JavaScript is disabled in your browser. Please enable JavaScript to view this website.
AB278173

Inhibitory Immune Checkpoint panel 2 - Human WB

Inhibitory Immune Checkpoint panel 2 - Human WB

Be the first to review this product! Submit a review

|

(0 Publication)

Inhibitory Immune Checkpoint panel 2 - Human WB (ab278173) is part of the multiplex kits range. Abcam offers high-quality biological reagents and tools including antibodies, proteins, assays, cell lines and lysates.

別名を表示する

CD47, MER6, Leukocyte surface antigen CD47, Antigenic surface determinant protein OA3, Integrin-associated protein, Protein MER6, IAP

13 Images
Western blot - Inhibitory Immune Checkpoint panel 2 - Human WB (AB278173)
  • WB

Supplier Data

Western blot - Inhibitory Immune Checkpoint panel 2 - Human WB (AB278173)

All lanes : Anti-CD276 antibody [SP206] (ab227670) at 1/400 dilution.

Lane 1 : HEK-293T (human epithelial cell line from embryonic kidney transformed with large T antigen) cell lysate

Predicted MW : 57 kDa.

All lanes:

Western blot - Anti-CD276 antibody [SP206] - BSA and Azide free (<a href='/products/primary-antibodies/cd276-antibody-sp206-bsa-and-azide-free-ab240407'>ab240407</a>) at 1/400 dilution

All lanes:

HEK-293T (human epithelial cell line from embryonic kidney transformed with large T antigen) cell lysate

Predicted band size: 57 kDa

false

Western blot - Inhibitory Immune Checkpoint panel 2 - Human WB (AB278173)
  • WB

Supplier Data

Western blot - Inhibitory Immune Checkpoint panel 2 - Human WB (AB278173)

All lanes : Anti-CD276 antibody [SP206] (ab227670) at 1/1000 dilution.

Lane 1 : Wild-type HEK293T cell lysate, 20 ug

Lane 2 : CD276 knockout HEK293T cell lysate, 20 ug

Lane 3 : LNCaP cell lysate, 20 ug

Lane 4 : Raji cell lysate, 20 ug

Secondary (all lanes) : ab216773 at 1/10000 dilution.

Predicted MW : 57kDa.

Observed MW : 90-110kDa

Lanes 1-4 : Merged signal (red and green). Green - ab227670 observed at 90-110 kDa. Red - loading control ab8245 observed at 36 kDa.

ab227670 Anti-CD276 antibody [SP206] was shown to specifically react with CD276 in wild-type HEK293T cells. Loss of signal was observed when knockout cell line ab266658 (knockout cell lysate ab257097) was used. Wild-type and CD276 knockout samples were subjected to SDS-PAGE. ab227670 and Anti-GAPDH antibody [6C5] - Loading Control (ab8245) were incubated overnight at 4°C at 1 in 1000 dilution and 1 in 20000 dilution respectively. Blots were developed with Goat anti-Rabbit IgG H&L (IRDye® 800CW) preadsorbed (ab216773) and Goat anti-Mouse IgG H&L (IRDye® 680RD) preadsorbed (ab216776) secondary antibodies at 1 in 20000 dilution for 1 hour at room temperature before imaging.

All lanes:

Western blot - Anti-CD276 antibody [SP206] - BSA and Azide free (<a href='/products/primary-antibodies/cd276-antibody-sp206-bsa-and-azide-free-ab240407'>ab240407</a>) at 1/1000 dilution

Lane 1:

Wild-type HEK293T cell lysate at 20 µg

Lane 2:

CD276 knockout HEK293T cell lysate at 20 µg

Lane 3:

LNCaP cell lysate at 20 µg

Lane 4:

Raji cell lysate at 20 µg

Secondary

All lanes:

Western blot - Goat anti-Rabbit IgG H&L (IRDye® 800CW) preadsorbed (<a href='/products/secondary-antibodies/goat-rabbit-igg-h-l-irdye-800cw-preadsorbed-ab216773'>ab216773</a>) at 1/10000 dilution

Predicted band size: 57 kDa

Observed band size: 90-110 kDa

false

Western blot - Inhibitory Immune Checkpoint panel 2 - Human WB (AB278173)
  • WB

Supplier Data

Western blot - Inhibitory Immune Checkpoint panel 2 - Human WB (AB278173)

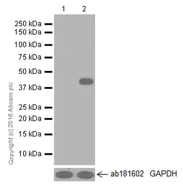
All lanes : Anti-galectin 9/Gal-9 antibody [EPR22214] (ab227046) at 1/1000 dilution.

Lane 1 : THP-1 (human monocytic leukemia monocyte), whole cell lysate, 20 ug

Lane 2 :HEK-293T (human embryonic kidney epithelial cell), whole cell lysate, 20 ug

Secondary (all lanes) : ab97051 at 1/20000 dilution.

Predicted MW : 40 kDa.

Observed MW : 34-39kDa.

Blocking/Dilution buffer : 5% NFDM/TBST.

The expression of the isoforms observed is consistent with what has been described in the literature (PMID 11886844, PMID : 22805533).

Degraded fragments (13-15 kDa) has also been described (PMID : 15811318).

Negative control : HEK-293T (PMID : 24333696).

false

Western blot - Inhibitory Immune Checkpoint panel 2 - Human WB (AB278173)
  • WB

Supplier Data

Western blot - Inhibitory Immune Checkpoint panel 2 - Human WB (AB278173)

All lanes : Anti-CD47 antibody [EPR21794] (ab218810) at 1/5000 dilution.

Lane 1 : Jurkat (human T cell leukemia cell line from peripheral blood) whole cell lysate 20 ug.

Lane 2 : U937 (human histiocytic lymphoma cell line) whole cell lysate, 20 ug.

Lane 3 : A549 (human lung carcinoma cell line) whole cell lysate, 20 ug.

Lane 4 : U-2 OS (human bone osteosarcoma epithelial cell line) whole cell lysate, 20 ug

Lane 5 : Human brain lysate, 10ug

Secondary (all lanes) : ab97051 at 1/100000 dilution.

Predicted MW : 35 kDa.

All lanes : Anti-PD-L1 antibody [73-10] (ab228415) at 1/1000 dilution.

Lane 1 : NCI-H1975 (human non-small cell lung cancer cell line), whole cell lysate, 20 ug.

Lane 2 : Human placenta, 20 ug.

Lane 3 : Human thymus, 20 ug.

Secondary (all lanes) : ab97051 at 1/50000 dilution.

Predicted MW : 33 kDa.

Observed MW : 47-52 kDa. The molecular mass observed is consistent with the literature (PMID 12393467, PMID 11034562).

Exposure time : Lane 1 : 26 seconds; Lane 2 : 70 seconds; Lanes 3-4 : 3 minutes; Lane 5 : 3 seconds.

Blocking/Dilution buffer : 5% NFDM/TBST.

We recommend that samples are not boiled after adding loading buffer as this may cause protein aggregates.

false

Western blot - Inhibitory Immune Checkpoint panel 2 - Human WB (AB278173)
  • WB

Supplier Data

Western blot - Inhibitory Immune Checkpoint panel 2 - Human WB (AB278173)

All lanes : Anti-Indoleamine 2, 3-dioxygenase antibody [EPR20374] (ab211017) at 1/1000 dilution.

Lane 1 : Human ovary cancer lysate, 20 ug

Lane 2 : Human placenta lysate, 20 ug

Lane 3 : Human tonsil lysate, 20 ug

Lane 4 : SK-OV-3 (Human ovarian cancer cell line) whole cell lysate, 10 ug

Secondary (all lanes) : ab97051 at 1/100000 dilution.

Predicted MW : 45kDa.

Observed MW : 45kDa

Blocking/Dilution buffer : 5% NFDM/TBST.

Exposure time : Lane 1-3 : 3 minutes; Lane 4 : 15 seconds.

false

Western blot - Inhibitory Immune Checkpoint panel 2 - Human WB (AB278173)
  • WB

Supplier Data

Western blot - Inhibitory Immune Checkpoint panel 2 - Human WB (AB278173)

All lanes : Anti-SIRP alpha antibody [EPR16264] (ab191419) at 1/1000 dilution.

Lane 1 : Wild-type HAP1 whole cell lysate, 20 ug.

Lane 2 : SIRPA knockout HAP1 whole cell lysate, 20 ug

Lane 3 : THP1 whole cell lysate, 20 ug.

Lane 4 : Jurkat whole cell lysate (negative control), 20 ug.

Lanes 1 - 4 : Merged signal (red and green). Green - ab191419 observed at 55 kDa. Red - loading control, ab9484, observed at 37 kDa.

ab191419 was shown to recognize SIRP alpha in wild-type HAP1 cells as signal was lost at the expected MW in SIRPA knockout cells. Additional cross-reactive bands were observed in the wild-type and knockout cells. Wild-type and SIRPA knockout samples were subjected to SDS-PAGE. ab191419 and ab9484 (Mouse anti-GAPDH loading control) were incubated overnight at 4°C at 1/1000 dilution and 1/20000 dilution respectively. Blots were developed with Goat anti-Rabbit IgG H&L (IRDye® 800CW) preabsorbed ab216773 and Goat anti-Mouse IgG H&L (IRDye® 680RD) preabsorbed ab216776 secondary antibodies at 1/20000 dilution for 1 hour at room temperature before imaging.

false

Western blot - Inhibitory Immune Checkpoint panel 2 - Human WB (AB278173)
  • WB

Supplier Data

Western blot - Inhibitory Immune Checkpoint panel 2 - Human WB (AB278173)

All lanes : Anti-Indoleamine 2, 3-dioxygenase antibody [EPR20374] (ab211017) at 1/1000 dilution.

Lane 1 : Untreated HeLa (Human epithelial cell line from cervix adenocarcinoma) whole cell lysate, 10 ug

Lane 2 : HeLa whole cell lysate treated with 50ng/ml Interferon-gamma (IFN-gamma, ab51240) for 16 hours, 10 ug

Secondary (all lanes) : ab97051 at 1/100000 dilution.

Predicted MW : 45kDa.

Observed MW : 45kDa

Blocking/Dilution buffer : 5% NFDM/TBST.

The level of Indoleamine 2, 3-dioxygenase expression can be induced by IFN-γ treatment (PMID 16368976).

false

Western blot - Inhibitory Immune Checkpoint panel 2 - Human WB (AB278173)
  • WB

Supplier Data

Western blot - Inhibitory Immune Checkpoint panel 2 - Human WB (AB278173)

All lanes : Anti-galectin 9/Gal-9 antibody [EPR22214] (ab227046) at 1/1000 dilution.

Lane 1 : U937 (human histiocytic lymphoma monocyte), whole cell lysate, 20 ug

Lane 2 :HL-60 (human Acute Promyelocytic Leukemia promyeloblast), whole cell lysate, 20 ug
**
**Lane 3 :****MOLT-4 (human lymphoblastic leukemia T lymphoblast), whole cell lysate, 20 ug

Lane 4 :
PANC-1 (human pancreatic epithelioid carcinoma epithelial cell), whole cell lysate, 20 ug

Secondary (all lanes) : ab97051 at 1/20000 dilution.

Predicted MW : 40 kDa.

Observed MW : 34-39kDa. 13-15kDa - degradation product

Blocking/Dilution buffer : 5% NFDM/TBST.

The expression of the isoforms observed is consistent with what has been described in the literature (PMID 11886844, PMID : 22805533).

Degraded fragments (13-15 kDa) have also been descried (PMID : 15811318).

Negative control : PANC-1.

false

Western blot - Inhibitory Immune Checkpoint panel 2 - Human WB (AB278173)
  • WB

Supplier Data

Western blot - Inhibitory Immune Checkpoint panel 2 - Human WB (AB278173)

All lanes : Anti-SIRP alpha antibody [EPR16264] (ab191419) at 1/5000 dilution.

Lane 1 : THP1 cell lysate, 20 ug.

Lane 2 : SW480 cell lysate, 20 ug

Lane 3 : Human fetal brain lysate, 20 ug.

Secondary (all lanes) : Goat Anti-Rabbit IgG, (H+L), Peroxidase conjugated, at 1/1000 dilution.

Predicted MW : 55kDa.

false

Western blot - Inhibitory Immune Checkpoint panel 2 - Human WB (AB278173)
  • WB

Supplier Data

Western blot - Inhibitory Immune Checkpoint panel 2 - Human WB (AB278173)

All lanes : Anti-2B4 antibody [EPR23692-33] (ab256370) at 1/1000 dilution.

Lane 1 : Human spleen tissue lysate, 20 ug

Secondary (all lanes) : ab131366 at 1/1000 dilution.

Predicted MW : 42 kDa.

Observed MW : 70 kDa

Blocking and diluting buffer and concentration : 5% NFDM/TBST.

This blot was developed using a higher sensitivity ECL substrate.

Exposure time : 48 seconds.

false

Western blot - Inhibitory Immune Checkpoint panel 2 - Human WB (AB278173)
  • WB

Supplier Data

Western blot - Inhibitory Immune Checkpoint panel 2 - Human WB (AB278173)

All lanes : Anti-2B4 antibody [EPR23692-33] (ab256370) at 1/1000 dilution.

Lane 1 : KG-1a (human bone marrow myeloblast) whole cell lysate, 10 ug

Secondary (all lanes) : ab131366 at 1/5000 dilution.

Predicted MW : 42 kDa.

Observed MW : 70 kDa

Blocking and diluting buffer and concentration : 5% NFDM/TBST.

This blot was developed using a higher sensitivity ECL substrate.

Exposure time : 24 seconds.

false

Western blot - Inhibitory Immune Checkpoint panel 2 - Human WB (AB278173)
  • WB

Supplier Data

Western blot - Inhibitory Immune Checkpoint panel 2 - Human WB (AB278173)

All lanes : Anti-NKG2A antibody [EPR23620-39] (ab252437) at 1/1000 dilution.

Lane 1 : HEK-293T (human embryonic kidney) transfected with an empty vector (vector control), containing a myc-His-tag®, whole cell lysate, 10 ug.

Lane 2 : HEK-293T transfected with NKG2-A (WT) expression vector containing a myc-His-tag®, whole cell lysate, 10 ug

Lane 3 : HEK-293T transfected with an empty vector (vector control), containing a myc-His-tag®, whole cell lysate, 10 ug

Lane 4 : HEK-293T transfected with NKG2-C (WT) expression vector containing a myc-His-tag®, whole cell lysate, 10 ug

Lane 5 : HEK-293T transfected with an empty vector (vector control), containing a myc-His-tag®, whole cell lysate, 10 ug

Lane 6 : HEK-293T transfected with NKG2-E (WT) expression vector containing a myc-His-tag®, whole cell lysate, 10 ug

Secondary (all lanes) : ab97051 at 1/100000 dilution.

Predicted MW : 26 kDa.

Blocking and dilution buffer : 5% NFDM/TBST.

Exposure time : 3 minutes.

false

Western blot - Inhibitory Immune Checkpoint panel 2 - Human WB (AB278173)
  • WB

Supplier Data

Western blot - Inhibitory Immune Checkpoint panel 2 - Human WB (AB278173)

All lanes : Anti-CD47 antibody [EPR21794] (ab218810) at 1/500 dilution.

Lane 1 :Wild-type HEK293T cell lysate, 20 ug.

**
Lane 2 :****CD47 knockout HEK293T cell lysate, 20 ug.

Lane 3 :****Jurkat cell lysate, 20 ug.

**Lane 4 :****HepG2 cell lysate, 20 ug.

Secondary (all lanes) : ab216773 at 1/10000 dilution.

Predicted MW : 35 kDa.

Observed MW : 47-52kDa.

Lanes 1-4 : Merged signal (red and green). Green - ab218810 observed at 47-52 kDa. Red - loading control ab8245 observed at 36 kDa.

ab218810 Anti-CD47 antibody [EPR21794] was shown to specifically react with CD47 in wild-type HEK293T cells. Loss of signal was observed when knockout cell line ab266324 (knockout cell lysate ab257220) was used. Wild-type and CD47 knockout samples were subjected to SDS-PAGE. ab218810 and Anti-GAPDH antibody [6C5] - Loading Control (ab8245) were incubated overnight at 4°C at 1 in 500 dilution and 1 in 20000 dilution respectively. Blots were developed with Goat anti-Rabbit IgG H&L (IRDye® 800CW) preadsorbed (ab216773) and Goat anti-Mouse IgG H&L (IRDye® 680RD) preadsorbed (ab216776) secondary antibodies at 1 in 20000 dilution for 1 hour at room temperature before imaging.

false

Key facts

交差種

Human

ターゲット

CD47

target

製品の詳細

Inhibitory Immune Checkpoint panel 2 - Human WB ab278173 contains multiple trial-sized versions of anti-human antibody clones against CD47, SIRP alpha, NKG2A, galectin 9/Gal-9, Indoleamine 2, 3-dioxygenase, 2B4 and CD276. For guidelines on how to use each antibody within the panel, please consult the individual datasheet for each antibody.specifically selected for high performance in various applications. They are provided as a sampler panel to allow you to easily evaluate each antibody.

Panel contains:

- Rabbit monoclonal [EPR21794] to CD47 (20 μL) ab218810

- Rabbit monoclonal [EPR16264] to SIRP alpha (20 μL) ab191419

- Rabbit monoclonal [EPR23620-39] to NKG2A (20 μL) ab252437

- Rabbit monoclonal [EPR22214] to galectin 9/Gal-9 (20 μL) ab227046

- Rabbit monoclonal [EPR20374] to Indoleamine 2, 3-dioxygenase (20 μL) ab211017

- Rabbit monoclonal [EPR23692-33] to 2B4 (20 μL) ab256370

- Rabbit monoclonal [SP206] to CD276 (20 μL) ab227670

Explore our range of antibody sample panels designed to provide you with a variety of trial-size antibodies in a convenient and cost-effective format.

Carrier-free formulations of our recombinant antibodies are also available for easy conjugation to labels of your choice and for multiplex applications. Use our intuitive search and select carrier-free or your label of choice. For bespoke conjugations or large volumes email bespoke@abcam.com.

製品内容

{ "values": { "1Kit": { "sellingSize": "1 Kit", "publicAssetCode":"ab278173-1Kit", "assetComponentDetails": [ { "size":"2 x 10 µL", "name":"Anti-CD47 antibody [EPR21794]", "number":"AB278173-CMP01", "productcode":"AB218810" }, { "size":"2 x 10 µL", "name":"Anti-CD276 antibody [SP206]", "number":"AB278173-CMP05", "productcode":"AB227670" }, { "size":"2 x 10 µL", "name":"Anti-NKG2A antibody [EPR23620-39]", "number":"AB278173-CMP02", "productcode":"AB252437" }, { "size":"2 x 10 µL", "name":"Anti-2B4 antibody [EPR23692-33]", "number":"AB278173-CMP07", "productcode":"AB256370" }, { "size":"2 x 10 µL", "name":"Anti-Indoleamine 2, 3-dioxygenase antibody [EPR20374]", "number":"AB278173-CMP03", "productcode":"AB211017" }, { "size":"2 x 10 µL", "name":"Anti-SIRP alpha antibody [EPR16264]", "number":"AB278173-CMP04", "productcode":"AB191419" }, { "size":"2 x 10 µL", "name":"Anti-galectin 9/Gal-9 antibody [EPR22214]", "number":"AB278173-CMP06", "productcode":"AB227046" } ] } } }

出荷温度及び保存条件

出荷温度
Blue Ice
短期保存温度
-20°C
長期保存温度
-20°C
保管に関する情報
-20°C

補足情報

This supplementary information is collated from multiple sources and compiled automatically.

CD47 also known as integrin-associated protein (IAP) is a transmembrane protein with a mass of approximately 50 kDa. Located on the cell surface CD47 is expressed widely across various tissues. It interacts with signal regulatory protein alpha (SIRPα) which is predominantly expressed on myeloid and neural cells forming an immune checkpoint. Another significant protein NKG2A an inhibitory receptor plays a role in immune modulation. Indoleamine 23-dioxygenase (IDO) is an intracellular enzyme that catabolizes tryptophan. Meanwhile 2B4 an immune cell surface protein and Galectin-9 (Gal-9) modulate immune response. CD276 (B7-H3) acts as a co-stimulatory molecule and has a mass of roughly 80 kDa. These molecules are highly expressed in immune and tumor cells.
Biological function summary

CD47 modulates immune evasion by binding SIRPα sending inhibitory signals to macrophages to prevent phagocytosis. The NKG2A receptor with its ligand HLA-E contributes to immune tolerance by silencing NK and T cells. IDO by degrading tryptophan facilitates immune escape in the tumor microenvironment. The protein 2B4 allows natural killer (NK) and activated T cell signaling enhancing immune surveillance. Gal-9 acts as a potent immunosuppressive factor that negatively regulates T cell activity. CD276 fosters immune cell interactions often displaying anti-tumor properties in immune cells.

Pathways

CD47 and SIRPα interact within the phagocytosis inhibitory pathway important in regulating macrophage activity. NKG2A functions within the natural killer cell inhibitory pathway signaling through SHP-1 and SHP-2 phosphatases. IDO plays a vital role in the kynurenine pathway contributing to immune suppression. 2B4 functions in the signaling lymphocyte activation molecule (SLAM) family pathway impacting cell-mediated cytotoxicity. Gal-9 often cooperates with T cell immunoglobulin and mucin-domain containing-3 (TIM-3) to enhance immune suppression. CD276 as a member of the B7 family influences the co-stimulatory pathway regulating immune response.

CD47 associates with cancer tissues frequently contributing to tumor immune evasion. This interaction with SIRPα plays a role in preventing anti-tumor macrophage activity. NKG2A has been implicated in various cancers aiding immune escape by inhibiting NK cells. IDO contributes to immune tolerance in cancer by depleting tryptophan. 2B4 has links to autoimmune disorders where dysregulation affects immune balance. Gal-9 through its interaction with TIM-3 associates with autoimmune diseases by exacerbating immune tolerance. CD276 emerges as a potential therapeutic target in melanoma where it modulates immune responses to reduce tumor growth.

製品プロトコール

ターゲットの情報

Adhesive protein that mediates cell-to-cell interactions (PubMed : 11509594, PubMed : 15383453). Acts as a receptor for thrombospondin THBS1 and as modulator of integrin signaling through the activation of heterotrimeric G proteins (PubMed : 19004835, PubMed : 7691831, PubMed : 8550562). Involved in signal transduction, cardiovascular homeostasis, inflammation, apoptosis, angiogenesis, cellular self-renewal, and immunoregulation (PubMed : 11509594, PubMed : 15383453, PubMed : 19004835, PubMed : 27742621, PubMed : 32679764, PubMed : 7691831, PubMed : 8550562). Plays a role in modulating pulmonary endothelin EDN1 signaling (PubMed : 27742621). Modulates nitrous oxide (NO) signaling, in response to THBS1, hence playing a role as a pressor agent, supporting blood pressure (By similarity). Plays an important role in memory formation and synaptic plasticity in the hippocampus (By similarity). Receptor for SIRPA, binding to which prevents maturation of immature dendritic cells and inhibits cytokine production by mature dendritic cells (PubMed : 11509594). Interaction with SIRPG mediates cell-cell adhesion, enhances superantigen-dependent T-cell-mediated proliferation and costimulates T-cell activation (PubMed : 15383453). Positively modulates FAS-dependent apoptosis in T-cells, perhaps by enhancing FAS clustering (By similarity). Plays a role in suppressing angiogenesis and may be involved in metabolic dysregulation during normal aging (PubMed : 32679764). In response to THBS1, negatively modulates wound healing (By similarity). Inhibits stem cell self-renewal, in response to THBS1, probably by regulation of the stem cell transcription factors POU5F1/OCT4, SOX2, MYC/c-Myc and KLF4 (By similarity). May play a role in membrane transport and/or integrin dependent signal transduction (PubMed : 7691831). May prevent premature elimination of red blood cells (By similarity).
See full target information CD47

追加のターゲット

SIRPA,IDO1,LGALS9,CD276,KLRC1,CD244

Abcam product promise

当社は、高品質な試薬を通じてお客様の研究を力強くサポートすることをお約束いたします。ご使用いただく各段階で、常にお客様をサポートできる体制を整えております。万が一、製品が期待通りに機能しない場合は、「Abcam Product Promise」による当社保証制度に基づき、安心してご利用いただけます。
保証に関する詳細については利用規約をご確認ください。

Please note: All products are 'FOR RESEARCH USE ONLY. NOT FOR USE IN DIAGNOSTIC OR THERAPEUTIC PROCEDURES'.

For licensing inquiries, please contact partnerships@abcam.com