JavaScript is disabled in your browser. Please enable JavaScript to view this website.
AB64236

100x Citrate Buffer pH 6.0

100x Citrate Buffer pH 6.0

Be the first to review this product! Submit a review

|

(16 Publications)

100X Citrate Buffer pH 6.0 (ab64236) is used in heat-induced antigen retrieval (HIER) to enhance staining with our primary antibody range during IHC assays.

- Provided in 100X solution for easy dilution preparation
- Proven performance: cited in over 15 publications
- Larger volume format available upon request
2 Images
Immunohistochemistry (Formalin/PFA-fixed paraffin-embedded sections) - 100x Citrate Buffer pH 6.0 (AB64236)
  • IHC-P

PubMed

Immunohistochemistry (Formalin/PFA-fixed paraffin-embedded sections) - 100x Citrate Buffer pH 6.0 (AB64236)

Immunohistochemical analysis of liver tissue section labeling PCNA with ab18197 at 1/250. Antigen retrieval was performed with antigen retrieval buffer, ab64236. A and B, PCNA staining in right and left grafts 1 day after reperfusion. E and F, PCNA staining in right and left grafts 5 day after reperfusion.

Jujo T et al. PLoS One (2014)

Immunohistochemistry (Formalin/PFA-fixed paraffin-embedded sections) - 100x Citrate Buffer pH 6.0 (AB64236)
  • IHC-P

PubMed

Immunohistochemistry (Formalin/PFA-fixed paraffin-embedded sections) - 100x Citrate Buffer pH 6.0 (AB64236)

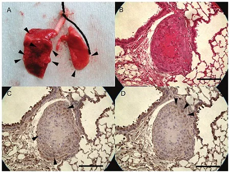
Immunohistochemical analysis of mouse lung. Samples were fixed in 10% buffered formalin, paraffinized and sliced at 1.5 μm thick. Antigen retrieval was performed using ab64214 for the deparaffinized slices. Sections were blocked with 2% normal goat serum, PBS(-) and 0.1% Tween20. They were then incubated with the primary antibodies for 1 hour at 4°C and with secondary antibodies for 30 minutes at room temperature. The avidin-biotin-peroxidase complex method with peroxidase streptavidin and the DAB substrate kit ab64238 was performed.

(A) A resected lung from a mouse sacrificed 28 days after SCL injection.

(B) Haemotoxylin and Eosin staining showing the tumor composed of a central area with necrosis and a peripheral zone filled with SCLs.

(C) Immunohistochemical staining for MMP-14 showing positive expression of MMP-14 in the peripheral zone of the tumor and negative in central zone.

(D) Immunohistochemical staining weak staining of MMP-2 in the peripheral zone.

This image was produced using ab64214 (a lower concentration of ab64236 ). Therefore, we expect ab64236 to work as well when diluted to the required concentration.

Jujo T et al. PLoS One (2014) Reproduced under the Creative Commons license http://creativecommons.org/licenses/by/4.0/

Key facts

アプリケーション

IHC-P

applications

製品の状態

Liquid

form

バッファー組成

pH: 4 - 6 Constituents: 1% Hydrochloric acid

storage-buffer

Reactivity data

{ "title": "Reactivity Data", "filters": { "stats": ["", "Reactivity", "Dilution Info", "Notes"] }, "values": { "IHC-P": { "reactivity":"TESTED_AND_REACTS", "dilution-info":"", "notes":"<p></p>" } } }

製品の詳細

Citrate buffer pH 6.0 (ab64236) for heat-induced antigen retrieval (HIER) during IHC.

We also offer a 10x Citrate buffer pH 6.0 (ab64214).

Find complete IHC kits, and reagents for antigen retrieval, blocking, signal amplification, visualization, counterstaining, and mounting in the IHC kits and reagents guide.

出荷温度及び保存条件

出荷温度
Blue Ice
短期保存温度
Ambient
長期保存温度
Ambient

製品プロトコール

ターゲットの情報

文献 (16)

Recent publications for all applications. Explore the full list and refine your search

Frontiers in endocrinology 15:1483364 PubMed39758349

2025

Umbilical vein remodeling is associated with pregestational maternal overweight.

Applications

Unspecified application

Species

Unspecified reactive species

Kamilla Batista da Silva Souza,Luana Caroline Hochberger,Felippe Egon Castrignano Camargo,Gabriely Santos Silva,Giovanna Castrignano Camargo,João Pedro Lourenço Mello,Fernanda Cristina Alcantara Dos Santos,Fernanda Regina Giachini,Núbia de Souza Lobato,Paula Cristina de Souza Souto

BMC veterinary research 20:127 PubMed38561720

2024

Pseudomonas putida infection induces immune-antioxidant, hepato-renal, ethological, and histopathological/immunohistochemical disruptions in Oreochromis niloticus: the palliative role of titanium dioxide nanogel.

Applications

Unspecified application

Species

Unspecified reactive species

Afaf N Abdel Rahman,Heba H Mahboub,Gehad E Elshopakey,Mahmoud I M Darwish,Heba Said Abdel-Rahman Gharib,Mohamed Shaalan,Esraa M Fahmy,Heba M Abdel-Ghany,Sameh H Ismail,Hassnaa Mahmoud Elsheshtawy

Fish physiology and biochemistry 50:767-783 PubMed38060081

2023

Silica nanoparticles alleviate the immunosuppression, oxidative stress, biochemical, behavioral, and histopathological alterations induced by Aeromonas veronii infection in African catfish (Clarias gariepinus).

Applications

Unspecified application

Species

Unspecified reactive species

Heba H Mahboub,Wafaa M Gad,Enas K Aziz,Mona Abdelghany Nasr,Esraa M Fahmy,Dina Mohamed Mansour,Nesma Rasheed,Hanaa S Ali,Sameh H Ismail,Afaf N Abdel Rahman

International journal of molecular sciences 24: PubMed38069410

2023

Plasma Exchange Reduces Aβ Levels in Plasma and Decreases Amyloid Plaques in the Brain in a Mouse Model of Alzheimer's Disease.

Applications

Unspecified application

Species

Unspecified reactive species

Santiago Ramirez,Suelyn Koerich,Natalia Astudillo,Nicole De Gregorio,Rabab Al-Lahham,Tyler Allison,Natalia Pessoa Rocha,Fei Wang,Claudio Soto

Nature microbiology 8:1587-1599 PubMed37443277

2023

LY6E is a pan-coronavirus restriction factor in the respiratory tract.

Applications

Unspecified application

Species

Unspecified reactive species

Katrina B Mar,Alexandra I Wells,Marley C Caballero Van Dyke,Alexandra H Lopez,Jennifer L Eitson,Wenchun Fan,Natasha W Hanners,Bret M Evers,John M Shelton,John W Schoggins

Cell genomics 2: PubMed35434692

2022

A single-cell regulatory map of postnatal lung alveologenesis in humans and mice.

Applications

Unspecified application

Species

Unspecified reactive species

Thu Elizabeth Duong,Yan Wu,Brandon Chin Sos,Weixiu Dong,Siddharth Limaye,Lauraine H Rivier,Greg Myers,James S Hagood,Kun Zhang

STAR protocols 2:100987 PubMed34927096

2021

Protocol for controlled cortical impact in human cerebral organoids to model traumatic brain injury.

Applications

Unspecified application

Species

Unspecified reactive species

Santiago Ramirez,Abhisek Mukherjee,Sofia E Sepulveda,Camila Gherardelli,Andrea Becerra-Calixto,Nicolas Bravo-Vasquez,Claudio Soto

International journal of molecular sciences 22: PubMed34445351

2021

Ultrasensitive and Multiplexed Protein Imaging with Cleavable Fluorescent Tyramide and Antibody Stripping.

Applications

Unspecified application

Species

Unspecified reactive species

Thai Pham,Christopher D Nazaroff,Joshua Labaer,Jia Guo

Blood advances 3:3522-3538 PubMed31730699

2019

Human CD8+ Tregs expressing a MHC-specific CAR display enhanced suppression of human skin rejection and GVHD in NSG mice.

Applications

Unspecified application

Species

Unspecified reactive species

Séverine Bézie,Béatrice Charreau,Nadège Vimond,Juliette Lasselin,Nathalie Gérard,Véronique Nerrière-Daguin,Frédérique Bellier-Waast,Franck Duteille,Ignacio Anegon,Carole Guillonneau

Bulletin of experimental biology and medicine 166:287-292 PubMed30488196

2018

Morphological Evaluation of the Tissue Reaction to Subcutaneous Implantation of Decellularized Matrices.

Applications

Unspecified application

Species

Unspecified reactive species

A S Sotnichenko,R Z Nakokhov,E A Gubareva,E V Kuevda,I S Gumenyuk
View all publications

Abcam product promise

当社は、高品質な試薬を通じてお客様の研究を力強くサポートすることをお約束いたします。ご使用いただく各段階で、常にお客様をサポートできる体制を整えております。万が一、製品が期待通りに機能しない場合は、「Abcam Product Promise」による当社保証制度に基づき、安心してご利用いただけます。
保証に関する詳細については利用規約をご確認ください。

Please note: All products are 'FOR RESEARCH USE ONLY. NOT FOR USE IN DIAGNOSTIC OR THERAPEUTIC PROCEDURES'.

For licensing inquiries, please contact partnerships@abcam.com