiency syndrome. In cardiac disease abnormal MEF2C activity can affect heart muscle cell function often involving proteins like actin and myosin. In neurodevelopmental disorders MEF2C's interaction with various transcriptional regulators impacts neuronal networks contributing to symptoms like impaired cognitive development and autism spectrum-like behaviors.

Cell culture

Biosafety level

EU: 1 US: 1

Adherent/suspension

Suspension

Gender

Male

製品プロトコール

Abcam product promise

当社は、高品質な試薬を通じてお客様の研究を力強くサポートすることをお約束いたします。ご使用いただく各段階で、常にお客様をサポートできる体制を整えております。万が一、製品が期待通りに機能しない場合は、「Abcam Product Promise」による当社保証制度に基づき、安心してご利用いただけます。
保証に関する詳細については利用規約をご確認ください。

Please note: All products are 'FOR RESEARCH USE ONLY. NOT FOR USE IN DIAGNOSTIC OR THERAPEUTIC PROCEDURES'.

For licensing inquiries, please contact partnerships@abcam.com